Воспаление десен — распространенная проблема, вызывающая дискомфорт и боль. Причины могут варьироваться от плохой гигиены полости рта до инфекций. В статье рассмотрим основные причины воспаления десен и предложим меры первой помощи, а также рекомендации по уходу за полостью рта для облегчения симптомов и предотвращения осложнений.
Этиология
Воспаление десен может иметь множество причин. Стоматолог всегда стремится выяснить их и подобрать оптимальное решение проблемы. В некоторых случаях источники заболевания легко определяются, и, устраняя все негативные факторы, можно быстро избавиться от недуга. Каждому человеку полезно знать, почему возникают воспаления десен и в каких ситуациях следует особенно внимательно следить за состоянием тканей пародонта.
К факторам, способствующим развитию патологий, относятся:
- неправильное питание и нехватка витаминов;
- наличие зубного камня и бактериального налета;
- недостаточная гигиена полости рта;
- ослабленная иммунная система;
- курение и чрезмерное употребление алкоголя;
- различные изменения в организме, связанные с беременностью или приемом гормональных препаратов;
- наследственная предрасположенность;
- прием некоторых лекарств (успокоительные, препараты для лечения сердечной недостаточности, оральные контрацептивы); сахарный диабет, эндокринные расстройства, заболевания желудочно-кишечного тракта.
Пародонтит, или воспаление десен, симптомы которого на первых порах могут показаться незначительными, является довольно серьезным заболеванием. Если просто устранять проявления болезни, не устраняя ее причины, возможен рецидив.
Поэтому крайне важно понять, что стало причиной пародонтита, и приложить все усилия для его лечения. Только такой подход может гарантировать полное выздоровление.
Отечность и воспаление десен, причины которых часто можно выявить только после комплексного обследования организма, являются серьезным основанием для обращения к врачу и сдачи необходимых анализов.
Врачи рекомендуют при воспалении десен и болях в этой области не откладывать визит к стоматологу. Первым шагом должно стать профессиональное обследование, чтобы выявить причину проблемы, будь то инфекция, кариес или другое заболевание. Важно поддерживать гигиену полости рта: регулярная чистка зубов и использование антисептических ополаскивателей помогут снизить воспаление. Специалисты также советуют применять холодные компрессы для уменьшения отека и боли. В некоторых случаях могут быть назначены противовоспалительные препараты или антибиотики. Не стоит заниматься самолечением, так как это может усугубить ситуацию. Своевременное обращение к врачу и соблюдение его рекомендаций помогут избежать осложнений и восстановить здоровье десен.
https://youtube.com/watch?v=PlRO9FmH1Fs
Различные факторы, провоцирующие пародонтит
Существует множество причин и осложнений, которые могут вызывать боль и кровоточивость десен. Каждый случай уникален. Воспаление десен, симптомы которого представлены на нашем сайте, может возникать из-за гормональных изменений, неудачно выполненных стоматологических процедур или на фоне кариеса.
| Симптом / Состояние | Что делать (первая помощь) | Когда обратиться к врачу |
|---|---|---|
| Легкое воспаление, небольшая боль, покраснение | Полоскать рот солевым раствором (1 ч.л. соли на стакан теплой воды) 2-3 раза в день. Использовать ополаскиватели для рта с антисептиком (без спирта). Аккуратно чистить зубы мягкой щеткой. | Если симптомы не проходят в течение 2-3 дней, усиливаются, или появляются новые. |
| Сильная боль, отек, кровоточивость, гной | Принять обезболивающее (парацетамол, ибупрофен) по инструкции. Приложить холодный компресс к щеке снаружи (не к десне напрямую). Избегать горячей, острой, твердой пищи. | Немедленно! Это может быть признак серьезного воспаления (пародонтит, абсцесс). |
| Боль при надавливании, ощущение «выросшего» зуба | Избегать надавливания на больной зуб. Полоскать рот антисептическим раствором. | Как можно скорее! Может указывать на воспаление под зубом или десной. |
| Воспаление вокруг зуба мудрости | Полоскать рот теплым солевым раствором или отваром ромашки. Аккуратно чистить область вокруг зуба. | Если боль сильная, отек мешает открывать рот, есть гной, повысилась температура. |
| Воспаление после травмы (например, при чистке зубов) | Полоскать рот антисептическим раствором. Избегать травмирования этой области. | Если травма глубокая, кровотечение не останавливается, или боль усиливается. |
| Общее недомогание, повышение температуры, увеличение лимфоузлов | Принять жаропонижающее (если температура высокая). Пить больше жидкости. | Немедленно! Это признаки системного воспаления, требующего срочной медицинской помощи. |
Ошибки протезирования
Коронки и мосты, установленные на зубах, порой могут вызывать аллергические реакции. Ортодонтические изделия изготавливаются из различных материалов, таких как металл или пластик. В ответ на инородные вещества организм может проявлять аллергические реакции и воспалительные процессы.
