Керамические коронки на зубы становятся популярным решением для восстановления эстетики и функциональности улыбки. В статье представлены фотографии до и после установки керамических коронок на передние зубы, что позволяет оценить их влияние на внешний вид. Обсудим преимущества керамических материалов, срок службы и современные виды коронок, чтобы помочь читателям сделать осознанный выбор при стоматологическом вмешательстве.
Преимущества с точки зрения эстетики
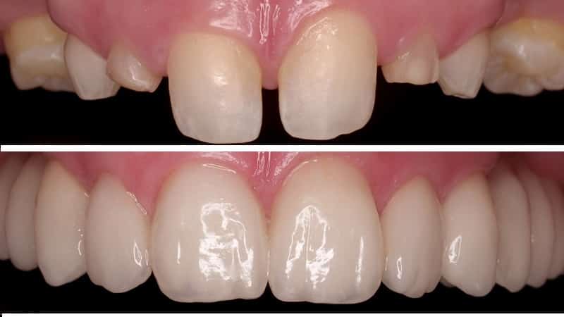
Что представляют собой керамические протезы и как оценить их качество? Это довольно просто: на фотографиях до и после они выглядят как настоящие зубы благодаря уникальным свойствам материала. Важно отметить, что в их составе отсутствует металл, что обеспечивает максимально естественный внешний вид.
Эксперты единодушны в том, что керамические протезы обеспечивают наилучший эстетический результат. Их можно устанавливать не только на передние, но и на жевательные зубы. Эти коронки не имеют металлического каркаса, который может просвечивать и придавать коронкам темный оттенок, что делает их менее схожими с соседними зубами. Керамика же обладает свойствами, позволяющими точно имитировать структуру и прозрачность зубных тканей. Цвет протезов также можно настраивать, чтобы добиться нужного оттенка. На фотографиях керамические зубы выглядят максимально естественно, что не всегда можно сказать о других типах протезов.
Кроме того, керамические протезы выполняют свою основную функцию — восстанавливают утраченные зубы, полностью или почти полностью. Они становятся необходимыми при потере более 70% зубной ткани.
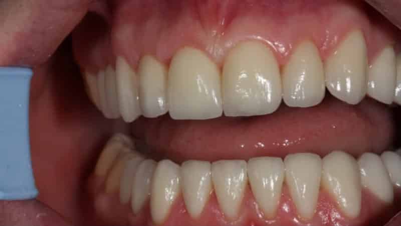
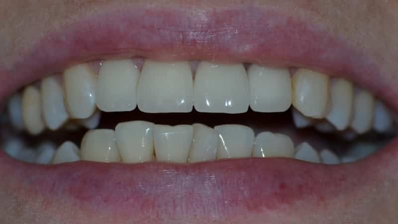
Врачи-стоматологи отмечают, что керамические зубы становятся все более популярными среди пациентов, желающих улучшить свою улыбку. По их мнению, коронки из керамики обеспечивают не только эстетичный внешний вид, но и высокую прочность. Врачи подчеркивают, что такие коронки идеально имитируют натуральные зубы, что особенно важно для передних зубов.
Сравнивая фотографии до и после установки керамических коронок, специалисты отмечают значительное улучшение не только в эстетике, но и в функциональности. Керамика не вызывает аллергических реакций и не меняет цвет со временем, что делает ее идеальным выбором для долгосрочного использования.
Однако врачи предупреждают, что для достижения наилучших результатов важно выбирать квалифицированного специалиста, который сможет правильно установить коронки и учесть индивидуальные особенности пациента.
https://youtube.com/watch?v=tpB1j7vCsrI
Плюсы использования материала
Свойства данного материала.
- Биологическая совместимость, обусловленная инертностью керамики. Это качество способствует быстрому привыканию к протезам. Коронки не поглощают запахи и не позволяют бактериям проникать в организм, предотвращая их внедрение в структуру материала.
- Гипоаллергенность. Такие изделия не выделяют никаких посторонних веществ, поэтому организм не воспринимает их как чуждые. Десны вокруг коронки практически никогда не воспаляются.
- Прочность. Хотя надежность этих коронок не всегда сопоставима с металлическими, они могут использоваться и для жевательных зубов, но требуют более тщательного ухода и внимания.
