Киста зуба — стоматологическая проблема, которую нельзя игнорировать, так как это может привести к серьёзным последствиям для здоровья полости рта. В статье рассмотрим основные симптомы кисты, методы диагностики и лечения. Знание этих аспектов поможет читателям вовремя обратиться к стоматологу, избежать осложнений и сохранить здоровье зубов.
Причины образования кисты
Киста зуба возникает в результате инфицирования и активности патогенных микроорганизмов в замкнутом пространстве. Какие факторы могут привести к образованию гнойных полостей на корнях зубов, требующих вмешательства или удаления зуба?
- Запущенные формы кариеса и пульпита.
- Периодонтит – воспаление связочной ткани, соединяющей корень зуба с десной. Это состояние может перейти в хроническую стадию, сопровождающуюся постоянными ноющими болями. При отсутствии лечения воспалительный процесс может углубляться в десну и приближаться к надкостнице.
- Хронические воспалительные заболевания носоглотки, такие как гайморит или тонзиллит. В таких случаях удаление зуба обычно не требуется, необходима терапия основного ЛОР-заболевания.
- Сложное прорезывание зубов, особенно зубов мудрости, часто становится причиной образования кисты. Этот процесс может вызвать воспаление, и если в область попадут патогенные бактерии, начинается гнойный процесс с образованием капсулы.
- Воспаление корня зуба под коронкой, когда токсические вещества не могут выйти из корневых каналов. Накопление гноя приводит к образованию кисты.
- Травмы, которые способствуют проникновению инфекции к корням зубов.
- Занос инфекции в процессе неаккуратного лечения, недостаточной стерильности инструментов или рук стоматолога.
Размеры кисты под зубом могут достигать нескольких сантиметров. Минимальным размером считается пузырь диаметром 5 мм. Меньшие гнойные образования обычно не имеют четкой оболочки, отделяющей их от десневых тканей, и не классифицируются как кисты. Их называют гранулемами, которые могут рассасываться при лечении воспалительного процесса.
Киста на корне зуба обладает оболочкой и не подлежит рассасыванию. Лечение кисты зуба требует вскрытия оболочки и её удаления.
Врачи отмечают, что киста зуба часто развивается бессимптомно, что затрудняет её раннюю диагностику. Однако при увеличении размера образования пациенты могут испытывать дискомфорт, отёк десны, а также боль в области поражённого зуба. В некоторых случаях наблюдается гнойное выделение. Специалисты подчеркивают важность своевременного обращения к стоматологу, так как игнорирование симптомов может привести к осложнениям, включая инфекцию и потерю зуба. Лечение кисты обычно включает хирургическое вмешательство, направленное на удаление образования и восстановление тканей. Врач может также рекомендовать антибиотики для предотвращения инфекции. Профилактика, включая регулярные осмотры и гигиену полости рта, играет ключевую роль в снижении риска возникновения кист.
https://youtube.com/watch?v=exzJdL6c35U
Медицинский ликбез: виды гнойных образований
В медицинской практике выделяют несколько типов гнойных капсул, которые могут возникать в области челюсти:
- ретромолярная (киста, связанная с зубом мудрости);
- киста прорезывания (образование, наблюдаемое у детей до 10 лет на молочных зубах);
- фолликулярная (формируется на зачатках зубов, которые еще не прорезались);
- радикулярная (возникает на корне зуба в результате воспалительных процессов в деснах – периодонтита);
- резидуальная (появляется в надкостнице после удаления зуба и его корней из-за остаточных инфекционных процессов).
