Глубокий кариес зубов — серьезное стоматологическое заболевание, способное вызвать осложнения при отсутствии своевременной диагностики и лечения. В статье рассмотрим основные симптомы и причины глубокого кариеса, а также отличия от острого пульпита, что поможет лучше понять свое состояние. Обсудим эффективные методы терапии, чтобы вы могли принять обоснованное решение о лечении и сохранить здоровье зубов.
Что такое глубокий кариес
В данной статье мы обсудим причины возникновения заболевания, возможные осложнения и методы его лечения.
Данная патология представляет собой последнюю, наиболее запущенную стадию разрушения зуба. Твердые ткани зуба подвергаются значительному повреждению, которое затрагивает и внутренние слои дентина. Согласно международной классификации болезней (МКБ-10), глубокий кариес определяется как поражение дентина.
Клинические проявления заболевания включают образование глубокой полости внутри зуба, что приводит к разрушению коронки, дискомфорту, повышенной чувствительности эмали на тактильные, термические и химические раздражители, а также к острой или ноющей боли.
Лечение глубокого кариеса начинается с диагностики в стоматологической клинике. Этот процесс включает визуальный осмотр пациента стоматологом, сбор анамнеза, зондирование полости и некротических тканей, а также электро- и термодиагностику, рентгенографию.
Визуальная диагностика является стандартной практикой в каждой стоматологической клинике и включает использование специального зонда и стоматологического зеркала. При зондировании важными параметрами являются глубина поражения зуба, степень разрушения, структура и твердость затронутых тканей, а также состояние дентина. Визуальный осмотр при данном заболевании может быть довольно неприятным, так как полость может достигать области пульпы (нерва), что вызывает болезненные ощущения или даже кровоточивость.
Электродиагностика (ЭОД) при глубоком кариесе позволяет точно оценить состояние и степень повреждения мягких и твердых тканей. Специалист применяет слабые электрические импульсы, чтобы оценить нормальную или патологическую реакцию зуба.
Рентгенография помогает выявить участки поражения, которые не видны при обычном осмотре. В современной стоматологии все чаще используется контактный рентгеновский снимок, который предоставляет информацию о конкретном зубе или нескольких зубах. Такие точные данные позволяют использовать визиографы. После получения снимка можно увеличить пораженную область, что помогает точно определить глубину распространения заболевания. Рентгеновские лучи эффективно проходят через поврежденные участки, отображая их на снимке в виде затемненных областей.
Врачи-стоматологи единодушны в том, что лечение глубокого кариеса требует комплексного подхода и внимательного отношения к состоянию зуба. При запущенной форме кариеса, когда поражение достигает пульпы, важно не только удалить пораженные ткани, но и сохранить зуб. Врачам рекомендуется проводить эндодонтическое лечение, которое включает в себя удаление воспаленной пульпы и последующее пломбирование корневых каналов.
Кроме того, стоматологи подчеркивают важность профилактики и регулярных осмотров, чтобы предотвратить развитие кариеса на ранних стадиях. Современные методы, такие как лазерная терапия и использование биоматериалов, позволяют минимизировать дискомфорт и ускорить процесс восстановления. Врачи также акцентируют внимание на необходимости индивидуального подхода к каждому пациенту, учитывая его общее состояние здоровья и особенности зубочелюстной системы.
https://youtube.com/watch?v=zzb2BbERUcE
Причины заболевания
Глубокий кариес (с латинского «caries profunda») может развиваться быстро или быть результатом недостаточного лечения ранее образовавшейся полости, а также прогрессирования заболевания. Часто это поражение возникает под уже установленной пломбой или в случае ее повреждения (скола, крошения, естественного износа).
Заболевание развивается по аналогии с обычным кариесом. Неправильная или некачественная гигиена полости рта приводит к тому, что остатки углеводов и пищи начинают бродить и разлагаться. В результате этого процесса выделяются органические кислоты (например, молочная), которые разрушают поверхность эмали. В образовавшиеся микротрещины проникает патогенная микрофлора (кариозные бактерии), которая начинает активно размножаться. Продукты жизнедеятельности этих бактерий приводят к вымыванию солей кальция из дентина, что вызывает его размягчение, нарушение целостности и прочности коронки, что, в свою очередь, приводит к глубокому кариесу.
