Циркониевая коронка на зубы — эффективное решение для восстановления утраченных или поврежденных зубов, объединяющее эстетические и функциональные преимущества. В статье рассмотрим стоимость, отзывы пациентов, показания и противопоказания к установке циркониевых коронок. Также узнаете, как ухаживать за протезами из циркония, чтобы они долго служили и сохраняли первоначальный вид. Эта информация поможет тем, кто планирует установку коронок и хочет сделать осознанный выбор.
Особенности протезов из циркония на зубы
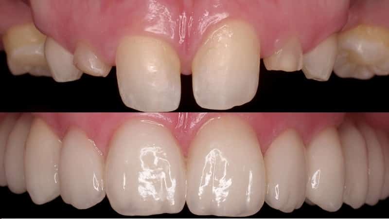
Эти коронки создаются с применением современных компьютерных технологий, что делает их идеальными для каждого конкретного пациента. Основой служит каркас из оксида циркония, который затем покрывается керамическим слоем. Ниже вы можете увидеть, как выглядят циркониевые коронки на зубах.
Стоматологи используют коронки этого типа уже более двух десятилетий. С течением времени они становятся все более совершенными благодаря своим уникальным характеристикам, таким как:
- Долговечность. Эти коронки отличаются высокой прочностью и могут служить длительное время, на них предоставляется гарантия не менее 15 лет.
- Комфорт при ношении. Коронки из циркония плотно прилегают к деснам, в отличие от изделий из других материалов. Благодаря идеальной посадке, под коронки не проникают бактерии и остатки пищи, что значительно снижает риск стоматологических заболеваний, таких как кариес и пародонтоз.
- Гипоаллергенные свойства. Коронки обладают уникальным химическим составом, который обеспечивает их биосовместимость и минимизирует риск аллергических реакций.
- Эстетическая привлекательность. Циркониевые зубные протезы очень похожи на естественную эмаль, которая со временем не теряет своего цвета и не подвержена разрушению.
- Сохранение зубов. Установка таких коронок не требует значительной обточки зуба и удаления пульпы, что способствует их долговечности и сохранению здоровья зубов.
Циркониевая коронка на зубы становится все более популярной среди пациентов и стоматологов. Врачи отмечают, что этот материал обладает высокой прочностью и эстетическими качествами, что делает его идеальным выбором для восстановления зубов. Цирконий не вызывает аллергических реакций и хорошо переносится организмом, что также является важным фактором при выборе коронки.
Что касается цены, то она может варьироваться в зависимости от клиники и региона, однако большинство специалистов считают, что инвестиции в циркониевые коронки оправданы благодаря их долговечности и естественному внешнему виду. Отзывы пациентов в целом положительные: многие отмечают комфорт при ношении и отсутствие дискомфорта. Врачи подчеркивают, что правильный уход и регулярные осмотры помогут сохранить циркониевые коронки в идеальном состоянии на долгие годы.
https://youtube.com/watch?v=PVKPuc7K9Uw
Показания к установке циркониевых зубных протезов
Стоматологи советуют устанавливать такие зубные протезы пациентам, страдающим сахарным диабетом и различными эндокринными расстройствами. Кроме того, они подходят тем, кто предпочитает избежать депульпации передних зубов, поскольку другие виды коронок требуют удаления нервов из-за риска развития кариеса и других стоматологических заболеваний. Эти зубные протезы идеально подходят для людей, которым необходимо заменить более четырех зубов, как жевательных, так и фронтальных.
На фотографиях циркониевые коронки представлены до и после установки.
