Керамические брекеты становятся популярным выбором для пациентов, стремящихся к ровной улыбке. В статье рассмотрим основные плюсы и минусы керамических брекетов, а также предоставим фото до и после установки для наглядности. Вы узнаете о преимуществах, недостатках и противопоказаниях керамических конструкций. Эта информация поможет вам понять, подходит ли вам этот метод ортодонтического лечения.
Особенности конструкции
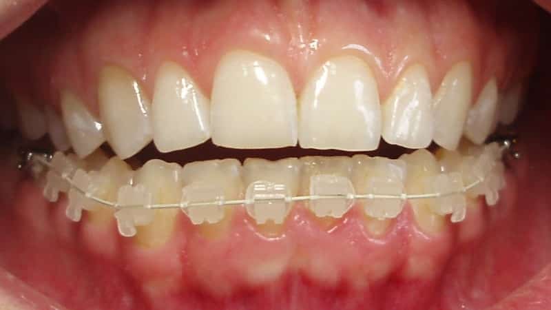
Керамическую брекет-систему на изображении практически невозможно заметить, если на ней не акцентировать внимание.
Это особый вид вестибулярной системы, обладающий уникальными характеристиками. Такие брекеты фиксируются на передней поверхности зубов с помощью специального стоматологического клея.
Основные компоненты системы можно выделить следующим образом.
- Брекеты, изготовленные из керамики. Для того чтобы они были менее заметными, подбирается цвет, максимально приближенный к эмали пациента, что позволяет достичь естественного оттенка. Для надежного крепления брекетов на их внутренней стороне имеются небольшие бороздки, которые не бросаются в глаза.
- Дуга, предназначенная для соединения зубов. Она обладает эластичностью и изготавливается из металла. Благодаря дуге создается необходимое натяжение, что способствует выравниванию зубного ряда.
- Элементы крепления брекетов к металлической дуге. В качестве таких элементов могут использоваться, например, лигатуры, если применяется лигатурная система.
Наиболее часто для производства брекетов используется металлокерамика, что обеспечивает прочность этих элементов.
Этот материал считается оптимальным для подобных конструкций, что подтверждают специалисты. Керамика также используется для брекетов, но чаще всего с добавлением дополнительных компонентов. Для передних зубов применяют керамику, а для коренных или жевательных поверхностей – металл. Это позволяет достичь необходимого сочетания элементов в системе, делая их прочными и надежными. Кроме того, такие конструкции имеют длительный срок службы, брекеты не теряют своего первоначального вида и не окрашиваются.
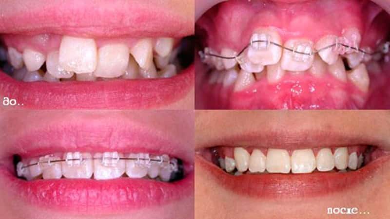
Часто для демонстрации преимуществ и эффективности различных аппаратов используются фотографии «до и после», на которых керамические брекеты наглядно подтверждают свою практичность. При ношении таких конструкций обычно не возникает эстетических проблем.
В настоящее время применяются как керамические брекеты с белой дугой, которые легко заметны на фото, так и с прозрачной. Сами элементы могут быть как белыми, так и прозрачными. Судя по фотографиям, белые брекеты могут быть столь же незаметными, как и прозрачные. Это новое слово в технологии, однако процесс установки остается таким же, как и у других подобных систем. Каждый брекет устанавливается на свое место согласно маркировке, а крепление к дуге осуществляется с помощью лигатур или замочков.
Керамические брекеты становятся все более популярными среди пациентов, стремящихся к эстетичному исправлению зубного ряда. Врачи отмечают, что основным преимуществом таких брекетов является их незаметность: они сливаются с цветом зубов, что делает их менее заметными по сравнению с металлическими аналогами. Кроме того, керамика менее подвержена коррозии и может быть более комфортной для слизистой оболочки рта.
Однако у керамических брекетов есть и свои недостатки. Врачи предупреждают, что они могут быть менее прочными и более склонными к повреждениям, особенно при сильных нагрузках. Также стоит учитывать, что керамические брекеты могут быть дороже металлических, что может стать решающим фактором для некоторых пациентов. Важно, чтобы каждый пациент обсудил все плюсы и минусы с ортодонтом, чтобы выбрать наиболее подходящий вариант для своего случая.
https://youtube.com/watch?v=Ace6tfW2N5E
Противопоказания
Существуют и противопоказания для установки данной конструкции.
