Флюс, или периостит, у детей — серьезная проблема, требующая внимательного подхода и своевременного лечения. В этой статье мы обсудим, как действовать, если у вашего ребенка возник флюс в возрасте 4–6 лет. Вы узнаете, почему не стоит самостоятельно удалять гнойник на десне, а также причины и последствия этого заболевания. Правильные действия помогут избежать осложнений и сохранить здоровье зубов ребенка.
Причины и симптомы
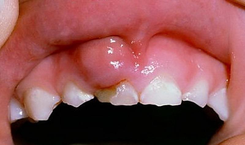
Периостит – это заболевание, которое ранее называли флюсом. Определить его наличие несложно, так как проявления болезни достаточно явные.
Флюс у детей, возникающий на фоне молочных зубов, проявляется в виде четко очерченного образования на десне, которое возникает из-за гнойного воспаления надкостницы на верхней или нижней челюсти.
С течением времени воспаление может распространяться из надкостницы в периодонт, что приводит к покраснению десны и образованию нароста.
Ни в коем случае нельзя пытаться самостоятельно удалить этот нарост, так как он заполнен гнойным экссудатом. Неправильные действия могут привести к травме десны и последующему заражению костной ткани челюсти и крови.
Флюс у детей может возникнуть по множеству причин:
- недостаточная гигиена полости рта;
- запущенный зубной кариес;
- механические повреждения зуба или слизистой оболочки рта, в том числе после удаления зуба;
- другие воспалительные заболевания полости рта;
- обострения вирусных и бактериальных инфекций;
- низкое качество стоматологического лечения;
- наследственные факторы и нарушения формирования костной ткани у плода во время беременности.
Симптомы периостита у детей во многом схожи с теми, что наблюдаются у взрослых, однако у детей они могут быть менее выраженными, а незрелая нервная система затрудняет их выявление.
Тем не менее, можно выделить основные признаки периостита:
- тупая или острая боль в десне, отдающая в зуб, особенно при жевании или контакте;
- отек щеки из-за воспалительного процесса на нижней челюсти;
- увеличение лимфатических узлов и болезненные ощущения в них, проявляющиеся только со стороны пораженной области;
- неприятный запах изо рта;
- отек века, если воспаление затрагивает надкостницу верхней челюсти;
- покраснение и отек десны;
- ярко выраженное образование на десне, вызывающее боль при прикосновении;
- общее недомогание, капризность и плаксивость ребенка.
Что касается повышения температуры, то этот симптом чаще встречается у взрослых с флюсом. У детей с периоститом высокая температура наблюдается редко, что усложняет диагностику заболевания.
Это также приводит к тому, что родители могут запустить болезнь у своих детей, прибегая к поверхностному самолечению.
Если у ребенка возник флюс, врачи рекомендуют не откладывать визит к стоматологу. Это состояние может быть признаком инфекции, требующей немедленного лечения. Специалисты подчеркивают, что важно не заниматься самолечением, так как это может усугубить проблему. Врач проведет осмотр, возможно, назначит рентген, чтобы определить степень поражения. В некоторых случаях может потребоваться дренирование абсцесса и назначение антибиотиков для борьбы с инфекцией. Также важно следить за общим состоянием ребенка: если наблюдаются высокая температура или сильная боль, необходимо срочно обратиться за медицинской помощью. Профилактика, включая регулярные осмотры у стоматолога и соблюдение гигиенических норм, поможет избежать подобных ситуаций в будущем.
https://youtube.com/watch?v=MwsNeFLvT9A
Флюс у ребёнка в разном возрасте
Дети до определённого возраста не имеют прорезавшихся коренных зубов, однако их зачатки уже формируются в челюсти.
Это подчеркивает важность лечения молочных зубов от кариеса и других заболеваний, поскольку здоровые коренные зубы не смогут нормально развиваться, если инфекция затронет десны и зубные зачатки. Молочные зубы необходимо лечить и устанавливать на них пломбы, даже если они временные.
Основная задача, которую должны ставить перед собой родители, заключается в сохранении здоровых молочных зубов ребёнка до достижения им шестилетнего возраста.
В этом возрасте начинается процесс замены молочных зубов на коренные, и удаление временных зубов, если это необходимо, не должно негативно сказаться на прикусе и направлении роста постоянных зубов.
Это подчеркивает, что регулярные профилактические визиты к стоматологу являются обязательными и должны проводиться при любых подозрениях на заболевания полости рта и зубов. Флюс может возникнуть как у молочного зуба ребёнка, так и у коренных зубов взрослого человека.
Не редкость, когда флюс появляется у ребёнка в возрасте 4 лет, так как иммунная система в этом возрасте ещё не достаточно развита.
Важно приучить ребёнка к правильной гигиене полости рта, поскольку предотвратить болезнь гораздо проще, чем лечить её последствия.