| Критерий | Циркониевая коронка | Металлокерамическая коронка (для сравнения) |
|---|---|---|
| Цена (ориентировочно за 1 единицу) | От 20 000 до 45 000 руб. | От 8 000 до 20 000 руб. |
| Эстетика | Высочайшая, неотличима от натурального зуба, полупрозрачность, отсутствие темной полосы у десны. | Хорошая, но может просвечивать металлический каркас, особенно при рецессии десны. |
| Прочность и долговечность | Очень высокая, устойчива к сколам и трещинам, срок службы 15-20 лет и более. | Высокая, но керамическое покрытие может скалываться, срок службы 10-15 лет. |
| Биосовместимость | Отличная, гипоаллергенна, не вызывает раздражения десен. | Хорошая, но у некоторых людей может быть аллергия на металлы. |
| Подготовка зуба | Минимальное препарирование, сохранение большего объема тканей зуба. | Более значительное препарирование, удаление большего объема тканей зуба. |
| Показания | Фронтальные и жевательные зубы, одиночные коронки, мостовидные протезы, коронки на имплантатах. | Фронтальные и жевательные зубы, одиночные коронки, мостовидные протезы. |
| Отзывы пациентов (обобщенно) | Положительные: «Выглядят как свои», «Очень естественно», «Не чувствую разницы», «Долговечные», «Нет аллергии». Нейтральные/Отрицательные: «Дорого», «Иногда требуется привыкание». | Положительные: «Доступно», «Хорошо смотрятся». Нейтральные/Отрицательные: «Может быть темная полоса», «Иногда скалывается керамика», «Не так естественно, как цирконий». |
| Особенности материала | Диоксид циркония — высокотехнологичный керамический материал, легкий, прочный, светопроницаемый. | Металлический каркас (кобальт-хром, никель-хром, золотосодержащие сплавы) с керамическим покрытием. |
Противопоказания к установке циркониевых протезов на зубы
Установка коронок данного типа не рекомендуется в определенных ситуациях:
- Явный глубокий прикус.
- Психические расстройства.
- Бруксизм.
- Сниженный иммунитет после перенесенных заболеваний.
- Ночной скрежет зубами.
- Беременность.
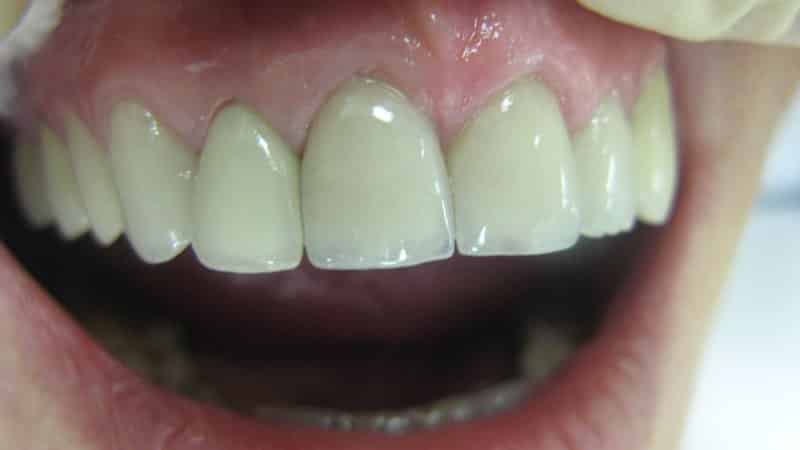
К сожалению, указанные факторы могут помешать улучшению внешнего вида улыбки, как это видно на примерах зубов из циркония до и после.
https://youtube.com/watch?v=Xl-uPV3uZyU
Процесс установки зубов из циркония
Процесс установки зубных протезов данного типа включает несколько этапов, некоторые из которых напоминают процедуру протезирования коронок, выполненных из других материалов. Установка циркониевой коронки, как показано на изображении ниже, осуществляется следующим образом:
- Сначала стоматолог проводит обследование пациента, включая рентгенографию челюстей.
- Затем выполняется санация ротовой полости, лечение кариеса и замена устаревших пломб.
- После этого зубы обрабатываются с учетом размеров будущего протеза.
- На следующем этапе изготавливаются слепки челюсти пациента, по которым создаются циркониевые коронки и временные пластиковые протезы.
- Далее пациенту предлагается выбрать оттенок коронки.
- Завершающим этапом является производство коронок из циркония с использованием современных технологий. Готовые зубные протезы сначала фиксируются временным составом для примерки, а затем устанавливаются на постоянный цемент.
Стоимость изготовления и установки протезов для зубов из оксида циркония
Многие люди считают, что единственным минусом коронок из диоксида циркония, представленных на фото, является их высокая цена. Установка коронки на один зуб обойдется примерно в 20000 рублей. Однако, учитывая, что для выполнения процедуры требуется опытный стоматолог, так как не каждый специалист способен качественно провести протезирование с использованием этого материала, такая стоимость выглядит вполне разумной. В эту сумму также входит профессионализм техника-лаборанта, использование современного оборудования и материалы, включая временные пластиковые коронки.
Цена коронки варьируется в зависимости от ее типа. Например, коронка из диоксида циркония на имплантат стоит около 28000 рублей, зубной протез из этого материала обойдется в 21000 рублей, вкладка на основе диоксида циркония будет стоить 18000 рублей, а винир из диоксида циркония оценен в 19000 рублей.
Уход за протезами из циркония
Уход за коронками из диоксида циркония, как показано на изображении, не сильно отличается от стандартной ежедневной гигиены полости рта.
