Вопрос о втором ряде зубов у детей беспокоит родителей, так как это может указывать на стоматологические проблемы. В статье рассмотрим причины появления зубов в два ряда, объясним, что такое сверхкомплект зубов, и как с этим справиться. Понимание этих аспектов поможет родителям вовремя обратиться к специалисту и предотвратить осложнения, обеспечив здоровье зубочелюстной системы ребенка.
Развитие челюсти и зубов у ребёнка
С течением времени, начиная с 6 месяцев и до 2,5 лет, у малыша полностью формируется молочный комплект из 20 зубов. В этом наборе отсутствуют премоляры, а о третьих молярах говорить пока рано.
Каждый ребёнок имеет свои индивидуальные сроки прорезывания, которые можно изучить в различных специализированных таблицах. Иногда допустимо небольшое отклонение на 1-2 месяца, что не должно вызывать беспокойства.
Тем не менее, если наблюдается значительная разница между ожидаемым и фактическим количеством зубов, рекомендуется обратиться к врачу, так как это может указывать на наличие проблемы со здоровьем.
Также важно следить за последовательностью появления зубов. Зубы прорезываются поэтапно: сначала появляются центральные резцы, затем боковые, после чего на очереди клыки и моляры.
Если порядок прорезывания нарушен, это является основанием для консультации у стоматолога.
В возрасте около 6 лет начинается процесс замены молочных зубов на коренные, который продолжается примерно до 13 лет. Корни молочных зубов постепенно рассасываются, что облегчает их выпадение из альвеол.
Эти зубы служат ориентиром для правильного роста коренных, которые появятся позже. В итоге, к подростковому возрасту у ребёнка должно быть 28 коренных зубов.
Врачи отмечают, что появление зубов в два ряда у детей, известное как дентальная дистопия, может быть связано с различными факторами. Это явление часто наблюдается в возрасте от 6 до 12 лет, когда у детей происходит смена молочных зубов на постоянные. Специалисты подчеркивают, что в большинстве случаев такая ситуация не требует немедленного вмешательства, так как со временем зубы могут занять правильное положение. Однако в некоторых случаях может потребоваться ортодонтическое лечение, особенно если наблюдаются проблемы с прикусом или если зубы начинают вызывать дискомфорт. Врачи рекомендуют родителям следить за состоянием зубов ребенка и регулярно посещать стоматолога для профилактических осмотров, чтобы избежать возможных осложнений в будущем.
https://youtube.com/watch?v=UcGUDzQj84I
Сверхкомплект и его последствия
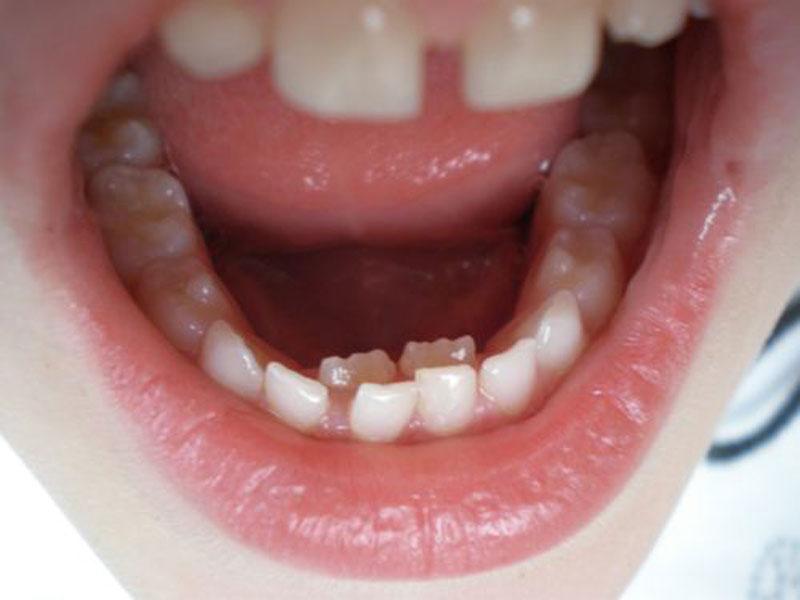
В стоматологической практике иногда возникают ситуации, когда переход от молочного прикуса к постоянному происходит с осложнениями.
Это происходит, когда молочный зуб еще не ослаб, чтобы выпасть самостоятельно, а коренной зуб уже активно прорезается. Поскольку место для него занято, постоянный зуб начинает смещаться за пределы зубного ряда.
Чтобы избежать таких проблем, рекомендуется водить ребенка на профилактические осмотры к стоматологу начиная с трехлетнего возраста, когда молочные зубы уже полностью сформированы.
