Пародонтолог – специалист по диагностике и лечению заболеваний пародонта, тканей вокруг зубов. Здоровье десен влияет на состояние полости рта и может быть связано с системными заболеваниями. В статье рассмотрим болезни, которые лечит пародонтолог, случаи обращения к нему и рекомендации по профилактике заболеваний десен. Это поможет вам лучше ориентироваться в стоматологическом здоровье и своевременно принимать меры для его сохранения.
Когда обращаться к пародонтологу
Итак, чем занимается пародонтолог? Этот специалист обладает обширными знаниями, необходимыми для достижения положительных результатов в лечении.
Поздний визит к врачу может привести не только к дискомфорту, но и к необратимым последствиям, включая потерю зубов и распространение инфекции по всему организму. В такой ситуации никакой врач, будь то пародонтолог, стоматолог или хирург, не сможет помочь.
Обследование у пародонтолога проходит в несколько этапов. Сначала врач тщательно изучает причины заболевания, а затем выбирает подходящий метод лечения. Это позволяет эффективно использовать как время, так и финансовые ресурсы.
Диагностика обычно включает в себя следующие процедуры:
- для исключения или подтверждения наличия системных заболеваний пациента направляют на клинический анализ крови;
- для получения точной информации о прогрессировании заболевания проводятся рентгенографические исследования, которые могут выполняться прямо в стоматологическом кресле;
- для анализа состава микрофлоры берутся мазки из полости рта;
- врач оценивает степень кровоточивости, соблюдение гигиенических норм и состояние тканей;
- для определения состояния иммунной системы назначается иммунограмма.
Пародонтолог — это специалист, занимающийся диагностикой и лечением заболеваний тканей, окружающих зубы. Врачи подчеркивают важность регулярных визитов к пародонтологу, так как многие заболевания на ранних стадиях протекают бессимптомно. Пародонтологи проводят профессиональную гигиену полости рта, удаляют зубной камень и налет, что способствует предотвращению заболеваний десен. Они также занимаются лечением пародонтита и пародонтоза, восстанавливая здоровье десен и зубов. Врачи отмечают, что комплексный подход, включающий профилактику и лечение, позволяет сохранить зубы на долгие годы. Пародонтологи работают в тесном сотрудничестве с другими стоматологами, что обеспечивает комплексное лечение и улучшает общую стоматологическую помощь пациентам.
https://youtube.com/watch?v=QXEBh1yYHC8
Перечень заболеваний
Доктор-пародонтолог специализируется на диагностике и лечении различных заболеваний ротовой полости, среди которых:
- Пародонтит — это хроническое заболевание с быстрым прогрессированием, которое сопровождается воспалительными процессами, затрагивающими зубы;
- Пародонтоз — недуг, не имеющий воспалительного характера, который поражает ткани, окружающие зубы;
- Воспаление десен — гингивит;
- Киста корня зуба — образование, возникающее в верхней части корня из-за инфекции.
Исследования показывают, что основная причина потери зубов у людей связана с активным развитием заболеваний десен. Чтобы избежать серьезных последствий, важно быть осведомленным о данной проблеме. Квалифицированный специалист сможет подробно рассказать о симптомах стоматологических заболеваний во время осмотра.
