Трещины на зубной эмали — распространенная проблема, способная вызвать серьезные последствия для здоровья полости рта. В статье рассмотрим основные причины их появления, признаки, методы диагностики и эффективные способы устранения и профилактики. Эти знания помогут сохранить здоровье зубов и избежать неприятных последствий, связанных с повреждением эмали.
Причины трещин на зубах
Как правило, данная проблема проявляется в передней части зубного ряда. Трещины чаще возникают на верхней челюсти, чем на нижней.
Это явление в основном наблюдается у людей, которые ведут нездоровый образ жизни и имеют вредные привычки, такие как открывание бутылок зубами или постоянное грызение семечек.
Однако механическое воздействие – это не единственная причина, способная повредить эмаль.
Рекомендуется обратить внимание на другие факторы, способствующие возникновению трещин:
- несоблюдение принципов сбалансированного питания: недостаток витаминов и полезных веществ;
- сочетание горячих блюд с холодными напитками;
- чрезмерное потребление продуктов с высоким содержанием кислот;
- использование абразивных зубных паст;
- избыточная подвижность челюсти во время сна;
- жевание карамели и других твердых продуктов;
- самостоятельный прием лекарств;
- механические повреждения;
- ошибки стоматолога: неправильно подобранные штифты или инструменты для лечения.
Если человек заметил трещину в своем зубе, ему следует понимать, что это не просто косметический дефект, который можно игнорировать, а серьезная проблема. Если не решить ее, это может привести к весьма серьезным последствиям в будущем.
Зуб человека состоит из трех слоев: эмаль – это верхний слой, под ним находится дентин, а в центре располагается пульпа, содержащая нервы и сосуды. При повреждении эмали трещина обязательно затрагивает и дентин. Под воздействием жевательной нагрузки происходит расширение канала, соединяющего пульпу и ротовую полость. Бактерии, попадая в трещину вместе со слюной, могут вызвать сильное воспаление, что в свою очередь приводит к кариесу.
Врачи-стоматологи отмечают, что трещины на зубной эмали могут возникать по нескольким причинам. Одной из основных является неправильное питание, в частности, недостаток кальция и витаминов, что ослабляет эмаль. Также к образованию трещин могут привести механические повреждения, такие как укусы твердых предметов или травмы. Кроме того, стоматологи подчеркивают, что бруксизм — привычка скрежетать зубами — также способствует разрушению эмали.
Для устранения трещин специалисты рекомендуют различные методы. В легких случаях возможно применение реминерализующих средств, которые восстанавливают минералы в эмали. В более серьезных ситуациях может потребоваться пломбирование или использование виниров, которые не только защищают зуб, но и улучшают его внешний вид. Врачи советуют регулярно посещать стоматолога для профилактики и своевременного выявления проблем с эмалью.
https://youtube.com/watch?v=yKAISTk7_00
Разновидности трещин на зубной эмали
Наклонная трещина представляет собой диагональное повреждение эмали. Если не принять меры для лечения вовремя, последствия могут быть весьма серьезными.
Горизонтальная трещина располагается на эмали так, что напоминает пересечение экватора с земной поверхностью. При отсутствии необходимого лечения такие повреждения неизбежно приводят к образованию сколов. Если трещина находится ближе к основанию зуба, это может привести к полной потере коронковой части и открытию пульпы. В этом случае лечение станет сложным и затратным.
Вертикальные трещины располагаются вдоль зуба. Они затрагивают весь зуб, включая корень. Если повреждение охватывает всю длину зуба, его невозможно будет восстановить консервативными методами, и зуб придется удалить.
