Абсцесс зуба — воспалительное заболевание, возникающее из-за инфекции. Оно может привести к серьезным осложнениям при отсутствии своевременной диагностики и лечения. В статье рассмотрим основные симптомы абсцесса, его виды, методы диагностики и лечения, включая домашнюю терапию. Знание признаков и подходов к лечению поможет читателям обратиться к стоматологу вовремя и избежать ухудшения состояния, что важно для здоровья полости рта.
Причины возникновения заболевания
Причины накопления патологической микрофлоры в трещинах эмали или десневых карманах можно выделить следующие:
- использование старой зубной щетки, которая не подходит для гигиенических процедур;
- неэффективная зубная паста, не способная качественно очищать зубы и десны от кариеса и микробного налета;
- накопление остатков пищи в межзубных промежутках и у основания зуба, что способствует гниению и образованию большого количества бактерий на поверхности зубов.
Потребление слишком горячей или холодной пищи, а также острых, кислых и сладких блюд может привести к образованию микротрещин на эмали, что, в свою очередь, вызывает повышенную чувствительность и развитие патологических процессов.
В первую очередь, гнойные и другие инфекции в ротовой полости возникают при отсутствии регулярной и качественной гигиенической обработки.
Чем больше патогенных микроорганизмов скапливается в ротовой полости, тем выше вероятность возникновения абсцесса.
Еще одной причиной этой патологии являются стоматологические заболевания, которые имеют рецидивирующий характер или были плохо вылечены. Если у вас диагностированы пульпит, пародонтит, пародонтоз, гингивит, глубокий кариес, гранулемы или кисты, риск развития абсцесса значительно возрастает.
Кроме того, любые механические повреждения в области мягких тканей или зубов (переломы челюсти, ушибы, удары, сколы и разрушение зуба) могут привести к нагноению.
Интересно, что даже системные заболевания, не связанные непосредственно с зубами, могут стать причиной абсцесса. Во-первых, во время болезни иммунная система ослаблена и не может эффективно бороться с инфекцией. Во-вторых, вирусы и микробы, вызвавшие системное заболевание (например, грипп, ОРВИ, ангина, бронхит и т.д.), распространяются через кровеносную систему по всему организму.
Предвестниками абсцесса могут служить кисты, фурункулы, гранулемы и другие образования на слизистой оболочке. Обычный стоматит или герпес также могут осложниться образованием капсулы с гноем.
В редких случаях инфекция может попасть в организм из-за небрежности стоматолога, например, после неаккуратной инъекции анестетика в мягкие ткани.
Указанные причины приводят к нарушению целостности слизистой оболочки и эмали, что дает возможность патологической микрофлоре свободно проникать в пульпу и десневые карманы. Если заболевание не будет своевременно вылечено, воспалительный процесс может распространиться на соседние ткани и даже на кость.
Абсцесс зуба представляет собой локализованное гнойное воспаление, которое возникает в результате инфекции, чаще всего вызванной бактериями. Врачи отмечают, что основными причинами его появления являются кариес, травмы зуба и заболевания десен. При этом гной накапливается в тканях вокруг корня зуба, что может вызывать сильную боль, отек и покраснение. Специалисты подчеркивают важность своевременного обращения к стоматологу, так как игнорирование симптомов может привести к серьезным осложнениям, включая распространение инфекции. Лечение абсцесса обычно включает дренирование гноя и антибактериальную терапию. Врачи рекомендуют регулярные профилактические осмотры для предотвращения подобных заболеваний.
https://youtube.com/watch?v=V9gD891ggBg
Симптомы болезни и виды абсцесса
Абсцесс представляет собой инфекционное образование на слизистой оболочке, где скапливается патологическая жидкость (гной). Он может возникать в различных участках верхней и нижней челюсти.
Существует три основных типа абсцесса:
- Десневая (флюс) форма возникает на мягких тканях слизистой, не затрагивая периодонтальную связку или зубы.
- Периодонтальная – воспалительный процесс начинается в корне зуба и пародонтальном кармане, что может привести к подвижности пораженного зуба.
- Периапикальная – инфекция распространяется внутри зуба, который уже лишен пульпы.
Симптоматика зубного абсцесса достаточно разнообразна, что позволяет вовремя распознать заболевание.
