Вкладка в зуб — важный элемент стоматологической реставрации, восстанавливающий поврежденные или разрушенные зубы перед установкой коронки. В статье рассмотрим, что такое вкладка, ее разновидности и преимущества, а также дадим советы по установке и уходу за ней. Также будет информация о том, что делать, если зуб под вкладкой начинает болеть. Статья полезна для тех, кто хочет узнать о современных методах восстановления зубов и сохранить здоровую улыбку.
Вкладки на зубы: что это такое
Вкладки представляют собой эффективное решение для восстановления зуба, который подвергся значительному разрушению. Их основная задача заключается в восстановлении формы и функциональности зуба, а также в защите его от дальнейших заболеваний. В современном стоматологическом мире используются высококачественные ортопедические и эстетически привлекательные вкладки, которые соответствуют самым строгим требованиям.
Эти конструкции представляют собой единый микропротез, который изготавливается по индивидуальному заказу в специализированных лабораториях. Вкладки заменяют поврежденные, отсутствующие или эстетически неудачные части зуба. Их можно устанавливать как на здоровые зубы, так и на имплантаты.
Вопрос о необходимости установки вкладки становится актуальным, когда зуб разрушен примерно на 70%. В таких случаях пломбирование или протезирование нецелесообразно, так как они не смогут обеспечить необходимую жевательную нагрузку. Это может привести к дальнейшему разрушению зуба и его удалению. Поэтому выбор между пломбой, вкладкой и коронкой основывается на индивидуальных показаниях.
Вкладки выглядят гораздо более привлекательно по сравнению с обычными пломбами. Они напоминают часть коренного зуба, сохраняя его канавки, бороздки, форму и цвет. Процесс их изготовления требует значительных временных затрат и тщательной работы. В конечном итоге вкладка должна идеально подходить к подготовленной полости.
Зачем нужны вкладки? Основным показанием для установки таких конструкций является серьезное поражение зуба кариесом. В некоторых случаях болезнь может настолько разрушить зуб, что после нескольких процедур удаления кариеса установка пломбы становится невозможной. Вкладки являются оптимальным решением для восстановления зуба.
Врачи-стоматологи подчеркивают важность правильного выбора вкладки под коронку, так как это напрямую влияет на долговечность и функциональность зубного протеза. Специалисты рекомендуют использовать вкладки из качественных материалов, таких как керамика или композит, которые обеспечивают хорошую эстетику и прочность. При выборе вкладки важно учитывать анатомические особенности зуба и степень его разрушения. Врачи советуют проводить предварительное обследование, чтобы определить оптимальный размер и форму вкладки. Также стоит обратить внимание на профессионализм стоматолога, который будет устанавливать коронку, так как точность работы играет ключевую роль в успешности всей процедуры. Правильный подход к выбору и установке вкладки поможет избежать осложнений и продлить срок службы коронки.
https://youtube.com/watch?v=jAoCIHsvVPI
Как устанавливают
Внедрение конструкций на один зуб осуществляется в несколько этапов. Сначала врач проводит визуальный осмотр и делает рентгеновский снимок. Затем выполняется необходимое лечение.
После завершения всех процедур пациенту снимают слепки, которые отправляются в специализированную лабораторию. Далее следует примерка готовых изделий и их установка. На изготовление всех необходимых конструкций может потребоваться от одной до двух недель. Временно устанавливается не постоянная вкладка, которую стоматолог удаляет при следующем визите, подгоняя изготовленную конструкцию под зуб. Она должна соответствовать цвету, прикусу и размеру.
При установке применяется местное обезболивание.
Многие интересуются: «На что устанавливаются вкладки?». Ортопедические устройства фиксируются на специальной смеси, обеспечивающей долговечность крепления. Все эти процедуры не могут быть выполнены за один сеанс. Создание протеза за несколько часов возможно только в том случае, если у врача есть все необходимые материалы и оборудование.
Вкладка или коронка: что выбрать? Этот вопрос волнует многих. Окончательное решение принимает стоматолог после тщательного индивидуального осмотра пациента. Специалист оценивает состояние зубов и окружающих тканей.
Что предпочтительнее: вкладка или пломба? Вкладка почти всегда является более оптимальным вариантом, чем пломба. Она обладает высокой износостойкостью и прочностью. Материал вкладки не теряет цвет со временем. Это устройство компенсирует не только небольшие дефекты зубных тканей, но и восстанавливает до пятидесяти процентов зуба.
Вкладка нецелесообразна при лечении кариеса молочных зубов, так как срок службы конструкции значительно превышает срок жизни молочных зубов.
