Кровоточивость десен — распространенная проблема, особенно во время беременности, когда гормональные изменения могут ухудшить состояние полости рта. В статье рассмотрим основные причины кровоточивости десен и эффективные методы лечения, включая традиционные препараты и домашние средства. Эти знания помогут будущим мамам сохранить здоровье десен и предотвратить осложнения, связанные с заболеваниями полости рта в период ожидания ребенка.
Виноваты собственные пристрастия
Если говорить о механических факторах, способных спровоцировать кровоточивость десен, на первое место уверенно выходит неправильный выбор зубной щетки. На первый взгляд, приобретение этого важного гигиенического предмета не должно вызывать трудностей. Однако, как правило, мы выбираем щетку, основываясь на собственных эстетических предпочтениях. Мы обращаем внимание на форму и цвет, а о качестве щетинок задумываемся в последнюю очередь.
Чтобы избежать проблем с кровоточивостью десен, стоит внимательно подойти к выбору щетки.
- Если ваши десны очень чувствительны, выбирайте зубную щетку с мягкой щетиной. Такие щетки также рекомендуются для детей.
- Щетина средней жесткости подходит большинству людей. Обратите внимание на щетку с густо расположенными щетинками и закругленными концами. Для справки, среднее количество щетинок на зубной щетке составляет около 2000, а у качественных моделей их может быть до 6000!
- Жесткие щетки не рекомендуется использовать без назначения стоматолога из-за их высокой травмирующей способности.
- Выбор между электрической и ультразвуковой щеткой — это личное предпочтение, но лучше обсудить этот вопрос с вашим стоматологом перед покупкой.
- Также важно обоснованно выбирать зубную пасту. Имейте в виду, что высокоабразивные пасты не следует использовать длительное время, так как они могут повредить как десны, так и зубную эмаль.
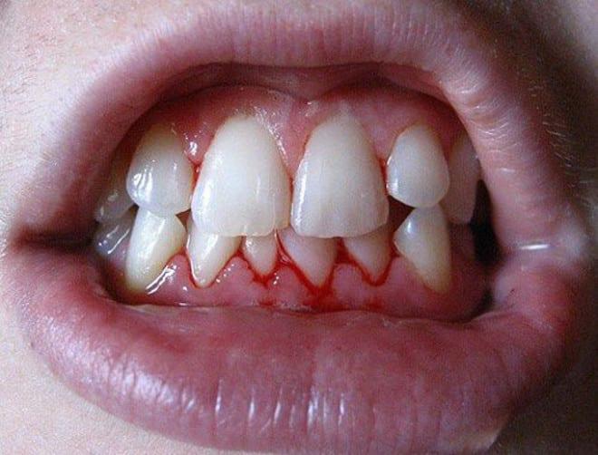
Кровоточивость десен является распространенной проблемой, с которой сталкиваются многие пациенты. Врачи отмечают, что основными причинами этого явления являются воспалительные заболевания десен, такие как гингивит и пародонтит, а также недостаточная гигиена полости рта. Накопление зубного налета и камня способствует развитию бактерий, что приводит к воспалению и кровоточивости.
Специалисты подчеркивают важность регулярной чистки зубов и использования зубной нити для предотвращения этих заболеваний. В случае появления симптомов, таких как кровоточивость, необходимо обратиться к стоматологу для диагностики и назначения лечения. Врач может рекомендовать профессиональную чистку зубов, а также назначить противовоспалительные препараты и антисептики. Важно помнить, что своевременное обращение за медицинской помощью может предотвратить более серьезные проблемы с деснами и зубами в будущем.
https://youtube.com/watch?v=3_fAduTvau8
Налет и камень
Желтоватый налет на зубах, который со временем превращается в зубной камень, представляет собой серьезную угрозу для здоровья ротовой полости.
