Зубные трещины могут возникнуть внезапно, вызывая дискомфорт и боль, особенно если зуб раскололся пополам, что требует срочного вмешательства. В статье рассмотрим основные причины трещин и действия, которые нужно предпринять перед визитом к стоматологу. Эти рекомендации помогут минимизировать последствия и сохранить здоровье зубов.
Основные причины возникновения зубных трещин
Существует множество причин, способствующих образованию повреждений зубов:
- нехватка витаминов и минералов, необходимых для формирования прочной зубной эмали, что часто связано с неправильным питанием;
- потребление продуктов с высоким содержанием кислот и сахара, что негативно влияет на состояние эмали, постепенно разрушая её;
- одновременное употребление горячих блюд и холодных напитков, что вызывает резкие температурные перепады в ротовой полости, в результате чего эмаль может трескаться;
- вредные привычки, такие как грызение твердых предметов и продуктов (например, орехов и семечек), что может привести к сколам эмали при сильном усилии;
- травмы зубов из-за ударов;
- заболевания и спазмы жевательных мышц, проявляющиеся в неконтролируемом сжатии и движении челюстей, что негативно сказывается на эмали;
- побочные эффекты от лекарств, особенно при их чрезмерном использовании;
- ошибки стоматолога, допущенные во время лечения.
В некоторых случаях самостоятельно обнаружить трещину бывает сложно, особенно если она образовалась на переднем зубе. В таких ситуациях лучше всего довериться мнению вашего стоматолога после анализа рентгеновских снимков. Вы можете даже не подозревать о наличии травмы, если она стала следствием некачественного лечения в прошлом.
Если повреждение возникло вскоре после установки пломбы или коронки на зуб, необходимо незамедлительно обратиться к дантисту. Это поможет избежать дальнейших осложнений и сэкономить средства на замену некачественной пломбы или коронки.
При появлении трещины важно исключить нагрузку на поврежденный зуб. Обломки могут давить на пульпу, что может вызвать воспаление и привести к серьезным осложнениям. Если образуется открытая рана, это создает доступ для инфекций к крови и нервам, что может потребовать удаления пульпы. Поэтому крайне важно своевременно посетить стоматолога, чтобы избежать заболеваний полости рта, таких как пародонтоз.
При расколе зуба врачи настоятельно рекомендуют не откладывать визит к стоматологу. Первым шагом должно стать оценка повреждения: если зуб сильно болит или кровоточит, это может свидетельствовать о повреждении нерва. В таких случаях важно сохранить кусочек зуба, если это возможно, и поместить его в молоко или физиологический раствор для транспортировки. Стоматолог проведет осмотр и, в зависимости от степени повреждения, предложит лечение. Это может быть пломбирование, установка коронки или, в крайних случаях, удаление зуба. Важно помнить, что самолечение может усугубить ситуацию, поэтому профессиональная помощь является необходимостью.
https://youtube.com/watch?v=vxGv3GImYiA
Условное разделение зубных трещин на типы
-
Горизонтальная трещина обычно охватывает зуб поперек и, если её не лечить, может привести к его сколу. Чем ближе трещина расположена к основанию зуба, тем она более опасна. Трещина, находящаяся у шейки зуба, рядом с десной, может привести к необходимости удаления всей коронковой части и вскрытия пульпы. В таком случае восстановление зуба становится сложным и затратным процессом;
-
Вертикальная трещина, как следует из названия, проходит параллельно росту зуба, разделяя его на две половины, иногда отделяя стенку зуба от основной его части. Важно понимать, что такая трещина может достигать корня зуба, что открывает путь для бактерий к пульпе. Лечение заражённой пульпы представляет собой серьёзную проблему. Если трещина охватывает зуб по всей длине, его обычно удаляют. Однако, если зуб раскололся пополам, и одна из половин шатается, а корень другой части не повреждён и остаётся крепким, то отколовшуюся стенку удаляют, а зуб подвергают эндодонтическому лечению и устанавливают коронку;
-
Наклонная трещина делит зуб по диагонали относительно его оси. Если не предпринять меры, такая травма неизбежно приведёт к сколу угловой части зуба и чаще всего потребует установки коронки;
-
Внутризубная трещина считается наиболее сложной в диагностике и лечении. При наличии внутренней трещины повреждения могут распространяться от корня вверх. Определить наличие такой травмы на ранних стадиях можно только в том случае, если неровные повреждённые участки задевают пульпу и наносят ей вред. К сожалению, такую трещину трудно заметить, пока она не достигнет корня. В самых тяжёлых случаях возможно её распространение на челюстные кости, что может привести к перелому.
