Металлокерамические коронки — популярное решение в стоматологии для восстановления утраченных зубов, объединяющее прочность металла и эстетические качества керамики. В статье рассмотрим основные плюсы и минусы металлокерамических коронок, отзывы пациентов и фотографии до и после установки. Узнаете о технологии протезирования, уходе за коронками и сроке их службы, что поможет сделать осознанный выбор при восстановлении зубного ряда.
Что собой представляют металлокерамические протезы
Надежный, долговечный и устойчивый к износу композит обеспечивает коронке защиту от различных внешних воздействий и повреждений, что особенно удобно для занятых людей, которые не могут каждый год обновлять свои протезы.
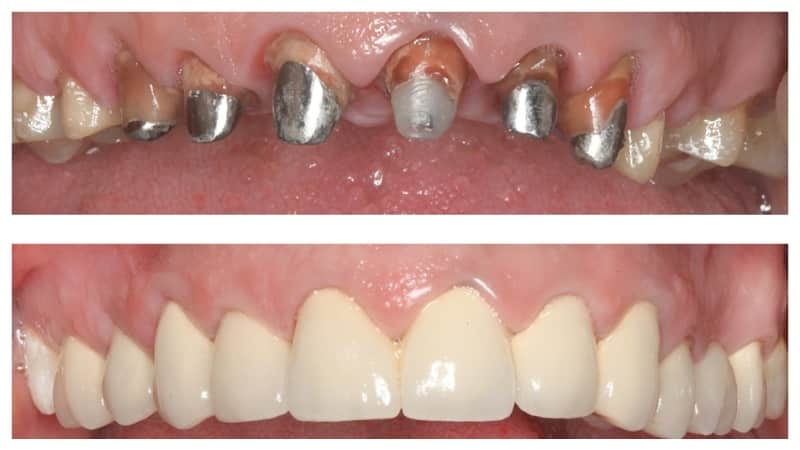
Чтобы лучше понять название этого изделия, стоит углубиться в его конструкцию и материалы, а также рассмотреть, как выглядит металлокерамическая коронка (фото до и после представлены ниже).
Эти системы состоят из прочного цельнолитого каркаса, изготовленного из медицинских сплавов (например, кобальт с хромом или хром с никелем). В некоторых случаях используются высококачественные соединения из цветных металлов (таких как платина, золото, палладий и т.д.), что делает систему еще более надежной и менее аллергенной. Применение золота для создания каркаса позволяет добиться наиболее естественного оттенка коронки, поэтому такие конструкции часто выбирают для протезирования передних зубов.
На каркас последовательно наносится слой керамики. Эта работа выполняется технологами по вашим индивидуальным слепкам, что позволяет создать зубы из металлокерамики (фото до и после приведены выше) с максимальной точностью и естественностью. После завершения изготовления изделие обжигается в печи при температуре 800-900°, что усиливает химическую связь всех материалов, входящих в его состав.
Врачи отмечают, что металлокерамические коронки имеют как свои преимущества, так и недостатки. К основным плюсам относится высокая прочность и долговечность таких конструкций, что делает их идеальными для жевательных зубов. Кроме того, металлокерамика обладает хорошими эстетическими качествами, позволяя добиться естественного внешнего вида. Однако среди минусов специалисты выделяют возможность появления металлического ободка на десне со временем, что может негативно сказаться на эстетике. Также стоит учитывать, что установка таких коронок требует обточки зуба, что может быть неприятно для пациента. Врачи рекомендуют тщательно взвешивать все за и против перед принятием решения о выборе коронок.
https://youtube.com/watch?v=hRBlu7xkYWs
Технология протезирования
Перед тем как установить металлокерамические коронки, стоматолог должен подготовить ротовую полость в зоне, где будет размещаться протез.
Сначала выполняется рентгенологическое исследование, позволяющее получить изображение нужной области. Врач анализирует, имеются ли активные заболевания или патологические изменения в корне зуба и его основании.
Если выявлены заболевания, зуб необходимо пролечить, устранить кариес и удалить темный налет, а также восстановить мягкие ткани.
Следующий шаг — депульпирование опорного зуба. Эта процедура необходима при наличии воспалительных процессов в корне, некачественном предыдущем пломбировании, а также при повреждениях и разрушениях зуба. Удаление нерва обязательно проводится и в случае передних зубов.
Если опорный зуб разрушен более чем наполовину или сильно поврежден, в его канал устанавливается штифт. На него наращивается недостающая часть коронки с использованием стоматологического композита для пломбирования. В ситуациях, когда зуб до протезирования металлокерамикой был разрушен до основания или имеет истонченные стенки, восстановление возможно только с помощью культевой вкладки.