Бактерии также находятся в значительном количестве в мягком белесом налете и темном камне, который часто образуется между зубами, в десневых карманах и на поверхности эмали, включая фиссуры.
Именно поэтому одной из главных причин развития этой патологии является несвоевременное удаление микробного налета из ротовой полости.
Другой причиной может быть природная структура слюны, ее баланс, объем выделения, а также реминерализирующие, буферные и защитные свойства. Изменения в составе слюны, вызванные заболеваниями, гормональными изменениями, нарушениями обмена веществ или наследственными факторами, могут усугубить кариозные процессы на эмали.
Генетическая предрасположенность, сбои в минеральном, белковом или углеводном обмене, а также повреждения твердых тканей из-за ударов, падений или ушибов также могут способствовать прогрессированию заболевания.
Существуют и бытовые факторы, способствующие развитию кариеса: плохое качество воды, неправильно составленный рацион, недостаток микроэлементов (фосфор, фтор, кальций).
Иногда состояние зубов может значительно ухудшиться в период прорезывания или смены зубов. В это время эмаль особенно тонкая и неокрепшая, что делает ее более уязвимой к воздействию болезнетворных микроорганизмов.
| Метод лечения | Описание | Преимущества | Недостатки |
|---|---|---|---|
| Прямая реставрация (пломбирование) | Удаление пораженных тканей и заполнение полости композитным материалом или амальгамой непосредственно в полости рта. | Относительно быстро, менее инвазивно, сохраняет большую часть зуба. | Может быть недостаточно прочным для больших полостей, эстетика амальгамы ниже, риск повторного кариеса при некачественной установке. |
| Непрямая реставрация (вкладки/накладки) | Изготовление индивидуальной вкладки (инлей) или накладки (онлей) в зуботехнической лаборатории по оттиску, затем фиксация на зуб. | Высокая прочность и долговечность, точное прилегание, хорошая эстетика (особенно керамические). | Требует двух посещений, дороже прямой реставрации, более инвазивно, чем пломбирование. |
| Лечение корневых каналов (эндодонтия) | Удаление инфицированной пульпы из корневых каналов, очистка, формирование и пломбирование каналов, затем восстановление коронковой части зуба. | Сохраняет зуб, предотвращает распространение инфекции, устраняет боль. | Требует нескольких посещений, может быть дорогостоящим, зуб становится более хрупким, риск осложнений (например, перелом инструмента). |
| Удаление зуба (экстракция) | Полное удаление зуба из альвеолы. | Быстрое устранение источника инфекции и боли, если другие методы невозможны. | Потеря зуба, необходимость в дальнейшем протезировании (имплантация, мост), изменение прикуса, атрофия костной ткани. |
| Биологические методы (пульпотомия, прямое/непрямое покрытие пульпы) | Сохранение жизнеспособности пульпы путем удаления только инфицированной части или покрытия ее специальными материалами. | Сохранение жизнеспособности пульпы, естественная защита зуба. | Не всегда эффективны при глубоком кариесе с необратимым пульпитом, риск неудачи и необходимости последующего эндодонтического лечения. |
Как проявляется заболевание
Для диагностики глубокого кариеса важно обратить внимание на его симптомы.
Пациенты обычно приходят на прием с жалобами на резкую, тупую или ноющую боль, которая локализуется в области одного зуба и может отдавать в разные части челюсти. Также возникает повышенная чувствительность эмали, что вызывает дискомфорт и болезненные ощущения при употреблении кислых и острых продуктов, а также холодных или горячих блюд. Неприятные ощущения могут возникать и во время обычной гигиены в пораженной области. Кроме того, дискомфорт ощущается при жевании, кусании пищи, попадании остатков еды в кариозную полость, а также при прикосновении к зубу (прощупывании, постукивании, натирании языком и т.д.).
