Пришеечный кариес — распространенное стоматологическое заболевание, возникающее в области шейки зуба. Оно может привести к серьезным последствиям без своевременного вмешательства. В статье рассмотрим причины прикорневого кариеса, его этапы развития, методы лечения и профилактики. Также предложим народные рецепты для борьбы с этой проблемой. Эти знания помогут сохранить здоровье зубов и избежать неприятных последствий.
Причины возникновения прикорневого кариеса
Даже если человек очень внимательно относится к своему здоровью, тщательно и регулярно чистит зубы, полностью избавиться от зубного налета в домашних условиях невозможно. Со временем налет может превратиться в зубной камень, поэтому регулярные визиты к стоматологу и профессиональная чистка ротовой полости являются необходимыми.
Пришеечный кариес возникает из-за активного размножения микроорганизмов в полости рта, которые перерабатывают остатки пищи в кислоты органического происхождения. Эти кислоты, в свою очередь, вымывают кальций из зубной эмали и способствуют образованию кариеса, разрушая ее. Прежде чем рассматривать методы лечения прикорневого кариеса, полезно ознакомиться с факторами, способствующими его развитию. К ним относятся:
- Чрезмерное потребление сладостей.
- Неправильный и недостаточный уход за зубами.
- Естественная предрасположенность зубов к тонкой эмали.
- Употребление низкокачественной воды.
- Нарушения обмена веществ.
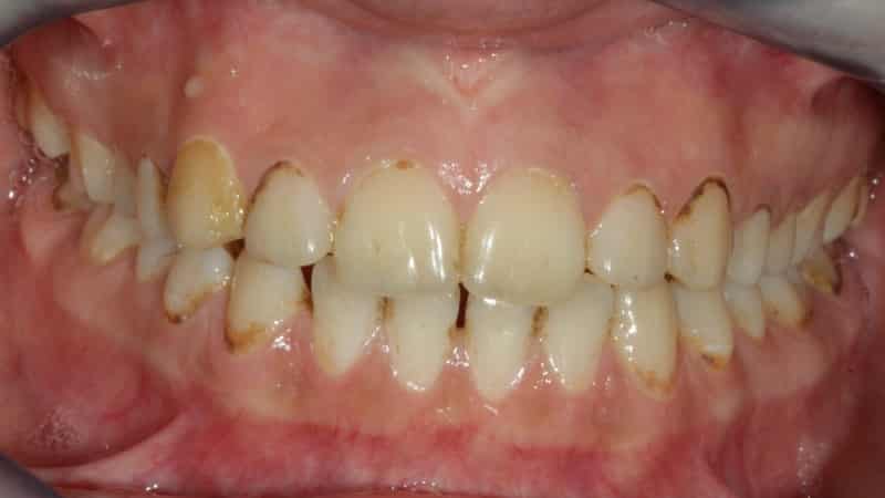
Из всех видов кариеса прикорневой считается наиболее опасным, так как он разрушает зубы, их корни и каналы. Это явление особенно часто наблюдается у пожилых пациентов и может привести к потере зубов. У таких больных часто возникают вопросы о том, что такое пришеечный кариес, как его лечить, какие причины его возникновения и как он выглядит на фотографиях. Давайте рассмотрим эти аспекты более подробно.
Врачи подчеркивают важность профилактики и своевременного лечения прикорневого кариеса, который может привести к серьезным осложнениям. Основными мерами профилактики являются регулярные визиты к стоматологу, соблюдение гигиенических норм и использование фторсодержащих средств. Специалисты рекомендуют уделять особое внимание чистке зубов в области десен, так как именно там чаще всего образуются кариозные поражения.
При первых признаках кариеса, таких как чувствительность или изменение цвета зуба, необходимо обратиться к врачу. Лечение может включать реминерализацию, пломбирование или, в запущенных случаях, более серьезные вмешательства. Врачи акцентируют внимание на том, что ранняя диагностика и адекватное лечение значительно повышают шансы на сохранение зуба и предотвращение дальнейших проблем.
https://youtube.com/watch?v=LsMSTVvAi8A
Как лечить прикорневой кариес
Правильное и эффективное лечение пришеечного кариеса может быть назначено только опытным специалистом, к которому стоит обратиться без промедлений. Это позволит значительно упростить, ускорить и удешевить процесс восстановления зуба.
Данное заболевание проходит через несколько стадий, каждая из которых имеет свои признаки и методы лечения. Стадии развития кариеса могут быть следующими:
- Стадия пятна — на этом этапе отсутствуют боли, наблюдается меловидное пятно на зубе, а также нет реакции на горячую, сладкую, кислую, холодную или соленую пищу. Лечение на данной стадии достаточно простое и безболезненное. Стоматолог проводит реминерализацию эмали с использованием препаратов, содержащих фтор, кальций, фосфор, магний и цинк.