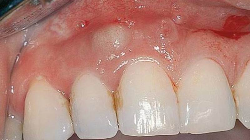
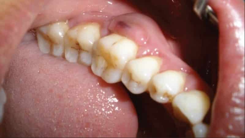
На начальных стадиях пациент может заметить покраснение мягких тканей и небольшую припухлость. С течением времени отек усиливается, что приводит к увеличению опухоли мягких тканей в области челюстей, что, в свою очередь, вызывает ассиметрию лицевых контуров. Эти проявления сопровождаются общим недомоганием, слабостью, упадком сил, потерей аппетита и нарушениями сна.
Зуб, находящийся в зоне образования абсцесса, начинает ныть и причинять боль. Прием пищи становится источником сильного дискомфорта, а нажатие на зуб (при кусании или жевании) вызывает резкую боль. Также наблюдается повышенная чувствительность эмали к температурным изменениям, а также к кислой, сладкой и острой пище.
В области покраснения тканей формируется полость, заполненная гноем и другими патологическими жидкостями. Если эта полость прорывается, на ее месте появляется открытая язва, что сопровождается гнилостным запахом изо рта и горьким привкусом.
В период активного распространения инфекции пациенты могут также отмечать повышение температуры и увеличение лимфоузлов в области шеи.
Иногда симптомы могут внезапно исчезнуть. Обычно это свидетельствует о гибели поврежденного зубного корня. Однако болезнь может возобновиться через несколько дней с новой силой, и инфекция за это время может распространиться на кость челюсти.
Если капсула абсцесса вскрывается самостоятельно и происходит отток гноя, пациент может почувствовать временное облегчение. Боль может утихнуть, отек лица и лимфоузлов уменьшится, а общее состояние улучшится. В этот момент крайне важно не прекращать лечение, а, наоборот, срочно записаться на прием к хирургу-стоматологу.
Вскрытие абсцесса может привести к переходу заболевания из острого состояния в хроническое, что вызовет новые вспышки болезни и симптомы. Хроническая форма опасна частыми рецидивами и образованием так называемого «свищевого хода».
| Аспект | Описание | Важность |
|---|---|---|
| Определение | Скопление гноя, вызванное бактериальной инфекцией, внутри зуба или в окружающих его тканях. | Понимание сути проблемы. |
| Причины | Кариес, травма зуба, неудачное лечение, заболевания десен. | Выявление факторов риска и предотвращение. |
| Симптомы | Сильная пульсирующая боль, отек десны/лица, чувствительность к горячему/холодному, неприятный запах изо рта, повышение температуры. | Ранняя диагностика и обращение к врачу. |
| Виды | Периапикальный (у верхушки корня), пародонтальный (в десне), гингивальный (на поверхности десны). | Определение локализации и выбор метода лечения. |
| Диагностика | Визуальный осмотр, рентген, пальпация. | Точное определение диагноза. |
| Лечение | Дренирование гноя, антибиотики, удаление нерва (пульпэктомия), удаление зуба (в крайних случаях). | Устранение инфекции и сохранение зуба. |
| Осложнения | Распространение инфекции на другие части тела (флегмона, остеомиелит, сепсис), потеря зуба. | Осознание серьезности и необходимости своевременного лечения. |
| Профилактика | Регулярная гигиена полости рта, профилактические осмотры у стоматолога, своевременное лечение кариеса. | Предотвращение возникновения абсцесса. |
Лечение болезни с помощью классической медицины
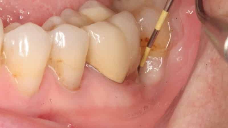
Прежде всего, врачу необходимо точно установить диагноз, исключив другие возможные заболевания и патологии. Проводится визуальный осмотр ротовой полости и пораженного зуба, а также собирается информация о всех проявлениях болезни. Одним из основных признаков абсцесса является наличие полости, заполненной гнойным содержимым.
В некоторых случаях может быть назначена рентгенография, которая поможет исключить другие заболевания с аналогичными симптомами.
После определения диагноза стоматолог обсуждает с пациентом план лечения, который направлен на сохранение зуба и устранение полости с последующей санацией.
