Отек десны возле зуба — распространенная проблема, вызванная инфекциями, травмами или воспалениями. В статье рассмотрим методы снятия опухоли с десны в домашних условиях и народные рецепты для облегчения состояния. Также обсудим медикаментозное лечение и причины возникновения флюса, особенно у детей, что поможет вам лучше понять ситуацию и принять меры для восстановления здоровья полости рта.
Опухла десна над зубом: причины
Боль является наиболее распространенным симптомом стоматологических заболеваний, и для ее лечения важно учитывать причины, которые ее вызывают. Существует множество факторов, способствующих возникновению этой проблемы.
Рассмотрим наиболее распространенные из них:
- Поражение эмали, пульпы и дентина может привести к инфекционному процессу, в результате чего зубы становятся крайне чувствительными и болезненными, а также может возникнуть отек;
- Заболевания сопутствующих органов. Это могут быть поражения лицевых нервов, сильные головные боли, воспалительные процессы в ухе или патологии сердечно-сосудистой системы.
В зависимости от причин, вызывающих болезненные ощущения, дискомфорт может быть как временным, так и постоянным, проявляясь во время еды, ночью или при нажатии на зубы. Определенные клинические признаки помогают точно установить диагноз, что, в свою очередь, позволяет выбрать правильную терапевтическую стратегию.
Для того чтобы избежать появления сильной боли, важно соблюдать правила гигиены полости рта и регулярно посещать стоматолога.
Врачи рекомендуют при отеке десны возле зуба прежде всего обратиться к стоматологу для диагностики и лечения. Самостоятельные меры могут лишь временно облегчить состояние. В качестве первой помощи специалисты советуют полоскания солевым раствором, что помогает уменьшить воспаление и отек. Также можно использовать холодные компрессы на область щеки, чтобы снизить болевые ощущения и отечность. Важно избегать горячей пищи и напитков, так как они могут усугубить ситуацию. Если отек сопровождается сильной болью или гноетечением, необходимо как можно скорее записаться на прием к врачу, так как это может указывать на инфекцию, требующую профессионального вмешательства.
https://youtube.com/watch?v=PlRO9FmH1Fs
Отек десны и щеки: связь с зубной болью
Боль в ротовой полости может указывать на наличие различных заболеваний. Опухание десен и щек является защитной реакцией организма и часто сопровождается такими симптомами, как покраснение, зуд и другие.
Зуб, который подвергся поражению, может вызывать интенсивную боль, что свидетельствует о воспалительном процессе и наличии гноя в деснах, находящихся рядом с щекой.
Однако для того чтобы понять, что стало причиной этого состояния, необходимо выяснить истинные причины недуга.
| Причина отека десны | Рекомендуемые действия (до визита к врачу) | Когда обратиться к врачу немедленно |
|---|---|---|
| Воспаление десны (гингивит) | Полоскание рта антисептическими растворами (хлоргексидин, мирамистин), отварами трав (ромашка, шалфей). Тщательная гигиена полости рта. | Если отек усиливается, появляется сильная боль, кровоточивость, повышается температура. |
| Периодонтит (воспаление тканей вокруг корня зуба) | Холодный компресс на щеку со стороны отека. Прием обезболивающих препаратов (ибупрофен, парацетамол). | Сильная, пульсирующая боль, отек распространяется на лицо, появляется гной, затруднено открывание рта. |
| Прорезывание зуба мудрости | Полоскание рта солевым раствором или отварами трав. Прием обезболивающих. | Отек очень сильный, сопровождается болью при глотании, повышением температуры, затрудненным открыванием рта. |
| Травма десны (например, от жесткой пищи, неправильной чистки) | Полоскание рта антисептиками. Избегать раздражающей пищи. | Если травма глубокая, кровотечение не останавливается, отек не спадает в течение 1-2 дней. |
| Аллергическая реакция | Прием антигистаминных препаратов (если ранее были назначены врачом). | Отек быстро нарастает, сопровождается затруднением дыхания, сыпью, зудом. |
| Киста или абсцесс | Холодный компресс. Прием обезболивающих. | Сильная, нарастающая боль, образование гнойника, повышение температуры, общее недомогание. |
| Неправильно установленная пломба или коронка | Аккуратная гигиена. Избегать давления на зуб. | Отек не проходит, появляется боль при накусывании, дискомфорт. |
Всему виной флюс
Болезненность часто сопровождается отечностью окружающих тканей. Припухлость может возникать по различным причинам, однако наиболее распространенной является гнойное воспаление, известное в медицине как флюс.