Срок службы вкладок составляет примерно десять лет и зависит от используемого материала. Если пациент будет следовать всем рекомендациям врача, этот срок можно значительно продлить.
Когда стоит использовать вкладку:
- Если ткани в ротовой полости находятся в хорошем состоянии, оптимальным решением станет керамическая вкладка без «коронации». Это позволяет избежать препарирования и установить коронку на депульпированный зуб.
Когда лучше установить коронку:
- Если поверхности зубов пациента истончены, предпочтительнее устанавливать коронку. Она обеспечит наилучшее качество реставрации, так как зуб на коронке будет восстановлен с помощью вкладки, а не просто запломбирован.
| Аспект | Описание | Совет специалиста |
|---|---|---|
| Что такое вкладка под коронку? | Это микропротез, который восстанавливает значительную часть разрушенного зуба, служа опорой для будущей коронки. Изготавливается в зуботехнической лаборатории по индивидуальному слепку. | Вкладка предпочтительнее пломбы при значительном разрушении зуба (более 50%), так как обеспечивает большую прочность и долговечность конструкции. |
| Материалы для вкладок | Керамические (фарфоровые): эстетичны, биосовместимы, прочны. Металлические (сплавы): очень прочны, но менее эстетичны. Композитные: менее прочны, чем керамика, но более эстетичны, чем металл. | Выбор материала зависит от расположения зуба (фронтальный/жевательный), степени разрушения и индивидуальных предпочтений пациента. Керамика – оптимальный выбор для большинства случаев. |
| Этапы установки | 1. Подготовка зуба (удаление кариеса, формирование полости). 2. Снятие слепка. 3. Изготовление вкладки в лаборатории. 4. Примерка и фиксация вкладки. 5. Установка временной коронки (при необходимости). 6. Установка постоянной коронки. | Важно тщательно соблюдать гигиену полости рта на всех этапах. Не стесняйтесь задавать вопросы стоматологу о каждом шаге процедуры. |
| Преимущества вкладки | — Восстановление анатомической формы зуба. — Высокая прочность и долговечность. — Защита зуба от дальнейшего разрушения. — Равномерное распределение жевательной нагрузки. — Улучшение эстетики. | Вкладка значительно продлевает срок службы зуба, который в противном случае мог бы быть удален. |
| Недостатки и риски | — Более высокая стоимость по сравнению с пломбой. — Требует нескольких визитов к стоматологу. — Риск скола вкладки или коронки при чрезмерной нагрузке. — Возможность развития вторичного кариеса при плохой гигиене. | Регулярные профилактические осмотры и профессиональная гигиена полости рта помогут минимизировать риски. |
| Уход после установки | — Тщательная ежедневная гигиена (чистка зубов, использование зубной нити/ирригатора). — Избегание чрезмерных нагрузок на зуб (например, разгрызание орехов). — Регулярные визиты к стоматологу для осмотра. | Правильный уход – залог долговечности вкладки и коронки. При появлении дискомфорта или боли немедленно обратитесь к врачу. |
| Фото до и после | (В данной таблице невозможно разместить фото, но в реальной консультации стоматолог может показать примеры работ.) | Попросите стоматолога показать вам примеры работ с вкладками и коронками, чтобы иметь представление о конечном результате. |
Разновидности вкладок
Приспособления могут быть изготовлены из различных материалов, что влияет как на их стоимость, так и на качество. Все типы конструкций можно условно разделить на:
- керамические вкладки для зубов: на изображении видно, что они обладают высокими эстетическими качествами и стойкостью к износу;
- композитные материалы выделяются повышенной прочностью, привлекательным внешним видом и хорошей совместимостью с окружающими тканями;
- изделия из оксида циркония. Они имеют отличные эстетические характеристики, не подвержены усадке со временем, однако их стоимость значительно выше;
- металлические конструкции изготавливаются для коронок.
