Некариозные поражения твердых тканей зуба — важная проблема в детской стоматологии, возникающая до и после прорезывания зубов. Эти состояния, такие как гипоплазия и гиперплазия, влияют на здоровье зубов и полости рта ребенка. В статье рассмотрим классификацию некариозных поражений, их симптомы и последствия, что поможет родителям и специалистам своевременно выявлять и предотвращать осложнения.
Виды патологий
Существует несколько патологий эмали, которые развиваются без участия вредных микроорганизмов, включая бактерии, вызывающие кариес.
Классификация некариозных поражений зубов делит их на две основные группы: до появления зубов и после.
К детским патологиям, возникающим в процессе фолликулярного развития и изменения зубных тканей, относятся:
- гиперплазия и гипоплазия эмали;
- эндемический флюороз;
- патологическое прорезывание (изменения в положении зуба, его структуре, цвете эмали и т.д.);
- генетические и врожденные аномалии.
После появления зубов могут возникать повреждения не только зачатков, но и твердых тканей и дентина. К таким патологиям можно отнести:
- повышенная стираемость и износ зубной ткани;
- эрозия тканей;
- некроз зубной ткани;
- аномальная пигментация эмали, образование мягкого микробного налета и темного зубного камня;
- клиновидный дефект;
- механические травмы;
- гиперестезия (повышенная чувствительность) эмали.
Врачи-стоматологи отмечают, что некариозные поражения твердых тканей зуба представляют собой серьезную проблему, требующую внимательного подхода. Эти изменения могут быть вызваны различными факторами, такими как эрозия, абразия и флюороз. Специалисты подчеркивают, что ранняя диагностика и профилактика этих состояний играют ключевую роль в сохранении здоровья зубов. Например, эрозия, вызванная кислотами из пищи или напитков, может привести к значительному разрушению эмали. Врачи рекомендуют регулярные осмотры и использование защитных средств, таких как фторсодержащие пасты. Кроме того, важно информировать пациентов о правильной гигиене полости рта и сбалансированном питании, что поможет предотвратить развитие некариозных поражений и сохранить зубы в хорошем состоянии.
https://youtube.com/watch?v=CUxw-cx4brs
Гипоплазия и гиперплазия
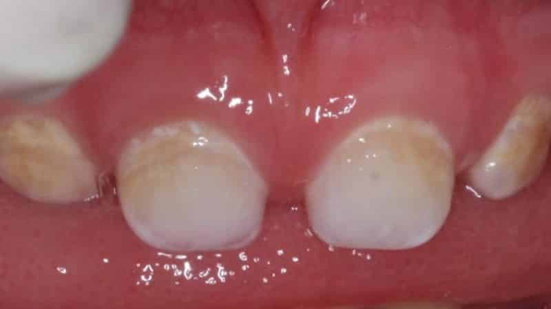
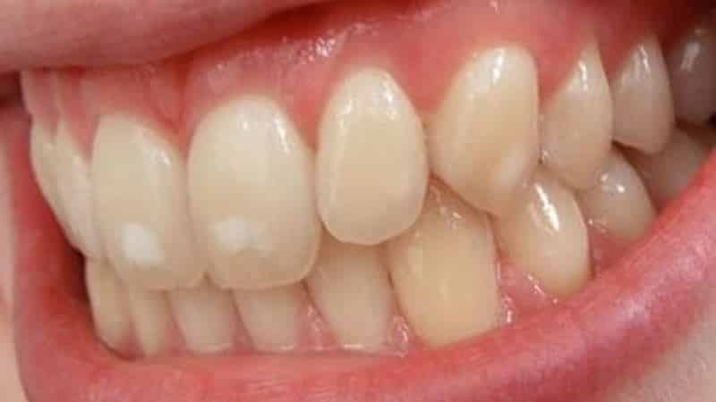
Гипоплазия — это аномалия развития зубной эмали, возникающая из-за нарушений обменных процессов в окружающих тканях и зачатках зуба. Данная патология является необратимой и не поддается лечению.
Снаружи заболевание проявляется в виде множества пятен, деформаций и углублений на зубной поверхности. Параметры поражений, такие как размер, форма и глубина, могут варьироваться. В некоторых случаях стоматологи фиксируют недоразвитие эмали в полостях или на жевательных выступах.
