Удаление зуба мудрости — распространенная стоматологическая процедура, но после нее могут возникнуть осложнения, такие как нагноение в области лунки. В статье рассмотрим причины появления гноя и возможные последствия. Понимание факторов, способствующих воспалению, и знание профилактических мер помогут избежать неприятных последствий и сохранить здоровье полости рта. Эта информация полезна как пациентам, так и стоматологам, стремящимся минимизировать риски послеоперационных осложнений.
Осложнения после удаления зуба
После удаления зуба вам, скорее всего, будут даны рекомендации от врача о том, какие меры предпринять для ускорения заживления десны. В ситуациях, когда удаление было сложным и десну пришлось разрезать, процесс восстановления лунки может занять больше времени. Обычно вам потребуется полоскать рот различными травяными отварами, чтобы уменьшить воспаление и избавиться от болезнетворных микроорганизмов.
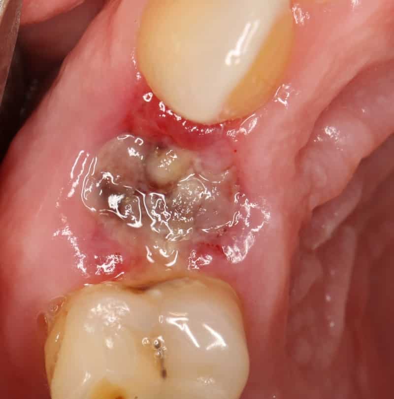
Тем не менее, удаление зубов иногда может привести к неприятным осложнениям, таким как альвеолит. Это состояние характеризуется воспалением десны и накоплением гнойных выделений в лунке удалённого зуба. Обычно признаки гноения десны можно заметить в течение нескольких дней после процедуры.
Конечно, альвеолит нельзя оставлять без внимания. Если его не лечить, он может привести к разрушению тканей в пустой лунке и вызвать остеомиелит в челюстных костях. В дальнейшем это может привести к серьезным воспалительным процессам. В самых тяжелых случаях возможно заражение крови, что может привести к крайне серьезным последствиям, вплоть до летального исхода в течение нескольких дней.
Врачи отмечают, что нагноение после удаления зуба является одной из возможных осложнений, с которыми могут столкнуться пациенты. Основными причинами этого состояния являются инфекция, недостаточная гигиена полости рта и несоблюдение рекомендаций врача после процедуры. Специалисты подчеркивают важность своевременного обращения к стоматологу при первых признаках нагноения, таких как отек, покраснение и болезненность в области удаления. Врач может назначить антибиотики и провести дополнительные процедуры для устранения инфекции. Профилактика осложнений включает в себя тщательное соблюдение рекомендаций по уходу за полостью рта и регулярные осмотры у стоматолога. Важно помнить, что своевременное вмешательство может предотвратить серьезные последствия и ускорить процесс заживления.
https://youtube.com/watch?v=1Hv2F2Yituk
Причины осложнений
Воспаление десен может возникнуть по нескольким причинам:
- небрежное отношение пациента к уходу за полостью рта после операции;
- ослабление иммунной системы из-за нехватки витаминов и иммуномодуляторов;
- проникновение вредных бактерий в открытую рану;
- неправильный выбор анестезии при удалении зуба;
- травма десны во время хирургического вмешательства.
Небольшое покраснение и отек десен могут считаться нормальными. Однако, если дискомфорт сохраняется более 5 дней и сопровождается сильной болью, повышенной температурой, выделениями гноя, кровотечением и неприятным запахом изо рта, это сигнализирует о необходимости срочного обращения к стоматологу. Не стоит надеяться, что проблема решится сама собой. Важно немедленно посетить врача.
Чаще всего альвеолит наблюдается после удаления молярных зубов нижней челюсти. Это связано с более сложной анатомией этой области. Извлекать корни зубов из нижней челюсти труднее, особенно если они имеют деформации. Кроме того, инфекция, попавшая в рану, может быстро углубиться в мягкие ткани под воздействием гравитации и вызвать гнойное воспаление. Особенно это касается гноя после удаления зуба мудрости.