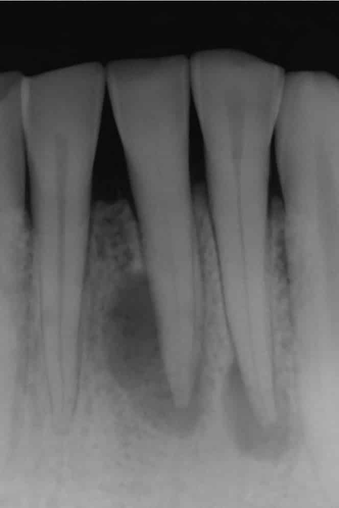
Изображение рентгенограммы зубов с кистозными образованиями (темные участки с четкими границами рядом с корнями)
| Симптомы кисты зуба | Диагностика | Лечение |
|---|---|---|
| На ранних стадиях: | Рентгенография (прицельный снимок, ортопантомограмма, КТ) | Консервативное: |
| — Отсутствие боли | Электроодонтодиагностика (ЭОД) | — Депофорез (введение гидроокиси меди-кальция) |
| — Незначительная припухлость десны | Витальное окрашивание зуба | — Промывание корневых каналов антисептиками |
| — Чувство распирания или давления в области зуба | Зондирование и перкуссия зуба | — Временное пломбирование с лечебными пастами |
| — Подвижность зуба (редко) | Хирургическое: | |
| При обострении/увеличении: | — Цистэктомия: полное удаление кисты с сохранением зуба. | |
| — Острая, пульсирующая боль | — Цистотомия: частичное удаление кисты с созданием оттока содержимого. | |
| — Выраженная припухлость десны и/или щеки | — Гемисекция: удаление части зуба с кистой и корнем. | |
| — Образование свища с гнойным отделяемым | — Резекция верхушки корня: удаление верхушки корня зуба с кистой. | |
| — Повышение температуры тела | — Удаление зуба: при невозможности сохранения зуба. | |
| — Общее недомогание, слабость | ||
| — Увеличение регионарных лимфоузлов |
Киста зуба: симптомы появления и развития
Лечение зубной кисты часто затрудняется тем, что образовавшийся гнойный пузырь может долгое время не вызывать никаких болезненных ощущений. На начальном этапе заболевание кисты на корне зуба зачастую выявляется случайно во время рентгенологического обследования соседних моляров или резцов.
По мере прогрессирования воспалительного процесса могут проявляться легкие болезненные симптомы: незначительная боль при нажатии на десну, дискомфорт при жевании.
Если не упустить момент и начать лечение, то возможно обойтись консервативными методами без необходимости удаления зуба.
На более поздних стадиях киста зуба проявляется выраженными болезненными симптомами:
- Ноющая, тупая боль в области десны, которая становится всё труднее поддающейся обезболиванию с помощью анестетиков.
- Отечность и покраснение десны, возможное увеличение щеки.
- Головные боли, если киста расположена на корнях верхних зубов, рядом с гайморовой пазухой; в таком случае может возникнуть запах гноя в носовых проходах.
На последней стадии развития кисты может образоваться свищ — канал, соединяющий гнойную полость с поверхностью десны, который позволяет гною выйти наружу после разрыва капсулы.
На любом этапе заболевания наиболее точный диагноз можно установить с помощью рентгенографии. Она позволяет увидеть наличие капсулы как на начальной, так и на конечной стадиях.
Киста зуба на начальном этапе — это скрытое бессимптомное заболевание, своего рода «бомба замедленного действия» в ротовой полости пациента.
Чем опасна киста зуба и почему необходимо её лечить?
Опасность заболевания становится особенно очевидной на последних этапах, когда у пациента возникают интенсивные боли, наблюдается повышение температуры, а также происходит хроническое отравление организма токсичными веществами, выделяемыми из кисты. Какие последствия кисты, расположенной на верхушке корня зуба, являются наиболее серьезными?
- Хронический гайморит.
- Разрушение надкостницы челюсти.
- Уменьшение толщины челюсти (в результате роста кисты в костной ткани челюсти) и риск перелома кости даже при незначительных жевательных нагрузках.
- Сепсис (инфекция крови).
Как лечить кисту: хирургия или терапия?
В результате активности патогенных бактерий в десне образуется гнойное скопление. Существует два подхода к его лечению:
- Консервативный метод (лечение с использованием медикаментов без необходимости хирургического вмешательства: полоскания, инъекции, распломбировка).
