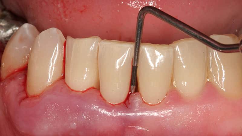
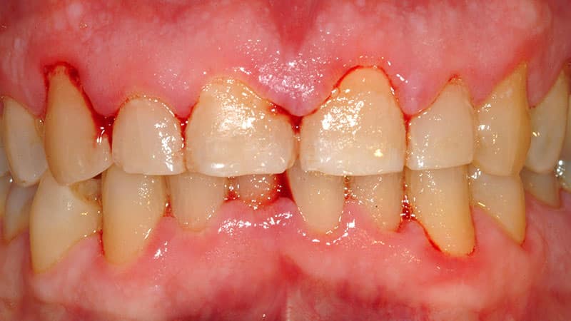
Кровоточивость десен — распространенная проблема, сигнализирующая о заболеваниях полости рта, таких как гингивит или пародонтит. Игнорирование этого симптома может привести к серьезным последствиям для здоровья зубов и десен. В статье рассмотрим эффективные методы лечения кровоточивости десен в домашних условиях, рекомендации по использованию доступных препаратов и народных средств, а также советы по профилактике этой проблемы.
Лечащие средства
Гель – это отличное средство, которое эффективно борется с воспалением десен.
Как можно лечить кровоточивость десен в домашних условиях? Фармацевты разработали множество эффективных гелей, способных оказать положительное влияние на десны. Среди них выделяются несколько лучших вариантов:
- Гель Холисал, который славится своими ярко выраженными противовоспалительными, антимикробными, обезболивающими и противоотечными свойствами. Эти эффекты проявляются практически мгновенно – всего через 2 минуты после нанесения. Гель не только помогает при кровоточивости, но и эффективно справляется с симптомами стоматита, пародонтоза и гингивита, если использовать его несколько раз в день.
- Метрогил дента также демонстрирует высокую эффективность в лечении воспаленных десен благодаря наличию в его составе Хлоргексидина (мощного антисептика) и антибиотика Метронидазола. Основное действие Метрогил дента направлено на поверхность десен, не проникая глубоко в ткани, что позволяет избавиться от кровоточивости и болезненных ощущений. Для достижения наилучшего результата перед использованием рекомендуется тщательно очистить полость рта после еды.
- Гель Камистад является хорошим средством для борьбы с кровоточивостью десен. В его составе находятся активные компоненты, такие как экстракт ромашки и гидрохлорид Лидокаина, которые помогают остановить кровотечение и облегчают боль. Однако не стоит слишком часто использовать этот препарат, так как это может привести к временной потере чувствительности в ротовой полости. Также следует отметить, что его противовоспалительное действие достаточно слабое.
Если вы заметили кровь при чистке зубов, не игнорируйте это и обязательно обратитесь к врачу. В дополнение к комплексному лечению, которое вам назначит специалист, важно обратить внимание на свой рацион, который должен включать полезные для организма вещества, способствующие устранению кровоточивости десен.
Врачи подчеркивают, что лечение кровоточивости десен в домашних условиях может быть эффективным, но требует осторожности и комплексного подхода. Специалисты рекомендуют начинать с улучшения гигиены полости рта: регулярная чистка зубов и использование зубной нити помогают удалить налет и предотвратить воспаление. Также полезно полоскание рта растворами, содержащими антисептики, например, хлоргексидином или солевым раствором. Врачи советуют обратить внимание на питание, включая в рацион продукты, богатые витаминами C и K, которые способствуют укреплению десен. Однако они предупреждают, что при отсутствии улучшений или при усилении симптомов необходимо обратиться к стоматологу для профессиональной оценки состояния и назначения соответствующего лечения.
https://youtube.com/watch?v=1iZzdG6JT-M
Фитотерапия
Обнаружение кровотечения десен – это проблема, с которой можно справиться с помощью народных средств, и специалист по фитотерапии может помочь определить причины и предложить эффективные методы лечения. В этой области накоплен богатый опыт использования трав, обладающих сильными целебными свойствами. Травы являются действенными народными средствами для борьбы с кровоточивостью десен, их применение способствует уменьшению воспалительных процессов и связанных с ними болей, а также уничтожает бактериальный налет, который является источником заболевания на слизистой оболочке.