После санации ротовой полости и восстановления поверхности опорного зуба начинается его обточка, чтобы придать форму будущей коронки. Стоматолог шлифует поверхность до создания подходящей культи, с которой затем снимается индивидуальный слепок и отправляется в лабораторию для изготовления протеза.
На время ожидания пациенту предлагают временные пластиковые протезы, которые обеспечивают эстетическое восстановление зубного ряда, защищают ослабленный обточенный зуб и создают комфорт. Изготовление металлокерамических коронок (фото до и после установки представлены выше) может занять от 2 до 3 недель.
Когда протез будет готов, его устанавливают в ротовую полость пациента. Сначала проводится примерка, и пациент делится своими ощущениями от нового зуба. Для этого стоматолог временно фиксирует коронку с помощью цемента на несколько месяцев. Если пациент чувствует себя комфортно, не ощущает инородного тела в ротовой полости и дополнительная подгонка не требуется, временный цемент заменяется на постоянный.
| Критерий | Плюсы металлокерамических коронок | Минусы металлокерамических коронок |
|---|---|---|
| Эстетика | Хороший внешний вид, имитирующий естественный зуб. | Металлический каркас может просвечивать, особенно у десны, создавая темную полосу. |
| Прочность и долговечность | Высокая прочность и устойчивость к жевательным нагрузкам. Долгий срок службы (10-15 лет и более). | Керамическое покрытие может скалываться при сильных ударах или неправильном прикусе. |
| Стоимость | Относительно доступная цена по сравнению с цельнокерамическими коронками. | Дороже, чем коронки из неблагородных металлов. |
| Биосовместимость | Металлический каркас может вызывать аллергические реакции у некоторых пациентов (редко). | Керамика биосовместима и не вызывает аллергии. |
| Подготовка зуба | Требуется значительное обтачивание зуба для создания места под коронку. | Может потребоваться удаление нерва зуба из-за глубокого препарирования. |
| Изготовление | Относительно простой и отработанный процесс изготовления. | Требует высокой точности прилегания для предотвращения вторичного кариеса. |
| Ощущения | При правильной установке не вызывают дискомфорта. | Металлический каркас может проводить тепло и холод, вызывая чувствительность. |
| Ремонтопригодность | Мелкие сколы керамики иногда можно отремонтировать. | Крупные сколы или трещины требуют замены всей коронки. |
Уход за протезами
После установки металлокерамической коронки стоматолог обязательно даст рекомендации по уходу за ротовой полостью и особенностям ухода за имплантом.
Прежде всего, регулярный уход включает в себя чистку зубов после каждого приема пищи. Чистить зубы и коронку нужно правильно: выполняйте движения от основания к режущему краю, а также круговые движения. Вы можете использовать любую зубную щетку, но не забывайте менять ее по истечении рекомендованного срока, который определяется цветовым индикатором на щетине. Щетина должна быть мягкой, а зубная паста — без абразивных частиц.
После чистки зубов обязательно используйте ершик для межзубных промежутков и зубную нить.
Несколько раз в неделю рекомендуется обрабатывать ротовую полость с помощью ирригатора, наполненного дезинфицирующим раствором или отваром трав.
Срок службы металлокерамических коронок после протезирования может варьироваться от 7 до 15 лет, в зависимости от условий эксплуатации и качества ухода. Однако при травмах, механических повреждениях или сильных жевательных нагрузках может произойти крошение материала или его скол. В таком случае потребуется реставрация коронки.
Если в процессе разрушения обнажился металлический каркас, коронку придется заменить. Если же откололся небольшой фрагмент, его можно восстановить с помощью пломбировочного композита, как это делается с живыми зубами.
Регулярные визиты к стоматологу и своевременная замена коронки помогут избежать сколов, расшатывания и выпадения импланта в будущем.
https://youtube.com/watch?v=tpB1j7vCsrI
Преимущества протезирования металлокерамикой
Коронки из металлокерамики обладают как положительными, так и отрицательными сторонами.
Давайте подробнее рассмотрим преимущества данного типа протезирования.
- Используемый материал позволяет восстановить естественную форму зуба, его структуру, текстуру и цвет эмали. Анатомическая форма обеспечивает полноценные жевательные и речевые функции, что делает возможным протезирование даже при полной утрате зубов.
- Эти изделия отличаются высокой устойчивостью к износу, стиранию, крошению и разрушению, что делает их надежными даже при максимальных жевательных нагрузках и воздействии внешних факторов.
- Срок службы коронок может достигать 17 лет!
- Металлокерамические протезы подходят для восстановления различных типов зубов (резцы, клыки, жевательные, третьи моляры и т.д.) и их количества (один, несколько или все).