- Хирургический метод (удаление зуба полностью или его корневой части). Во время операции капсула пузыря, находящаяся на верхушке корня, извлекается вместе с корнем. После удаления требуется терапевтическое лечение воспалительного процесса в десне.
Хирургическое лечение
Еще десять лет назад удаление зуба было обязательным при наличии кисты. Сегодня стоматологи стремятся сохранить целостность жевательной поверхности. Удаление кисты зуба осуществляется с помощью небольшой операции, известной как резекция верхушки корня. Как проходит этот процесс?
После проведения анестезии специалист делает разрез с внешней стороны десны (внутри рта). Через небольшой доступ специальным инструментом удаляется верхушка корня вместе с кистой, которая образовалась на ней. Затем корень запечатывается через хирургический канал, полость обрабатывается антисептиком и ушивается. Обычно дополнительного ухода за раной не требуется, так как слюна в ротовой полости обладает бактерицидными свойствами. Спустя неделю после операции швы снимаются, и врач проверяет процесс заживления раны (визуально) и наличие остатков кисты (с помощью рентгенографии). Визуальный осмотр стоматолога позволяет оценить, насколько снизилось воспаление, отек и покраснение после удаления.
Резекция дает возможность сохранить зуб, не прибегая к распломбировке каналов и не меняя коронку. Важно отметить, что если при предыдущем пломбировании в канал был установлен штифт, его вскрытие может привести к повреждению верхней части жевательной поверхности. В таком случае врач выполнит резекцию верхушки корня вместо полного удаления зуба.
Резекция является более предпочтительным вариантом по сравнению с полным удалением зуба. Однако ее применение имеет свои ограничения. Обычно данную процедуру проводят на верхних резцах и клыках, реже — на боковых молярах.
На фото — хирургическая полость после удаления кисты, заполненная гранулами остеопластического материала.
https://youtube.com/watch?v=_ZO7WnJQib0
Терапия кисты
Терапевтическое лечение зубной кисты возможно для небольших образований (до 8 мм). В процессе лечения кариозный канал открывают и вскрывают кистозную капсулу. Из её внутренней полости удаляют гной. После вскрытия канал оставляют незапломбированным на срок 5-7 дней, назначая пациенту полоскания антисептическими растворами. Гной будет вытекать, а воспаление тканей десны лечится с помощью антибиотиков. Когда гной полностью выйдет, а воспаление будет устранено, кистозную полость заполняют специальным препаратом, способствующим регенерации тканей. Затем каналы корней и твёрдые ткани пломбируют. Контроль состояния зуба рекомендуется провести через 3-4 месяца после завершения терапии.
В некоторых случаях, при незначительном воспалении, лечение может быть проведено за два визита к стоматологу. На первом приёме вскрывают канал зуба и кисту, очищают их, заполняют гелем, пломбируют корень и устанавливают временную пломбу. Если в течение этого времени не наблюдается боли, отёчности или покраснения, временную пломбу заменяют на постоянную через 7-10 дней после вскрытия и очистки кистозной полости.
Эффективное терапевтическое лечение небольших образований можно осуществить с помощью лазера. В этом случае киста зуба также вскрывается, после чего её обрабатывают лазером. Этот метод не только удаляет содержимое и оболочку кисты, но и уничтожает болезнетворные микроорганизмы. Лазерное лечение обладает рядом дополнительных преимуществ:
- исключает риск заноса инфекции;
- является безболезненным;
- хирургическая рана заживает быстро, не вызывая осложнений, нагноений или повторных рецидивов.
Народные способы лечения кисты
Народные методы и натуральные средства способны эффективно уменьшить или устранить воспаление десневых тканей. Обычно киста зуба сопровождается воспалительным процессом, известным как периодонтит. Это связано с воздействием инфекции и постоянным поступлением токсинов через стенки гнойной капсулы. После того как воспаление будет купировано, потребуется операция для удаления гнойного образования или терапия с вскрытием корней. Какие природные средства наиболее эффективно помогают в борьбе с воспалением?