| Что делает пародонтолог | Зачем это нужно | Результат для пациента |
|---|---|---|
| Диагностика заболеваний пародонта | Выявление гингивита, пародонтита, пародонтоза на ранних стадиях | Предотвращение прогрессирования заболеваний, сохранение зубов |
| Профессиональная гигиена полости рта | Удаление зубного налета и камня, полировка зубов | Уменьшение воспаления десен, свежее дыхание, профилактика кариеса |
| Лечение гингивита | Устранение воспаления десен, кровоточивости | Здоровые десны, отсутствие дискомфорта при чистке зубов |
| Лечение пародонтита | Удаление поддесневых отложений, сглаживание корней, антибактериальная терапия | Остановка разрушения костной ткани, уменьшение подвижности зубов |
| Хирургическое лечение пародонтита | Кюретаж, лоскутные операции, направленная тканевая регенерация | Восстановление утраченных тканей пародонта, стабилизация зубов |
| Шинирование подвижных зубов | Объединение нескольких зубов в единый блок | Уменьшение подвижности зубов, улучшение жевательной функции |
| Пластика десны | Коррекция десневого края, устранение рецессий | Улучшение эстетики улыбки, защита корней зубов от чувствительности |
| Подготовка к протезированию и имплантации | Устранение воспаления, создание благоприятных условий для установки протезов/имплантатов | Успешное протезирование/имплантация, долговечность конструкций |
| Поддерживающая терапия | Регулярные осмотры, профессиональная гигиена, контроль состояния пародонта | Предотвращение рецидивов заболеваний, поддержание здоровья полости рта |
| Консультации по гигиене полости рта | Обучение правильной чистке зубов, подбору средств гигиены | Эффективная домашняя гигиена, профилактика заболеваний |
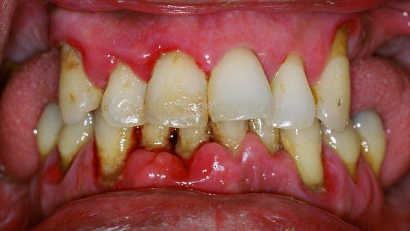
Клинические признаки
К сожалению, многие люди часто не обращают внимания на симптомы заболеваний десен из-за повседневных забот и проблем. Даже легкие недомогания, такие как жжение и дискомфорт, должны вызывать беспокойство, не говоря уже о более выраженных признаках.
Чаще всего люди следят за состоянием зубов, чтобы избежать образования камней и развития кариеса. Даже если эти проблемы уже существуют, визит к стоматологу может откладываться. В результате на приеме выясняется, что у пациента есть и более серьезные проблемы с деснами, о которых он даже не подозревал.
Если мы будем осведомлены о главных симптомах заболеваний десен, это поможет нам быть более внимательными к своему здоровью.
Симптомы заболеваний пародонта:
- покраснение и воспаление десен;
- появление крови во время чистки зубов или в любое другое время;
- дискомфорт и жжение в области десен;
- подвижность зубов;
- изменения в ротовой полости: изменение цвета слизистых, смещение десен и т.д.;
- неприятный запах изо рта.
Если вы заметили у себя подобные симптомы, не откладывайте визит к врачу. Эти проявления могут стать серьезным сигналом к возникновению новых заболеваний.
Известно, что любое заболевание легче поддается лечению на ранних стадиях.
https://youtube.com/watch?v=dzs8yqDTBbw
Когда стоит обратиться к пародонтологу
Что лечит врач-пародонтолог? Этот узкоспециализированный специалист занимается лечением стоматитов и различных воспалительных заболеваний ротовой полости.
Обратиться к пародонтологу следует, если:
- вы замечаете кровоточивость десен при жевании твердых продуктов, во время чистки зубов или при употреблении горячей пищи;
- в области десен образовался гной;
- вы испытываете дискомфорт или боль при жевании;
- десны стали опухшими;
- у вас появился постоянный неприятный запах изо рта;
- изменился цвет десен: они стали ярко-красными или, наоборот, побледнели;
- между зубами образовались щели;
- зубы начали оголяться.
Если вы столкнулись с такими симптомами, рекомендуется незамедлительно обратиться к врачу.
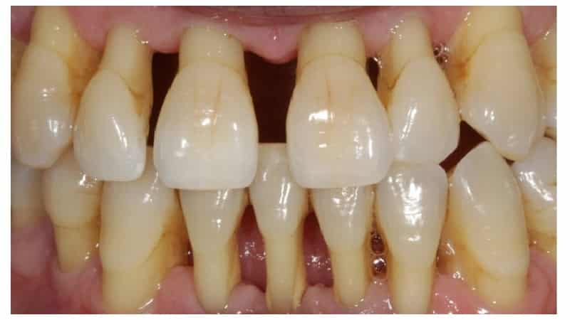
В чем заключается лечение
Когда диагностический процесс завершен и проблема становится ясной, пациенту предлагается лечение у пародонтолога:
- удаление налета, накопившегося вокруг десен, с использованием ультразвука, лазера или пескоструйного аппарата;
- очищение карманов, образовавшихся между зубами, их обработка и дезинфекция, применение противовоспалительных средств;
- укрепление зубов, которые находятся в шатком состоянии;
- хирургическое вмешательство в случаях запущенной болезни.
