Пластины для выравнивания зубов — важный инструмент в ортодонтии для детей и взрослых, позволяющий исправить прикус и улучшить эстетику улыбки. В статье рассмотрим процесс изготовления и установки пластин, а также правила ухода за ними, что поможет вам правильно использовать этот метод коррекции зубов. Обсудим плюсы и минусы пластин, чтобы вы могли осознанно выбрать ортодонтическое лечение. Фотографии и видео наглядно продемонстрируют процесс и результаты, делая информацию более доступной.
Характеристика и виды пластин для выравнивания
В норме все постоянные зубы, за исключением третьих моляров, начинают прорезываться в период с 6 до 13 лет. Этот возрастной интервал считается наиболее подходящим для применения зубных пластин у детей, если у них наблюдаются проблемы с прикусом или неровности зубного ряда.
Зубные пластины для детей представляют собой ортодонтические устройства, которые могут иметь различные формы в зависимости от конкретной аномалии.
При создании пластин для выравнивания зубов у детей используется в основном мягкая пластмасса, которая не вызывает аллергических реакций и не травмирует слизистую оболочку рта. В состав пластин также входит металлическая проволока (из никеля или титана), а также могут присутствовать различные крючки, винты и пружины. Все пластины для выравнивания делятся на съемные и несъемные (брекет-системы). Съемные конструкции чаще применяются при небольших дефектах, их преимущество заключается в возможности снимать их во время еды и гигиенических процедур. Обычно такие пластины носят около двух лет. Несъемные конструкции представляют собой системы с замочками, в которых находятся металлические дуги, которые затем стягиваются в нужном направлении. Они используются в более сложных случаях и могут носиться в течение нескольких лет. У детей чаще всего применяются съемные устройства для выравнивания зубов.
Пластины для зубов взрослым практически не устанавливаются, так как они не дают ожидаемого результата из-за неподвижности и жесткости зубов в этом возрасте. В таких ситуациях чаще используются несъемные конструкции, хотя при небольших дефектах могут быть применены и пластины для взрослых.
В зависимости от механизма действия выделяют следующие виды пластинок:
- функциональные ‒ предназначены для нормализации работы жевательных мышц и стимуляции роста челюстей. Эти аппараты также применяются при наличии у ребенка вредных привычек (например, сосание пальцев или игрушек), что может привести к формированию неправильного прикуса (неправильный наклон зубов, недоразвитие челюсти и другие проблемы). Такие устройства могут быть двухчелюстными или одночелюстными. При их использовании ребенок не может говорить или есть. Носить функциональные пластины необходимо не менее 14 часов в сутки;
- механические ‒ работают благодаря наличию винтов, дуг, кламмеров и других элементов, изготовленных из металлической проволоки. Они предназначены для расширения зубного ряда и выпрямления кривых зубов;
- комбинированные пластины ‒ сочетают в себе элементы функциональных и механических аппаратов.
Также выделяют:
- одночелюстные пластины ‒ имеют винты, действие которых основано на их подкручивании. Используются при дефектах отдельных зубов, а также для коррекции ширины и размеров зубного ряда;
- пластины с рукообразным отростком, который оказывает давление на отдельный деформированный зуб, способствуя устранению дефекта;
- пластины с ретракционной дугой, обладающей пружинищими свойствами. Применяются при протруссивном положении передних зубов;
- пластинки с толкателем, который помогает исправить небное расположение зубов. Используются только на верхней челюсти.
Врачи-ортодонты отмечают, что пластины для выравнивания зубов являются эффективным средством коррекции прикуса и выравнивания зубного ряда. Они рекомендуют использовать такие устройства в раннем возрасте, когда челюсти еще активно развиваются, что позволяет достичь лучших результатов. Специалисты подчеркивают, что пластины могут быть как съемными, так и несъемными, и выбор зависит от индивидуальных особенностей пациента. Важно, чтобы лечение проводилось под контролем квалифицированного врача, который сможет правильно оценить ситуацию и подобрать оптимальный план терапии. Врачи также акцентируют внимание на необходимости соблюдения гигиенических норм во время ношения пластин, чтобы избежать осложнений. В целом, при правильном подходе пластины могут значительно улучшить не только эстетику улыбки, но и функциональность зубочелюстной системы.
https://youtube.com/watch?v=lKJ7bj6y0Xw
Показания к применению зубных пластин
Пластины для зубов не решают все проблемы и чаще всего назначаются ортодонтами при наличии небольших дефектов.