В основном, он включает в себя следующие шаги:
- Чистка зубов с использованием зубной пасты и щетки не менее двух раз в день.
- Полоскание рта после еды либо теплой водой, либо отварами из таких трав, как ромашка, кора дуба или шалфей.
- Не рекомендуется грызть зубами из циркония слишком твердые предметы, такие как орехи, лед или семечки.
- Также следует избегать использования щеток с высокой жесткостью для чистки циркониевых протезов.
Период восстановления и реабилитации после установки протезов для зубов из циркония
После установки коронок из циркония пациент может испытывать легкий дискомфорт и повышенную чувствительность зубной эмали.
Чтобы снизить эти неприятные ощущения, достаточно временно исключить из рациона твердую, острую и пряную пищу. Кроме того, стоматолог предоставит рекомендации по правильному уходу за новыми несъемными протезами, что поможет пациенту быстрее адаптироваться к ним.
Также важно посещать врача не реже одного раза в полгода.
Отзывы пациентов
После двух беременностей, несмотря на тщательный уход за зубами и регулярные визиты к стоматологу, я столкнулась с проблемой их ухудшения. Никакие профилактические меры, своевременное лечение и прием витаминов не смогли предотвратить процесс крошения и ломкости зубов. Металлокерамические коронки не отличались привлекательным внешним видом, так как сразу становилось очевидно, что такие зубы не настоящие. Поэтому я решила остановить свой выбор на коронках из циркония.
Зубы из этого материала выглядят очень эстетично, придавая улыбке яркость и естественность. С такими коронками можно смело улыбаться, не испытывая стеснения, так как они практически не отличаются от родных зубов (Настя).
Из-за сложившихся обстоятельств мне пришлось заменить сразу четыре передних зуба. К счастью, их не пришлось сильно обтачивать, как это делается при установке металлокерамических коронок. Циркониевые коронки практически невозможно отличить от натуральных зубов, и никто до сих пор не догадывается, что это протезы, хотя с момента их установки прошло уже более пяти лет. Стоматолог, который их поставил, проявил высокий уровень профессионализма и был очень дружелюбен, пообещав, что они прослужат не менее 15 лет, а при должном уходе и дольше (Станислав).
https://youtube.com/watch?v=iujOzcDqAYU
Сравнение циркониевых коронок с другими материалами
Циркониевые коронки становятся все более популярными в стоматологии благодаря своим уникальным свойствам и эстетическим качествам. Однако, чтобы понять, насколько они эффективны по сравнению с другими материалами, важно рассмотреть их преимущества и недостатки в контексте альтернативных вариантов, таких как металлокерамика, полимерные и металлические коронки.
1. Эстетика: Циркониевые коронки обладают высокой прозрачностью и цветопередачей, что позволяет им максимально имитировать натуральные зубы. В отличие от металлокерамических коронок, которые могут иметь металлический каркас, цирконий не вызывает эффекта темной линии на десне, что делает их более привлекательными для пациентов. Полимерные коронки также могут выглядеть эстетично, но их долговечность и устойчивость к износу значительно ниже.
2. Прочность и долговечность: Цирконий является одним из самых прочных материалов, используемых в стоматологии. Он обладает высокой устойчивостью к механическим повреждениям и износу, что делает его идеальным выбором для жевательных зубов. Металлические коронки также прочны, но могут подвергаться коррозии со временем. Полимерные коронки, хотя и легкие, имеют меньшую прочность и могут трескаться или стираться быстрее.
3. Биосовместимость: Циркониевые коронки имеют отличную биосовместимость, что снижает риск аллергических реакций и воспалительных процессов. Это особенно важно для пациентов с чувствительными деснами или аллергиями на металлы. Металлические коронки могут вызывать аллергические реакции у некоторых людей, тогда как полимерные коронки могут выделять вещества, которые могут негативно сказаться на здоровье полости рта.
4. Установка и уход: Установка циркониевых коронок требует высокой квалификации стоматолога, так как процесс их изготовления и установки более сложен, чем у других типов коронок. Однако, после установки, циркониевые коронки требуют минимального ухода и могут служить до 15 лет и более при правильной гигиене полости рта. Металлокерамические коронки также долговечны, но могут потребовать больше ухода из-за риска коррозии. Полимерные коронки, как правило, требуют более частой замены.
5. Стоимость: Циркониевые коронки, как правило, стоят дороже, чем металлокерамические и полимерные варианты. Это связано с высокими затратами на материалы и технологии их производства. Однако, учитывая их долговечность и эстетические качества, многие пациенты считают, что инвестиции в циркониевые коронки оправданы.