Также конструкции делятся на культевые и восстановительные. Последние предназначены для восстановления цвета и формы поврежденного зуба.
https://youtube.com/watch?v=F9tF83m9Or0
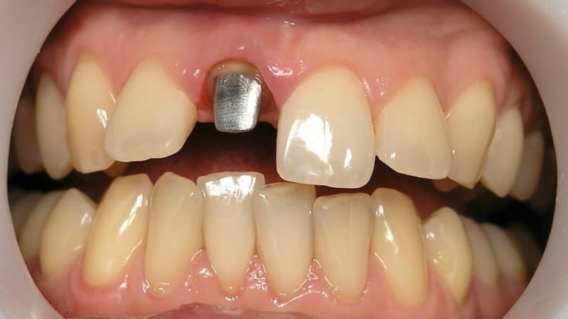
Культевая зубная вкладка под коронку: что это
Если состояние зубов пациента оставляет желать лучшего, культевая вкладка станет незаменимым решением. Иногда человек обращается к стоматологу в такой запущенной ситуации, когда проще удалить зуб и установить имплант. Однако современная стоматология предлагает множество возможностей, и если пациент хочет восстановить сильно поврежденный зуб, это вполне осуществимо с помощью культевого устройства.
Это специализированное изделие устанавливается с использованием специального цементного состава в подготовленные участки, куда в дальнейшем врач будет наращивать стенки зуба.
Такие устройства требуют нескольких визитов к стоматологу, и не всем врачам этот метод кажется удобным. Тем не менее, применение культевых вкладок обеспечивает надежную защиту от разрушения зуба в будущем. Зубы, восстановленные таким образом, могут служить человеку на протяжении всей жизни.
Преимущества данного метода заключаются в том, что вкладка равномерно распределяет нагрузку, выступая опорой для всей поверхности зуба и устанавливаясь в каждом канале. Это обеспечивает надежную плотность, что исключает появление микротрещин, в которые могут попасть пища или жидкость.
Что если болит зуб под вкладкой
Современные материалы позволяют создавать устройства, которые плотно прилегают к зубным тканям. Тем не менее, если у пациента наблюдается повышенная чувствительность, это может привести к дискомфорту. В таком случае стоит обратиться к стоматологу, чтобы избежать серьезных последствий, таких как полное разрушение зуба и его последующее выпадение.
Иногда недостаток опыта у врача или техника может привести к ошибкам в процессе изготовления или установки вкладки. Если конструкция не будет плотно прилегать, это может вызвать развитие кариеса. Однако чаще всего пациенты забывают, что у всех материалов есть срок службы, и вкладки не являются исключением.
Рекомендуется посетить стоматолога через десять лет для замены конструкции на новую. Важно отметить, что используемые материалы абсолютно безопасны и не представляют никакой угрозы для здоровья пациента.
Как ухаживать
Уход за зубами с использованием вкладок не отличается от обычных процедур. Ключевыми аспектами остаются: регулярность, правильность и продолжительность. При проведении профессиональной чистки, которая должна осуществляться дважды в год, необходимо очищать и полировать пломбы. Вкладки же не нуждаются в полировке.
https://youtube.com/watch?v=8i1wPgcnTBo
Преимущества и недостатки вкладок
Вкладки в зубы под коронки представляют собой один из современных методов восстановления поврежденных зубов. Они имеют свои преимущества и недостатки, которые стоит рассмотреть перед принятием решения о лечении.
Преимущества вкладок:
- Эстетика: Вкладки изготавливаются из материалов, которые максимально приближены к естественному цвету зуба, что позволяет достичь высоких эстетических результатов. Это особенно важно для передних зубов, где видимость реставрации играет ключевую роль.
- Долговечность: Вкладки, выполненные из керамики или композитных материалов, обладают высокой прочностью и устойчивостью к износу. При правильном уходе они могут служить много лет, не теряя своих свойств.
- Минимальная обработка зуба: В отличие от коронок, которые требуют значительного обтачивания зуба, вкладки позволяют сохранить больше здоровой ткани. Это особенно важно для поддержания здоровья зуба в долгосрочной перспективе.
- Функциональность: Вкладки восстанавливают не только эстетику, но и функциональность зуба, позволяя правильно распределять жевательную нагрузку и предотвращая дальнейшие повреждения.
Недостатки вкладок:
- Стоимость: Вкладки могут быть дороже, чем традиционные пломбы, из-за необходимости индивидуального изготовления и использования высококачественных материалов.
- Сложность установки: Процесс установки вкладки требует высокой квалификации стоматолога и может занять больше времени, чем установка обычной пломбы. Это связано с необходимостью точного снятия слепков и последующей примерки.
- Необходимость в предварительной обработке: Несмотря на то, что вкладки требуют меньшего обтачивания, зуб все равно должен быть подготовлен, что может быть неприменимо для некоторых пациентов с минимальными повреждениями.
- Риск отслоения: В редких случаях вкладки могут отклеиваться или трескаться, особенно если не соблюдаются рекомендации по уходу или если на зуб оказывается чрезмерная нагрузка.
