Коронки из оксида циркония становятся популярным выбором для восстановления зубов благодаря прочности, эстетике и биосовместимости. В статье рассмотрим, что такое эти коронки, их преимущества и недостатки, а также процесс изготовления и установки. Вы найдете советы по уходу за изделиями и реальные отзывы пациентов, что поможет сделать информированный выбор при стоматологическом вмешательстве.
Что такое циркониевая коронка
Оксид циркония – это неорганическое соединение, которое в своем чистом виде представляет собой кристаллы. Этот материал уже давно завоевал популярность среди ювелиров, которые используют цирконий для создания искусственных алмазов.
Сегодня циркониевые коронки считаются самым безопасным и комфортным способом протезирования зубов, заменив традиционные варианты.
Совсем недавно на этом рынке доминировали металлокерамические коронки, которые, несмотря на свои недостатки, широко использовались для восстановления зубов.
В процессе восстановления применялись различные металлы и сплавы драгоценных металлов, которые не всегда были безопасными и могли вызывать аллергические реакции.
Керамика, которая до сих пор популярна, хоть и имела привлекательный внешний вид, отличалась излишней хрупкостью и имела множество противопоказаний.
Учитывая все предыдущие ошибки и недостатки, ученые разработали идеальное решение, подходящее даже для пациентов с повышенной чувствительностью иммунной системы – циркониевую коронку, которая используется для полного покрытия зуба, изменения его формы и цвета, а также устранения дефектов.
Многие стоматологи называют этот материал «белым золотом», так как он обладает теми же качествами, что и драгоценный металл, такими как прочность и надежность.
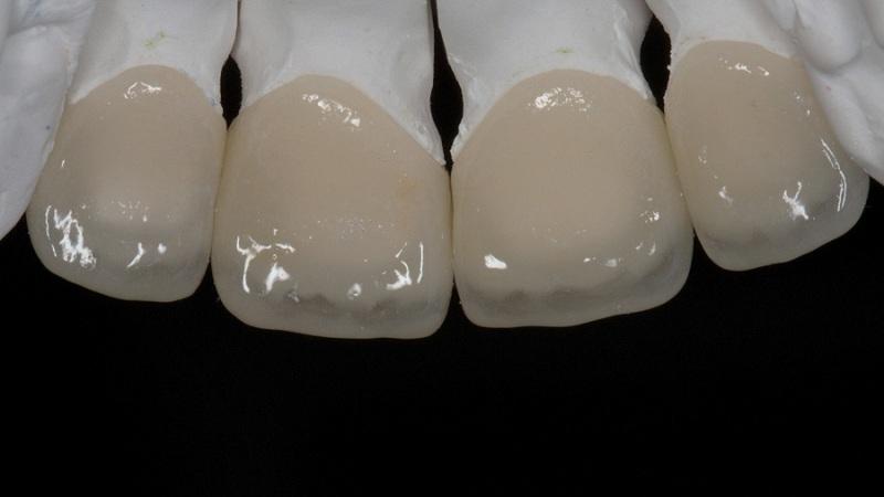
Диоксид циркония отличается высокой прочностью на изгиб и стойкостью к износу. Его эстетические характеристики позволяют обладателям наслаждаться красивой улыбкой с белоснежными зубами.
С помощью современных технологий теперь не стоит стесняться своей улыбки, так как проблемы, такие как отсутствие зубов и непривлекательный природный цвет, можно легко решить.
Врачи-стоматологи отмечают, что зубные коронки из оксида циркония становятся все более популярными благодаря своим уникальным свойствам. Они обладают высокой прочностью и устойчивостью к механическим повреждениям, что делает их идеальными для восстановления зубов, особенно в задней части челюсти. Кроме того, оксид циркония имеет естественный цвет, что позволяет добиться эстетически привлекательного результата, близкого к натуральным зубам.