Что же делать, если десна под коронкой воспаляется? В таких случаях стоматолог обычно исключает возможность аллергии. Чаще всего причиной воспаления становятся неправильно изготовленные протезы. Иногда конструкция может оказаться слишком крупной, что приводит к давлению на десну, вызывая отек и кровоточивость. В этой ситуации необходимо удалить неправильно установленный протез и заменить его на новый.
https://youtube.com/watch?v=CvtL4VPofek
Воспаление десен на фоне прорезывания восьмых зубов
Каждый из нас рано или поздно сталкивается с процессом появления третьих моляров, известных как зубы мудрости. Обычно этот этап сопровождается значительными болевыми ощущениями. Появление восьмых зубов часто приводит к воспалению десневых карманов, что в стоматологии называется перикоронитом.
Слизистая оболочка альвеолярных отростков, которая защищает зуб, может быть повреждена. В результате этого в области травмы быстро развивается инфекция, что приводит к воспалению тканей десны.
Если процесс прорезывания зубов мудрости проходит с осложнениями, рекомендуется обратиться к стоматологу. Квалифицированный специалист подскажет, как действовать при воспалении десен и перикороните. В некоторых случаях может потребоваться сделать надрез на слизистой, чтобы облегчить выход «восьмерок». После процедуры врач может порекомендовать полоскания для борьбы с воспалением и назначить антибиотики, если наблюдается повышение температуры.
Альвеолит лунки после удаления зуба
Иногда десна может опухнуть в области лунки после удаления зуба. Это может сопровождаться покраснением, образованием гноя и неприятным запахом.
Чаще всего пациенты обращаются к стоматологу при сильной и постоянной боли. Главной причиной альвеолита лунки является развитие инфекции в ней.
Часто это происходит из-за использования нестерильных стоматологических инструментов. После удаления зуба в лунку помещают марлевый тампон. Важно не вынимать его слишком рано, а также не держать во рту слишком долго. Если не успеет сформироваться кровяной сгусток, рана останется открытой для проникновения инфекции.
Пародонтит как следствие контактного кариеса
Кариозные поражения могут возникать не только на видимых частях зубов, но и в межзубных пространствах. В стоматологической практике это явление называется апроксимальным или контактным кариесом. Обнаружить такую проблему бывает непросто, и зачастую разрушения можно заметить только с небной стороны зубов.
Некоторые пациенты после установки пломбы замечают, что десны между зубами воспаляются и начинают болеть. Как поступить в такой ситуации и какие могут быть причины этого состояния?
Чаще всего неправильная установка пломбы приводит к значительному давлению на окружающие мягкие ткани, что вызывает воспаление пародонта. Данная проблема требует немедленного вмешательства, так как может привести к серьезным последствиям, включая омертвение десневого сосочка. В таком случае потребуется длительное и сложное лечение. Появление подобных симптомов должно стать сигналом для немедленного обращения к стоматологу.