Кроме того, наличие второго ряда зубов у человека может быть связано с явлением, известным как сверхкомплект. Это означает, что у ребенка начинают прорезываться коренные зубы, которые в норме не должны появляться.
В результате (исключая третьи моляры, которые могут не появиться вовсе) к подростковому возрасту у человека может быть 29 или даже 30 зубов.
Причины и возможные последствия:
- Проблема может возникнуть еще в первом триместре беременности матери, когда в процессе формирования зубных зачатков по какой-то причине появляется лишний зуб;
- Если такой «нелегал» все же прорезается, он часто делает это из-за нехватки места, что приводит к его расположению за пределами зубного ряда, вызывая болезненные ощущения и воспаление в полости рта.
| Причина появления | Описание | Что делать |
|---|---|---|
| Задержка выпадения молочных зубов | Молочный зуб не выпадает вовремя, а постоянный зуб начинает прорезываться рядом с ним. | Обратиться к стоматологу для удаления молочного зуба. |
| Недостаточное место в челюсти | Челюсть ребенка слишком мала для всех постоянных зубов, что приводит к их скученности и прорезыванию в необычных местах. | Ортодонтическое лечение (брекеты, пластинки) для расширения челюсти и выравнивания зубов. |
| Генетическая предрасположенность | В некоторых случаях, «зубы в два ряда» могут быть обусловлены наследственными факторами. | Консультация ортодонта для оценки необходимости и планирования лечения. |
| Неправильное положение зачатка постоянного зуба | Постоянный зуб изначально формируется в неправильном положении, что приводит к его прорезыванию не на своем месте. | Ортодонтическое лечение, в некоторых случаях может потребоваться удаление зуба. |
| Вредные привычки | Длительное сосание пальца, пустышки или других предметов может влиять на формирование прикуса и положение зубов. | Отказ от вредных привычек, консультация ортодонта. |
Лечение
Поскольку наличие зубов в два ряда у детей является отклонением, которое нарушает нормальное развитие зубного ряда и формирование правильного прикуса, необходима стоматологическая помощь. Попытки самолечения в данной ситуации могут привести к ещё более серьёзным проблемам.
После тщательной оценки состояния ротовой полости и перспектив роста, врач принимает решение о необходимости удаления лишних молочных зубов, но только тех, которые уже задали правильное направление для роста коренных зубов и достаточно ослаблены, чтобы их удаление прошло с минимальными осложнениями.
Ребёнок может не заметить наличие лишнего зубного ряда, поэтому рекомендуется периодически проводить профилактические осмотры ротовой полости. Если обнаруживаются какие-либо отклонения, следует незамедлительно обратиться к стоматологу для получения консультации.
https://youtube.com/watch?v=UJXDkDeTFMI
https://youtube.com/watch?v=RwJv3GrNU_8
Причины появления зубов в два ряда
Появление зубов в два ряда у детей, также известное как дентальная дистопия, может быть вызвано рядом факторов, которые могут варьироваться от генетических до экологических. Одной из основных причин является наследственность. Если у родителей или ближайших родственников наблюдались подобные аномалии, вероятность их появления у ребенка значительно возрастает.
Другой важный фактор — это неправильное развитие челюстей. В случае, если челюсти ребенка не имеют достаточного пространства для нормального роста зубов, это может привести к тому, что зубы начинают расти в неправильном положении, образуя два ряда. Неправильный прикус, который может быть вызван преждевременной потерей молочных зубов или их неправильным расположением, также может способствовать данной аномалии.
Кроме того, влияние окружающей среды и привычек ребенка может сыграть свою роль. Например, частое сосание пальца или использование пустышки на протяжении длительного времени может привести к изменению формы челюсти и, как следствие, к неправильному расположению зубов. Также стоит отметить, что некоторые заболевания, такие как рахит или нарушения обмена веществ, могут негативно сказаться на формировании зубочелюстной системы.
Не стоит забывать и о факторах, связанных с беременностью и родами. Например, недостаток витаминов и минералов у матери во время беременности может привести к недостаточному развитию зубов у ребенка. Кроме того, травмы, полученные во время родов, могут также повлиять на правильное формирование челюстей и зубов.
Важно отметить, что зубы в два ряда могут не только вызывать эстетические проблемы, но и приводить к функциональным нарушениям. Неправильное расположение зубов может затруднять жевание, вызывать дискомфорт и даже приводить к заболеваниям десен. Поэтому при первых признаках данной аномалии рекомендуется обратиться к стоматологу для диагностики и возможного лечения.