- Протезы из этого материала могут быть изготовлены максимально тонкими, не теряя при этом прочности и надежности. Это важно, так как тонкие протезы не требуют значительной обработки зуба, что является болезненной процедурой, связанной с удалением лишней ткани. Даже при анестезии некоторые пациенты отмечают сильные болевые ощущения. Кроме того, сохранение большего объема родных тканей гарантирует длительный срок службы установленных на них конструкций.
- Возможность применения специального цемента. Этот крепящий материал обеспечивает надежную фиксацию протеза на зубе, что исключает попадание бактерий под аппарат и способствует здоровью всей ротовой полости, а также долговечности конструкций.
Фотографии керамических коронок подтверждают, что такие протезы практически невозможно отличить от натуральных зубов.
| Параметр | До установки керамических коронок | После установки керамических коронок |
|---|---|---|
| Внешний вид зубов | Сколы, трещины, изменение цвета, неровности, старые пломбы, промежутки между зубами | Естественный цвет, правильная форма, отсутствие дефектов, ровный зубной ряд, эстетичный вид |
| Функциональность | Затруднения при жевании, чувствительность к температуре, дискомфорт, риск дальнейшего разрушения зуба | Восстановление жевательной функции, отсутствие чувствительности, комфорт, защита зуба от разрушения |
| Уверенность в себе | Стеснение улыбаться, низкая самооценка из-за эстетических проблем с зубами | Свободная улыбка, повышение самооценки, улучшение качества жизни |
| Состояние десен | Воспаление десен (в некоторых случаях), раздражение от старых реставраций | Здоровые десны, отсутствие воспалений, хорошая адаптация коронок к десневому краю |
| Долговечность | Зависит от состояния зуба и пломб, может быть недолгой при значительных разрушениях | Долговечное решение (10-15 лет и более при правильном уходе), высокая прочность и износостойкость |
Наиболее распространенные и современные виды аппаратов
Специалисты настоятельно рекомендуют выбирать коронки, изготовленные из прессованной керамики. Такие керамические конструкции на зубах по внешнему виду практически не отличаются от других аналогичных изделий. Однако врачи подчеркивают их повышенную прочность, что является подтвержденным фактом. Кроме того, данный материал позволяет максимально точно воспроизводить оттенки зубов. Таким образом, можно утверждать, что это современный и прогрессивный метод создания протезов, который обеспечивает длительный срок службы и привлекательный внешний вид.
Безметалловые керамические коронки на основе оксида циркония часто ошибочно относят к этому типу протезов, что является неверным. Данный материал представляет собой разновидность металла. Такие коронки отличаются лишь тем, что лучше передают оттенки зубов благодаря белому цвету металла. Однако они не способны воссоздать естественную прозрачность, и выбор оттенков также ограничен. В то же время, по прочности сплав успешно конкурирует с керамикой. Исходя из этого, можно сделать вывод, что такие коронки лучше использовать для жевательных зубов, в то время как для фронтальных и передних зубов предпочтительнее применять именно керамические протезы.
https://youtube.com/watch?v=Uc25OHYdJEU
Для каких зубов подходят больше такие протезы
Ранее многие эксперты утверждали, что керамические коронки идеально подходят для передних зубов, однако отзывы пациентов свидетельствуют о их универсальности. В настоящее время, как уже упоминалось, применяется прессованный материал, который позволяет устанавливать такие конструкции и на жевательные зубы. Эти материалы обладают высокой прочностью и надежностью, и даже без металлической основы они обеспечивают долговечность коронки и возможность ее установки не только в зоне улыбки.
На фотографиях керамических коронок на передние зубы до и после четко видно, что в плане эстетики и естественности улыбки такие протезы превосходят другие варианты. Цены на керамические коронки для передних зубов варьируются в разных клиниках, и нельзя не отметить, что это довольно дорогостоящее решение. В столице стоимость в некоторых медицинских учреждениях может достигать 50 000 рублей за одну коронку. Однако есть и клиники, где цены более приемлемы, и за протез могут запросить всего 25 000 рублей.
Срок службы
Отзывы о керамических коронках на зубы в основном положительные. Негативные результаты чаще всего связаны с неправильным уходом и недостаточным вниманием к протезам. Каждая такая конструкция имеет свой срок службы, который зависит не только от прочности материала, но и от разрушения фиксирующего вещества. Это может привести к расшатыванию коронки и попаданию бактерий под нее.
