Кариес зубов — распространенное стоматологическое заболевание, затрагивающее людей всех возрастов. Около 95% населения сталкиваются с этой проблемой, что делает кариес эпидемией. В статье рассмотрим основные причины, признаки и типы кариеса, а также эффективные меры профилактики. Эти аспекты помогут читателям защитить зубы и сохранить здоровье полости рта.
Признаки кариеса и стадии его формирования
Как определить кариес? Диагностика этого стоматологического заболевания может проводиться визуально на любой стадии. Если вы испытываете болевые ощущения, стоит внимательно осмотреть зубы на наличие пятен или углублений.
Кариес развивается через несколько этапов. Сначала на зубной эмали образуется дефект — пятно. Это место выглядит темнее окружающей эмали и называется очаговой деминерализацией. На начальной стадии могут появляться симптомы, такие как болезненность при контакте с горячей или сладкой пищей.
Небольшая полость в эмали со временем углубляется. Эмаль становится мягкой, и стоматолог может легко удалить её с помощью экскаватора. Эта стадия известна как начальное или поверхностное разрушение. Болевые ощущения минимальны, а углубления можно обнаружить при визуальном осмотре.
Когда полость достигает дентина, развивается средний кариес. На этой стадии пациенты могут ощущать боль при попадании остатков пищи или сладостей.
Глубокое разрушение дентина называется глубоким кариесом. Если процесс продолжается, гниение может затронуть пульповую камеру, где находятся нервные окончания и сосуды. Это может привести к пульпиту — воспалению пульпы.
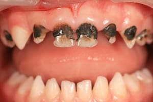
На представленных изображениях показаны стадии развития кариеса — от пятна до пульпита.
Кариозная полость имеет характерный черный цвет. Также могут образовываться скрытые полости под эмалью, не нарушая её целостности. В местах, где находятся внутренние полости, поверхность зуба становится темной.
Признаки кариеса включают не только наличие открытых полостей (дырок) в зубах, но и потемнение их поверхности.
На фотографиях можно увидеть, как выглядит кариес на разных стадиях своего развития. В зависимости от глубины поражения различают поверхностное, среднее и глубокое кариозное разрушение.
Фото — Стадия пятна Средний Глубокий кариес
Врачи подчеркивают, что кариес является одной из самых распространенных стоматологических проблем, и его причины могут быть разнообразными. Основным фактором является недостаточная гигиена полости рта, что приводит к накоплению зубного налета и образованию кислоты, разрушающей эмаль. Также важную роль играют питание, особенно потребление сахара, а также недостаток фтора. Признаки кариеса могут варьироваться от появления белых пятен на зубах до болевых ощущений и образования полостей. Существует несколько типов кариеса, включая поверхностный, средний и глубокий, каждый из которых требует индивидуального подхода к лечению. Врачи настоятельно рекомендуют регулярные профилактические осмотры и соблюдение правил гигиены для предотвращения развития кариеса.
https://youtube.com/watch?v=p30N_fXiQu8
Дифференциальная диагностика кариеса – что это такое?
Дифференциальная диагностика представляет собой процесс точного определения заболевания. Этот медицинский термин особенно актуален в тех случаях, когда болезненные симптомы могут быть вызваны несколькими факторами. Поскольку различные стоматологические заболевания требуют индивидуального подхода к лечению, правильная диагностика становится крайне важной. Наибольшее количество интерпретаций симптомов наблюдается при поверхностном кариесе на стадии пятна. Какие стоматологические проблемы могут приводить к образованию пятен на эмали, и как различить кариозное пятно?
Гипоплазия – это недостаточное развитие зуба, которое может проявляться в отсутствии его частей или эмали. Пятна, возникающие при гипоплазии, имеют белый или желтоватый блеск. Эти пятна безболезненны и не поддаются окрашиванию. В отличие от них, кариозные пятна имеют матовую поверхность и изменяют цвет при воздействии красителей.
Флюороз – это появление пятен, вызванное повышенным содержанием фтора в питьевой воде. Пятна при флюорозе могут быть белыми, коричневыми или черными, они обладают гладкой блестящей поверхностью и не вызывают болезненных ощущений.