| Симптом | Описание | Что делать |
|---|---|---|
| Боль | Усиливающаяся, пульсирующая боль, не снимающаяся обычными обезболивающими. | Немедленно обратиться к стоматологу. |
| Отек | Значительный отек десны, щеки, иногда распространяющийся на шею. | Приложить холодный компресс, обратиться к врачу. |
| Покраснение | Выраженное покраснение десны вокруг лунки. | Обратиться к стоматологу. |
| Выделения | Гнойные, мутные, желтоватые или зеленоватые выделения из лунки, часто с неприятным запахом. | Немедленно обратиться к стоматологу. |
| Неприятный запах изо рта | Сильный, гнилостный запах, не проходящий после чистки зубов. | Обратиться к стоматологу. |
| Повышение температуры | Общее повышение температуры тела, озноб, слабость. | Принять жаропонижающее, немедленно обратиться к врачу. |
| Ограничение открывания рта | Болезненность и затруднение при открывании рта. | Обратиться к стоматологу. |
| Увеличение лимфоузлов | Болезненность и увеличение подчелюстных лимфоузлов. | Обратиться к стоматологу. |
Заживление десны после операции
Скорость восстановления после хирургического вмешательства зависит от нескольких факторов:
- Индивидуальные характеристики пациента.
- Квалификация врача, проводившего операцию.
- Локация удаляемого зуба.
- Дополнительные осложнения, возникшие во время процедуры.
Удаление зуба может быть сопряжено с различными трудностями. Иногда коронка зуба полностью отсутствует, или же он разрушается в процессе удаления. В таких ситуациях стоматолог может прибегнуть к разрезанию десны, что, безусловно, приводит к более длительному процессу заживления.
После удаления зуба лунка заполняется кровью в течение нескольких минут (или до получаса, если использовались препараты для сужения сосудов), и образуется кровяной сгусток. Сгусток не следует извлекать из раны, так как он выполняет защитную функцию, препятствуя проникновению патогенных микроорганизмов. Удаление сгустка значительно увеличивает риск воспалительных процессов в деснах и мягких тканях ротовой полости.
В течение 2-3 дней сгусток меняет цвет, постепенно светлея и образуя каркас из фибрина, который является основным компонентом тромба. Тромб продолжает защищать лунку от инфекции и предотвращает кровотечение из десны. Для нормального заживления раны важно не трогать её и избегать раздражения.
Примерно через 4-5 дней открытая рана в лунке начинает заживать грануляционной тканью, а сгусток крови всасывается в слизистую десны, что свидетельствует о почти полном заживлении и начале формирования новой костной ткани, процесс которого займет несколько недель. В этот период вы можете заметить, что цвет десны становится более светлым и желтоватым. При отсутствии других негативных симптомов это будет нормальным явлением, связанным с выделением фибрина из крови.
Полное заживление всех мягких тканей в лунке обычно завершается через 2-3 недели. Однако под затянувшейся десной продолжается активный процесс роста молодой костной ткани. Обычно через 2-3 месяца углубление в месте удаления зуба полностью исчезает и заполняется костной и мягкой тканями.
Также нормальным последствием удаления зуба является отёк десны. Любое хирургическое вмешательство приводит к повреждению тканей организма, что вызывает приток жидкости к поврежденным участкам. Особенно длительным и сопровождающимся отёком и повышением температуры будет заживление, если операция была осложнена и десна пострадала сильнее.
При стандартной процедуре отёк обычно проходит к третьему дню, а если потребовалось разрезание десны, он может сохраняться до 6-7 дней.
https://youtube.com/watch?v=PEh82CHHcag
Возможные осложнения после операции
Нагноение после удаления зуба может указывать на различные постоперационные осложнения. К ним относятся:
- Альвеолит. Обычно он проявляется покраснением и отечностью лунки, а также острыми болями, кровотечением и образованием гнойных выделений. Альвеолит может сопровождаться ухудшением общего состояния, включая повышение температуры, дрожь, головные боли и чувство слабости.
- Киста. Это фиброзное образование, заполненное жидкостью. На ранних стадиях киста может рассосаться при помощи медикаментозного лечения, в то время как на более поздних этапах требуется хирургическое вмешательство. В некоторых случаях киста может исчезнуть самостоятельно.
- Флюс. Это воспаление надкостных тканей в области поврежденной десны. Обычно инфекция проникает в лунку после удаления зуба. Флюс сопровождается острой болью, отеком и припухлостью, а также повышенной температурой. Диагностика флюса может быть затруднена, поэтому рентгенография может оказаться полезной.