Для металлокерамических конструкций срок службы составляет 5-7 лет, не более. Со временем цемент теряет свои свойства, и коронка начинает шататься, что может вызвать травмы десен. Керамические протезы, как правило, можно менять раз в десять лет. Это связано с использованием современных адгезивных материалов для крепления, которые обеспечивают надежную фиксацию на более длительный срок по сравнению с обычным цементом.
Почему же теперь можно устанавливать такие коронки на жевательные зубы, когда раньше это считалось недопустимым? Современные технологии и прессованная керамика позволяют успешно справляться с нагрузками, возникающими при жевании. Если возникают сколы, что может случиться с любыми протезами, включая металлокерамические, их можно легко восстановить. Отсутствие каркаса делает повреждения менее заметными, а значительные сколы можно заполировать.
Как подобрать аппарат
При выборе подходящего протеза крайне важно проконсультироваться с лечащим врачом. Эта консультация необходима, так как специалист знаком с индивидуальной клинической ситуацией, показаниями и симптомами, а также потребностями пациента. Мнение самого пациента также имеет значение. Врач должен подробно объяснить процесс установки и предоставить информацию о стоимости протезов.
Установка керамических протезов не требует значительного обтачивания зубов, что является важным аспектом для многих пациентов. Кроме того, в большинстве случаев нет необходимости удалять пульпу, что позволяет сохранить зубы живыми. Изготовление коронок занимает определенное время, поэтому пациентам часто устанавливают временные пластмассовые протезы.
Металлические конструкции отличаются высокой прочностью, однако керамические протезы выглядят гораздо более эстетично. Практически не вызывает сомнений, что для имитации передних зубов керамика является оптимальным выбором. Использование других материалов может быть оправдано лишь в случае нехватки финансов. В таком случае разумнее выбрать пластмассовые аппараты, которые стоят дешевле, но также обладают хорошей эстетикой.
Выбор остается за пациентом, однако формировать свое мнение следует на основе актуальной информации, предоставленной специалистом. Консультация является обязательной, особенно учитывая, что это значительное финансовое вложение. Врач может порекомендовать конкретную клинику, но настаивать на своем выборе считается признаком непрофессионального подхода. Пациент имеет право выбрать клинику с более доступными ценами, и это его законное право.
https://youtube.com/watch?v=d1UrhxjX26U
Процесс установки керамических коронок
Установка керамических коронок – это многоэтапный процесс, который требует высокой квалификации стоматолога и тщательной подготовки. Первоначально пациент проходит консультацию, на которой врач оценивает состояние зубов, проводит необходимые обследования и обсуждает с пациентом желаемый результат. Важно учитывать, что керамические коронки могут быть установлены как на сильно разрушенные зубы, так и на зубы, которые нуждаются в эстетической коррекции.
Первым этапом является подготовка зуба. Стоматолог проводит анестезию, чтобы минимизировать дискомфорт пациента. Затем зуб обрабатывается: с него снимается верхний слой эмали, чтобы коронка могла плотно прилегать и не вызывать дискомфорта при укусе. Важно, чтобы подготовленный зуб имел правильную форму, что обеспечит надежную фиксацию коронки.
После подготовки зуба стоматолог делает слепок, который будет использован для создания индивидуальной коронки. Существует несколько методов снятия слепков: традиционные с использованием специальной пасты или современные цифровые технологии, которые позволяют создать 3D-модель зуба. Выбор метода зависит от оборудования клиники и предпочтений врача.
На основе полученного слепка в зуботехнической лаборатории изготавливается керамическая коронка. Этот процесс может занять от нескольких дней до нескольких недель, в зависимости от сложности случая и загруженности лаборатории. Важно, чтобы коронка была выполнена с учетом всех анатомических и эстетических особенностей пациента, включая цвет, форму и размер.
На время ожидания постоянной коронки пациенту может быть установлена временная коронка, которая защитит подготовленный зуб и обеспечит его функциональность. Временные коронки обычно изготавливаются из акрилового материала и не обладают такой же прочностью и эстетикой, как керамические.
Когда постоянная коронка готова, пациент возвращается в клинику для ее установки. Стоматолог проверяет, как коронка сидит на зубе, и при необходимости вносит коррективы. После этого коронка фиксируется на зубе с помощью специального цемента. Важно, чтобы коронка была установлена правильно, чтобы избежать проблем с прикусом и обеспечить долговечность конструкции.