Эрозия эмали – образуется на самой выступающей части верхушки зуба. Дно эрозии также гладкое, блестящее и не вызывает боли.
Химический некроз (омертвление) эмали чаще всего локализуется на передних резцах, которые подвергаются воздействию загрязненного воздуха на некоторых химических производствах.
Для проведения дифференциальной диагностики кариозного пятна используется витальное окрашивание. Для этого применяется специальный диагностический раствор с красителем. Эмаль, поврежденная кариозным процессом, окрашивается, однако это не дает информации о глубине поражения. Раствор для витального окрашивания называется детектором кариеса.
Фото — Зубы после витального окрашивания. Кариозные участки приобрели ярко-красный цвет.
| Категория | Подкатегория | Описание / Примеры |
|---|---|---|
| Причины кариеса | Бактерии | Streptococcus mutans, Lactobacillus – продуцируют кислоты, разрушающие эмаль. |
| Углеводы | Сахара (сахароза, глюкоза, фруктоза) – основная пища для кариесогенных бактерий. | |
| Недостаточная гигиена полости рта | Нерегулярная или неправильная чистка зубов, отсутствие использования зубной нити. | |
| Недостаток фтора | Фтор укрепляет эмаль и делает ее более устойчивой к кислотам. | |
| Сухость во рту (ксеростомия) | Снижение выработки слюны, которая нейтрализует кислоты и смывает остатки пищи. | |
| Генетическая предрасположенность | Индивидуальные особенности строения эмали, состава слюны. | |
| Признаки кариеса | Начальный кариес | Белое или меловидное пятно на эмали, безболезненное. |
| Поверхностный кариес | Шероховатость эмали, небольшая полость, возможна кратковременная чувствительность к сладкому, кислому, холодному. | |
| Средний кариес | Видимая полость в дентине, чувствительность к температурным раздражителям, сладкому. | |
| Глубокий кариес | Большая полость, сильная боль от раздражителей, которая долго не проходит, возможна самопроизвольная боль. | |
| Осложнения | Пульпит (воспаление нерва), периодонтит (воспаление тканей вокруг корня зуба), флюс. | |
| Типы кариеса | По локализации | Фиссурный (в естественных углублениях на жевательной поверхности). |
| Апроксимальный (на контактных поверхностях между зубами). | ||
| Пришеечный (у десны, на шейке зуба). | ||
| Корневой (на поверхности корня зуба, при рецессии десны). | ||
| По течению | Острый (быстрое развитие, выраженные симптомы). | |
| Хронический (медленное развитие, часто бессимптомный). | ||
| Цветущий (множественные очаги кариеса, быстро прогрессирующий, часто у детей). | ||
| По наличию лечения | Первичный (впервые возникший). | |
| Вторичный (рецидивный) (возникший под пломбой или вокруг нее). |
Множественный и рецидивирующий кариес
Кариозные полости представляют собой источник инфекции. В результате этого на поздних стадиях заболевания может развиваться множественный кариес зубов. В ротовой полости образуется несколько отверстий в одной или нескольких коронках. Это является следствием кариеса, вызванного одним невыявленным зубом.
Фото – множественный кариес: впечатляющие изображения
Существует также другая форма заболевания – рецидивирующий кариес зубов. Он возникает из-за неправильного лечения. При пломбировании кариозной полости крайне важно тщательно удалить изменённый слой ткани (обычно черного цвета). Этот потемневший слой служит местом обитания болезнетворных бактерий. Если очистка была выполнена некачественно, процесс гниения зуба под пломбой продолжается, что приводит к рецидиву.
Симптомы рецидива, как правило, проявляются слишком поздно. Поскольку в кариозную полость под пломбой не попадает пища, болевые ощущения отсутствуют. Боль возникает только тогда, когда разрушение достигает пульповой камеры. В этом случае появляются признаки пульпита: ноющая боль в зубе и десне. Со временем боль усиливается, становится резкой и требует немедленного обращения к врачу. На стадии пульпита необходимо удалить нерв и провести пломбирование корневых каналов.
