В статье рассмотрим бюгельный протез Квадротти (Quattro Ti) на одну челюсть — современное решение для восстановления утраченных зубов. Обсудим преимущества и недостатки этой модели, а также процесс ее изготовления, чтобы читатели поняли, как проходит протезирование. Также рассмотрим показания и противопоказания к использованию протеза, что поможет пациентам принять обоснованное решение о целесообразности процедуры. Эта информация будет полезна как пациентам, так и стоматологам, стремящимся предложить качественные и эффективные решения в области протезирования.
Что собой представляет система
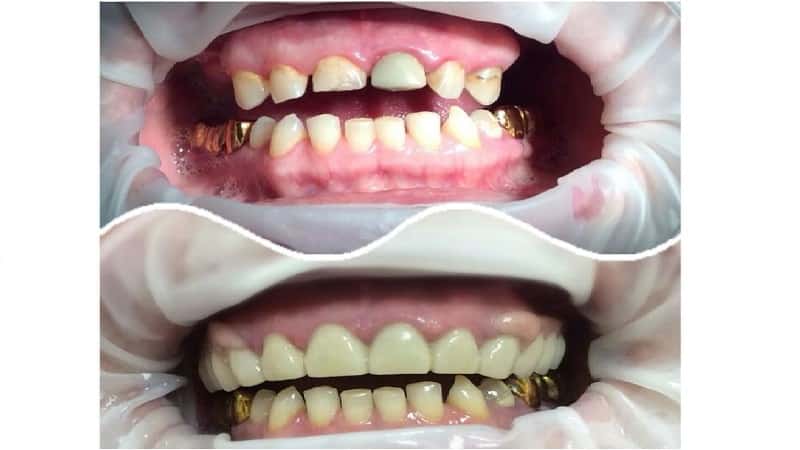
Конструкция Квадротти представляет собой многофункциональный съемный протез, который идеально подходит для замены зубного ряда как одной, так и обеих челюстей, а также для восстановления отдельных утраченных зубов. Он изготавливается из легкого материала — нейлонового пластика. При воздействии высоких температур достигается улучшенная мягкость и гибкость этого компонента.
Десневая часть протеза выполнена из нейлонового базиса, который может быть в естественных оттенках (розовый или красноватый) или полупрозрачным. Коронки чаще всего изготавливаются из керамики или металлокерамики, реже — из пластмассы. К базису прикрепляются специальные элементы (замки, кламеры и т.д.), которые позволяют надежно установить протез на соседние здоровые зубы. Эти элементы также изготавливаются из пластика, что исключает травмирование мягких тканей, повреждение эмали и обеспечивает безопасность в процессе использования.
При установке протеза на передний ряд зубов все крепежные элементы изготавливаются в белом цвете, что позволяет им гармонично сочетаться с естественным оттенком эмали. В то время как для конструкции, предназначенной для боковых зубов, крепления выполняются в розовом цвете, что придает челюсти более естественный вид. Однако в этом случае здоровые зубы могут визуально казаться меньше из-за розовых креплений, которые сливаются с десной.
Врачи отмечают, что нейлоновый протез Квадротти на одну челюсть представляет собой современное решение для пациентов с частичной утратой зубов. Специалисты подчеркивают его легкость и комфорт в носке, что делает его привлекательным для многих. Нейлоновые протезы обладают высокой эстетикой, что позволяет пациентам не стесняться своей улыбки. Кроме того, они не вызывают аллергических реакций, что является важным аспектом для людей с чувствительной слизистой оболочкой. Однако врачи также предупреждают о необходимости регулярного контроля и ухода за протезом, чтобы избежать возможных осложнений. В целом, нейлоновый протез Квадротти считается надежным и эффективным вариантом для восстановления функциональности и эстетики зубного ряда.
https://youtube.com/watch?v=rVvkIu1eqV0
Как изготавливают протезы Квадротти
Процесс создания протезов не сильно отличается от других методов протезирования.
Сначала стоматолог совместно с дантистом обсуждают различные варианты производителей систем, материалы, доступные гарантии и другие важные аспекты. Также выбирается оттенок десневого базиса и коронок с использованием стоматологической шкалы.
Затем дантист наносит специальный состав на челюсть пациента. После застывания этого материала можно получить точный слепок челюсти, учитывающий все индивидуальные особенности и патологии. Профессионалы делают слепок всей челюсти, независимо от наличия или отсутствия зубов, что позволяет создать протез квадротти, максимально соответствующий анатомическим особенностям, удобный и надежный.
Слепок служит основой для формирования оттиска, на основе которого технолог изготавливает индивидуальный съемный протез.
