Пародонтоз — хроническое заболевание десен, способное вызвать серьезные проблемы с зубами и деснами без своевременного лечения. В статье рассмотрим эффективные методы лечения пародонтоза в домашних условиях, включая упражнения для укрепления десен и рекомендации по препаратам для полоскания ротовой полости. Эти методы помогут улучшить состояние десен и предотвратить дальнейшее развитие заболевания, сохранив здоровье вашей улыбки.
Что собой представляет заболевание
Недостаточный или неправильный уход за полостью рта не всегда становится причиной пародонтоза, поэтому даже у людей с идеально белыми зубами могут внезапно появиться симптомы этого заболевания. Пародонтоз может развиваться быстро и непредсказуемо, что является одной из его характерных черт. Поэтому важно не только заниматься профилактикой, но и регулярно посещать стоматолога для плановых осмотров.
Можно ли лечить пародонтоз самостоятельно и как это сделать в домашних условиях?
Вряд ли удастся добиться значительных результатов в домашних условиях, даже на ранних стадиях заболевания. Однако можно предпринять все возможные меры для профилактики и создания благоприятных условий для действия назначенных врачом средств.
Таким образом, лечение пародонтоза с использованием домашних средств должно рассматриваться как дополнение к рекомендациям врача. Применение сильнодействующих препаратов без назначения врача строго запрещено. Это может привести не только к аллергическим реакциям, но и к более серьезным осложнениям. Временные улучшения могут обернуться проблемами в будущем. Неправильная дозировка может вызвать мутацию микроорганизмов, и если они станут устойчивыми к лекарствам, процесс лечения может затянуться.
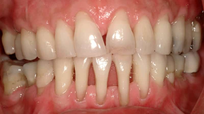
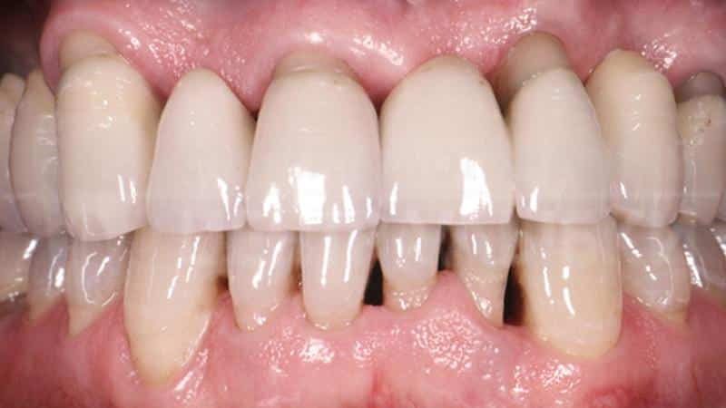
Среди признаков пародонтоза можно выделить неприятный запах изо рта и кровоточивость десен. Даже при легком прикосновении к деснам они могут начать сильно кровоточить. При появлении таких симптомов стоит незамедлительно обратиться к специалисту.
В группу риска входят люди, страдающие следующими заболеваниями:
- псориазом;
- диабетом;
- артритом;
- заболеваниями щитовидной железы.
Также не стоит забывать о наследственной предрасположенности.
В итоге, полностью вылечить пародонтоз в домашних условиях не получится, но можно поддерживать те меры, которые назначил врач. Основную помощь окажет только стоматолог, который разработает детальный и обоснованный план лечения.
Врачи отмечают, что лечение пародонтоза в домашних условиях требует комплексного подхода и соблюдения определенных рекомендаций. Прежде всего, важно поддерживать гигиену полости рта: регулярная чистка зубов с использованием зубной пасты, содержащей фтор, а также применение зубной нити и ополаскивателей помогут снизить воспаление десен. Специалисты советуют включить в рацион продукты, богатые витаминами C и D, которые способствуют укреплению десен. Также полезно использовать натуральные антисептики, такие как настойка календулы или чайное дерево, для полоскания рта. Однако врачи подчеркивают, что домашние методы не заменяют профессионального лечения, и при ухудшении состояния необходимо обратиться к стоматологу для получения квалифицированной помощи.
https://youtube.com/watch?v=Keq2KfimSJc
Диета и изменение правил питания
При пародонтозе основная угроза заключается в поражении костной ткани. Поэтому лечение этого заболевания в домашних условиях должно быть сосредоточено на укреплении зубов и десен. Все методы, используемые для терапии, также могут служить профилактическими мерами.
Прежде всего, следует обратить внимание на питание, что является логичным шагом.
