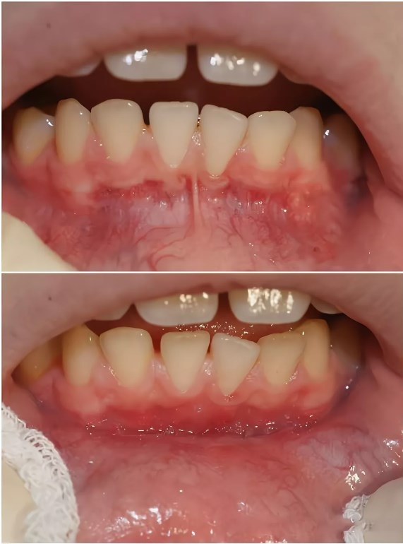
Уздечка нижней губы — тонкая складка ткани, соединяющая губу с десной. Аномалии уздечки могут вызывать проблемы у детей и взрослых. Подрезание уздечки, или френотомия, необходимо, если уздечка слишком короткая или плотная, что затрудняет речь, кормление и может привести к стоматологическим проблемам.
В статье рассмотрим причины, симптомы, указывающие на необходимость вмешательства, противопоказания, методы операции и рекомендации по уходу после неё. Эта информация поможет родителям и взрослым, столкнувшимся с данной проблемой, принять обоснованное решение о френотомии.
Функции уздечки и причины проведения операции
В ротовой полости располагаются несколько тканевых складок, известных как уздечки. Одна из них находится на языке, а две — на верхней и нижней губах.
Все три уздечки выполняют ряд важных функций, среди которых:
- формирование правильного прикуса;
- обеспечение четкости произношения;
- поддержание здоровья слизистой оболочки рта;
- создание условий для комфортного приема пищи;
- поддержка активности лицевых мышц.
Подрезание уздечки верхней губы у детей и взрослых, кстати, имеет аналогичные показания с подрезанием нижней. Существует несколько основных причин, по которым такая операция может быть рекомендована:
- Трудности с грудным вскармливанием. Укороченная уздечка губы мешает младенцу надежно захватить сосок, что приводит к его выскальзыванию и затрудняет процесс кормления, что может вызвать отказ от грудного вскармливания.
- Проблемы с пережевыванием пищи. При переходе на твердую пищу короткая уздечка нижней губы может затруднять нормальное жевание, в результате чего ребенок будет проглатывать большие куски, что негативно скажется на его пищеварении.
- Деформация зубного ряда. Укороченная уздечка, по мере роста челюсти, будет все больше тянуть десну, что может привести к образованию щели между передними резцами, известной как диастема. Это не только эстетическая проблема, но и затруднение при жевании, так как кусочки пищи могут застревать в щели, вызывая дискомфорт.
- Если операция по подрезанию уздечки не была выполнена до появления коренных зубов, это может негативно сказаться на формировании правильного прикуса. Уздечка будет постоянно тянуть десну, что повлечет за собой изменения в челюсти.
- Натянутая губа также может повлиять на произношение определенных звуков. Нормальная дикция может нарушиться, что в дальнейшем будет сложно исправить на занятиях с логопедом.
- Проблемы с уздечкой губы могут привести к таким заболеваниям, как гингивит, пародонтит, кариес и воспаление уздечки нижней губы и десен. Это происходит из-за того, что плотно прижатая к десне губа затрудняет гигиену полости рта, что делает невозможным удаление всех бактерий.
Отзывы о подрезании уздечки нижней губы у взрослых, как правило, положительные, однако процедуру рекомендуется проводить в детском возрасте, когда дефект еще не привел к различным патологиям в развитии челюсти и ротовой полости.
Врачи отмечают, что пластика уздечки нижней губы может быть необходима как для детей, так и для взрослых. У детей такая операция часто проводится в случае выраженной уздечки, которая может мешать правильному развитию речи и зубочелюстной системы. Специалисты подчеркивают, что раннее вмешательство может предотвратить более серьезные проблемы в будущем.
У взрослых же показания к операции могут включать дискомфорт, затруднения при гигиене полости рта или эстетические причины. Врачи рекомендуют подходить к вопросу индивидуально, учитывая все аспекты здоровья пациента. Важно, чтобы решение о проведении пластики принималось совместно с квалифицированным специалистом, который сможет оценить все риски и преимущества. Пластика уздечки, как правило, проходит быстро и с минимальным восстановительным периодом, что делает ее доступной и безопасной процедурой для всех возрастов.
https://youtube.com/watch?v=Hd6bZkRs_h0
Сроки и противопоказания
Своевременное устранение патологии может предотвратить нарушения многих важных процессов в развитии челюсти и ротовой полости ребенка. Обычно операцию по разрезанию уздечки следует проводить не ранее 5-7 лет, когда у ребенка уже появятся все 4 постоянных центральных резца. В противном случае это может повредить зачатки коренных зубов, которые еще не скоро проявятся.
Однако уздечка нижней губы не всегда заметна у каждого человека. Даже если вы заметили её у своего ребенка, резекция потребуется только в случае слишком высокого прикрепления или короткой длины.