Специалисты также подчеркивают, что такие коронки гипоаллергенны и не вызывают раздражения десен, что делает их безопасным выбором для пациентов с чувствительностью. Однако врачи рекомендуют проводить тщательную диагностику и консультации перед установкой, чтобы выбрать оптимальный вариант лечения для каждого конкретного случая. В целом, коронки из оксида циркония представляют собой современное решение, которое сочетает в себе долговечность и эстетичность.
https://youtube.com/watch?v=tpB1j7vCsrI
Преимущества циркониевых коронок
Элита среди материалов для протезирования и новинка в стоматологической практике обладает рядом значительных преимуществ:
- При установке протезов сохраняется естественный цвет десен, без характерного для металлокерамики синего ободка;
- Материал отличается эстетичностью и выглядит натурально при любом освещении, не меняя оттенка и сохраняя природную прозрачность;
- Цирконий полностью гипоаллергенен, что позволяет использовать его даже у людей с аллергиями;
- Его отличает низкая теплопроводность, что снижает чувствительность к горячим и холодным напиткам;
- Несмотря на свою высокую прочность, цирконий легко поддается реставрации, так как не содержит металлических соединений. Уникальность этого материала заключается в том, что он восстанавливает свою структуру на молекулярном уровне и не подвержен образованию микротрещин;
-
Коронка имеет минимальную толщину, что позволяет уменьшить объем обтачивания натуральных зубов.
-
При условии регулярной гигиены полости рта и ежегодных профилактических осмотров у стоматолога, коронки могут служить более 20 лет;
- Легкий материал создает минимальную нагрузку на десны и соседние зубы;
- Использование циркониевых коронок исключает неприятный металлический привкус, жжение, покалывание и дискомфорт;
- Коронки легко шлифуются для восстановления первоначального блеска.
Антибактериальный материал не является рассадником болезнетворных микробов и имеет естественный оттенок зубной эмали. Благодаря возможности достижения максимального прилегания, циркониевые коронки практически не отличаются от натуральных, красивых и ухоженных зубов.
| Характеристика | Описание | Преимущества | Недостатки |
|---|---|---|---|
| Материал | Диоксид циркония (ZrO2) — высокопрочная керамика, используемая в стоматологии. | Биосовместимость, высокая прочность, эстетичность. | Высокая стоимость, сложность обработки. |
| Применение | Одиночные коронки, мостовидные протезы, вкладки, накладки. | Восстановление сильно разрушенных зубов, замена отсутствующих зубов. | Не подходит для всех клинических случаев. |
| Эстетика | Естественный вид, полупрозрачность, возможность подбора цвета. | Идеально имитируют натуральные зубы, не вызывают аллергии. | Может быть слишком непрозрачным для передних зубов без специальной обработки. |
| Прочность | Высокая устойчивость к излому и истиранию. | Долговечность, надежность, устойчивость к сколам. | Может быть абразивным для противоположных зубов при неправильной окклюзии. |
| Биосовместимость | Не вызывает аллергических реакций и раздражения тканей. | Отсутствие металлического привкуса, безопасность для организма. | Нет. |
| Срок службы | В среднем 10-15 лет и более при правильном уходе. | Долгосрочное решение, экономия на повторных процедурах. | Зависит от гигиены полости рта и регулярных осмотров. |
| Стоимость | Выше, чем у металлокерамических коронок. | Инвестиция в долгосрочное здоровье и эстетику. | Может быть недоступна для некоторых пациентов. |
Перечень показаний
Циркониевые коронки практически не имеют ограничений по применению и могут быть установлены всем, кто сталкивается с проблемами зубов.
Коронки из современного материала помогут восстановить улыбку в следующих случаях:
- у пациента имеются сколы и трещины на зубах, вызванные травмами или механическими повреждениями;
- ранее проведенное протезирование оказалось неудачным, мосты износились, стерлись и требуют восстановления;
- есть желание изменить цвет зубов или скорректировать их форму;
- у пациента наблюдается аллергия на металлические компоненты;
- требуется установка большого моста без опоры.
