Протезирование молочных зубов у детей — важная процедура для сохранения здоровья полости рта и правильного развития челюстно-лицевой системы. В статье рассмотрим показания к протезированию, современные методы и технологии, а также отзывы родителей и фотографии до и после процедуры. Эта информация поможет родителям, сталкивающимся с проблемами зубов у детей, узнать о возможностях восстановления утраченных молочных зубов.
Для чего выполняется протезирование зубов детям
Процесс протезирования молочных зубов у детей имеет свои особенности, отличающие его от аналогичных процедур у взрослых. Прежде всего, стоит отметить, что в ротовой полости ребенка находится двадцать молочных зубов, выполняющих важные функции.
Если у малыша по каким-либо причинам поврежден или выпал хотя бы один зуб, это становится серьезной проблемой. Смена молочных зубов на коренные происходит в возрасте от 6 до 12 лет, когда активно развивается скелет. Важно внимательно следить за состоянием зубов детей до этого периода. Взрослые часто задаются вопросом, зачем проводить протезирование, если на месте молочного зуба вскоре вырастет коренной.
Существует множество причин, по которым необходимо удалять молочный зуб. Он может стать источником инфекции или, при сильном разрушении, вызвать другие проблемы. Коренные зубы появляются в определенные сроки: резцы начинают расти примерно в 6-9 лет, а клыки — в 10-12 лет. Своевременное протезирование молочных зубов у детей помогает избежать проблем со здоровьем зубов и способствует правильному развитию челюсти. В противном случае могут возникнуть следующие последствия:
- повышенная нагрузка на оставшиеся зубы;
- освободившееся место могут занять моляры и резцы, что приведет к недостатку пространства для коренных зубов и их неправильному росту;
- возможные дефекты прикуса;
- затруднения при пережевывании пищи;
- нарушения дикции, что особенно важно в возрасте 5-6 лет, так как неправильное произношение может остаться на всю жизнь;
- дети могут стесняться улыбаться, если потеряют передние зубы.
Таким образом, детское протезирование молочных зубов, отзывы о котором в основном положительные, является крайне важным мероприятием. Оно обеспечивает не только здоровую улыбку и внешний вид, но и правильное развитие челюстного аппарата.
Врачи-стоматологи отмечают, что протезирование молочных зубов у детей является важной процедурой, способствующей сохранению здоровья полости рта. По мнению специалистов, ранняя потеря молочных зубов может привести к нарушениям в формировании прикуса и развитию других стоматологических проблем. Протезирование помогает восстановить функциональность зубного ряда и предотвратить смещение соседних зубов.
Врачи подчеркивают, что выбор метода протезирования зависит от возраста ребенка, состояния его зубов и общего здоровья. Современные материалы и технологии позволяют создавать комфортные и эстетически привлекательные протезы, которые не вызывают дискомфорта у детей. Кроме того, стоматологи рекомендуют проводить регулярные профилактические осмотры, чтобы вовремя выявлять проблемы и принимать необходимые меры. Таким образом, протезирование молочных зубов становится важным шагом в обеспечении здоровья и благополучия детей.
https://youtube.com/watch?v=BftSjyiyycA
Показания к протезированию
Протезирование у маленьких детей рекомендуется в следующих ситуациях:
- наличие серьезного кариеса или флюороза, когда восстановить сильно поврежденные зубы с помощью пломб невозможно;
- периодонтит, который приводит к значительному расшатыванию и потере зубов;
- раннее выпадение молочных зубов по различным причинам, включая травмы с осколками;
- наличие косметических дефектов в области передних зубов, что создает дискомфорт для ребенка;
- врожденные аномалии зубной эмали, полное отсутствие зубов или выраженные дефекты.
