Почернение зубов — распространенная проблема у взрослых и детей. В статье рассмотрим основные причины потери белизны зубов и предложим эффективные решения и рекомендации по уходу. Эти знания помогут сохранить здоровье полости рта и предотвратить осложнения, связанные с изменением цвета зубов.
Почему зубы чернеют
В данной статье мы обсудим причины потемнения зубов как снаружи, так и изнутри, а также методы борьбы с этой проблемой как в медицинских учреждениях, так и в домашних условиях.
Чаще всего налет на зубах образуется по вине самого человека. Это может быть связано с образом жизни, питанием, наследственными факторами, качеством гигиенических процедур и рядом вредных привычек.
Рассмотрим подробнее все эти факторы.
-
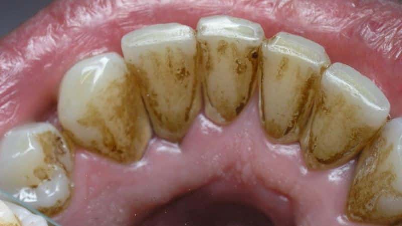
Потемнение из-за пищевых красителей и природных пигментов. На первом месте среди окрашивающих веществ находится никотин и его смолы. Люди, которые выкуривают пачку сигарет в день или предпочитают трубку и кальян, редко могут похвастаться белоснежной улыбкой, разве что сразу после профессионального отбеливания. На втором месте находятся кофе и крепкий черный чай, пигменты которых усиливают естественный микробный налет, придавая ему темный цвет. Третье место делят красное вино, свекла и различные пищевые красители. Налет, окрашенный ими, со временем затвердевает, превращаясь в зубной камень.
-
Неправильная или нерегулярная гигиена ротовой полости. Многие удивляются, почему у взрослых зубы темнеют без видимых причин. Однако причина кроется в том, что люди не уделяют должного внимания качественной и длительной чистке зубов, игнорируя межзубные пространства и внутренние поверхности. Полоскание рта после еды может удалить часть остатков пищи, но не устраняет мягкий желтоватый налет, который со временем превращается в темный камень или кариес.
-
Системные или хронические заболевания. Существует ряд болезней, которые могут вызывать потемнение зубов. Чаще всего это связано с нарушением работы печени или селезенки, а также с изменением кислотно-щелочного баланса. Потемнение зубов также может быть следствием вирусных заболеваний, таких как ВИЧ или СПИД.
Врожденные патологии, такие как болезни Пфлюгера, Гетчинсона и Фурнье, также могут приводить к изменениям эмали.
-
Длительный прием антибиотиков и других медикаментов. Наиболее часто пациенты сталкиваются с проблемой потемнения зубов после применения Тетрациклина. К сожалению, отбеливание в таких случаях не всегда оказывается эффективным.
-
Контакт с тяжелыми металлами. Работники металлургических предприятий часто задают вопрос: «Почему зубы почернели?» Стоматологи объясняют, что конденсат, оседающий на поверхности тела и слизистых, содержит соединения металлов, которые приводят к образованию характерного налета.
-
Неправильное питание. Люди, предпочитающие быстрые перекусы, часто обращаются к стоматологу с проблемами потемнения эмали. Продукты с промышленными добавками, консервантами и химическими веществами, а также некоторые овощи и фрукты могут не только темнить эмаль, но и ухудшать ее структуру, приводя к трещинам, кариесу и другим заболеваниям.
-
Кариес. Изменение состава слюны и наличие благоприятной среды для размножения микробов (остатки пищи, налет, протезы и т.д.) способствуют активному поражению зубной коронки, что может привести к потемнению. Болезнь начинается с небольших темных точек на эмали, которые сложно заметить. Часто пациенты замечают потемнение жевательных моляров или зубов мудрости только на поздних стадиях.
Механическое повреждение зуба. Если в результате травмы был задет сосудисто-нервный пучок, зуб может недополучать питательные вещества, что приводит к потемнению эмали. Примером может служить депульпированный зуб, мертвая ткань которого часто меняет цвет.