Коронки из диоксида циркония не рекомендуется устанавливать в следующих ситуациях:
- пациент страдает бруксизмом (скрежет зубами и непроизвольное сжатие), который чаще всего проявляется во время сна. Сначала необходимо решить эту проблему, обратившись к специалисту;
- если высота зубного ряда недостаточна;
- глубокий прикус, который требует коррекции с помощью длительного ношения брекетов;
- протезирование запрещено проводить во время беременности;
- если в полости рта имеются воспалительные процессы, которые требуют лечения.
Если противопоказаний нет, каждый желающий может обрести идеальную улыбку.
https://youtube.com/watch?v=i7ZzGL6Cv7g
Метод изготовления и установка
Коронки из оксида циркония производятся с использованием компьютерных технологий, которые обеспечивают высокую точность в размерах, формах и цветовых оттенках.
После снятия оттиска выполняется лазерное сканирование, а затем создается модель на фрезерном станке. Применение цифровых методов позволяет избежать даже незначительных погрешностей и обеспечивает идеальное прилегание к естественным зубам.
Чтобы слепок стал достаточно прочным, его обжигают в печи, после чего наносят базовую керамическую массу и окрашивают в выбранный цвет. Затем следует еще один этап обжига при высоких температурах, который закрепляет все нанесенные материалы.
Процесс изготовления коронок полностью автоматизирован, что минимизирует вероятность ошибок и неточностей. Сроки протезирования сокращены до двух недель.
Перед тем как запланировать установку циркониевых коронок, необходимо провести лечение зубов, а также удалить и обточить их.
Когда коронки готовы, специалист выполняет установку:
- снимает слепок с силиконовых челюстей;
- примеряет протез для достижения идеального прилегания. Если оно отсутствует, слепок отправляется в лабораторию для доработки;
- наносит высокопрочный цемент, фиксирует коронку и проверяет правильность прилегания.
Сам процесс установки несложен, но может занять от 30 минут до 2 часов.
Как ухаживать за коронками
Уход за новыми зубами не требует сложных действий, кроме стандартных гигиенических процедур.
Важно понимать, что чем более внимательным будет уход, тем дольше прослужит коронка и тем привлекательнее она будет выглядеть.
Основные рекомендации, которые следует помнить:
- чистите зубы дважды в день, используя специальную зубную пасту без абразивных частиц и щетку средней жесткости;
- после еды рекомендуется применять ополаскиватели, зубную нить или ершик для тщательной очистки межзубных промежутков;
- не проверяйте прочность коронок, пытаясь разгрызть орехи, лед или твердые конфеты. Такие действия могут нанести вред как искусственным, так и натуральным зубам.
Не забывайте дважды в год посещать своего стоматолога, который сможет оценить состояние зубов, лечить натуральные и давать полезные рекомендации.
Некоторые пациенты сообщали о легком дискомфорте в первые дни после установки, что вполне нормально, так как челюсти нуждаются во времени для адаптации к новой нагрузке.
Если дискомфорт не проходит в течение месяца и появляется чувствительность зубов, рекомендуется обратиться к стоматологу для консультации.
Цирконий или металлокерамика – что лучше
Перед теми, кто собирается установить новые коронки, неизменно встает вопрос: существуют ли более бюджетные варианты, и стоит ли инвестировать в новейшие технологии, которые только начинают завоевывать стоматологический рынок?
На этот вопрос можно ответить, рассмотрев ключевые особенности, которые подчеркивают преимущества циркониевых коронок по сравнению с металлокерамическими:
- Цирконий безопасен для организма и не вызывает побочных эффектов, в отличие от металлокерамики, содержащей металлические сплавы.
-
Металлокерамические коронки не пропускают свет, что делает их менее естественными по сравнению с настоящими зубами. Такие коронки заметно выделяются на фоне здоровых зубов и выглядят неестественно.