К основным показаниям для применения пластинок относятся:
- необходимость ускорения или замедления роста челюстных костей;
- коррекция формы челюстных костей;
- риск смещения зубов;
- изменение положения отдельных зубов в ряду;
- коррекция ширины и размеров неба;
- удержание зубов в заданном положении для формирования правильного прикуса;
- подготовка зубов к установке брекет-системы или закрепление результата после лечения с помощью брекетов.
Наиболее эффективным является применение пластин у детей в период замены молочных зубов на постоянные.
| Тип пластины | Преимущества | Недостатки |
|---|---|---|
| Съемные пластины (ретейнеры) | Легко снимаются для еды и чистки, относительно недорогие, эффективны при незначительных дефектах. | Требуют дисциплины ношения, могут влиять на дикцию, менее эффективны при серьезных аномалиях. |
| Несъемные пластины (брекеты) | Высокая эффективность при любых аномалиях прикуса, постоянное воздействие, не требуют контроля со стороны пациента. | Затрудняют гигиену полости рта, могут вызывать дискомфорт, требуют регулярных визитов к ортодонту, более дорогие. |
| Элайнеры (прозрачные каппы) | Эстетичны, легко снимаются, комфортны в ношении, не влияют на дикцию. | Высокая стоимость, требуют дисциплины ношения, не всегда эффективны при сложных случаях, могут окрашиваться. |
| Лингвальные брекеты | Полностью невидимы, высокая эстетика, эффективны при любых аномалиях. | Высокая стоимость, могут вызывать дискомфорт и проблемы с дикцией, затрудняют гигиену, сложнее в установке и коррекции. |
Почему необходимы зубные пластинки для выравнивания
К сожалению, многие не осознают значимость коррекции патологического прикуса у детей, обращаясь к специалисту на поздних стадиях, когда лечение становится более длительным и сложным. Оптимальным временем для консультации с ортодонтом является детский возраст, когда зубы еще легко поддаются изменениям. Важно помнить, что неправильный прикус не только негативно сказывается на внешнем виде, но и может привести к множеству проблем, среди которых:
- неравномерное распределение нагрузки на жевательные поверхности;
- износ зубной эмали на участках, испытывающих повышенное давление при жевании;
- образование налета на труднодоступных участках зубов из-за их неправильного расположения;
- воспалительные процессы в мягких тканях полости рта;
- нарушения в процессе глотания, речи или даже дыхания;
- проблемы с желудочно-кишечным трактом из-за недостаточного пережевывания пищи.
https://youtube.com/watch?v=OGELkJmaZps
Плюсы и минусы зубных пластин
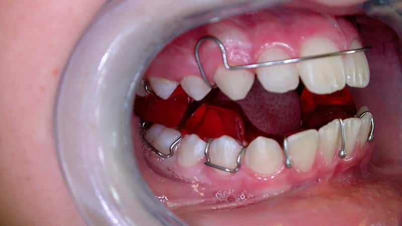
Детские ортодонтические пластинки (см. фото ниже) обладают как положительными, так и отрицательными сторонами. К основным преимуществам этих устройств можно отнести:
- возможность снимать их во время еды и чистки зубов;
- простота в уходе;
- отсутствие дискомфорта и болевых ощущений при использовании по сравнению с брекетами;
- более короткие сроки изготовления по сравнению с несъемными системами;
- безопасные материалы, из которых изготавливаются пластинки, не вызывают аллергии и не травмируют слизистую рта;
- значительно более низкая стоимость по сравнению с брекет-системами.
Однако у этих пластинок есть и свои недостатки, среди которых:
- возрастные ограничения ‒ съемные пластинки рекомендуются для детей, когда зубы еще податливы, что позволяет достичь желаемого результата;
- зубные пластины эффективны только при незначительных деформациях (например, при неправильном расположении отдельных зубов, диастеме, изменении размера неба или формы челюсти), в то время как для более серьезных проблем требуется установка брекетов;
- поскольку пластинки можно снимать, детям необходим дополнительный контроль, так как они могут легко их снять самостоятельно;
- более длительный срок использования по сравнению с несъемными конструкциями.
Процесс изготовления и установка зубной пластины
Установка ортодонтических пластин для детей проходит в несколько последовательных этапов. В первую очередь, во время визита к стоматологу-ортодонту выполняется рентгеновское исследование зубных рядов. Далее снимаются слепки, и после их анализа создаются гипсовые модели, которые обязательно нужно примерить, чтобы убедиться в их идеальной посадке. Если гипсовая модель точно соответствует форме зубов, она отправляется в зуботехническую лабораторию, где на ее основе изготавливается пластина для коррекции прикуса. Для производства пластинки используется высококачественная медицинская пластмасса, обладающая гипоаллергенными свойствами и не вызывающая повреждений слизистой оболочки рта и мягких тканей. Металлическая дуга изготавливается из никеля или титана и должна надежно фиксировать пластину на передних зубах.