Это состояние проявляется выраженным покраснением десен, которые также отекают. В такие моменты пациент испытывает значительный дискомфорт, и прикосновение к пораженной области становится невозможным из-за интенсивной боли.
Флюс возникает на фоне воспаления пульпы, инфекционных процессов или заболеваний десен. В результате развивается гнойный процесс, который сопровождается сильной болезненностью, отечностью и повышением температуры тела.
Воспаление затрагивает верхушку зуба. Гнойное образование, стремясь выйти наружу, формируется в области десны.
Весь патологический процесс, сопровождающийся болевыми ощущениями, не останавливается, и инфекция продолжает поражать соседние ткани. Со временем боль может приобрести пульсирующий характер и в какой-то момент стать невыносимой.
Если пациент не предпримет необходимых мер первой помощи и не обратится в стоматологическую клинику, прорыв гнойного очага может привести к серьезной интоксикации организма. В некоторых случаях это может закончиться летальным исходом.
https://youtube.com/watch?v=xZ9_9c-A7Pw
Отечность щеки после лечения
Часто после стоматологической процедуры по лечению зуба у пациента наблюдается значительное опухание щеки. Учитывая, что удаление проблемного зуба подразумевает вмешательство, которое может повредить десну, появление отека вполне объяснимо. Обычно такая отечность проходит в течение нескольких дней.
Физиологический отек, как правило, не вызывает болевых ощущений, имеет небольшие размеры и не требует хирургического вмешательства.
Однако в некоторых случаях речь идет о воспалительном процессе, который развивается в области вмешательства. Это может произойти при сложном удалении зубов, когда процедура сопровождается серьезными повреждениями.
Иногда причиной воспаления становится недостаточная квалификация врача, который не соблюдал гигиенические нормы во время операции, а иногда и сами пациенты, которые не следуют рекомендациям специалистов.
В ряде случаев проводится тщательная санация и очистка воспаленного участка с последующим лечением.
Если удаление зуба прошло с осложнениями, отек может сохраняться на протяжении нескольких недель. В тяжелых ситуациях может потребоваться повторная санация.
Также осложнения могут возникнуть из-за аллергической реакции на анестетик, использованный во время процедуры. В таких случаях отек щеки может возникнуть сразу после вмешательства, сопровождаясь одышкой, характерным свистом в легких и паническими атаками. Для устранения отека в легких необходимо немедленно госпитализировать пациента.
Как снять отек десны возле зуба
Ваши шаги при появлении отечности щеки будут зависеть от степени серьезности проблемы. Отек может возникнуть после стоматологических процедур или при наличии гнойного воспаления. Поэтому разумно в первую очередь сосредоточиться на лечении основных заболеваний, которые привели к этому состоянию.
Лечение при флюсе
При наличии подозрений на данный диагноз, первым шагом следует обратиться в стоматологическую клинику. Врач проведет детальное обследование и порекомендует противовоспалительные препараты, а также народные средства. В некоторых случаях могут быть назначены антибиотики.
Для уменьшения отечности нетрадиционная медицина предлагает несколько эффективных методов:
- приготовьте раствор из соды: на одну чашку кипятка добавьте 1 чайную ложку соды. Полощите рот в течение дня;
- отличным противовоспалительным эффектом обладают ромашка, шалфей и другие травы;
- иногда достаточно использовать масло чайного дерева. Смочите в нем ватный тампон и обрабатывайте пораженный участок.