| Тип протеза | Показания | Преимущества |
|---|---|---|
| Коронки из нержавеющей стали | Обширное разрушение зуба кариесом, после пульпотомии/пульпэктомии, гипоплазия эмали | Прочность, долговечность, экономичность, быстрота установки |
| Композитные коронки | Эстетические требования, небольшие дефекты, после пульпотомии/пульпэктомии | Эстетичность, возможность подбора цвета, минимальная обточка зуба |
| Коронки из диоксида циркония | Высокие эстетические требования, аллергия на металлы, обширные разрушения | Высокая эстетичность, биосовместимость, прочность, долговечность |
| Частичные съемные протезы | Преждевременная потеря нескольких молочных зубов, сохранение места для постоянных зубов | Восстановление жевательной функции, эстетики, предотвращение смещения зубов |
| Космические аппараты (Space maintainers) | Преждевременная потеря одного молочного зуба, сохранение места для постоянного зуба | Предотвращение смещения соседних зубов, сохранение места для прорезывания постоянного зуба |
Процесс протезирования
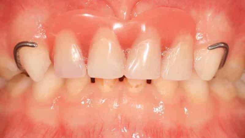
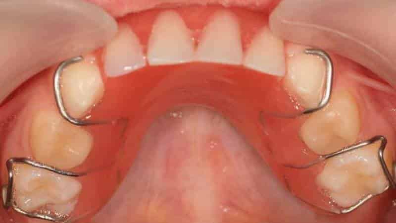
На представленном изображении можно увидеть детское протезирование зубов в двух вариантах:
- установка пластиковых зубов на съемной пластинке;
- применение протеза-распорки, который предотвращает смещение соседних зубов.
Своевременное протезирование осуществляется с учетом определенных требований к протезам, в частности, конструкция должна не мешать правильному развитию и росту челюсти. Протез сохраняет эстетические качества, безопасен (не травмирует эмаль и слизистую), обладает гипоаллергенными свойствами, не подвержен усадке и не набухает от влаги.
Процесс протезирования проходит безболезненно. Протезы изготавливаются из различных материалов, таких как пластик, нейлон, хромированная сталь, а также сплавы, содержащие олово и серебро. В некоторых случаях используется нержавеющая сталь. В детском протезировании часто применяются протезы на одну единицу, которые фиксируются с помощью кламмеров (полукруглый замок) или клея. Если необходимо удалить несколько зубов, целесообразно устанавливать мостовидные конструкции, где важен выбор материала. Наилучшим вариантом считается нейлон или недорогой пластик. Нейлон отличается высокой гипоаллергенностью и безопасностью для ребенка, а также способен идеально повторять естественный рельеф слизистой.
Пластиковые конструкции реже используются для замещения молочных зубов, так как могут вызывать аллергические реакции. Однако при отсутствии противопоказаний пластиковые изделия могут стать отличным выбором благодаря своей прочности, естественному внешнему виду и относительно низкой стоимости.
Детские протезы делятся на три основные категории:
- профилактические;
- лечебные;
- фиксирующие (для крепления лечебных материалов и различных аппаратов).
Как и взрослые, они могут быть съемными или несъемными, но чаще всего для детей выбираются съемные, так как их легче заменить по мере роста и изменения костной ткани.
Также стоит отметить различные виды детских протезов, такие как штифты, вкладки, пластинчатые, мостовидные конструкции и коронки. Штифты используются в передней части челюсти и для клыков, а коронки защищают зубы от дальнейших повреждений. Все конструкции изготавливаются на основе индивидуальных слепков пациентов. Съемные протезы могут иметь дополнительные пружины и винтики, которые заменяются по мере роста челюсти. Пластинчатые раздвижные протезы с большим базисным размером не создают препятствий для роста. В детском протезировании используются как металлические, так и композитные коронки. Металлические коронки применяются для восстановления жевательных зубов и изготавливаются из прочных современных металлов, таких как никельхромовый сплав или нержавеющая сталь. Композитные коронки устанавливаются на передние зубы.
Процесс протезирования проходит в несколько этапов. После удаления молочного зуба должно пройти не менее семи дней для заживления лунки, прежде чем можно будет начать протезирование. На первом этапе стоматолог делает слепок челюсти, чтобы будущий протез соответствовал зубному ряду, и подбирает цвет эмали.
На основе полученных данных протез изготавливается в лаборатории, после чего проводится его примерка у стоматолога. Ребенок может разговаривать и есть без проблем. Если возникают какие-либо неудобства, конструкция возвращается на доработку. Протезирование выполняется с использованием местной анестезии.
https://youtube.com/watch?v=C93cOVa9ZMM
Преимущества протезов для детей
Современные детские протезы обладают рядом значительных преимуществ. Они отличаются высокой прочностью, не оказывают негативного воздействия на гигиену полости рта и предотвращают развитие кариеса. Протезы для детей помогают сохранить место для появления постоянного здорового зуба, защищая ребенка от формирования неправильного прикуса и связанных с этим проблем с речью.
Такие конструкции позволяют детям полноценно питаться, откусывать и выполнять все необходимые жевательные функции.