Принципы здорового питания должны быть тщательно изучены и внедрены в повседневную жизнь. Сладости, по возможности, следует исключить из рациона, хотя бы на время, а лучше навсегда. Необходимо избегать шоколада, печенья, карамели, конфет и газированных напитков с сахаром. Употребление этих продуктов создает благоприятные условия для размножения вредных бактерий в ротовой полости. Кроме того, не всегда удается почистить зубы сразу после еды, и полноценное полоскание не всегда возможно.
Если же возникает сильное желание поесть что-то сладкое, лучше выбирать низкокалорийные варианты, такие как зефир или пастила, и после их употребления тщательно полоскать рот.
В рацион стоит включить свежие овощи и сезонные фрукты. Однако следует помнить, что во фруктах также содержится много сахара. Особенно крепкие яблоки и груши могут повредить десны. Лучше отдавать предпочтение натуральным продуктам, богатым клетчаткой. Белок можно получать из молочных продуктов, таких как творог и сметана. Также полезно готовить блюда из рыбы и морепродуктов, которые содержат множество микроэлементов и фосфор. Мясо лучше ограничить, так как его волокна могут застревать между зубами. Каждый день необходимо пить достаточное количество воды или чая, что способствует формированию здоровой микрофлоры в ротовой полости.
| Метод лечения | Описание | Важные замечания |
|---|---|---|
| Полоскания с солью | Растворите 1 чайную ложку морской соли в стакане теплой воды. Полощите рот 2-3 раза в день после еды. | Соль обладает антисептическими свойствами, помогает уменьшить воспаление и уничтожить бактерии. Не глотать раствор. |
| Отвары трав (ромашка, шалфей, кора дуба) | Заварите 1 столовую ложку сухой травы в стакане кипятка, дайте настояться 15-20 минут, процедите. Полощите рот 3-4 раза в день. | Ромашка и шалфей обладают противовоспалительным и антисептическим действием. Кора дуба укрепляет десны. Используйте теплый отвар. |
| Массаж десен | Чистыми пальцами или мягкой зубной щеткой аккуратно массируйте десны круговыми движениями в течение 2-3 минут. | Улучшает кровообращение в деснах, способствует их укреплению. Можно использовать небольшое количество оливкового или кокосового масла. |
| Использование зубной нити и ирригатора | Регулярно используйте зубную нить для удаления остатков пищи и налета между зубами. Ирригатор помогает вымывать бактерии из пародонтальных карманов. | Эти средства помогают поддерживать гигиену полости рта и предотвращать скопление бактерий. Ирригатор использовать с осторожностью, начиная с минимального напора. |
| Правильное питание | Включите в рацион продукты, богатые витаминами С и D, кальцием (цитрусовые, ягоды, молочные продукты, рыба, зелень). | Витамины и минералы необходимы для здоровья десен и костной ткани. Избегайте избытка сахара и рафинированных углеводов. |
| Отказ от курения | Курение значительно ухудшает состояние десен и замедляет процесс заживления. | Отказ от курения является одним из ключевых шагов в лечении пародонтоза. |
| Регулярная и правильная чистка зубов | Чистите зубы не менее двух раз в день в течение 2-3 минут, используя мягкую зубную щетку и фторсодержащую пасту. | Удаляет зубной налет и предотвращает образование зубного камня. Важна правильная техника чистки, чтобы не травмировать десны. |
Изменение правил ухода
Для укрепления зубов можно выполнять простые упражнения, которые легко осуществить в домашних условиях. Например, возьмите небольшие веточки из мягких пород деревьев, предпочтительно из дуба или хвойных, таких как ель. Веточку следует тщательно очистить, чтобы она превратилась в палочку. Затем поместите ее в рот и периодически покусывайте. Спустя несколько дней усложните упражнение, попеременно двигая челюстями и зажимая палочку передними зубами. Важно помнить о безопасности: палочка не должна превышать 2,5 см в длину и иметь острые края, а активные движения во рту следует избегать. Эти упражнения помогают укрепить мышечный аппарат, улучшают кровообращение, а древесина указанных пород выделяет вещества с обеззараживающим и укрепляющим эффектом.
Что касается лечения пародонтоза в домашних условиях с использованием медикаментов, то здесь лучше всего обратиться к врачу. Однако средства для ухода за зубами можно подбирать самостоятельно.
Рекомендуется использовать зубную щетку с мягкой щетиной. Жесткие щетки могут дополнительно травмировать десны, чего следует избегать. Чистите зубы аккуратно, чтобы не повредить ткани, и выбирайте специальные пасты, в состав которых могут входить различные лечебные компоненты. Уходовые средства не должны содержать крупных абразивных частиц и должны состоять из натуральных ингредиентов.
