Установка коронки на зуб — важная стоматологическая процедура, восстанавливающая поврежденные или разрушенные зубы и обеспечивающая их функциональность и эстетический вид. В статье рассмотрим процесс установки коронки, этапы протезирования, а также возможные боли и осложнения после процедуры. Эта информация будет полезна тем, кто планирует установку коронки и хочет лучше заботиться о здоровье зубов.
Этапы протезирования
Многих людей, которым предстоит пройти процедуру протезирования, интересует, как именно устанавливается коронка на зуб и насколько болезненным может быть этот процесс. На эти вопросы сможет ответить специалист, учитывая индивидуальные особенности каждого случая. Важно отметить, что многое зависит от характеристик заболевания.
Процедура является достаточно сложной и включает несколько этапов:
- Консультация, первичное обследование, разработка плана лечения и выбор типа коронок.
- Подготовительный этап.
- Снятие слепков и изготовление протеза.
- Примерка и установка коронки.
Врачи-стоматологи отмечают, что установка коронки на зуб — это важная процедура, требующая тщательного подхода. Сначала специалист проводит полное обследование зуба, чтобы оценить его состояние и необходимость в коронке. Затем, при необходимости, зуб обрабатывается и подготавливается к установке. Врач снимает слепок, который используется для создания индивидуальной коронки. Важно, чтобы коронка идеально подходила по форме и цвету, что обеспечивает естественный вид и комфорт при использовании. После изготовления коронки, стоматолог устанавливает её на зуб с помощью специального цемента, проверяя при этом правильность прикуса. Врачи подчеркивают, что качественно выполненная процедура позволяет не только восстановить функцию зуба, но и предотвратить дальнейшие проблемы с зубным рядом.
https://youtube.com/watch?v=wTurPjLcYAs
Особенности подготовительного процесса
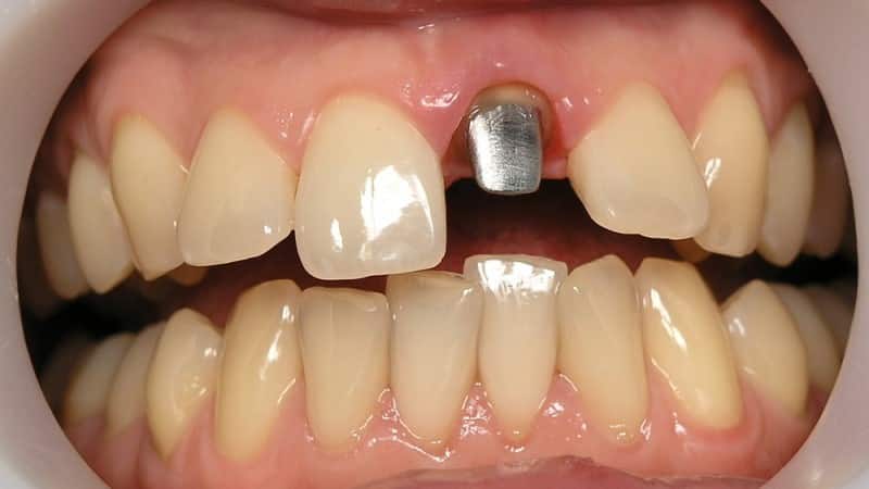
Определить, как устанавливают коронку на зуб, по фотографии довольно сложно, так как обычно видно лишь конечный результат. Однако за ним скрывается несколько этапов, начиная с осмотра и консультации.
Сначала разрабатывается план лечения, выбирается тип протеза и устанавливается стоимость процедуры. Если пациенту все устраивает, подписывается договор. Далее необходимо подготовить ротовую полость к протезированию, что является достаточно длительным процессом, состоящим из нескольких этапов.
- В первую очередь выполняется рентгеновский снимок, на основании которого врач определяет степень заболевания и разрабатывает стратегию лечения. Существует ряд случаев, когда установка коронок на зубы является необходимой. После согласования с пациентом выбирается цвет, материал и тип протеза. Затем начинается подготовка к самой процедуре, что является важным и ответственным этапом.
- Сначала лечатся все кариозные зубы, удаляются налет и зубной камень, так как протезирование возможно только при отсутствии больных зубов.
