Кровоточивость десен — распространенная проблема, часто указывающая на серьезные заболевания полости рта. В статье рассмотрим основные причины этого симптома, а также методы лечения и профилактики. Понимание причин кровоточивости и своевременное обращение к специалистам помогут избежать осложнений и сохранить здоровье зубов и десен. Эта информация будет полезна как тем, кто уже столкнулся с проблемой, так и тем, кто хочет предотвратить ее появление.
Причины возникновения кровоточивости
Перед тем как приступить к лечению кровоточивости десен, важно выявить причину этой проблемы.
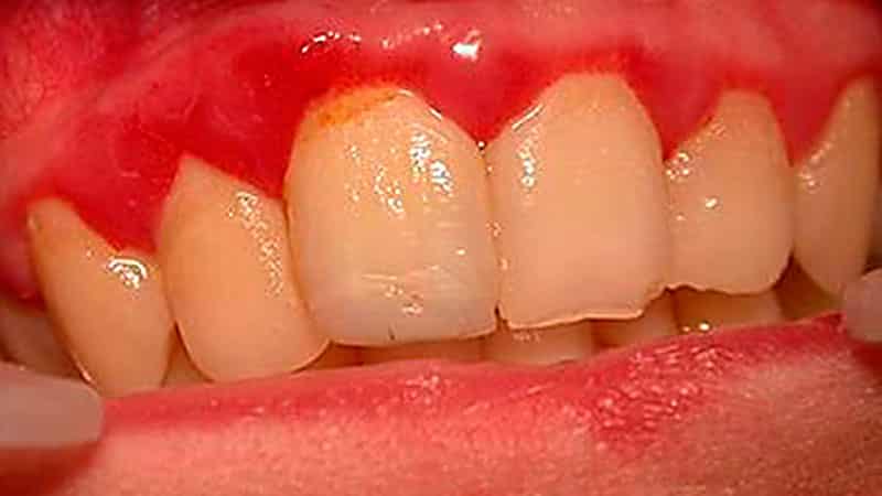
Данное явление часто указывает на воспаление десен. Гингивит и пародонтит — это заболевания, которые чаще всего приводят к воспалению и кровоточивости десен. Для более точного определения причин и методов лечения этих заболеваний рекомендуется обратиться к стоматологу. Следует помнить, что чем сильнее воспаление, тем заметнее будет кровоточивость. Некоторые люди замечают эту проблему только во время чистки зубов, в то время как другие могут ощущать выделение крови даже в состоянии покоя.
Причины кровоточивости десен могут быть весьма разнообразными:
- Неправильная гигиена полости рта.
- Недостаток витаминов и минералов.
- Несбалансированное питание.
- Травмы в области рта.
- Вирусные, инфекционные и грибковые заболевания.
- Гормональные изменения в организме.
- Снижение иммунной защиты.
- Неподходящая зубная щетка.
- Наличие вредных привычек.
- Заболевания крови.
- Ожоги в ротовой полости.
Наиболее очевидной причиной является недостаточный уход за зубами. Остатки пищи, которые часто остаются между зубами, создают идеальные условия для размножения бактерий. Налет, образующийся через сутки или чуть больше, превращается в зубной камень, избавиться от которого может только стоматолог. Бактерии, находящиеся в такой среде, выделяют токсичные вещества, которые повреждают десны. В результате десны могут приобретать ярко-розовый или даже синий оттенок. Это состояние может сохраняться на протяжении многих лет. Если не решить проблему вовремя, может произойти поражение костной ткани зуба, что уже классифицируется как «пародонтит».
Важно точно определить, почему кровоточат десны. Причины будут влиять на выбор методов лечения и необходимость обращения к специалистам для решения проблемы.
Только пациент может помочь врачу быстрее разобраться в ситуации, так как специалист не знает о привычках и образе жизни человека.
Иногда лечение можно провести самостоятельно, не прибегая к специальным средствам. Например, многие задаются вопросом: «почему кровоточат десны при чистке зубов», и в итоге может оказаться, что достаточно просто заменить щетку на более мягкую.