В заключение, выбор между циркониевыми коронками и другими материалами зависит от индивидуальных потребностей пациента, его бюджета и предпочтений. Циркониевые коронки предлагают множество преимуществ, которые делают их отличным выбором для тех, кто ищет долговечное и эстетически привлекательное решение для восстановления зубов.
Долговечность и срок службы циркониевых коронок
Циркониевые коронки известны своей высокой долговечностью и устойчивостью к различным внешним воздействиям. Они изготавливаются из циркония — материала, который отличается прочностью и биосовместимостью. В отличие от традиционных металлокерамических коронок, циркониевые коронки не подвержены коррозии и не вызывают аллергических реакций, что делает их идеальным выбором для многих пациентов.
Срок службы циркониевых коронок может варьироваться в зависимости от нескольких факторов, включая качество изготовления, соблюдение рекомендаций стоматолога и индивидуальные особенности пациента. В среднем, циркониевые коронки могут служить от 10 до 15 лет, а при правильном уходе и регулярных визитах к стоматологу этот срок может быть значительно увеличен.
Одним из ключевых факторов, влияющих на долговечность коронок, является их установка. Профессиональная работа стоматолога, который правильно подготовит зуб и установит коронку, играет важную роль в предотвращении проблем, таких как отслоение или повреждение коронки. Также важно учитывать, что циркониевые коронки требуют тщательной гигиены полости рта. Неправильный уход может привести к образованию кариеса на соседних зубах или к воспалению десен, что, в свою очередь, может сократить срок службы коронки.
Кроме того, циркониевые коронки обладают высокой устойчивостью к механическим повреждениям. Они не подвержены сколам и трещинам, что делает их более надежными по сравнению с другими типами коронок. Однако стоит отметить, что чрезмерные нагрузки, такие как бруксизм (скрежетание зубами), могут негативно сказаться на состоянии коронки и привести к ее повреждению.
В заключение, циркониевые коронки представляют собой долговечное и надежное решение для восстановления зубов. При соблюдении всех рекомендаций по уходу и регулярных проверках у стоматолога, они могут служить долгие годы, обеспечивая пациентам не только эстетичный вид, но и функциональность.
Советы по выбору стоматолога для установки циркониевых протезов
Выбор стоматолога для установки циркониевых протезов — это важный этап, который может существенно повлиять на конечный результат лечения и долговечность коронок. Вот несколько советов, которые помогут вам сделать правильный выбор.
- Профессиональная квалификация: Убедитесь, что стоматолог имеет соответствующее образование и сертификаты, подтверждающие его квалификацию в области протезирования. Специалисты, прошедшие обучение по современным методам установки циркониевых коронок, смогут гарантировать более качественный результат.
- Опыт работы: Узнайте, сколько лет стоматолог работает в данной области и сколько циркониевых коронок он уже установил. Опытный специалист, который регулярно выполняет такие процедуры, скорее всего, сможет избежать распространенных ошибок и предложить вам лучшие решения.
- Отзывы пациентов: Обратите внимание на отзывы других пациентов, которые уже проходили лечение у данного стоматолога. Это может дать вам представление о качестве работы, уровне сервиса и общем подходе врача к пациентам.
- Технологическое оснащение: Проверьте, насколько современное оборудование используется в клинике. Современные технологии, такие как CAD/CAM-системы, позволяют создавать более точные и качественные протезы, что в свою очередь влияет на срок службы коронок и комфорт пациента.
- Консультация и диагностика: Перед установкой коронок важно пройти полное обследование. Хороший стоматолог проведет тщательную диагностику, обсудит с вами все возможные варианты лечения и ответит на ваши вопросы. Не стесняйтесь задавать вопросы о процессе установки и уходе за коронками.
- Цена услуг: Сравните цены на установку циркониевых коронок в разных клиниках. Однако не стоит выбирать стоматолога только по цене — важно учитывать качество предоставляемых услуг. Иногда более высокая цена может оправдать себя за счет лучшего качества материалов и работы.
- Гарантия на работу: Уточните, предоставляет ли стоматолог гарантию на установленные коронки. Надежные специалисты обычно предлагают гарантию на свои услуги, что свидетельствует о высоком уровне их работы.
Следуя этим рекомендациям, вы сможете выбрать квалифицированного стоматолога, который обеспечит вам качественное и безопасное протезирование с использованием циркониевых коронок.