Также полезно делать пальцевой массаж, который способствует улучшению кровотока. Процедуру следует выполнять только чистыми руками, соблюдая осторожность. Использование гелей или масел дополнительно положительно влияет на десны. Массаж с помощью ирригатора достаточно прост и безопасен, что делает его подходящим для всех, особенно для людей с установленными стоматологическими аппаратами.
Устройство для местной дарсонвализации позволяет проводить физиотерапевтические процедуры в домашних условиях. Оно оснащено несколькими насадками для различных видов воздействия. Однако применять его можно только после полного удаления налета. Сеансы должны быть регулярными для достижения желаемого эффекта, и лучше всего проводить лечение курсами.
Массаж можно выполнять и с помощью специальной зубной щетки. Таким образом, лечение пародонтоза в домашних условиях доступно каждому, и нет необходимости в приобретении дорогостоящих средств.
https://youtube.com/watch?v=dzs8yqDTBbw
Лекарственные средства и полоскания
Как лечить пародонтоз десен в домашних условиях? Специалисты рекомендуют использовать специальные гели, мази и настои для полоскания. Эти средства быстро проникают в ткани и обладают обезболивающим и противовоспалительным действием. Их следует наносить несколько раз в день. Вечером можно сделать аппликацию после проведения гигиенических процедур.
Полоскание необходимо для удаления болезнетворных микроорганизмов и остатков пищи из полости рта. В магазинах можно найти готовые средства для полоскания, но также можно самостоятельно приготовить настои из трав или раствор прополиса. Частота полоскания не ограничена.
Ванночки также применяются для лечения пародонтоза в домашних условиях. В отличие от полоскания, здесь используется другая техника и продолжительность процедуры. Необходимо просто удерживать настой в рту не менее десяти минут, не совершая никаких движений. Для ванночек можно использовать те же травы, что и для полоскания.
Важно помнить, что пародонтоз – это серьезное заболевание. При его осложнении возможна потеря зуба. Поэтому при первых признаках недуга следует незамедлительно обратиться к врачу. Все назначенные средства нужно использовать регулярно и строго в том порядке, который указал специалист. Описанные процедуры безопасны и могут выполняться самостоятельно, однако дополнительная консультация лечащего врача не будет лишней. Лучше предотвратить возможные осложнения, чем потом пытаться их устранить.
https://youtube.com/watch?v=Keq2KfimSJc
Использование народных средств
Народные средства могут стать эффективным дополнением к основному лечению пародонтоза, однако их использование должно быть согласовано с врачом. Важно помнить, что народные рецепты не заменяют профессиональную стоматологическую помощь, но могут помочь в облегчении симптомов и улучшении состояния десен.
1. Отвары и настои трав
Многие травы обладают противовоспалительными и антисептическими свойствами. Например, отвары из ромашки, шалфея, календулы и зверобоя могут помочь в борьбе с воспалением десен. Для приготовления настоя достаточно залить 1-2 столовые ложки сухой травы стаканом кипятка, настоять 15-20 минут, процедить и использовать для полоскания рта 2-3 раза в день.
2. Сода и соль
Смешивание пищевой соды и соли в равных пропорциях может стать отличным средством для полоскания рта. Сода обладает щелочными свойствами, которые помогают нейтрализовать кислоты, а соль способствует уменьшению воспаления. Для приготовления раствора нужно растворить 1 чайную ложку смеси в стакане теплой воды и полоскать рот 2-3 раза в день.
3. Масло чайного дерева
Масло чайного дерева известно своими антисептическими и противовоспалительными свойствами. Его можно добавлять в зубную пасту или использовать для полоскания. Для этого добавьте 2-3 капли масла в стакан воды и полощите рот. Однако следует помнить, что масло чайного дерева не рекомендуется использовать в чистом виде, так как оно может вызвать раздражение.
4. Чеснок
Чеснок обладает сильными антимикробными свойствами. Его можно использовать как в сыром виде, так и в виде настоев. Для приготовления настойки нарежьте несколько зубчиков чеснока, залейте их стаканом воды и настаивайте 24 часа. Полученный настой можно использовать для полоскания рта.
5. Прополис
Прополис также известен своими целебными свойствами. Его можно использовать в виде настойки, добавляя 10-15 капель в стакан теплой воды для полоскания. Прополис помогает уменьшить воспаление и способствует заживлению тканей десен.
6. Укрепляющие смеси
Для укрепления десен можно использовать смеси из меда и лимонного сока. Смешайте 1 столовую ложку меда с соком половины лимона и принимайте по 1 чайной ложке 2-3 раза в день. Это поможет не только укрепить десны, но и улучшить общее состояние организма благодаря витаминам и минералам.