Врачи отмечают, что кровоточивость десен является распространенной проблемой, часто связанной с заболеваниями пародонта. Основной рекомендацией специалистов является регулярная гигиена полости рта, включая чистку зубов дважды в день и использование зубной нити. Важно также посещать стоматолога не реже двух раз в год для профессиональной чистки и диагностики.
Кроме того, врачи подчеркивают, что правильное питание играет значительную роль в здоровье десен. Употребление продуктов, богатых витаминами C и K, может способствовать укреплению десен. В некоторых случаях может потребоваться лечение, включая антибактериальные ополаскиватели или специальные гели. Важно не игнорировать симптомы и обращаться за помощью к специалистам, чтобы избежать серьезных осложнений.
https://youtube.com/watch?v=N7ZCMsSzH4o
Лечение кровоточивости десен медикаментозным способом
Если десна воспалены и кровоточат, стоматолог может назначить лечение после проведения обследования, чтобы выяснить, связано ли это с зубным налетом, камнем или другими проблемами гигиенического характера.
Когда требуется терапия, она делится на несколько этапов:
- Выполняется гигиеническая чистка полости рта с использованием стоматологического оборудования. Это не только помогает избавиться от налета и камня, но и уничтожает часть патогенных бактерий.
- Подбираются средства, направленные на устранение причины проблемы. Если она связана с заболеваниями, не относящимися к стоматологии, врач направит пациента к соответствующему специалисту – терапевту или гематологу. Также назначаются препараты с вспомогательным действием, если десны кровоточат.
Только специалист решает, как лечить заболевание. В противном случае можно ослабить иммунную систему, что приведет к усилению воспалительных процессов и кровотечениям в ротовой полости.
Если у пациента диагностирован гингивит, помимо кровоточивости десен может наблюдаться неприятный запах изо рта. Лечение в таком случае помогает решить несколько эстетических проблем:
- Кровь из десен.
- Непривлекательный внешний вид зубов.
- Неприятный запах.
Наиболее распространенные средства, помогающие справиться с этой проблемой, включают:
- средства для полоскания рта (например, обычный хлоргексидин). Полоскать рот следует дважды в день после еды в течение примерно 10 дней;
- аппликации с лечебными пастами и гелями (такими как «Солкосерил», «Денталь», «Метрогил-дента», «Холисал-гель»). Их применяют после полоскания ротовой полости;
- использование зубной нити после чистки зубов и приема пищи.
Если пациенту поставлен диагноз «пародонтит», то обойтись домашними средствами не получится. Необходимо регулярно посещать стоматолога, который проведет промывание и введение специальных препаратов в зубные карманы.
При наличии инфекционного, вирусного или грибкового заболевания лечение кровоточивости десен может включать назначение медикаментов для внутреннего применения (включая антибиотики). Важно помнить, что во время беременности существуют серьезные ограничения на прием лекарств и проведение аппликаций, так как это может навредить плоду. Поэтому чаще всего рекомендуется использовать витамины для улучшения состояния десен.
После проведения лечебных процедур желательно в течение 2 часов воздержаться от еды и горячих напитков. Для утоления жажды лучше всего использовать чистую питьевую воду.