- При наличии заболеваний пародонта решение о целесообразности установки принимает стоматолог. Если симптомы заболевания выражены в значительной степени, это является явным противопоказанием.
- Кариес также может стать причиной отказа в выравнивании зубного ряда. Это может произойти, если кариес запущен и сильно затрагивает переднюю поверхность зубов.
- Наличие серьезных заболеваний у пациента также служит противопоказанием. Болезни сердечно-сосудистой или иммунной системы делают установку брекетов невозможной.
- Люди с психическими расстройствами часто проявляют непоследовательность в поведении и не могут контролировать свои действия. Для проведения процедур требуется сосредоточенность и спокойствие пациента. Кроме того, за брекетами необходим уход. Поэтому пациентам с такими проблемами может быть отказано в проведении процедуры.
| Критерий | Плюсы керамических брекетов | Минусы керамических брекетов |
|---|---|---|
| Эстетика | Практически незаметны на зубах, сливаются с естественным цветом эмали. | Могут быть немного крупнее металлических, что делает их чуть более заметными при очень близком рассмотрении. |
| Материал | Гипоаллергенны, не вызывают раздражения слизистой. | Более хрупкие по сравнению с металлическими, требуют бережного обращения. |
| Комфорт | Гладкая поверхность, меньше натирают слизистую. | Могут быть немного менее комфортными из-за большего размера по сравнению с металлическими мини-брекетами. |
| Эффективность | Эффективны для исправления большинства ортодонтических проблем. | В некоторых сложных случаях могут требовать более длительного лечения из-за большего трения между дугой и брекетом. |
| Стоимость | Более высокая стоимость по сравнению с металлическими брекетами. | Более высокая стоимость по сравнению с металлическими брекетами. |
| Уход | Требуют тщательного ухода, так как могут окрашиваться от некоторых продуктов (кофе, чай, красное вино). | Требуют тщательного ухода, так как могут окрашиваться от некоторых продуктов (кофе, чай, красное вино). |
| Прочность | Менее прочные, чем металлические, риск сколов и поломок выше. | Менее прочные, чем металлические, риск сколов и поломок выше. |
| Срок лечения | В некоторых случаях может быть немного дольше, чем с металлическими брекетами. | В некоторых случаях может быть немного дольше, чем с металлическими брекетами. |
Преимущества и недостатки
Керамические брекеты на фотографиях до и после выглядят весьма привлекательно. Они практически не заметны, и их эффективность очевидна при правильном использовании. На первый взгляд, кажется, что ношение таких конструкций имеет только положительные стороны. Но так ли это на самом деле?
Наверняка, нет ни одного стоматологического устройства, которое не имело бы своих недостатков. И керамические брекеты тоже имеют как плюсы, так и минусы.
Отзывы о них в основном положительные, поэтому логично предположить, что преимуществ больше. Сначала стоит рассмотреть именно положительные стороны, так как эта система действительно эффективна, заслужила свою репутацию и стала очень популярной среди пациентов стоматологических клиник.
Преимущества керамических брекетов.
- Керамика может точно имитировать естественный цвет зубов пациента. Это обеспечивает высокую эстетичность всей конструкции. Такие брекеты почти незаметны для окружающих, что является значительным плюсом, так как носить их приходится долго. Для людей, чья работа связана с постоянным общением, это особенно важно. Некоторые пациенты испытывают дискомфорт не только из-за необходимости общения по работе. Брекеты могут стать причиной насмешек или непонимания со стороны одноклассников и студентов в вузах.
- Керамика не вызывает таких серьезных аллергических реакций, как металл. Даже металлокерамика считается гипоаллергенной. Конструкции из керамики подходят даже для людей с повышенной чувствительностью.
- Элементы этой системы имеют гладкую поверхность и округлую форму. Это делает их совершенно не травматичными при ношении. Десны и щеки не повреждаются при использовании таких конструкций.
- Вероятность поломки конструкции невелика. Материал достаточно прочный и надежный.
- В настоящее время производители продуктов питания и напитков активно используют различные красители, что часто приводит к окрашиванию поверхностей стоматологических аппаратов. Керамика устойчива к таким красителям, и в течение всего срока ношения брекетов они не теряют своего цвета.