- Антисептические травяные настои, такие как эвкалипт, тысячелистник, шалфей и календула. Увеличение концентрации настоя способствует повышению эффективности лечения. Рекомендуемое соотношение: 2 столовые ложки сырья на 100 г воды.
- Спиртовые настойки, которые обеспечивают дополнительное обеззараживание: настойка прополиса, календулы, корня аира и алоэ.
- Алоэ можно использовать в виде аппликации на десну.
- Чесночная кашица также подходит для аппликаций. Солевые растворы.
- Кунжутное масло.
Эти натуральные препараты могут быть успешно применены для снятия воспаления десен до операции, а также для лечения воспалительного процесса после хирургического вмешательства.
Профилактика кисты: в чём состоит?
Методы предотвращения формирования кисты на корнях зубов достаточно просты:
- Заботиться о здоровье полости рта, своевременно лечить и не игнорировать кариес.
- Каждый день очищать ротовую полость от остатков пищи и налёта, образующегося на эмали.
- Предотвращать образование зубного камня.
- В случае травмы челюсти – провести контрольную рентгенографию через один-два месяца после инцидента.
Здоровье зубов – это ответственность пациента. Врач предоставляет необходимую терапевтическую помощь, проводит лечение и дает рекомендации. Однако обеспечить своевременное обращение к стоматологу может только сам пациент.
https://youtube.com/watch?v=D_JNkBN3-R8
Диагностика кисты зуба: методы и процедуры
Диагностика кисты зуба является важным этапом в процессе лечения, так как правильное определение наличия и типа кисты позволяет выбрать наиболее эффективную терапию. Существует несколько методов и процедур, которые стоматологи используют для диагностики этого состояния.
1. Визуальный осмотр
Первым шагом в диагностике кисты зуба является визуальный осмотр полости рта. Стоматолог обращает внимание на наличие внешних признаков, таких как опухоль, покраснение или изменение формы десны. Иногда киста может проявляться в виде свища, из которого выделяется гной. Однако визуальный осмотр не всегда позволяет точно определить наличие кисты, поэтому необходимы дополнительные методы диагностики.
2. Рентгенография
Рентгенография является одним из основных методов диагностики кисты зуба. На рентгеновских снимках киста выглядит как затемненное образование вокруг корня зуба. Этот метод позволяет не только подтвердить наличие кисты, но и оценить ее размер, форму и расположение относительно соседних зубов и тканей. В некоторых случаях может потребоваться использование панорамной рентгенографии для более детального анализа.
3. Компьютерная томография (КТ)
Компьютерная томография предоставляет более детальную информацию о состоянии зуба и окружающих тканей. Этот метод позволяет получить послойные изображения, что помогает стоматологу лучше оценить размеры кисты и ее влияние на соседние структуры. КТ особенно полезна в сложных случаях, когда необходимо планировать хирургическое вмешательство.
4. Ультразвуковое исследование
Ультразвуковое исследование может быть использовано для диагностики кисты, особенно в случаях, когда необходимо оценить мягкие ткани вокруг зуба. Этот метод безопасен и неинвазивен, что делает его хорошим дополнением к рентгенографии.
5. Биопсия
В некоторых случаях, если есть подозрение на злокачественное образование или если киста не поддается стандартному лечению, может потребоваться биопсия. Этот метод включает в себя забор образца ткани из кисты для дальнейшего гистологического анализа. Биопсия помогает определить природу образования и исключить рак или другие серьезные заболевания.
6. Анализы крови
Хотя анализы крови не являются основным методом диагностики кисты зуба, они могут быть полезны для оценки общего состояния здоровья пациента и выявления возможных инфекций или воспалительных процессов в организме. Например, повышение уровня лейкоцитов может указывать на наличие инфекции, связанной с кистой.
В заключение, диагностика кисты зуба требует комплексного подхода, включающего визуальный осмотр, рентгенографию, компьютерную томографию и, при необходимости, другие методы. Правильная диагностика является ключом к успешному лечению и предотвращению осложнений.
Последствия нелеченной кисты: что может произойти?
