Зубная эмаль – защитный слой, который защищает зубы от разрушения и чувствительности. Однако неправильное питание, недостаточная гигиена и вредные привычки могут ослабить эмаль, вызывая проблемы с зубами. В статье рассмотрим причины ослабления зубной эмали и предложим народные средства для её укрепления в домашних условиях. Эти методы помогут сохранить здоровье зубов и предотвратить стоматологические заболевания.
Причины ослабления эмали
Зубная эмаль является первой линией защиты зубов от негативных внешних воздействий. Сохранение ее анатомической целостности позволяет значительно уменьшить вероятность серьезных повреждений зубов.
Итак, какие факторы негативно влияют на зубную эмаль? Причин множество, но выделим основные:
- Наиболее распространенная причина – неправильная гигиена полости рта. Рекомендуется использовать зубную щетку с мягкой или средней жесткостью. Зубная паста, предназначенная для укрепления эмали, должна содержать фтор и кальций — компоненты, способствующие восстановлению микроповреждений. Кроме того, недостаточная тщательность при чистке может привести к образованию зубного камня, что способствует развитию кариеса.
- Потребление продуктов и напитков, негативно влияющих на полезную микрофлору ротовой полости. В первую очередь это касается сладостей, газированных напитков и продуктов с химическими красителями, а также кислых фруктов, таких как цитрусовые.
- Курильщики также подвержены повреждениям зубной эмали. В табачном дыме содержатся вещества, которые быстро оказывают негативное воздействие на зубы.
- Самостоятельное отбеливание зубов с использованием химических средств может существенно повредить эмаль.
- Наследственная предрасположенность или недостаток питательных веществ у плода в третьем триместре беременности. В этот период происходит формирование зубов, и будущим матерям следует уделить этому вопросу особое внимание.
- Заболевания пищеварительной системы, часто сопровождающиеся изжогой или рвотой. Желудочный сок, попадая в ротовую полость в этих случаях, оказывает негативное влияние на зубы.
Врачи отмечают, что укрепление зубной эмали с помощью народных средств может быть эффективным, но требует осторожного подхода. Одним из популярных методов является использование растворов на основе соды и соли, которые помогают нейтрализовать кислотность во рту. Однако специалисты предупреждают, что частое применение таких средств может привести к повреждению эмали. Также рекомендуется использовать натуральные масла, такие как кокосовое, для полоскания рта, что способствует укреплению зубов и улучшению состояния десен. Врачи советуют дополнить народные методы сбалансированным питанием, богатым кальцием и фосфором, а также регулярной гигиеной полости рта. Тем не менее, важно помнить, что перед применением любых домашних средств лучше проконсультироваться с стоматологом, чтобы избежать негативных последствий.
https://youtube.com/watch?v=2iLw4iUf13M
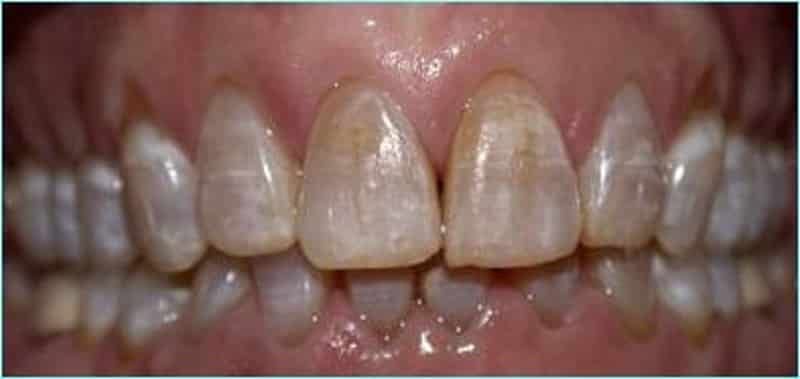
Признаки ослабленной эмали
Как укрепить зубную эмаль в домашних условиях? Этот вопрос требует серьезного внимания, особенно если вы заметили следующие негативные симптомы:
- Первый и наиболее очевидный признак повреждения эмали — повышенная чувствительность зубов и слизистых оболочек рта. Это проявляется в болезненных ощущениях при употреблении горячей или холодной пищи, а также при вдыхании холодного воздуха.
- Изменение цвета зубов. Обычно это проявляется в виде желтоватого или сероватого оттенка. Особенно тревожным признаком является прозрачность краев зубов.
