Пластмассовые коронки на зубы становятся популярным выбором для восстановления эстетики и функциональности улыбки. В статье рассмотрим преимущества и недостатки акриловых конструкций, а также сравним их с керамическими аналогами. Вы найдете информацию о показаниях и противопоказаниях к установке пластмассовых коронок и ознакомитесь с доступными видами. Отзывы пациентов и фото помогут сделать осознанный выбор и понять, какие коронки подойдут именно вам.
Сущность пластмассовых протезов
Пластиковые коронки были одними из первых решений в стоматологии и служили временной альтернативой перед установкой постоянных керамических протезов. Таким образом, на вопрос о том, какие коронки предпочтительнее — пластиковые или керамические, можно с уверенностью ответить: керамические.
Дело в том, что пластик значительно уступает керамике по прочности, надежности и долговечности. Такие конструкции могут изнашиваться всего за несколько лет, подвергаться разрушению и деформации, а также впитывать пигменты, что не характерно для более дорогих вариантов.
Когда же применяются пластиковые коронки? Во-первых, их устанавливают на опорные зубы сразу после их обточки, чтобы предотвратить разрушение и повреждение истонченной эмали до установки постоянных протезов. Во-вторых, после установки имплантата на его штатив временно помещаются пластиковые коронки, пока создается постоянная конструкция. Это позволяет пациенту наслаждаться полноценной функцией зубов и красивой улыбкой на протяжении всего периода ортопедического лечения, который может длиться до полугода.
Почему же устанавливают временные пластиковые коронки:
- восстанавливается функция основных зубов (резцов, жевательных моляров, клыков);
- возвращается эстетика ротовой полости, что особенно важно для людей, работающих в общественных сферах;
- защищаются подготовленные (обточенные) зубы от патогенной микрофлоры, травм, жевательной нагрузки и температурных изменений до установки постоянных конструкций;
- предотвращается зарастание десневой лунки под имплантатом;
- сохраняется правильное положение опорных зубов в случае отсутствия элементов между ними;
- поддерживается четкая речь и привычная дикция.
Как правило, пластиковые коронки устанавливаются на срок от двух недель до двух-трех месяцев, однако в случае нехватки средств на более качественные варианты пациенты иногда носят такие протезы до пяти лет.
Врачи-стоматологи отмечают, что пластмассовые коронки являются популярным выбором для восстановления зубов благодаря своей доступности и эстетическим качествам. Они легко поддаются окрашиванию, что позволяет добиться естественного внешнего вида. Однако специалисты предупреждают о некоторых недостатках. Пластмассовые коронки менее прочные по сравнению с керамическими или металлическими аналогами, что может привести к их быстрому износу и необходимости замены. Кроме того, они могут быть более подвержены окрашиванию от пищи и напитков. Врачи рекомендуют тщательно взвешивать все плюсы и минусы, а также учитывать индивидуальные особенности пациента при выборе материала для коронки.
https://youtube.com/watch?v=NObg72ifdQI
Виды пластмассовых конструкций
Все изделия, изготовленные из данного материала, имеют ряд отличительных характеристик:
- метод производства (прессованные, литьевые);
- тип крепления (съемные, несъемные);
- срок эксплуатации (временные, постоянные).
Литьевые модели требуют высоких технологий и обеспечивают максимально плотное и точное прилегание к челюсти. Этот процесс полностью воспроизводит индивидуальные особенности ротовой полости, включая мягкие ткани и слизистую, что позволяет протезу максимально имитировать натуральные зубы.
Прессованные изделия изготавливаются быстрее и проще, однако это сказывается на их качестве. Такие модели рекомендуется использовать только для временного восстановления перед установкой постоянных коронок.
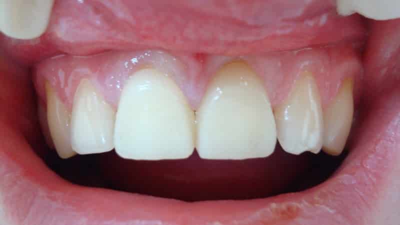
Теперь рассмотрим пластиковые зубные протезы (см. фото выше) в зависимости от типа фиксации.
Съемные протезы встречаются гораздо чаще. Если отсутствуют все элементы зубного ряда, то опорой для протеза служат десны, а крепежная система представлена вакуумной основой. В случае наличия опорных зубов с обеих сторон, изделие фиксируется с помощью крючков, замочков или металлических кламмеров, которые находятся в базисе. Они крепятся к соседним зубам и становятся практически незаметными для собеседника.