Киста зуба, если ее не лечить, может привести к ряду серьезных последствий, которые негативно сказываются на здоровье полости рта и общем состоянии организма. Одним из наиболее распространенных последствий является развитие инфекций. Киста может стать источником хронического воспаления, что в свою очередь может привести к образованию абсцессов. Эти абсцессы могут вызывать сильную боль, отек и даже лихорадку, требуя немедленного медицинского вмешательства.
Кроме того, нелеченая киста может привести к разрушению окружающих тканей, включая костную ткань. Постепенно киста может увеличиваться в размерах, что приводит к резорбции костной ткани челюсти. Это может вызвать не только эстетические проблемы, но и функциональные нарушения, такие как затруднение при жевании и изменении прикуса.
Еще одним серьезным последствием является возможность распространения инфекции на соседние зубы. Это может привести к образованию новых кист или даже к потере зубов, которые находятся в непосредственной близости к инфицированному участку. В некоторых случаях инфекция может распространиться на другие части тела, что может вызвать системные заболевания, такие как остеомиелит или сепсис.
Также стоит отметить, что наличие кисты может затруднить диагностику других заболеваний зубов и десен. Например, киста может маскировать симптомы более серьезных стоматологических проблем, таких как опухоли или другие новообразования. Это может привести к запоздалой диагностике и, соответственно, к более сложному и длительному лечению.
В заключение, игнорирование кисты зуба может привести к множеству осложнений, которые требуют более сложного и дорогостоящего лечения. Поэтому важно регулярно проходить стоматологические осмотры и при первых признаках кисты обращаться к специалисту для своевременной диагностики и лечения.
Рекомендации по восстановлению после лечения кисты
После успешного лечения кисты зуба важно следовать определённым рекомендациям, чтобы обеспечить быстрое и эффективное восстановление. Эти рекомендации помогут избежать осложнений и способствуют заживлению тканей.
1. Соблюдение гигиены полости рта
После лечения кисты необходимо уделять особое внимание гигиене полости рта. Чистите зубы не менее дважды в день, используя мягкую зубную щётку и фторсодержащую зубную пасту. Избегайте жестких щеток, которые могут повредить десны. Также рекомендуется использовать антисептические ополаскиватели для рта, чтобы предотвратить инфекцию.
2. Избегание раздражающих факторов
В первые дни после лечения старайтесь избегать горячей, холодной, острой и кислой пищи, так как она может вызвать дискомфорт и раздражение. Лучше всего придерживаться мягкой и нейтральной диеты, чтобы не травмировать область, где проводилось лечение.
3. Применение назначенных лекарств
Если врач назначил антибиотики или противовоспалительные препараты, обязательно следуйте его указаниям. Эти лекарства помогут предотвратить инфекцию и снизить воспаление. Не прекращайте курс лечения, даже если симптомы исчезли, без консультации с врачом.
4. Регулярные визиты к стоматологу
После лечения кисты важно регулярно посещать стоматолога для контроля за состоянием зуба и окружающих тканей. Врач сможет оценить процесс заживления и при необходимости скорректировать лечение. Обычно рекомендуется приходить на осмотр через 1-2 недели после процедуры, а затем раз в 3-6 месяцев.
5. Избегание физических нагрузок
В первые дни после лечения старайтесь избегать интенсивных физических нагрузок и стрессов, так как они могут негативно сказаться на процессе восстановления. Дайте организму время на восстановление, чтобы избежать осложнений.
6. Обращение к врачу при возникновении осложнений
Если после лечения вы заметили ухудшение состояния, появление сильной боли, отека или гноя, немедленно обратитесь к стоматологу. Эти симптомы могут указывать на развитие инфекции или другие осложнения, требующие вмешательства специалиста.
Следуя этим рекомендациям, вы сможете ускорить процесс восстановления после лечения кисты зуба и минимизировать риск возникновения повторных проблем. Помните, что здоровье зубов и десен напрямую зависит от вашего ухода и регулярных визитов к стоматологу.



