Гингивит — воспаление десен, которое может вызвать серьезные проблемы с зубами и деснами при отсутствии своевременной диагностики и лечения. В статье рассмотрим основные симптомы гингивита, его разновидности и методы лечения. Это поможет читателям лучше понять заболевание и предпринять меры для его предотвращения. Знание о гингивите и его проявлениях позволит вовремя обратиться к стоматологу и избежать осложнений, таких как пародонтит, что сохранит здоровье полости рта.
Причины гингивита
Воспаление десневой слизистой часто является первым этапом воспалительных процессов в более глубоких тканях. Причины гингивита и парадонтита схожи, поэтому методы их лечения могут быть одинаковыми.
Появление гингивита указывает на наличие инфекции, которая может быть как внешней, так и внутренней. В случае внешнего инфицирования патогенные микроорганизмы, чаще всего бактерии, могут накапливаться в зубном налёте или камне, образовываться в кариозных участках, а также попадать в организм во время стоматологических процедур, вследствие травм, неправильного прикуса или токсического воздействия (например, курения), а также из-за наружных инфекций. Наиболее распространённой причиной гингивита является зубной камень и налёт на эмали.
Внутренние факторы могут вызывать инфицирование слизистой изнутри организма. Например, заболевания пищеварительной системы, особенно те, что затрагивают желудок, печень и желчный пузырь, а также болезни почек, диабет, туберкулёз и ревматизм могут стать источником внутренней инфекции. В таких случаях лечение гингивита возможно только при улучшении общего состояния организма и контроле основного заболевания. Кроме того, снижение иммунитета и авитаминоз также могут способствовать развитию гингивита, и их следует лечить с помощью общеукрепляющих средств, таких как витаминные и минеральные комплексы.
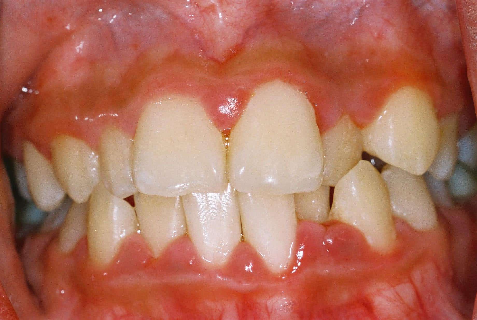
На изображениях показано, как развивается воспаление дёсен: сначала поражается слизистая (гингивит), затем затрагивается пародонт, после чего десна опускается, и зубы начинают расшатываться.
Врачи отмечают, что гингивит является распространенным заболеванием десен, которое может проявляться в различных формах. Основные симптомы включают покраснение, отечность десен, а также кровоточивость при чистке зубов. Специалисты выделяют несколько разновидностей гингивита, среди которых наиболее распространены катаральный, гипертрофический и язвенно-некротический. Каждый из этих типов требует индивидуального подхода к лечению. Врачи подчеркивают важность своевременной диагностики и обращения к стоматологу, так как запущенный гингивит может привести к более серьезным заболеваниям, таким как пародонтит. Лечение обычно включает профессиональную чистку зубов, использование антисептических средств и соблюдение гигиенических рекомендаций. Профилактика, по мнению врачей, играет ключевую роль в предотвращении гингивита и поддержании здоровья полости рта.
https://youtube.com/watch?v=vcvyYatCcok
Гингивит: разновидности заболевания
Гингивит делится на несколько типов. В зависимости от течения заболевания выделяют острые и хронические формы:
- Острое воспаление десен проявляется в виде налёта на зубах, покраснения и отёка десен, а также кровоточивости при чистке зубов и приёме твёрдой пищи.
- Хроническое вялотекущее воспаление не вызывает болевых ощущений, характеризуется лёгким отёком десен и возможным дискомфортом. Обычно оно проявляется сезонными обострениями (весной и осенью), во время которых может перейти в острую форму. Лечение хронического гингивита представляет собой более сложную задачу по сравнению с другими его проявлениями.
В зависимости от особенностей поражения десен, воспаление может быть катаральным, язвенно-некротическим, гипертрофическим и атрофическим.
1. Катаральный гингивит проявляется покраснением и отёком десен, а также незначительными болевыми ощущениями. Лечение катаральной формы гингивита требует минимальных усилий и занимает всего несколько дней.
Фото — катаральный гингивит
2. Язвенно-некротический гингивит сопровождается образованием язв на деснах, частичным отмиранием слизистой, а также резким неприятным запахом изо рта, сильными болями, общей слабостью, увеличением лимфатических узлов и иногда повышением температуры.