Эти процедуры проводятся с учетом клинических проявлений в каждом конкретном случае. Далее мы представим основные методы лечения заболеваний пародонта:
- если симптомы слабо выражены, наблюдаются галитоз, воспаление и покраснение, пациенту необходима консультация квалифицированного специалиста. Врач проведет визуальный осмотр и определит, какие анализы нужно сдать, а также даст рекомендации по облегчению симптомов: полоскания, использование медикаментов. После некоторого времени пациент снова приходит в клинику для оценки результатов лечения;
- если заболевание сопровождается выраженной припухлостью десен и кровоизлиянием, требуется более серьезное лечение. В таком случае могут быть назначены промывания карманов пародонта, антибиотикотерапия и рекомендации по гигиене полости рта;
- в особенно тяжелых случаях проводятся операции: удаление зубного налета из внутренних частей карманов пародонта, разрез десны с отслоением и тщательной очисткой от камней, после чего ткани пришиваются обратно.
Независимо от выбранных методов лечения, после завершения терапии обязательно следует этап профилактики. Специалист назначит дату для последующего обследования после полного курса лечения.
В каких случаях обратиться
Посетить этого специалиста следует при любых заболеваниях полости рта. Также рекомендуется регулярно проходить профилактические осмотры, чтобы выявить ранние признаки заболеваний и предотвратить их развитие.
Если у вас появились настораживающие симптомы, такие как воспаление, обнажение шеек зубов, неприятный запах изо рта или необычный прикус, не стесняйтесь поделиться своими переживаниями с врачом. Чем раньше вы обратитесь в клинику, тем эффективнее будет лечение, и тем легче удастся избежать неприятных последствий.
Не стоит экономить на квалифицированном стоматологе, так как в случае серьезных осложнений вам придется потратить гораздо больше средств.
Какие советы дает порадонтолог пациентам
Специалист в этой области обязан объяснить, как правильно заботиться о зубах и полости рта, чтобы избежать развития заболеваний пародонта в будущем.
Давайте рассмотрим это подробнее:
- соблюдение гигиенических норм ухода за ротовой полостью. Это означает, что забота о зубах должна быть постоянной, а не временной. Чистить зубы следует после каждого приема пищи; если это невозможно, хотя бы прополощите рот теплой водой. Также рекомендуется использовать зубную нить для очистки межзубных пространств;
- щетка должна быть мягкой, а ее края — нежными. Правильно подобранные средства гигиены помогут вам эффективно ухаживать за ротовой полостью, не травмируя зубы и десны. Не забывайте обновлять зубную щетку каждые три месяца. Это также необходимо делать после профессиональной чистки зубов, так как на старой щетке могут оставаться бактерии, которые вновь попадут в рот, если не соблюдать это правило;
- специальная зубная нить является отличным инструментом для поддержания гигиены. С ее помощью вы сможете эффективно удалить налет и остатки пищи из труднодоступных мест.
Заботливое отношение к своему здоровью и регулярные профилактические осмотры помогут вам избежать множества проблем с зубами и деснами.
Теперь вы полностью осведомлены о том, кто такой пародонтолог, и, следовательно, готовы к действиям. Используйте эту информацию во благо, чтобы предотвратить возникновение серьезных заболеваний и избежать их последствий. Не стоит недооценивать даже незначительные симптомы; всегда полезно обратиться к своему стоматологу.