| Действие | Описание | Важность |
|---|---|---|
| Немедленно обратиться к стоматологу | Это самое важное действие. Чем быстрее вы обратитесь за помощью, тем выше шансы спасти зуб и предотвратить осложнения. | Критически важно |
| Прополоскать рот теплой водой | Помогает очистить область от остатков пищи и крови, а также уменьшить дискомфорт. | Высокая |
| Приложить холодный компресс | Если есть отек или боль, приложите холодный компресс к щеке снаружи, в области поврежденного зуба. | Средняя |
| Избегать жевания на поврежденной стороне | Не нагружайте расколотый зуб, чтобы не усугубить повреждение и не вызвать дополнительную боль. | Высокая |
| Принять обезболивающее (при необходимости) | Если боль сильная, можно принять безрецептурное обезболивающее, например, ибупрофен или парацетамол. | Средняя |
| Сохранить отколовшийся фрагмент зуба (если возможно) | Если откололся крупный фрагмент, аккуратно подберите его и поместите в молоко или физиологический раствор. Иногда его можно приклеить обратно. | Высокая |
| Избегать горячей, холодной, сладкой и кислой пищи | Эти продукты могут усилить чувствительность и боль в поврежденном зубе. | Высокая |
| Не пытаться самостоятельно «починить» зуб | Любые попытки самолечения могут привести к дальнейшему повреждению и осложнениям. | Критически важно |
Что делать, если зуб раскололся пополам
Сначала нужно сделать рентгеновский снимок повреждённого зуба, чтобы выяснить размеры трещины и её местоположение. Обычно направление на снимок даёт стоматолог, который будет заниматься вашим лечением. Важно помнить, что при дальнейшем воздействии зуб может полностью расколоться. Если зуб треснул вертикально, следует понимать, что задержка с лечением может привести к углублению повреждения и затронуть корень, что сделает его удаление неизбежным.
Такого рода трещина может вызвать частичное или полное повреждение корня. Обычно она проходит через обе стенки зуба, хотя иногда затрагивает лишь одну. Вертикальные трещины часто распространяются по всему зубу, и если они не приводят к отколу стенки, то являются полными по своей длине и затрагивают корень.
На первых стадиях трещина может быть незаметна. В начале, когда трещина ещё незначительна, вы можете ощущать дискомфорт и зуд в области дёсен, даже не подозревая о наличии трещины на зубе или внутри него. Поэтому так важно сделать рентгеновский снимок, так как в ряде случаев признаки повреждений могут быть неочевидны.
Стоматолог, изучив снимок и проведя осмотр, назначит необходимое лечение. Обычно требуется предотвратить попадание бактерий, остановить инфекцию пульпы, устранить трещину и выяснить, нужно ли удалять повреждённый зуб или можно ограничиться установкой коронки.
https://youtube.com/watch?v=eLTr9Mzxgls
Что делать сразу после того, как треснул зуб
Необходимо записаться на приём к стоматологу. Если же у вас нет возможности посетить врача в тот же день, следует предпринять следующие шаги:
- Обработайте ротовую полость антисептическими средствами или травяными настоями, предназначенными для этой цели, чтобы предотвратить заражение пульпы.
- При необходимости примите обезболивающее, но избегайте этого, если планируете обратиться к стоматологу в течение ближайших шести часов.
- Защитите зуб от контакта с пищей, посторонними предметами и даже языком, чтобы избежать смещения обломков и повреждения десен.
- Избегайте резких температурных изменений, старайтесь не употреблять слишком горячую или холодную пищу и напитки.
Важно помнить, что все эти рекомендации являются временными мерами. Необходимо как можно скорее посетить стоматолога, чтобы избежать непредсказуемых и опасных последствий для здоровья полости рта. Промедление может привести к потере зуба, пульпы или даже трещине в челюстной кости.
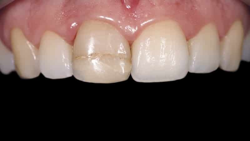
В некоторых случаях трещины могут образовываться на передних зубах, что часто связано с постепенным истончением эмали. Люди зачастую не обращают внимания на повреждённую эмаль, пока трещина не впитает достаточное количество красителей из пищи и не станет более заметной. В таком состоянии зуб становится уязвимым, так как ослабление его структуры может привести к сколам при сильных физических нагрузках.
