Кривые зубы — это не только эстетическая проблема, но и фактор, влияющий на здоровье полости рта и качество жизни. В статье рассмотрим причины дефектов прикуса и методы их исправления у детей и взрослых. Вы увидите реальные примеры до и после лечения, что поможет понять процесс и результаты ортодонтической коррекции. Эта информация будет полезна родителям, желающим обеспечить детям красивую улыбку, и взрослым, стремящимся улучшить здоровье зубов и внешний вид.
Первые зубки
Стоматологи отмечают, что искривленные молочные зубы встречаются довольно редко. Однако многие молодые родители больше беспокоятся о появлении промежутков и зазоров в зубном ряду, и это беспокойство зачастую не обосновано. На самом деле, в этом нет никаких патологий. Корни молочных зубов формируются на ранних стадиях внутриутробного развития. К моменту их прорезывания все зубы уже соответствуют размерам челюсти малыша, и промежутков между ними практически не наблюдается.
С возрастом ребенка все органы пропорционально увеличиваются, и расстояние между зубами также может увеличиваться. Важно следить за тем, чтобы эти зазоры были симметричными. Неправильное распределение может быть связано с неравномерным ростом челюсти или недоразвитием некоторых зубных фолликулов. В таких ситуациях стоит задуматься о визите к стоматологу для ребенка.
Врачи-стоматологи отмечают, что исправление кривых зубов — это не только вопрос эстетики, но и здоровья. Неправильный прикус может привести к проблемам с жеванием, болям в челюсти и даже к заболеваниям десен. Для коррекции зубного ряда специалисты рекомендуют несколько методов. Один из самых распространенных — использование брекетов, которые постепенно выравнивают зубы. Альтернативой могут стать прозрачные капы, которые менее заметны и удобны в использовании. Важно, чтобы лечение проводилось под контролем опытного ортодонта, который сможет подобрать оптимальный вариант в зависимости от индивидуальных особенностей пациента. Регулярные осмотры и соблюдение рекомендаций врача помогут достичь желаемого результата быстрее и эффективнее.
https://youtube.com/watch?v=t8omVDUbfiQ
Что может вызвать искривление
Многие молодые мамы и папы задаются вопросом, почему зубы у их детей вырастают кривыми. На это можно указать несколько причин, по которым зубы могут быть неровными или слишком близко расположенными друг к другу:
- нехватка минеральных веществ, особенно кальция, и поливитаминов в рационе матери во время беременности, особенно в период формирования зубных фолликулов у эмбриона;
- недостаточная нагрузка на жевательный аппарат малыша – для правильного развития челюстей важно не ограничиваться только жидкими кашами и пюре, но и постепенно вводить твердые продукты, такие как сухарики, баранки, яблоки и морковь (также можно использовать специальные прорезыватели);
- частые простуды и хронические заболевания верхних дыхательных путей, такие как насморк, ринит или аденоиды, мешают дыханию через нос, а привычка дышать ртом может привести к деформации челюстных костей;
- склонность держать в рту посторонние предметы – соски-пустышки, пальцы, игрушки и другие вещи;
- неблагоприятная наследственность.