- Коронки устанавливаются плотно на опорный зуб, что способствует сохранению его здоровья и прочности.
- После установки вероятность отторжения импланта крайне низка.
- Быстрая адаптация к протезу благодаря естественной форме, текстуре и весу коронки. Обычно пациент привыкает к протезу всего за несколько дней или недель.
- Материалы, используемые для производства, обладают биологической совместимостью с организмом, являются экологичными и нетоксичными.
- Уход за системой не требует значительных усилий и подходит даже для занятых людей.
-
Материал отличается высокой гигиеничностью, на него не влияют патогенные микроорганизмы, бактерии и грибки.
Поэтому он является отличным выбором для людей с хроническими заболеваниями полости рта, такими как пародонтит или стоматит.
Кроме того, коронки не меняют цвет со временем (не желтеют) и не подвержены влиянию пищевых красителей, никотина, кофеина и других природных пигментов.
Однако, у металлокерамических коронок есть и недостатки.
- Металлический каркас коронки не пропускает естественный цвет, что может быть заметно при близком расположении к живым зубам, поэтому металлокерамику редко используют для одиночных передних зубов.
- Перед установкой протеза требуется обточка здорового зуба, что может привести к значительному повреждению его тканей.
- Высокая прочность керамики не всегда является преимуществом. Зубы на противоположной челюсти могут стираться и разрушаться при контакте с протезом, что вызывает болевые ощущения и повышенную чувствительность. Несмотря на заявленную износостойкость, керамическое покрытие также может подвергаться повреждениям и сколам.
- В некоторых случаях при протезировании может проявляться металлический каркас (особенно при опущении десны), что ухудшает эстетические характеристики.
- У многих пациентов наблюдается аллергия на металл, включая благородные его виды.
- Невозможность отбеливания коронки. Многие пациенты интересуются, можно ли отбелить металлокерамические зубы в процессе эксплуатации. К сожалению, стоматологические средства проникают только в натуральную эмаль, поэтому вам придется подбирать цвет керамики или тратить время на выбор идеального оттенка. Регулярная профессиональная чистка зубов поможет вернуть эстетичность и блеск, а полировка имплантов позволит удалить налет и зубной камень.
Мы рассмотрели процесс установки зубов из металлокерамики, их плюсы и минусы, а также нюансы ухода. В итоге можно сказать, что такие коронки по современным стандартам считаются одними из самых эстетичных, прочных и долговечных, полностью восстанавливающих функциональность ротовой полости и повторяющих анатомические формы зуба. При должном уходе и регулярных визитах к стоматологу (раз в полгода-год) они могут прослужить более десяти лет без повреждений и сколов.
https://youtube.com/watch?v=8b1REFZzpDk
Недостатки металлокерамических коронок
Несмотря на множество преимуществ, металлокерамические коронки имеют и свои недостатки, которые стоит учитывать перед их установкой. Один из основных минусов заключается в том, что они могут быть более тяжелыми по сравнению с другими видами коронок, такими как керамические или композитные. Это может привести к дополнительной нагрузке на зубы и десны, особенно если коронки установлены на несколько зубов подряд.
Еще одним недостатком является возможность появления сколов и трещин. Хотя металлокерамические коронки достаточно прочные, они не застрахованы от механических повреждений. Если пациент испытывает привычку сильно сжимать зубы или скрипеть ими, это может привести к повреждению коронки.
Кроме того, металлокерамические коронки могут вызывать аллергические реакции у некоторых пациентов. Это связано с тем, что в их состав могут входить металлы, такие как никель или кобальт, которые могут вызывать непереносимость. В таких случаях рекомендуется рассмотреть альтернативные варианты, такие как полностью керамические коронки.
Также стоит отметить, что установка металлокерамических коронок требует значительного обтачивания зуба. Это может привести к снижению прочности оставшейся части зуба и, в некоторых случаях, к необходимости последующего лечения корневых каналов. Важно, чтобы пациент был осведомлен о возможных последствиях и рисках, связанных с обтачиванием зуба.
Наконец, эстетические характеристики металлокерамических коронок могут уступать полностью керамическим аналогам. Хотя современные технологии позволяют создавать коронки с высокой степенью эстетики, в некоторых случаях может быть заметна металлическая основа, особенно при тонком слое керамики. Это может быть проблемой для пациентов, стремящихся к идеальному внешнему виду своих зубов.
Сравнение с другими типами коронок
Металлокерамические коронки занимают особое место в стоматологии благодаря своим уникальным свойствам и характеристикам. Однако, чтобы оценить их преимущества и недостатки, важно сравнить их с другими типами коронок, такими как цельноломанные, керамические и композитные.