-
Эндемический флюороз. Это заболевание связано с поражением костной ткани из-за повышенного содержания фтора в организме, который чаще всего поступает через питьевую воду. Симптомами флюороза являются светлые и темные пятна на эмали.
-
Наркомания. Токсические вещества, содержащиеся в наркотиках, негативно влияют на весь организм, включая ротовую полость. Зубы начинают интенсивно темнеть, становятся подвижными и могут выпадать.
Зубы могут чернеть по нескольким причинам, и врачи подчеркивают важность своевременной диагностики. Одной из основных причин является накопление налета и зубного камня, что приводит к изменению цвета эмали. Также на потемнение могут влиять употребление определенных продуктов, таких как кофе, чай и красное вино, а также курение. Врачи рекомендуют регулярно посещать стоматолога для профессиональной чистки и осмотра. Кроме того, важно соблюдать гигиену полости рта: чистить зубы дважды в день и использовать зубную нить. Если потемнение связано с внутренними проблемами, такими как кариес или заболевания десен, необходимо лечение. Важно не игнорировать изменения цвета зубов, так как это может быть признаком более серьезных заболеваний.
https://youtube.com/watch?v=apxzsDkNn8M
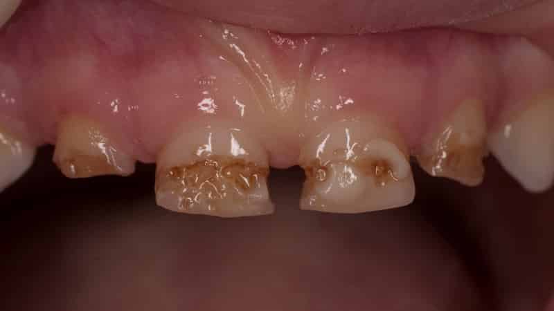
Черные зубы у детей
Многие родители сталкиваются с проблемой потемнения зубов у своих детей, как внутри, так и снаружи. Несмотря на то, что малыши не имеют вредных привычек, а родители тщательно следят за гигиеной и не дают антибиотиков, темные пятна продолжают появляться.
В детском возрасте существуют различные причины, способствующие потемнению эмали:
- зубной налет (возникает из-за недостаточной гигиеничности и особенностей питания);
- ранний кариес (особенно это касается незащищенных молочных зубов);
- флюороз (как уже упоминалось, это заболевание чаще всего затрагивает детей);
- прием матерью во время беременности антибиотиков из группы тетрациклинов или других медикаментов;
- плохое усвоение кальция и нарушения обмена веществ;
- дисбактериоз кишечника (особенно у самых маленьких);
- наследственная предрасположенность;
- хронические и системные заболевания, о которых говорилось ранее;
- рацион ребенка, содержащий большое количество сладостей, черного чая и сладких газированных напитков (в частности, кока-колы).
Не забывайте, что кариес и другие заболевания ротовой полости у детей развиваются быстрее, поэтому важно незамедлительно обратиться к стоматологу. Не стоит игнорировать потемнение молочных зубов, полагая, что с их выпадением исчезнет и проблема.
Имейте в виду, что кариозные и другие инфекционные процессы могут проникать к сосудистым и нервным окончаниям, вызывая хронические заболевания, деформацию зубного ряда и искривление прикуса.