Осложнения кариеса
Распространенные стоматологические проблемы, связанные с наличием кариозных полостей, включают периодонтит и пульпит. Воспаление, возникающее в мягких тканях внутренней части зуба (пульпе) или в периодонтальном комплексе, может затрагивать и окружающие ткани, которые находятся рядом с корнем зуба.
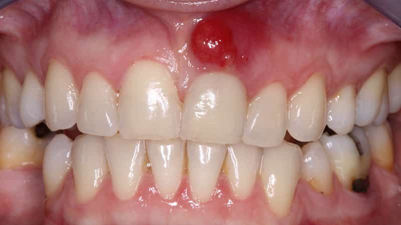
В некоторых случаях это может сопровождаться образованием гноя и образованием нарыва на десне.
Периодонтит может развиваться также в области края лунки. Подобные симптомы иногда наблюдаются у детей на молочных зубах.
Это заболевание может привести к потере зуба. При наличии признаков периодонтита крайне важно незамедлительно обратиться к стоматологу. Не стоит заниматься самолечением и полагаться исключительно на народные средства. Они могут лишь немного облегчить состояние и помочь в снятии отдельных симптомов.
Флюс, гингивит и воспаления десен
Гингивит — это воспалительный процесс, который затрагивает десны, но не приводит к разрушению тканей, соединяющих зубы и десны. Эта проблема может возникнуть из-за ослабленного иммунитета у детей, беременных женщин и пожилых людей. Обычно, если десны покраснели и сильно воспалились, стоматолог подскажет, что делать при гингивите. Это может включать в себя тщательную гигиену полости рта в стоматологической клинике и назначение различных медикаментов.
Периостит, более известный в народе как флюс, представляет собой более серьезное заболевание. Это воспаление надкостницы верхней или нижней челюсти. Заболевание сопровождается отеком десен и сильной болью. Если не обратиться за медицинской помощью вовремя, может развиться нарыв, и щека значительно опухнет.
В таких случаях часто требуется хирургическое вмешательство.
Первая помощь при воспалении
Что делать, если десна воспалились и причиняют боль, но нет возможности немедленно обратиться к врачу? Иногда воспалительный процесс может быть довольно выраженным и затрагивать близлежащие лимфоузлы.
Важно избегать использования горячих компрессов на пораженные участки, так как это может усугубить ситуацию и привести к серьезным осложнениям.
Можно воспользоваться полосканиями. Эти средства помогут немного облегчить боль и снизить воспаление до визита к стоматологу.
Для полоскания подойдут растворы фурацилина, хлоргексидина или мирамистина.
Если наблюдается некроз, рекомендуется орошение с использованием ферментов и перекиси водорода. Эти препараты способствуют быстрому восстановлению поврежденных тканей.
Рецепты травяных настоев для полосканий
В дополнение к традиционным назначениям врача, можно применять травяные настойки и отвары из лекарственных растений.
Также можно приготовить солевой или содовый раствор. Это простое и доступное средство помогает при прорезывании зубов мудрости и болях в деснах. Однако перед использованием народных методов всегда стоит проконсультироваться со стоматологом.
Для создания растворов можно использовать такие травы, как ромашка, шалфей, кора дуба и цветки календулы. Хорошо помогают в снятии воспаления и остановке кровотечения растения, такие как зверобой и крапива.
При гингивите также можно использовать корни хрена. Их следует тщательно промыть, очистить и измельчить. Полученную массу нужно завернуть в марлю и отжать сок. Затем сок смешивают с водой в равных пропорциях. Этот раствор подходит для полоскания и может использоваться несколько раз в день.
Существует еще один народный рецепт для уменьшения воспаления десен. Творог смешивают с небольшим количеством свежевыжатого лимонного сока. На 100 граммов творога достаточно одной чайной ложки сока. Это вкусное средство принимают внутрь дважды в день.
