Камни на зубах, или зубной камень, — это затвердевшие отложения, которые могут негативно сказаться на здоровье полости рта. В статье рассмотрим причины образования зубного камня и методы его профилактики и лечения. Понимание механизмов формирования зубного камня и его последствий поможет сохранить здоровье зубов и десен, а также избежать стоматологических заболеваний.
Строение зубного камня
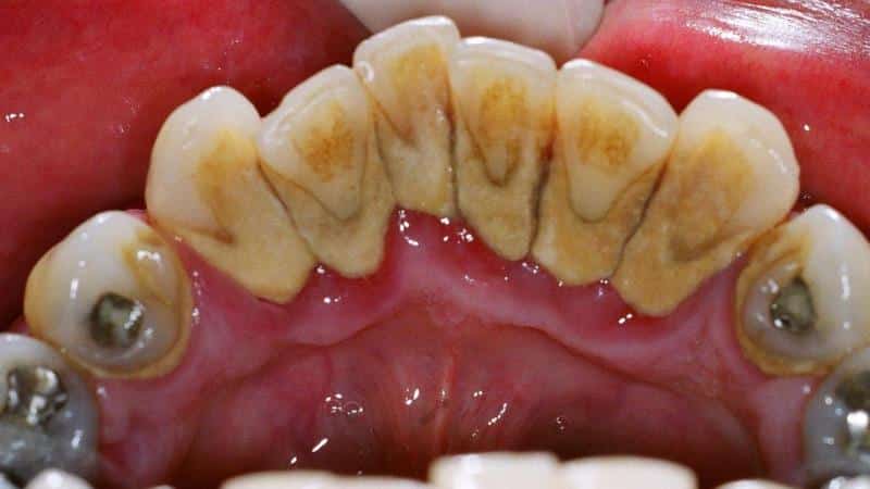
Камень на зубах изначально представляет собой микробный налет, который прошел процесс минерализации и стал твердым, изменив цвет, консистенцию и иногда даже запах.
Стоматологи выделяют две основные формы зубного камня:
- Поддесневой — это известковые и микробные отложения, которые образуются в десневых карманах и остаются незаметными для обычного человека. Обычно их выявляют во время обследования пародонта специалистом.
- Наддесневой – это привычные темные участки, которые располагаются на жевательных зубах, резцах, молярах и других зубах, и их можно заметить при обычном осмотре ротовой полости в домашних условиях.
Зубные отложения состоят из неорганических компонентов (примерно 80%) и органических (до 20%). Неорганическая часть включает карбонат и фосфат кальция, соли, фтор, пигменты и другие химические элементы. Органическая составляющая состоит из лейкоцитов, белков, полисахаридов, нормальной и патогенной микрофлоры, отмерших клеток эпителия, остатков пищи и прочего.
Камни на зубах, или зубной камень, образуются в результате минерализации налета, который скапливается на поверхности зубов. Врачи-стоматологи отмечают, что основными факторами, способствующими образованию зубного камня, являются недостаточная гигиена полости рта, неправильное питание и генетическая предрасположенность. Налет, состоящий из остатков пищи и бактерий, при отсутствии регулярной чистки зубов затвердевает, превращаясь в камень. Врачи подчеркивают важность регулярных визитов к стоматологу для профессиональной чистки, а также соблюдения правил гигиены, включая чистку зубов дважды в день и использование зубной нити. Это поможет предотвратить не только образование камней, но и другие стоматологические проблемы.
https://youtube.com/watch?v=06NcQWOwRQE
Как возникает налет и камень на зубах
После еды микроорганизмы, обитающие в ротовой полости, начинают активно размножаться на остатках пищи, застревающих в щелях, трещинах и промежутках между зубами. Особенно они предпочитают сладкие и мучные продукты, богатые простыми углеводами. Это приводит к удвоению слоя бактериального налета. Кроме того, бактерии выделяют ферменты, которые действуют как естественный клей, позволяя им прочно прикрепляться к эмали и объединяться в колонии. Внешний вид этого налета проявляется в виде мягкой белесой или слегка желтоватой массы, которую легко можно удалить с помощью зубной щетки.