- Кроме того, элементы этой стоматологической системы не желтеют со временем.
- Керамические компоненты можно комбинировать с металлическими. Как уже упоминалось, часто в одной конструкции используются оба материала, либо применяется металлокерамика.
После того как мы рассмотрели плюсы керамических брекетов, стоит упомянуть и о минусах. Однако их список будет не слишком длинным.
Недостатки использования таких аппаратов.
- Эти стоматологические конструкции не всем доступны, и это нужно признать. Их стоимость достаточно высока. В столице установка может обойтись в несколько десятков тысяч рублей. В провинции цена немного ниже, но за границей такие брекеты стоят еще дороже.
- При использовании керамических конструкций срок лечения может увеличиться на несколько месяцев. То есть, для исправления прикуса потребуется больше года.
- Существует и более серьезный недостаток керамических брекетов. Элементы системы плотно прилегают к зубу, что может привести к деминерализации эмали. Если не заметить признаки этого процесса вовремя, это может привести к разрушению зуба.
Именно поэтому необходимо строго соблюдать все правила ухода за брекетами и следовать рекомендациям специалистов. При возникновении любых проблем следует обратиться в клинику к лечащему врачу.
Стоимость процедуры достаточно высока, поэтому важно учитывать, что, как правило, стоимость консультаций уже включена в общий прайс. Даже если врач не напомнил об этом, лучше не допускать возникновения негативных последствий.
Уход за брекетами несложен. Необходимо тщательно их очищать, использовать специальные средства, зубные щетки и пасты и т.д. Также важно соблюдать определенные правила питания. Нельзя употреблять некоторые продукты, которые могут повредить конструкцию. Другие рекомендации даст врач. Специалист также может проконсультировать по поводу правильного питания на период ношения стоматологического аппарата. Визит к стоматологу никогда не будет лишним, это стоит запомнить.
https://youtube.com/watch?v=yn6yj8TpZlA
https://youtube.com/watch?v=JWjJ9ahac1I
Процесс установки и снятия
Процесс установки керамических брекетов начинается с тщательной подготовки. Сначала ортодонт проводит полное обследование полости рта пациента, включая рентгенографию и 3D-сканирование, чтобы оценить состояние зубов и челюсти. На этом этапе также обсуждаются цели лечения и возможные варианты коррекции прикуса.
После диагностики врач выбирает подходящий план лечения и назначает дату установки брекетов. В день процедуры пациенту необходимо прийти с чистыми зубами. Ортодонт начинает с обработки зубов: их очищают и полируют, чтобы обеспечить хорошую адгезию. Затем на зубы наносится специальный клей, который будет удерживать брекеты на месте.
Керамические брекеты устанавливаются поэтапно. Сначала на каждый зуб приклеивается брекет, после чего на них натягивается дуга, которая будет направлять зубы в нужное положение. Важно отметить, что установка керамических брекетов может занять больше времени, чем установка металлических, из-за их более деликатной конструкции.
После установки брекетов пациенту даются рекомендации по уходу за полостью рта и диете. Важно избегать жесткой и липкой пищи, чтобы не повредить брекеты. Регулярные визиты к ортодонту необходимы для контроля процесса лечения и замены дуг.
Снятие керамических брекетов происходит по окончании лечения, когда зубы достигли желаемого положения. Ортодонт использует специальные инструменты для аккуратного удаления брекетов, чтобы минимизировать риск повреждения зубной эмали. После снятия брекетов на зубы может быть установлен ретейнер, который поможет сохранить достигнутый результат.
Важно помнить, что процесс установки и снятия брекетов требует профессионального подхода и внимательного отношения как со стороны врача, так и со стороны пациента. Соблюдение всех рекомендаций и регулярные визиты к ортодонту помогут добиться наилучших результатов в коррекции прикуса.
Уход за керамическими брекетами
Уход за керамическими брекетами требует особого внимания и тщательности, так как они, несмотря на свою эстетическую привлекательность, могут быть более чувствительными к загрязнениям и повреждениям по сравнению с металлическими аналогами. Правильный уход не только способствует поддержанию гигиеничности полости рта, но и продлевает срок службы брекетов, а также обеспечивает эффективность ортодонтического лечения.