| Причина потемнения зубов | Объяснение | Что делать |
|---|---|---|
| Кариес | Бактерии разрушают эмаль и дентин, образуя полости, которые могут выглядеть как черные или коричневые пятна. | Обратиться к стоматологу: Лечение кариеса (пломбирование) необходимо для предотвращения дальнейшего разрушения зуба. |
| Налет и зубной камень | Скопление бактерий, остатков пищи и минералов на поверхности зубов. Может быть окрашен пигментами из еды, напитков и табака. | Регулярная гигиена: Чистка зубов дважды в день, использование зубной нити. Профессиональная чистка: Удаление зубного камня у стоматолога. |
| Пищевые красители и напитки | Чай, кофе, красное вино, газированные напитки, некоторые ягоды и соусы содержат пигменты, которые могут окрашивать эмаль. | Умеренное потребление: Ограничить употребление красящих продуктов. Полоскание рта: После употребления таких продуктов. Отбеливание: Профессиональное или домашнее (по рекомендации стоматолога). |
| Курение | Никотин и смолы, содержащиеся в табаке, проникают в эмаль, вызывая ее потемнение и образование стойких пятен. | Отказ от курения: Самый эффективный способ. Профессиональная чистка и отбеливание: Для удаления существующих пятен. |
| Травма зуба | Удар или повреждение зуба может привести к внутреннему кровоизлиянию или некрозу пульпы, что вызывает потемнение зуба изнутри. | Обратиться к стоматологу: Для диагностики и лечения (например, удаление нерва и пломбирование каналов). |
| Прием некоторых лекарств | Некоторые антибиотики (например, тетрациклин, особенно в детстве), препараты железа или хлоргексидин могут вызывать окрашивание зубов. | Консультация с врачом: Обсудить возможные альтернативы или способы минимизации побочных эффектов. Профессиональная чистка и отбеливание: Для устранения поверхностных пятен. |
| Старые пломбы | Металлические пломбы (амальгама) со временем могут окисляться и окрашивать окружающие ткани зуба в серый или черный цвет. | Замена пломб: Установить современные композитные пломбы, которые соответствуют цвету зуба. |
| Генетическая предрасположенность | У некоторых людей эмаль от природы более тонкая или имеет более темный оттенок, что делает зубы более подверженными потемнению. | Регулярная гигиена и профилактика: Для поддержания здоровья зубов. Отбеливание: Если эстетический вид беспокоит. |
| Возрастные изменения | С возрастом эмаль истончается, а дентин (который имеет более желтый или темный оттенок) становится более заметным, что придает зубам более темный вид. | Профессиональная чистка и отбеливание: Для улучшения эстетики. |
Лечение темных пятен медицинскими средствами
Прежде всего, необходимо выяснить, почему зуб потемнел и что стало причиной этого изменения.
Если речь идет о хронических и системных заболеваниях, их следует лечить симптоматически, обращаясь к узким специалистам.
Кариес устраняется путем санации и последующего пломбирования зубной полости. Кроме того, необходимо проводить профилактические мероприятия, такие как фторирование и серебрение, которые помогут предотвратить повторное возникновение проблемы.
Если пигментные пятна возникли из-за недостаточной гигиены, стоматолог выполнит гигиеническую чистку и подберет необходимые средства для регулярного ухода: профессиональную зубную щетку, пасту, флоссы, ирригаторы и ополаскиватели.
Если зубы потемнели из-за красителей и пигментов, пациенту стоит пересмотреть свой образ жизни. В первую очередь, следует обратить внимание на свой рацион и ограничить потребление «красящих» продуктов и напитков, упомянутых в данной статье.
Также необходимо сделать выбор: красивая белоснежная улыбка или вредные привычки, такие как курение, употребление вина и наркотиков.
Последствия воздействия тяжелых металлов, приема антибиотиков и недостаточной гигиены, проявляющиеся в виде твердого зубного камня, устраняются с помощью следующих процедур.
- Ультразвуковая чистка. Это современный и доступный метод, который позволяет удалить даже самый плотный и многолетний камень. Процедура не повреждает эмаль, и пациент не испытывает дискомфорта.
-
Метод AirFlow. Данная методика позволяет смыть первичный темный налет с помощью струи содового раствора.
Процедуру рекомендуется повторять не реже одного раза в полгода. Однако, к сожалению, метод AirFlow не справляется с проявлениями кариеса и твердым камнем. Кроме того, он может привести к истончению эмали, после чего потребуется фторирование, что потребует дополнительных затрат времени и денег. В некоторых случаях возможны такие последствия, как кровоточивость мягких тканей и повышенная чувствительность эмали.
