Телескопические зубные протезы — это эффективное решение для восстановления утраченных зубов, обеспечивающее надежную фиксацию и естественный внешний вид. В статье рассмотрим этапы изготовления телескопических коронок, их строение и разновидности, а также отзывы пациентов и информацию о стоимости протезирования. Понимание плюсов и минусов этого метода поможет вам сделать осознанный выбор и оценить его преимущества для здоровья и комфорта.
Строение протезов
Устройства, использующие специальные коронки, имеют следующие особенности:
- это несъемная конструкция, представляющая собой металлический колпачок, который фиксируется на опорном зубе. Он может быть закреплен с помощью цемента или имплантата;
- отдельная часть устройства — это сам протез, который может быть представлен в виде бюгельных протезов на телескопических коронках, а также мостовидных конструкций с коронкой из металлокерамики.
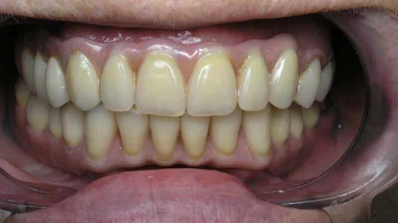
Телескопические коронки — это конструкции, которые накладываются друг на друга по принципу телескопа, обеспечивая надежное и эффективное крепление. Съемная часть крепится очень прочно, и при необходимости ее можно легко снять.
Врачи-стоматологи отмечают, что телескопические зубные протезы становятся все более популярными среди пациентов, нуждающихся в восстановлении утраченных зубов. Специалисты подчеркивают их высокую функциональность и эстетические качества. Такие протезы обеспечивают надежную фиксацию и позволяют избежать проблем с движением протеза во время еды или разговора.
Кроме того, телескопические конструкции способствуют равномерному распределению жевательной нагрузки, что снижает риск повреждения оставшихся зубов. Врачи также отмечают, что при правильном уходе и регулярных осмотрах срок службы таких протезов может значительно превышать срок службы традиционных съемных конструкций. Однако важно, чтобы пациент проходил предварительное обследование и получал индивидуальные рекомендации от специалиста, чтобы выбрать оптимальное решение для своих нужд.
https://youtube.com/watch?v=F7Szax9FGC4
Создание коронок
Создание устройств — это весьма сложный процесс. Для успешного производства телескопического протеза требуется участие квалифицированного специалиста, а также соответствующие материалы и оборудование. Небольшие отклонения от стандартов в процессе производства могут значительно сказаться на итоговом результате:
- изготовление устройства займет гораздо больше времени, так как из-за неточного прилегания потребуется многократная корректировка всей конструкции;
- срок службы изделия будет значительно короче, чем ожидалось.
В данной статье представлены этапы изготовления телескопических коронок, а также фото и видео процесса установки.
| Характеристика | Преимущества | Недостатки |
|---|---|---|
| Тип фиксации | Надежная фиксация за счет телескопических коронок на опорных зубах. | Требует обточки опорных зубов. |
| Эстетика | Высокая эстетика, так как протез скрывает металлические элементы. | Может быть заметен переход между протезом и десной при определенных условиях. |
| Распределение нагрузки | Равномерное распределение жевательной нагрузки на опорные зубы и десну. | Не всегда возможно при сильной атрофии костной ткани. |
| Удобство использования | Комфортное ношение, отсутствие подвижности протеза. | Требует регулярного ухода и гигиены. |
| Долговечность | Длительный срок службы при правильном уходе. | Стоимость изготовления выше, чем у других видов съемных протезов. |
| Возможность ремонта | Возможность ремонта и коррекции протеза. | Ремонт может быть сложным и дорогостоящим. |
| Показания | Частичная потеря зубов, наличие здоровых опорных зубов. | Невозможность обточки опорных зубов, сильная подвижность опорных зубов. |
| Противопоказания | Заболевания пародонта, недостаточная высота клинических коронок опорных зубов. | Аллергия на материалы протеза. |
Разновидности
Приспособления можно разделить на несколько категорий:
- Цилиндрические устройства имеют конструкцию, при которой протез работает по принципу поршня. Эффективность таких манипуляций зависит от качества сцепления и плотности.