Внутренние повреждения являются наиболее опасными, так как их сложно заметить и диагностировать самостоятельно, что затрудняет обращение к стоматологу. Проблема становится очевидной только тогда, когда ситуация достигает критической точки.
| Причина трещин на эмали | Описание | Методы устранения/профилактики |
|---|---|---|
| Механические повреждения | Употребление твердой пищи (орехи, леденцы), привычка грызть ручки/карандаши, травмы (удар, падение). | Избегать чрезмерно твердой пищи, отказаться от вредных привычек, использовать защитные капы при занятиях спортом. |
| Термические перепады | Резкая смена температуры пищи и напитков (например, горячий кофе после холодного мороженого). | Избегать резких температурных контрастов, давать пище и напиткам остыть/согреться до комфортной температуры. |
| Бруксизм (скрежетание зубами) | Непроизвольное сжатие челюстей и скрежетание зубами, чаще всего во сне, вызванное стрессом, неправильным прикусом. | Использование ночных капп, снятие стресса (релаксация, йога), коррекция прикуса у ортодонта. |
| Неправильный прикус | Неравномерное распределение жевательной нагрузки, приводящее к перегрузке отдельных зубов. | Ортодонтическое лечение (брекеты, элайнеры) для коррекции прикуса. |
| Дефицит минералов | Недостаток кальция, фтора и других микроэлементов, ослабляющий структуру эмали. | Сбалансированное питание, прием витаминно-минеральных комплексов по назначению врача, использование фторсодержащих зубных паст и ополаскивателей. |
| Кислотная эрозия | Воздействие кислот из пищи (цитрусовые, газированные напитки), желудочного рефлюкса, рвоты. | Ограничение потребления кислых продуктов, полоскание рта водой после их употребления, лечение заболеваний ЖКТ. |
| Возрастные изменения | Естественный износ эмали с течением времени. | Регулярные осмотры у стоматолога, профессиональная гигиена, реминерализующая терапия. |
| Неправильная гигиена полости рта | Чрезмерное давление при чистке зубов, использование жестких зубных щеток, абразивных паст. | Использование мягких или средней жесткости зубных щеток, правильная техника чистки зубов, выбор неабразивных зубных паст. |
| Кариес | Разрушение эмали бактериями, приводящее к образованию полостей и ослаблению структуры зуба. | Регулярная и тщательная гигиена полости рта, своевременное лечение кариеса. |
| Вредные привычки | Курение, употребление алкоголя, которые негативно влияют на общее состояние полости рта и эмали. | Отказ от курения и чрезмерного употребления алкоголя. |
| Глубокие трещины | Трещины, проникающие в дентин и пульпу, вызывающие боль и чувствительность. | Пломбирование, установка коронки, в некоторых случаях – эндодонтическое лечение (удаление нерва). |
| Поверхностные трещины (кракелюры) | Мелкие, неглубокие трещины, обычно не вызывающие боли. | Реминерализующая терапия, фторирование, в некоторых случаях – эстетическая реставрация (виниры). |
Признаки появления
Проблема может оставаться незамеченной на протяжении длительного времени, особенно когда речь идет о боковых зубах, которые не так легко увидеть. Когда эмаль на переднем зубе повреждена, это сразу бросается в глаза. Как же поступить в такой ситуации? Конечно, необходимо записаться на прием к стоматологу.
Если у человека есть трещины в ротовой полости, которые невозможно заметить без специального оборудования, стоит обратить внимание на следующие симптомы:
- при употреблении горячей или холодной пищи возникает резкая боль, которая исчезает сразу после прекращения еды;
- боль, которая перемещается по ротовой полости и не имеет четкой локализации;
- усиление дискомфорта во время движения челюстей при приеме пищи.
Даже опытному врачу бывает непросто определить источник боли. В таких случаях, если пациент сообщает о конкретных симптомах, стоматолог может порекомендовать провести диагностическое исследование. На рентгеновском снимке будут видны внутренние трещины, которые негативно влияют на состояние зубов изнутри.
https://youtube.com/watch?v=hs9ZgADWoYA
Методы диагностики
Распознать трещину на зубной эмали вовремя – задача не из простых. Важно учитывать все жалобы пациента. Зуб, который подвергся поражению, обычно реагирует болезненно на воздействие специальной безворсовой щетки. Это устройство нужно прикусить, чтобы сравнить ощущения в каждом зубе. Если возникает наибольшая болезненная реакция, именно этот зуб и является пораженным.