| Причина кровоточивости десен | Рекомендуемые действия | Дополнительные советы |
|---|---|---|
| Гингивит (воспаление десен) | Улучшение гигиены полости рта: чистка зубов 2 раза в день мягкой щеткой, использование зубной нити. | Использование ополаскивателей для рта с антисептическим действием (например, с хлоргексидином, но не дольше 2 недель). Регулярные профессиональные чистки у стоматолога. |
| Пародонтит (запущенный гингивит) | Обращение к стоматологу-пародонтологу: профессиональная чистка (удаление зубного камня и налета), кюретаж, возможно, антибиотикотерапия. | Строгое соблюдение рекомендаций врача. Отказ от курения. Контроль сопутствующих заболеваний (например, диабета). |
| Неправильная техника чистки зубов | Использование мягкой зубной щетки: чистка круговыми или выметающими движениями, без сильного давления. | Проконсультируйтесь со стоматологом или гигиенистом по правильной технике чистки. |
| Недостаток витаминов (особенно С и К) | Коррекция рациона питания: включение продуктов, богатых витаминами С (цитрусовые, киви, болгарский перец) и К (зеленые листовые овощи). | При необходимости, прием витаминных комплексов по назначению врача. |
| Гормональные изменения (беременность, пубертат) | Усиленная гигиена полости рта: регулярные чистки, использование зубной нити. | Чаще посещайте стоматолога для профилактических осмотров и профессиональной гигиены. |
| Прием некоторых лекарств (антикоагулянты, некоторые антидепрессанты) | Информирование лечащего врача: обсуждение возможных альтернатив или коррекции дозировки. | Не прекращайте прием лекарств без консультации с врачом. |
| Заболевания крови (лейкемия, тромбоцитопения) | Консультация с гематологом: лечение основного заболевания. | Стоматологическое лечение проводится с осторожностью и под контролем гематолога. |
| Неправильный прикус или плохо установленные пломбы/коронки | Обращение к стоматологу-ортодонту или ортопеду: коррекция прикуса, замена или коррекция пломб/коронок. | Регулярные осмотры у стоматолога для своевременного выявления проблем. |
| Курение | Отказ от курения: курение значительно ухудшает состояние десен и замедляет заживление. | Поиск поддержки для отказа от курения. |
Лечение зубными пастами
Важно понимать, что использование зубных паст не является полноценным лечением. Они способны лишь облегчить симптомы, но не решают основную проблему. Среди наиболее популярных вариантов можно выделить:
- Lacalute.
- Paradontax.
- Лесной бальзам.
- Пародонтоцид.
Эти пасты помогают уменьшить воспаление. Однако перед их применением необходимо пройти обследование и лечение у специалиста-пародонтолога.
https://youtube.com/watch?v=3_fAduTvau8
Мифы о перекиси водорода
3% раствор перекиси водорода находит широкое применение в медицинской практике. Он эффективно борется с гнойными инфекциями. Тем не менее, при гингивите и пародонтите самостоятельное использование этого средства может оказаться не только бесполезным, но и опасным. Важно, чтобы раствор достигал пародонтального кармана, что может обеспечить только стоматолог. Попытка самостоятельно раздвинуть десневые ткани может привести к их омертвению. Простое полоскание или нанесение перекиси не принесет желаемого лечебного результата.
Использование народных средств
В современном мире нередко возникают ситуации, когда люди предпочитают избегать применения медикаментов для лечения различных недугов. Если у вас наблюдается кровоточивость десен, и причины этого явления не представляют серьезной угрозы, можно обратиться к проверенным народным методам.
Многие из таких рецептов сосредоточены на полосканиях ротовой полости. Для этих целей подойдут настои следующих трав:
- Ромашка.
- Шалфей.
- Герань кроваво-красная.
- Эвкалипт.
- Горная арника.
Также облегчить состояние поможет полоскание подсолнечным маслом, раствором соды и различными настойками.
Одним из наиболее действенных средств является отвар, приготовленный из коры дуба. Дубильные вещества, содержащиеся в этом растении, входят в состав многих профессиональных лечебных препаратов. Чтобы приготовить отвар, выполните следующие шаги:
- Измельчите 1 столовую ложку сухой коры дуба.
- Залейте ее стаканом воды.
- Доведите до кипения на медленном огне.
- Дайте отвару настояться около 15-20 минут.
- Процедите отвар в чистую емкость.
Этим средством рекомендуется полоскать рот 2-3 раза в день. Также можно делать аппликации, смочив ватный тампон в отваре.
Аналогичным образом можно приготовить отвар из шалфея.
Если у вас на подоконнике растет алоэ, его листья могут помочь в борьбе с проблемами десен:
- Выберите здоровый лист растения.
- Разрежьте его на половинки.
- Удалите колючки.
- Отрежьте небольшой кусочек, который удобно будет держать в рту.
- После чистки зубов приложите лист к деснам.
Рекомендуется проводить аппликации с алоэ на ночь, находясь с ним в течение всего времени. Если это неудобно, можно делать аппликации по полчаса в вечернее время.
Настойка шиповника также может помочь восполнить нехватку витаминов и снизить воспаление десен. Перед приготовлением убедитесь, что шиповник собран в чистом месте, вдали от дорог. Для настойки нужно взять 100 граммов плодов шиповника и залить их стаканом спирта. Настойка должна настояться в теплом месте в течение 10-14 дней. Для приготовления раствора для полоскания используйте следующий рецепт:
- Одна чайная ложка настойки шиповника.