- Появление мелких сколов или трещин на зубной поверхности.
| Народное средство | Действие на эмаль | Способ применения |
|---|---|---|
| Кокосовое масло | Антибактериальное, реминерализующее | Полоскать рот 10-15 минут ежедневно |
| Отвар ромашки | Противовоспалительное, укрепляющее | Полоскать рот после еды |
| Отвар шалфея | Антисептическое, вяжущее | Полоскать рот 2-3 раза в день |
| Зеленый чай | Содержит фтор, антиоксиданты | Пить ежедневно, полоскать рот |
| Яблочный уксус (разбавленный) | Удаляет налет, осветляет (использовать осторожно!) | Разбавить водой 1:10, полоскать 30 сек, затем прополоскать водой |
| Молочные продукты (кефир, йогурт) | Источник кальция и фосфора | Употреблять в пищу ежедневно |
| Кунжутное масло | Антибактериальное, питательное | Полоскать рот 5-10 минут, затем сплюнуть |
| Сода пищевая (осторожно!) | Нейтрализует кислоты, отбеливает | Развести в воде, полоскать не чаще 1-2 раз в неделю |
| Алоэ вера | Противовоспалительное, заживляющее | Сок алоэ разбавить водой, полоскать рот |
| Морская соль (разбавленная) | Антисептическое, укрепляющее | Развести в теплой воде, полоскать рот |
Как предотвратить разрушение зубов
При возникновении вышеописанных симптомов важно принять меры, чтобы предотвратить дальнейшее разрушение зубной ткани. Это можно сделать как с помощью медикаментов, так и с использованием народных методов. Как же укрепить зубную эмаль в домашних условиях с помощью народных средств?
Прежде всего, стоит внести некоторые изменения в свой образ жизни. Рекомендуется развить следующие полезные привычки:
- Измените свой рацион питания. Следует избегать кислых и острых блюд, а также продуктов, содержащих консерванты и химические добавки. Полезно увеличить потребление свежих овощей и фруктов, а также ограничить сладости.
- Употребляйте овощи в сыром виде. При термической обработке, такой как варка, тушение или жарка, овощи теряют множество полезных веществ, что приводит к недостатку необходимых элементов для поддержания здоровья зубов.
- Увеличьте объем потребляемой жидкости. Недостаток воды может привести к неправильному выделению слюны, которая играет важную роль в поддержании баланса в полости рта.
https://youtube.com/watch?v=WqrBMmXd7VU
Нетрадиционные методы укрепления эмали
Если изменения в структуре зубной эмали незначительны, не обязательно спешить к стоматологу. Можно попробовать восстановить эмаль в домашних условиях с помощью народных средств, которые использовали наши бабушки и прабабушки, сохраняя здоровье зубов до глубокой старости.
Укрепление зубной эмали в домашних условиях с использованием народных методов включает в себя следующие подходы, которые можно применять как по отдельности, так и в комплексе:
- Массаж десен. Его следует проводить ежедневно, аккуратно массируя десны. Это простое действие способствует улучшению кровообращения в костных тканях и слизистых оболочках, а также усиливает регенерацию в полости рта.
- Увеличение потребления кальция. Включите в рацион молочные продукты, кунжут, орехи, сою, петрушку и корицу.
- Добавление продуктов с витамином D. Этот витамин хорошо усваивается вместе с кальцием и содержится в куриных яйцах, сливках, сливочном масле, скумбрии и икре.
- Полоскание рта. После каждого приема пищи тщательно ополаскивайте рот очищенной водой. Это поможет удалить остатки пищи и предотвратить размножение бактерий, способствующих разрушению эмали.
- Еще один популярный метод — чистка зубов мягкой щеткой с использованием обычной соды в течение минуты.
- Две таблетки активированного угля без добавок нужно растолочь в порошок и смешать с небольшим количеством воды. Этой «пастой» чистите зубы раз в три дня.
- Клубника, размятая в кашицу, может использоваться как маска для зубов — это отличное средство для восстановления эмали.
- Эфирное масло чайного дерева — одно из самых безопасных и эффективных средств.
- Первый способ. Смешайте стакан воды с 2-3 каплями масла. Эта смесь станет отличной заменой традиционным ополаскивателям, укрепляя эмаль и дезинфицируя полость рта, а также предотвращая кариес и образование зубного камня.