Как видно, в большинстве случаев такие осложнения возникают из-за заражения лунки патогенными бактериями. Чтобы избежать этого, важно тщательно ухаживать за полостью рта. Чистка зубов должна проводиться осторожно, чтобы не повредить заживающую десну.
Также стоит помнить, что после удаления зуба в лунке остаются бактерии, что называется первичным инфицированием. Даже если стоматолог удалил зуб с корнями и гранулемами, инфекция не может быть полностью устранена. Тем не менее, ее распространение можно и нужно контролировать, что зависит от иммунной системы пациента и предпринятых им профилактических мер.
Кроме того, существует риск вторичного заражения, когда инфекция проникает в десну извне. Основные причины внешнего заражения раны включают:
- отсутствие защитного тромба в лунке, который должен образоваться и защищать ее от инфекции;
- попадание в рану зараженных частиц: фрагменты зубов и костей, зубной камень и другое;
- несоблюдение рекомендаций врача по уходу за поврежденной десной.
Важно помнить, что при ослабленном иммунитете даже простое удаление зуба может значительно увеличить риск заражения лунки альвеолитом. Последствия этого можно увидеть на фотографиях гноя в лунке после удаления зуба.
Самостоятельные меры
Если после удаления зуба лунка начала гноиться или появились другие симптомы инфекции, необходимо незамедлительно обратиться к стоматологу. Прежде чем попасть на прием к врачу, можно предпринять некоторые меры для облегчения состояния. Однако стоит помнить, что не все методы подходят для данной ситуации.
Прежде всего, следует запомнить, что нельзя использовать перекись водорода и содовый раствор для полоскания рта. Несмотря на их антисептические свойства, эти средства могут удалить кровяной сгусток, который защищает рану. В результате десна останется уязвимой для инфекции.
Для уменьшения воспаления и ускорения заживления можно воспользоваться проверенными народными средствами. К ним относятся настой календулы, отвар ромашки и зверобоя, а также кипячёный шалфей и другие.
Тем не менее, при использовании натуральных антисептиков важно помнить о следующих правилах:
- нельзя вымывать кровяной сгусток из раны, достаточно подержать раствор во рту несколько минут и затем сплюнуть;
- также не следует выковыривать остатки сгустка из лунки, особенно с помощью ватных палочек или зубочисток;
- рекомендуется использовать раствор несколько раз в течение часа, пока не появятся признаки улучшения.
Если возникают сильные боли, можно принять анальгетики. Однако их не следует принимать за несколько часов до визита к стоматологу. Важно помнить, что обезболивающие средства лишь временно снимают симптомы, не устраняя причину инфекции. Обязательно посетите стоматолога.
https://youtube.com/watch?v=0aqZ5jpP9Gg
Профилактика нагноения после удаления зуба
Профилактика нагноения после удаления зуба является важным аспектом, который поможет избежать осложнений и ускорить процесс заживления. Существует несколько ключевых рекомендаций, которые следует учитывать как до, так и после процедуры удаления зуба.
1. Подготовка к удалению зуба: Перед процедурой важно провести консультацию с врачом-стоматологом. Специалист должен оценить общее состояние здоровья пациента, наличие хронических заболеваний, аллергий и других факторов, которые могут повлиять на процесс заживления. При необходимости могут быть назначены дополнительные обследования, такие как рентгенография.
2. Соблюдение гигиены полости рта: За несколько дней до удаления зуба необходимо уделить особое внимание гигиене полости рта. Регулярная чистка зубов, использование антисептических ополаскивателей и зубной нити помогут снизить количество бактерий в ротовой полости и уменьшить риск инфицирования.
3. Правильное поведение после удаления: После удаления зуба важно следовать рекомендациям стоматолога. В первые 24 часа следует избегать физических нагрузок, не курить и не употреблять алкоголь. Также необходимо ограничить прием пищи и жидкости, чтобы не повредить образовавшийся тромб в лунке зуба.
4. Использование антисептиков: Врач может рекомендовать использование антисептических растворов для полоскания рта в первые дни после удаления зуба. Это поможет предотвратить развитие инфекции и ускорить заживление тканей.
5. Обращение к врачу при первых признаках осложнений: Если после удаления зуба появляются такие симптомы, как сильная боль, отек, покраснение или выделения из лунки, необходимо незамедлительно обратиться к стоматологу. Раннее вмешательство поможет предотвратить развитие нагноения и других серьезных осложнений.