Симптомы воспаления десен
Острый процесс проявляется покраснением тканей пародонта, кровоточивостью, отечностью и болевыми ощущениями. При переходе заболевания в хроническую стадию можно заметить опухание, цианоз, а также рыхлость десневых тканей. Гингивит зачастую сопровождается образованием зубного камня.
Как лечить
После того как стоматолог установит диагноз, пациентам обычно назначают противовоспалительные препараты, а в некоторых случаях и антибиотики. В большинстве случаев для лечения пародонтитов и гингивитов применяется комплексный подход. Врачи часто рекомендуют также иммуностимулирующие средства. Важно провести тщательную санацию ротовой полости, вылечить кариес и удалить зубной камень, чтобы предотвратить рецидивы заболевания.
Эти процедуры должны выполняться в стоматологическом кабинете. Домашние средства и лекарственные травы могут использоваться как дополнительная восстановительная терапия.
Для профилактики воспалительных процессов десен необходимо соблюдать правильную гигиену полости рта. Важно не только чистить зубы несколько раз в день, но и использовать зубную нить или флосс. Также следует укреплять естественные защитные функции организма и правильно питаться, включая в рацион витамины.
К воспалительным заболеваниям тканей пародонта нельзя относиться легкомысленно. Если вы заметили у себя симптомы таких заболеваний, как гингивит, пародонтит или пульпит, не откладывайте визит к стоматологу и избегайте самолечения.
https://youtube.com/watch?v=m_nk7ieZTIM
Профилактика воспаления десен
Профилактика воспаления десен играет ключевую роль в поддержании здоровья полости рта. Правильный уход за зубами и деснами может значительно снизить риск возникновения воспалительных процессов. Вот несколько основных рекомендаций, которые помогут предотвратить воспаление десен:
- Регулярная гигиена полости рта: Чистите зубы не менее два раза в день с использованием фторсодержащей зубной пасты. Не забывайте о чистке языка и использовании зубной нити для удаления остатков пищи и налета между зубами.
- Посещение стоматолога: Регулярные профилактические осмотры у стоматолога, как минимум раз в полгода, помогут выявить проблемы на ранних стадиях и предотвратить развитие воспалительных процессов.
- Правильное питание: Соблюдение сбалансированной диеты, богатой витаминами и минералами, особенно витаминами C и D, способствует укреплению десен. Избегайте избыточного потребления сахара, который может способствовать развитию кариеса и воспаления.
- Отказ от вредных привычек: Курение и чрезмерное употребление алкоголя негативно сказываются на здоровье десен. Отказ от этих привычек поможет улучшить состояние полости рта.
- Использование ополаскивателей: Применение антисептических ополаскивателей для рта может помочь в борьбе с бактериями, вызывающими воспаление десен. Выбирайте продукты, содержащие хлоргексидин или другие антимикробные компоненты.
- Управление стрессом: Хронический стресс может негативно влиять на иммунную систему, что, в свою очередь, может способствовать воспалению десен. Практикуйте методы релаксации, такие как йога или медитация.
- Контроль заболеваний: Если у вас есть хронические заболевания, такие как диабет, важно поддерживать их под контролем, так как они могут увеличивать риск воспаления десен.
Следуя этим рекомендациям, вы сможете значительно снизить риск воспаления десен и сохранить здоровье полости рта на долгие годы. Помните, что профилактика всегда проще и эффективнее, чем лечение уже возникших проблем.
Когда обращаться к стоматологу
Если вы столкнулись с воспалением десен и испытываете боль, важно понимать, когда необходимо обратиться к стоматологу. Существует несколько признаков и симптомов, которые могут указывать на необходимость профессиональной помощи.
Во-первых, если воспаление десен сопровождается сильной, невыносимой болью, это может свидетельствовать о более серьезной проблеме, такой как периодонтит или абсцесс. В таких случаях откладывать визит к врачу не стоит, так как это может привести к ухудшению состояния и необходимости более сложного лечения.