- Второй способ — нанесите пару капель масла на щетку и чистите зубы. Это может вызвать легкое онемение десен и языка, но пройдет быстро. Такой метод эффективно укрепляет эмаль, заживляет микротрещины и устраняет кровоточивость десен.
- Используйте отвар шалфея вместо химических ополаскивателей после чистки. Для его приготовления залейте столовую ложку шалфея стаканом холодной воды и прокипятите на медленном огне около 15 минут, затем процедите.
> В отвар можно добавить зубчик чеснока для повышения витаминного состава, но учтите, что он будет менее приятен на вкус и с характерным запахом, поэтому лучше отложить такое полоскание перед свиданием. - Эффективен также отвар полыни. Готовьте его по тому же рецепту, что и отвар шалфея, но дайте настояться еще 30 минут перед процеживанием. Хотя вкус у него неприятный, его эффективность подтверждена временем.
-
Укрепление зубов особенно важно во время беременности.
Беременным женщинам рекомендуется использовать отвар на основе дубовой коры вместо традиционных ополаскивателей.
Не забывайте, что лучше предотвратить проблему, чем лечить. Профилактика разрушения зубной эмали поможет не только избежать кариеса, но и защитит слизистые ткани от воспалительных процессов.
https://youtube.com/watch?v=k4sOaWup4nw
Рекомендации по питанию для здоровья зубов
Правильное питание играет ключевую роль в укреплении зубной эмали и поддержании здоровья полости рта. Важно включать в свой рацион продукты, богатые витаминами и минералами, которые способствуют укреплению зубов и предотвращению их разрушения.
Кальций – один из основных минералов, необходимых для здоровья зубов. Он помогает укрепить зубную эмаль и предотвращает ее разрушение. Продукты, богатые кальцием, включают молочные изделия (молоко, йогурт, сыр), зеленые листовые овощи (шпинат, брокколи), а также рыбу с костями (сардины, лосось).
Фосфор также важен для здоровья зубов, так как он помогает в формировании и поддержании структуры зубной эмали. Продукты, содержащие фосфор, включают мясо, птицу, рыбу, яйца, орехи и бобовые.
Витамин D способствует усвоению кальция и фосфора, поэтому его недостаток может негативно сказаться на здоровье зубов. Витамин D можно получить из солнечного света, а также из продуктов, таких как жирная рыба (лосось, тунец), яичные желтки и обогащенные молочные продукты.
Витамин C необходим для поддержания здоровья десен и предотвращения воспалительных процессов в полости рта. Он способствует заживлению тканей и укрепляет соединительные ткани, которые поддерживают зубы. Включите в свой рацион цитрусовые (апельсины, лимоны), ягоды (клубника, черника), а также овощи (перец, брокколи, шпинат).
Кроме того, важно избегать продуктов, которые могут негативно сказаться на здоровье зубов. Сахар и кислые продукты (газированные напитки, сладости, цитрусовые соки) могут способствовать разрушению зубной эмали. Постарайтесь ограничить их потребление и после употребления таких продуктов обязательно прополощите рот водой.
Также стоит обратить внимание на водный баланс. Употребление достаточного количества воды помогает поддерживать слюноотделение, что, в свою очередь, способствует естественной защите зубов от кариеса и укреплению эмали. Слюна содержит минералы, которые помогают восстановить зубную эмаль и нейтрализовать кислоты, образующиеся в результате метаболизма сахаров.
Включение в рацион разнообразных продуктов, богатых необходимыми витаминами и минералами, а также соблюдение режима питья помогут укрепить зубную эмаль и поддерживать здоровье полости рта на высоком уровне.
Упражнения для укрепления зубной эмали
Зубная эмаль — это защитный слой, который покрывает зубы и защищает их от повреждений и кариеса. Укрепление эмали — важный аспект поддержания здоровья полости рта. Хотя многие люди ассоциируют уход за зубами исключительно с гигиеническими процедурами, существуют и специальные упражнения, которые могут помочь в укреплении зубной эмали.
Одним из таких упражнений является правильное жевание. Жевание твердой пищи, такой как морковь, яблоки или орехи, способствует естественному очищению зубов и стимулирует выработку слюны. Слюна, в свою очередь, содержит минералы, такие как кальций и фосфор, которые помогают восстанавливать и укреплять эмаль. Рекомендуется уделять внимание жеванию пищи с обеих сторон челюсти, чтобы обеспечить равномерное распределение нагрузки на зубы.