Одним из традиционных методов лечения данного состояния является хирургическое вскрытие полости для обеспечения оттока гноя, после чего рана обрабатывается антисептическими и противовоспалительными средствами. Часто требуется также дренирование раны. Хирург-стоматолог очищает корневой канал, удаляя некротические ткани в области корня зуба. После этого врач заполняет поврежденный зуб пломбой.
Если инфекция привела к значительному разрушению зуба, его сохранение может быть нецелесообразным. В таком случае врач удаляет зуб (основной источник воспалительного процесса) и может предложить установку временной коронки или импланта. При сохранении сильно поврежденного зуба существует высокий риск осложнений, таких как образование кист и других образований, а также развитие остеомиелита.
При ампутации зуба также необходимо дренировать капсулу. Врач проводит эту процедуру через лунку, оставшуюся после удаления.
Иногда дренирование полости целесообразно осуществлять через разрез, выполненный вблизи самой капсулы в области отекших мягких тканей.
Современным методом лечения можно считать лазерное вскрытие капсулы с последующим дренированием. Высокие температуры лазерного луча способствуют коагуляции сосудов, оказывая обеззараживающее и кровоостанавливающее действие. Заживление после лазерной процедуры происходит значительно быстрее, а сама манипуляция менее болезненна.
Медикаментозное лечение включает прием противовоспалительных препаратов и антибиотиков, а также обезболивающих средств, аппликаций и ванночек для ротовой полости. Консервативное лечение не может полностью заменить хирургическое вмешательство.
https://youtube.com/watch?v=-6T90yEl3rc
Лечение недуга народной медициной
Многие специалисты допускают возможность лечения гнойного абсцесса зуба в домашних условиях. Использование народных методов может помочь замедлить воспалительные процессы, однако это лишь временная мера до визита к врачу.
Сильные болевые ощущения и отечность тканей можно облегчить с помощью льда или охлажденных предметов. Прикладывайте обернутый в ткань кусочек льда к внешней стороне щеки или челюсти в области воспаления. Использование горячих грелок или компрессов строго запрещено, так как это может усугубить ситуацию и ускорить распространение воспаления.
Дополнительно для снятия боли можно использовать анестетики, такие как Анальгин, Найз или раствор лидокаина.
Общее состояние можно улучшить с помощью жаропонижающих средств и препаратов, уменьшающих отеки.
Также вы можете облегчить свое состояние без применения химических препаратов.
- Прополощите рот теплым раствором соли и соды. Также подойдут отвары трав, настой прополиса, а также напиток с соком алоэ или эвкалиптом.
- Приложите компрессы к воспаленной области. Для этого можно использовать картофельную массу (натертый картофель прикладывают к воспаленному участку и фиксируют на 3-4 часа). Эффективен также компресс из алоэ: разрежьте мясистый лист и приложите срезом к воспаленной зоне. Ускорить созревание гнойника поможет компресс из лука (натрите овощ или мелко нарежьте, затем приложите к нарыву).
При наличии абсцесса не стоит заниматься самолечением и пытаться вскрыть гнойник самостоятельно. При первых признаках заболевания незамедлительно запишитесь на прием к врачу и строго следуйте его рекомендациям.
https://youtube.com/watch?v=h0zl5UL2pJ8
Профилактика абсцесса зуба
Первым шагом в профилактике абсцесса является регулярное посещение стоматолога. Специалист сможет выявить и устранить проблемы на ранних стадиях, такие как кариес или воспаление десен, что значительно снижает риск развития абсцесса. Рекомендуется проходить профилактические осмотры не реже одного раза в полгода.
Вторым важным аспектом является соблюдение правил гигиены полости рта. Это включает в себя:
- Чистку зубов дважды в день с использованием фторсодержащей зубной пасты;
- Использование зубной нити или межзубных щеток для удаления остатков пищи и налета из межзубных пространств;
- Полоскание рта антисептическими растворами для уменьшения количества бактерий;
- Регулярное посещение стоматолога для профессиональной чистки зубов.
Правильное питание также играет важную роль в профилактике абсцесса зуба. Употребление продуктов, богатых витаминами и минералами, способствует укреплению зубной эмали и десен. Следует ограничить потребление сахара и кислых продуктов, которые могут способствовать развитию кариеса и воспалительных процессов.