- Вторая стадия — на этом этапе развивается поверхностный кариес, который приводит к разрушению эмали. Появляется темное пятно, а также боль при употреблении сладкого, горячего, кислого, соленого и холодного. Лечение включает в себя препарирование и пломбировку пораженной области.
- Средний кариес — характеризуется размягчением дентина, прогрессированием кариеса и усилением болевых ощущений при приеме пищи и напитков с различной температурой и вкусом. Стоматолог удаляет часть нависающей эмали и размягченного дентина, после чего проводит пломбирование.
- Глубокий кариес — это последняя стадия заболевания, которая может привести к депульпации и удалению пораженных тканей. В некоторых случаях возможно пломбирование зуба. Для глубокого кариеса характерны сильные боли при употреблении пищи и напитков с разной температурой и вкусом, а также значительное разрушение тканей зуба.
Перед началом лечения больных зубов врач может порекомендовать удалить зубные камни, которые стали причиной более серьезных проблем.
| Профилактика прикорневого кариеса | Лечение прикорневого кариеса | Дополнительные рекомендации |
|---|---|---|
| Гигиена полости рта: | Начальная стадия (деминерализация): | Регулярные осмотры у стоматолога: |
| — Чистка зубов 2 раза в день фторсодержащей пастой. | — Реминерализирующая терапия (фторлаки, гели, растворы). | — Не реже 1-2 раз в год для раннего выявления проблем. |
| — Использование зубной нити или ирригатора. | — Глубокое фторирование. | Коррекция диеты: |
| — Использование ополаскивателей для рта с фтором. | Средняя и глубокая стадии (кариозная полость): | — Ограничение потребления сахара и кислых продуктов. |
| Правильное питание: | — Пломбирование кариозной полости композитными материалами. | — Увеличение потребления продуктов, богатых кальцием и фосфором. |
| — Ограничение сладкого и кислых продуктов. | — Использование стеклоиономерных цементов (особенно при повышенной чувствительности). | Отказ от вредных привычек: |
| — Употребление продуктов, богатых кальцием и витамином D. | Осложнения (пульпит, периодонтит): | — Курение и употребление алкоголя негативно влияют на здоровье десен и зубов. |
| Регулярные профессиональные чистки: | — Эндодонтическое лечение (удаление нерва, пломбирование каналов). | Использование специальных средств: |
| — Удаление зубного налета и камня у стоматолога. | — В некоторых случаях – удаление зуба. | — Зубные пасты для чувствительных зубов. |
| Использование фторсодержащих средств: | При рецессии десны (оголение корня): | — Ополаскиватели с антибактериальным эффектом. |
| — Фторсодержащие зубные пасты. | — Хирургическое лечение (закрытие рецессии десны). | Контроль хронических заболеваний: |
| — Фторлаки и гели по рекомендации стоматолога. | — Использование десенсибилизирующих средств. | — Диабет, заболевания щитовидной железы могут влиять на состояние зубов. |
| Контроль кислотности полости рта: | Правильный выбор зубной щетки: | |
| — Использование жевательной резинки без сахара после еды. | — Мягкая или средней жесткости, чтобы не травмировать десны. | |
| — Ополаскивание рта водой после употребления кислых продуктов. |
Средства для лечения пришеечного кариеса народного происхождения
На ранних этапах заболевания пациентам настоятельно рекомендуется обратиться к врачу, однако многие предпочитают искать информацию самостоятельно, интересуясь, что такое прикорневой кариес, как его лечить, какие причины его возникновения и как он выглядит на фотографиях. Далее рассмотрим, что можно сделать и как лечить его с помощью народных средств:
- Настой мелиссы готовится из четырех столовых ложек травы, залитых кипятком и настоянных в течение одного часа. Полученный раствор используется для полоскания рта после еды.
- Настой шалфея изготавливается из трех столовых ложек листьев, залитых кипятком и настоянных полчаса. Готовый настой также применяется для полоскания полости рта.
- Компресс из лука. Репчатый лук измельчается до состояния кашицы, оборачивается в марлю и прикладывается к пораженному участку.
- Отвар валерианы готовится из 20-30 г измельченного корня, который варится в течение десяти минут. Затем отвар процеживается и охлаждается, после чего его можно использовать для полоскания рта.
- Чеснок. В дольке чеснока делается небольшой надрез, и она прикладывается к больному зубу.