Таким образом, можно сделать вывод, что основными факторами, способствующими образованию зубного камня, являются бактерии ротовой полости и продукты их жизнедеятельности.
После формирования мягких отложений они продолжают накапливаться, постепенно минерализуясь и превращаясь в твердые образования. Процесс кальцификации налета происходит благодаря белкам и солям кальция, содержащимся в слюне и бактериальной массе.
Кроме того, микроорганизмы выделяют различные токсины и продукты своей жизнедеятельности, которые оседают в образующемся зубном камне. Эти вещества могут вызывать воспаление в мягких тканях, способствуя выделению зубо-десневого секрета, что, в свою очередь, обеспечивает бактериям дополнительное питание. Если воспалительные процессы становятся серьезными и приводят к таким заболеваниям, как пародонтит, пародонтоз или гингивит, скорость образования камней значительно возрастает.
| Причина образования камней на зубах | Механизм образования | Профилактика |
|---|---|---|
| Недостаточная гигиена полости рта | Накопление зубного налета (бактерий, остатков пищи), который со временем минерализуется под воздействием солей слюны. | Регулярная и тщательная чистка зубов (минимум 2 раза в день), использование зубной нити, ополаскивателей. |
| Неправильное питание | Употребление большого количества сладкой, крахмалистой пищи, газированных напитков, которые способствуют размножению бактерий и образованию налета. | Ограничение потребления сахара и быстрых углеводов, включение в рацион твердых овощей и фруктов, молочных продуктов. |
| Курение | Никотин и смолы изменяют состав слюны, делая ее более вязкой, что способствует быстрому образованию налета и его минерализации. | Отказ от курения. |
| Нарушение обмена веществ | Некоторые системные заболевания (например, сахарный диабет) или нарушения обмена веществ могут влиять на состав слюны и скорость образования зубного камня. | Контроль основного заболевания, консультация с врачом. |
| Неправильный прикус или скученность зубов | Затрудняет эффективную чистку зубов, создавая труднодоступные места для скопления налета. | Ортодонтическое лечение для исправления прикуса. |
| Использование некоторых лекарственных препаратов | Некоторые медикаменты могут влиять на состав слюны или вызывать сухость во рту, что способствует образованию налета. | Консультация с врачом о возможных побочных эффектах, усиление гигиены. |
| Генетическая предрасположенность | У некоторых людей состав слюны или особенности эмали могут способствовать более быстрому образованию зубного камня. | Усиленная гигиена, регулярные профессиональные чистки. |
| Недостаточное слюноотделение (ксеростомия) | Слюна играет важную роль в смывании остатков пищи и нейтрализации кислот. Недостаток слюны способствует накоплению налета. | Употребление достаточного количества воды, использование средств для стимуляции слюноотделения (по рекомендации врача). |
Причины появления зубных камней
Мы уже обсудили, как формируется зубной камень, и пришли к выводу, что основным фактором его появления является активность бактерий, вызванная нерегулярной гигиеной полости рта.
Ситуация довольно проста: поел (особенно сладкого или мучного), не почистил зубы, и создал идеальные условия для размножения микробов. Если при этом не заметил и не удалил мягкий налет с помощью качественной пасты, то готовься к его минерализации.
Эта проблема также касается тех, кто чистит зубы быстро и не обращает внимания на труднодоступные участки рта. В результате уже через два часа после еды на этих участках могут образоваться пищевые бляшки, которые идеально подходят для формирования микробного налета.
Особое внимание к гигиене необходимо уделять владельцам брекетов, протезов и коронок, так как камень может образовываться как на них, так и под ними. Это также касается плохо отшлифованных пломб, кап и других ортодонтических конструкций. Кроме того, нерегулированный прикус может способствовать образованию камней из-за неправильного расположения зубов в ротовой полости.