Не забывайте, что категорически запрещено применять согревающие средства для уменьшения отечности, так как это может способствовать распространению инфекции.
Сложности терапии
Если после удаления или лечения зуба возникает отек, врачи рекомендуют прикладывать лед к щеке в области повреждения на протяжении около десяти минут.
Помимо полоскания растворами с содой и травами, можно применять компрессы. Начинать обработку полости рта следует не ранее чем через сутки после процедуры.
Для эффективного уменьшения отека рекомендуется использовать специальный гель метродент. Будьте внимательны во время еды, чтобы не травмировать рану повторно.
Отек десны у ребенка
Если вашему малышу еще нет года, и вы заметили отечность в области десен, не стоит паниковать — скорее всего, у него начинают прорезываться зубки. Чтобы убедиться в этом, обратите внимание на другие признаки прорезывания. Если ребенок стал более капризным, часто плачет и отказывается от еды, это может свидетельствовать о том, что зубы действительно режутся.
У некоторых детей могут возникать кожные реакции, аллергии, диарея и диспепсические расстройства. В этот период вся энергия организма направлена на рост зубов, что может ослабить иммунную систему и привести к различным патологиям.
Если состояние сопровождается повышением температуры тела, следует вызвать врача-педиатра на дом. Если из десен малыша идет кровь или вы заметили трещины, это может указывать на простуду. В любом случае, только специалист сможет поставить правильный диагноз и посоветовать, как облегчить отечность, если десна ребенка опухла.
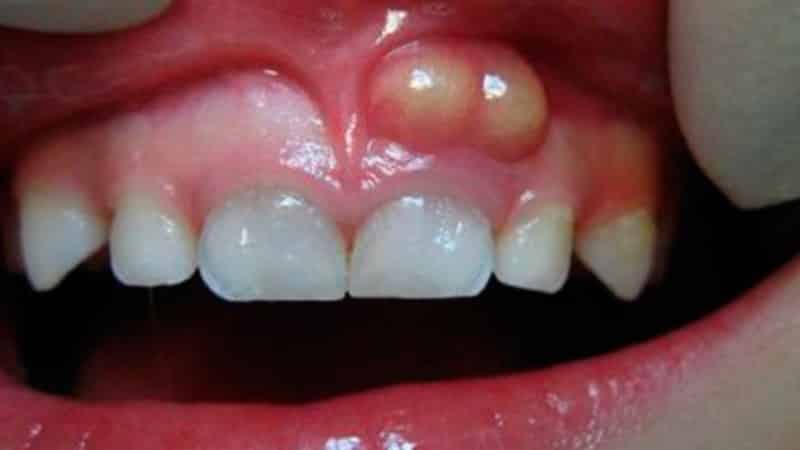
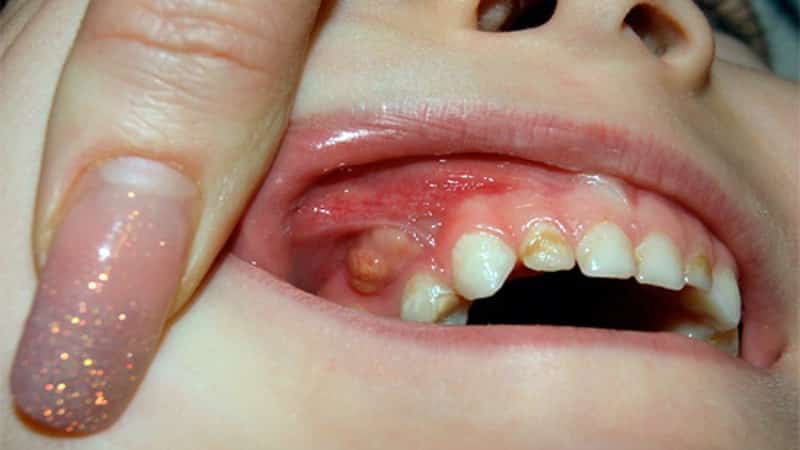
Кроме того, у вашего малыша могут быть и другие причины, вызывающие беспокойство. Обратите внимание на фотографии опухших десен у детей.
