Периостит челюсти — воспалительное заболевание, способное вызвать серьезные последствия для здоровья полости рта и организма в целом. В статье рассмотрим симптомы, причины и формы периостита верхней и нижней челюсти, а также рекомендации по лечению и первой помощи. Знание этих аспектов поможет читателям распознать заболевание и обратиться за медицинской помощью, что повысит шансы на быстрое выздоровление.
Описание заболевания
Недуг может возникнуть в любом возрасте, но его редко выявляют у детей и пожилых людей.
Отличить это заболевание от других довольно просто: оно сопровождается выраженной отечностью, которую невозможно не заметить. Обычно патологический процесс вызывается инфекцией.
Когда воспаляются корни зубов или поражаются каналы, инфекция может распространиться на окружающие ткани и слизистые оболочки. В результате этого образуется значительное количество гноя, который прорывается через кость, вызывая отек и болезненность.
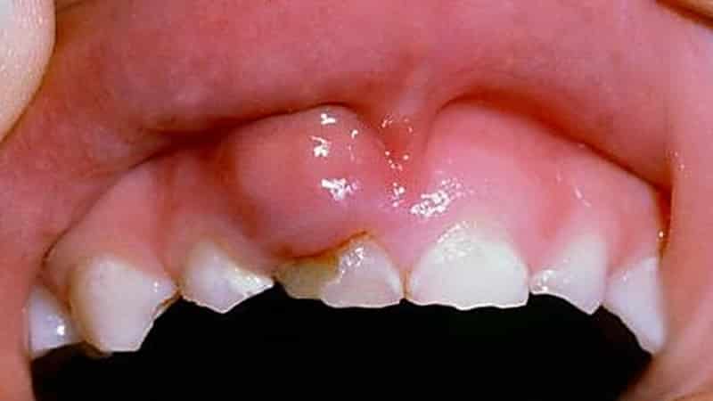
Периостит верхней челюсти (на фото выше) опасен тем, что воспаление может затронуть и пазухи. В этом случае у пациента может опухнуть большая часть лица. Отечность возникает в области пораженного зуба, а также могут увеличиваться губы, щеки и другие участки лица.
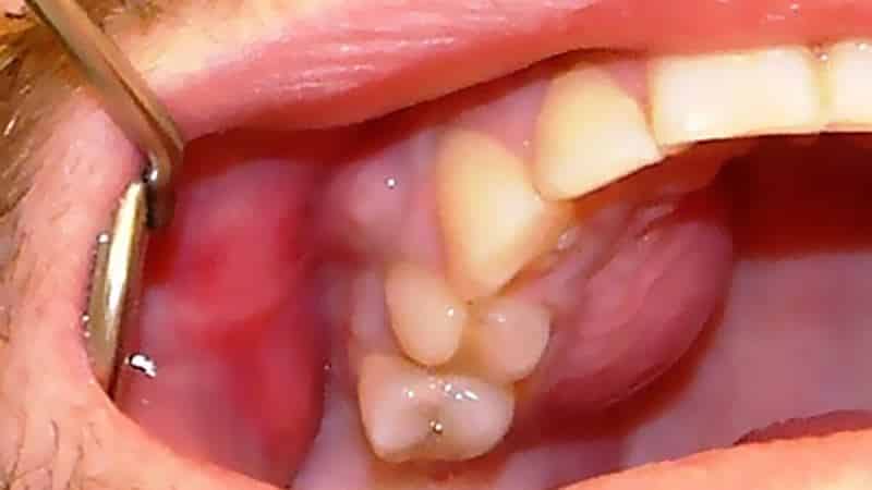
Тем не менее, такая форма заболевания встречается не так часто. Чаще всего диагностируется периостит нижней челюсти (на фото ниже). В основном страдают последние зубы, которые растут с трудом и подвержены различным патологиям. Нередко пациентам требуется удаление восьмерок.
Врачи отмечают, что периостит челюсти является серьезным воспалительным процессом, который может возникнуть в результате инфекции, травмы или осложнений после стоматологических процедур. Специалисты подчеркивают важность ранней диагностики, так как запущенные случаи могут привести к серьезным последствиям, включая распространение инфекции на соседние ткани. Симптомы, такие как боль, отек и покраснение, требуют немедленного обращения к врачу. Лечение обычно включает антибиотики и, в некоторых случаях, хирургическое вмешательство для удаления гноя или пораженной ткани. Врачи настоятельно рекомендуют регулярные профилактические осмотры у стоматолога, чтобы минимизировать риск развития периостита и других стоматологических заболеваний.
https://youtube.com/watch?v=uwe2yCj4a2I
Этиология
Как уже упоминалось, основным источником заболевания чаще всего является инфекция. Это может происходить при поражении каналов, когда воспаляются нервы, или в случае неэффективного лечения этих недугов. Бактерии проникают в ротовую полость через пищу и налет.