Когда образуется зубной камень, десна начинает отходить от зуба, создавая пространство, которое может регулярно кровоточить. Именно поэтому регулярное удаление зубного камня (рекомендуется один-два раза в год) поможет предотвратить проблемы с кровоточивостью десен и избежать необходимости в более сложном лечении.
| Причина кровоточивости десен | Симптомы | Лечение и профилактика |
|---|---|---|
| Гингивит (воспаление десен) | Покраснение, отек, болезненность десен, кровоточивость при чистке зубов или еде, неприятный запах изо рта. | Профессиональная чистка зубов (удаление зубного налета и камня), тщательная гигиена полости рта (чистка зубов 2 раза в день, использование зубной нити), антисептические ополаскиватели, регулярные визиты к стоматологу. |
| Пародонтит (запущенный гингивит) | Те же симптомы, что при гингивите, плюс: рецессия десны (оголение корней зубов), подвижность зубов, образование пародонтальных карманов, гнойные выделения. | Глубокая чистка (кюретаж), антибиотикотерапия, хирургическое лечение (при необходимости), строгий контроль гигиены, поддерживающая терапия. |
| Неправильная гигиена полости рта | Кровоточивость при чистке зубов, наличие зубного налета и камня. | Правильная техника чистки зубов (мягкая щетка, круговые движения), использование зубной нити, ирригатора, регулярные профессиональные чистки. |
| Недостаток витаминов (особенно С и К) | Общая слабость, синяки, кровоточивость десен. | Коррекция диеты (употребление продуктов, богатых витаминами С и К), прием витаминных комплексов по назначению врача. |
| Гормональные изменения (беременность, пубертат, менопауза) | Усиление кровоточивости десен, особенно при чистке. | Усиленная гигиена полости рта, использование мягкой зубной щетки, регулярные осмотры у стоматолога. |
| Прием некоторых лекарственных препаратов (антикоагулянты, некоторые антидепрессанты) | Повышенная кровоточивость десен. | Консультация с врачом о возможности замены препарата или коррекции дозировки, усиленная гигиена полости рта. |
| Травма десны (неправильная чистка, жесткая пища, ортодонтические конструкции) | Локальная кровоточивость, болезненность. | Аккуратная чистка зубов, избегание травмирующей пищи, коррекция ортодонтических конструкций. |
| Системные заболевания (сахарный диабет, лейкемия, заболевания крови) | Общая кровоточивость, включая десны, другие специфические симптомы заболевания. | Лечение основного заболевания, тщательная гигиена полости рта, регулярные осмотры у стоматолога. |
| Курение | Ухудшение кровоснабжения десен, маскировка воспаления, повышенный риск развития пародонтита. | Отказ от курения, усиленная гигиена полости рта, регулярные осмотры у стоматолога. |
Если камня нет, и зубная щетка у вас правильная
Вы внимательно ухаживаете за зубами и деснами, но, несмотря на это, время от времени сталкиваетесь с проблемой кровоточивости десен. Причем это происходит не только во время чистки зубов.
Это может указывать на то, что причина данного симптома кроется глубже, чем вы думаете. Возможно, в вашем организме присутствует какое-то заболевание, о котором вы даже не догадываетесь. Вполне вероятно, что это связано с нарушениями в эндокринной системе. Рекомендуется пройти медицинское обследование.
https://youtube.com/watch?v=dlx5nPBA7V4
О будущих мамах
Кровоточивость десен во время беременности является довольно распространенной проблемой. По статистике, этот симптом наблюдается у 75% женщин в положении. Основные причины этого явления связаны с гормональными изменениями в организме, так как в период беременности значительно увеличивается уровень прогестерона, эстрогена и других гормонов.
Кроме того, факторы, такие как недостаточная гигиена полости рта и наличие зубных отложений в виде налета и камня, также могут способствовать возникновению проблемы. Однако наибольший риск кровоточивости десен наблюдается у женщин, которые до беременности страдали от хронического гингивита. У таких будущих мам это заболевание может обостряться.
Важно отметить, что любое воспаление десен во время беременности требует лечения, поскольку микробы, связанные с этим состоянием, могут выделять токсины, опасные для плаценты и плода. Это может привести к преждевременным родам.
О том, как лечить кровоточащие десны во время беременности, мы расскажем ниже. В принципе, методы лечения не отличаются от тех, что применяются для терапии гингивита у женщин, не находящихся в положении.
А если подождать?
Игнорирование периодической кровоточивости десен и отсутствие своевременного лечения могут привести к серьезным последствиям.
Запущенный гингивит может перейти в периодонтит, что чревато не только зубной болью, но и утратой зубов.
Поэтому кровоточащие десны, как во время беременности, так и в обычное время, должны вас насторожить и побудить к быстрому обращению к стоматологу.
Как лечат гингивиты и кровоточивость десен
Лечение кровоточивости десен требует комплексного подхода. Просто посещение стоматолога не будет достаточным.