Кроме того, такие протезы могут фиксироваться с использованием невидимых аттачментов. Если отсутствует 1-2 зуба, часто применяется протез «бабочка».
| Характеристика | Преимущества | Недостатки |
|---|---|---|
| Материал | Акриловая пластмасса, композитные смолы | Менее прочные, чем керамика или металл |
| Эстетика | Хорошо имитируют естественный цвет зуба, подбираются под оттенок соседних зубов | Могут со временем менять цвет, окрашиваться от пищи и напитков |
| Стоимость | Относительно низкая, доступный вариант | Требуют более частой замены, чем другие виды коронок |
| Прочность | Удовлетворительная для временных коронок, выдерживают жевательную нагрузку | Подвержены сколам, трещинам, истиранию |
| Срок службы | От нескольких месяцев до 2-3 лет (временные), до 5 лет (постоянные) | Ограниченный срок службы по сравнению с керамическими или металлокерамическими коронками |
| Применение | Временные коронки, защита обточенного зуба, эстетическое восстановление передних зубов (редко) | Не рекомендуются для постоянного протезирования жевательных зубов из-за низкой прочности |
| Установка | Быстрая и простая, часто изготавливаются прямо в клинике | Могут требовать более частых коррекций и полировки |
| Биосовместимость | Хорошая, редко вызывают аллергические реакции | В редких случаях возможна индивидуальная непереносимость компонентов |
| Уход | Стандартная гигиена полости рта, избегать чрезмерных нагрузок | Требуют бережного отношения, избегать твердой пищи |
Положительные и негативные свойства пластика
Пластиковые коронки на передние и другие зубы (см. фото ниже) обладают рядом преимуществ, благодаря которым они стали популярными среди пациентов.
- Существует несколько простых технологий изготовления, что позволяет быстро восстановить эстетику зубного ряда.
- Доступная стоимость – это самый низкий ценовой сегмент на рынке протезирования.
- Временные коронки по разумной цене дают возможность пациенту адаптироваться к конструкции и протезу, а в случае возникновения побочных эффектов или отторжения можно легко заменить их на импланты с минимальными затратами времени и денег.
- Пластик является биологически совместимым и экологически чистым материалом, что снижает риск отторжения и аллергических реакций.
- Обеспечивают достаточную прочность и функциональность на протяжении заявленного производителем срока эксплуатации.
- Удовлетворяют эстетическим требованиям – протез практически не заметен для собеседника, так как искусственная эмаль полностью имитирует натуральную.
- Нагрузка при жевании и кусании распределяется равномерно.
- Уход за протезом не требует много времени и финансовых затрат.
- Коронки защищают обточенные опорные зубы перед установкой постоянного протезирования.
Если сравнивать, какие коронки лучше – керамические или пластиковые, то керамика, безусловно, имеет явные преимущества. Это связано с тем, что керамические коронки лишены множества недостатков, присущих пластиковым.
- Ограниченный срок службы. Производители обещают, что изделия будут служить до 1 года, но на практике их устанавливают на меньший срок. Лишь единицы могут носить пластиковые коронки до 5 лет.
- За этот период пластик быстро изнашивается, трескается и стирается. Он не выдерживает серьезных нагрузок, травм и ударов, а также повышенной жевательной нагрузки (например, раскусывание твердых предметов).
- Модели из пластика не подходят для профессиональных спортсменов и людей, работающих в экстремальных условиях.
- Пластик более токсичен и аллергенен по сравнению с керамикой.
- К сожалению, пористая структура пластика склонна впитывать пищевые пигменты и красители. Со временем белая эмаль на коронках теряет свой цвет, желтеет и покрывается пятнами, бактериальным налетом и зубным камнем. Чистка таких моделей возможна только в стоматологической клинике с использованием специального оборудования и средств, что является довольно хлопотным и затратным процессом.
- Кроме того, шершавая поверхность хорошо удерживает остатки пищи и запахи, создавая благоприятные условия для развития патогенной микрофлоры. Это может привести к воспалениям, заболеваниям, кариесу, образованию темного налета и неприятному запаху изо рта.