Важно помнить, что перед использованием любых народных средств необходимо проконсультироваться с врачом, чтобы избежать возможных аллергических реакций и осложнений. Кроме того, народные средства следует использовать в комплексе с основным лечением, которое назначит стоматолог.
Упражнения для укрепления десен
Укрепление десен является важным аспектом в лечении пародонтоза, и существует несколько простых упражнений, которые можно выполнять в домашних условиях. Эти упражнения помогут улучшить кровообращение в области десен, повысить их тонус и способствовать восстановлению тканей.
1. Массаж десен
Массаж десен можно выполнять с помощью пальцев или специального массажера. Для этого нужно аккуратно массировать десны круговыми движениями, начиная от корней зубов и двигаясь к краю десен. Это поможет улучшить кровообращение и снять воспаление. Рекомендуется проводить массаж 2-3 раза в день по 5-10 минут.
2. Упражнение с языком
Язык играет важную роль в поддержании здоровья полости рта. Упражнение заключается в том, чтобы активно двигать языком по поверхности зубов и десен. Это поможет удалить остатки пищи и стимулировать кровообращение. Рекомендуется выполнять это упражнение несколько раз в день, особенно после еды.
3. Полоскание солевым раствором
Полоскание рта солевым раствором не только помогает укрепить десны, но и обладает антисептическим эффектом. Для приготовления раствора нужно растворить 1 чайную ложку соли в стакане теплой воды. Полоскать рот следует 2-3 раза в день, особенно после чистки зубов. Это поможет уменьшить воспаление и предотвратить дальнейшее развитие пародонтоза.
4. Упражнение с зубной нитью
Использование зубной нити не только помогает поддерживать чистоту между зубами, но и способствует укреплению десен. При использовании нити важно аккуратно проводить ею между зубами, не травмируя десны. Регулярное использование зубной нити поможет предотвратить накопление налета и улучшить состояние десен.
5. Упражнения для лица
Некоторые упражнения для лица также могут помочь укрепить десны. Например, можно выполнять жевательные движения, как будто вы жуете жевательную резинку. Это поможет активизировать мышцы лица и улучшить кровообращение в области десен. Рекомендуется выполнять такие упражнения по 5-10 минут в день.
Регулярное выполнение этих упражнений в сочетании с правильной гигиеной полости рта и сбалансированным питанием поможет значительно улучшить состояние десен и замедлить прогрессирование пародонтоза. Однако, если симптомы заболевания продолжают беспокоить, обязательно обратитесь к стоматологу для получения профессиональной помощи.
Профилактика и регулярные осмотры у стоматолога
Профилактика пародонтоза и регулярные осмотры у стоматолога играют ключевую роль в поддержании здоровья десен и зубов. Пародонтоз — это заболевание, которое, если его не лечить, может привести к серьезным последствиям, включая потерю зубов. Поэтому важно не только лечить уже существующие проблемы, но и предотвращать их возникновение.
Первым шагом в профилактике пародонтоза является соблюдение правил гигиены полости рта. Это включает в себя регулярную чистку зубов дважды в день с использованием зубной пасты, содержащей фтор, а также использование зубной нити или межзубных щеток для удаления остатков пищи и налета из труднодоступных мест. Не менее важным является использование антисептических ополаскивателей для рта, которые помогают снизить количество бактерий и предотвратить воспаление десен.
Кроме того, важно следить за своим рационом. Употребление продуктов, богатых витаминами и минералами, особенно витаминами C и D, способствует укреплению десен и улучшению общего состояния полости рта. Избегайте избыточного потребления сахара и кислых продуктов, которые могут способствовать развитию кариеса и воспалительных процессов.
Регулярные осмотры у стоматолога также являются неотъемлемой частью профилактики пародонтоза. Специалисты рекомендуют посещать стоматолога не реже двух раз в год для проведения профессиональной чистки зубов и осмотра состояния десен. Во время таких визитов стоматолог может выявить ранние признаки пародонтоза и предложить соответствующее лечение, что значительно увеличивает шансы на успешное восстановление здоровья десен.
Важно помнить, что пародонтоз может развиваться бессимптомно на ранних стадиях, поэтому регулярные осмотры помогают предотвратить его прогрессирование. Стоматолог может также дать рекомендации по индивидуальному уходу за полостью рта, учитывая особенности вашего здоровья и образа жизни.
В заключение, профилактика пародонтоза и регулярные осмотры у стоматолога — это два ключевых аспекта, которые помогут сохранить здоровье ваших десен и зубов на долгие годы. Не пренебрегайте этими мерами, и вы сможете избежать серьезных проблем в будущем.