Процедура установки протезов осуществляется за одно посещение, что значительно уменьшает количество визитов в стоматологическую клинику. В результате ребенок чувствует себя комфортно и получает красивую, здоровую улыбку. Протезирование детей стало распространенной практикой в современных стоматологических учреждениях. При выборе клиники для установки протезов важно обратить внимание на качество услуг и опыт стоматологов, чтобы обеспечить комфортный и профессиональный процесс протезирования.
Детские зубы нуждаются в особенном уходе
Чтобы минимизировать проблемы с зубами у ребенка, важно обеспечить правильный уход и регулярно посещать стоматолога для оценки состояния зубов. Также необходимо следить за тем, чтобы дети чаще мыли руки, так как на них скапливается множество вредных бактерий.
Дети часто тянут руки в рот по разным причинам, особенно в период прорезывания коренных зубов. К факторам, способствующим заболеваниям ротовой полости, можно отнести употребление немытых продуктов, овощей и фруктов.
Правильное питание, регулярные визиты к стоматологу для профилактических осмотров, ежедневная чистка зубов и полоскание рта чистой водой после еды помогут избежать заболеваний и сохранить красивую улыбку вашего ребенка.
Если у ребенка установлен съемный протез, его следует хранить на ночь в специальном растворе, чистить щеткой с пастой не реже двух раз в день и полоскать рот после каждого приема пищи.
https://youtube.com/watch?v=EmgdlwQQqa0
Типы протезов для молочных зубов
Протезирование молочных зубов у детей является важной частью стоматологической помощи, особенно в случаях, когда зубы теряются из-за травм, кариеса или других заболеваний. Существует несколько типов протезов, которые могут быть использованы для восстановления функциональности и эстетики зубного ряда у детей. Каждый из них имеет свои особенности, преимущества и недостатки.
1. Съемные протезы
Съемные протезы представляют собой конструкции, которые ребенок может самостоятельно снимать и надевать. Они обычно изготавливаются из акрилового материала и могут быть как полными, так и частичными. Полные съемные протезы используются в случаях, когда отсутствуют все молочные зубы, тогда как частичные применяются для замещения одного или нескольких утраченных зубов.
Преимущества съемных протезов включают их простоту в изготовлении и возможность легкой замены. Однако они могут вызывать дискомфорт у ребенка, особенно в начале использования, и требуют регулярного ухода и чистки.
2. Несъемные протезы
Несъемные протезы, такие как коронки и мосты, фиксируются на оставшихся зубах или имплантах и не могут быть удалены ребенком. Коронки могут быть изготовлены из различных материалов, включая металл, керамику или композитные смолы. Они используются для восстановления поврежденных молочных зубов, обеспечивая защиту и восстановление их функции.
Мосты, в свою очередь, применяются для замещения одного или нескольких отсутствующих зубов, опираясь на соседние зубы. Они обеспечивают более стабильную фиксацию и могут быть более комфортными для ребенка, чем съемные протезы.
3. Временные протезы
Временные протезы, также известные как временные коронки, используются для защиты зуба до установки постоянного протеза. Они могут быть изготовлены из акрила или композитных материалов и служат для предотвращения смещения соседних зубов и поддержания правильного прикуса. Временные протезы обычно используются в случаях, когда зубы подлежат дальнейшему лечению или когда ожидается, что зубы будут заменены постоянными.
4. Имплантаты
Хотя имплантация молочных зубов не является распространенной практикой, в некоторых случаях, особенно при отсутствии нескольких зубов, может быть рекомендовано использование мини-имплантов. Эти конструкции обеспечивают надежную фиксацию и могут служить основой для установки коронок или мостов. Однако имплантация требует тщательной оценки состояния здоровья ребенка и его челюстной системы.
Выбор протеза
Выбор типа протеза зависит от множества факторов, включая возраст ребенка, состояние его зубов, наличие соседних зубов, а также финансовые возможности семьи. Важно, чтобы решение принималось совместно с детским стоматологом, который сможет оценить все аспекты и предложить наиболее подходящий вариант. Правильный выбор протеза поможет обеспечить не только восстановление функции жевания, но и сохранение здоровья зубочелюстной системы в целом.
Психологические аспекты протезирования у детей
Протезирование молочных зубов у детей — это не только медицинская, но и психологическая задача. У детей, особенно в раннем возрасте, потеря зуба может стать серьезным стрессом. Важно учитывать, что эмоциональное состояние ребенка напрямую влияет на его общее здоровье и восприятие стоматологических процедур.