Первый этап
Если гингивит и кровоточивость вызваны налетом или зубным камнем, стоматолог проведет их удаление. Одним из наиболее эффективных методов является ультразвуковая чистка зубов, которую вам могут порекомендовать. Результат после этой процедуры довольно стойкий, а сама она обычно не вызывает дискомфорта.
Тем не менее, для беременных женщин любые ультразвуковые процедуры противопоказаны, поэтому удаление зубных отложений будет осуществляться вручную с использованием специальных инструментов.
Второй этап
Для закрепления результата чистки, а также для устранения воспалительных процессов и отека десен стоматолог назначит противовоспалительные процедуры, включая полоскания и аппликации.
Аппликация – это эффективный метод борьбы с воспалением десен.
Для ее выполнения применяются противовоспалительные гели:
- Мундизаль — гель;
- Холисал;
- Асепта — бальзам;
- Метрогил – дента.
Все эти препараты содержат метронидазол и антисептик хлоргексидин. Во время беременности противовоспалительные гели назначаются только в крайних случаях и с осторожностью.
Лечить кровоточивость и воспаление проще с помощью полосканий полости рта, чем с аппликациями. Лечебные полоскания отличаются от профилактических как по составу, так и по продолжительности.
Основные рекомендации по лечебным полосканиям:
- Используйте только те средства, которые рекомендовал стоматолог. Это могут быть растворы фурацилина, хлоргексидина биглюконата, водные растворы фторида натрия, травяные отвары и другие.
- Время полоскания должно составлять не менее одной минуты, а частота – не менее двух раз в день.
- Курс лечебных полосканий после удаления налета и камня должен длиться не менее 10 дней.
После завершения курса обязательно посетите врача для получения рекомендаций по индивидуальному выбору зубной пасты, щетки, нити и других средств гигиены.
О домашнем лечении кровоточивости десен
Народная медицина предлагает множество рецептов для полоскания рта. Их использование может быть полезным, но только в качестве дополнения к лечению, назначенному врачом.
Важно помнить! Лечением кровоточивости десен должен заниматься только специалист. Самостоятельные действия могут привести к нежелательным последствиям. Избегайте использования спиртовых настоек для полоскания, так как они могут усугубить воспаление десен.
Для приготовления отваров можно использовать следующие ингредиенты:
- Ромашка;
- Шалфей;
- Водяной перец;
- Кора дуба;
- Крапива.
Что касается полоскания с солью, содой или яблочным уксусом, то их применение не всегда оправдано. Даже если вам нравится какой-либо рецепт народной медицины, не забудьте обсудить его с вашим стоматологом.
Также не забывайте о важности профилактики заболеваний полости рта. Правильно выполняйте гигиенические процедуры, регулярно удаляйте зубной налет и камень, и чаще улыбайтесь, демонстрируя здоровые зубы и десны!
https://youtube.com/watch?v=MuWcfnv5PyA
Профилактика кровоточивости десен
Профилактика кровоточивости десен является важным аспектом поддержания здоровья полости рта. Правильный уход за зубами и деснами может значительно снизить риск возникновения проблем, связанных с кровоточивостью. Вот несколько ключевых рекомендаций, которые помогут предотвратить это неприятное состояние.
1. Регулярная гигиена полости рта: Одна из основных причин кровоточивости десен — это накопление зубного налета и бактерий. Поэтому важно чистить зубы дважды в день с использованием фторсодержащей зубной пасты. Не забывайте также о чистке языка и использовании зубной нити для удаления остатков пищи и налета между зубами.
2. Правильная техника чистки зубов: Чистка зубов должна проводиться мягкими круговыми движениями, чтобы не повредить десны. Избегайте слишком сильного давления на зубы и десны, так как это может привести к их травмированию и, как следствие, к кровоточивости.
3. Регулярные визиты к стоматологу: Профилактические осмотры у стоматолога не менее важны, чем ежедневная гигиена. Специалист сможет выявить проблемы на ранних стадиях, такие как гингивит или пародонтит, и предложить соответствующее лечение. Рекомендуется посещать стоматолога не реже двух раз в год.
4. Здоровое питание: Питание играет важную роль в здоровье десен. Убедитесь, что ваш рацион богат витаминами и минералами, особенно витамином C, который способствует укреплению десен. Избегайте избыточного потребления сахара, так как он способствует развитию кариеса и заболеваний десен.
5. Отказ от вредных привычек: Курение и употребление табака негативно сказываются на здоровье десен, увеличивая риск воспалительных процессов. Отказ от этих привычек может значительно улучшить состояние десен и снизить вероятность их кровоточивости.