-
Керамические коронки имеют большую плотность, что требует от стоматолога значительного обтачивания зубов, в то время как циркониевые имеют толщину всего 0.4 мм.
- Срок службы металлокерамики составляет в среднем 10 лет, тогда как коронки из оксида циркония могут служить более 20 лет.
- Поскольку цирконий не является металлом, он не подвержен окислению, что предотвращает изменение цвета десен в синий оттенок, что часто происходит после установки металлокерамических коронок.
- Коронки из циркония изготавливаются с использованием современных технологий, что исключает вероятность ошибок. В то время как металлокерамика создается вручную, что часто приводит к необходимости коррекции слепков и ожиданию следующего визита к стоматологу.
Таким образом, подводя итог, можно сказать, что хотя коронки из циркония имеют более высокую цену, они полностью оправдывают свои затраты и позволяют забыть о стоматологических проблемах на более длительный срок, чем их более дешевые аналоги.
Выбор стоматологической клиники для протезирования зубов требует серьезного подхода, так как сама процедура требует значительных временных, физических и финансовых затрат.
Среди множества зуботехнических лабораторий лучше всего выбирать те, которые зарекомендовали себя как профессионалы и получили положительные отзывы от пациентов.
https://youtube.com/watch?v=GICgleBZwGg
Стоимость циркониевых коронок
Стоимость зубных коронок из оксида циркония может варьироваться в зависимости от множества факторов, включая регион, клинику, квалификацию стоматолога и сложность конкретного случая. В среднем, цена на одну коронку из циркония колеблется от 15 000 до 30 000 рублей в России. Однако в крупных городах, таких как Москва и Санкт-Петербург, стоимость может достигать 40 000 рублей и выше.
Одним из основных факторов, влияющих на цену, является качество используемых материалов. Коронки из высококачественного оксида циркония, произведенные известными брендами, будут стоить дороже, чем изделия менее известных производителей. Также стоит учитывать, что некоторые клиники предлагают услуги по индивидуальному изготовлению коронок, что может увеличить стоимость из-за дополнительных затрат на лабораторные работы.
Кроме того, цена может зависеть от сложности процедуры. Если требуется предварительное лечение зуба, например, удаление нерва или лечение кариеса, это также увеличит общую стоимость. Важно отметить, что в некоторых случаях может потребоваться установка нескольких коронок, что также повлияет на итоговую сумму.
Не стоит забывать о том, что многие стоматологические клиники предлагают различные программы рассрочки или кредитования, что может сделать лечение более доступным. Также стоит обратить внимание на наличие акций и скидок, которые могут существенно снизить стоимость коронок.
При выборе клиники и стоматолога важно не только ориентироваться на цену, но и учитывать репутацию специалиста, отзывы пациентов и уровень сервиса. Качественная работа и использование современных технологий могут значительно повысить срок службы коронок и их эстетические качества, что в конечном итоге оправдает вложенные средства.
Сравнение с другими материалами для коронок
Зубные коронки из оксида циркония становятся все более популярными в стоматологии благодаря своим уникальным свойствам и преимуществам по сравнению с другими материалами. В этом разделе мы рассмотрим, как коронки из оксида циркония соотносятся с традиционными материалами, такими как металл, фарфор и композитные материалы.
1. Эстетика
Коронки из оксида циркония обладают высокой эстетикой благодаря своей прозрачности и способности имитировать натуральный зуб. В отличие от металлических коронок, которые могут иметь темный оттенок, оксид циркония позволяет добиться более естественного внешнего вида. Фарфоровые коронки также обеспечивают хорошую эстетику, но могут быть менее прочными, чем оксид циркония.