Причиной также может стать недостаточная гигиена полости рта, а также перенесенные физические и механические травмы, инфекционные заболевания крови, которые могут привести к серьезным последствиям.
Это, в свою очередь, может вызвать инфицирование лимфатической системы.
С учетом факторов возникновения, болезнь делится на:
- воспалительную форму, которая является следствием различных стоматологических заболеваний;
- травматическую, при которой развивается флюс;
- токсическую, когда инфекция проникает в ротовую полость;
- специфическую, возникающую в результате серьезных патологических процессов в организме.
| Причина | Симптомы | Лечение |
|---|---|---|
| Инфекция (кариес, пульпит, периодонтит) | Острая боль, отек десны и лица, повышение температуры, головная боль, слабость | Антибиотики, противовоспалительные, дренирование гнойника, удаление зуба (при необходимости) |
| Травма (удар, перелом челюсти) | Боль, отек, гематома, нарушение прикуса, ограничение открывания рта | Обезболивающие, противовоспалительные, иммобилизация челюсти, хирургическое вмешательство (при необходимости) |
| Осложнения после удаления зуба | Боль, отек, гнойные выделения из лунки, неприятный запах изо рта | Антибиотики, антисептики, дренирование лунки, удаление некротизированных тканей |
| Воспаление кисты или опухоли | Тупая боль, отек, деформация челюсти, подвижность зубов | Хирургическое удаление кисты/опухоли, противовоспалительные, антибиотики |
| Остеомиелит челюсти | Сильная боль, отек, свищи с гнойным отделяемым, лихорадка, интоксикация | Антибиотики, хирургическое удаление некротизированных участков кости, дренирование |
Разновидности патологии
Патология классифицируется в зависимости от проявлений и других факторов. Только специалист может точно определить форму заболевания. Подход к лечению будет варьироваться в зависимости от стадии болезни.
Существует две основные формы патологического процесса: острая и хроническая. Острая форма характеризуется выраженной отечностью и образованием гноя.
Хроническая форма, в свою очередь, протекает более медленно и менее заметно, развиваясь на протяжении длительного времени.
При остром течении заболевания могут наблюдаться следующие варианты:
- серозная форма, при которой образуется умеренное количество серозной жидкости и инфильтрации;
- острая форма, когда возникает абсцесс и свищевые каналы, позволяющие гнойному содержимому выходить наружу. Если свищей нет, то гной накапливается, что приводит к значительному отеку.
В хронической стадии заболевание также делится на категории:
- при простом периостите на поверхности кости формируется новая костная ткань в области челюсти. Эта форма успешно поддается лечению, в отличие от следующей;
- при оссифицирующем периостите наблюдается окостенение, и патологический процесс развивается очень быстро.
Фиброзная форма заболевания также имеет хронический характер. В этом случае происходит утолщение надкостницы за счет фиброзной ткани. В зависимости от степени поражения заболевание делится на ограниченное и диффузное. Ограниченная форма затрагивает один или несколько зубов, тогда как при диффузной форме поражается вся челюсть.
https://youtube.com/watch?v=OO9EkAHmxXA
Клиническая картина
Каждое заболевание имеет свои уникальные симптомы, которые помогают различать одну болезнь от другой. Протекание недуга зависит от степени поражения, а также от иммунных сил организма и общего состояния здоровья пациента. Однако существуют и общие признаки, характерные для периостита как верхней, так и нижней челюсти.
Что касается серозной формы, то она проявляется отечностью слизистых оболочек и увеличением лимфатических узлов. В случае гнойной формы у пациентов наблюдается ухудшение общего состояния, которое может проявляться в виде слабости, нарушений сна и бодрствования, а также головных болей. Дискомфорт может ощущаться не только в области пораженного зуба, но и иррадиировать в другие участки лица.
При хроническом течении заболевания человек испытывает периодические боли, наблюдается утолщение альвеолярной части, а также гиперемия и отечность слизистой оболочки.
Отечность является обычным симптомом данного заболевания. Она может исчезать, когда на слизистой образуются свищевые ходы. Не стоит игнорировать это заболевание, так как это может привести к серьезным последствиям.
Как отличить от других патологий
На приеме врач подробно расспросит пациента о проявлениях заболевания, а также назначит рентгенографию и лабораторные исследования. Тем не менее, аналогичные симптомы могут встречаться и при других недугах, которые необходимо различать, иначе лечение окажется неэффективным.