Для дополнительной диагностики используются красящие вещества. Они наносятся на эмаль, и если на ней есть трещина, она будет окрашена. Также полость зуба осматривают под микроскопом. Это позволяет избежать ложных результатов, однако не все стоматологические клиники имеют такое оборудование.
Врачи также обращают внимание на состояние мягких тканей. Если поражение длительное, вокруг зуба может появиться отечность.
Иногда трещина бывает настолько мелкой, что ее невозможно заметить невооруженным глазом. В результате может произойти скол зуба, и человек не понимает, в чем причина этой проблемы. На самом деле все довольно просто.
Пораженный зуб не способен выдерживать жевательную нагрузку и становится очень уязвимым. Поэтому каждому человеку рекомендуется посещать стоматолога хотя бы раз в год, а лучше несколько раз, чтобы своевременно выявить возможные проблемы.
С подобной ситуацией часто сталкиваются маленькие дети, а точнее, их родители. Им обязательно следует привести ребенка на прием к врачу. Перед визитом стоит исключить горячую и холодную пищу, а также попросить ребенка избегать жевания болезненной стороной. Если вы заподозрили или заметили проблему у себя, действия должны быть аналогичными.
Трещина в зубе что делать
Если на эмали вашего зуба появилась трещина, важно сосредоточиться на укреплении этого слоя. Отличным выбором будут препараты, содержащие фтор и кальций. Важно регулярно посещать стоматолога, который будет наносить эти средства на зубы. После процедуры рекомендуется воздержаться от приема пищи в течение двух часов.
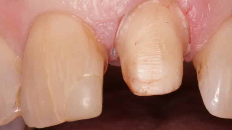
Незначительные повреждения можно лечить с помощью винирования. В этом случае на зуб накладывается тонкая пластина, которая затем покрывается виниром. Это современная и популярная процедура, благодаря которой зубы выглядят привлекательно и получают дополнительную защиту.
Вертикальные трещины, которые делят зуб на две части, могут привести к воспалению. В таких случаях проводится эндодонтическое лечение, а эмаль укрепляется с помощью специальной коронки.
В любом случае, если у пациента обнаружена трещина, ее необходимо устранить на ранней стадии, чтобы избежать ситуации, когда зуб придется удалять.
Трещины на передних зубах что делать
Если во время гигиенической чистки вы обнаружили трещину на переднем зубе, немедленно обратитесь к стоматологу. Чтобы сохранить зуб в целостности, не откладывайте визит к врачу. Не существует зубных паст или народных средств, способных устранить трещины. Стоматолог проведет эффективное реминерализующее лечение, закроет трещины специальными композитными материалами, а при необходимости установит виниры.
Доктор также даст рекомендации по уходу за полостью рта при наличии трещин, чтобы избежать возникновения подобных проблем в будущем.
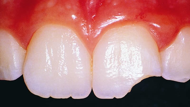
Если у вас произошел скол, потребуется реставрация. На поврежденную область постепенно наносят композитные материалы, что позволяет восстановить зуб при незначительных повреждениях. В случае глубокого скола может потребоваться установка коронки или штифта.
Меры профилактики
Что можно сделать, чтобы избежать возникновения данной проблемы? Задаваться этим вопросом гораздо разумнее, чем потом пытаться справиться с уже возникшей патологией и ее последствиями. Конечно, важно проявлять осторожность, чтобы избежать травм и ударов.
Полезные продукты:
- твердый сыр;
- зелень, богатая эфирными маслами (например, петрушка, базилик и другие);
- натуральные источники витаминов: фрукты и овощи;
- свежевыжатые соки;
- кисломолочные изделия.