Процесс установки пластины на зубы у детей занимает не более десяти минут. В начале пациент может испытывать небольшой дискомфорт, однако он полностью проходит в течение 3-5 дней.
Правила ухода за пластиной
Рекомендуется снимать пластинку перед каждым приемом пищи, так как в противном случае еда может забиваться в конструкции, что снизит их эффективность. Кроме того, застрявшие остатки пищи могут способствовать развитию бактериальных инфекций и кариеса. Снимать пластинки следует только чистыми руками, чтобы избежать возникновения стоматита. Родителям необходимо следить за тем, чтобы ребенок не снимал пластинку на ночь, так как это может негативно сказаться на результате лечения.
Уход за пластинкой включает ее чистку отдельной зубной щеткой средней жесткости и специальными гелями — ежедневным и гелем для глубокого очищения, который следует использовать раз в неделю. Также раз в неделю рекомендуется погружать пластинку в дезинфицирующий раствор. Перед тем как надеть выравнивающую пластинку, ее нужно промыть в кипяченой воде, а когда она снята, хранить в специально предназначенном контейнере. Если на устройстве есть винт, после чистки его следует смазать небольшим количеством растительного масла и проверить его движение по часовой стрелке и обратно.
Неправильный прикус и расположение зубов не только ухудшают внешний вид, но и могут вызвать множество осложнений как в полости рта, так и в пищеварительной системе и других органах. Поэтому при наличии у ребенка дефектов крайне важно своевременно обратиться к стоматологу-ортодонту.
Наиболее подходящим временем для исправления зубных деформаций является детский возраст, так как зубы у детей более податливы и легче поддаются изменениям. Оптимальным методом лечения дефектов прикуса и отдельных зубов у детей являются пластины для выравнивания. Они удобны в использовании, менее затратны, чем несъемные устройства, и при своевременном применении достаточно эффективны.
https://youtube.com/watch?v=EfHt7mc9pfI
Сравнение пластин с другими методами ортодонтии
Пластины для выравнивания зубов представляют собой один из методов ортодонтического лечения, который часто сравнивают с другими подходами, такими как брекеты и элайнеры. Каждый из этих методов имеет свои преимущества и недостатки, и выбор подходящего варианта зависит от индивидуальных потребностей пациента, степени искривления зубов и других факторов.
Брекеты, как правило, являются наиболее распространенным методом ортодонтического лечения. Они состоят из металлических или керамических brackets, которые прикрепляются к зубам и соединяются между собой с помощью проволоки. Брекеты эффективны для исправления сложных случаев, таких как значительное искривление зубов или неправильный прикус. Однако они требуют более длительного времени ношения и могут вызывать дискомфорт, а также требуют тщательной гигиены полости рта.
С другой стороны, элайнеры, такие как Invisalign, представляют собой прозрачные пластиковые капы, которые постепенно перемещают зубы в нужное положение. Они более эстетичны и удобны в использовании, так как их можно снимать во время еды и чистки зубов. Однако элайнеры могут быть менее эффективны для лечения серьезных ортодонтических проблем и требуют строгого соблюдения режима ношения.
Пластины для выравнивания зубов занимают промежуточное положение между брекетами и элайнерами. Они могут быть как съемными, так и несъемными, и используются для коррекции легких и средних случаев искривления зубов. Пластины часто применяются у детей и подростков, так как их челюсти еще развиваются, и лечение может быть более эффективным. Кроме того, пластины могут быть менее заметными, чем брекеты, что делает их более привлекательными для пациентов, заботящихся о внешнем виде.
Однако, как и любой метод, пластины имеют свои ограничения. Они могут быть менее эффективными для исправления сложных случаев, и их использование требует от пациента высокой степени дисциплины, особенно если речь идет о съемных пластинах, которые необходимо носить определенное количество часов в день.
В заключение, выбор между пластинами, брекетами и элайнерами зависит от множества факторов, включая степень искривления зубов, возраст пациента, его предпочтения и бюджет. Консультация с квалифицированным ортодонтом поможет определить наилучший метод лечения для каждого конкретного случая.