Тем не менее, для полного излечения кровоточивости десен, лечение народными средствами должно дополняться полноценной противовоспалительной терапией, назначенной врачом.
Приготовить рекомендованные народные средства на основе трав можно самостоятельно, многие из них доступны в аптеках. Если у вас болят десна, причины и народные методы лечения основаны на использовании лекарственных трав, которые широко распространены в нашем окружении, таких как:
- кора дуба – это мощный природный комплекс, который помогает укрепить десны. Для полосканий нужно заварить одну столовую ложку коры в 200 мл кипятка и использовать в течение 10-15 дней;
- цветки ромашки – это также эффективное заживляющее средство. Для его приготовления необходимо залить 2 столовые ложки ромашки стаканом кипятка и настоять 20 минут;
- шалфей – универсальная трава, известная своими анальгезирующими и антисептическими свойствами. Для полосканий запаривают одну столовую ложку шалфея в 200 мл кипящей воды и используют после еды несколько дней до достижения результата;
- настой водяного перца помогает регулировать свертываемость крови и улучшает состояние сосудистых стенок, обладает противовоспалительными свойствами и используется для полосканий;
- настой крапивы также эффективно снимает кровоточивость десен, его готовят, запарив 2 чайные ложки травы в стакане кипятка.
| Метод лечения | Ингредиенты/Описание | Применение |
|---|---|---|
| Полоскания | Отвар ромашки, шалфея, коры дуба, календулы | Полоскать рот 2-3 раза в день после еды |
| Массаж десен | Мягкая зубная щетка, палец | Аккуратно массировать десны круговыми движениями 2-3 минуты |
| Примочки | Сок алоэ, масло чайного дерева (разбавленное) | Нанести на ватный диск и приложить к воспаленным деснам на 10-15 минут |
| Коррекция питания | Продукты, богатые витамином С (цитрусовые, шиповник), К (зеленые овощи) | Включить в рацион для укрепления сосудов |
| Гигиена полости рта | Мягкая зубная щетка, зубная нить, ирригатор | Чистить зубы 2 раза в день, использовать нить после еды |
Полоскания
Полоскание рта обладает уникальным воздействием: во время дезинфекции полости рта происходит удаление бактериального налета, что одновременно улучшает общее состояние пациента. Растворы на основе трав или готовых антисептических препаратов обеспечивают обезболивающий, противовоспалительный и кровоостанавливающий эффект. Это подтверждается обширным опытом использования как растительных компонентов, так и аптечных средств.
Важно избегать полоскания спиртовыми настойками, так как они могут вызвать ожоги слизистой рта и ухудшить состояние пациента.
Полоскание яблочным уксусом также способствует улучшению состояния бактериальной флоры десен и укреплению их структуры, что помогает остановить кровотечения. Рекомендуется проводить эту процедуру в течение 15-20 дней. Похожий эффект можно достичь, используя солевой раствор после приема пищи.
Сок хрена, разведенный в двух ложках с 200 граммами красного вина, также оказывает положительное влияние на воспаленные десны. Это средство можно применять как наружно, так и внутрь, и результаты не заставят себя ждать: десны укрепляются, кровоточивость прекращается, а небольшие дозы лекарства, принимаемые внутрь, способствуют укреплению иммунной системы.
https://youtube.com/watch?v=3_fAduTvau8
Немного о зубных пастах
Правильно подобранные зубные пасты способны значительно улучшить здоровье десен, что подтверждается практикой, распространенной по всему миру. Эти пасты эффективно борются с различными стоматологическими проблемами, а при наличии кровоточивости могут существенно облегчить болезненные ощущения. Однако существует мнение, что не стоит полностью полагаться на лечебные свойства зубной пасты при кровоточивости – важно дополнить уход за полостью рта специальной терапией. Рассмотрим несколько популярных лечебных зубных паст.
Лакалут Актив, содержащая множество лечебных компонентов, таких как аллантоин, фториды, лактат алюминия и хлоргексидин, обеспечивает мощный оздоровительный эффект при различных стоматологических заболеваниях, включая кровоточивость. Важно помнить, что нет необходимости использовать лечебные зубные пасты постоянно – их применение можно прекратить после устранения нежелательных симптомов.