Профилактика и уход за зубами
Профилактика и уход за зубами у детей — это важный аспект, который помогает избежать множества стоматологических проблем, включая появление зубов в два ряда. Зубы в два ряда, или дентальная аномалия, могут возникать по различным причинам, включая преждевременную потерю молочных зубов, неправильное положение челюсти или наследственные факторы. Чтобы минимизировать риск возникновения данной проблемы, необходимо уделять внимание как гигиене полости рта, так и регулярным визитам к стоматологу.
Первым шагом в профилактике является обучение детей правильной гигиене полости рта. С раннего возраста необходимо приучать ребенка к регулярной чистке зубов. Рекомендуется чистить зубы дважды в день — утром и перед сном. Используйте зубную пасту с фтором, которая помогает укрепить эмаль и предотвратить кариес. Для детей младшего возраста лучше выбирать пасту с низким содержанием фтора, чтобы избежать риска флюороза.
Кроме того, важно правильно подбирать зубную щетку. Для детей лучше использовать щетки с мягкой щетиной и маленькой головкой, чтобы обеспечить комфорт и эффективность чистки. Родители должны контролировать процесс чистки зубов, особенно у детей младшего возраста, чтобы убедиться, что они чистят зубы должным образом и не пропускают труднодоступные участки.
Также стоит обратить внимание на рацион питания ребенка. Избегайте чрезмерного потребления сладостей и газированных напитков, которые могут способствовать развитию кариеса. Вместо этого предлагайте фрукты, овощи и молочные продукты, которые полезны для зубов и общего здоровья. Важно помнить, что здоровое питание не только укрепляет зубы, но и способствует правильному развитию челюсти.
Регулярные визиты к стоматологу также играют ключевую роль в профилактике дентальных аномалий. Специалисты рекомендуют посещать стоматолога не реже двух раз в год для профилактических осмотров и профессиональной чистки зубов. Стоматолог сможет выявить возможные проблемы на ранних стадиях и предложить соответствующее лечение или коррекцию.
Если у ребенка уже наблюдаются признаки зубов в два ряда, важно не откладывать визит к ортодонту. Специалист сможет оценить ситуацию и предложить оптимальные методы коррекции, такие как использование брекетов или других ортодонтических аппаратов. Чем раньше будет начато лечение, тем более эффективным оно будет.
В заключение, профилактика и уход за зубами у детей — это комплексный процесс, который включает в себя правильную гигиену, здоровое питание и регулярные визиты к стоматологу. Заботясь о зубах ребенка с раннего возраста, родители могут значительно снизить риск возникновения дентальных аномалий, включая зубы в два ряда, и обеспечить своему ребенку здоровую улыбку на всю жизнь.
Рекомендации для родителей
Когда у детей появляются зубы в два ряда, это может вызывать беспокойство у родителей. Однако важно понимать, что данное явление может быть временным и не всегда требует вмешательства специалиста. Тем не менее, есть несколько рекомендаций, которые помогут родителям правильно реагировать на эту ситуацию.
Во-первых, необходимо следить за гигиеной полости рта ребенка. Регулярная чистка зубов с использованием подходящей зубной пасты и щетки поможет предотвратить развитие кариеса и других стоматологических заболеваний. Родителям следует объяснить детям важность ухода за зубами и приучать их к этой привычке с раннего возраста.
Во-вторых, стоит обратить внимание на питание ребенка. Употребление большого количества сладостей и кислых продуктов может негативно сказаться на состоянии зубов. Рекомендуется включать в рацион больше овощей, фруктов и молочных продуктов, которые способствуют укреплению зубной эмали и общему здоровью полости рта.
Также важно следить за тем, как ребенок использует свои зубы. Некоторые дети могут использовать зубы для открытия упаковок или разжевывания твердых предметов, что может привести к повреждениям. Родителям следует объяснить, что зубы предназначены только для жевания пищи.
Если у ребенка наблюдаются зубы в два ряда, стоит проконсультироваться с детским стоматологом. Специалист сможет оценить ситуацию и, при необходимости, предложить варианты лечения или коррекции прикуса. Важно не откладывать визит к врачу, особенно если у ребенка возникают боли или дискомфорт.
Наконец, родителям следует помнить, что каждый ребенок индивидуален, и процесс смены зубов может проходить по-разному. Некоторые дети могут испытывать дискомфорт или беспокойство из-за появления новых зубов, и в таких случаях важно поддерживать их и объяснять, что это естественный процесс.
Следуя этим рекомендациям, родители смогут помочь своим детям справиться с ситуацией, когда зубы появляются в два ряда, и обеспечить им здоровую улыбку на долгие годы.

