Воспаление десен — распространенная проблема, способная вызвать серьезные последствия для здоровья полости рта при отсутствии своевременных мер. В статье рассмотрим эффективные народные средства для борьбы с воспалением десен и улучшения состояния полости рта. Эти методы могут быть полезны, особенно когда традиционные способы лечения недоступны или неэффективны.
Чем опасно воспаление десен
Такие проблемы могут возникнуть у любого из нас. При этом причины заболеваний могут быть связаны не только со стоматологией. Резкое снижение иммунной системы, плохое питание, стрессовые ситуации или сложные жизненные периоды могут привести к воспалению десен.
Часто к пародонтологам обращаются люди, у которых ранее был диагностирован сахарный диабет. Различные эндокринные расстройства и другие заболевания могут способствовать отечности и воспалению десневых тканей.
Тем не менее, в большинстве случаев гингивиты и пародонтозы вызываются бактериями, которые «проживают» в зубном налете. Если не принимать меры, заболевание может перейти в тяжелую стадию. Это может привести к осложнениям, требующим срочного хирургического вмешательства в стационаре. Мягкие ткани могут воспаляться, даже атрофироваться, зубы могут расшатываться и выпадать. Чтобы избежать такой ужасной ситуации, важно не игнорировать и не оставлять без внимания даже самые незначительные на первый взгляд проблемы с деснами. Лечение народными средствами иногда оказывается весьма эффективным.
Простые медикаменты могут помочь справиться с начальным воспалением во рту и избежать посещений стоматологических кабинетов.
Народные средства для борьбы с воспалением десен стоит рассмотреть более подробно. Существует множество различных рецептов, которые показывают хорошие результаты. Однако при наличии заболевания обязательно следует проконсультироваться со стоматологом, не полагаясь исключительно на самолечение. Чтобы предотвратить рецидивы, важно следить за гигиеной полости рта и своим питанием. Например, для восполнения недостатка витамина С, который необходим для здоровья десен, в качестве профилактики рекомендуется употреблять капустный и морковный соки. Стоматологи советуют своим пациентам делать массаж десен.
Это способствует улучшению кровообращения в тканях и помогает предотвратить воспаление.
Врачи отмечают, что лечение десен народными средствами может быть полезным дополнением к традиционной терапии, однако не всегда является полноценной заменой. Многие пациенты используют отвары трав, такие как ромашка или шалфей, для полоскания рта, что действительно может помочь уменьшить воспаление и облегчить симптомы. Тем не менее, специалисты подчеркивают, что такие методы не устраняют основную причину заболеваний десен, например, бактериальный налет или пародонтит. Важно помнить, что самолечение может привести к ухудшению состояния. Поэтому врачи рекомендуют сочетать народные средства с профессиональной гигиеной полости рта и регулярными визитами к стоматологу для достижения наилучших результатов.
https://youtube.com/watch?v=tDo6TJkeHhc
Заболевания десен
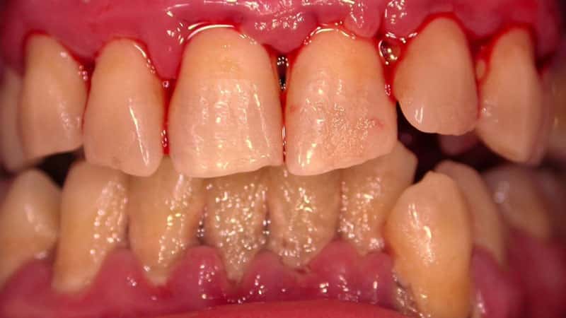
Воспаление десен известно как гингивит. Это начальная стадия, которая может привести к более серьезным заболеваниям, таким как пародонтит и пародонтоз. На слизистой оболочке рта могут возникать язвы или небольшие раны, а также наблюдаться гнойные выделения. В некоторых случаях воспаление десен может стать крайне опасным из-за проблем с корнем зуба и образованием кисты.