Цветовые оттенки пятен обычно находятся в светлом диапазоне: от белых и прозрачных до желтоватых. Края поражений имеют четкие контуры, а размеры симметричны аналогичным зубам на противоположной стороне. Поверхность дефектов может быть гладкой, с глянцевым или матовым финишем, в зависимости от степени нарушения минерализации.
Лечение данной патологии включает восстановление обменных процессов в тканях и нормализацию минерального обмена. Также применяется местная терапия с использованием 75% пасты на основе фторида натрия, которую необходимо втирать в пораженные участки. В стоматологической практике эмаль обрабатывают фторсодержащим лаком, который защищает эмаль от повреждений и способствует реминерализации.
Гиперплазия также относится к некариозным поражениям зубов, которые возникают до их прорезывания. В этом случае заболевание вызывается избыточным минеральным обменом в зачатках зубов, что приводит к чрезмерному развитию твердых тканей (так называемые «эмалевые капли»). Поражения чаще всего наблюдаются в области шейки и корня зуба.
Внешний вид дефекта напоминает бугорок или округлый выступ, который по форме схож с каплей. Он состоит из эмали, а также слоя цемента или дентина, внутри которого располагается участок пульпы.
Симптомы заболевания не установлены, как и функциональные нарушения, поэтому гиперплазия рассматривается в основном как визуальная аномалия.
| Вид некариозного поражения | Причины возникновения | Клинические проявления |
|---|---|---|
| Флюороз | Избыточное поступление фтора в организм в период формирования зубов | Меловидные пятна, полосы, крапинки на эмали, в тяжелых случаях — эрозии, дефекты эмали, изменение формы зубов |
| Гипоплазия эмали | Нарушения обмена веществ в период формирования зубов (инфекционные заболевания, рахит, травмы, прием некоторых лекарств) | Белые или желтоватые пятна, борозды, ямки на эмали, в тяжелых случаях — полное отсутствие эмали на отдельных участках |
| Эрозия эмали | Воздействие кислот (из пищи, напитков, желудочного сока при рефлюксе, профессиональные вредности) | Убыль эмали, гладкая, блестящая поверхность, повышенная чувствительность зубов |
| Клиновидный дефект | Чрезмерная нагрузка на зубы (неправильный прикус, бруксизм), неправильная техника чистки зубов, заболевания пародонта | Дефект эмали и дентина в пришеечной области зуба, имеющий форму клина, повышенная чувствительность |
| Патологическая стираемость | Чрезмерная нагрузка на зубы (бруксизм, неправильный прикус), вредные привычки (грызение ногтей, карандашей), профессиональные вредности | Убыль твердых тканей зуба, укорочение коронковой части, изменение формы зубов, повышенная чувствительность |
| Некроз твердых тканей зуба | Воздействие химических веществ (кислоты, щелочи), лучевая терапия, некоторые системные заболевания | Разрушение твердых тканей зуба, изменение цвета, повышенная чувствительность, боль |
| Травма зуба | Механическое воздействие (удар, падение) | Сколы, трещины эмали, переломы коронки или корня зуба, вывихи, ушибы |
Эндемический флюороз
Это заболевание проявляется повышенной пигментацией зубной эмали, что приводит к образованию характерных меловидных пятен. Причиной поражения является избыточное содержание фтора в организме пациента, что часто связано с качеством питьевой воды в определенных регионах.
Обычно недуг начинает развиваться в раннем детстве, когда ребенок употребляет фторированную воду.
Светлые пятна имеют матовую текстуру и выглядят тускло, что связано с нарушением светопреломления в эмали. При концентрации фтора от 1,5 до 2 мг на литр возможно появление множественных пятен желтоватого или даже темно-коричневого цвета. Визуально такие поражения напоминают гнилые и неухоженные зубные коронки.
В медицине выделяют несколько форм флюороза, некоторые из которых сопровождаются изменениями в форме коронок, образованием эрозий, зонами стирания и надломами зубов. Повреждения могут также затрагивать дентин.
Для предотвращения развития этого заболевания в регионах с высоким содержанием фтора в воде предпринимаются меры по снижению его концентрации. Это может включать замену источников воды, смешивание вод из разных источников или строительство станций по очистке воды, которые удаляют фтор.
Родителям рекомендуется ограничить искусственное вскармливание младенцев и ранний прикорм, если они живут в эндемичных зонах. При необходимости введения прикорма лучше использовать молоко, промышленные соки или очищенную воду из других регионов.