- Соль. Три столовые ложки соли растворяются в стакане теплой воды, после чего полученным раствором полощут рот.
- Растительное масло. Одну ложку масла набирают в рот и держат около больного зуба в течение нескольких минут.
- Компресс из камфорного масла. Для его приготовления используется кусочек ваты, пропитанный маслом, который прикладывается к больному зубу.
Тем не менее, стоит помнить, что народные средства не способны обеспечить полноценное лечение пришеечного кариеса. Они могут лишь временно облегчить боль, но не устраняют саму проблему. Также важно учитывать, что без должного лечения кариес может легко распространиться на соседние зубы.
Чтобы предотвратить дальнейшее развитие заболевания, необходимо незамедлительно обратиться к стоматологу, который проведет лечение больных зубов и даст рекомендации по предотвращению повторного появления проблемы.
https://youtube.com/watch?v=Nm7r54H9Vak
Профилактика прикорневого кариеса
Чтобы предотвратить развитие пришеечного кариеса и избежать неприятных ощущений, следует придерживаться ряда профилактических мер:
- Заботьтесь о здоровье полости рта, используя качественные зубные пасты и щетки, рекомендованные вашим стоматологом. Не забывайте о полоскателях, зубной нити и зубном порошке.
- Обеспечьте сбалансированное питание, включая в рацион продукты, богатые кальцием, витаминами, фосфором и другими важными микро- и макроэлементами.
- Регулярно посещайте стоматолога, желательно дважды в год.
- Берегите зубную эмаль, избегая грызть орехи, семечки и другие твердые предметы.
- Полощите рот несколько раз в неделю отварами трав.
- Употребляйте твердую пищу, такую как свежая капуста, яблоки, груши и морковь.
- Избегайте курения и употребления алкогольных напитков.
При лечении прикорневого кариеса важно не доводить ситуацию до критической стадии. Как только вы заметили небольшое пятнышко на зубе, немедленно обратитесь к стоматологу, а не ждите, пока кариес не охватит большую область и не начнет вызывать дискомфорт и боль. Помните, что кариес не исчезнет сам по себе и не поддается лечению народными средствами. Если визит к врачу неизбежен, лучше не откладывать его, чтобы избежать более серьезных последствий, которые потребуют длительного, болезненного и дорогостоящего лечения.
https://youtube.com/watch?v=w_5SfXiLxT4
Роль питания в профилактике прикорневого кариеса
Питание играет ключевую роль в профилактике прикорневого кариеса, так как оно напрямую влияет на здоровье зубов и десен. Правильный выбор продуктов может помочь укрепить эмаль, снизить риск развития кариеса и поддерживать здоровье полости рта в целом.
Во-первых, важно включать в рацион продукты, богатые кальцием и фосфором. Эти минералы способствуют укреплению зубной эмали и помогают в реминерализации поврежденных участков. Молочные продукты, такие как молоко, йогурт и сыр, являются отличными источниками кальция. Рыба, особенно с костями, а также орехи и семена также содержат необходимые минералы.
Во-вторых, необходимо обратить внимание на потребление витаминов, особенно витамина D, который способствует усвоению кальция. Витамин D можно получить не только из пищи (жирная рыба, яйца, грибы), но и через солнечное светило, что также важно для поддержания здоровья зубов.
Кроме того, следует ограничить потребление сахара и углеводов, которые способствуют размножению бактерий в полости рта и образованию кислоты, разрушающей эмаль. Сладости, газированные напитки и мучные изделия могут привести к образованию кариеса, особенно если они употребляются в больших количествах и без последующей гигиенической обработки полости рта.
Также стоит обратить внимание на продукты, содержащие антиоксиданты, такие как фрукты и овощи. Ягоды, цитрусовые, брокколи и шпинат не только укрепляют иммунную систему, но и способствуют улучшению состояния десен, что также важно для профилактики прикорневого кариеса.
Не менее важным аспектом является режим питания. Частое перекусывание может привести к постоянному воздействию кислоты на зубы, что увеличивает риск кариеса. Рекомендуется придерживаться регулярного режима питания и стараться избегать частых перекусов, особенно сладких.
Наконец, важно помнить о достаточном потреблении воды. Вода помогает поддерживать уровень слюны, которая играет защитную роль, нейтрализуя кислоты и способствуя очищению зубов от остатков пищи. Употребление достаточного количества воды также способствует общему здоровью организма.
Таким образом, сбалансированное питание, богатое необходимыми витаминами и минералами, а также ограничение сахара и углеводов, могут значительно снизить риск развития прикорневого кариеса и поддерживать здоровье зубов на высоком уровне.