6. Устранение стресса: Хронический стресс может ослабить иммунную систему и сделать десны более уязвимыми к инфекциям. Практика релаксации, занятия спортом и хобби могут помочь снизить уровень стресса и, как следствие, улучшить общее состояние здоровья.
Следуя этим рекомендациям, вы сможете значительно снизить риск кровоточивости десен и сохранить здоровье полости рта на долгие годы. Помните, что профилактика всегда проще и эффективнее, чем лечение уже возникших заболеваний.
Влияние заболеваний на здоровье десен
Заболевания, влияющие на здоровье десен, могут иметь разнообразные причины и проявления. Одним из наиболее распространенных заболеваний является гингивит, который характеризуется воспалением десен. Это состояние часто возникает из-за накопления зубного налета, содержащего бактерии, которые вызывают воспаление и кровоточивость десен. Если не лечить гингивит, он может прогрессировать в более серьезное заболевание — пародонтит, которое приводит к разрушению тканей, поддерживающих зубы, и может вызвать их потерю.
Кроме гингивита, на здоровье десен могут негативно влиять и другие заболевания. Например, системные заболевания, такие как диабет, могут ухудшать состояние десен. У людей с диабетом наблюдается повышенный уровень сахара в крови, что создает благоприятные условия для размножения бактерий в полости рта. Это может привести к более выраженному воспалению и кровоточивости десен.
Также стоит отметить, что заболевания сердечно-сосудистой системы могут быть связаны с проблемами десен. Исследования показывают, что воспаление десен может способствовать развитию атеросклероза и других сердечно-сосудистых заболеваний. Это связано с тем, что бактерии из воспаленных десен могут попадать в кровоток и вызывать воспалительные процессы в сосудах.
Некоторые аутоиммунные заболевания, такие как волчанка или ревматоидный артрит, также могут оказывать негативное влияние на здоровье десен. Эти заболевания приводят к нарушению иммунного ответа организма, что может способствовать развитию воспалительных процессов в полости рта.
Кроме того, недостаток витаминов и минералов, таких как витамин C, может привести к ухудшению состояния десен. Витамин C играет важную роль в поддержании здоровья соединительных тканей, и его дефицит может вызвать воспаление и кровоточивость десен.
Таким образом, здоровье десен зависит от множества факторов, включая наличие системных заболеваний, состояние иммунной системы и уровень витаминов в организме. Важно регулярно посещать стоматолога для профилактики и раннего выявления заболеваний десен, а также следить за общим состоянием здоровья, чтобы минимизировать риск развития проблем с деснами.
Когда обращаться к стоматологу
Кровоточивость десен является распространенной проблемой, которая может сигнализировать о различных заболеваниях полости рта. Важно понимать, что игнорирование этого симптома может привести к серьезным последствиям, таким как пародонтит или потеря зубов. Поэтому необходимо знать, когда следует обратиться к стоматологу.
Первым признаком, который указывает на необходимость визита к специалисту, является постоянная или периодическая кровоточивость десен, особенно во время чистки зубов или при употреблении твердой пищи. Если вы заметили, что ваши десны кровоточат даже без видимой причины, это может быть сигналом о наличии воспалительного процесса.
Также стоит обратить внимание на другие сопутствующие симптомы, такие как:
- Покраснение и отечность десен;
- Неприятный запах изо рта;
- Изменение цвета десен (они могут стать более темными или бледными);
- Подвижность зубов;
- Появление гнойных выделений из десен.
Если вы заметили один или несколько из этих симптомов, рекомендуется записаться на прием к стоматологу как можно скорее. Специалист проведет осмотр, возможно, назначит рентгенографию и другие диагностические процедуры для определения причины кровоточивости.
Кроме того, следует учитывать и другие факторы, которые могут потребовать обращения к стоматологу. Например, если у вас есть хронические заболевания, такие как диабет или сердечно-сосудистые заболевания, это может увеличить риск развития заболеваний десен. В таких случаях регулярные осмотры у стоматолога становятся особенно важными.
Не стоит забывать и о том, что некоторые медикаменты, такие как антикоагулянты, могут способствовать повышенной кровоточивости десен. Если вы принимаете подобные препараты, обязательно сообщите об этом своему стоматологу.
В заключение, если вы заметили кровоточивость десен, не откладывайте визит к стоматологу. Чем раньше будет установлена причина проблемы, тем легче будет ее решить и предотвратить дальнейшие осложнения.