1. Металлокерамические коронки vs. цельноломанные коронки
Цельноломанные коронки изготавливаются полностью из керамики и обладают высокой эстетикой, что делает их идеальными для передних зубов. Однако они менее прочные по сравнению с металлокерамическими, особенно в области жевательных зубов, где требуется высокая нагрузка. Металлокерамические коронки, в свою очередь, обеспечивают отличную прочность благодаря металлическому каркасу, что делает их более подходящими для задних зубов, где нагрузка на коронки значительно выше.
2. Металлокерамические коронки vs. керамические коронки
Керамические коронки, как и цельноломанные, обладают высокой эстетикой и могут быть использованы для восстановления передних зубов. Однако они также имеют свои ограничения по прочности. Металлокерамические коронки, благодаря металлическому каркасу, обеспечивают лучшую устойчивость к механическим повреждениям и износу. Тем не менее, керамические коронки не имеют металлического основания, что делает их более естественными по цвету и прозрачности, что может быть важным фактором для пациентов, стремящихся к максимальной эстетике.
3. Металлокерамические коронки vs. композитные коронки
Композитные коронки изготавливаются из смол и имеют более низкую прочность по сравнению с металлокерамическими. Они часто используются для временных коронок или в случаях, когда требуется минимальная инвазивность. Однако композитные коронки могут быть менее долговечными и более подвержены износу и окрашиванию. Металлокерамические коронки, благодаря своей прочности и устойчивости к внешним воздействиям, являются более надежным выбором для долгосрочного восстановления зубов.
Таким образом, выбор между металлокерамическими коронками и другими типами коронок зависит от множества факторов, включая расположение зуба, требования к эстетике, а также индивидуальные предпочтения пациента. Металлокерамические коронки предлагают баланс между прочностью и эстетикой, что делает их популярным выбором в стоматологической практике.
Рекомендации по выбору стоматолога для установки коронок
Выбор стоматолога для установки металлокерамических коронок — это важный шаг, который может существенно повлиять на конечный результат лечения и здоровье зубов. Чтобы избежать неприятных последствий и получить качественное лечение, стоит обратить внимание на несколько ключевых аспектов при выборе специалиста.
1. Образование и квалификация
Первым делом стоит убедиться в наличии у стоматолога соответствующего образования и квалификации. Идеально, если специалист имеет диплом о высшем образовании в области стоматологии и прошел дополнительные курсы по протезированию. Наличие сертификатов и дипломов о повышении квалификации свидетельствует о том, что врач постоянно обновляет свои знания и навыки.
2. Опыт работы
Опыт стоматолога также играет важную роль. Чем больше практики у специалиста, тем выше вероятность успешного выполнения процедуры. Рекомендуется выбирать врача, который имеет не менее 5-7 лет опыта в установке коронок, особенно металлокерамических, так как эта процедура требует высокой точности и навыков.
3. Отзывы пациентов
Перед тем как записаться на прием, полезно ознакомиться с отзывами других пациентов. Это можно сделать на специализированных сайтах, форумах или в социальных сетях. Положительные отзывы и рекомендации могут служить хорошим индикатором качества работы стоматолога. Обратите внимание на комментарии о том, как врач общается с пациентами, насколько внимательно он относится к их потребностям и ожиданиям.
4. Современное оборудование и технологии
Клиника, в которой работает стоматолог, должна быть оснащена современным оборудованием. Использование новейших технологий и материалов для установки коронок значительно повышает качество лечения и снижает риск осложнений. Убедитесь, что в клинике применяются современные методы диагностики, такие как 3D-сканирование, что позволяет точно планировать лечение.
5. Индивидуальный подход
Хороший стоматолог всегда учитывает индивидуальные особенности пациента. Он должен провести полное обследование, оценить состояние зубов и десен, а также обсудить с пациентом все возможные варианты лечения. Важно, чтобы врач объяснял каждый этап процедуры и отвечал на все вопросы, что поможет пациенту чувствовать себя комфортно и уверенно.
6. Прозрачность цен
Перед началом лечения стоит обсудить стоимость услуг. Хороший стоматолог всегда предоставляет полную информацию о ценах и возможных дополнительных расходах. Не стесняйтесь задавать вопросы о стоимости материалов и процедур, чтобы избежать неприятных сюрпризов в будущем.
7. Наличие гарантии
Некоторые стоматологические клиники предлагают гарантии на выполненные работы. Это может быть дополнительным показателем качества услуг. Уточните, какие гарантии предоставляет стоматолог на установленные коронки, и на какой срок они действуют.
Следуя этим рекомендациям, вы сможете выбрать квалифицированного стоматолога для установки металлокерамических коронок, что обеспечит вам качественное лечение и долгосрочный результат.