Схожие заболевания:
- При периодонтите воспаляется корень зуба, и со временем патологический процесс прогрессирует. В стадии обострения гнойное содержимое может прорываться наружу, образуя свищевой ход;
- Заболевания, при которых формируются плотные образования. Периостит челюсти проявляется смягчением слизистых оболочек и отечностью лица, без выраженных выделений на коже;
- Воспаление слюнных желез. В этом случае инфекция проникает из слюнных протоков, а не из пораженного зуба;
- Остеомиелит сопровождается общей интоксикацией организма. Наблюдаются высокая температура, усталость, головные боли и лихорадка. Это заболевание часто возникает как следствие нелеченного периостита.
Осложнения периостита
Многие люди по различным причинам откладывают визит к врачу на неопределенный срок. Даже когда их начинает беспокоить сильная боль, они пытаются справиться с ней с помощью домашних средств, но не обращаются за медицинской помощью. Причины такого поведения часто не имеют под собой оснований: нехватка денег, времени или неприязнь к медицинским учреждениям. Тем не менее, обращение в стоматологическую клинику – это первый шаг, от которого зависит ваша дальнейшая стратегия лечения.
Если вы не начнете лечение вовремя, заболевание может перейти в более серьезную стадию, что приведет к серьезным осложнениям. Лечить флюс не так сложно, как может показаться, но пренебрежение своим здоровьем может иметь даже фатальные последствия.
Наиболее распространенные осложнения – это образование абсцессов и флегмон. Если проблему игнорировать, гнойное содержимое в конечном итоге прорвется через капсулу на поверхность.
При отсутствии необходимого лечения флегмоны могут увеличиваться в размерах, затрагивая здоровые костные и мышечные ткани. Этот процесс сопровождается сильной болью, повышением температуры, общей слабостью, дискомфортом при глотании и нарушениями речи и дыхания.
Не стоит недооценивать такое инфекционное заболевание, как периостит. Эта патология крайне опасна, так как инфекция может проникнуть в кровь, что приводит к общему недомоганию и интоксикации организма.
Особенности терапии
Пациенты зачастую не придают значения данной проблеме, не осознавая всей серьезности ситуации. Они объясняют свое поведение тем, что отсутствие боли означает, что обращаться к врачу не нужно. Однако такое отношение совершенно неприемлемо для здравомыслящего человека. Чем раньше начнется лечение, тем лучше будет прогноз.
Не стоит надеяться, что недуг исчезнет сам по себе. Заболевание не проходит без вмешательства и требует внимательного подхода. При ранней диагностике болезни пациенту могут быть назначены антибиотики для предотвращения воспалительного процесса. Больной зуб можно либо удалить, либо вылечить, если это возможно. После анализа рентгеновского снимка врач примет решение о дальнейших действиях.
Если наблюдается отечность, лечение проходит в несколько этапов. В первую очередь лечебные процедуры направлены на устранение воспаления и отека. Врач проводит хирургическое вскрытие, в результате которого гной выходит наружу. Пациент сразу же чувствует облегчение, и его состояние стабилизируется.
После этой процедуры в рану устанавливается дренаж, который предотвращает затягивание раны. Это необходимо для полного удаления гноя и снижения риска рецидива. В дополнение к этим действиям пациенту назначается курс антибиотиков, после чего принимается решение о необходимости удаления или лечения зуба.
Нетрадиционные способы
Лечить это заболевание самостоятельно в домашних условиях неправильно.
Полное выздоровление возможно только в стационаре, но что делать, если нет возможности посетить медицинское учреждение?
Народные средства могут немного облегчить симптомы заболевания, пока вы не сможете обратиться к врачу. Попробуйте прополоскать рот раствором с содой и солью или отварами трав. Ромашка, шалфей и зверобой отлично подойдут. Ни в коем случае не пытайтесь самостоятельно принимать антибиотики. Назначением таких препаратов должен заниматься только врач, иначе вы можете нанести серьезный вред своему организму.
https://youtube.com/watch?v=OO9EkAHmxXA
Диагностика периостита
Первоначально врач проводит тщательный сбор анамнеза, в ходе которого выясняет, когда появились первые симптомы, какие факторы могли способствовать развитию заболевания, а также наличие сопутствующих заболеваний. Основные симптомы, на которые обращает внимание врач, включают:
- Боль в области челюсти, которая может усиливаться при нажатии;
- Отек мягких тканей;
- Покраснение кожи в области воспаления;
- Повышение температуры тела;
- Общее недомогание и слабость.
После сбора анамнеза врач переходит к физикальному обследованию. Он осматривает и пальпирует область челюсти, обращая внимание на наличие отека, болезненности и изменения в состоянии десен. Важно также проверить подвижность зубов, так как периостит может быть связан с инфекцией в корнях зубов.
Для уточнения диагноза могут быть назначены дополнительные исследования:
- Рентгенография: Позволяет визуализировать состояние костной ткани, выявить возможные изменения, такие как остеолиз или остеосклероз, а также наличие абсцессов.