Часто у малышей диагностируют флюс, который приводит к отечности или образованию свища над воспаленным участком. Это происходит из-за запущенного кариеса. Если дело доходит до периодонтита, коренной зуб может серьезно пострадать. Поэтому важно своевременно лечить все заболевания полости рта.
Как же помочь своему малышу, если у него опухла десна? Конечно, необходимо обратиться к врачу. А до его прихода можно воспользоваться народными средствами.
Эффективными являются травяные настои и отвары. Когда у малыша начинают расти зубы, он испытывает дискомфорт, который может оказывать сильное воздействие на центральную нервную систему. Врачи обычно назначают специальные препараты для детей, обладающие противовоспалительным, обезболивающим и успокаивающим действием. Для полосканий подойдут такие травы, как ромашка, шалфей и зверобой.
Измельчите эти растения и залейте 400 мл кипятка, доведите до кипения и варите около пяти минут. Процеженную и остывшую жидкость можно использовать для полоскания рта малыша. Полоскания рекомендуется проводить примерно пять раз в день.
Если у вас нет травяных сборов, можно воспользоваться простой содой. Добавьте одну чайную ложку на стакан воды, тщательно перемешайте и полощите рот.
Болезненность зубов и отечность – это два симптома, которые часто проявляются одновременно. Одной из основных причин этого состояния является флюс. Кроме того, может накапливаться гной и отекать щека. Причиной могут быть и вмешательства по удалению зубов.
В каждой ситуации требуется комплексный подход, направленный на устранение причины заболевания. Обращайтесь к врачу вовремя, чтобы избежать множества осложнений и сэкономить на лечении.
https://youtube.com/watch?v=s5g9EtEVa7U
Профилактика отека десен
Профилактика отека десен является важным аспектом поддержания здоровья полости рта. Отек десен может быть вызван различными факторами, включая инфекции, травмы, неправильную гигиену и заболевания десен. Чтобы избежать появления отека, необходимо следовать нескольким рекомендациям.
1. Регулярная гигиена полости рта: Ежедневная чистка зубов дважды в день и использование зубной нити помогают удалить налет и остатки пищи, которые могут привести к воспалению десен. Рекомендуется использовать зубную пасту с фтором и мягкую зубную щетку, чтобы не повредить десны.
2. Правильная техника чистки зубов: Чистите зубы мягкими круговыми движениями, избегая резких движений, которые могут травмировать десны. Не забывайте чистить язык и внутреннюю поверхность щек, так как на них также может скапливаться бактерии.
3. Регулярные визиты к стоматологу: Профилактические осмотры и профессиональная чистка зубов у стоматолога помогут выявить и устранить проблемы на ранних стадиях. Стоматолог может также дать рекомендации по уходу за деснами и зубами.
4. Здоровое питание: Сбалансированное питание, богатое витаминами и минералами, способствует укреплению десен. Включайте в рацион продукты, содержащие витамин C (цитрусовые, ягоды, овощи), который помогает в заживлении тканей, а также кальций и витамин D для укрепления зубов.
5. Избегание вредных привычек: Курение и чрезмерное употребление алкоголя могут негативно сказаться на здоровье десен. Отказ от этих привычек поможет снизить риск воспаления и отека.
6. Устранение факторов риска: Если у вас есть заболевания, такие как диабет, важно контролировать их, так как они могут увеличивать риск воспаления десен. Также следует избегать стресса, который может ослабить иммунную систему.
Следуя этим рекомендациям, вы сможете значительно снизить риск возникновения отека десен и поддерживать здоровье полости рта на высоком уровне. Помните, что профилактика всегда проще и эффективнее, чем лечение уже возникших проблем.
Домашние средства для уменьшения отека
Существует множество домашних средств, которые могут помочь уменьшить отек десны возле зуба. Эти методы могут быть полезны как в качестве первой помощи, так и в качестве дополнения к лечению, назначенному стоматологом. Ниже приведены несколько эффективных способов, которые можно использовать в домашних условиях.