- Конусные устройства считаются наиболее надежными, так как они менее подвержены ошибкам и износу. Эти изделия способны автоматически принимать правильное положение, независимо от их размещения.
Телескопическая коронка с фрикционным штифтом формирует конструкцию с выдающимися характеристиками и возможностью применения фрикционного усилия. Такие устройства сохраняют способность к трению на протяжении всей своей длины. Это означает, что они остаются целыми и не разделяются, что часто происходит с обычными конусными решениями.
https://youtube.com/watch?v=PPGzygYqU90
Показания
Телескопические конструкции с цилиндрической формой используются в случаях, когда у пациента сохранен здоровый пародонт.
Из-за их сложной конструкции такие изделия применяются довольно ограниченно.
Системы с конусными поверхностями предназначены для съемного протезирования.
Эксплуатационный период
Протезы могут служить эффективно на протяжении десяти лет. Однако со временем их прочность может снизиться, и они могут стать менее плотными.
Чтобы обеспечить долгий срок службы, важно строго следовать всем рекомендациям по уходу и эксплуатации, регулярно посещать стоматолога для осмотра и своевременно проводить коррекцию.
Рекомендации по уходу:
- использовать протез можно круглосуточно;
- конструкцию следует снимать для гигиенической обработки;
- нет необходимости оставлять протез в жидкости на ночь;
- устройство рекомендуется снимать над раковиной и мягкой тканью;
- манипуляции по снятию и надеванию лучше выполнять перед зеркалом;
- регулярно необходимо приносить протез на осмотр для контроля его состояния.
Достоинства
Замковые и телескопические фиксаторы для съемных зубных протезов обладают множеством преимуществ:
- Пользователь может свободно есть, улыбаться и общаться. Эстетические качества этих систем позволяют не сдерживать свои эмоции;
- Отсутствие небной части исключает дискомфорт и давление, что помогает избежать рвотных рефлексов;
- Ротовая полость остается хорошо увлажненной, так как ничего не перекрывает слюновыводящие каналы;
- Использование высококачественных материалов гарантирует безопасное использование. Часто безметалловые изделия помогают избавиться от неприятных симптомов, таких как синюшность десен;
- При наличии пародонтоза конструкции обеспечивают правильное распределение нагрузки между зубами, что снижает риск их потери и атрофии костной ткани;
- Соблюдая рекомендации врача по гигиене, пациент может рассчитывать на длительный срок службы протезов (до десяти лет);
- После установки конструкции их легко подкорректировать и восстановить. Каждую коронку можно без труда извлечь и заменить, не затрагивая всю систему;
- Устройства можно удобно снимать каждый день для проведения гигиенической обработки.
Мнение специалистов
По отзывам пользователей, телескопические зубные протезы являются отличным вариантом для тех, кто не хочет прибегать к имплантации из-за страха, медицинских противопоказаний или высокой стоимости этой процедуры.
Данная методика требует от врача высокой точности и внимательности, поэтому ее могут выполнять только квалифицированные специалисты.
Несмотря на сложность процесса, установка таких протезов обеспечивает надежную фиксацию и снижает нагрузку на зубы благодаря равномерному распределению давления.
Эти конструкции крепятся на естественные зубы, которым предварительно придается необходимая форма, соответствующая внутренней поверхности коронок. Кроме того, с помощью протезов можно укрепить родные зубы, если они начали терять свою прочность по каким-либо причинам.