- Зубные коронки из пластика (отзывы ниже) не отличаются гибкостью и эластичностью, что может привести к натиранию и травмированию нежной слизистой оболочки рта. Это снижает комфорт при ношении протезов.
https://youtube.com/watch?v=Za39leAyuQk
Показания и противопоказания
Пластиковые коронки обычно используются для временного протезирования в ряде ситуаций:
- при лечении пародонтоза и пародонтита;
- если у зубов наблюдаются аномальные размеры, форма, текстура или цвет;
- для исправления дефектов и патологий передних зубов;
- для защиты подготовленных опорных зубов перед установкой постоянных протезов или имплантатов;
- при необходимости установки конструкций для людей с ограниченными финансовыми возможностями, включая социально уязвимые группы;
- в случаях травм, повреждений или разрушения зуба, когда требуется быстрое восстановление функциональности ротовой полости;
- при аномальном расположении зубов в ряду;
- после депульпации опорных зубов;
- для восстановления одного, нескольких или всех зубов.
Несмотря на множество показаний для использования, существуют и противопоказания для установки именно пластиковых коронок на жевательные и другие зубы.
Эти изделия не рекомендуется применять в следующих случаях:
- в детском возрасте;
- при занятиях спортом или в условиях экстремальной работы;
- при наличии аллергии на акрил, пластик или пластмассу;
- если имеются психические расстройства или патологии;
- при нарушениях прикуса;
- при несоблюдении гигиенических норм в ротовой полости;
- в случае воспалительных процессов, грибковых или вирусных инфекций, а также других заболеваний слизистой и зубов;
- если есть предрасположенность к бруксизму.
Способы изготовления пластиковых коронок
Бюджетные пластиковые изделия не требуют значительных вложений в оборудование, технологии и материалы.
Как правило, процесс сборки конструкции происходит либо в кабинете стоматолога, либо в зуботехнической лаборатории. Место, где была изготовлена конструкция, влияет на стоимость пластиковой коронки на зуб (отзывы можно найти ниже).
Рассмотрим, как происходит протезирование у стоматолога.
- В первую очередь врач создает слепок зуба с помощью силиконового композита.
- Зуб, на который будет устанавливаться коронка, предварительно обрабатывается (обтачивается и шлифуется до нужной формы).
- Затем в слепок заливается полимерная масса, после чего он устанавливается на опорный зуб. Масса должна затвердеть, после чего стоматолог может удалить слепок.
- На культе остается пластиковая коронка, которая тщательно шлифуется, стачивается и полируется до достижения естественного и комфортного для пациента вида и текстуры.
- Протез фиксируется на зубе с помощью стоматологического цемента.
В лаборатории процесс изготовления изделия выполняет зубной техник по следующему алгоритму:
- снимает слепок зубов;
- создаются гипсовые дубликаты обеих челюстей для обеспечения правильного прикуса и точной подгонки конструкции;
- затем система моделируется с использованием воска, после чего техник переходит к постоянному материалу – пластмассе;
- после завершения изготовления протез шлифуется и полируется;
- когда модель готова, стоматолог примеряет конструкцию на пациенте и, при необходимости, отправляет ее в лабораторию на доработку, а затем фиксирует с использованием подходящих крепежных материалов.
Срок службы всех пластиковых протезов варьируется от 1 до 3 лет, но это возможно только при условии регулярного и тщательного ухода, соблюдения рекомендаций врача и планового посещения стоматолога хотя бы раз в полгода.
https://youtube.com/watch?v=tXm91pHI9eY
Процесс установки пластмассовых коронок
Установка пластмассовых коронок на зубы – это важный этап в стоматологическом лечении, который требует внимательного подхода и соблюдения определенных шагов. Процесс начинается с предварительной консультации у стоматолога, который оценит состояние зуба и определит необходимость установки коронки. Врач проведет рентгенографию, чтобы убедиться, что коронка будет надежно фиксироваться и не повредит соседние зубы.
После диагностики стоматолог приступает к подготовке зуба. Это включает в себя удаление поврежденной ткани зуба, если таковая имеется, и формирование его поверхности для лучшего сцепления с коронкой. Важно, чтобы зуб был тщательно обработан, чтобы избежать дальнейших осложнений и обеспечить долговечность коронки.
Следующим шагом является снятие слепка с подготовленного зуба. Для этого используются специальные материалы, которые позволяют получить точную модель зуба. Слепок необходим для изготовления коронки, которая будет идеально соответствовать форме и размеру зуба пациента. В некоторых случаях стоматолог может использовать цифровые технологии для создания 3D-модели, что значительно ускоряет процесс.
После снятия слепка пациенту устанавливается временная коронка, которая защищает подготовленный зуб до момента получения постоянной пластмассовой коронки. Временная коронка также помогает сохранить эстетику улыбки и функциональность зуба на время ожидания.