- Стакан теплой чистой воды.
Кроме того, смешав обычную соль с чайной ложкой меда и втирая полученную смесь в десны, можно также избавиться от неприятных симптомов.
Лечение десен у детей
Когда у взрослых наблюдается кровоточивость десен, способы лечения обычно известны. Однако если такая проблема возникает у маленького ребенка, то заставить его использовать необходимые средства может быть довольно сложно.
Причинами этого явления у детей могут быть ортодонтические аппараты, кариес, острые края прорезывающихся зубов и другие факторы.
При полоскании рта или если малыш капризничает, лучше всего применять аппликации из лечебных паст и гелей. Более того, многие медицинские препараты можно наносить без использования ватных тампонов или марли. Также стоит рассмотреть возможность замены зубной пасты, которую использует ребенок.
Детям нравятся жевательные резинки, содержащие кору дуба или другие натуральные экстракты, которые могут помочь в решении проблемы. Слюна, вырабатываемая во время жевания, способствует образованию полезных веществ в ротовой полости. Такие жевательные резинки можно найти в аптеке.
Часто причиной кровоточивости десен является неправильная техника чистки зубов. Поэтому взрослым следует внимательно следить за этим процессом.
Детям также важно увеличить потребление витаминов при появлении такого симптома. Быстрый рост может приводить к тому, что защитные функции организма ослабевают. Для профилактики можно проводить двухнедельные курсы приема аскорутина, который помогает восполнить нехватку витамина С. Как известно, в большинстве фруктов, продаваемых на рынке, витаминов сейчас очень мало.
Понимание причин кровоточивости десен и методов их лечения позволяет своевременно принимать меры и предотвращать ухудшение состояния ротовой полости. Это поможет чаще улыбаться!
https://youtube.com/watch?v=5lLcJIeK2NU
Профилактика кровоточивости десен
Профилактика кровоточивости десен является важным аспектом поддержания здоровья полости рта. Правильный уход за зубами и деснами может значительно снизить риск возникновения проблем, связанных с кровоточивостью. Вот несколько ключевых рекомендаций, которые помогут предотвратить это неприятное состояние.
Регулярная гигиена полости рта
Основой профилактики является регулярная и правильная гигиена полости рта. Чистите зубы не менее два раза в день с использованием фторсодержащей зубной пасты. Обязательно используйте зубную нить или межзубные щетки для удаления остатков пищи и налета из труднодоступных мест между зубами. Это поможет предотвратить образование зубного камня и воспаление десен.
Правильная техника чистки зубов
Важно не только регулярно чистить зубы, но и делать это правильно. Используйте мягкую зубную щетку и чистите зубы круговыми движениями, уделяя внимание линии десен. Избегайте слишком сильного давления, чтобы не повредить десны. Также рекомендуется менять зубную щетку каждые три месяца или после перенесенных заболеваний.
Регулярные визиты к стоматологу
Посещение стоматолога не реже двух раз в год для профессиональной чистки зубов и осмотра состояния десен поможет выявить проблемы на ранних стадиях. Стоматолог сможет провести необходимые процедуры, такие как удаление зубного камня и лечение воспалений, что значительно снизит риск кровоточивости десен.
Сбалансированное питание
Правильное питание играет важную роль в здоровье десен. Убедитесь, что ваш рацион богат витаминами и минералами, особенно витамином C, который способствует укреплению десен. Избегайте избыточного потребления сахара, так как он способствует развитию кариеса и воспалительных процессов в полости рта.
Отказ от вредных привычек
Курение и употребление алкоголя негативно сказываются на здоровье десен. Никотин снижает кровообращение в деснах, что может привести к их воспалению и кровоточивости. Отказ от этих привычек поможет улучшить общее состояние полости рта и снизить риск заболеваний десен.
Контроль за состоянием здоровья
Некоторые заболевания, такие как диабет и сердечно-сосудистые заболевания, могут способствовать развитию проблем с деснами. Регулярный контроль за состоянием здоровья и лечение хронических заболеваний помогут предотвратить осложнения, связанные с кровоточивостью десен.