Что стоит исключить:
- горячие и холодные блюда;
- соленую пищу;
- сократить потребление алкоголя и отказаться от курения.
Полезные советы:
- если у вас нет возможности постоянно покупать качественные продукты, добавьте в свою аптечку витамин D, который помогает лучше усваивать кальций;
- чистите зубы после каждого приема пищи или используйте ополаскиватель;
- регулярно посещайте стоматолога;
- для полоскания можно применять шалфей и ромашку;
- если ваши зубы слишком чувствительны, избегайте абразивных паст;
- выбирайте укрепляющие пасты для чистки;
- массируйте десны мягкой щеткой, чтобы улучшить кровообращение.
Если проблема уже настигла вас, эти рекомендации могут оказаться бесполезными. Игнорируя первые симптомы, вы рискуете своими зубами, подвергая их опасности более серьезных повреждений.
В результате вы можете остаться с обломком, который придется либо удалить, либо восстановить. При запущенном состоянии могут возникнуть кровоточивость, неприятный запах изо рта и изменения внешнего вида, поэтому лучше своевременно обратиться к стоматологу, чтобы быстро решить проблему и вновь наслаждаться красивой улыбкой.
https://youtube.com/watch?v=q6HMsjSFpp0
Влияние питания на здоровье зубной эмали
Питание играет ключевую роль в поддержании здоровья зубной эмали. Эмаль — это внешняя защитная оболочка зуба, состоящая в основном из минералов, таких как гидроксиапатит. Она подвержена воздействию различных факторов, включая пищу и напитки, которые мы употребляем. Неправильное питание может привести к разрушению эмали и образованию трещин.
Одним из основных факторов, влияющих на здоровье зубной эмали, является уровень кислотности пищи. Кислые продукты, такие как цитрусовые, газированные напитки и некоторые виды ягод, могут способствовать деминерализации эмали. Когда pH во рту снижается, эмаль начинает терять минералы, что делает её более уязвимой к повреждениям. Регулярное употребление кислых продуктов может привести к эрозии эмали и образованию трещин.
Сахар также играет важную роль в здоровье зубов. Бактерии, находящиеся в полости рта, питаются сахаром и выделяют кислоты в процессе своей жизнедеятельности. Эти кислоты могут разрушать эмаль, что приводит к образованию трещин и кариесу. Поэтому важно контролировать потребление сахара и следить за гигиеной полости рта после употребления сладостей.
Кроме того, недостаток определённых витаминов и минералов может негативно сказаться на состоянии зубной эмали. Например, дефицит кальция и витамина D может привести к снижению прочности эмали. Кальций необходим для минерализации зубов, а витамин D способствует усвоению кальция организмом. Поэтому важно включать в рацион продукты, богатые этими элементами, такие как молочные продукты, рыба, орехи и зелень.
Также следует учитывать влияние привычек питания. Частое перекусывание, особенно сладкими или кислыми продуктами, может увеличить время, в течение которого зубы подвергаются воздействию вредных веществ. Это может привести к накоплению кислоты и, как следствие, к разрушению эмали. Рекомендуется ограничить количество перекусов и выбирать более безопасные для зубов продукты, такие как сырые овощи или сыры.
В заключение, правильное питание является важным аспектом поддержания здоровья зубной эмали. Употребление сбалансированной пищи, богатой витаминами и минералами, а также ограничение кислых и сладких продуктов помогут сохранить эмаль крепкой и предотвратить образование трещин. Регулярные визиты к стоматологу также помогут выявить проблемы на ранних стадиях и принять необходимые меры для их устранения.
Советы по уходу за зубами с трещинами
Уход за зубами с трещинами требует особого внимания и тщательности. Правильный подход к гигиене полости рта может значительно замедлить прогрессирование проблемы и предотвратить дальнейшие повреждения. Вот несколько советов, которые помогут сохранить здоровье зубов и минимизировать риск осложнений.