Тем не менее, если возникают видимые проблемы, необходимо немедленно обратиться к стоматологу. После осмотра полости рта для определения локализации и стадии развития периостита, врач назначает соответствующее лечение, а при необходимости может рекомендовать удалить молочный зуб.
Лечение обычно включает в себя обезболивающие и противовоспалительные препараты. В некоторых случаях может потребоваться хирургическое вмешательство.
Что делать, если у ребёнка возник флюс в 5 лет? Обычно в этом возрасте он развивается из-за некачественного лечения кариеса или вследствие механической травмы зуба, через которую инфекция проникает в надкостницу. Как только иммунная система ослабевает, например, во время простуды, периостит начинает проявляться.
Чтобы помочь ребёнку, необходимо как можно скорее обратиться к стоматологу. Ни в коем случае не следует пытаться самостоятельно извлечь гнойный экссудат или нагревать больное место, так как это может усугубить воспаление надкостницы и окружающих тканей. Важно помнить, что задержка с визитом к врачу может привести к серьёзным последствиям, включая заражение крови и даже угроза жизни ребёнка.
Иногда флюс может возникнуть у ребёнка в 6 лет. Иммунная система в этом возрасте значительно сильнее, чем раньше, но периостит всё равно может развиться. В этом случае также необходимо записаться на приём к стоматологу.
После диагностики, чаще всего, зуб в этом возрасте удаляют, чтобы обеспечить доступ к гнойной капсуле, особенно если зубы уже неоднократно лечили и пломбировали.
Самое главное — не откладывать визит к стоматологу. Тем не менее, существуют общие рекомендации при флюсе, которые следует соблюдать в ожидании консультации с врачом, но они не заменяют необходимость обращения к специалисту. К таким рекомендациям относятся:
- Запрещено прогревать поражённую область и использовать согревающие компрессы, так как тепло способствует размножению бактерий и усугубляет воспаление.
- Активное полоскание рта не имеет смысла, так как это не устранит источник проблемы, а болезнетворные бактерии могут попасть в пищеварительный тракт и заразить весь организм.
- Необходимо как можно быстрее обращаться к стоматологу при появлении флюса, особенно если он возникает повторно, так как это может свидетельствовать о некачественном лечении, позволившем бактериям размножаться длительное время до рецидива.
После хирургического вмешательства и удаления новообразования с десны врач назначает антибактериальную терапию с противовоспалительными препаратами.
Если болезнь часто возвращается, это сигнал о необходимости серьезно заняться укреплением иммунной системы ребёнка, но только под наблюдением специалистов.
https://youtube.com/watch?v=LdGECX67wn0
| Что делать | Чего не делать | Когда обратиться к врачу |
|---|---|---|
| Немедленно обратиться к стоматологу. | Не пытаться самостоятельно вскрывать флюс. | При первых признаках флюса (припухлость, боль, покраснение). |
| Дать ребенку обезболивающее (парацетамол или ибупрофен) в дозировке, соответствующей возрасту. | Не прикладывать к больному месту горячие компрессы, так как это может усилить воспаление. | Если боль усиливается, несмотря на обезболивающие. |
| Обеспечить ребенку покой и ограничить физическую активность. | Не давать ребенку твердую пищу, которая может травмировать десну. | Если у ребенка повышается температура, появляется озноб, слабость. |
| Следить за температурой тела ребенка. | Не использовать народные средства без консультации с врачом. | Если припухлость распространяется на другие части лица или шеи. |
| Предложить ребенку полоскать рот теплой водой с солью (если ребенок достаточно взрослый и умеет полоскать). | Не откладывать визит к стоматологу, так как флюс может привести к серьезным осложнениям. | Если у ребенка затруднено глотание или дыхание. |
Методы диагностики
При подозрении на флюс у ребенка важно провести тщательную диагностику, чтобы подтвердить диагноз и определить дальнейшие действия. Флюс, или периостит, представляет собой воспаление тканей, окружающих корень зуба, и может быть вызван различными факторами, такими как инфекция, травма или кариес.
Первым шагом в диагностике является осмотр стоматолога. Врач проведет визуальный осмотр ротовой полости, обращая внимание на наличие отека, покраснения и болезненности в области десен. Важно отметить, что флюс может проявляться не только в виде видимого отека, но и в виде болезненности при нажатии на десну.
Для более точной диагностики стоматолог может назначить рентгенографию. Этот метод позволяет увидеть состояние корней зубов и окружающих тканей, а также выявить наличие инфекции или кариеса, которые могут быть причиной воспаления. Рентгеновские снимки помогут определить, насколько глубоко инфекция распространилась и есть ли необходимость в хирургическом вмешательстве.
Кроме того, в некоторых случаях может потребоваться анализ крови для оценки общего состояния здоровья ребенка и выявления признаков инфекции. Повышенный уровень лейкоцитов может свидетельствовать о наличии воспалительного процесса в организме.