Через несколько недель, необходимое время для создания модели, пациент возвращается на прием, где врач устанавливает конструкцию и проводит первичную подгонку. При необходимости протез может быть отправлен на доработку. Этот процесс продолжается до тех пор, пока пациент не почувствует максимальный комфорт при использовании конструкции.
После окончательной фиксации протеза врач предоставляет рекомендации по уходу за ним.
Важно! Если в ротовой полости выявлены грибковые или вирусные инфекции, а также хронические заболевания в стадии обострения, необходимо полностью вылечить все симптомы перед установкой протеза.
При правильной установке и регулярном уходе модель Квадротти прослужит вам не менее 5 лет. На протяжении всего срока эксплуатации она не теряет цвет, не впитывает пищевые красители и другие пигменты (такие как никотин, кофе, вино и т.д.), а также не сохраняет неприятные запахи от продуктов.
В случае появления небольших трещин, сколов или других повреждений конструкции, а также при возникновении дискомфорта во время ношения, следует незамедлительно записаться на прием к дантисту для подгонки.
| Характеристика | Описание | Преимущества для пациента |
|---|---|---|
| Материал | Высококачественный термопластичный нейлон (полиамид) | Гипоаллергенность, отсутствие металлических элементов, биосовместимость |
| Конструкция | Гибкий базис, кламмеры из того же материала, что и базис | Комфорт при ношении, отсутствие травмирования десен и опорных зубов, эстетичность |
| Фиксация | За счет плотного прилегания к десне и охвата опорных зубов гибкими кламмерами | Надежная фиксация без ощущения инородного тела, равномерное распределение жевательной нагрузки |
| Эстетика | Полупрозрачный материал, имитирующий цвет десны, отсутствие металлических элементов | Высокая эстетичность, незаметность протеза во рту, естественный вид улыбки |
| Комфорт | Легкость, эластичность, отсутствие необходимости в обточке опорных зубов | Быстрая адаптация, отсутствие дискомфорта при разговоре и приеме пищи, минимальное воздействие на дикцию |
| Показания | Частичная адентия на одной челюсти, аллергия на металлы, пародонтит | Возможность восстановления зубного ряда при наличии противопоказаний к другим видам протезирования |
| Уход | Ежедневная чистка специальными средствами, регулярные визиты к стоматологу | Простота в уходе, сохранение гигиены полости рта, продление срока службы протеза |
Плюсы и минусы модели
Нейлоновый протез Квадротти для одной челюсти обладает множеством преимуществ, характерных как для съемных, так и для несъемных конструкций:
- В процессе изготовления используется легкий, мягкий и гибкий пластик, который предотвращает натирание мягких тканей и делает ношение протеза комфортным.
- Крепежные элементы также изготавливаются из эластичного пластика, что позволяет безопасно фиксировать их на здоровых зубах без риска повреждения эмали.
- Установка данной системы не требует обтачивания соседних зубов для крепления.
- Привыкание к инородной конструкции происходит быстро, а уход за ней прост и понятен.
- Материалы, используемые для производства протеза, редко вызывают аллергические реакции и считаются гипоаллергенными.
- Базис и коронки не впитывают пищевые красители и запахи, сохраняют первоначальный цвет под воздействием температуры и времени.
- Ношение протезов Квадротти не приводит к искажению речи.
- Пациент может выбрать ароматизированную добавку, которая добавляется в процессе производства, придавая конструкции приятный вкус.
- Прочность и надежность системы позволяют использовать ее даже спортсменам.
- Нагрузка на элементы распределяется равномерно, что исключает износ при активном пережевывании и надкусывании.
Однако, как и все системы протезирования, бюгельная конструкция имеет свои недостатки.
Она, как и другие подобные изделия, не выдерживает значительных нагрузок (удары, ушибы, травмы при падении, раскусывание твердых предметов и т.д.). Следует отметить, что природные зубы также не всегда справляются с такими нагрузками.
К недостаткам можно отнести и высокую стоимость производства, особенно в сочетании с керамическими или металлокерамическими коронками. Конечная цена увеличивается за счет дорогих растворов для ухода за протезом, которые необходимо регулярно приобретать.
Кроме того, данный вид протезирования имеет ряд противопоказаний, поэтому не может считаться универсальным.
Наконец, стоит отметить, что срок службы изделия ограничен. При условии правильного ухода, соблюдения всех рекомендаций врача и регулярных посещений стоматолога (что, к сожалению, происходит не всегда) зубной протез Квадротти может прослужить около 7-10 лет, если установлены керамические или металлокерамические коронки.
https://youtube.com/watch?v=-jYGAZoqgQU
Как ухаживать за конструкцией
После установки протеза врач подробно объяснит вам, как правильно ухаживать за ним. Этот тип конструкции отличается простотой в уходе.