| Метод исправления | Описание | Преимущества и недостатки |
|---|---|---|
| Брекеты | Металлические, керамические или сапфировые конструкции, фиксируемые на зубах для их постепенного перемещения. | Преимущества: Высокая эффективность для большинства случаев, широкий спектр применения. Недостатки: Видимость (особенно металлических), дискомфорт, ограничения в питании, длительность лечения. |
| Элайнеры (капы) | Прозрачные съемные каппы, изготавливаемые индивидуально для каждого пациента. | Преимущества: Эстетичность (практически незаметны), удобство (можно снимать для еды и чистки), меньший дискомфорт. Недостатки: Не подходят для очень сложных случаев, требуют дисциплины ношения, стоимость может быть выше брекетов. |
| Виниры и люминиры | Тонкие керамические или композитные накладки, фиксируемые на передней поверхности зубов. | Преимущества: Быстрое улучшение эстетики, маскировка небольших дефектов формы и цвета, минимальное препарирование зубов (для люминиров). Недостатки: Не исправляют прикус, требуют обточки зубов (для виниров), не подходят для значительных искривлений, высокая стоимость. |
| Реставрация композитными материалами | Наращивание зубов с помощью светоотверждаемых композитных материалов. | Преимущества: Быстро, относительно недорого, минимальное вмешательство в структуру зуба. Недостатки: Подходит только для незначительных дефектов, менее долговечно, чем виниры, может требовать периодической коррекции. |
| Хирургическое вмешательство (ортогнатическая хирургия) | Операция по изменению положения челюстей для коррекции серьезных аномалий прикуса. | Преимущества: Решение самых сложных проблем с прикусом и эстетикой лица. Недостатки: Инвазивность, длительный период восстановления, риски, связанные с операцией, высокая стоимость. |
| Ретейнеры | Несъемные или съемные конструкции, используемые после основного ортодонтического лечения для закрепления результата. | Преимущества: Предотвращают рецидив (возвращение зубов в исходное положение). Недостатки: Требуют постоянного ношения (несъемные) или регулярного использования (съемные), могут вызывать дискомфорт в начале. |
Чем грозит деформация
При выявлении любых, даже незначительных отклонений в развитии челюстно-лицевого аппарата важно обратиться к специалисту. Только врач сможет определить, есть ли основания для беспокойства.
Часто «опытные» мамы советуют «новичкам» не обращать внимания на кривые зубы у детей и уверяют, что со временем они выровняются сами, так как все равно будут меняться. Однако это мнение не соответствует действительности, и если не решить проблему на ранних этапах, могут возникнуть серьезные осложнения. Деформация «временных» зубов может привести к искривлению коренных.
Неправильное положение зубов часто становится причиной различных заболеваний, таких как мигрень, проблемы с ЛОР-органами и желудочно-кишечным трактом, а также многих других. Кроме того, неровные зубы могут вызвать серьезные психологические трудности, особенно в период формирования личности.
Коррекция кривых зубов в зрелом возрасте оказывается значительно менее эффективной, чем в детстве. Поэтому разумно заняться этой проблемой заранее. Главное, что должны делать родители в такой ситуации – сохранять спокойствие и не передавать ребенку свою тревогу.
Формирование коренных зубов
Молочные зубы, обладающие правильной и эстетичной формой, не всегда гарантируют, что постоянные зубы будут такими же ровными. Деформация корневых фолликулов часто возникает из-за того, что они прорезываются в том размере, который будет у них на протяжении всей жизни, в то время как челюсть ребенка еще не завершила свое развитие. В результате этого коренной зуб может вырасти криво, когда его вытесняют другие зубы.
Полная смена зубного ряда обычно происходит в течение 7–10 лет, поэтому трудно точно определить, когда следует начинать коррекцию зубного ряда. Эксперты рекомендуют начинать лечение, как только вы заметите, чтомолочный зуб начинает расти криво. Своевременное удаление такого зуба может помочь избежать дальнейших проблем. Важно помнить, что формирование зубной системы у ребенка завершается примерно к 13 годам.
В каком возрасте начинать коррекцию
Наиболее эффективно проводить коррекцию челюстных пластин при наличии неправильного прикуса на ранних стадиях. Оптимально начинать этот процесс в возрасте около четырех лет. Если не принять меры вовремя, неправильный прикус может привести к серьезным последствиям, таким как хронические заболевания дыхательных путей или нарушения в работе желудочно-кишечного тракта.
Кроме того, неправильное смыкание зубов может негативно сказаться на состоянии десен. Увеличивается риск развития кариеса и пародонтита, могут возникать боли в области челюстных суставов. Игнорирование данной проблемы может привести к полной утрате жевательных функций. Что же делать, если вы заметили кривизну зубов на раннем этапе?
В таких ситуациях можно рассмотреть возможность использования съемных ортодонтических аппаратов. Это поможет ускорить рост челюстей и улучшить развитие жевательных мышц.