- Пульпа может быть удалена или оставлена в зависимости от того, какой зуб подвергается обработке. При восстановлении однокоренного зуба существует высокий риск повреждения пульпы, поэтому ее лучше удалить. Если же речь идет о жевательном зубе, пульпу иногда оставляют, так как риск повреждения значительно ниже. Обточка (предварительная обработка, включающая снятие твердых тканей для установки коронки) занимает около часа и проводится под местной анестезией.
| Этап | Описание | Цель |
|---|---|---|
| 1. Консультация и диагностика | Осмотр полости рта, рентген-снимки, обсуждение вариантов лечения. | Определение необходимости коронки, выбор типа коронки, оценка состояния зуба и окружающих тканей. |
| 2. Подготовка зуба | Удаление кариеса, старых пломб, обточка зуба для создания необходимой формы. | Создание оптимальной формы для надежной фиксации коронки, сохранение максимального объема здоровых тканей. |
| 3. Снятие оттисков (слепков) | Изготовление точных оттисков подготовленного зуба и соседних зубов. | Создание точной модели челюсти для изготовления индивидуальной коронки в зуботехнической лаборатории. |
| 4. Установка временной коронки | Фиксация временной коронки на подготовленный зуб. | Защита обточенного зуба от внешних воздействий, сохранение эстетики и функции до установки постоянной коронки. |
| 5. Изготовление постоянной коронки | Зуботехническая лаборатория изготавливает коронку по индивидуальным слепкам. | Создание прочной, эстетичной и функциональной коронки, идеально подходящей по форме и цвету. |
| 6. Примерка и фиксация постоянной коронки | Примерка коронки, проверка прикуса, цвета, формы. Окончательная фиксация коронки на специальный цемент. | Обеспечение комфорта, правильного прикуса, долговечности и эстетики коронки. |
| 7. Рекомендации по уходу | Инструкции по гигиене полости рта и уходу за коронкой. | Продление срока службы коронки, предотвращение осложнений. |
Как осуществляется процесс депульпации
Депульпирование осуществляется по следующему алгоритму:
- в первую очередь удаляется нерв;
- корневые каналы обрабатываются и расширяются с помощью специальных инструментов;
- затем выполняется пломбировка коронковой части.
Часто коронковая часть бывает настолько повреждена, что ее необходимо предварительно восстановить.
https://youtube.com/watch?v=rP_HqOkiWgs
Процесс восстановления коронковой части
Существует два метода, позволяющих решить эту задачу: с использованием штифта или вкладок.
-
Штифт изготавливается из различных биосовместимых материалов, которые представлены в виде различных сплавов. Это стержень, который устанавливается в корневой канал зуба. Он надежно фиксируется, а с помощью специальных материалов осуществляется восстановление.
Однако штифт не всегда может быть использован, существуют противопоказания, такие как заболевания крови, проблемы с пародонтом и некоторые другие.
-
Культевая вкладка является надежной основой и используется для крепления различных типов протезов. Она состоит из двух частей: ножка внедряется в корень зуба, а тело служит для восстановления утраченной части.
Процесс обтачивания и лабораторный этап
В связи с необходимостью проведения данного процесса часто возникает вопрос, вызывает ли установка коронки на зуб болезненные ощущения. Обработка зуба с пульпой действительно может быть болезненной. При препарировании зуба без нерва воздействие оказывается на десну, что также может вызывать дискомфорт у пациента. Поэтому все манипуляции проводятся только под местной анестезией. Если планируется установка металлических конструкций, потребуется удалить больше зубной ткани, что следует учитывать при выборе материала. Обтачивание зуба является обязательным этапом, так как без него установка коронки невозможна. Удаление ткани происходит слоями, равными ширине коронки, и придается форма, обеспечивающая надежную фиксацию.
После завершения обтачивания стоматолог делает слепки зубов для последующего изготовления протезов. Эти слепки отправляются в лабораторию, где создаются гипсовые модели, на основе которых изготавливаются коронки.
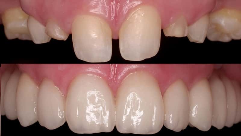
Выбор материала для протеза зависит от конкретных показаний к установке коронки. Стоматолог может порекомендовать определенный сплав в зависимости от физических и клинических факторов. Для передних зубов предпочтительнее использовать керамику, так как она максимально точно воспроизводит цвет эмали.