В состав Лакалут фитоформулы входят, помимо фторида натрия, исключительно растительные лечебные компоненты, что позволяет использовать эту пасту на протяжении длительного времени. Постепенное, но уверенное положительное воздействие пасты способствует значительному улучшению состояния полости рта, уничтожению кариеса и укреплению зубной эмали.
Пасты Парадонтакс и Парадонтакс Ф не содержат антибиотиков и антисептиков, но включают в себя множество компонентов, оказывающих лечебное действие при заболеваниях зубов и десен. Среди них – исключительно растительные и минеральные экстракты природного происхождения.
Влияние диет и витаминов
Невозможно игнорировать влияние правильного питания на здоровье зубов и десен. То, что мы едим, в значительной степени определяет, насколько долго наши зубы останутся крепкими и здоровыми.
Для достижения оптимального баланса питательных веществ и витаминов стоит воспользоваться рекомендациями стоматологов по организации здорового питания. Основу рациона должны составлять яйца, мясные и рыбные продукты, а также молочные изделия, которые обеспечивают организм необходимыми белками. В то же время, чрезмерное потребление жирной пищи может привести к увеличению кровоточивости десен. Фторсодержащие продукты, такие как фасоль, бобовые, овощи и фрукты, играют важную роль в укреплении зубов.
Исследования показывают, что нехватка витаминов может привести к проблемам с деснами, включая их кровоточивость. Каждый витамин оказывает свое специфическое влияние на здоровье десен. Витамин С и аскорути́н, содержащий рутин и витамин С, помогают предотвратить воспалительные процессы в ротовой полости. Эти вещества активно применяются для лечения воспалений и кровоточивости, иногда даже в виде инъекций в десны. Также полезно принимать витамины группы В и К.
Следуя простым рекомендациям, изложенным выше, можно предпринять профилактические меры против кровоточивости десен. Однако лечение заболеваний десен лучше доверить профессиональным стоматологам, которые используют эффективные методы и средства, способные не только остановить прогрессирование болезни, но и полностью ее излечить.
https://youtube.com/watch?v=MuWcfnv5PyA
Массаж десен
Является одним из эффективных методов, который может помочь в лечении кровоточивости десен в домашних условиях. Он способствует улучшению кровообращения в тканях десен, что, в свою очередь, помогает укрепить их и снизить воспаление. Массаж можно выполнять как самостоятельно, так и с использованием специальных инструментов.
Перед началом массажа важно подготовить рот и десны. Рекомендуется тщательно почистить зубы и прополоскать рот антисептическим раствором, чтобы минимизировать риск инфекции. Также стоит убедиться, что руки чистые, если массаж будет выполняться пальцами.
Существует несколько техник массажа, которые можно использовать:
- Круговые движения: Используйте кончики пальцев, чтобы аккуратно массировать десны круговыми движениями. Начните с передних зубов и двигайтесь к задним, уделяя внимание каждому участку. Это поможет улучшить кровообращение и снять напряжение.
- Постукивание: Легкие постукивающие движения пальцами по деснам также могут быть полезны. Это стимулирует кровообращение и может помочь в уменьшении воспаления.
- Сдвиговые движения: Аккуратно сдвигайте десны в сторону от зубов, используя пальцы. Это поможет удалить налет и улучшить состояние десен.
Следует проводить не менее 2-3 раз в неделю, уделяя этому процессу 5-10 минут. Важно помнить, что массаж не должен вызывать боли или дискомфорта. Если вы чувствуете сильную боль, стоит прекратить процедуру и обратиться к стоматологу.
Для повышения эффективности массажа можно использовать натуральные масла, такие как масло чайного дерева или кокосовое масло, которые обладают антисептическими свойствами. Нанесите небольшое количество масла на пальцы перед массажем, чтобы улучшить скольжение и добавить дополнительный антисептический эффект.
Регулярный массаж в сочетании с правильной гигиеной полости рта и сбалансированным питанием может значительно улучшить состояние десен и снизить риск их кровоточивости. Однако, если проблема сохраняется, обязательно проконсультируйтесь с врачом для получения профессиональной помощи.