- Лазерное отбеливание. Черные зубы у взрослых можно эффективно очистить с помощью лазерного луча, который аккуратно удаляет камень, не повреждая мягкие ткани или эмаль. Результат такой чистки сохраняется на протяжении многих лет, однако стоимость одной процедуры достаточно высока.
https://youtube.com/watch?v=faKsAbzmG-E
Удаление пигментации домашними методами
Иногда у пациентов нет возможности воспользоваться услугами профессионального отбеливания зубов, и в таких случаях на помощь приходят проверенные домашние методы.
Ниже представлены средства, которые помогут слегка отбелить эмаль и избавиться от мягкого темного налета.
- Смешайте по чайной ложке перекиси водорода и пищевой соды, тщательно перемешайте до получения однородной массы. С помощью ватного тампона нанесите раствор на зубы, а затем несколько раз прополощите рот чистой водой. Такой метод шлифовки рекомендуется использовать не чаще одного раза в неделю.
- Возьмите по столовой ложке фасолевой шелухи и измельченного корня лопуха, залейте их водой и дайте настояться в течение полдня. Полученный напиток следует принимать внутрь три раза в день по 70 мл, предварительно подогревая.
- Приготовьте отбеливающий порошок из сухого сбора шалфея и морской соли. Смешайте по 2 столовые ложки каждого ингредиента, разложите на фольге и подсушите в духовке около 30 минут. После остывания измельчите смесь и используйте полученный порошок для протирания эмали раз в неделю.
- Активированный уголь также эффективно борется с налетом. Пожуйте одну таблетку раз в неделю и удивитесь, насколько белоснежными станут ваши зубы. Однако не стоит применять этот метод чаще одного раза в неделю, чтобы не повредить эмаль.
Мы обсудили причины потемнения зубов у взрослых и возможные решения этой проблемы. Наилучшим советом будет проведение профилактических мероприятий, изменение рациона и образа жизни, а также своевременное лечение всех системных заболеваний.
Не забывайте, что регулярная и качественная гигиена полости рта является залогом вашей белоснежной улыбки.
https://youtube.com/watch?v=faKsAbzmG-E
Профилактика потемнения зубов
Профилактика потемнения зубов является важным аспектом ухода за полостью рта и сохранения здоровья зубов. Существует несколько методов, которые помогут предотвратить изменение цвета зубной эмали и сохранить их естественную белизну.
1. Правильная гигиена полости рта. Регулярная чистка зубов дважды в день с использованием фторсодержащей зубной пасты помогает удалить налет и предотвратить образование зубного камня, который может способствовать потемнению зубов. Не забывайте также о чистке языка и использовании зубной нити для удаления остатков пищи между зубами.
2. Ограничение потребления окрашивающих продуктов. Некоторые продукты и напитки, такие как кофе, чай, красное вино, ягоды и соевый соус, могут способствовать потемнению зубов. Попробуйте ограничить их потребление или полоскать рот водой после их употребления, чтобы минимизировать контакт с зубами.
3. Регулярные визиты к стоматологу. Профилактические осмотры и профессиональная чистка зубов у стоматолога помогут удалить налет и зубной камень, которые могут привести к изменению цвета зубов. Стоматолог также может предложить дополнительные методы отбеливания, если это необходимо.
4. Использование отбеливающих средств. На рынке доступны различные отбеливающие зубные пасты и полоски, которые могут помочь сохранить белизну зубов. Однако важно выбирать продукты, которые одобрены стоматологами, и следовать инструкциям по их применению.
5. Здоровое питание. Сбалансированная диета, богатая витаминами и минералами, способствует здоровью зубов. Употребление продуктов, содержащих кальций и фосфор, таких как молочные продукты, орехи и зеленые овощи, помогает укрепить зубную эмаль и предотвратить ее потемнение.
6. Отказ от курения. Курение не только негативно сказывается на здоровье зубов, но и является одной из основных причин их потемнения. Отказ от этой привычки поможет не только сохранить белизну зубов, но и улучшить общее состояние полости рта.
Следуя этим рекомендациям, вы сможете значительно снизить риск потемнения зубов и сохранить их здоровье на долгие годы. Помните, что профилактика всегда проще и эффективнее, чем лечение уже возникших проблем.