Последствия кариеса могут быть весьма серьезными: разрушение зубов, пульпит, пародонтит (воспаление десен), кисты и гранулёмы на корнях, гнойные образования и боль.
Указанные заболевания развиваются при запущенном кариесе. Чтобы предотвратить их, необходимо своевременно обращаться за лечением. Диагностика кариеса позволяет удалить инфицированный слой, установить пломбу и сохранить зуб.
https://youtube.com/watch?v=q8nBQk_HUj8
Где располагаются кариозные полости?
Кариозные полости классифицируются по их расположению на следующие виды:
- Фиссурные – это повреждения зубов, возникающие в фиссурах (фиссуры представляют собой естественные углубления между выступами на жевательной поверхности зубов);
- Межзубные – формируются на боковых поверхностях двух соседних зубов;
- Пришеечные – находятся в области, прилегающей к десне;
- Атипичные – располагаются на режущем крае зуба или его выступающих участках; такой вид кариеса считается необычным, так как не имеет налета и в меньшей степени подвержен воздействию бактерий.
Фото — Фиссурный кариес
Фото — Боковое межзубное разрушение; тёмные пятна на изображении представляют собой внутренние кариозные полости
Фото — Пришеечное расположение кариозных полостей вблизи десны
Причины возникновения кариеса
Разрушение зубов происходит из-за активности кариозных бактерий, среди которых наиболее распространены стрептококки. Однако наличие этих микроорганизмов само по себе не приводит к кариесу; для его развития необходимы определенные условия.
Здоровая микрофлора ротовой полости препятствует размножению стрептококков и разрушению зубной эмали. Заболевание начинается, когда нарушаются биохимические процессы в полости рта. Например, при наличии заболеваний желудочно-кишечного тракта состав слюны изменяется, образуется зубной налет и камень, начинается деминерализация, что в итоге приводит к кариесу.
Рассмотрим факторы, способствующие нарушению микрофлоры ротовой полости и образованию кариеса:
- наличие микроорганизмов, способствующих разрушению твердых тканей зуба (к кариозным бактериям относятся различные виды стрептококков);
- присутствие кислоты, разрушающей зубы (кислота образуется при разложении остатков углеводов в ротовой полости);
- создание благоприятной среды для брожения и гниения (остатки мясной пищи между зубами) из-за недостаточной гигиены полости рта;
- нездоровый состав слюны, что может быть связано с внутренними заболеваниями ЖКТ (язвенная болезнь, гастрит, холецистит, панкреатит);
- недостаток питания и микроэлементов, таких как кальций и фтор, необходимых для прочности зубной эмали (это часто наблюдается у людей, живущих в промышленных регионах из-за хронического воздействия токсичных выбросов);
- потеря кальция из-за его плохой усвояемости при заболеваниях ЖКТ;
- потеря кальция во время беременности и грудного вскармливания;
- потеря кальция при радиационном облучении (это особенно актуально для районов, расположенных рядом с атомными электростанциями).
Как противодействовать кариесу?
Понимание причин появления кариеса и его последствий позволяет предпринять ряд профилактических шагов для предотвращения этого заболевания:
- Регулярно и тщательно очищать полость рта (чистить зубы утром и вечером, а также своевременно удалять зубной налёт и камень с эмали);
- Полоскать рот после еды, чтобы избавиться от остатков углеводов и восстановить кислотный баланс;
- Обрабатывать межзубные промежутки после употребления мясных продуктов;
- Восполнять недостаток кальция и фтора с помощью витаминных добавок.
Что касается воздействия экологических факторов и заболеваний желудочно-кишечного тракта, то с ними справляться сложнее. При наличии проблем с пищеварением важно чаще посещать стоматолога для раннего выявления кариозных изменений и их лечения с помощью очистки и пломбирования.