Первоначально, потеря зуба может вызвать у ребенка страх и тревогу. Это связано с тем, что дети часто ассоциируют стоматологические манипуляции с болью и дискомфортом. Поэтому важно заранее подготовить ребенка к предстоящей процедуре, объяснив, что протезирование — это способ вернуть улыбку и здоровье зубов. Использование простых и понятных слов, а также позитивных примеров может помочь снизить уровень страха.
Также стоит учитывать, что дети очень чувствительны к мнению окружающих. Если ребенок потерял зуб, он может начать стесняться своей улыбки, что может привести к снижению самооценки. Протезирование молочных зубов помогает не только восстановить функциональность, но и улучшить внешний вид, что в свою очередь способствует повышению уверенности в себе. Важно поддерживать ребенка и подчеркивать, что его улыбка по-прежнему красива.
Кроме того, процесс протезирования может стать для ребенка возможностью научиться заботиться о своем здоровье. Важно объяснить, что протезы требуют ухода, как и настоящие зубы. Это может стать хорошей основой для формирования правильных гигиенических привычек с раннего возраста.
Не менее важным аспектом является вовлечение родителей в процесс. Поддержка и участие родителей могут значительно снизить уровень тревожности у ребенка. Совместные посещения стоматолога, обсуждение процесса протезирования и выбор протеза могут помочь ребенку чувствовать себя более уверенно и спокойно.
В заключение, психологические аспекты протезирования молочных зубов у детей требуют внимательного подхода. Эмоциональная поддержка, правильная информация и вовлечение родителей могут значительно облегчить процесс и помочь ребенку адаптироваться к изменениям, связанным с потерей зубов и их восстановлением.
Рекомендации по выбору стоматолога для детей
Выбор стоматолога для детей — это важный шаг, который может существенно повлиять на здоровье зубов и общее впечатление ребенка от посещения врача. При выборе специалиста стоит учитывать несколько ключевых факторов.
1. Специализация и опыт работы
Первое, на что стоит обратить внимание, — это специализация стоматолога. Лучше всего, если врач имеет опыт работы именно с детьми и прошел соответствующее обучение. Стоматологи, специализирующиеся на детской стоматологии, знают, как правильно общаться с детьми, чтобы снизить уровень стресса и страха. Также они знакомы с особенностями роста и развития молочных зубов, что позволяет им более точно оценивать состояние зубочелюстной системы ребенка.
2. Атмосфера в клинике
Важно, чтобы клиника имела дружелюбную и комфортную атмосферу. Дети часто боятся стоматологов, поэтому наличие яркого и веселого интерьера, игрушек и развлекательных зон может помочь ребенку чувствовать себя более расслабленно. Также стоит обратить внимание на то, как персонал общается с маленькими пациентами — доброжелательность и терпение очень важны.
3. Отзывы и рекомендации
Перед выбором стоматолога полезно ознакомиться с отзывами других родителей. Рекомендации знакомых или друзей могут помочь найти хорошего специалиста. Также можно обратиться к интернет-ресурсам, где родители делятся своим опытом. Обратите внимание на отзывы о качестве обслуживания, уровне профессионализма врача и атмосфере в клинике.
4. Современное оборудование и технологии
Современные технологии и оборудование играют важную роль в детской стоматологии. Убедитесь, что клиника использует новейшие методы диагностики и лечения, такие как цифровая рентгенография, что позволяет минимизировать радиационную нагрузку на ребенка. Также важно, чтобы стоматолог применял безболезненные методы лечения и использовал качественные материалы для протезирования.
5. Индивидуальный подход
Каждый ребенок уникален, и стоматолог должен уметь находить индивидуальный подход к каждому пациенту. Важно, чтобы врач учитывал возраст, уровень тревожности и особенности здоровья ребенка. Хороший стоматолог всегда объяснит ребенку, что будет происходить во время процедуры, и ответит на все его вопросы, чтобы снизить страх и повысить доверие.
6. Наличие лицензий и сертификатов
Не забудьте проверить наличие лицензий и сертификатов у стоматолога. Это гарантирует, что специалист прошел необходимое обучение и соответствует современным стандартам в области стоматологии. Лицензия также свидетельствует о том, что стоматолог соблюдает все нормы и правила, касающиеся безопасности и качества медицинских услуг.
Выбор стоматолога для детей — это ответственный процесс, который требует внимательности и тщательного подхода. Правильный специалист поможет не только решить текущие проблемы с зубами, но и сформировать у ребенка положительное отношение к стоматологической помощи на всю жизнь.