| Народное средство | Способ применения | Полезные свойства |
|---|---|---|
| Отвар ромашки | Полоскать рот 2-3 раза в день | Противовоспалительное, антисептическое |
| Отвар коры дуба | Полоскать рот 2-3 раза в день | Вяжущее, укрепляющее десны |
| Солевой раствор | Полоскать рот 2-3 раза в день | Антисептическое, уменьшает отек |
| Масло чайного дерева | Наносить на десны ватной палочкой 1-2 раза в день | Антибактериальное, противовоспалительное |
| Алоэ вера (сок) | Наносить на десны 1-2 раза в день | Заживляющее, противовоспалительное |
| Прополис (настойка) | Развести в воде и полоскать рот 1-2 раза в день | Антибактериальное, регенерирующее |
| Отвар шалфея | Полоскать рот 2-3 раза в день | Противовоспалительное, дезинфицирующее |
| Массаж десен медом | Втирать мед в десны 1-2 раза в день | Антибактериальное, питательное |
| Отвар календулы | Полоскать рот 2-3 раза в день | Противовоспалительное, заживляющее |
| Перекись водорода (3%) | Развести в воде (1:1) и полоскать рот 1-2 раза в день | Антисептическое, отбеливающее |
Домашние средства от гингивита
Лечение десен с помощью народных средств включает в себя использование растительных ингредиентов, а также приготовление различных настоек, бальзамов и компрессов на основе трав. Наиболее распространенные рецепты – это отвары из ромашки, эвкалипта, календулы, крапивы, шалфея и дубовой коры, а также растворы на основе соли и соды. Эти составы применяются для полоскания рта и обладают антисептическими и заживляющими свойствами для слизистой оболочки. Многие из средств, помогающих при воспалении десен, можно легко найти на кухне или подоконнике.
Комнатные растения, такие как алоэ вера или столетник, известны своими целебными свойствами. Их сочную мякоть измельчают до состояния кашицы, настаивают и доводят до кипения в эмалированной посуде. После процеживания бальзам следует хранить в темном и прохладном месте. Это средство используется для полоскания рта.
Иногда в такой отвар добавляют морскую соль, которая способствует заживлению и остановке кровотечений. Солевой раствор является незаменимым помощником при простудах, заболеваниях горла, стоматитах и гингивитах.
Сироп из розовых лепестков, мед и прополис также эффективно способствуют заживлению ран в ротовой полости.
В рецепты настоек для лечения пародонтита часто включают различные эфирные масла, такие как облепиховое, масло тмина, чайного дерева, кунжутное и мятное. Эти средства применяются в случае образования кисты на десне. Небольшое количество кунжутного масла можно периодически удерживать во рту. Растительные масляные экстракты также используют в сочетании с массажем десен. Выбор таких средств достаточно широк: можно использовать персиковое, оливковое или пихтовое масло.
Массаж десен улучшает кровообращение в мягких тканях, способствует регенерации клеток и предотвращает развитие пародонтоза. Важно помнить, что максимальной эффективности можно достичь только при регулярном проведении таких процедур. Иногда лечение может занять несколько месяцев. Один сеанс массажа десен обычно не должен превышать пяти минут. Для быстрого снятия воспаления рекомендуется обмакнуть небольшой кусочек ваты или марлевой салфетки в эфирное масло и прикладывать к воспаленным участкам.
https://youtube.com/watch?v=PlRO9FmH1Fs
Гель из банановой кожуры с морской солью
Эффективное народное средство для борьбы с воспалением десен можно создать на основе бананов. В данном случае нам понадобятся только их кожуры, а сами плоды не используются.
Первым шагом будет измельчение морской соли в порошок. К этому порошку добавляют предварительно промытые и высушенные бумажным полотенцем банановые шкурки, которые также следует измельчить. Затем в смесь вливают немного оливкового масла и тщательно перемешивают до получения однородной пасты. Полученный гель аккуратно втирается в пораженную десну. Из-за присутствия соли процедура может быть довольно неприятной и болезненной, однако стоит проявить терпение, так как это средство эффективно справляется с гингивитом.
Спиртовая настойка с корицей
Для борьбы с воспалением также можно использовать полоскания на основе водки и корицы. В стакан крепкого алкоголя добавляют несколько столовых ложек корицы. Затем смесь настаивается в течение недели. После этого настойку следует процедить. Это средство не предназначено для внутреннего употребления – его используют исключительно для полоскания. Спиртовой раствор с пряностями поможет продезинфицировать ротовую полость, а также уменьшить отечность и покраснение.