Как правило, все перечисленные ощущения возникают только при воздействии раздражителей и длятся не более 5-20 минут. Если же боль продолжается в течение всего дня, это может свидетельствовать о развитии пульпита. Глубокий кариес зубов отличается от острого пульпита тем, что эти заболевания поражают разные ткани зуба. Кариес разрушает твердые ткани коронки и, реже, мягкие ткани дентина, тогда как пульпит затрагивает нерв, что приводит к острой и продолжительной боли, кровоточивости и расшатыванию зуба. Сложные формы кариеса часто приводят к пульпиту.
Также одним из симптомов заболевания является резкий неприятный запах изо рта, что связано с процессами разложения и гниения тканей.
Интересно, что поражение может годами развиваться под внешне нормальной пломбой. В течение этого времени заболевание может протекать бессимптомно, постепенно разрушая дентин вплоть до пульпы. В какой-то момент пломба может неожиданно выпасть или отколоться.
Если после лечения глубокого кариеса зуб продолжает болеть, это может указывать на повторное развитие заболевания под новой пломбой. Это свидетельствует о некомпетентности стоматолога, который обязан бесплатно устранить проблему и установить более надежную пломбу.
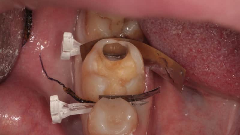
При визуальном осмотре поврежденной области можно заметить глубокую полость, покрытую некротическими черными и темными тканями, остатками разложения и следами микробной активности. Часто на таких зубах образуется темный камень и плотный желтый налет.
https://youtube.com/watch?v=oWslcQaqFrI
Эффективное лечение
Лечение глубокого кариеса у детей и взрослых, как правило, схоже и требует нескольких визитов к стоматологу.
При этом заболевании в зубе остается небольшая часть здорового дентина. Бактерии и микробы могут проникать вглубь этой области, что может привести к продолжению поражения на уровне пульпы, если зуб не будет должным образом обработан и просто запломбирован. Рекомендуется проводить лечение в два этапа: сначала выполняется депульпация и пломбирование каналов, а затем формируется коронка из пломбировочного материала.
Процесс выглядит достаточно просто: стоматолог удаляет все гнилостные ткани и пораженные участки, закладывает в полость специальное лекарство и накладывает временную пломбу. Если после процедуры зуб не беспокоит, можно заменить временную пломбу на постоянную.
Если после лечения глубокого кариеса зуб продолжает болеть, это может означать, что инфекция достигла пульпы, и необходимо удалить нерв и провести лечение корневых каналов.
В стоматологии применяются различные препараты, которые эффективно борются с этой проблемой.
Наиболее распространенными и действенными считаются средства на основе гидроксида кальция. Они могут быть представлены в виде стоматологических паст, композитов, суспензий, порошков, гелей и лаков. Лекарство вводится в кариозную полость, и его активные компоненты проникают через истонченный дентин к пульпе. Если дентин отсутствует, препарат помещается в открытую камеру пульпы, которая может немного кровоточить и вызывать дискомфорт.
Этот препарат обладает дезинфицирующим и противовоспалительным действием, способствует образованию нового дентина и его уплотнению. Кроме того, гидроксид кальция предотвращает проникновение бактерий в полость.
Кроме этого препарата, используются и лечебные прокладки от отечественных и зарубежных производителей.
Этапы лечения глубокого кариеса:
- Сначала медсестра или врач проводит местное обезболивание с помощью инъекции Ультракаина (это наиболее распространенный вариант). Затем необходимо подождать 5-10 минут, чтобы анестетик подействовал и зубы и мягкие ткани стали достаточно замороженными для процедуры.
- С помощью зонда и зеркала стоматолог определяет степень поражения кариесом и обсуждает с пациентом дальнейшие шаги (возможность разбить лечение на несколько этапов, вид реставрации зуба и т.д.).