Еще одним полезным упражнением является полоскание рта после еды. Полоскание помогает удалить остатки пищи и нейтрализовать кислоты, которые могут разъедать эмаль. Для этого можно использовать простую воду или раствор, содержащий натуральные ингредиенты, такие как сода или морская соль. Полоскание рта не только способствует укреплению эмали, но и улучшает общее состояние полости рта.
Также стоит обратить внимание на дыхательные упражнения. Правильное дыхание через нос способствует увлажнению слизистой оболочки рта и улучшает кровообращение, что, в свою очередь, может положительно сказаться на состоянии зубов и десен. Рекомендуется выполнять дыхательные упражнения, такие как глубокое дыхание или дыхание по методике «4-7-8», что поможет расслабиться и улучшить общее состояние организма.
Не менее важным аспектом является массаж десен. Легкий массаж десен с помощью пальцев или специальной щетки способствует улучшению кровообращения и укреплению тканей, окружающих зубы. Это упражнение можно выполнять ежедневно, что поможет поддерживать здоровье десен и, как следствие, зубной эмали.
Наконец, стоит упомянуть о регулярных визитах к стоматологу. Хотя это не совсем упражнение, регулярные осмотры и профессиональная чистка зубов помогут выявить и предотвратить проблемы с эмалью на ранних стадиях. Стоматолог может дать рекомендации по укреплению эмали и предложить индивидуальные методы ухода за зубами.
В заключение, укрепление зубной эмали — это комплексный процесс, который включает в себя не только правильный уход за зубами, но и выполнение специальных упражнений. Правильное жевание, полоскание рта, дыхательные упражнения и массаж десен могут значительно улучшить состояние эмали и способствовать общему здоровью полости рта.
Советы по уходу за полостью рта
Укрепление зубной эмали — важный аспект поддержания здоровья полости рта. Эмаль — это защитный слой, который покрывает зубы и защищает их от разрушения. Существует множество народных средств, которые могут помочь в укреплении эмали и улучшении общего состояния зубов. Ниже представлены некоторые советы, которые помогут сохранить зубную эмаль в хорошем состоянии.
1. Правильная гигиена полости рта
Первый и самый важный шаг в уходе за зубами — это регулярная и правильная гигиена полости рта. Чистите зубы дважды в день с использованием фторсодержащей зубной пасты. Фтор помогает укрепить эмаль и предотвращает развитие кариеса. Не забывайте также о чистке языка и использовании зубной нити для удаления остатков пищи между зубами.
2. Полоскания с травами
Некоторые травы обладают свойствами, способствующими укреплению зубной эмали. Например, полоскания отварами шалфея, ромашки или мяты могут помочь в борьбе с воспалениями и укреплении десен. Для приготовления отвара достаточно залить 1-2 столовые ложки сухих трав 200 мл кипятка и настоять 15-20 минут. Полоскайте рот таким раствором 2-3 раза в день.
3. Использование натуральных масел
Кокосовое масло и масло чайного дерева обладают антисептическими свойствами и могут помочь в укреплении зубной эмали. Попробуйте метод «масляного полоскания»: возьмите 1-2 столовые ложки масла и полощите рот в течение 10-15 минут, затем сплюньте и прополощите рот водой. Это поможет удалить бактерии и укрепить зубы.
4. Употребление полезных продуктов
Ваш рацион также играет важную роль в состоянии зубной эмали. Включите в свой рацион продукты, богатые кальцием и фосфором, такие как молочные продукты, рыба, орехи и зеленые листовые овощи. Эти минералы способствуют укреплению зубов. Избегайте избыточного потребления сахара и кислых продуктов, так как они могут разрушать эмаль.
5. Витамины и минералы
Обратите внимание на витамины, которые способствуют укреплению зубной эмали. Витамин D помогает организму усваивать кальций, а витамин C укрепляет десны. Добавьте в свой рацион цитрусовые, ягоды, брокколи и другие продукты, богатые этими витаминами.
6. Регулярные визиты к стоматологу
Наконец, не забывайте о регулярных визитах к стоматологу. Профилактические осмотры помогут выявить проблемы на ранних стадиях и предотвратить их развитие. Стоматолог может предложить дополнительные методы укрепления эмали, такие как фторирование или применение специальных защитных покрытий.
Следуя этим советам, вы сможете значительно укрепить зубную эмаль и сохранить здоровье полости рта на долгие годы. Помните, что забота о зубах — это не только эстетика, но и важный аспект общего здоровья.