Рецепты от гингивита на основе ягод
В состав средств, помогающих при воспалении десен, входят не только травы, но и различные плоды. Народные рецепты предлагают использовать соки калины и брусники, а также листья ежевики. Можно также приготовить отвар из черники и, после его настаивания, использовать для полоскания рта несколько раз в день.
Для укрепления десен полезны листья ежевики, которые рекомендуется жевать после еды. Это средство отлично подходит для профилактики воспалительных процессов в пародонте. Также можно смочить ватный тампон соком брусники и прикладывать его к пораженным участкам десен.
Травяные настои
Можно приготовить настой из зверобоя. Полоскания таким раствором лучше всего проводить вечером перед сном. Его также применяют в качестве профилактического средства.
Иногда для полоскания готовят смесь из нескольких трав. Например, можно взять измельченную кору дуба и цветы липы в пропорции 2:1. Одну чайную ложку этого состава заливают стаканом кипятка, настаивают, охлаждают и процеживают. Полоскания таким бальзамом рекомендуется делать несколько раз в день.
Ромашка аптечная обладает отличными противовоспалительными свойствами.
Четыре столовые ложки сухих цветков заливают одной чашкой горячей кипяченой воды и настаивают примерно час. Полоскать рот таким бальзамом советуют каждые два часа.
Кровоостанавливающее средство при гингивитах
Мумие эффективно помогает при кровоточивости десен. Это природное органическое вещество темного цвета, по своей консистенции напоминающее густую смолу, использовалось с древних времен. В народе его называют «горной слезой».
Для приготовления раствора для полоскания необходимо взять три грамма мумие. Пасту следует растворить в ста миллилитрах теплой воды. Этот горный бальзам способствует быстрому заживлению повреждений и ранок, а также восстанавливает слизистую благодаря высокому содержанию полезных аминокислот и минералов. Полоскания рекомендуются при стоматитах, гингивитах, пульпитах и пародонтозе, их следует проводить утром после пробуждения и перед сном в течение нескольких недель.
Травяные отвары от свища на десне
Для облегчения боли при периодонтите и острых воспалительных процессах, часто сопровождающихся образованием свища, рекомендуется использовать травяные полоскания. Для этого необходимо подготовить равные части дубовой коры, зверобоя и тысячелистника. Пять столовых ложек этой смеси заливают одним литром кипящей воды. Настой следует настоять несколько часов, после чего его нужно процедить и использовать для полоскания.
Существует и другой вариант приготовления раствора. В небольшом объеме воды растворите по щепотке соды и соли, затем добавьте половину стакана настоя шалфея.
Рецепты для укрепления десен
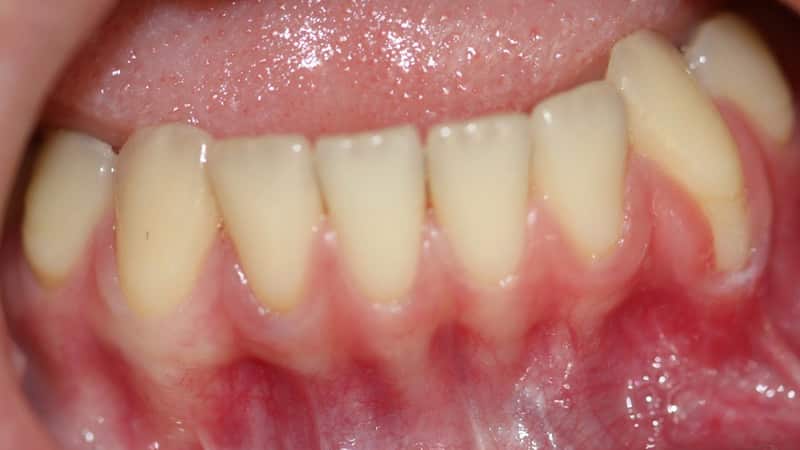
Одной из распространенных проблем, с которой сталкиваются пациенты стоматологических клиник, является рецессия десен. В результате этого процесса слизистая оболочка и альвеолы истончаются, становятся видимыми шейки и иногда даже корни зубов.