Также для профилактики флюороза важно обеспечить правильное питание всей семьи. Рацион должен включать достаточное количество белковой пищи, овощей и фруктов, натуральных соков, а также витаминов группы В, А и С. Полезно употребление солей кальция и фосфора. Из рациона следует исключить продукты с высоким содержанием фтора, такие как жирные сорта мяса, морская и океаническая рыба, сливочное масло и крепкий чай.
Что касается гигиенических процедур, рекомендуется использовать зубные пасты на основе глицерофосфата кальция, которые не содержат фтористых компонентов.
Лечение включает шлифовку эмали и, при необходимости, пломбирование дефектов с использованием фотополимерных композитов.
https://youtube.com/watch?v=HlELcD4msgI
Аномальное развитие и прорезывание зубов
Среди некариозных заболеваний твердых тканей зубов выделяются проблемы, связанные с прорезыванием отдельных зубов. Эти нарушения могут быть вызваны неправильным расположением зачатков, задержкой в их развитии и прорезывании, а также сращением корней нескольких зубов. Часто такие дефекты сопровождаются перикороноритом, что является воспалительным процессом в мягких тканях.
В некоторых случаях наблюдается преждевременное прорезывание зубов, которое может быть связано с ускоренным развитием челюсти. Молочные зубы, которые прорезались слишком рано, подлежат ампутации.
Также среди патологий можно встретить сверхкомплектные зубы, которые имеют неправильную форму и располагаются как в зубном ряду, так и вне его, а также адентия, характеризующаяся неполным зубным рядом и частичным отсутствием зубов.
Изменение цвета молочных зубов может быть связано с гемолитическим заболеванием у новорожденных. Билирубин накапливается в твердых тканях, что приводит к их окрашиванию в различные оттенки, включая зеленый, желтый, синий и фиолетовый.
Наследственные факторы также могут приводить к патологическим изменениям клеток, что сказывается на формировании дентина. Эти нарушения могут быть следствием генетических заболеваний, таких как болезнь Лобштейна-Фролика, или врожденных дефектов, например, дисплазии.
Лечение данной группы заболеваний включает в себя использование современных материалов для покрытия коронок (фарфор, металл и т.д.) и применение ортопедических конструкций, таких как протезы и брекеты.
Патологии развивающиеся на сформированных зубах
Ниже представлены основные виды некариозных поражений зубов, которые могут возникать после прорезывания, начиная с дошкольного возраста.
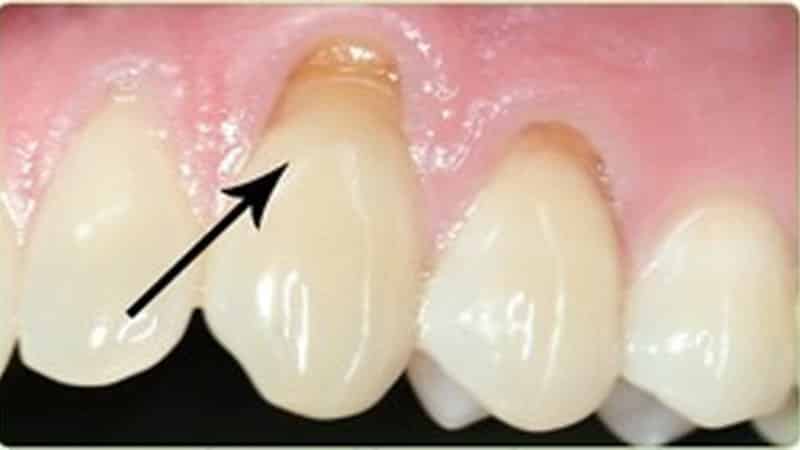
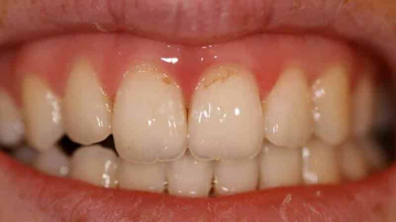
- Пигментация эмали. Это состояние может проявляться в виде твердых отложений или мягкого микробного налета. Эти отложения состоят из инородных веществ, которые различаются по цвету и структуре. Мягкий налет формируется в результате активности микрофлоры ротовой полости и, если не проводить лечение, затвердевает, превращаясь в темный камень. Данная проблема чаще всего связана с недостаточной гигиеной полости рта. В некоторых случаях отложения могут быть вызваны деятельностью грибков и вирусов.