Возрастные особенности применения зубных пластин
Пластины для выравнивания зубов, также известные как ортодонтические пластины, применяются для коррекции прикуса и выравнивания зубного ряда. Их использование может варьироваться в зависимости от возраста пациента, так как в разные периоды жизни зубочелюстная система имеет свои особенности и потребности.
Детский возраст (от 6 до 12 лет)
В этом возрасте зубы активно меняются, и челюсти продолжают расти. Ортодонты часто рекомендуют использовать пластины для коррекции неправильного прикуса и формирования правильного положения зубов. Пластины могут быть как съемными, так и несъемными. Съемные пластины удобны для детей, так как их можно легко снять для чистки зубов или во время еды. Они также могут быть использованы для расширения челюсти и создания пространства для постоянных зубов.
Подростковый возраст (от 12 до 18 лет)
В подростковом возрасте большинство постоянных зубов уже прорезались, и челюсти достигают своего окончательного размера. В это время ортодонты часто рекомендуют более сложные системы выравнивания, такие как брекеты, однако пластины все еще могут быть эффективны для некоторых случаев. Например, пластины могут использоваться для коррекции легких аномалий прикуса или для подготовки к установке брекетов. Важно отметить, что подростки могут быть менее дисциплинированы в использовании съемных пластин, что может повлиять на эффективность лечения.
Взрослый возраст (от 18 лет и старше)
У взрослых пациентов использование зубных пластин может быть ограничено, так как челюстная система уже сформирована, и изменения могут быть менее заметными. Тем не менее, пластины могут быть рекомендованы для коррекции незначительных аномалий прикуса или для поддержания результатов после ортодонтического лечения. Взрослые пациенты могут предпочитать более эстетичные варианты, такие как прозрачные капы, которые менее заметны и удобны в использовании.
Заключение
Возраст играет важную роль в выборе метода ортодонтического лечения. Пластины для выравнивания зубов могут быть эффективны в любом возрасте, но их применение должно быть индивидуализировано с учетом особенностей зубочелюстной системы пациента. Консультация с квалифицированным ортодонтом поможет определить наилучший подход к коррекции зубного ряда в зависимости от возраста и состояния зубов.
Отзывы пациентов о лечении с помощью зубных пластин
Отзывы пациентов о лечении с помощью зубных пластин часто варьируются в зависимости от индивидуального опыта, ожиданий и результатов. Многие пациенты отмечают, что использование пластин для выравнивания зубов стало для них настоящим открытием, так как они позволяют добиться значительных изменений в улыбке без необходимости применения более сложных и дорогостоящих методов, таких как брекеты.
Одним из основных преимуществ, о которых упоминают пациенты, является комфорт. Пластины, как правило, менее заметны и не вызывают таких сильных дискомфортных ощущений, как традиционные брекеты. Многие пациенты отмечают, что в первые дни после начала ношения пластин они испытывали легкое давление, но со временем привыкли к ним и не замечали их присутствия.
Некоторые пациенты также подчеркивают, что процесс выравнивания зубов с помощью пластин оказался более быстрым, чем они ожидали. В зависимости от сложности случая и соблюдения рекомендаций врача, результаты могут быть видны уже через несколько месяцев. Это особенно радует тех, кто стремится к быстрой коррекции своей улыбки перед важными событиями, такими как свадьбы или выпускные вечера.
Однако не все отзывы являются положительными. Некоторые пациенты сообщают о необходимости постоянного контроля и регулярных визитов к ортодонту для корректировки пластин. Это может быть неудобно для людей с плотным графиком. Кроме того, некоторые отмечают, что для достижения желаемого результата требуется высокая степень дисциплины, так как пластины необходимо носить не менее 20-22 часов в сутки.
Также стоит упомянуть о необходимости соблюдения определенной диеты. Пациенты, использующие пластины, должны избегать жесткой и липкой пищи, что может стать проблемой для любителей определенных лакомств. Некоторые пациенты выражают недовольство по поводу ограничений в питании, но большинство понимает, что это необходимо для достижения наилучших результатов.
В целом, отзывы о лечении с помощью зубных пластин в основном положительные. Пациенты отмечают улучшение не только внешнего вида, но и уверенности в себе. Многие из них говорят о том, что после завершения лечения они стали более открытыми и общительными, что связано с улучшением их улыбки и общего восприятия себя.
Таким образом, лечение с помощью зубных пластин может стать отличным решением для тех, кто хочет выровнять зубы, но при этом предпочитает более щадящие методы. Как и в любом другом случае, важно проконсультироваться с квалифицированным специалистом, чтобы выбрать наиболее подходящий вариант лечения и получить максимальную пользу от процесса.