Минусы
Перед тем как принять решение о проведении процедуры, пациенту следует тщательно взвесить все плюсы и минусы, а также учесть рекомендации врача:
- Если у пациента ранее была установлена металлическая коронка, то иногда ее часть может быть видна над десной. В таких случаях рекомендуется использовать специальный колпачок, который поможет скрыть этот недостаток;
- Многие люди не одобряют методику из-за необходимости обтачивания зубов, что делает ее менее щадящей;
- Каждый день необходимо тщательно очищать конструкцию для предотвращения кариеса, удаления налета и остатков пищи;
- Если устройство устанавливается с использованием имплантатов, в случае поломки потребуется полная замена всей системы;
- Для установки потребуется несколько визитов к специалисту для проведения замеров;
- Стоимость данной методики довольно высока по сравнению с другими вариантами.
Тем не менее, цена оправдана длительным сроком службы, эстетическим видом, практичностью и разумной стоимостью последующего ремонта.
Ценовая политика
Общая стоимость процедуры состоит, прежде всего, из цены услуг, таких как аренда, амортизация и другие расходы. Поэтому расценки в различных стоматологических клиниках могут значительно варьироваться. Вторым важным компонентом стоимости является материал, используемый в процессе. И, наконец, не стоит забывать о гонораре врача. Одно и то же вмешательство может быть выполнено за разное количество сеансов.
Средняя цена на подобные процедуры восстановления начинается от тридцати пяти тысяч рублей.
https://youtube.com/watch?v=8VbkNsoz0tw
Уход за телескопическими протезами
Телескопические зубные протезы требуют особого ухода, чтобы обеспечить их долговечность и комфортное использование. Правильный уход не только продлевает срок службы протезов, но и способствует поддержанию здоровья полости рта.
Первым шагом в уходе за телескопическими протезами является регулярная гигиена. Протезы необходимо очищать ежедневно, чтобы избежать накопления налета и бактерий. Для этого рекомендуется использовать специальные щетки и чистящие средства, предназначенные для протезов. Обычные зубные пасты могут быть слишком абразивными и повредить поверхность протезов.
Важно также помнить о том, что телескопические протезы следует снимать на ночь. Это позволяет не только дать отдых деснам, но и облегчить процесс их очистки. Протезы можно хранить в специальном растворе для дезинфекции или в чистой воде, что поможет предотвратить их высыхание и деформацию.
Кроме того, необходимо регулярно посещать стоматолога для проверки состояния протезов и здоровья десен. Специалист сможет выявить возможные проблемы на ранних стадиях и предложить соответствующее лечение или коррекцию протезов.
Следует также учитывать, что телескопические протезы могут требовать дополнительной заботы в зависимости от индивидуальных особенностей пациента. Например, людям с повышенной чувствительностью десен или другими стоматологическими заболеваниями может потребоваться более тщательный уход и использование специальных средств.
Наконец, важно соблюдать правильный режим питания. Избегание жесткой и липкой пищи поможет сохранить протезы в хорошем состоянии и предотвратить их повреждение. Также стоит помнить о необходимости пить достаточное количество воды, что способствует поддержанию нормального уровня слюны и предотвращает сухость во рту.
Таким образом, уход за телескопическими протезами включает в себя регулярную гигиену, ночное снятие, периодические визиты к стоматологу и соблюдение рекомендаций по питанию. Следуя этим простым правилам, можно значительно продлить срок службы протезов и обеспечить комфортное их использование.
Сравнение с другими типами протезов
Телескопические зубные протезы представляют собой уникальный тип съемных протезов, которые обеспечивают надежную фиксацию и комфорт при использовании. В отличие от других типов протезов, таких как акриловые или металлические конструкции, телескопические протезы имеют свои особенности и преимущества, которые делают их предпочтительными для многих пациентов.
Одним из основных отличий телескопических протезов является их конструкция. Они состоят из двух частей: внутреннего (телескопического) коронки, которая фиксируется на оставшихся зубах или имплантатах, и внешней коронки, которая устанавливается на внутреннюю. Эта система обеспечивает надежное сцепление и предотвращает смещение протеза во время жевания или разговора.