Пигментация эмали может возникать под воздействием внутренних факторов. Например, розоватый оттенок может появиться после перенесенного гриппа или холеры, желтый – после желтухи, а серовато-желтые пятна могут возникнуть в результате длительного приема тетрациклиновых антибиотиков. Тусклость эмали также может наблюдаться при отмирании пульпы и гнилостных процессах в дентинных каналах. Среди внешних факторов, влияющих на цвет эмали, можно выделить пищевые и лекарственные пигменты, а также смолы от табака.
-
Увеличенное стирание зубов. Это явление связано с ежедневными жевательными нагрузками и может быть как возрастным, так и преждевременным. Преждевременный износ коронок может быть вызван неправильным строением челюсти, использованием протезов и имплантов, а также несбалансированным рационом, в котором преобладает грубая и волокнистая пища.
-
Клиновидный дефект. Существует мнение, что его возникновение может быть связано с проблемами в эндокринной, нервной, сердечно-сосудистой и пищеварительной системах, а также с энцефалитом. К осложнениям этого состояния относятся обнажение шейки зуба, отступление десны и повышенная чувствительность эмали. Лечение включает в себя прием витаминно-минеральных комплексов для укрепления эмали и снижения ее чувствительности. Также может быть назначено местное лечение с использованием глицерофосфата и глюконата кальция. В случае глубоких дефектов может потребоваться пломбирование трещин или установка искусственных коронок.
-
Эрозия эмали. При этой патологии твердые ткани зуба постепенно истощаются и разрушаются. Ускорение этого процесса может происходить из-за регулярного употребления кислых и соленых продуктов, а также использования жестких щеток и зубного порошка для гигиены. Кроме того, на развитие заболевания могут влиять дисфункция щитовидной железы, психические и нервные расстройства, подагра.
Все перечисленные заболевания могут начинаться бессимптомно и длительное время не вызывать беспокойства у пациента. Чтобы избежать их прогрессирования и дорогостоящего лечения в будущем, рекомендуется посещать стоматолога не реже одного раза каждые 4-6 месяцев для профилактического осмотра.
https://youtube.com/watch?v=OClPD1HTxvw
Клинические проявления некариозных поражений
Некариозные поражения твердых тканей зуба представляют собой разнообразные изменения, которые не связаны с кариозным процессом, но могут существенно влиять на здоровье зубов и полости рта в целом. Эти поражения могут проявляться в различных формах и иметь разные клинические характеристики, что требует внимательного подхода к их диагностике и лечению.
Одним из наиболее распространенных типов некариозных поражений является эрозия зубов. Она возникает в результате химического воздействия на зубную эмаль, часто вызванного кислотами, содержащимися в пище или напитках, а также в результате гастроэзофагеальной рефлюксной болезни. Клинически эрозия проявляется в виде гладких, блестящих участков на поверхности зубов, которые могут быть чувствительными к температурным изменениям и химическим раздражителям.
Еще одним видом некариозных поражений являются абразия и атрофия. Абразия зубов возникает в результате механического воздействия, например, из-за неправильной техники чистки зубов или использования жестких зубных щеток. Она проявляется в виде истончения эмали и образования вмятин на поверхности зубов. Атрофия, в свою очередь, связана с потерей твердой ткани зуба, что может быть вызвано различными факторами, включая возрастные изменения и недостаток минералов в организме. Клинически атрофия может проявляться в виде уменьшения высоты зуба и изменения его формы.
Некариозные поражения также могут включать флюороз, который возникает в результате избыточного потребления фтора в период формирования зубов. Клинически флюороз проявляется в виде белых пятен, полос или коричневых пятен на зубах, что может негативно сказываться на эстетике улыбки и вызывать повышенную чувствительность зубов.
Кроме того, следует упомянуть о гипоплазии эмали, которая представляет собой недостаток минерализации эмали в процессе ее формирования. Это состояние может быть вызвано различными факторами, включая генетические предрасположенности, инфекции или недостаток питательных веществ. Гипоплазия проявляется в виде участков с измененной текстурой и цветом эмали, что также может привести к повышенной чувствительности зубов и их предрасположенности к кариесу.
Важно отметить, что клинические проявления некариозных поражений могут варьироваться в зависимости от их типа и степени выраженности. В некоторых случаях они могут быть асимптомными, в то время как в других могут вызывать значительный дискомфорт и требовать вмешательства стоматолога. Поэтому регулярные профилактические осмотры и внимание к состоянию зубов играют ключевую роль в своевременной диагностике и лечении этих состояний.