На период изготовления протеза устанавливается временный аппарат, который защищает зуб и предотвращает попадание инфекции.
Завершающий этап и установка
Установка протеза осуществляется в несколько шагов:
- В первую очередь проводится примерка конструкции. Это необходимо для оценки плотности посадки и качества изготовления протеза.
- Далее осуществляется временная установка. Этот этап позволяет выяснить, как использование протеза повлияет на прикус и как зубы отреагируют на новую конструкцию. Если будут выявлены какие-либо недостатки, изделие можно легко снять и внести необходимые коррективы. Тестирование продолжается в течение нескольких недель, чтобы исключить появление дискомфорта у пациента в процессе дальнейшей эксплуатации.
- Завершающий этап — фиксация на постоянный цемент.
Важно помнить, что в некоторых ситуациях может потребоваться замена коронки. Если работа выполнена качественно, то замена может понадобиться лишь через несколько лет, так как у изделия есть свой срок службы.
Снятие коронки необходимо в следующих случаях:
- появляется боль под коронкой. Важно выяснить причину неприятных ощущений, возможно, в канале остались остатки материалов, использованных при работе, или образовалась киста, которые нужно устранить;
- если коронка установлена недостаточно плотно или имеются другие дефекты, выявленные стоматологом при осмотре, их также следует исправить;
- если появились сколы, трещины или другие повреждения протеза.
Это может произойти не только по вине врача, но и из-за использования некачественных материалов. Поэтому после установки протеза рекомендуется сделать рентгеновский снимок для оценки работы стоматолога. В этом случае исправить все недочеты можно будет с минимальными затратами.
У пациентов часто возникает вопрос о том, ставят ли коронки на зубы мудрости. Эти зубы зачастую имеют значительные кариозные повреждения, так как за ними сложно ухаживать и чистить. Стоматологи чаще всего рекомендуют их удалять, особенно если они уже сильно поражены. Лечение в таких случаях может быть слишком трудоемким и затратным. Консультация стоматолога перед началом протезирования обязательна в любом случае.
https://youtube.com/watch?v=8HxaIL7Nnew
Показания и противопоказания для установки коронки
Установка коронки на зуб является распространенной стоматологической процедурой, которая помогает восстановить поврежденные или разрушенные зубы. Однако перед тем как принять решение о необходимости установки коронки, важно учитывать показания и противопоказания для этой процедуры.
Показания для установки коронки:
- Сильно разрушенные зубы: Если зуб имеет значительные повреждения из-за кариеса, травмы или других факторов, коронка может помочь восстановить его форму и функцию.
- После эндодонтического лечения: Зубы, которые прошли лечение корневых каналов, часто нуждаются в коронках для защиты и укрепления, так как они становятся более хрупкими.
- Эстетические причины: Коронки могут использоваться для улучшения внешнего вида зубов, особенно если они имеют неправильную форму, цвет или расположение.
- Проблемы с прикусом: В некоторых случаях коронки могут помочь исправить проблемы с прикусом, обеспечивая правильное распределение нагрузки на зубы.
Противопоказания для установки коронки:
- Отсутствие достаточного количества зубной ткани: Если зуб слишком сильно разрушен и не может поддерживать коронку, стоматолог может рекомендовать другие варианты лечения, такие как имплантация.
- Активные заболевания десен: Если у пациента есть воспалительные процессы в области десен, установка коронки может усугубить ситуацию и привести к осложнениям.
- Аллергия на материалы: Некоторые пациенты могут иметь аллергическую реакцию на материалы, используемые для изготовления коронок, такие как металл или керамика.
- Неправильный прикус: Если у пациента есть серьезные проблемы с прикусом, которые не были исправлены, установка коронки может не дать желаемого результата и привести к дополнительным проблемам.
Перед тем как принять решение о установке коронки, важно проконсультироваться с квалифицированным стоматологом, который сможет оценить состояние зубов и предложить наилучший вариант лечения, учитывая индивидуальные особенности пациента.