- Далее удаляются некротические и кариозные мягкие и твердые ткани зуба. Полость тщательно очищается и обрабатывается с помощью стоматологических инструментов.
- Затем врач накладывает лечебную прокладку на дно полости, чтобы предотвратить возможные осложнения (например, пульпит). Прокладка изготавливается из кальциевого концентрата и обладает дезинфицирующим эффектом.
- После лечебной прокладки устанавливается изолирующая, которая надежно фиксирует первую на дне зуба. Изолирующая прокладка защищает лечебную от контакта с пломбировочным материалом, который затвердевает под УФ-лампой.
- На заключительном этапе врач решает, какую пломбу установить: временную или постоянную. Если лечение проходит в два этапа (например, была вскрыта камера пульпы, дентин отсутствует или истончен, пациент жалуется на сильные боли, и заболевание переходит в пульпит), то врач накладывает временную пломбу.
> Если пациент испытывает лишь легкий дискомфорт, а слой дентина надежно защищает пульповую камеру, скорее всего, стоматолог установит постоянную пломбу сразу поверх изолирующей прокладки.
Кариес требует своевременного и эффективного лечения, иначе существует риск серьезных осложнений, которые сложнее и болезненнее лечить, а также они могут обойтись вам значительно дороже.
https://youtube.com/watch?v=9EDInGThnN4
Профилактика глубокого кариеса
Зубов является важным аспектом стоматологического здоровья, так как предотвращение этого заболевания значительно снижает риск возникновения осложнений и необходимости в более сложном лечении. Основные методы профилактики можно разделить на несколько категорий: гигиенические, диетические и профессиональные.
Гигиенические меры включают в себя регулярную и правильную чистку зубов. Рекомендуется чистить зубы дважды в день с использованием фторсодержащей зубной пасты. Фтор помогает укрепить эмаль и делает зубы более устойчивыми к кариесу. Также важно использовать зубную нить или межзубные щетки для удаления налета и остатков пищи из труднодоступных мест.
Кроме того, регулярные визиты к стоматологу для профессиональной чистки зубов и осмотра состояния полости рта играют ключевую роль в профилактике. Стоматолог может выявить ранние признаки кариеса и предложить меры по его предотвращению, такие как фторирование или герметизация фиссур.
Диетические рекомендации также имеют большое значение. Ограничение потребления сахара и углеводов, особенно в виде сладостей и газированных напитков, помогает снизить риск развития кариеса. Сахар является основным питательным веществом для бактерий, вызывающих кариес, поэтому его минимизация в рационе может значительно снизить вероятность заболевания. Вместо сладостей рекомендуется употреблять фрукты, овощи и молочные продукты, которые способствуют укреплению зубной эмали.
Важно также следить за уровнем потребления кислых продуктов и напитков, так как они могут способствовать эрозии эмали. После употребления кислых продуктов рекомендуется прополоскать рот водой или использовать жевательную резинку без сахара для стимуляции слюноотделения, что помогает нейтрализовать кислоту.
Профессиональные методы профилактики включают в себя фторирование и герметизацию фиссур. Фторирование – это процесс нанесения фторсодержащих препаратов на зубы, что помогает укрепить эмаль и сделать зубы более устойчивыми к кариесу. Герметизация фиссур – это процедура, при которой специальные материалы наносятся на глубокие бороздки жевательных зубов, что предотвращает накопление налета и бактерий в этих труднодоступных местах.
В заключение, профилактика зубов требует комплексного подхода, включающего в себя регулярную гигиену, правильное питание и профессиональную стоматологическую помощь. Соблюдение этих рекомендаций поможет сохранить здоровье зубов и предотвратить развитие кариеса на ранних стадиях.
Рекомендации по уходу за зубами
Уход за зубами является важной частью профилактики заболеваний полости рта, включая глубокий кариес. Правильная гигиена зубов помогает предотвратить развитие кариеса и других стоматологических проблем. Вот несколько рекомендаций, которые помогут поддерживать здоровье зубов и десен.