Что делать, если треснул передний зуб
Обычно, если трещина на зубной эмали не углубляется, такую травму можно исправить с помощью пломбирования и, например, установки виниров для улучшения внешнего вида и защиты. Однако, если трещина продолжит развиваться, это может привести к воспалению, и в таком случае зуб придется либо удалить, либо провести депульпацию и качественное пломбирование.
В некоторых ситуациях возможно наращивание эмали на штифте или использование коронки в качестве защитного элемента. Коронки также могут быть применены для зубов, которые уже были депульпированы и на которых появилась трещина.
Трещины могут возникать и на зубах мудрости, поскольку в процессе их роста и расположения они подвержены значительному кислотному разрушению. В большинстве случаев стоматолог не будет тратить время на лечение такого труднодоступного зуба и предложит его удаление. Это будет наиболее разумным решением, так как поврежденный зуб мудрости будет приносить лишь боль и дискомфорт, а его наличие не является обязательным. Эти зубы практически не участвуют в первичной переработке пищи, и их отсутствие заметит только специалист, проводящий осмотр вашей ротовой полости.
Симптомы
Трещины в зубах могут проявляться через ряд характерных симптомов:
- трудно определить источник боли, так как она может ощущаться в различных участках;
- наблюдается повышенная чувствительность зубов, а реакция на горячую или холодную пищу становится более выраженной; ноющая боль после изменения температуры может сохраняться длительное время;
- боль возникает при откусывании, жевании, а также при смыкании и размыкании челюстей;
Если не обратиться к врачу с трещиной, это может привести к заражению пульпы и воспалительным процессам, что вызовет появление новых симптомов:
- изо рта начинает исходить неприятный запах;
- эмаль темнеет из-за отмирания тканей в пульповой камере;
- десна вокруг поврежденного зуба начинает опухать и причинять дискомфорт при прикосновении;
- корень зуба может стать подвижным, а сам зуб — сместиться.
В стоматологии применяются различные методы для диагностики трещин в зубах. Обычно врач, основываясь на жалобах пациента, выдвигает предварительный диагноз, и если подозревает наличие трещины, начинает углубленное обследование, предварительно ознакомившись с результатами рентгенографии.
Зуб с трещиной чаще всего вызывает наибольшую боль при пальпации. Стоматолог также может использовать специальные красящие вещества. Нанесение таких составов на эмаль помогает выявить трещины. Состояние зубодесневого кармана также может указать на воспаление десен и предположить наличие трещины.
Мелкие трещины могут оставаться незамеченными, пока однажды не произойдет скол коронковой части. Даже небольшая трещина снижает прочность зуба, и при значительной нагрузке он может неожиданно сломаться. Чтобы избежать подобных ситуаций, рекомендуется посещать стоматолога хотя бы раз в полгода для профилактики и выявления проблем в полости рта.
https://youtube.com/watch?v=Ob3J0QU4FWQ
Методы лечения расколов зубов
Консервативные методы
Если зуб раскололся, первым шагом является обращение к стоматологу для оценки степени повреждения. В случае небольших трещин или сколов, врач может предложить консервативные методы лечения. Это может включать в себя:
- Пломбирование: Если повреждение не затрагивает пульпу зуба, стоматолог может использовать композитные материалы для восстановления формы и функции зуба.
- Лечение корневых каналов: Если трещина затрагивает пульпу, может потребоваться лечение корневых каналов, чтобы удалить воспалённые или инфицированные ткани и затем заполнить канал специальным материалом.
Ортопедические методы
В случаях более серьёзных повреждений, когда зуб раскололся пополам, может потребоваться ортопедическое лечение:
- Коронки: Если зуб сильно повреждён, стоматолог может рекомендовать установку коронки, которая защитит оставшуюся часть зуба и восстановит его функцию.
- Мосты: Если зуб невозможно восстановить, может потребоваться установка мостов, которые заменят отсутствующий зуб и восстановят жевательную функцию.
Хирургические методы
В случаях, когда зуб невозможно спасти, может потребоваться его удаление. Хирургические методы включают:
- Удаление зуба: Если зуб раскололся настолько, что его восстановление невозможно, стоматолог может рекомендовать его удаление. После удаления может быть предложено установить имплантат для замещения утраченного зуба.