После установки коронки стоматолог дает рекомендации по уходу за ней и общему состоянию полости рта. Керамические коронки требуют такого же ухода, как и натуральные зубы: регулярной чистки, использования зубной нити и посещения стоматолога для профилактических осмотров.
Уход за керамическими зубами
Уход за керамическими зубами является важным аспектом поддержания их эстетического вида и долговечности. Керамические коронки, благодаря своим свойствам, могут служить долго, но для этого необходимо соблюдать определенные правила ухода.
Первое, на что стоит обратить внимание, это регулярная гигиена полости рта. Керамические зубы, как и натуральные, требуют ежедневной чистки. Рекомендуется использовать зубную пасту с низким уровнем абразивности, чтобы избежать повреждения поверхности коронок. Чистить зубы следует не менее двух раз в день, уделяя особое внимание участкам вокруг коронок, где может скапливаться налет и пищевые остатки.
Второй важный аспект — использование зубной нити. Она помогает удалить остатки пищи и налет из труднодоступных мест между зубами и коронками. Зубная нить должна быть мягкой и не повреждать керамическую поверхность. Также можно использовать межзубные щетки для более тщательной очистки.
Третьим пунктом является регулярное посещение стоматолога. Профессиональная чистка и осмотр помогут выявить возможные проблемы на ранней стадии. Стоматолог может рекомендовать специальные средства для ухода за керамическими коронками, которые помогут сохранить их блеск и предотвратить появление пятен.
Кроме того, стоит избегать чрезмерного давления на керамические зубы. Это означает, что следует быть осторожным с жесткой пищей, такой как орехи или твердые конфеты, которые могут привести к повреждению коронок. Также рекомендуется избегать привычек, таких как скрежетание зубами или использование зубов в качестве инструмента.
Важно помнить, что керамические коронки могут изменять свой цвет со временем, особенно если не соблюдать правила ухода. Поэтому стоит ограничить потребление красящих продуктов, таких как кофе, чай и красное вино, или использовать соломинки для питья, чтобы минимизировать контакт с коронками.
В заключение, правильный уход за керамическими зубами включает в себя регулярную гигиену, использование дополнительных средств для чистки, посещение стоматолога и осторожное обращение с зубами. Соблюдение этих рекомендаций поможет сохранить керамические коронки в идеальном состоянии на долгие годы.
Сравнение с другими видами протезирования
Керамические зубы, или керамические коронки, являются одним из самых популярных решений в области стоматологического протезирования. Однако, чтобы понять их преимущества, важно сравнить их с другими видами протезирования, такими как металлические коронки, композитные материалы и зубные импланты.
Металлические коронки традиционно использовались в стоматологии и могут быть изготовлены из различных металлов, включая золото, серебро и нержавеющую сталь. Хотя они обладают высокой прочностью и долговечностью, их эстетические качества оставляют желать лучшего. Металлические коронки заметны на зубах, что делает их менее привлекательными для пациентов, стремящихся к естественному виду улыбки. В отличие от них, керамические коронки имеют цвет, который можно точно подобрать под цвет натуральных зубов, что делает их практически незаметными.
Композитные коронки также используются для восстановления зубов, однако они менее прочные и могут со временем терять свой цвет. Композитные материалы более подвержены износу и могут требовать частой замены. Керамика, напротив, обладает высокой устойчивостью к окрашиванию и механическим повреждениям, что делает ее более долговечным вариантом.
Зубные импланты представляют собой другой подход к восстановлению утраченных зубов. Они включают в себя хирургическую установку титановых винтов в челюсть, на которые затем крепятся коронки. Хотя импланты обеспечивают отличную стабильность и функциональность, их установка требует более сложной хирургической процедуры и значительного времени на восстановление. Керамические коронки, в свою очередь, могут быть установлены быстрее и менее инвазивно, что делает их более доступным вариантом для многих пациентов.
Таким образом, керамические коронки представляют собой оптимальное сочетание эстетики и функциональности. Они обеспечивают естественный вид, долговечность и устойчивость к повреждениям, что делает их предпочтительным выбором для многих людей, нуждающихся в протезировании зубов.