Выбор материала для коронки
Является одним из ключевых этапов в процессе протезирования зубов. Правильный выбор материала не только влияет на эстетические характеристики, но и на долговечность, биосовместимость и функциональность коронки.
Существует несколько основных типов материалов, из которых изготавливаются коронки:
- Металлические коронки: Обычно изготавливаются из сплавов золота, серебра или других металлов. Они обладают высокой прочностью и долговечностью, но имеют низкие эстетические качества, так как не могут имитировать естественный цвет зуба. Чаще всего используются на задних зубах, где эстетика не так важна.
- Керамические коронки: Изготавливаются из различных видов керамики и обладают отличными эстетическими свойствами. Они могут быть окрашены в цвет натуральных зубов, что делает их практически незаметными. Однако керамика менее прочная по сравнению с металлом и может быть подвержена сколам.
- Композитные коронки: Эти коронки изготавливаются из композитных материалов, которые также могут быть окрашены в цвет зуба. Они менее прочные, чем металлические и керамические коронки, но их можно легко отремонтировать. Композитные коронки чаще всего используются для временного протезирования.
- Металлокерамические коронки: Сочетают в себе прочность металла и эстетические качества керамики. Внутренняя часть коронки выполнена из металла, а внешняя — из керамики. Это делает их более прочными, чем чисто керамические коронки, и при этом они выглядят более естественно, чем металлические.
- Циркониевые коронки: Изготавливаются из диоксида циркония, который обладает высокой прочностью и отличными эстетическими свойствами. Циркониевые коронки не вызывают аллергических реакций и могут быть использованы как на передних, так и на задних зубах. Они также устойчивы к износу и не окрашиваются со временем.
При выборе материала стоматолог учитывает несколько факторов, таких как:
- Локализация зуба (передний или задний);
- Состояние зуба и окружающих тканей;
- Предпочтения пациента относительно эстетики;
- Бюджет пациента;
- Аллергические реакции на определенные материалы.
Важно отметить, что выбор материала должен быть сделан совместно с врачом-стоматологом, который сможет объяснить все плюсы и минусы каждого варианта, а также предложить оптимальное решение для конкретного случая. Правильный выбор материала поможет обеспечить долгосрочный и успешный результат протезирования.
Уход за коронкой после установки
После установки коронки на зуб очень важно соблюдать правильный уход, чтобы обеспечить долговечность и здоровье как самой коронки, так и окружающих тканей. Вот несколько ключевых аспектов, на которые стоит обратить внимание:
1. Гигиена полости рта
Поддержание высокой гигиеничности полости рта является основополагающим фактором для предотвращения заболеваний десен и кариеса. Рекомендуется:
- Чистить зубы дважды в день с использованием фторсодержащей зубной пасты.
- Использовать зубную нить или интердентальные щетки для очистки межзубных промежутков, особенно вокруг коронки.
- Регулярно полоскать рот антисептическими растворами для уменьшения бактериальной нагрузки.
2. Избегание жесткой пищи
В первые несколько дней после установки коронки рекомендуется избегать жесткой и липкой пищи, которая может повредить коронку или вызвать дискомфорт. Лучше всего употреблять мягкие продукты, такие как:
- Йогурт
- Пюре
- Супы
- Вареные овощи
3. Регулярные визиты к стоматологу
После установки коронки важно не забывать о регулярных визитах к стоматологу. Специалист сможет оценить состояние коронки и окружающих тканей, а также провести профессиональную чистку. Рекомендуется посещать стоматолога не реже одного раза в полгода.
4. Избегание вредных привычек
Некоторые привычки могут негативно сказаться на состоянии коронки. К ним относятся:
- Кусание ногтей
- Открывание упаковок зубами
- Жевание льда или твердых предметов
Избегание этих действий поможет сохранить коронку в хорошем состоянии на долгие годы.
5. Обращение к врачу при дискомфорте
Если вы заметили какие-либо изменения в состоянии коронки, такие как боль, чувствительность или изменение цвета, необходимо незамедлительно обратиться к стоматологу. Это может быть признаком проблем, требующих профессионального вмешательства.
Следуя этим рекомендациям, вы сможете продлить срок службы коронки и сохранить здоровье зубов и десен. Правильный уход и внимание к своему состоянию помогут избежать многих проблем в будущем.