Роль питания в состоянии зубов
Питание играет ключевую роль в здоровье зубов и их внешнем виде. То, что мы едим и пьем, может существенно влиять на цвет эмали и общее состояние зубов. Существует несколько аспектов, которые стоит рассмотреть, чтобы понять, как именно питание связано с потемнением зубов.
Во-первых, продукты, содержащие высокое количество сахара, способствуют образованию зубного налета и кариеса. Бактерии, находящиеся в полости рта, питаются сахаром и выделяют кислоты, которые разрушают зубную эмаль. Это может привести к потемнению зубов, так как обнажается более темный дентин, находящийся под эмалью.
Во-вторых, кислые продукты и напитки, такие как цитрусовые фрукты, газированные напитки и некоторые виды вина, могут вызывать эрозию эмали. Когда эмаль истончается, зубы становятся более восприимчивыми к окрашиванию от пищи и напитков. Например, кофе, чай и красное вино содержат пигменты, которые могут оставлять пятна на зубах, особенно если эмаль повреждена.
Кроме того, некоторые продукты, такие как свекла, черника и соевый соус, имеют ярко выраженные пигменты, которые могут окрашивать зубы. Если эти продукты употребляются в больших количествах и без должной гигиены полости рта, они могут способствовать потемнению зубов.
Не менее важным аспектом является недостаток витаминов и минералов в рационе. Например, недостаток кальция и витамина D может ослабить зубную эмаль, делая зубы более подверженными окрашиванию и повреждениям. Витамин C также важен для здоровья десен, и его нехватка может привести к воспалению и другим проблемам, которые могут косвенно влиять на цвет зубов.
Для поддержания здоровья зубов и предотвращения их потемнения важно следить за своим питанием. Рекомендуется включать в рацион продукты, богатые кальцием (молочные продукты, зеленые листовые овощи), а также антиоксиданты (фрукты и овощи), которые помогают поддерживать здоровье десен и зубов. Также стоит ограничить потребление сахара и кислых продуктов, а после их употребления не забывать о гигиене полости рта.
Когда обращаться к стоматологу
Обращение к стоматологу является важным шагом в поддержании здоровья зубов и десен. Существует несколько признаков, которые могут указывать на необходимость визита к специалисту. Если вы заметили, что ваши зубы начали чернеть, это может быть сигналом о наличии серьезных проблем, требующих профессионального вмешательства.
Первый признак, когда стоит обратиться к стоматологу, – это изменение цвета зубов. Если вы заметили, что зубы стали темнее, чем обычно, или на них появились черные пятна, это может свидетельствовать о начале кариеса или других заболеваниях зубной эмали. Кариес, если его не лечить, может привести к более серьезным проблемам, таким как пульпит или абсцесс.
Второй признак – это появление неприятного запаха изо рта. Если вы регулярно чистите зубы и используете зубную нить, но запах не исчезает, это может указывать на наличие инфекции или воспаления десен. Заболевания десен, такие как гингивит или пародонтит, могут также способствовать изменению цвета зубов.
Третий признак – это чувствительность зубов. Если вы испытываете дискомфорт или боль при употреблении горячей или холодной пищи и напитков, это может быть признаком повреждения эмали или наличия кариеса. Чувствительность может также указывать на проблемы с деснами, что требует внимания стоматолога.
Четвертый признак – это наличие зубного камня. Если вы заметили, что на зубах образовались твердые отложения, это может привести к изменению цвета зубов и развитию заболеваний десен. Регулярные профессиональные чистки у стоматолога помогут предотвратить накопление зубного камня и сохранить здоровье зубов.
Кроме того, если вы заметили, что ваши зубы начали чернеть после изменения рациона питания или приема определенных медикаментов, стоит обратиться к стоматологу для консультации. Некоторые продукты и лекарства могут негативно влиять на состояние зубов, и специалист сможет дать рекомендации по их устранению.
В заключение, если вы заметили какие-либо из вышеперечисленных признаков, не откладывайте визит к стоматологу. Раннее обращение за помощью поможет избежать серьезных проблем и сохранить здоровье ваших зубов на долгие годы.