1. Регулярная чистка зубов: Чистите зубы дважды в день, используя фторсодержащую зубную пасту. Это помогает удалить налет и остатки пищи, а также укрепляет эмаль зубов. Не забывайте чистить зубы не менее двух минут, уделяя внимание каждому участку рта.
2. Использование зубной нити: Зубная нить помогает удалить налет и остатки пищи из межзубных пространств, куда не может добраться зубная щетка. Рекомендуется использовать зубную нить хотя бы раз в день, чтобы предотвратить образование кариеса и заболеваний десен.
3. Полоскание рта: Использование антисептических ополаскивателей для рта может помочь в борьбе с бактериями и освежить дыхание. Выбирайте ополаскиватели, содержащие фтор, чтобы дополнительно защитить зубы.
4. Ограничение потребления сахара: Сахар является основным источником питания для бактерий, вызывающих кариес. Старайтесь ограничить потребление сладостей и газированных напитков, а также избегайте частого перекуса между основными приемами пищи.
5. Регулярные визиты к стоматологу: Профилактические осмотры у стоматолога должны проводиться не реже двух раз в год. Это поможет выявить проблемы на ранних стадиях и предотвратить развитие глубокого кариеса. Стоматолог также может провести профессиональную чистку зубов, удаляя налет и зубной камень.
6. Правильное питание: Сбалансированное питание, богатое витаминами и минералами, способствует укреплению зубов и десен. Включайте в рацион продукты, содержащие кальций (молочные продукты, зеленые овощи), фосфор (рыба, мясо) и витамины (фрукты, овощи).
7. Избегание вредных привычек: Курение и жевание табака негативно сказываются на здоровье зубов и десен. Эти привычки могут способствовать развитию кариеса и другим стоматологическим заболеваниям, поэтому их следует избегать.
Следуя этим рекомендациям, вы сможете значительно снизить риск развития глубокого кариеса и сохранить здоровье своих зубов на долгие годы.
Современные методы диагностики
Глубокий кариес зубов играет ключевую роль в своевременном выявлении и лечении этого распространенного стоматологического заболевания. Правильная диагностика позволяет не только определить наличие кариеса, но и оценить его стадию, что, в свою очередь, влияет на выбор метода лечения.
Одним из основных методов диагностики является визуальный осмотр. Стоматолог оценивает состояние зубов, обращая внимание на изменения цвета эмали, наличие пятен и разрушений. Однако этот метод имеет свои ограничения, так как не всегда позволяет выявить кариес на ранних стадиях, особенно если он локализован в труднодоступных местах.
Для более точной диагностики используются рентгенологические исследования. Рентгенография позволяет увидеть состояние зубов и окружающих тканей, выявить скрытые кариозные полости и оценить степень разрушения зуба. Современные цифровые рентгеновские аппараты обеспечивают высокое качество изображения и минимальную радиационную нагрузку на пациента.
Кроме того, в последние годы активно применяются методы лазерной диагностики. Лазерные устройства способны обнаруживать кариес на ранних стадиях, основываясь на изменениях в отражении света от зубной ткани. Этот метод является безболезненным и неинвазивным, что делает его особенно привлекательным для пациентов.
Также стоит отметить использование специальных индикаторных красителей, которые наносятся на зубы и позволяют визуализировать кариозные участки. Эти красители проникают в пораженные ткани, окрашивая их в яркий цвет, что облегчает задачу стоматолога при осмотре.
В некоторых случаях может быть рекомендовано использование компьютерной томографии (КТ) для более детального изучения состояния зубов и челюстей. Этот метод позволяет получить трехмерное изображение, что особенно полезно при сложных случаях, когда необходимо оценить состояние корней зубов и окружающих тканей.
Таким образом, современные методы диагностики глубокого кариеса зубов обеспечивают высокую точность и эффективность в выявлении заболевания. Своевременное обращение к стоматологу и использование современных технологий позволяют предотвратить развитие осложнений и сохранить здоровье зубов на долгие годы.