Фото — язвенный гингивит
3. Гипертрофический гингивит характеризуется стойким воспалением тканей десен. При этом наблюдается увеличение дёсневых сосочков (участков десны между жевательными верхушками соседних зубов), которые начинают закрывать часть зуба. На начальных стадиях болезненные ощущения отсутствуют и появляются значительно позже. Гипертрофическое воспаление может быть отёчным или фиброзным. При отёчной форме десна выглядит блестящей и ярко-красной, легко кровоточит. Фиброзная форма, напротив, не вызывает кровоточивости и болей, но её лечение затруднено.
Фото — отёчная форма гипертрофического гингивита
4. Атрофический гингивит проявляется уменьшением объёма десен и оголением нижней части зуба (дентина, пульпы, корня). Этот тип гингивита является признаком парадонтоза — невоспалительного заболевания десен, которое приводит к их уменьшению и разрушению. Симптомы атрофического гингивита включают неприятные ощущения при воздействии температур (например, при употреблении холодной или горячей воды).
Фото — атрофический гингивит, начало оголения шейки зуба
5. Десквамативный гингивит представляет собой аллергическую реакцию десен, проявляющуюся слущиванием наружного эпителия, образованием пузырьков с серозным содержимым, эрозиями на месте пузырьков, а также покраснением и отёком. Этот тип часто возникает во время гормональных изменений (например, у женщин в период менопаузы, у подростков или беременных). Симптомы аллергического гингивита напоминают крапивницу и другие аллергические высыпания. Ключевым условием для лечения является выявление источника аллергии и его устранение.
Фото — аллергические проявления на десне — пузырчатые образования
| Симптом/Разновидность/Лечение | Описание | Дополнительная информация |
|---|---|---|
| Симптомы гингивита | ||
| Кровоточивость десен | Десны кровоточат при чистке зубов, использовании зубной нити или даже при приеме пищи. | Один из самых ранних и распространенных признаков. |
| Покраснение и отек десен | Десны выглядят ярко-красными или синюшными, опухшими. | Здоровые десны имеют бледно-розовый цвет и плотную консистенцию. |
| Болезненность десен | Десны могут быть чувствительными или болезненными при прикосновении. | Боль может усиливаться при жевании. |
| Неприятный запах изо рта (галитоз) | Постоянный неприятный запах, который не исчезает после чистки зубов. | Вызван бактериями, размножающимися в воспаленных деснах. |
| Изменение контура десен | Десны могут выглядеть «разбухшими» или «округлыми» вокруг зубов. | В норме десны плотно прилегают к зубам. |
| Разновидности гингивита | ||
| Катаральный гингивит | Наиболее распространенная форма, вызванная зубным налетом. | Характеризуется покраснением, отеком и кровоточивостью. |
| Язвенно-некротический гингивит (Винсента) | Острая, болезненная форма с образованием язв и некрозом тканей. | Часто сопровождается сильной болью, лихорадкой, неприятным запахом. |
| Гипертрофический гингивит | Увеличение объема десен, их разрастание. | Может быть вызван гормональными изменениями (беременность), приемом некоторых лекарств. |
| Атрофический гингивит | Уменьшение объема десен, их истончение. | Чаще встречается у пожилых людей, может быть связан с травматической чисткой. |
| Десквамативный гингивит | Отслоение поверхностного слоя десен, образование пузырей и эрозий. | Часто является проявлением системных заболеваний (например, аутоиммунных). |
| Лечение гингивита | ||
| Профессиональная гигиена полости рта | Удаление зубного налета и камня стоматологом. | Основа лечения любого вида гингивита. |
| Антисептические полоскания | Использование растворов хлоргексидина, мирамистина. | Помогают уменьшить количество бактерий и воспаление. |
| Противовоспалительные гели и мази | Применение местных средств для снятия воспаления и боли. | Например, гели на основе метронидазола или холина салицилата. |
| Обучение правильной гигиене | Инструктаж по технике чистки зубов и использованию зубной нити. | Важно для предотвращения рецидивов. |
| Устранение предрасполагающих факторов | Коррекция неправильного прикуса, замена некачественных пломб, лечение системных заболеваний. | Помогает предотвратить повторное развитие гингивита. |
| Антибиотикотерапия | Применяется при тяжелых формах гингивита (например, язвенно-некротическом). | Назначается только врачом. |
Гингивит: симптомы воспаления десны
Симптоматика гингивита схожа с признаками парадонтита: десны становятся красными, отечными, увеличиваются в объеме и причиняют боль. Также может наблюдаться кровоточивость, особенно после чистки зубов или при жевании. У пациентов могут возникать зуд и дискомфорт, а также болезненные ощущения во время приема пищи.