Кроме того, необходимо избегать травм зубов, которые могут привести к их повреждению и, как следствие, к развитию инфекции. Для этого рекомендуется использовать защитные капы при занятиях контактными видами спорта.
В заключение, профилактика абсцесса зуба требует комплексного подхода, включающего регулярные стоматологические осмотры, соблюдение гигиенических норм и правильное питание. Это поможет сохранить здоровье зубов и десен, а также предотвратить развитие серьезных осложнений.
Последствия нелеченного абсцесса
Абсцесс зуба, если его не лечить, может привести к серьезным последствиям как для самого зуба, так и для общего состояния здоровья пациента. Первоначально, абсцесс представляет собой скопление гноя, которое образуется в результате бактериальной инфекции. Если инфекция не будет устранена, она может распространиться на окружающие ткани и вызвать ряд осложнений.
Одним из наиболее распространенных последствий нелеченного абсцесса является развитие периодонтита — воспаления тканей, окружающих корень зуба. Это состояние может привести к потере зуба, так как разрушение костной ткани и десен делает зуб нестабильным. В некоторых случаях, если инфекция проникает в корень зуба, может потребоваться удаление зуба.
Кроме того, инфекция может распространиться на соседние зубы, вызывая их воспаление и образование новых абсцессов. Это может привести к цепной реакции, когда несколько зубов одновременно подвергаются воздействию инфекции, что значительно усложняет лечение и увеличивает риск потери нескольких зубов.
Нелеченный абсцесс также может вызвать системные осложнения. Инфекция может проникнуть в кровоток, что приводит к развитию сепсиса — опасного состояния, которое требует немедленной медицинской помощи. Сепсис может вызвать серьезные нарушения в работе органов и систем организма, включая сердечно-сосудистую и дыхательную системы.
Кроме того, хронический абсцесс может стать источником постоянной боли и дискомфорта, что негативно сказывается на качестве жизни пациента. Постоянная инфекция может также ослабить иммунную систему, делая организм более уязвимым к другим заболеваниям.
Важно отметить, что абсцесс зуба может также вызвать осложнения в области головы и шеи. Воспаление может распространиться на мягкие ткани, вызывая отек, который может затруднить дыхание и глотание. В редких случаях инфекция может привести к образованию флегмоны — обширного воспалительного процесса, требующего хирургического вмешательства.
Таким образом, игнорирование абсцесса зуба может иметь серьезные и даже угрожающие жизни последствия. Поэтому при первых признаках инфекции, таких как боль, отек или покраснение десен, необходимо обратиться к стоматологу для диагностики и лечения.
Когда обращаться к стоматологу
Абсцесс зуба — это гнойное воспаление, которое может возникнуть в результате инфекции, затрагивающей зуб или окружающие ткани. Важно понимать, что игнорирование симптомов абсцесса может привести к серьезным осложнениям, поэтому необходимо знать, когда следует обратиться к стоматологу.
Первым признаком абсцесса зуба является сильная боль, которая может быть пульсирующей и усиливаться при нажатии на зуб или при жевании. Если вы испытываете такую боль, это уже повод для немедленного обращения к специалисту. Боль может сопровождаться отеком десны, покраснением и повышенной чувствительностью зуба к горячему и холодному.
Другим важным симптомом является наличие гноя, который может выделяться из десны или образовываться в области зуба. Если вы заметили гнойные выделения, это указывает на наличие инфекции, и вам необходимо как можно скорее записаться на прием к стоматологу.
Также стоит обратить внимание на общее состояние здоровья. Если вы чувствуете себя плохо, у вас повышена температура, наблюдаются озноб или слабость, это может свидетельствовать о распространении инфекции. В таких случаях не стоит откладывать визит к врачу, так как инфекция может перейти в более серьезные формы.
Наконец, если вы заметили изменения в состоянии десен, такие как их кровоточивость, отек или изменение цвета, это также может быть признаком абсцесса. Не стоит ждать, пока симптомы исчезнут сами по себе, так как это может привести к ухудшению состояния и необходимости более сложного лечения.
В целом, если вы испытываете любые из перечисленных симптомов, рекомендуется как можно скорее обратиться к стоматологу для диагностики и лечения. Чем раньше будет начато лечение, тем меньше вероятность возникновения осложнений и тем быстрее вы сможете вернуться к нормальной жизни.