Для укрепления десневых тканей можно использовать полоскания раствором, приготовленным из воды и сока лопуха. Рекомендуется полоскать рот трижды в день с помощью этой настойки.
При образовании глубоких пародонтальных карманов, когда десны не плотно прилегают к зубам и воспалительный процесс усиливается, необходимо уделить особое внимание гигиене полости рта.
Как же лечить десны с помощью народных средств в такой ситуации? Для этого нужно взять сорок граммов измельченного прополиса и смешать его с обычным спиртом, который можно приобрести в любой аптеке. Получившуюся смесь лучше оставить на десять дней. После этого ее следует развести в одном литре воды. Готовую настойку можно использовать для полосканий и компрессов.
Если возникает боль в области лунки после удаления зуба, рекомендуется полоскание отваром, приготовленным из смеси чабреца и дубовой коры. Такой настой нужно кипятить около десяти минут, затем остудить и процедить. Его желательно применять в первые три дня после удаления зуба.
Для уменьшения воспалительного процесса можно воспользоваться перекисью водорода. Для этого потребуется одна таблетка гидроперита, которую нужно растворить в ста миллилитрах теплой воды. Полоскания таким раствором следует проводить до четырех раз в день. Также можно использовать другой метод: марлю, смоченную трехпроцентной перекисью водорода, прикладывают к воспаленной десне и слегка втирают.
Несмотря на высокую эффективность народных рецептов, не стоит полагать, что серьезные заболевания можно вылечить только с помощью травяных настоев. Обычно лекарственные растения служат вспомогательным средством, которое помогает снять боль и отечность, а также способствует более быстрому восстановлению. Тем не менее, заболевания десен требуют обязательного наблюдения со стороны специалиста. В сочетании с традиционными медикаментами народные рецепты можно применять, предварительно проконсультировавшись со стоматологом. Это поможет ускорить процесс выздоровления.
https://youtube.com/watch?v=tDo6TJkeHhc
Профилактика заболеваний десен
Профилактика заболеваний десен играет ключевую роль в поддержании здоровья полости рта. Заболевания десен, такие как гингивит и пародонтит, могут привести к серьезным последствиям, включая потерю зубов. Поэтому важно уделять внимание не только лечению, но и профилактическим мерам.
Одним из основных аспектов профилактики является регулярная гигиена полости рта. Чистка зубов дважды в день с использованием фторсодержащей зубной пасты помогает удалить налет и предотвратить образование зубного камня. Не менее важным является использование зубной нити или межзубных щеток для очистки труднодоступных мест между зубами, где часто скапливаются остатки пищи и бактерии.
Кроме того, регулярные визиты к стоматологу для профессиональной чистки зубов и осмотра состояния десен также способствуют профилактике заболеваний. Стоматолог может выявить ранние признаки проблем и предложить соответствующее лечение.
Народные средства также могут быть полезны в профилактике заболеваний десен. Например, полоскания с использованием отваров трав, таких как ромашка, шалфей или календула, обладают противовоспалительными и антисептическими свойствами. Эти травы помогают успокоить воспаленные десны и снизить риск инфекций.
Также стоит обратить внимание на питание. Употребление продуктов, богатых витаминами C и D, а также кальцием, способствует укреплению десен. Фрукты и овощи, особенно цитрусовые, помогают улучшить кровообращение в деснах и поддерживают их здоровье.
Не менее важным является отказ от вредных привычек, таких как курение, которое негативно сказывается на состоянии десен и может способствовать развитию заболеваний. Поддержание здорового образа жизни, включая физическую активность и достаточное количество сна, также положительно влияет на общее состояние организма и здоровье десен.
В заключение, профилактика заболеваний десен требует комплексного подхода, включающего регулярную гигиену полости рта, здоровое питание, отказ от вредных привычек и регулярные визиты к стоматологу. Использование народных средств может стать дополнительным способом поддержания здоровья десен, однако не заменяет профессиональную помощь.