Первым и важнейшим аспектом ухода является регулярная и тщательная гигиена полости рта. Рекомендуется чистить зубы не менее двух раз в день с использованием фторсодержащей зубной пасты. Специальные щетки для брекетов, которые имеют мягкие щетинки и могут достигать труднодоступных мест, помогут удалить налет и остатки пищи. Также стоит обратить внимание на использование зубной нити или интердентальных щеток, которые помогут очистить промежутки между зубами и брекетами.
Кроме того, важно помнить о регулярных визитах к ортодонту. Специалист сможет не только контролировать процесс лечения, но и проводить профессиональную чистку, что поможет избежать накопления зубного налета и камня. Обычно такие визиты рекомендуются каждые 4-6 недель, в зависимости от индивидуальных особенностей пациента и сложности случая.
Следует также учитывать, что некоторые продукты могут негативно сказаться на состоянии керамических брекетов. Например, жесткие и липкие продукты могут привести к повреждению или отклеиванию брекетов. К таким продуктам относятся орехи, жевательная резинка, карамель и другие сладости. Рекомендуется избегать их употребления или быть особенно осторожным при их поедании.
Для поддержания белизны керамических брекетов стоит избегать красящих напитков, таких как кофе, чай и красное вино, которые могут привести к изменению цвета материала. Если же такие напитки были употреблены, рекомендуется сразу же прополоскать рот водой или почистить зубы.
В заключение, уход за керамическими брекетами требует комплексного подхода, включающего регулярную гигиену, контроль за питанием и частые визиты к ортодонту. Соблюдение этих рекомендаций поможет не только сохранить здоровье зубов, но и обеспечить успешное завершение ортодонтического лечения.
Сравнение с другими типами брекетов
Керамические брекеты, как и другие типы ортодонтических аппаратов, имеют свои уникальные характеристики, которые делают их более или менее предпочтительными в зависимости от конкретных потребностей пациента. Важно рассмотреть их в сравнении с металлическими и сапфировыми брекетами, чтобы понять, какие преимущества и недостатки они могут предложить.
Металлические брекеты являются наиболее распространенным типом ортодонтических аппаратов. Они изготавливаются из нержавеющей стали и отличаются высокой прочностью и долговечностью. Однако их заметный внешний вид может быть недостатком для пациентов, стремящихся к эстетике. Керамические брекеты, в свою очередь, имеют более естественный цвет, что делает их менее заметными на зубах. Это особенно важно для взрослых пациентов и подростков, которые могут стесняться носить традиционные металлические брекеты.
Сапфировые брекеты также являются эстетически привлекательной альтернативой, так как они изготавливаются из прозрачного или полупрозрачного материала, который сливается с цветом зубов. Однако сапфировые брекеты могут быть более хрупкими и подвержены повреждениям по сравнению с керамическими. Керамические брекеты, хотя и менее заметные, обладают хорошей прочностью и устойчивостью к износу, что делает их более надежным выбором для долгосрочного лечения.
С точки зрения комфорта, керамические брекеты могут быть более щадящими для десен и слизистой оболочки рта, чем металлические. Они имеют гладкую поверхность, что снижает вероятность возникновения раздражения. Однако стоит отметить, что керамические брекеты могут быть более чувствительными к температурным изменениям, что иногда вызывает дискомфорт при употреблении горячей или холодной пищи.
Что касается стоимости, керамические брекеты обычно стоят дороже, чем металлические, но могут быть сопоставимы по цене с сапфировыми. Это может стать решающим фактором для пациентов, которые рассматривают различные варианты лечения. Важно учитывать не только первоначальные затраты, но и долгосрочные преимущества, такие как меньшая необходимость в коррекции и более эстетичный внешний вид.
Наконец, время лечения может варьироваться в зависимости от типа брекетов. Керамические брекеты могут требовать больше времени для достижения желаемых результатов по сравнению с металлическими, так как они могут быть менее эффективными в перемещении зубов. Однако современные технологии и материалы постоянно улучшаются, что позволяет сократить время лечения и повысить эффективность керамических брекетов.
В заключение, выбор между керамическими, металлическими и сапфировыми брекетами зависит от индивидуальных предпочтений пациента, его бюджета и специфических потребностей в ортодонтическом лечении. Каждый тип брекетов имеет свои плюсы и минусы, и важно проконсультироваться с ортодонтом, чтобы выбрать наиболее подходящий вариант.