Для детей старшего возраста и подростков этот метод может оказаться неэффективным, и в таком случае потребуется применение несъемных конструкций. Взрослым для выравнивания зубов иногда может понадобиться хирургическое вмешательство. Тем не менее, всегда существует возможность попробовать альтернативные методы лечения, такие как использование специальных конструкций для коррекции кривых передних зубов.
Несъемные аппараты
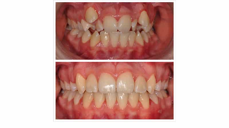
Безусловно, привлекательность человека во многом определяется его улыбкой. Заботиться о здоровье зубов следует начинать с раннего возраста. Как можно заметить на множестве фотографий детей с кривыми зубами, часто проблема заключается в неправильном прикусе. Наиболее распространенным способом его коррекции является установка брекетов.
Эти устройства состоят из металлических дуг и направляющих элементов, которые на протяжении нескольких месяцев, а иногда и лет, постепенно исправляют прикус. Брекеты относятся к несъемным системам, и их использование требует регулярных визитов к специалисту для контроля процесса лечения. Вопреки распространенному мнению, современные брекеты могут быть практически незаметными, так как устанавливаются с внутренней стороны зубов. Тем не менее, существуют и различные внешние конструкции.
Кроме привычных металлических аппаратов, сегодня доступны сапфировые, керамические прозрачные и полимерные системы. Последний вариант особенно подходит для детей. Чтобы увидеть, насколько можно изменить кривые зубы с помощью этих конструкций, вы можете ознакомиться с фото до и после, представленными в нашей галерее.
Однако для установки брекетов необходимо достичь определенного возраста, так как у маленьких детей из-за высокой подвижности костной ткани этот метод может быть нецелесообразен. Вы, возможно, задаетесь вопросом, как можно исправить кривые зубы у детей без брекетов. Современные технологии предлагают комфортные альтернативы для детей. Кроме того, многие взрослые также не могут использовать брекеты для исправления прикуса. В таких случаях квалифицированный врач всегда предложит разумные альтернативные методы лечения.
https://youtube.com/watch?v=b5e-d0pZqhY
Съемные конструкции для малышей
Давайте рассмотрим варианты коррекции жевательного аппарата у детей в раннем возрасте. На сегодняшний день разработаны следующие типы конструкций:
- пластиковые пластины;
- трейнеры.
Использование трейнеров не требует от ребенка значительных усилий, так как их рекомендуется носить во время сна. Упругая пластина с особыми отверстиями эффективно направляет зубы в нужное положение. Эти устройства представлены в широком ассортименте, и каждое изделие обладает уникальными функциональными характеристиками. Обычно сначала применяется коррекционный аппарат, а затем, для закрепления достигнутого результата, используется финальная модель.
Пластины изготавливаются по индивидуальному слепку. Они способствуют исправлению прикуса и коррекции отдельных кривых зубов, примеры их применения можно увидеть в нашем обзоре. Единственным недостатком могут стать временные трудности с произношением, однако после привыкания к конструкции они полностью исчезнут. Также стоит отметить, что рекомендуется носить устройство постоянно, снимая его только во время еды.
Варианты коррекции для взрослых
Как уже упоминалось, не всем взрослым подходит применение жестких несъемных конструкций. Поэтому давайте рассмотрим, как можно исправить кривые зубы без использования брекетов для людей среднего возраста. В настоящее время существует два основных подхода к решению этой проблемы: коррекция или маскировка.
Если недостаток можно исправить, ортодонт может предложить ношение капы, элайнера или эластопозиционера. В некоторых случаях целесообразно использовать жесткие трейнеры для выравнивания прикуса. Все эти системы способны выровнять зубной ряд и помочь в решении проблемы.
Если же коррекция невозможна или не дала ожидаемых результатов, можно рассмотреть вариант маскировки дефекта с помощью специальной пластины – винира. Однако для этого потребуется немного сточить зубную эмаль. Учитывая, что такое решение является временным (примерно на срок до 10 лет), в будущем вам придется либо восстанавливать зуб, либо изготавливать новый винир. Также существует современное решение – люминиры. Эти тонкие пластинки выполняют все функции виниров, но не требуют предварительной обработки зубной поверхности перед установкой.