Наиболее тяжело заболевание протекает у подростков и женщин в положении, поскольку к воспалительным процессам добавляются гормональные изменения в организме.
https://youtube.com/watch?v=YXid5I2vPAM
Гингивит: лечение у стоматолога и народными средствами
Лечение гингивита зависит от степени поражения десен. Поскольку основными факторами, способствующими воспалению слизистой, являются зубной камень и налёт, начальным этапом терапии становится их удаление. Процедуру по очистке зубов от этих отложений проводит стоматолог, применяя механические или ультразвуковые методы. При механической очистке врач использует специальные инструменты для удаления камня и налёта, фактически счищая их с эмали. Ультразвуковая техника позволяет выполнить эту процедуру более точно и безболезненно, а также дополнительно дезинфицировать жевательную поверхность зуба.
Воспаление дёсен является поверхностным заболеванием, что позволяет применять антисептические полоскания. Какие средства могут оказать антисептическое действие на ротовую полость?
- растворы соли и соды (1 чайная ложка на стакан тёплой воды);
- тёплые отвары трав: ромашка, шалфей, календула, эвкалипт, зверобой;
- растворы спиртовых настоев тех же трав (1-2 чайные ложки настойки на половину стакана тёплой воды);
- спиртовой раствор прополиса;
- также полезно рассасывать прополис под языком, так как он является природным антисептиком и натуральным антибиотиком.
Все полоскания следует проводить в тёплом виде. Температура растворов должна составлять +30 — +35 ºC, что способствует лучшему проникновению активных веществ в десны и прогреванию воспалённой области.
Хирургическое вмешательство при гингивите (кюретаж) требуется в случаях, когда образуются карманы между зубом и десной. В этих «карманах» скапливаются остатки пищи, которые невозможно удалить самостоятельно. Во время кюретажа врач очищает эти полости с помощью специального инструмента. Эта процедура предотвращает гниение остатков пищи, образование гноя и сильное воспаление. Обычно при гингивите размеры «карманов» не превышают 5 мм, поэтому кюретаж проводится поверхностно, закрытым способом, без надреза десны. Для выполнения процедуры требуется местное обезболивание.
Ключевым условием успешного лечения является регулярная гигиена полости рта, предотвращение дальнейшего распространения инфекции и устранение уже существующих источников заражения.
https://youtube.com/watch?v=MWY2sR4DfAs
Профилактика гингивита
Профилактика гингивита играет ключевую роль в поддержании здоровья полости рта и предотвращении развития более серьезных заболеваний десен. Основные меры профилактики включают в себя регулярную гигиену полости рта, правильное питание и регулярные посещения стоматолога.
1. Регулярная гигиена полости рта: Основой профилактики гингивита является тщательная и регулярная гигиена полости рта. Рекомендуется чистить зубы дважды в день с использованием фторсодержащей зубной пасты. Чистка зубов должна длиться не менее двух минут, при этом необходимо уделять внимание всем участкам зубов и десен. Использование зубной нити или межзубных щеток помогает удалить остатки пищи и налет из труднодоступных мест.
2. Правильное питание: Сбалансированное питание также играет важную роль в профилактике гингивита. Употребление продуктов, богатых витаминами C и D, а также кальцием, способствует укреплению десен и зубов. Избегайте избыточного потребления сахара и кислых продуктов, которые могут способствовать образованию зубного налета и воспалению десен.
3. Регулярные визиты к стоматологу: Профилактические осмотры у стоматолога должны проводиться не реже двух раз в год. Во время этих визитов стоматолог может выявить ранние признаки гингивита и других заболеваний десен, а также провести профессиональную чистку зубов, что поможет удалить зубной налет и камень.
4. Отказ от вредных привычек: Курение и употребление табака негативно влияют на здоровье десен, увеличивая риск развития гингивита. Отказ от этих привычек не только улучшит состояние десен, но и общее здоровье.
5. Устранение факторов риска: Люди с определенными заболеваниями, такими как диабет, должны уделять особое внимание профилактике гингивита, так как они находятся в группе повышенного риска. Контроль уровня сахара в крови и соблюдение рекомендаций врача помогут снизить вероятность воспаления десен.