Прежде всего, важно помнить, что систему необходимо очищать после каждого приема пищи. Ее следует аккуратно извлекать из челюсти и промывать под струей теплой воды, а при необходимости использовать щетку для удаления остатков пищи и известкового налета.
Зубы также нужно чистить не реже двух раз в день. Рекомендуется выбирать щетку с мягкой щетиной, что особенно важно для чувствительной эмали, чтобы избежать повреждений конструкции.
Перед сном стоматологи советуют извлекать съемные протезы и помещать их в очищающий раствор. Что касается модели Квадротти, ее можно оставить на чистой поверхности, предварительно промыв водой. Растворы следует использовать хотя бы раз в несколько дней, так как они дезинфицируют поверхность, уничтожая вредные микроорганизмы и бактерии, которые могут находиться в порах материала. Растворы рекомендуется помещать в специальные темные и непрозрачные емкости (можно использовать кружку), чтобы защитить их от света, который может повредить нейлоновый каркас.
Не забывайте регулярно посещать своего стоматолога раз в несколько месяцев для проверки и подгонки системы, а также для выявления возможных трещин, дефектов и деформаций.
Показания и противопоказания к протезированию системой Квадротти
Протезирование зубов представляет собой серьезное вмешательство, которое может вызвать стресс для организма, а также нагрузку на здоровые зубы и десны, что иногда приводит к отторжению, различным заболеваниям и неприятным ощущениям.
Чтобы минимизировать риски, данную процедуру следует проводить только по рекомендации стоматолога при наличии следующих показаний:
- Замещение полного зубного ряда на одной из челюстей или нескольких отсутствующих зубов.
- Применение в детском протезировании, а также для пациентов с высокой физической активностью (спорт, специфические профессии).
- Восстановление зубов при наличии заболеваний или патологий мягких тканей.
- Использование в качестве временного протезирования, которое позволяет восстановить функциональность и эстетический вид зубного ряда до установки постоянных имплантов.
Существует множество противопоказаний для установки съемного протеза квадротти, поэтому важно ознакомиться с полным списком:
- Наличие активных заболеваний, незалеченного кариеса или незапломбированных корневых каналов.
- Тяжелые хронические заболевания ротовой полости с выраженной симптоматикой.
- Аллергические реакции на материалы конструкции и дезинфицирующие растворы.
- Невозможность поддерживать регулярную гигиену ротовой полости и очищать протез.
- Высокая стираемость зубов, их хрупкость и крошение.
- Повышенная чувствительность эмали.
- Заболевания и патологии костной ткани челюсти.
- Отсутствие здоровых опорных зубов.
- Нарушения прикуса.
- Патологии уздечки языка.
- Наличие психических заболеваний или нарушений нервной системы.
- Короткое дно ротовой полости.
Если у вас есть хотя бы одно из противопоказаний, стоит отказаться от данного метода протезирования. В остальных случаях система Квадротти представляет собой современное и доступное решение, позволяющее вернуть пациенту красивую улыбку и восстановить функциональность зубов.
https://youtube.com/watch?v=RVl0qv3A8_Q
Сравнение с другими типами протезов
Нейлоновые протезы, такие как Квадротти, становятся все более популярными в стоматологической практике благодаря своим уникальным характеристикам и преимуществам. Однако для того чтобы понять, насколько они эффективны и удобны, важно сравнить их с другими типами протезов, такими как акриловые, металлические и керамические.
1. Материал и комфорт
Нейлоновые протезы изготавливаются из гибкого и легкого материала, что обеспечивает высокий уровень комфорта при ношении. В отличие от акриловых протезов, которые могут вызывать дискомфорт и раздражение десен, нейлоновые протезы лучше адаптируются к форме челюсти и менее склонны к возникновению аллергических реакций. Металлические протезы, хотя и прочные, могут быть тяжелыми и менее удобными для пациента.
2. Эстетика
Нейлоновые протезы обладают высокой эстетической привлекательностью благодаря своей способности имитировать естественные зубы и десны. Они могут быть выполнены в различных цветах и оттенках, что позволяет добиться максимально естественного внешнего вида. В сравнении с металлическими протезами, которые могут быть заметны из-за своего блеска, нейлоновые протезы выглядят более естественно и эстетично.
3. Прочность и долговечность
Хотя нейлоновые протезы обладают хорошей прочностью, они могут быть менее долговечными по сравнению с металлическими и керамическими протезами. Металлические конструкции, как правило, более устойчивы к механическим повреждениям и износу. Однако нейлоновые протезы менее подвержены трещинам и сколам, что делает их более безопасными в использовании.