Таким образом, выбор между вкладками и другими методами реставрации зубов должен основываться на индивидуальных потребностях пациента, состоянии зуба и рекомендациях стоматолога. Важно учитывать как преимущества, так и недостатки, чтобы достичь наилучшего результата в восстановлении зуба.
Показания и противопоказания для установки вкладок
Вкладки в зубы под коронки представляют собой важный элемент стоматологического лечения, который позволяет восстановить поврежденные или разрушенные зубы. Однако перед их установкой необходимо учитывать ряд показаний и противопоказаний, чтобы обеспечить максимальную эффективность и безопасность процедуры.
Показания для установки вкладок:
- Сильно разрушенные зубы: Вкладки применяются в случаях, когда зубы имеют значительные повреждения, которые не могут быть восстановлены с помощью обычных пломб. Это может быть вызвано кариесом, травмами или другими заболеваниями.
- Необходимость в эстетическом восстановлении: Вкладки позволяют добиться высокой эстетики, что особенно важно для передних зубов. Они могут быть изготовлены из различных материалов, включая керамику и композитные смолы, что позволяет подобрать идеальный цвет и текстуру.
- Устойчивость к нагрузкам: Вкладки обеспечивают высокую прочность и долговечность, что делает их идеальными для восстановления жевательных зубов, которые подвергаются значительным механическим нагрузкам.
- Подготовка к установке коронки: Вкладки могут служить основой для установки коронки, обеспечивая дополнительную поддержку и стабильность.
Противопоказания для установки вкладок:
- Наличие активного кариеса: Перед установкой вкладок необходимо полностью устранить все очаги кариеса. Если кариес не лечен, это может привести к дальнейшему разрушению зуба и снижению эффективности вкладки.
- Патологии десен: Заболевания десен, такие как пародонтит, могут стать противопоказанием для установки вкладок, так как они могут негативно сказаться на здоровье зуба и его устойчивости.
- Недостаток зубной ткани: Если зуб разрушен настолько, что не остается достаточного количества здоровой ткани для крепления вкладки, то ее установка может быть нецелесообразной.
- Аллергия на материалы: Некоторые пациенты могут иметь аллергические реакции на определенные материалы, используемые для изготовления вкладок. В таких случаях необходимо выбирать альтернативные варианты.
Таким образом, перед принятием решения об установке вкладок важно проконсультироваться со стоматологом, который сможет оценить состояние зубов и предложить оптимальное решение, учитывающее индивидуальные особенности пациента.
Сравнение вкладок с другими методами восстановления зубов
Восстановление зубов – важная задача в стоматологии, и выбор метода лечения зависит от состояния зуба, его расположения и других факторов. Вкладки, как один из способов восстановления, имеют свои преимущества и недостатки по сравнению с другими методами, такими как пломбы и коронки.
Вкладки представляют собой индивидуально изготовленные конструкции, которые устанавливаются в зубной канал после его подготовки. Они могут быть выполнены из различных материалов, включая композитные смолы и керамику, что позволяет достичь высокой эстетики и прочности. В отличие от обычных пломб, которые часто используются для заполнения небольших полостей, вкладки подходят для более серьезных повреждений зуба, когда требуется восстановление его формы и функции.
Одним из основных преимуществ вкладок является их долговечность. При правильном уходе и соблюдении рекомендаций стоматолога, вкладки могут служить много лет, в то время как пломбы могут требовать замены через несколько лет из-за износа или потери прочности. Кроме того, вкладки обеспечивают более надежную герметизацию, что снижает риск повторного кариеса.
Сравнивая вкладки с коронками, можно отметить, что коронки чаще всего используются для восстановления сильно разрушенных зубов, когда вкладка не может обеспечить необходимую поддержку. Коронка охватывает весь зуб, обеспечивая максимальную защиту, но процесс ее установки более инвазивен и требует значительного обтачивания зуба. Вкладки, в свою очередь, требуют меньшего удаления здоровой ткани зуба, что делает их более щадящим вариантом.
Однако, несмотря на свои преимущества, вкладки имеют и некоторые недостатки. Например, их установка требует более сложной подготовки зуба и может занять больше времени, чем установка пломбы. Кроме того, стоимость вкладок может быть выше, чем у традиционных пломб, что также следует учитывать при выборе метода восстановления.
В заключение, выбор между вкладками, пломбами и коронками зависит от индивидуальных особенностей пациента и состояния зуба. Консультация с квалифицированным стоматологом поможет определить наиболее подходящий метод восстановления, учитывая все аспекты, включая долговечность, эстетику и стоимость лечения.