1. Регулярная гигиена полости рта: Чистите зубы не менее дважды в день с использованием зубной пасты, содержащей фтор. Фтор помогает укрепить эмаль и делает зубы более устойчивыми к кариесу. Используйте мягкую зубную щетку, чтобы избежать дополнительного повреждения уже ослабленной эмали.
2. Использование зубной нити: Зубная нить помогает удалить остатки пищи и налет между зубами, где обычная щетка может не достать. Это особенно важно для зубов с трещинами, так как в этих местах может скапливаться бактерии, что увеличивает риск кариеса и воспаления десен.
3. Избегайте жесткой пищи: Твердая или хрустящая пища может усугубить состояние зубов с трещинами. Старайтесь избегать орехов, льда, жестких конфет и других подобных продуктов, которые могут привести к дополнительным повреждениям.
4. Ограничьте потребление кислых и сладких продуктов: Кислые продукты (цитрусовые, газированные напитки) могут разъедать эмаль, а сладости способствуют образованию кариеса. Если вы употребляете такие продукты, старайтесь делать это в умеренных количествах и сразу после этого полоскать рот водой.
5. Регулярные визиты к стоматологу: Профилактические осмотры у стоматолога помогут выявить проблемы на ранних стадиях. Специалист может предложить профессиональную чистку, фторирование или другие процедуры, которые помогут укрепить зубы и предотвратить дальнейшие повреждения.
6. Использование защитных средств: Если вы занимаетесь спортом или у вас есть привычка скрежетать зубами (бруксизм), рассмотрите возможность использования защитных капп. Они помогут предотвратить повреждения зубов и снизят риск появления трещин.
7. Увлажнение: Обезвоживание может привести к сухости во рту, что увеличивает риск кариеса и других проблем с зубами. Пейте достаточное количество воды в течение дня и используйте увлажняющие средства для полости рта, если это необходимо.
Следуя этим рекомендациям, вы сможете значительно улучшить состояние зубов с трещинами и сохранить их здоровье на долгие годы. Помните, что забота о зубах — это инвестиция в ваше общее здоровье и качество жизни.
Когда обращаться к стоматологу: признаки серьезной проблемы
Трещины на зубной эмали могут быть не только косметической проблемой, но и признаком более серьезных стоматологических заболеваний. Важно уметь распознавать симптомы, которые указывают на необходимость обращения к стоматологу. Вот несколько признаков, на которые стоит обратить внимание:
- Боль при жевании: Если вы испытываете дискомфорт или боль при жевании, это может свидетельствовать о том, что трещина затрагивает более глубокие слои зуба, что может привести к воспалению или инфекции.
- Чувствительность к горячему и холодному: Увеличенная чувствительность зубов к температурным изменениям может указывать на повреждение эмали. Если вы замечаете, что зубы реагируют на горячие или холодные напитки, это может быть признаком наличия трещин.
- Изменение цвета зуба: Появление темных пятен или изменение цвета зуба может указывать на то, что трещина позволяет бактериям проникать в дентин, что может привести к кариесу.
- Неприятный запах изо рта: Если у вас есть трещины, которые не были замечены и не лечились, это может привести к накоплению бактерий и образованию неприятного запаха изо рта.
- Наличие видимых трещин: Если вы заметили трещины на поверхности зуба, особенно если они сопровождаются другими симптомами, это является явным сигналом для обращения к стоматологу.
Если вы заметили один или несколько из этих признаков, не откладывайте визит к стоматологу. Чем раньше будет проведена диагностика и лечение, тем меньше вероятность развития серьезных осложнений. Стоматолог сможет оценить состояние зуба, определить степень повреждения и предложить наиболее подходящие методы лечения, такие как реставрация, пломбирование или другие процедуры, направленные на восстановление зубной эмали и предотвращение дальнейших проблем.