В среднем, по этим причинам зубной камень может формироваться в течение полугода.
Существуют и другие второстепенные факторы, способствующие образованию зубного камня:
- Привычка жевать пищу одной стороной челюсти, что приводит к недостаточному очищению другой стороны от налета.
- Неправильно подобранная зубная щетка и паста, из-за чего микробный налет лишь частично удаляется во время чистки.
- Переизбыток в рационе мягкой, сладкой и углеводистой пищи при недостатке грубых и волокнистых продуктов.
- Употребление большого количества вина, кофе и других красящих напитков, а также курение, что приводит к образованию камня.
- В некоторых случаях образование камня может быть спровоцировано приемом определенных лекарств, таких как антибиотики.
- Заболевания желудочно-кишечного тракта и нарушения обмена веществ также могут быть причиной.
- Увеличенное слюноотделение, что способствует накоплению солей и минерализации отложений.
https://youtube.com/watch?v=LF54q7FzZ5U
Последствия зубных камней
На первый взгляд, темные пятна на зубах могут показаться незначительной проблемой, но на самом деле ситуация гораздо серьезнее. У этого явления есть свои негативные последствия:
- Неприятный запах изо рта. Скопления микробного налета, состоящего из органических веществ и продуктов разложения, могут вызывать стойкий неприятный запах, который не устраняется обычной чисткой зубов.
-
Воспалительные процессы в ротовой полости. Бактерии выделяют токсины и вещества, способствующие воспалению мягких тканей. В результате у человека могут появиться покраснение десен, отечность, а также дискомфорт и кровоточивость при чистке зубов. Эти симптомы могут указывать на развитие гингивита или пародонтита.
Если гингивит не будет своевременно выявлен, воспаление может распространиться на костную ткань, что приведет к разрушению крепления зуба.
Гингивит может перейти в пародонтит, при котором зубы начинают расшатываться, десневые карманы могут гноиться, а корни зубов оголяться — это уже серьезная проблема.
-
Кариес. Если зубной камень удалось удалить, то это можно сделать с помощью ультразвуковой чистки или других стоматологических процедур.
Однако если темное пятно не поддается механическому воздействию, возможно, у вас развился кариес, который приводит к разрушению зуба под воздействием соляной кислоты, выделяемой кариозными бактериями. В этом случае потребуется лечение и пломбирование у стоматолога.
- Заболевания слизистой ротовой полости. Патогенные микроорганизмы, находящиеся в налете и камнях, могут вызвать язвы, эрозии, кисты, стоматит и грибковые инфекции на слизистой оболочке.
- Общее ухудшение состояния здоровья. Мало кто осознает, что токсины и яды, выделяемые бактериями из зубного камня, могут негативно влиять на работу внутренних органов. Это часто проявляется в ухудшении состояния при хронических заболеваниях, таких как астма, артрит, диабет, язвы и сердечно-сосудистые расстройства.
Профилактика возникновения камня
Чтобы избежать упомянутых проблем, необходимо вовремя проводить профилактические мероприятия, которые помогут предотвратить даже легкое образование налета.
Почему же зубные камни возникают чаще всего? Правильно, из-за нерегулярной гигиены. Начнем с этого аспекта:
- Если вы заметили, что у вас есть предрасположенность к образованию камней, повышенное слюноотделение, или вы курите, любите сладости, кофе и вино, то зубы следует очищать после каждого приема пищи. Не ограничивайтесь одним или двумя разами, а старайтесь делать это после каждого перекуса. Если вы выпили только чашку кофе — прополощите рот специальным ополаскивателем. Курильщикам рекомендуется жевать резинку после каждых 2-3 сигарет (если они не дома).
- Выберите зубную щетку с подходящей жесткостью и не экономьте на качественной пасте для борьбы с кариесом, что также поможет предотвратить образование налета.