Следуя этим рекомендациям, можно значительно снизить риск развития гингивита и сохранить здоровье десен на долгие годы. Забота о полости рта должна стать неотъемлемой частью повседневной жизни каждого человека.
Влияние гингивита на общее здоровье
Гингивит, как воспалительное заболевание десен, может оказывать значительное влияние не только на здоровье полости рта, но и на общее состояние организма. Исследования показывают, что воспалительные процессы в деснах могут быть связаны с рядом системных заболеваний, что подчеркивает важность своевременной диагностики и лечения гингивита.
Одним из наиболее заметных последствий гингивита является его связь с сердечно-сосудистыми заболеваниями. Воспаление десен может способствовать образованию атеросклеротических бляшек, что увеличивает риск инсульта и инфаркта миокарда. Бактерии, присутствующие в воспаленных деснах, могут попадать в кровоток и вызывать воспалительные реакции в сосудах, что приводит к ухудшению состояния сердечно-сосудистой системы.
Кроме того, гингивит может негативно сказаться на состоянии дыхательной системы. Исследования показывают, что бактерии из полости рта могут вызывать или усугублять заболевания легких, такие как пневмония. Особенно это актуально для людей с ослабленным иммунитетом или хроническими заболеваниями легких.
Не менее важным является влияние гингивита на диабет. Воспаление десен может ухудшать контроль уровня сахара в крови, что, в свою очередь, может привести к осложнениям диабета. Существует двусторонняя связь: диабет может способствовать развитию гингивита, а воспаление десен может ухудшать состояние диабетиков.
Гингивит также может оказывать влияние на беременность. Исследования показывают, что женщины с воспалением десен имеют повышенный риск преждевременных родов и низкой массы тела новорожденных. Воспалительные процессы могут вызывать системные изменения, которые негативно сказываются на здоровье матери и ребенка.
Таким образом, гингивит является не только локальной проблемой, но и фактором, способствующим развитию серьезных заболеваний. Это подчеркивает необходимость регулярных визитов к стоматологу, соблюдения гигиенических норм и своевременного лечения воспалительных процессов в полости рта. Забота о здоровье десен — это важный аспект общего здоровья, который не следует игнорировать.
Советы по уходу за полостью рта для предотвращения гингивита
Гингивит — это воспаление десен, которое может привести к более серьезным заболеваниям полости рта, если не принять меры. Профилактика гингивита начинается с правильного ухода за полостью рта. Вот несколько рекомендаций, которые помогут сохранить здоровье десен и предотвратить развитие гингивита.
1. Регулярная чистка зубов
Чистите зубы не менее два раза в день с использованием фторсодержащей зубной пасты. Это поможет удалить налет, который является основной причиной воспаления десен. Обратите внимание на технику чистки: используйте мягкие круговые движения и не забывайте чистить не только зубы, но и линии десен.
2. Использование зубной нити
Зубная нить помогает удалить остатки пищи и налет из межзубных пространств, куда не может добраться зубная щетка. Рекомендуется использовать зубную нить хотя бы раз в день, чтобы поддерживать здоровье десен и предотвращать образование карманов между зубами и деснами.
3. Полоскание рта антисептическими растворами
Полоскание рта антисептическими растворами может помочь уменьшить количество бактерий в полости рта и снизить риск воспаления десен. Выбирайте ополаскиватели, содержащие хлоргексидин или другие антисептики, и используйте их согласно инструкции.
4. Регулярные визиты к стоматологу
Посещение стоматолога не реже двух раз в год для профессиональной чистки зубов и осмотра поможет выявить проблемы на ранних стадиях. Стоматолог сможет удалить зубной камень и налет, которые невозможно удалить в домашних условиях, а также даст рекомендации по уходу за полостью рта.
5. Здоровое питание
Сбалансированное питание, богатое витаминами и минералами, особенно витамином C и кальцием, способствует укреплению десен. Избегайте избыточного потребления сахара и кислых продуктов, которые могут способствовать образованию налета и разрушению зубной эмали.
6. Отказ от курения
Курение негативно влияет на здоровье десен и увеличивает риск развития гингивита. Отказ от курения не только улучшит состояние десен, но и общее здоровье полости рта.
7. Устранение факторов стресса
Стресс может ослабить иммунную систему и сделать десны более восприимчивыми к воспалению. Практикуйте методы релаксации, такие как йога или медитация, чтобы снизить уровень стресса и поддерживать здоровье десен.
Следуя этим простым рекомендациям, вы сможете значительно снизить риск развития гингивита и сохранить здоровье своей улыбки на долгие годы.