Гигиена полости рта
играет ключевую роль в профилактике и лечении кровоточивости десен. Правильный уход за зубами и деснами помогает предотвратить накопление налета и бактерий, которые могут вызывать воспаление и заболевания десен, такие как гингивит и пародонтит.
Первым шагом к поддержанию здоровья десен является регулярная чистка зубов. Рекомендуется чистить зубы не менее двух раз в день с использованием фторсодержащей зубной пасты. Важно уделять внимание не только зубам, но и деснам, аккуратно массируя их щеткой. Это способствует улучшению кровообращения и укреплению десен.
Кроме того, использование зубной нити или межзубных щеток помогает удалить остатки пищи и налет из труднодоступных мест между зубами, где обычная щетка может не справиться. Регулярное применение этих средств значительно снижает риск воспаления десен.
Полоскания рта также являются важной частью гигиенического ухода. Использование антисептических растворов или травяных настоев, таких как шалфей или ромашка, может помочь уменьшить воспаление и убить бактерии. Полоскание рта после чистки зубов помогает удалить остатки зубной пасты и налета, а также освежает дыхание.
Не менее важным аспектом является регулярное посещение стоматолога. Профессиональная чистка зубов и осмотр у специалиста помогут выявить проблемы на ранних стадиях и предотвратить их развитие. Стоматолог может дать рекомендации по уходу за полостью рта, исходя из индивидуальных особенностей пациента.
Также стоит обратить внимание на питание. Употребление продуктов, богатых витаминами C и K, таких как цитрусовые, зелень и овощи, способствует укреплению десен. Избегание чрезмерного потребления сахара и кислых продуктов поможет снизить риск развития кариеса и воспалительных процессов в деснах.
В заключение, соблюдение правил является основным условием для предотвращения и лечения кровоточивости десен. Регулярная чистка зубов, использование дополнительных средств гигиены, посещение стоматолога и правильное питание помогут сохранить здоровье десен и предотвратить развитие заболеваний.
Профилактика заболеваний десен
Профилактика заболеваний десен играет ключевую роль в поддержании здоровья полости рта и предотвращении кровоточивости десен. Основные аспекты профилактики включают в себя регулярную гигиену полости рта, правильное питание, а также регулярные визиты к стоматологу.
Регулярная гигиена полости рта является основой профилактики. Необходимо чистить зубы дважды в день с использованием фторсодержащей зубной пасты. Чистка зубов должна длиться не менее двух минут, при этом следует уделять внимание всем участкам зубов и десен. Использование зубной нити или межзубных щеток поможет удалить налет и остатки пищи из труднодоступных мест, что значительно снижает риск воспаления десен.
Кроме того, ополаскиватели для рта могут быть полезны для дополнительной защиты. Они помогают уничтожить бактерии, которые могут вызывать воспаление десен. Выбирайте ополаскиватели, содержащие антисептические компоненты, такие как хлоргексидин или эфирные масла.
Правильное питание также играет важную роль в профилактике заболеваний десен. Включение в рацион продуктов, богатых витаминами C и D, а также кальцием, способствует укреплению десен и зубов. Витамин C, например, помогает в заживлении тканей и снижает воспаление, тогда как витамин D способствует усвоению кальция, необходимого для здоровья зубов.
Избегайте избыточного потребления сахара и кислых продуктов, так как они могут способствовать образованию налета и развитию кариеса, что в свою очередь может привести к заболеваниям десен. Регулярное употребление свежих овощей и фруктов, а также достаточное количество воды помогут поддерживать здоровье полости рта.
Не менее важным аспектом является регулярный визит к стоматологу. Профессиональная чистка зубов и осмотр у стоматолога не только помогут выявить проблемы на ранних стадиях, но и позволят получить рекомендации по уходу за полостью рта. Стоматолог может предложить индивидуальные советы по профилактике, учитывая особенности вашего здоровья и состояния десен.
В заключение, профилактика заболеваний десен включает в себя комплексный подход, который сочетает в себе регулярную гигиену полости рта, сбалансированное питание и регулярные визиты к стоматологу. Соблюдение этих простых рекомендаций поможет избежать кровоточивости десен и сохранить здоровье зубов на долгие годы.