- После чистки зубов обязательно очищайте промежутки между ними с помощью зубной нити.
Также важны и другие профилактические меры:
- Сбалансируйте свой рацион, увеличив количество фруктов и овощей, которые эффективно очищают зубы от микробных отложений. Лучше временно отказаться от карамелек и газировки, а также ограничить потребление сахара и выпечки;
- Лечите пародонтоз, кариес и другие заболевания зубов и десен, так как в таких случаях рассчитывать на полное удаление налета не стоит;
- При нарушениях метаболизма и других заболеваниях обратитесь к узкому специалисту (гастроэнтерологу, эндокринологу, терапевту и т.д.) для решения внутренних проблем, что поможет справиться с внешними проявлениями;
- Регулярно очищайте стоматологические устройства (пластинки, брекеты, протезы и т.д.), уделяя особое внимание зубам в местах их контакта.
В итоге, гораздо проще следовать этим простым рекомендациям, чем потом сталкиваться с серьезными последствиями зубного камня.
Самый важный совет — чаще посещайте стоматолога, что в будущем позволит сэкономить деньги и минимизировать вред для эмали и десен.
https://youtube.com/watch?v=Ne5eE_ynqx8
Методы удаления зубного камня
Удаление зубного камня является важной процедурой для поддержания здоровья полости рта. Существует несколько методов, которые стоматологи используют для эффективного удаления зубного камня, и каждый из них имеет свои особенности и показания.
1. Профессиональная чистка зубов
Наиболее распространенным методом удаления зубного камня является профессиональная чистка зубов, которая проводится стоматологом или гигиенистом. Эта процедура включает в себя использование специальных инструментов, таких как ультразвуковые скейлеры и ручные инструменты, для удаления твердых отложений на зубах. Ультразвуковые скейлеры работают на основе высокочастотных колебаний, которые помогают разрушить зубной камень, не повреждая эмаль зубов.
2. Air Flow (воздушно-абразивная чистка)
Метод Air Flow включает в себя использование смеси воздуха, воды и абразивного порошка (обычно это бикарбонат натрия) для удаления зубного камня и налета. Эта процедура не только эффективно очищает зубы, но и полирует их, придавая блеск. Air Flow подходит для удаления мягкого налета и незначительных отложений, но может быть менее эффективен для удаления старого и затвердевшего зубного камня.
3. Лазерная чистка
Лазерная чистка зубов — это современный и безболезненный метод удаления зубного камня. Лазерный луч направляется на участки с отложениями, что позволяет разрушить зубной камень и уничтожить бактерии, не повреждая окружающие ткани. Этот метод также способствует быстрому заживлению десен и снижает риск воспалительных процессов.
4. Химическое удаление
В некоторых случаях стоматологи могут использовать специальные химические растворы для растворения зубного камня. Эти растворы наносятся на пораженные участки, после чего зубной камень становится более податливым для удаления. Однако этот метод не так распространен, как механические и лазерные методы, и требует осторожного применения.
5. Домашние методы
Хотя профессиональная чистка является наиболее эффективным способом удаления зубного камня, существуют и домашние методы, которые могут помочь в профилактике его образования. Использование зубной нити, ополаскивателей для рта и специальных зубных паст может снизить риск накопления налета и зубного камня. Однако эти методы не заменяют профессиональную чистку и должны использоваться в качестве дополнения к регулярным визитам к стоматологу.
Важно помнить, что регулярные профилактические осмотры и чистки у стоматолога помогут избежать образования зубного камня и связанных с ним проблем, таких как кариес и заболевания десен. Рекомендуется посещать стоматолога не реже двух раз в год для поддержания здоровья полости рта.
Роль питания в образовании зубного камня
Питание играет ключевую роль в образовании зубного камня, так как оно непосредственно влияет на состав слюны и микрофлору полости рта. Зубной камень, или твердые отложения на зубах, образуется в результате минерализации зубного налета, который формируется на зубах в течение дня. Основными факторами, способствующими образованию зубного налета и, следовательно, зубного камня, являются диета и привычки питания.