4. Уход и обслуживание
Уход за нейлоновыми протезами не требует особых усилий. Они легко чистятся и не требуют специальных средств для ухода. В отличие от акриловых протезов, которые могут окрашиваться от пищи и напитков, нейлоновые протезы менее подвержены изменению цвета. Металлические протезы могут требовать более тщательного ухода, чтобы предотвратить коррозию и потемнение.
5. Стоимость
Стоимость нейлоновых протезов может варьироваться в зависимости от производителя и сложности изготовления. В целом, они могут быть дороже акриловых, но дешевле керамических и металлических. Важно учитывать не только первоначальные затраты, но и долговечность и комфорт, которые они обеспечивают.
Таким образом, нейлоновый протез Квадротти представляет собой интересный вариант для пациентов, ищущих баланс между комфортом, эстетикой и стоимостью. Каждый из них имеет свои преимущества и недостатки, и выбор зависит от индивидуальных потребностей и предпочтений пациента.
Отзывы пациентов и стоматологов
Нейлоновые протезы, такие как Квадротти, становятся все более популярными среди пациентов и стоматологов благодаря своим уникальным свойствам и преимуществам. Отзывы пациентов о таких протезах часто подчеркивают их легкость и комфорт в носке. Многие отмечают, что не ощущают дискомфорта, который может возникать при использовании традиционных акриловых протезов. Нейлоновые протезы, благодаря своей гибкости, лучше адаптируются к форме челюсти, что снижает риск натирания и появления язв.
Стоматологи также положительно отзываются о нейлоновых протезах Квадротти. Они отмечают, что такие протезы обладают высокой эстетикой, так как материал может быть окрашен в различные оттенки, что позволяет добиться максимально естественного вида. Кроме того, нейлоновые протезы менее подвержены образованию налета и зубного камня, что упрощает уход за ними и способствует поддержанию гигиеничности.
Однако, несмотря на множество положительных отзывов, некоторые пациенты сообщают о необходимости привыкания к новым протезам. В первые дни ношения может возникать ощущение инородного тела, что является нормальным процессом адаптации. Стоматологи рекомендуют не спешить с выводами и дать организму время на привыкание.
Некоторые пациенты также отмечают, что нейлоновые протезы могут быть менее прочными по сравнению с традиционными вариантами. В редких случаях может возникнуть необходимость в замене протеза из-за износа или повреждений. Тем не менее, большинство стоматологов уверены, что при правильном уходе и соблюдении рекомендаций по эксплуатации, нейлоновые протезы могут служить долго и эффективно.
В целом, отзывы о нейлоновых протезах Квадротти свидетельствуют о том, что они являются отличным выбором для многих пациентов, обеспечивая комфорт, эстетику и легкость в уходе. Стоматологи, в свою очередь, подчеркивают важность индивидуального подхода к каждому пациенту и необходимость консультации перед выбором типа протеза.
Стоимость и доступность протезов Квадротти
Протезы Квадротти, выполненные из нейлона, становятся все более популярными благодаря своей легкости, прочности и эстетическим качествам. Они обеспечивают высокий уровень комфорта и естественный внешний вид, что делает их привлекательным выбором для пациентов, нуждающихся в протезировании. Однако, несмотря на их преимущества, не все стоматологические клиники предлагают такие протезы, что может ограничить доступность для некоторых пациентов.
Для получения протеза Квадротти необходимо пройти несколько этапов. Сначала пациент должен обратиться к стоматологу для консультации, где будет проведена оценка состояния зубов и челюсти. На этом этапе врач может рекомендовать дополнительные исследования, такие как рентгенография или компьютерная томография, для более точной диагностики.
После этого, если пациент подходит для установки протеза, начинается процесс изготовления. Обычно он включает в себя снятие слепков челюсти, выбор цвета и формы протеза, а также его индивидуальную настройку. Время изготовления может варьироваться от нескольких дней до нескольких недель, в зависимости от загруженности лаборатории и сложности случая.
Важно также учитывать, что многие стоматологические клиники предлагают различные варианты финансирования и рассрочки, что может сделать протезы Квадротти более доступными для пациентов с ограниченным бюджетом. Некоторые клиники сотрудничают с медицинскими страховыми компаниями, что также может снизить общую стоимость лечения.
Таким образом, несмотря на то, что стоимость протезов Квадротти может быть высокой, их доступность и преимущества делают их привлекательным вариантом для многих пациентов, нуждающихся в качественном протезировании зубов. Рекомендуется заранее проконсультироваться с несколькими специалистами, чтобы выбрать оптимальный вариант, соответствующий как финансовым возможностям, так и медицинским показаниям.