Он направит вас к узкопрофильному специалисту, если это будет необходимо. При своевременном обращении все пройдет быстро и качественно, и вы забудете о неприятных ощущениях, наслаждаясь здоровыми и красивыми зубами, которые останутся на своих местах.
https://youtube.com/watch?v=awg6JWBQgpo
Методы диагностики заболеваний пародонта
Диагностика заболеваний пародонта является важным этапом в работе пародонтолога, так как от точности определения состояния тканей, окружающих зубы, зависит выбор дальнейшей тактики лечения. Существует несколько методов, которые позволяют специалисту получить полное представление о состоянии пародонта.
1. Клинический осмотр
Первым шагом в диагностике является тщательный клинический осмотр пациента. Пародонтолог оценивает состояние десен, наличие воспалительных процессов, отечность, кровоточивость, а также уровень прикрепленной десны. Важно обратить внимание на цвет и текстуру десен, а также на наличие зубного камня и налета. Специалист также проводит пальпацию десен для определения их болезненности и подвижности зубов.
2. Пародонтологический индекс
Для более точной оценки состояния пародонта используются различные пародонтологические индексы, такие как индекс кровоточивости десен (IBD), индекс плака (IP) и индекс пародонтального здоровья (IPH). Эти индексы помогают количественно оценить степень воспаления и наличие зубного налета, что позволяет установить диагноз и выбрать оптимальное лечение.
3. Рентгенологическое исследование
Рентгенография является важным методом диагностики заболеваний пародонта. С помощью рентгеновских снимков пародонтолог может оценить состояние костной ткани, окружающей зубы, выявить наличие костных дефектов, а также определить степень потери костной массы. Наиболее информативными являются ортопантомограммы и прицельные рентгенограммы, которые позволяют получить детальные изображения отдельных участков челюсти.
4. Пародонтальный зонд
Использование пародонтального зонда позволяет измерить глубину пародонтальных карманов. Это важный аспект диагностики, так как увеличение глубины кармана может свидетельствовать о наличии пародонтита. Зондирование также помогает определить уровень прикрепленной десны и наличие гнойных выделений, что может указывать на воспалительный процесс.
5. Лабораторные исследования
В некоторых случаях пародонтолог может назначить лабораторные исследования, такие как анализ слюны или микробиологическое исследование, для выявления патогенных микроорганизмов, способствующих развитию заболеваний пародонта. Эти данные могут помочь в выборе антибиотикотерапии и других методов лечения.
6. Оценка системных заболеваний
Необходимо учитывать, что здоровье пародонта может быть связано с общими заболеваниями организма, такими как диабет, сердечно-сосудистые заболевания и гормональные нарушения. Поэтому пародонтолог может рекомендовать консультацию других специалистов для комплексной оценки состояния здоровья пациента.
Таким образом, диагностика заболеваний пародонта включает в себя комплексный подход, который сочетает клинические, рентгенологические и лабораторные методы. Это позволяет пародонтологу точно определить диагноз и разработать индивидуальный план лечения для каждого пациента.
Профилактика заболеваний пародонта
Профилактика заболеваний пародонта является одной из ключевых задач пародонтолога. Она включает в себя комплекс мероприятий, направленных на предотвращение развития заболеваний десен и поддержание здоровья пародонта. Основные аспекты профилактики можно разделить на несколько категорий.
1. Обучение пациентов гигиене полости рта: Пародонтолог проводит обучение пациентов правильной технике чистки зубов, использованию зубной нити и других средств гигиены. Это включает в себя рекомендации по выбору зубной пасты и щетки, а также советы по частоте и времени чистки зубов. Правильная гигиена полости рта помогает предотвратить накопление налета и образование зубного камня, что является основными факторами риска для заболеваний пародонта.
2. Регулярные профилактические осмотры: Пародонтологи рекомендуют проходить профилактические осмотры не реже двух раз в год. Во время этих визитов специалист проводит оценку состояния десен, выявляет ранние признаки заболеваний и при необходимости назначает лечение. Регулярные осмотры позволяют своевременно обнаружить проблемы и предотвратить их дальнейшее развитие.