Рекомендации по уходу за полостью рта
Уход за полостью рта является важной составляющей общего здоровья, и правильные привычки могут существенно снизить риск заболеваний десен. Важно помнить, что народные средства могут быть эффективными, но они не заменяют профессиональную стоматологическую помощь. Вот несколько рекомендаций, которые помогут поддерживать здоровье десен и предотвратить их воспаление.
1. Регулярная гигиена полости рта: Чистка зубов дважды в день с использованием фторсодержащей зубной пасты помогает удалить налет и предотвратить образование зубного камня. Не забывайте также о чистке языка, так как на его поверхности могут скапливаться бактерии.
2. Использование зубной нити: Зубная нить помогает удалить остатки пищи и налет из межзубных пространств, куда не может добраться зубная щетка. Рекомендуется использовать зубную нить хотя бы раз в день.
3. Полоскания: Полоскания рта с использованием солевого раствора (1 чайная ложка соли на стакан теплой воды) могут помочь уменьшить воспаление и отечность десен. Полоскания можно проводить 2-3 раза в день.
4. Применение травяных настоев: Настой из ромашки, шалфея или календулы обладает противовоспалительными свойствами. Для приготовления настоя залейте 1 столовую ложку сухих трав 200 мл кипятка, дайте настояться 15-20 минут, затем процедите и используйте для полоскания.
5. Правильное питание: Включение в рацион продуктов, богатых витаминами C и D, а также кальцием, способствует укреплению десен. Свежие фрукты и овощи, молочные продукты и орехи должны стать основой вашего питания.
6. Избегание вредных привычек: Курение и чрезмерное употребление алкоголя негативно сказываются на состоянии десен. Отказ от этих привычек поможет улучшить здоровье полости рта.
7. Регулярные визиты к стоматологу: Профилактические осмотры и профессиональная чистка зубов не менее важны, чем домашний уход. Стоматолог сможет выявить проблемы на ранних стадиях и предложить соответствующее лечение.
Следуя этим рекомендациям, вы сможете значительно улучшить состояние десен и предотвратить развитие заболеваний. Однако, если у вас уже есть проблемы с деснами, такие как кровоточивость или воспаление, обязательно обратитесь к стоматологу для получения профессиональной помощи.
Когда обращаться к стоматологу
Лечение десен народными средствами может быть эффективным, однако важно помнить, что в некоторых случаях требуется профессиональная помощь. Существует ряд симптомов и состояний, при которых необходимо незамедлительно обратиться к стоматологу.
Во-первых, если вы заметили кровоточивость десен, особенно во время чистки зубов или при употреблении пищи, это может свидетельствовать о наличии воспалительного процесса, такого как гингивит или пародонтит. Эти заболевания требуют профессионального лечения, так как могут привести к более серьезным проблемам, включая потерю зубов.
Во-вторых, если десны опухли, покраснели или стали болезненными на ощупь, это также является признаком того, что необходимо обратиться к специалисту. Отек и боль могут указывать на инфекцию или более серьезные заболевания десен, которые не могут быть устранены только народными средствами.
Третьим важным сигналом является наличие гноя или неприятного запаха изо рта. Эти симптомы могут указывать на наличие абсцесса или других инфекционных процессов, требующих немедленного вмешательства стоматолога.
Кроме того, если вы заметили, что ваши зубы стали подвижными или изменили свое положение, это может быть признаком серьезного заболевания десен, которое требует профессионального лечения. Пародонтит, например, может привести к разрушению костной ткани и потере зубов, если не будет своевременно диагностирован и лечен.
Наконец, если вы испытываете постоянную боль в деснах или зубах, это также является серьезным основанием для обращения к стоматологу. Боль может быть признаком различных заболеваний, включая кариес, пульпит или заболевания десен, и требует квалифицированной диагностики и лечения.
В заключение, несмотря на то что народные средства могут быть полезны для поддержания здоровья десен и профилактики заболеваний, важно помнить, что в случае серьезных симптомов необходимо обращаться к стоматологу. Профессиональная помощь поможет избежать осложнений и сохранить здоровье зубов и десен на долгие годы.