Таким образом, мы кратко обсудили различные методы коррекции кривых зубов, а также что делать родителям, если они заметили проблемы с прикусом у своего ребенка, и привели примеры исправления дефектов жевательного аппарата как у детей, так и у взрослых. Помните, что подобные проблемы в молодом возрасте всегда поддаются решению, главное – серьезно подойти к этому процессу и следовать рекомендациям специалиста.
https://youtube.com/watch?v=-NP6IJ6xIMM
Профилактика искривления зубов
Профилактика искривления зубов является важным аспектом поддержания здоровья полости рта и общего состояния зубочелюстной системы. Правильный уход за зубами и соблюдение ряда рекомендаций могут значительно снизить риск возникновения проблем с прикусом и искривлением зубов.
1. Регулярные визиты к стоматологу
Первый шаг к профилактике искривления зубов — это регулярные осмотры у стоматолога. Специалист сможет выявить возможные проблемы на ранних стадиях и предложить соответствующее лечение. Рекомендуется посещать стоматолога не реже двух раз в год для профессиональной чистки и осмотра состояния зубов и десен.
2. Правильная гигиена полости рта
Ежедневная гигиена полости рта — ключевой фактор в профилактике искривления зубов. Необходимо чистить зубы дважды в день с использованием фторсодержащей зубной пасты и зубной щетки с мягкой щетиной. Также важно не забывать о зубной нити и ополаскивателях для рта, которые помогают удалить налет и остатки пищи из труднодоступных мест.
3. Правильное питание
Сбалансированное питание играет важную роль в здоровье зубов. Употребление продуктов, богатых кальцием и витаминами (особенно витамином D), способствует укреплению зубной эмали. Избегайте чрезмерного потребления сахара и кислых продуктов, которые могут способствовать разрушению зубов и развитию кариеса.
4. Избегание вредных привычек
Некоторые привычки могут негативно сказаться на состоянии зубов и челюстей. Например, привычка грызть ногти, открывать упаковки зубами или использовать зубы в качестве инструмента может привести к повреждениям и искривлению зубов. Также стоит избегать курения и чрезмерного потребления алкоголя, так как они могут негативно влиять на здоровье десен и зубов.
5. Ортодонтические меры
Если у вас есть предрасположенность к искривлению зубов, стоит рассмотреть возможность ношения ортодонтических аппаратов в детском возрасте. Раннее вмешательство может помочь скорректировать прикус и предотвратить дальнейшие проблемы. Ортодонты могут предложить различные варианты лечения, включая брекеты и прозрачные капы, которые помогут выровнять зубы и улучшить прикус.
6. Осведомленность о генетических факторах
Некоторые люди могут иметь генетическую предрасположенность к искривлению зубов. Если у ваших родителей или близких родственников были проблемы с зубами, стоит быть особенно внимательным к профилактическим мерам и регулярно проверять состояние зубов у стоматолога.
Следуя этим рекомендациям, вы сможете значительно снизить риск искривления зубов и сохранить здоровье своей улыбки на долгие годы. Помните, что профилактика всегда проще и дешевле, чем лечение уже возникших проблем.
Выбор ортодонта: на что обратить внимание
Выбор ортодонта — это один из самых важных шагов на пути к исправлению кривых зубов. Правильный специалист не только поможет вам достичь желаемого результата, но и обеспечит комфортный и безопасный процесс лечения. Вот несколько ключевых аспектов, на которые стоит обратить внимание при выборе ортодонта:
- Квалификация и опыт: Убедитесь, что ортодонт имеет соответствующее образование и лицензии. Обратите внимание на его опыт работы в данной области, особенно в лечении проблем, аналогичных вашим. Специалисты с большим опытом чаще всего обладают более широкими знаниями и навыками.
- Специализация: Некоторые ортодонты могут специализироваться на определенных методах лечения, таких как брекеты, элайнеры или другие ортодонтические устройства. Убедитесь, что выбранный вами специалист имеет опыт работы с тем методом, который вам подходит.