Профилактика повторных повреждений
После лечения важно следить за состоянием зубов, чтобы избежать повторных повреждений. Рекомендуется:
- Избегать жевания твёрдых предметов, таких как орехи или льд.
- Регулярно посещать стоматолога для профилактических осмотров и чистки зубов.
- Использовать защитные капы при занятиях спортом, чтобы предотвратить травмы зубов.
Профилактика трещин и расколов зубов
Профилактика трещин и расколов зубов является важным аспектом поддержания здоровья полости рта. Существует множество факторов, которые могут способствовать образованию трещин и расколов, и понимание этих факторов поможет вам избежать неприятных последствий.
1. Правильная гигиена полости рта: Регулярная чистка зубов дважды в день с использованием зубной пасты, содержащей фтор, помогает укрепить эмаль и предотвратить ее разрушение. Не забывайте также о зубной нити и ополаскивателях для рта, которые помогают удалить налет и остатки пищи из труднодоступных мест.
2. Избегайте жесткой пищи: Употребление слишком твердой пищи, такой как орехи, лед или карамель, может привести к механическим повреждениям зубов. Старайтесь избегать таких продуктов или тщательно их пережевывать.
3. Регулярные визиты к стоматологу: Профилактические осмотры у стоматолога помогут выявить проблемы на ранних стадиях. Стоматолог может рекомендовать фторирование или другие процедуры, которые укрепят зубы и снизят риск их повреждения.
4. Использование защитных кап: Если вы занимаетесь контактными видами спорта или имеете привычку скрежетать зубами (бруксизм), использование защитных кап может предотвратить травмы зубов.
5. Ограничение потребления кислых и сладких продуктов: Кислоты и сахара могут способствовать эрозии эмали. Старайтесь ограничивать их потребление и после еды полоскать рот водой, чтобы нейтрализовать кислоты.
6. Правильное питание: Употребление продуктов, богатых кальцием и витамином D, способствует укреплению зубной эмали. Включайте в свой рацион молочные продукты, зеленые листовые овощи и рыбу.
7. Избегайте курения: Курение не только негативно сказывается на здоровье зубов, но и может привести к ухудшению состояния десен, что в свою очередь увеличивает риск повреждения зубов.
Следуя этим рекомендациям, вы сможете значительно снизить риск трещин и расколов зубов, сохраняя их здоровье и целостность на долгие годы.
Когда обращаться к стоматологу: сроки и рекомендации
Если у вас раскололся зуб, важно не откладывать визит к стоматологу. Состояние зуба может ухудшаться с каждым днем, и чем быстрее вы получите профессиональную помощь, тем выше вероятность сохранить зуб и избежать более серьезных проблем.
Рекомендуется обратиться к стоматологу в течение 24-48 часов после того, как вы заметили трещину или раскол. Это особенно актуально, если вы испытываете боль, чувствительность к горячему или холодному, или если раскол затрагивает большую часть зуба. В таких случаях может возникнуть риск инфекции или дальнейшего разрушения зуба.
Если вы не чувствуете боли, это не означает, что ситуация не требует внимания. Даже небольшие трещины могут привести к серьезным последствиям, таким как воспаление или образование кисты. Поэтому, если вы заметили какие-либо изменения в состоянии зуба, лучше не откладывать визит к стоматологу.
При обращении к стоматологу важно предоставить полную информацию о том, как произошел раскол, какие симптомы вы испытываете и как долго они продолжаются. Это поможет врачу быстрее поставить диагноз и выбрать наиболее подходящее лечение.
В некоторых случаях, если зуб раскололся, стоматолог может предложить временные меры, такие как установка пломбы или коронки, чтобы защитить зуб до окончательного лечения. Важно следовать рекомендациям врача и не игнорировать дальнейшие назначения.
Если вы не можете сразу попасть к стоматологу, постарайтесь минимизировать нагрузку на поврежденный зуб. Избегайте жесткой пищи, горячих и холодных напитков, а также не пытайтесь самостоятельно исправить ситуацию, например, с помощью народных средств. Это может усугубить проблему и привести к более серьезным последствиям.
В заключение, помните, что здоровье зубов напрямую связано с общим состоянием организма. Не стоит игнорировать даже небольшие повреждения, так как они могут привести к более серьезным проблемам в будущем. Регулярные визиты к стоматологу и своевременное обращение за помощью помогут сохранить ваши зубы здоровыми на долгие годы.