1. Полоскания солевым раствором
Солевой раствор является одним из самых простых и доступных средств для уменьшения отека десен. Для его приготовления необходимо растворить 1 чайную ложку соли в стакане теплой воды. Полоскания следует проводить 2-3 раза в день, чтобы уменьшить воспаление и облегчить боль. Соль обладает антисептическими свойствами, что помогает предотвратить дальнейшее развитие инфекции.
2. Холодные компрессы
Применение холодных компрессов может значительно снизить отек и облегчить боль. Для этого нужно завернуть лед или пакет с замороженными овощами в тонкое полотенце и прикладывать к щеке в области отека на 15-20 минут. Холод помогает сузить кровеносные сосуды и уменьшить воспаление.
3. Чай с ромашкой
Ромашка известна своими противовоспалительными и успокаивающими свойствами. Заварите пакетик ромашкового чая в стакане горячей воды и дайте настояться. После остывания можно использовать этот настой для полоскания рта. Это поможет уменьшить отек и успокоит раздраженные десны.
4. Масло чайного дерева
Масло чайного дерева обладает антисептическими и противовоспалительными свойствами. Добавьте несколько капель масла в стакан с водой и используйте для полоскания рта. Также можно нанести небольшое количество масла на ватный тампон и аккуратно втереть в область отека. Однако следует помнить, что масло чайного дерева не рекомендуется использовать в чистом виде, так как оно может вызвать раздражение.
5. Алое вера
Гель алое вера известен своими целебными свойствами и может помочь уменьшить воспаление десен. Нанесите немного геля на пораженную область и оставьте на 20-30 минут. Это поможет успокоить десны и ускорить процесс заживления.
6. Увлажнение
Недостаток влаги в организме может усугубить воспалительные процессы. Убедитесь, что вы пьете достаточное количество воды в течение дня. Это поможет поддерживать здоровье десен и предотвратить их дальнейшее воспаление.
Важно помнить, что домашние средства могут быть эффективными, но они не заменяют профессиональную стоматологическую помощь. Если отек десны не проходит в течение нескольких дней или сопровождается сильной болью, необходимо обратиться к стоматологу для диагностики и лечения.
Когда обращаться к стоматологу
Отек десны возле зуба может быть признаком различных стоматологических заболеваний, и в некоторых случаях он требует немедленного вмешательства специалиста. Важно уметь распознавать симптомы, которые указывают на необходимость обращения к стоматологу.
Первым признаком, который должен вас насторожить, является сильная боль в области отека. Если боль не проходит после применения обезболивающих средств или усиливается, это может свидетельствовать о наличии инфекции или воспалительного процесса, требующего профессионального лечения.
Также стоит обратить внимание на наличие гноя или выделений из десны. Если вы заметили гнойные выделения, это может указывать на абсцесс или пародонтит, которые требуют немедленного стоматологического вмешательства. Не стоит ждать, пока симптомы исчезнут сами по себе, так как это может привести к более серьезным осложнениям.
Если отек десны сопровождается повышением температуры тела, это также является тревожным сигналом. Лихорадка может указывать на системную инфекцию, которая требует срочного медицинского вмешательства. В таких случаях важно не откладывать визит к стоматологу, так как инфекция может распространиться на другие участки организма.
Кроме того, если отек десны не проходит в течение нескольких дней, несмотря на домашние меры, такие как полоскания антисептическими растворами или применение противовоспалительных средств, это также является основанием для обращения к врачу. Хронический отек может быть признаком более серьезных заболеваний, таких как киста или опухоль.
Не забывайте, что профилактика всегда лучше лечения. Регулярные визиты к стоматологу помогут выявить проблемы на ранних стадиях и предотвратить развитие серьезных заболеваний. Если вы заметили изменения в состоянии десен, не откладывайте визит к специалисту, чтобы избежать осложнений и сохранить здоровье полости рта.