Пока нет ясных признаков, мешающих нормальному развитию или вызывающих дискомфорт в области уздечки нижней губы, операция не является настоятельной. Тем не менее, в раннем возрасте самостоятельно выявить какие-либо симптомы бывает сложно, поэтому очень важно привести ребенка на профилактический осмотр к детскому стоматологу в возрасте 2-3 лет.
Существует также ряд противопоказаний к проведению данной процедуры. В большинстве случаев это стандартные ограничения, которые касаются большинства хирургических вмешательств. К ним относятся:
- несоблюдение гигиенических норм в полости рта;
- наличие опухолей в челюстных тканях;
- психические расстройства;
- плохая свёртываемость крови;
- обострение инфекционных и хронических заболеваний.
| Аспект | Уздечка нижней губы: Пластика у взрослых | Уздечка нижней губы: Пластика у детей |
|---|---|---|
| Показания к операции | Нарушения дикции (шепелявость), рецессия десны, пародонтит, ортодонтическое лечение (для стабилизации результатов), эстетические проблемы. | Нарушения сосания (у младенцев), проблемы с приемом пищи, нарушения формирования речи, ортодонтические проблемы (диастема между центральными резцами, неправильный прикус), рецессия десны. |
| Возраст проведения | В любом возрасте, когда выявлены показания. | Обычно после прорезывания постоянных центральных резцов (6-8 лет), но при выраженных функциональных нарушениях может проводиться и раньше (у младенцев). |
| Виды операций | Френулопластика (Z-образная, V-образная), френулэктомия (полное иссечение уздечки). | Френулопластика (Z-образная, V-образная), френулэктомия. |
| Анестезия | Местная анестезия, реже общая (при сопутствующих заболеваниях или по желанию пациента). | Местная анестезия, у маленьких детей может применяться общая анестезия. |
| Послеоперационный период | Незначительный отек, дискомфорт, рекомендации по гигиене полости рта, ограничение твердой пищи на несколько дней. | Незначительный отек, дискомфорт, рекомендации по гигиене полости рта, ограничение твердой пищи, контроль за заживлением. |
| Возможные осложнения | Кровотечение, инфекция, расхождение швов, образование рубцов, рецидив. | Кровотечение, инфекция, расхождение швов, образование рубцов, рецидив. |
| Прогноз | Благоприятный, при соблюдении рекомендаций врача. | Благоприятный, при своевременном проведении операции и соблюдении рекомендаций. |
Методы проведения операции
Пластика уздечки нижней губы может выполняться различными методами, среди которых выделяются френэктомия, френотомия и френулопластика. Выбор конкретной техники зависит от индивидуальных особенностей пациента, его возраста и ряда других факторов.
Если уздечка представлена в виде тонкой прозрачной пленки, не соединенной с альвеолярным отростком, то она подлежит поперечному рассечению, после чего края зашиваются вдоль. В случае, когда уздечка широкая, выполняется рассечение по гребню до десны между центральными резцами, а края раны ушиваются в растянутом состоянии.
Операция, как правило, занимает не более 20 минут и проводится под местной анестезией. Швы изготавливаются из биодеградируемого материала и исчезают самостоятельно через несколько дней. Это делает реабилитационный период достаточно коротким, и вскоре пациент может вернуться к привычному образу жизни.
В настоящее время также доступна возможность проведения операции на любой уздечке во рту с использованием медицинского диодного лазера. К преимуществам данного метода относятся мгновенное остановление кровотечения, высокий уровень стерильности, отсутствие боли и необходимость в наложении швов. Обычно этот метод наиболее востребован для решения сложных медицинских задач.
https://youtube.com/watch?v=To5mDeWdN3U
https://youtube.com/watch?v=yRNb9YMcuns
Реабилитация после операции
Реабилитация после пластики уздечки нижней губы является важным этапом, который требует внимательного подхода как со стороны пациента, так и со стороны медицинского персонала. Процесс восстановления может варьироваться в зависимости от возраста пациента, индивидуальных особенностей организма и сложности проведенной операции.
Первоначально после операции пациенту может быть рекомендовано соблюдать определённый режим. В первые дни после вмешательства важно избегать чрезмерной активности, чтобы не вызвать кровотечение или смещение швов. Обычно в этот период назначаются обезболивающие препараты для уменьшения дискомфорта.
Важным аспектом реабилитации является соблюдение гигиенических норм. Уход за полостью рта становится особенно актуальным, так как в области операции могут скапливаться бактерии, что увеличивает риск инфекции. Рекомендуется использовать антисептические растворы для полоскания рта, а также избегать жесткой и острой пищи, которая может травмировать заживающие ткани.
В течение первой недели после операции следует ограничить физическую активность, избегая занятий спортом и других нагрузок, которые могут привести к повышению давления в области шва. Важно также следить за состоянием швов: при появлении покраснения, отека или выделений необходимо незамедлительно обратиться к врачу.