Кариес – это заболевание, которое затрагивает многих. Его высокая распространённость объясняется современным образом жизни и привычками в питании: преобладанием углеводов в рационе, предпочтением термически обработанных блюд и недостатком твёрдых овощей, а также влиянием экологического загрязнения. Ранняя диагностика кариеса помогает избежать осложнений, но не может полностью предотвратить его появление. Чтобы избежать образования дырок и полостей в зубах, необходимо устранить факторы, способствующие развитию кариеса: неправильное питание, болезни органов ЖКТ и негативное влияние окружающей среды.
https://youtube.com/watch?v=F0RS8AyoBlo
Влияние питания на развитие кариеса
Питание играет ключевую роль в развитии кариеса, так как оно непосредственно влияет на состояние зубной эмали и микрофлору полости рта. Основные факторы, связанные с питанием, которые способствуют развитию кариеса, включают в себя потребление сахаров, кислот и недостаток необходимых микроэлементов.
Сахара, особенно простые углеводы, являются основным источником питания для бактерий, обитающих в зубном налете. Когда эти бактерии метаболизируют сахара, они производят кислоты, которые разрушают зубную эмаль. Чем больше сахара потребляется, тем выше риск кариеса. Продукты, содержащие высокое количество сахара, такие как сладости, газированные напитки и выпечка, особенно опасны, если их употребляют в больших количествах и без последующего ухода за зубами.
Кислоты, содержащиеся в некоторых продуктах и напитках, также могут способствовать разрушению эмали. Например, кислые фрукты, соки и газированные напитки могут снижать pH в полости рта, что приводит к деминерализации зубов. Важно отметить, что не только количество кислоты, но и время, в течение которого зубы подвергаются воздействию кислоты, имеет значение. Частое употребление кислых продуктов может привести к хроническому повреждению эмали.
Недостаток необходимых микроэлементов, таких как кальций и фосфор, также может негативно сказаться на здоровье зубов. Эти минералы играют важную роль в реминерализации эмали, и их дефицит может привести к повышенной уязвимости зубов к кариесу. Продукты, богатые кальцием, такие как молочные изделия, а также источники фосфора, такие как мясо и рыба, должны быть включены в рацион для поддержания здоровья зубов.
Кроме того, важно учитывать режим питания. Частые перекусы, особенно с высоким содержанием сахара, могут увеличить риск кариеса. Рекомендуется ограничивать количество перекусов и выбирать более здоровые альтернативы, такие как овощи, орехи или сырые фрукты, которые не только менее вредны для зубов, но и способствуют их очищению.
В заключение, правильное питание является важным аспектом профилактики кариеса. Сбалансированный рацион, содержащий необходимые микроэлементы и ограничивающий потребление сахаров и кислот, поможет сохранить здоровье зубов и предотвратить развитие кариеса.
Профилактика кариеса у детей и взрослых
Профилактика кариеса является важной задачей как для детей, так и для взрослых. Правильный уход за полостью рта и соблюдение гигиенических норм помогают предотвратить развитие этого заболевания. Рассмотрим основные методы профилактики кариеса.
Гигиена полости рта
Основой профилактики кариеса является регулярная и правильная гигиена полости рта. Рекомендуется чистить зубы дважды в день: утром и перед сном. Использование зубной пасты, содержащей фтор, способствует укреплению эмали и снижению риска кариеса. Также важно не забывать о чистке языка и использовании зубной нити для удаления остатков пищи и налета между зубами.
Правильное питание
Рацион питания играет значительную роль в профилактике кариеса. Употребление продуктов, богатых витаминами и минералами, особенно кальцием и фосфором, способствует укреплению зубной эмали. Следует ограничить потребление сахара и углеводов, так как они способствуют размножению бактерий, вызывающих кариес. Полезно включать в рацион свежие овощи и фрукты, а также молочные продукты.
Регулярные визиты к стоматологу
Регулярные профилактические осмотры у стоматолога помогают выявить начальные стадии кариеса и другие проблемы с зубами на ранних этапах. Стоматолог может провести профессиональную чистку зубов, фторирование и дать рекомендации по уходу за полостью рта. Важно посещать стоматолога не реже двух раз в год.