Во-вторых, если вы заметили, что десны кровоточат даже при легком нажатии или во время чистки зубов, это также является тревожным сигналом. Кровоточивость может указывать на наличие гингивита или других заболеваний десен, которые требуют профессионального вмешательства.
Кроме того, если воспаление десен сопровождается отеком, покраснением или образованием гнойных выделений, это также является показанием для обращения к стоматологу. Эти симптомы могут указывать на инфекцию, которая требует немедленного лечения.
Если вы заметили неприятный запах изо рта, который не исчезает даже после чистки зубов, это может быть признаком заболеваний десен или других стоматологических проблем. В таком случае консультация специалиста необходима для выявления причины и назначения соответствующего лечения.
Также стоит обратить внимание на общее состояние здоровья. Если у вас есть хронические заболевания, такие как диабет, или вы принимаете иммунодепрессанты, воспаление десен может быть более серьезным и требовать немедленного вмешательства стоматолога.
Наконец, если вы уже проходили лечение заболеваний десен, но симптомы вернулись, это также является поводом для повторного обращения к стоматологу. Важно следить за состоянием полости рта и не игнорировать любые изменения.
В заключение, если вы испытываете боль в деснах или замечаете другие тревожные симптомы, не откладывайте визит к стоматологу. Раннее обращение за помощью поможет избежать осложнений и сохранить здоровье зубов и десен.
Рекомендации по уходу за полостью рта
При воспалении десен и возникновении болевых ощущений крайне важно уделить особое внимание уходу за полостью рта. Правильные гигиенические процедуры помогут не только облегчить симптомы, но и предотвратить дальнейшее развитие заболеваний. Вот несколько рекомендаций, которые стоит учитывать:
1. Регулярная чистка зубов
Чистите зубы не менее дважды в день, используя зубную пасту с фтором. Обратите внимание на технику чистки: движения должны быть мягкими и круговыми, чтобы не травмировать десны. Используйте зубную щетку с мягкой щетиной, чтобы избежать дополнительного раздражения воспаленных участков.
2. Использование зубной нити
Зубная нить помогает удалить остатки пищи и налет из межзубных промежутков, где зубная щетка не может достать. Используйте нить аккуратно, чтобы не повредить десны. Рекомендуется применять зубную нить хотя бы раз в день, предпочтительно перед чисткой зубов.
3. Полоскания антисептическими растворами
Полоскания рта антисептическими растворами могут помочь уменьшить воспаление и предотвратить инфекцию. Выбирайте растворы, содержащие хлоргексидин или другие антисептики. Полоскайте рот согласно инструкции на упаковке, обычно это 30 секунд дважды в день.
4. Избегание раздражающих продуктов
Во время воспаления десен старайтесь избегать острых, кислых и слишком горячих продуктов, которые могут усугубить боль и раздражение. Отдавайте предпочтение мягкой и нейтральной пище, такой как йогурты, пюре и каши.
5. Увлажнение слизистой оболочки
Если у вас сухость во рту, это может усугубить состояние десен. Пейте достаточное количество воды в течение дня, чтобы поддерживать оптимальный уровень увлажненности. Также можно использовать специальные увлажняющие спреи для полости рта.
6. Регулярные визиты к стоматологу
Не забывайте о регулярных профилактических осмотрах у стоматолога. Специалист сможет выявить проблемы на ранних стадиях и предложить соответствующее лечение. Если воспаление десен не проходит, обязательно обратитесь к врачу для получения профессиональной помощи.
7. Соблюдение режима дня и питания
Здоровый образ жизни также играет важную роль в поддержании здоровья десен. Убедитесь, что ваше питание сбалансировано и включает достаточное количество витаминов и минералов, особенно витамина C, который способствует заживлению тканей. Избегайте стрессов и обеспечьте себе достаточное количество сна.
Следуя этим рекомендациям, вы сможете значительно улучшить состояние десен и снизить болевые ощущения. Однако, если симптомы не проходят или усиливаются, обязательно обратитесь к стоматологу для более детального обследования и лечения.