Советы по уходу за полостью рта для предотвращения кариеса
Уход за полостью рта играет ключевую роль в профилактике прикорневого кариеса. Правильные гигиенические процедуры и регулярные визиты к стоматологу помогут сохранить здоровье зубов и десен. Вот несколько рекомендаций, которые помогут вам предотвратить развитие кариеса:
- Регулярная чистка зубов: Чистите зубы не менее два раза в день с использованием фторсодержащей зубной пасты. Обратите особое внимание на область вокруг десен и прикорневую зону, где кариес может развиваться быстрее всего.
- Использование зубной нити: Зубная нить помогает удалить остатки пищи и налет из межзубных промежутков, где зубная щетка может не достать. Это особенно важно для предотвращения кариеса в прикорневой области.
- Полоскание рта: Используйте антисептические ополаскиватели для рта, которые помогают уничтожать бактерии и предотвращают образование налета. Полоскание рта после еды также способствует удалению остатков пищи.
- Сбалансированное питание: Ограничьте потребление сахара и углеводов, так как они способствуют образованию кислоты, которая разрушает зубную эмаль. Включайте в рацион продукты, богатые кальцием и фосфором, такие как молочные продукты, орехи и зеленые овощи.
- Регулярные визиты к стоматологу: Посещайте стоматолога не реже двух раз в год для профилактических осмотров и профессиональной чистки зубов. Это поможет выявить ранние признаки кариеса и других заболеваний полости рта.
- Фторирование: Используйте фторсодержащие средства, такие как гели или лаки, которые могут укрепить зубную эмаль и сделать её более устойчивой к кариесу. Стоматолог может предложить профессиональное фторирование в клинике.
- Избегание курения: Курение негативно влияет на здоровье десен и зубов, увеличивая риск развития кариеса и других заболеваний полости рта. Отказ от курения улучшит общее состояние здоровья и снизит риск стоматологических проблем.
- Контроль за состоянием десен: Обратите внимание на здоровье десен. Если вы заметили покраснение, отек или кровоточивость, обратитесь к стоматологу. Заболевания десен могут способствовать развитию кариеса.
Следуя этим рекомендациям, вы сможете значительно снизить риск развития прикорневого кариеса и сохранить здоровье своих зубов на долгие годы. Помните, что профилактика всегда проще и дешевле, чем лечение.
Когда обращаться к стоматологу: признаки и рекомендации
Прикорневой кариес – это заболевание, которое может развиваться незаметно, особенно на ранних стадиях. Однако существуют определенные признаки, которые могут сигнализировать о необходимости обращения к стоматологу. Важно обращать внимание на изменения в состоянии зубов и десен, чтобы предотвратить дальнейшее развитие кариеса и его осложнения.
Одним из первых признаков прикорневого кариеса является появление чувствительности зубов. Это может проявляться как дискомфорт при употреблении горячей, холодной или сладкой пищи. Если вы заметили, что зубы реагируют на температурные изменения или на сладости, это может быть сигналом о начале кариозного процесса.
Другим важным признаком является изменение цвета зуба. Если вы заметили потемнение или изменение оттенка в области корня зуба, это может указывать на наличие кариеса. Также стоит обратить внимание на наличие видимых дефектов на поверхности зуба, таких как ямки или трещины.
Если вы испытываете боль в области зуба, особенно при нажатии на него или при жевании, это может быть признаком более серьезного повреждения, связанного с кариесом. Боль может быть как острой, так и тупой, и ее интенсивность может варьироваться. В любом случае, это является основанием для обращения к стоматологу.
Кроме того, важно следить за состоянием десен. Если вы заметили покраснение, отек или кровоточивость десен, это может свидетельствовать о наличии воспалительного процесса, который часто сопутствует кариесу. Воспаление десен может усугубить ситуацию и привести к более серьезным стоматологическим проблемам, таким как пародонтит.
Рекомендуется также проходить регулярные профилактические осмотры у стоматолога, даже если у вас нет явных признаков кариеса. Профессиональная чистка зубов и осмотр помогут выявить проблемы на ранней стадии и предотвратить их развитие. Стоматолог может провести рентгенографию, чтобы оценить состояние зубов и выявить скрытые кариозные процессы.
Если вы заметили один или несколько из вышеуказанных признаков, не откладывайте визит к стоматологу. Чем раньше будет поставлен диагноз и начато лечение, тем выше шансы на успешное восстановление зуба и предотвращение осложнений. Помните, что здоровье зубов напрямую связано с общим состоянием организма, и своевременное обращение к специалисту – это важный шаг к сохранению вашей улыбки.