Использование фторсодержащих средств
Фтор является важным элементом для защиты зубной эмали. Использование фторсодержащих ополаскивателей для рта и гелей может значительно снизить риск кариеса. Фтор укрепляет эмаль и делает зубы более устойчивыми к кислотам, которые выделяются бактериями при разложении сахаров.
Снижение уровня стресса
Стресс может негативно влиять на здоровье полости рта, приводя к ухудшению гигиенических привычек и повышению уровня кислотности в ротовой полости. Практика релаксации, занятия спортом и хобби могут помочь снизить уровень стресса и, как следствие, улучшить общее состояние здоровья зубов.
Образование и информирование
Образование о здоровье полости рта и кариесе играет важную роль в профилактике. Важно информировать детей и взрослых о причинах и последствиях кариеса, а также о методах его предотвращения. Проведение образовательных программ в школах и на рабочих местах может способствовать повышению осведомленности и улучшению привычек по уходу за зубами.
Таким образом, профилактика кариеса требует комплексного подхода, включающего в себя правильную гигиену, сбалансированное питание, регулярные визиты к стоматологу и образование. Соблюдение этих рекомендаций поможет сохранить здоровье зубов на долгие годы.
Современные методы лечения кариеса
Лечение кариеса на сегодняшний день включает в себя множество современных методов, которые позволяют эффективно справляться с заболеванием на различных стадиях его развития. В зависимости от степени поражения зуба и индивидуальных особенностей пациента, стоматологи могут применять как консервативные, так и более инвазивные подходы.
1. Консервативные методы
На ранних стадиях кариеса, когда повреждение зуба еще не достигло дентинного слоя, возможно применение консервативных методов лечения. К ним относятся:
- Фторирование: Этот метод заключается в нанесении на зубы фторсодержащих препаратов, которые укрепляют эмаль и замедляют процесс разрушения. Фторирование может проводиться как в стоматологическом кабинете, так и в домашних условиях с использованием специальных зубных паст.
- Реминерализация: Процесс, при котором минералы, такие как кальций и фосфор, восстанавливают поврежденные участки эмали. Для этого используются специальные реминерализующие гели и растворы.
- Герметизация фиссур: Этот метод заключается в заполнении глубоких бороздок на жевательных поверхностях зубов специальными герметиками, что предотвращает накопление бактерий и образование кариеса.
2. Инвазивные методы
Если кариес уже достиг дентинного слоя или образовалась полость, необходимо прибегнуть к инвазивным методам лечения:
- Пломбирование: Наиболее распространенный метод, при котором стоматолог удаляет пораженные ткани зуба и заполняет образовавшуюся полость пломбировочным материалом. В зависимости от места расположения и степени повреждения могут использоваться различные материалы, такие как композитные смолы, амальгама или керамика.
- Коронки: В случаях, когда зуб сильно разрушен, может потребоваться установка коронки. Коронка полностью покрывает зуб и восстанавливает его форму и функцию.
- Лечение корневых каналов: При глубоком кариесе, когда инфекция затрагивает пульпу зуба, необходимо провести эндодонтическое лечение. Это включает в себя удаление инфицированной пульпы, очистку и обтурацию корневых каналов.
3. Новейшие технологии
С развитием технологий в стоматологии появляются новые методы лечения кариеса, которые делают процесс более эффективным и менее болезненным:
- Лазерная терапия: Лазеры используются для удаления кариозных тканей с минимальным повреждением здоровых участков зуба. Этот метод также способствует быстрому заживлению и снижению дискомфорта после процедуры.
- Озонотерапия: Использование озона для дезинфекции и лечения кариеса на ранних стадиях. Озон эффективно уничтожает бактерии и способствует реминерализации эмали.
- 3D-печать: Внедрение технологий 3D-печати в стоматологию позволяет создавать индивидуальные пломбы и коронки с высокой точностью, что улучшает качество лечения и сокращает время на его проведение.
Таким образом, современные методы лечения кариеса позволяют не только эффективно справляться с заболеванием, но и минимизировать дискомфорт для пациента. Важно помнить, что профилактика кариеса, включая регулярные визиты к стоматологу и соблюдение гигиенических норм, играет ключевую роль в сохранении здоровья зубов.