Диагностика некариозных поражений
Диагностика некариозных поражений твердых тканей зуба представляет собой важный этап в стоматологической практике, так как эти поражения могут привести к серьезным осложнениям, если не будут своевременно выявлены и устранены. Некариозные поражения включают в себя различные состояния, такие как эрозия, абразия, атрофия и флюороз, которые требуют особого внимания и специфических методов диагностики.
Первым шагом в диагностике является тщательный осмотр полости рта. Стоматолог обращает внимание на состояние эмали, наличие дефектов, изменение цвета зубов и другие визуальные признаки. Важно учитывать анамнез пациента, включая информацию о его привычках, таких как употребление кислых продуктов, курение и гигиенические привычки, которые могут способствовать развитию некариозных поражений.
Для более точной диагностики могут использоваться различные методы визуализации. Рентгенография позволяет выявить скрытые изменения в структуре зуба и костной ткани, которые могут быть связаны с некариозными процессами. В некоторых случаях может потребоваться использование компьютерной томографии для более детального изучения состояния зубов и окружающих тканей.
Кроме того, стоматологи могут применять специальные тесты, такие как тест на чувствительность зубов, чтобы определить степень повреждения твердых тканей. Это может помочь в оценке состояния эмали и дентинной ткани, а также в выявлении возможных осложнений, таких как пульпит.
Лабораторные исследования также могут сыграть важную роль в диагностике. Анализ слюны на уровень минералов и pH может дать представление о предрасположенности пациента к некариозным поражениям. Например, низкий уровень кальция и фосфора может указывать на риск эрозии.
Важно отметить, что диагностика некариозных поражений требует комплексного подхода, включающего как клинические, так и инструментальные методы. Своевременное выявление и правильная интерпретация результатов диагностики позволяют стоматологам разработать эффективный план лечения и профилактики, что в конечном итоге способствует сохранению здоровья зубов и полости рта пациента.
Методы профилактики и лечения
Некариозные поражения твердых тканей зуба представляют собой разнообразные состояния, которые могут привести к повреждению эмали и дентинной ткани без участия кариозного процесса. К таким поражениям относятся эрозия, абразия, атрофия и гипоплазия эмали. Профилактика и лечение этих состояний требуют комплексного подхода, включающего как изменение образа жизни, так и профессиональные стоматологические вмешательства.
Профилактика некариозных поражений
Профилактика некариозных поражений начинается с осознания факторов риска и их минимизации. Основные методы профилактики включают:
- Правильная гигиена полости рта: Регулярная чистка зубов дважды в день с использованием фторсодержащих зубных паст помогает укрепить эмаль и снизить риск эрозии и абразии.
- Сбалансированное питание: Ограничение потребления кислых и сладких продуктов, а также соблюдение режима питания, богатого витаминами и минералами, способствует поддержанию здоровья зубов.
- Использование защитных средств: Применение фторсодержащих ополаскивателей и гелей может помочь в укреплении эмали и защите от эрозии.
- Регулярные стоматологические осмотры: Профилактические визиты к стоматологу позволяют выявить ранние признаки некариозных поражений и принять меры до их прогрессирования.
Лечение некариозных поражений
Лечение некариозных поражений зависит от их типа и степени тяжести. Основные методы лечения включают:
- Реминерализация: Процедуры, направленные на восстановление минералов в эмали, могут включать использование фторидов, кальция и фосфатов. Эти вещества помогают укрепить эмаль и предотвратить дальнейшее разрушение.
- Фторирование: Профессиональное фторирование в стоматологическом кабинете может быть рекомендовано для пациентов с повышенным риском некариозных поражений.
- Использование композитных материалов: В случаях значительного повреждения эмали может потребоваться восстановление зуба с помощью композитных материалов, которые обеспечивают эстетичный и функциональный результат.
- Коррекция привычек: Важно выявить и скорректировать вредные привычки, такие как бруксизм (скрежетание зубами) или неправильное использование зубных щеток, которые могут способствовать абразии.
- Хирургическое вмешательство: В редких случаях, когда некариозные поражения приводят к значительному разрушению зуба, может потребоваться хирургическое вмешательство для восстановления его структуры.
Таким образом, профилактика и лечение некариозных поражений твердых тканей зуба требуют комплексного подхода, включающего как индивидуальные меры, так и профессиональные стоматологические процедуры. Своевременное обращение к стоматологу и соблюдение рекомендаций по уходу за полостью рта помогут сохранить здоровье зубов на долгие годы.