Продукты, богатые углеводами, особенно сахарами, способствуют активному размножению бактерий в полости рта. Эти бактерии, в свою очередь, образуют налет, который, если не удалять его регулярно, минерализуется и превращается в зубной камень. Сладости, газированные напитки, выпечка и другие продукты с высоким содержанием сахара создают идеальные условия для роста микробов, что увеличивает риск образования налета и камня.
Кроме того, недостаток в рационе определенных витаминов и минералов также может способствовать образованию зубного камня. Например, недостаток витамина C может привести к ухудшению состояния десен, что увеличивает вероятность накопления налета. Витамины группы B, кальций и фосфор играют важную роль в поддержании здоровья зубов и десен, и их нехватка может негативно сказаться на состоянии полости рта.
Также стоит отметить, что некоторые продукты могут оказывать защитное действие против образования зубного камня. Например, сырые овощи и фрукты, такие как морковь и яблоки, способствуют естественному очищению зубов благодаря своей текстуре. Молочные продукты, содержащие кальций и фосфор, помогают укрепить зубную эмаль и могут снизить риск образования налета.
Важно также учитывать, что частота и режим питания влияют на здоровье зубов. Частые перекусы, особенно сладкие, увеличивают время, в течение которого зубы подвергаются воздействию сахара, что способствует образованию налета. Регулярное употребление пищи и соблюдение режима питания могут помочь снизить риск образования зубного камня.
В заключение, правильное питание является важным аспектом профилактики образования зубного камня. Сбалансированный рацион, богатый витаминами и минералами, а также ограничение потребления сахара и кислых продуктов помогут поддерживать здоровье зубов и десен, снижая риск образования налета и зубного камня.
Заблуждения о зубном камне
Существует множество мифов и заблуждений о зубном камне, которые могут вводить в заблуждение людей и мешать им правильно заботиться о здоровье своих зубов. Одним из самых распространенных мифов является то, что зубной камень образуется только у людей, которые не следят за гигиеной полости рта. На самом деле, даже при регулярной чистке зубов камень может образовываться у любого человека. Это связано с тем, что зубной камень формируется из налета, который состоит из остатков пищи, слюны и бактерий. Если налет не удаляется вовремя, он минерализуется и превращается в твердые отложения.
Еще одно заблуждение заключается в том, что зубной камень можно удалить самостоятельно с помощью домашних средств, таких как сода или уксус. Хотя эти средства могут помочь в борьбе с налетом, они не способны эффективно удалить уже образовавшийся камень. Для этого требуется профессиональная чистка у стоматолога, которая включает в себя использование специальных инструментов и технологий.
Некоторые люди считают, что зубной камень не представляет опасности для здоровья зубов и десен. Однако это далеко от истины. Зубной камень может стать причиной различных стоматологических заболеваний, таких как гингивит и пародонтит, которые могут привести к потере зубов. Кроме того, наличие зубного камня может способствовать образованию кариеса, так как он создает благоприятную среду для размножения бактерий.
Также существует мнение, что зубной камень образуется только у людей с плохой диетой. На самом деле, факторы, способствующие образованию зубного камня, могут быть разными и включают в себя не только питание, но и генетическую предрасположенность, уровень слюноотделения и даже некоторые медицинские состояния. Например, люди с сухостью во рту или те, кто принимает определенные лекарства, могут быть более подвержены образованию зубного камня.
Наконец, многие считают, что зубной камень можно игнорировать, если он не вызывает дискомфорта. Однако даже если вы не ощущаете боли или других симптомов, наличие зубного камня может негативно сказаться на общем состоянии полости рта. Регулярные визиты к стоматологу и профессиональная чистка зубов помогут предотвратить образование камня и сохранить здоровье зубов и десен на долгие годы.