В отличие от акриловых протезов, которые могут вызывать дискомфорт и натирание десен, телескопические протезы обеспечивают более равномерное распределение жевательной нагрузки. Это снижает риск повреждения десен и зубов, а также уменьшает вероятность возникновения воспалительных процессов. Кроме того, телескопические конструкции могут быть выполнены из высококачественных материалов, таких как керамика или металл, что обеспечивает их долговечность и эстетичный внешний вид.
Сравнивая телескопические протезы с другими съемными конструкциями, такими как частичные или полные протезы, можно отметить, что телескопические протезы более стабильны и менее подвержены смещению. Частичные протезы часто фиксируются на соседних зубах с помощью крючков, что может привести к их повреждению и снижению эстетики. В то время как телескопические протезы не требуют использования крючков, что делает их более эстетически привлекательными и менее травматичными для оставшихся зубов.
Еще одним важным аспектом является возможность использования телескопических протезов в сочетании с имплантатами. Это позволяет значительно улучшить фиксацию и стабильность протеза, что особенно важно для пациентов с ограниченной костной тканью или теми, кто испытывает трудности с использованием традиционных съемных протезов.
Однако, несмотря на все преимущества, телескопические протезы имеют и свои недостатки. Они требуют более сложного и длительного процесса изготовления, что может увеличить общую стоимость лечения. Кроме того, установка таких протезов требует высокой квалификации стоматолога, что также может повлиять на выбор пациента.
В заключение, телескопические зубные протезы представляют собой эффективное решение для восстановления утраченных зубов, обеспечивая надежную фиксацию и комфорт. Их преимущества в сравнении с другими типами протезов делают их привлекательным выбором для многих пациентов, однако важно учитывать индивидуальные особенности каждого случая и консультироваться с квалифицированным специалистом.
Психологический аспект ношения протезов
Психологический аспект ношения телескопических зубных протезов играет важную роль в жизни пациентов, которые сталкиваются с потерей зубов. Протезирование может вызывать у людей различные эмоции, начиная от стыда и неуверенности и заканчивая радостью и облегчением. Понимание этих аспектов может помочь как пациентам, так и стоматологам в процессе адаптации к новым условиям.
Во-первых, важно отметить, что потеря зубов может существенно повлиять на самооценку человека. Многие пациенты испытывают дискомфорт и стеснение при общении с другими людьми, что может привести к социальной изоляции. Телескопические протезы, благодаря своей эстетике и функциональности, могут значительно улучшить внешний вид улыбки и, как следствие, повысить уверенность в себе. Пациенты, которые успешно адаптировались к ношению таких протезов, часто отмечают улучшение качества жизни и восстановление социальной активности.
Во-вторых, процесс привыкания к телескопическим протезам может быть психологически сложным. Пациенты могут испытывать страх перед тем, как их воспримут окружающие, а также опасения по поводу комфорта и функциональности протезов. Важно, чтобы стоматологи предоставляли полную информацию о процессе адаптации, а также о преимуществах и недостатках телескопических протезов. Это поможет пациентам лучше понять, чего ожидать, и снизить уровень тревожности.
Кроме того, поддержка со стороны семьи и друзей играет ключевую роль в успешной адаптации. Эмоциональная поддержка и понимание со стороны близких могут помочь пациентам справиться с негативными эмоциями и повысить их уверенность в себе. Важно, чтобы пациенты делились своими переживаниями и ожиданиями с окружающими, что может способствовать созданию более комфортной атмосферы.
Наконец, стоит отметить, что регулярные консультации с стоматологом и психологом могут оказать положительное влияние на процесс адаптации. Профессионалы могут помочь пациентам справиться с возникающими трудностями, предложить стратегии для улучшения психологического состояния и поддержать их в процессе привыкания к новым протезам. Таким образом, комплексный подход к решению психологических аспектов ношения телескопических зубных протезов может значительно улучшить качество жизни пациентов и помочь им вернуться к полноценной жизни.