- Отзывы и рекомендации: Поинтересуйтесь мнением других пациентов о работе ортодонта. Отзывы могут дать вам представление о качестве обслуживания, уровне профессионализма и результатах лечения. Рекомендации от друзей или семьи также могут быть полезными.
- Технологии и оборудование: Узнайте, какие технологии и оборудование использует ортодонт. Современные методы и инструменты могут значительно улучшить качество лечения и сократить время его проведения. Например, использование 3D-сканирования и цифрового планирования может повысить точность диагностики и лечения.
- Коммуникация: Важно, чтобы ортодонт был готов объяснить все этапы лечения, ответить на ваши вопросы и обсудить ваши опасения. Хорошая коммуникация поможет вам чувствовать себя более уверенно и комфортно на протяжении всего процесса.
- Стоимость услуг: Узнайте о стоимости лечения и возможных вариантах оплаты. Некоторые ортодонты предлагают рассрочку или различные планы финансирования, что может сделать лечение более доступным.
- Условия клиники: Обратите внимание на обстановку в клинике: чистота, комфорт, вежливость персонала. Эти факторы могут значительно повлиять на ваше общее впечатление от лечения.
Выбор ортодонта — это важный шаг, который требует внимательности и тщательного подхода. Не спешите с решением, соберите как можно больше информации и выберите специалиста, которому вы сможете доверять на протяжении всего процесса лечения.
Уход за зубами после коррекции
После завершения коррекции зубов, будь то с помощью брекетов, элайнеров или других методов, важным этапом является правильный уход за зубами. Это поможет сохранить достигнутые результаты и предотвратить возможные проблемы в будущем.
1. Гигиена полости рта
Первое, на что стоит обратить внимание, — это гигиена полости рта. После снятия брекетов или завершения ношения элайнеров необходимо продолжать тщательно чистить зубы. Рекомендуется использовать зубную щетку с мягкой щетиной и фторсодержащую зубную пасту. Чистить зубы следует не менее двух раз в день, уделяя особое внимание труднодоступным местам, где могут скапливаться остатки пищи и налет.
2. Использование дополнительных средств
Для улучшения гигиенического ухода можно использовать дополнительные средства, такие как зубная нить, ирригаторы и ополаскиватели для рта. Зубная нить поможет удалить налет между зубами, где щетка может не достать. Ирригаторы обеспечивают глубокую очистку десен и межзубных пространств, а ополаскиватели могут помочь в борьбе с бактериями и освежить дыхание.
3. Регулярные визиты к стоматологу
После коррекции зубов важно регулярно посещать стоматолога для профилактических осмотров и профессиональной чистки. Специалист сможет выявить возможные проблемы на ранних стадиях и предложить необходимые меры для их устранения. Обычно рекомендуется посещать стоматолога не реже двух раз в год.
4. Соблюдение диеты
После коррекции зубов стоит обратить внимание на свой рацион. Избегайте жесткой и липкой пищи, которая может повредить зубы или вызвать дискомфорт. Употребление большого количества сахара также может привести к образованию кариеса, поэтому старайтесь ограничить сладости и газированные напитки.
5. Ношение ретейнеров
После завершения ортодонтического лечения важно носить ретейнеры, которые помогут сохранить зубы в правильном положении. Ретейнеры могут быть съемными или фиксированными, и их ношение должно строго соответствовать рекомендациям врача. Это поможет избежать рецидива и сохранить результаты коррекции на долгие годы.
6. Обращение внимания на изменения
Следите за состоянием зубов и десен. Если вы заметили какие-либо изменения, такие как кровоточивость десен, чувствительность зубов или изменение положения зубов, обязательно обратитесь к стоматологу. Раннее вмешательство поможет избежать серьезных проблем в будущем.
Соблюдение этих рекомендаций поможет вам не только сохранить результаты коррекции зубов, но и поддерживать здоровье полости рта в целом. Правильный уход — залог красивой улыбки и уверенности в себе.