Изготовление постоянной коронки может занять от нескольких дней до нескольких недель, в зависимости от сложности случая и загруженности лаборатории. Как только коронка готова, пациент возвращается в стоматологическую клинику для ее установки. Стоматолог проверяет соответствие коронки, проводит необходимые корректировки и фиксирует ее на зубе с помощью специального цемента.
После установки коронки пациенту могут дать рекомендации по уходу за ней и окружающими зубами. Важно соблюдать правила гигиены полости рта, чтобы избежать кариеса и заболеваний десен. Регулярные визиты к стоматологу также помогут контролировать состояние коронки и зубов в целом.
Уход за пластмассовыми коронками
Уход за пластмассовыми коронками требует особого внимания и соблюдения определенных рекомендаций, чтобы обеспечить их долговечность и сохранить здоровье зубов. Пластмассовые коронки, как правило, изготавливаются из акриловых или композитных материалов, которые имеют свои особенности в уходе.
Первое, на что стоит обратить внимание, это регулярная гигиена полости рта. Чистка зубов должна проводиться не менее двух раз в день с использованием мягкой зубной щетки и фторсодержащей зубной пасты. Это поможет предотвратить образование налета и кариеса как на коронках, так и на соседних зубах.
Важно также использовать зубную нить или интердентальные щетки для очистки межзубных промежутков. Это особенно актуально для коронок, так как они могут создавать труднодоступные места, где скапливаются остатки пищи и бактерии.
Следует избегать жесткой пищи и чрезмерного давления на коронки, так как это может привести к их повреждению или даже отклеиванию. Пластмассовые коронки менее прочные по сравнению с металлическими или керамическими, поэтому стоит быть осторожным при употреблении твердых продуктов, таких как орехи или карамель.
Кроме того, рекомендуется избегать использования зубочисток, так как они могут повредить коронки и десны. Вместо этого лучше использовать специальные средства для ухода за полостью рта, которые помогут сохранить здоровье десен и предотвратить воспалительные процессы.
Регулярные визиты к стоматологу также играют важную роль в уходе за пластмассовыми коронками. Специалист сможет оценить состояние коронок, провести профессиональную чистку и при необходимости выполнить ремонт или замену. Это поможет избежать серьезных проблем и продлить срок службы коронок.
Наконец, стоит помнить, что пластмассовые коронки могут со временем менять цвет и терять свою первоначальную эстетику. Поэтому важно следить за их состоянием и при необходимости обсуждать с врачом возможность их замены.
Сравнение с другими материалами для коронок
Пластмассовые коронки на зубы представляют собой один из популярных вариантов протезирования, и их использование имеет свои преимущества и недостатки по сравнению с другими материалами, такими как металл, керамика и композитные материалы. Важно рассмотреть каждый из этих вариантов, чтобы понять, в каких случаях пластмассовые коронки могут быть предпочтительными.
Металлические коронки известны своей прочностью и долговечностью. Они могут выдерживать значительные нагрузки и идеально подходят для задних зубов, где требуется высокая устойчивость к жевательным нагрузкам. Однако металлические коронки имеют свои недостатки: они могут вызывать аллергические реакции, а также имеют менее эстетичный вид по сравнению с пластмассовыми и керамическими коронками.
Керамические коронки являются более эстетичным вариантом, так как они могут имитировать естественный цвет зубов. Они также не вызывают аллергии и хорошо переносятся тканями рта. Однако керамика менее устойчива к механическим повреждениям и может трескаться или ломаться при сильных нагрузках. Кроме того, керамические коронки могут быть значительно дороже, чем пластмассовые.
Композитные коронки представляют собой промежуточный вариант между пластмассой и керамикой. Они обладают хорошими эстетическими свойствами и могут быть использованы для восстановления передних зубов. Однако их долговечность и прочность уступают металлическим коронкам, и они могут требовать частой замены.
Пластмассовые коронки, в свою очередь, имеют свои уникальные преимущества. Они легкие, относительно недорогие и могут быть быстро изготовлены и установлены. Пластмасса также позволяет достичь хороших эстетических результатов, особенно в области передних зубов. Однако стоит отметить, что пластмассовые коронки менее прочные и могут изнашиваться быстрее, чем коронки из других материалов. Они также могут быть более подвержены окрашиванию и повреждениям.
В заключение, выбор материала для коронок зависит от множества факторов, включая местоположение зуба, жевательную нагрузку, эстетические предпочтения пациента и бюджет. Пластмассовые коронки могут быть отличным вариантом для временного решения или для восстановления передних зубов, однако для долговечного и надежного протезирования стоит рассмотреть и другие материалы.