Важно также собрать анамнез, который включает в себя информацию о предыдущих заболеваниях зубов, наличии аллергий, а также о том, как долго наблюдаются симптомы. Это поможет врачу составить полную картину состояния здоровья ребенка и выбрать наиболее подходящий метод лечения.
Если у ребенка наблюдаются дополнительные симптомы, такие как высокая температура, слабость или ухудшение общего состояния, это также должно быть сообщено врачу, так как может указывать на более серьезные осложнения.
Таким образом, диагностика флюса у ребенка включает в себя визуальный осмотр, рентгенографию, анализы и сбор анамнеза. Все эти методы помогут врачу определить точный диагноз и разработать эффективный план лечения.
https://youtube.com/watch?v=w22PAcyzK5o
Лечение флюса
Флюс, или периостит, представляет собой воспаление тканей, окружающих корень зуба. У детей это состояние может вызывать значительный дискомфорт и боль, поэтому важно своевременно принять меры для его лечения. В первую очередь, необходимо обратиться к стоматологу, который проведет осмотр и назначит соответствующее лечение.
На начальном этапе врач может рекомендовать следующие методы лечения:
- Обезболивание: Для уменьшения болевых ощущений могут быть назначены обезболивающие препараты, такие как парацетамол или ибупрофен. Важно следовать рекомендациям врача по дозировке, особенно для детей.
- Антибиотики: Если флюс вызван бактериальной инфекцией, стоматолог может прописать курс антибиотиков. Это поможет устранить инфекцию и предотвратить дальнейшие осложнения.
- Хирургическое вмешательство: В некоторых случаях может потребоваться дренирование гноя. Это делается для снятия давления и уменьшения воспаления. Процедура обычно проводится под местной анестезией.
После проведения основных лечебных мероприятий важно следить за состоянием ребенка. Родителям следует обратить внимание на следующие моменты:
- Соблюдение гигиены полости рта: Объясните ребенку важность регулярной чистки зубов и использования антисептических ополаскивателей для рта. Это поможет предотвратить повторное возникновение флюса.
- Контроль за температурой: Следите за температурой тела ребенка. Если она повышается или появляются другие симптомы, такие как отек или покраснение, необходимо немедленно обратиться к врачу.
- Правильное питание: В период лечения рекомендуется давать ребенку мягкую и питательную пищу, чтобы избежать дополнительного раздражения воспаленных тканей.
Важно помнить, что самолечение может привести к серьезным осложнениям, поэтому все действия должны быть согласованы с врачом. В случае появления любых тревожных симптомов, таких как сильная боль, отек или повышение температуры, следует незамедлительно обратиться за медицинской помощью.
После завершения лечения стоматолог может рекомендовать профилактические меры, такие как регулярные осмотры у стоматолога и использование фторсодержащих средств для укрепления зубной эмали. Это поможет снизить риск возникновения флюса в будущем и сохранить здоровье зубов вашего ребенка.
Профилактика флюса у детей
Профилактика флюса у детей является важной задачей для родителей, поскольку это заболевание может привести к серьезным осложнениям. Флюс, или периостит, возникает в результате воспаления тканей, окружающих зуб, и часто сопровождается сильной болью и отеком. Чтобы минимизировать риск его возникновения, следует обратить внимание на несколько ключевых аспектов.
1. Регулярная гигиена полости рта: Обучите ребенка правильной технике чистки зубов. Чистить зубы следует дважды в день, используя зубную пасту с фтором. Не забывайте о зубной нити и ополаскивателях для рта, которые помогут удалить остатки пищи и налет из труднодоступных мест.
2. Правильное питание: Сбалансированное питание играет важную роль в здоровье зубов. Убедитесь, что рацион ребенка включает достаточное количество кальция, витаминов и минералов. Ограничьте потребление сладостей и газированных напитков, которые могут способствовать развитию кариеса.
3. Регулярные визиты к стоматологу: Профилактические осмотры у стоматолога должны проводиться не реже двух раз в год. Специалист сможет выявить проблемы на ранней стадии и предложить соответствующее лечение. Также важно следить за состоянием молочных зубов, так как их здоровье напрямую влияет на формирование постоянных зубов.
4. Укрепление иммунной системы: Здоровый образ жизни, включая физическую активность, достаточный сон и прогулки на свежем воздухе, поможет укрепить иммунитет ребенка. Это, в свою очередь, снизит риск инфекционных заболеваний, которые могут привести к воспалению десен и флюсу.
5. Обучение ребенка: Важно объяснить ребенку, почему необходимо заботиться о зубах и деснах. Обучение основам гигиены полости рта с раннего возраста поможет сформировать правильные привычки и снизить риск возникновения стоматологических заболеваний.
Следуя этим рекомендациям, вы сможете значительно снизить вероятность возникновения флюса у вашего ребенка и обеспечить ему здоровую улыбку на долгие годы.