3. Профессиональная чистка зубов: Одним из важных аспектов профилактики является профессиональная чистка зубов, которая проводится пародонтологом или стоматологом. Эта процедура включает удаление зубного налета и камня, которые невозможно удалить в домашних условиях. Профессиональная чистка помогает снизить риск развития гингивита и пародонтита.
4. Индивидуальные рекомендации: Каждый пациент уникален, и пародонтолог разрабатывает индивидуальный план профилактики, учитывая особенности здоровья, образ жизни и привычки пациента. Это может включать рекомендации по диете, отказу от курения и другим факторам, влияющим на здоровье десен.
5. Использование вспомогательных средств: Пародонтолог может рекомендовать использование дополнительных средств для ухода за полостью рта, таких как ополаскиватели, гели и пасты, содержащие антисептики или фтор. Эти средства помогают укрепить десны и снизить воспаление.
6. Обсуждение системных заболеваний: Пародонтолог также учитывает наличие у пациента системных заболеваний, таких как диабет, которые могут влиять на здоровье пародонта. Важно, чтобы пациент понимал связь между общим состоянием здоровья и состоянием десен, что поможет ему более ответственно подходить к профилактике.
Таким образом, профилактика заболеваний пародонта — это многогранный процесс, который требует активного участия как пациента, так и пародонтолога. Своевременные меры и регулярный уход помогут сохранить здоровье десен и предотвратить развитие серьезных заболеваний.
Роль пародонтолога в комплексном лечении стоматологических заболеваний
Пародонтолог — это специалист, который занимается диагностикой, лечением и профилактикой заболеваний пародонта, то есть тканей, окружающих зубы, включая десны, костную ткань и связки. Роль пародонтолога в комплексном лечении стоматологических заболеваний крайне важна, так как здоровье пародонта напрямую влияет на общее состояние полости рта и здоровье всего организма.
Одной из основных задач пародонтолога является выявление и лечение заболеваний десен, таких как гингивит и пародонтит. Гингивит — это воспаление десен, которое может проявляться в виде покраснения, отека и кровоточивости. Если не лечить гингивит, он может перейти в более серьезное заболевание — пародонтит, которое приводит к разрушению костной ткани и потере зубов. Пародонтолог проводит тщательную диагностику, используя как визуальный осмотр, так и специальные методы, такие как рентгенография, для оценки состояния тканей.
Лечение заболеваний пародонта включает в себя как консервативные, так и хирургические методы. Консервативные методы могут включать профессиональную чистку зубов, использование антисептических растворов и противовоспалительных препаратов. В случае более серьезных поражений пародонтолог может рекомендовать хирургические вмешательства, такие как кюретаж, резекция десен или даже пересадка костной ткани. Эти процедуры направлены на восстановление здоровья тканей и предотвращение дальнейшего разрушения.
Кроме того, пародонтолог играет ключевую роль в профилактике заболеваний пародонта. Он обучает пациентов правильной гигиене полости рта, объясняет важность регулярных визитов к стоматологу и проведения профессиональной чистки зубов. Профилактика включает в себя также рекомендации по питанию и образу жизни, которые могут способствовать улучшению состояния десен и общего здоровья полости рта.
Работа пародонтолога не ограничивается только лечением заболеваний. Он также активно сотрудничает с другими специалистами в области стоматологии, такими как терапевты, ортодонты и имплантологи. Это сотрудничество позволяет обеспечить комплексный подход к лечению, где здоровье пародонта учитывается при планировании любых стоматологических вмешательств, включая установку коронок, мостов и имплантатов.
Таким образом, пародонтолог является незаменимым специалистом в области стоматологии, который не только лечит заболевания пародонта, но и способствует поддержанию общего здоровья полости рта. Его работа включает в себя диагностику, лечение, профилактику и сотрудничество с другими стоматологами, что делает его роль в комплексном лечении стоматологических заболеваний особенно значимой.