2. Прочность и долговечность
Оксид циркония известен своей высокой прочностью и устойчивостью к износу. Он значительно прочнее фарфора и композитных материалов, что делает его идеальным выбором для коронок на задних зубах, где нагрузка на жевательные поверхности велика. Металлические коронки, хотя и прочные, могут быть менее эстетичными и вызывать аллергические реакции у некоторых пациентов.
3. Биосовместимость
Оксид циркония является высоко биосовместимым материалом, что означает, что он не вызывает аллергических реакций и хорошо переносится организмом. Это делает его предпочтительным выбором для пациентов с чувствительными деснами или аллергиями на металлы. В отличие от этого, некоторые металлические коронки могут вызывать воспаление или аллергические реакции у определенных пациентов.
4. Устойчивость к окрашиванию
Коронки из оксида циркония менее подвержены окрашиванию по сравнению с композитными и фарфоровыми коронками. Это связано с тем, что оксид циркония не пористый и не впитывает красящие вещества из пищи и напитков, что позволяет сохранить их первоначальный цвет на протяжении долгого времени.
5. Процесс установки
Установка коронок из оксида циркония требует более сложного и точного процесса, чем установка металлических коронок. Однако современные технологии, такие как CAD/CAM, значительно упрощают этот процесс, позволяя стоматологам создавать коронки с высокой точностью и минимальным вмешательством. В то же время, установка фарфоровых и композитных коронок может быть менее трудоемкой, но они могут требовать более частой замены из-за износа.
6. Стоимость
Коронки из оксида циркония, как правило, стоят дороже, чем металлические коронки, но их долговечность и эстетические качества могут оправдать более высокую цену. Фарфоровые и композитные коронки могут быть более доступными, но их срок службы может быть короче, что в конечном итоге может привести к дополнительным затратам на замену.
В заключение, коронки из оксида циркония представляют собой отличный выбор для пациентов, которые ищут сочетание эстетики, прочности и биосовместимости. Хотя они могут быть дороже, их преимущества делают их привлекательным вариантом для многих стоматологических случаев.
Отзывы пациентов и стоматологов
Отзывы пациентов о зубных коронках из оксида циркония в целом положительные, что связано с их высокими эстетическими и функциональными характеристиками. Многие пациенты отмечают, что коронки из оксида циркония выглядят очень естественно, что позволяет им не стесняться своей улыбки. Благодаря своей прозрачности и способности отражать свет, эти коронки максимально имитируют натуральные зубы, что особенно важно для передних зубов.
Стоматологи также высоко оценивают оксид циркония за его прочность и долговечность. Коронки из этого материала не подвержены разрушению и износу, что делает их отличным выбором для пациентов с высокой жевательной нагрузкой. Кроме того, оксид циркония не вызывает аллергических реакций, что делает его безопасным для большинства пациентов.
Некоторые пациенты отмечают, что процесс установки коронок может занять больше времени по сравнению с традиционными металлическими коронками, так как требуется более тщательная подготовка и индивидуальный подход к каждому случаю. Однако большинство согласны с тем, что результат стоит затраченных усилий.
Стоматологи подчеркивают важность выбора квалифицированного специалиста для установки коронок из оксида циркония. Правильная подготовка зуба и точное изготовление коронки могут существенно повлиять на конечный результат. Важно, чтобы стоматолог имел опыт работы с этим материалом и использовал современное оборудование для достижения наилучших результатов.
Некоторые отзывы пациентов касаются стоимости коронок из оксида циркония, которая может быть выше, чем у традиционных коронок. Однако многие считают, что инвестиции оправданы, учитывая долговечность и эстетические качества материала. Пациенты также отмечают, что коронки из оксида циркония требуют минимального ухода и не требуют частой замены, что в долгосрочной перспективе может сэкономить деньги.
В целом, отзывы пациентов подтверждают, что зубные коронки из оксида циркония являются отличным выбором для тех, кто ищет сочетание эстетики, прочности и безопасности. Они становятся все более популярными в стоматологической практике, и многие пациенты довольны результатами их использования.