После снятия швов, что обычно происходит через 7-10 дней, реабилитация продолжается, но уже с меньшими ограничениями. В этот период важно продолжать следить за состоянием уздечки и при необходимости выполнять специальные упражнения, которые помогут улучшить подвижность губ и предотвратить возможные осложнения.
Для детей реабилитация может проходить немного иначе. Родители должны внимательно следить за состоянием ребенка, обеспечивая ему комфорт и минимизируя риск травмирования области операции. Важно объяснить ребенку, почему нельзя трогать или тереть губы, а также следить за его питанием, чтобы избежать дискомфорта.
В целом, реабилитация после пластики уздечки нижней губы требует терпения и внимательности. При правильном подходе и соблюдении всех рекомендаций врача, процесс восстановления проходит успешно, и пациенты могут наслаждаться улучшением своей речи и внешнего вида.
Осложнения и риски
Пластика уздечки нижней губы, как и любая хирургическая процедура, может сопровождаться определенными осложнениями и рисками. Важно понимать, что хотя большинство операций проходят успешно, существует вероятность возникновения нежелательных последствий, которые могут повлиять на здоровье пациента.
Одним из наиболее распространенных осложнений является кровотечение. В процессе операции может произойти повреждение кровеносных сосудов, что приведет к образованию гематом или значительной потере крови. В таких случаях может потребоваться дополнительное вмешательство для остановки кровотечения.
Инфекция – еще одно серьезное осложнение, которое может возникнуть после пластики уздечки. Несмотря на соблюдение всех стерильных условий, существует риск попадания патогенных микроорганизмов в операционную рану. Симптомами инфекции могут быть покраснение, отек, боль в области операции и повышение температуры. В таких случаях может потребоваться курс антибиотиков или повторная операция для дренирования гноя.
После операции также возможно развитие рубцов. У некоторых пациентов может наблюдаться гипертрофия или келоидные рубцы, которые могут потребовать дополнительного лечения, включая лазерную терапию или инъекции стероидов.
Кроме того, существует риск нарушения чувствительности в области нижней губы. Это может быть связано с повреждением нервных окончаний во время операции. В большинстве случаев чувствительность восстанавливается со временем, однако в редких случаях могут возникнуть длительные или постоянные изменения.
Не менее важным аспектом является возможность рецидива проблемы. У некоторых пациентов уздечка может вновь укоротиться, что потребует повторной операции. Это может быть связано с индивидуальными анатомическими особенностями или недостаточным удалением ткани во время первой процедуры.
Наконец, стоит отметить, что психологические аспекты также могут играть роль в процессе восстановления. Некоторые пациенты могут испытывать стресс или беспокойство по поводу внешнего вида после операции, что может повлиять на их общее самочувствие и качество жизни.
Таким образом, перед принятием решения о пластике уздечки нижней губы важно тщательно взвесить все риски и обсудить их с квалифицированным специалистом. Это поможет минимизировать вероятность осложнений и обеспечить успешный результат операции.
Психологические аспекты и влияние на качество жизни
Уздечка нижней губы, или френулум, представляет собой небольшую складку слизистой оболочки, которая соединяет нижнюю губу с десной. В некоторых случаях уздечка может быть слишком короткой или расположенной неправильно, что может привести к различным проблемам, как функциональным, так и эстетическим. Психологические аспекты, связанные с аномалиями уздечки, могут оказывать значительное влияние на качество жизни как детей, так и взрослых.
У детей, имеющих короткую уздечку нижней губы, могут возникать трудности с кормлением, что может привести к недостаточному набору веса и другим проблемам со здоровьем. Эти трудности могут вызывать у родителей беспокойство и стресс, что в свою очередь может негативно сказаться на эмоциональном состоянии семьи. Кроме того, дети могут испытывать дискомфорт при разговоре или игре, что может привести к снижению самооценки и социальной изоляции.
У взрослых проблемы с уздечкой нижней губы могут проявляться в виде трудностей при произношении некоторых звуков, что может повлиять на профессиональную деятельность и личные отношения. Люди с аномалиями уздечки могут чувствовать себя неуверенно в социальных ситуациях, особенно если их речь становится предметом насмешек или недопонимания. Это может привести к развитию комплексов и даже депрессии.
Психологические последствия могут также включать в себя страх перед стоматологическими процедурами, связанными с коррекцией уздечки. Многие пациенты могут испытывать тревогу по поводу возможных болевых ощущений или осложнений, что может стать препятствием для обращения за медицинской помощью. Важно, чтобы стоматологи и хирурги, занимающиеся пластикой уздечки, учитывали эти аспекты и предоставляли пациентам полную информацию о процедуре, ее необходимости и возможных результатах.
Коррекция уздечки нижней губы может значительно улучшить качество жизни пациентов. После успешной операции многие пациенты отмечают улучшение в речи, уменьшение дискомфорта и повышение уверенности в себе. Это может привести к улучшению социальных взаимодействий и общей удовлетворенности жизнью. Важно, чтобы как родители, так и взрослые пациенты понимали, что решение проблемы с уздечкой может не только улучшить физическое состояние, но и оказать положительное влияние на психологическое здоровье.