6. Соблюдение режима питания: Важно следить за рационом в послеоперационный период. Рекомендуется употреблять мягкую и питательную пищу, избегая горячих, острых и жестких продуктов. Это поможет избежать травмирования лунки и снизит риск воспалительных процессов.
Следуя этим рекомендациям, можно значительно снизить вероятность нагноения после удаления зуба и обеспечить быстрое и комфортное заживление. Забота о здоровье полости рта и внимательное отношение к своему состоянию помогут избежать неприятных последствий и сохранить здоровье зубов на долгие годы.
Когда обращаться к врачу
После удаления зуба важно внимательно следить за процессом заживления, так как нагноение может быть признаком осложнений. Если вы заметили какие-либо из следующих симптомов, необходимо незамедлительно обратиться к стоматологу:
- Увеличение боли: Если боль усиливается через несколько дней после удаления зуба, это может указывать на развитие инфекции.
- Отек: Появление значительного отека в области удаления зуба, который не уменьшается через 2-3 дня, также является тревожным знаком.
- Выделения: Наличие гноя или других необычных выделений из лунки зуба может свидетельствовать о нагноении.
- Температура: Повышение температуры тела выше 37,5°C может указывать на системную реакцию организма на инфекцию.
- Неприятный запах: Наличие гнилостного запаха изо рта может быть признаком инфекции в области удаления зуба.
- Проблемы с открыванием рта: Если вы испытываете трудности с открыванием рта или движения челюсти становятся болезненными, это может быть связано с воспалением.
- Общее недомогание: Чувство слабости, усталости или ухудшение общего состояния здоровья также могут быть признаками инфекции.
Важно помнить, что некоторые из этих симптомов могут проявляться в разной степени, и их наличие не всегда означает наличие серьезной проблемы. Однако, если вы заметили один или несколько из перечисленных признаков, лучше не откладывать визит к врачу. Своевременное обращение за медицинской помощью может предотвратить развитие серьезных осложнений и ускорить процесс выздоровления.
Стоматолог проведет осмотр, возможно, назначит дополнительные исследования, такие как рентген, чтобы оценить состояние лунки и окружающих тканей. В случае подтверждения нагноения может потребоваться дренирование, назначение антибиотиков или другие меры для устранения инфекции.
Методы лечения нагноения
Нагноение после удаления зуба является серьезным осложнением, которое требует немедленного внимания. Лечение данного состояния может варьироваться в зависимости от степени нагноения и общего состояния пациента. Основные методы лечения включают:
1. Консервативное лечение
На ранних стадиях нагноения, когда воспалительный процесс только начинается, может быть достаточно консервативного лечения. Оно включает:
- Антибиотикотерапия: Назначение антибиотиков помогает устранить инфекцию. Врач может выбрать препараты широкого спектра действия, такие как амоксициллин или клиндамицин.
- Обезболивание: Для снятия болевого синдрома могут быть назначены нестероидные противовоспалительные препараты (НПВП), такие как ибупрофен или диклофенак.
- Полоскания: Рекомендуется полоскание ротовой полости антисептическими растворами, такими как хлоргексидин или фурацилин, для уменьшения воспаления и очищения раны.
2. Хирургическое вмешательство
Если консервативные методы не приносят результата или нагноение прогрессирует, может потребоваться хирургическое вмешательство:
- Дренирование: Врач может провести дренирование абсцесса для удаления гноя и облегчения состояния пациента. Это может быть выполнено под местной анестезией.
- Повторное удаление зуба: В некоторых случаях может потребоваться повторное удаление зуба, если он стал источником инфекции и воспаления.
3. Поддерживающая терапия
После основного лечения важно продолжать поддерживающую терапию для предотвращения рецидивов:
- Контроль за состоянием: Регулярные визиты к стоматологу для контроля за процессом заживления.
- Укрепление иммунной системы: Рекомендуется соблюдать здоровый образ жизни, включая правильное питание, физическую активность и отказ от вредных привычек.
4. Профилактика
Профилактика нагноения после удаления зуба включает в себя:
- Соблюдение гигиены: Тщательная гигиена полости рта до и после удаления зуба.
- Своевременное обращение к стоматологу: При появлении любых признаков воспаления или боли необходимо незамедлительно обратиться к специалисту.
Своевременное и адекватное лечение нагноения после удаления зуба позволяет избежать серьезных осложнений и способствует быстрому восстановлению пациента.