Следуя этим рекомендациям, вы сможете значительно снизить риск кровоточивости десен и поддерживать здоровье полости рта на высоком уровне. Заботьтесь о своих зубах и деснах, и они будут служить вам долго и безболезненно.
Роль питания в здоровье десен
Правильное питание играет ключевую роль в поддержании здоровья десен и предотвращении их кровоточивости. Недостаток определенных витаминов и минералов может привести к ухудшению состояния десен, что, в свою очередь, способствует развитию заболеваний, таких как гингивит и пародонтит.
Одним из наиболее важных витаминов для здоровья десен является витамин C. Он способствует синтезу коллагена, который необходим для поддержания структуры десен. Недостаток витамина C может привести к ослаблению десневой ткани и повышенной кровоточивости. Продукты, богатые витамином C, включают цитрусовые, киви, клубнику, брокколи и перец.
Витамин K также играет важную роль в здоровье десен, так как он участвует в процессе свертывания крови. Недостаток витамина K может привести к увеличению кровоточивости десен. Источники витамина K включают зеленые листовые овощи, такие как шпинат, капуста и брокколи, а также ферментированные продукты, такие как натто и квашеная капуста.
Кроме витаминов, минералы, такие как кальций и магний, также важны для здоровья десен. Кальций укрепляет зубы и десны, а магний помогает поддерживать здоровье костной ткани. Продукты, богатые кальцием, включают молочные продукты, орехи и семена, а магний можно найти в цельнозерновых продуктах, бобовых и зеленых овощах.
Не менее важным аспектом является потребление антиоксидантов, которые помогают защищать десны от воспалительных процессов. Ягоды, орехи, зеленый чай и овощи, такие как морковь и сладкий картофель, являются отличными источниками антиоксидантов.
Также стоит обратить внимание на уровень сахара в рационе. Избыточное потребление сахара может способствовать развитию бактерий в полости рта, что увеличивает риск воспаления десен. Снижение потребления сладостей и обработанных продуктов поможет сохранить здоровье десен.
В заключение, сбалансированное питание, богатое витаминами, минералами и антиоксидантами, является важным фактором в поддержании здоровья десен и предотвращении их кровоточивости. Регулярное употребление свежих фруктов и овощей, а также отказ от избыточного потребления сахара помогут сохранить десны крепкими и здоровыми.
Когда обращаться к стоматологу
Кровоточивость десен может быть симптомом различных стоматологических заболеваний, и важно не игнорировать этот признак. Если вы заметили, что ваши десны кровоточат при чистке зубов, использовании зубной нити или даже без видимой причины, это может указывать на наличие воспалительного процесса или других проблем, требующих внимания специалиста.
Первый признак, когда стоит обратиться к стоматологу, — это постоянная или частая кровоточивость десен. Если это происходит регулярно, даже при соблюдении правил гигиены полости рта, необходимо провести обследование. Врач сможет определить, связана ли проблема с гингивитом, пародонтитом или другими заболеваниями.
Также стоит записаться на прием, если кровоточивость десен сопровождается другими симптомами, такими как:
- постоянная боль в деснах;
- появление отеков или покраснений;
- неприятный запах изо рта;
- подвижность зубов;
- изменение цвета десен.
Если вы заметили, что десны кровоточат после травмы или повреждения, например, при неаккуратном использовании зубной нити или зубной щетки, это также повод для обращения к стоматологу. Врач сможет оценить степень повреждения и дать рекомендации по уходу за полостью рта в таких случаях.
Люди с хроническими заболеваниями, такими как диабет, сердечно-сосудистые заболевания или иммунные расстройства, должны быть особенно внимательны к состоянию своих десен. Кровоточивость может указывать на более серьезные проблемы, и регулярные визиты к стоматологу в таких случаях крайне важны.
Кроме того, если вы беременны, рекомендуется проходить стоматологические осмотры чаще, так как гормональные изменения могут влиять на здоровье десен и увеличивать риск их воспаления.
В заключение, не стоит откладывать визит к стоматологу, если вы заметили кровоточивость десен. Раннее обращение за помощью может предотвратить развитие более серьезных заболеваний и сохранить здоровье вашей полости рта.