- КТ (компьютерная томография): Предоставляет более детализированное изображение челюсти и окружающих тканей, что помогает в диагностике сложных случаев.
- МРТ (магнитно-резонансная томография): Используется для оценки состояния мягких тканей и выявления возможных осложнений.
- Лабораторные исследования: Общий анализ крови может показать наличие воспалительного процесса, а также уровень лейкоцитов и СОЭ.
В некоторых случаях может потребоваться консультация смежных специалистов, таких как стоматолог или челюстно-лицевой хирург, для более глубокого анализа состояния пациента и выбора оптимальной тактики лечения.
Таким образом, диагностика периостита челюсти требует комплексного подхода, включающего как клинические, так и инструментальные методы исследования. Это позволяет не только подтвердить диагноз, но и определить причину воспалительного процесса, что является ключевым для успешного лечения.
Профилактика заболевания
Профилактика периостита челюсти включает в себя комплекс мер, направленных на предотвращение возникновения данного заболевания и его осложнений. Основные аспекты профилактики можно разделить на несколько категорий: гигиенические, стоматологические и общие рекомендации по укреплению здоровья.
Гигиенические меры. Основным фактором, способствующим развитию периостита, является инфекция, которая может возникнуть в результате плохой гигиены полости рта. Регулярная и тщательная чистка зубов дважды в день, использование зубной нити и ополаскивателей для рта помогают предотвратить накопление бактерий и образование зубного налета. Также важно регулярно посещать стоматолога для профессиональной чистки и осмотра, что позволяет выявить и устранить проблемы на ранних стадиях.
Стоматологические меры. Профилактика периостита также включает в себя своевременное лечение зубных заболеваний, таких как кариес, пульпит и периодонтит. Эти заболевания могут привести к воспалению периоста, если их не лечить. При наличии зубных протезов или имплантатов необходимо следить за их состоянием и регулярно проходить осмотры у стоматолога. Также важно избегать травм челюсти, которые могут вызвать воспаление и инфекцию.
Общие рекомендации. Укрепление иммунной системы играет важную роль в профилактике периостита. Здоровый образ жизни, включающий сбалансированное питание, регулярные физические нагрузки и отказ от вредных привычек, таких как курение и чрезмерное употребление алкоголя, способствует повышению общей устойчивости организма к инфекциям. Также стоит обратить внимание на своевременное лечение хронических заболеваний, которые могут ослабить иммунитет и увеличить риск развития воспалительных процессов в организме.
Следуя этим рекомендациям, можно значительно снизить риск возникновения периостита челюсти и сохранить здоровье зубов и десен на долгие годы.
Рекомендации по восстановлению после лечения
Восстановление после лечения периостита челюсти является важным этапом, который способствует быстрому заживлению и предотвращению возможных осложнений. Правильный подход к реабилитации поможет пациенту вернуться к нормальной жизни и избежать рецидивов заболевания.
Первое, на что следует обратить внимание, это соблюдение рекомендаций врача. После хирургического вмешательства или консервативного лечения важно следовать предписаниям по приему медикаментов, которые могут включать антибиотики для предотвращения инфекции и противовоспалительные средства для уменьшения боли и отека.
В течение первых нескольких дней после лечения рекомендуется придерживаться мягкой диеты. Избегайте жесткой и твердой пищи, которая может вызвать дополнительное раздражение или травму пораженной области. Оптимальными вариантами будут пюре, каши и супы, которые легко пережевывать и глотать.
Также важно следить за гигиеной полости рта. Регулярная чистка зубов и использование антисептических растворов помогут предотвратить развитие инфекции. Однако следует избегать чистки области, где проводилось лечение, чтобы не повредить заживающие ткани.
Физическая активность в период восстановления должна быть ограничена. Избегайте интенсивных физических нагрузок и стрессов, которые могут негативно сказаться на общем состоянии организма и замедлить процесс заживления.
Контроль за состоянием здоровья также играет ключевую роль. Регулярные визиты к стоматологу позволят отслеживать процесс восстановления и при необходимости корректировать лечение. Если возникают симптомы, такие как усиление боли, отек или повышение температуры, необходимо немедленно обратиться к врачу.
Кроме того, стоит обратить внимание на использование народных средств, таких как полоскания с травяными отварами (например, ромашкой или шалфеем), которые могут помочь уменьшить воспаление и ускорить заживление. Однако перед использованием любых альтернативных методов следует проконсультироваться с врачом.
В заключение, восстановление после лечения периостита челюсти требует комплексного подхода, включающего соблюдение медицинских рекомендаций, правильное питание, гигиену и контроль за состоянием здоровья. Это поможет обеспечить успешное заживление и предотвратить возможные осложнения в будущем.




