Восстановление утраченных зубов — ключевая задача для здоровья полости рта и общего самочувствия. Установка зубных имплантатов особенно важна при отсутствии корня зуба. В статье рассмотрим, как правильно установить имплант без корня, виды имплантатов и противопоказания к их установке. Знание технологии и конструкции имплантатов поможет вам сделать осознанный выбор и получить качественное стоматологическое лечение.
Когда удаляется корень
Корень зуба – это его часть, расположенная внутри десны. Он выполняет множество функций, но главная из них – надежно удерживать зуб на месте. В корне находятся нервные окончания, которые могут вызывать болезненные ощущения при различных стоматологических проблемах, начиная от простого кариеса и заканчивая серьезными воспалениями.
Корень может остаться без видимой части зуба в следующих ситуациях:
- травма, при которой внешняя часть зуба была выбита (например, в результате драки или неудачного падения). В таких случаях корень может остаться на своем месте, если костная ткань недостаточно крепка. Кость может треснуть у десны, оставляя корень внутри;
- осложнения во время операции. Если во время удаления зуба возникают проблемы с костной тканью, она может не выдержать и сломаться. В этом случае корень остается в десне, а внешняя часть удаляется;
- разрушение верхней части кости из-за кариеса или другого заболевания. Это происходит, если пациент долгое время не обращался к стоматологу для диагностики и лечения, что приводит к полному разрушению зуба.
Если у пациента остался только корень зуба, его можно оставить и использовать для дальнейшей имплантации (на корень устанавливается коронка, что значительно дешевле), или же удалить и использовать специальные искусственные опоры для имплантации.
Почему же необходимо удалять корень, если он может служить естественной опорой для коронки? Удаление корня требуется в следующих случаях:
- периодонтит (особенно в острой форме);
- острый периостит;
- разрушение корня, которое невозможно восстановить;
- болевой синдром;
- радикулярная киста.
Во всех перечисленных случаях удаление остатка зуба становится необходимым. В противном случае воспаление может развиться, вызывая сначала дискомфорт, а затем острую боль. Может возникнуть нагноение, которое распространится по десне и приведет к аналогичным симптомам у соседних зубов, что потребует более сложной имплантации. Это, безусловно, отразится на стоимости процедуры.
Врачи отмечают, что восстановление зуба без корня представляет собой сложную задачу, требующую индивидуального подхода. В таких случаях часто применяются имплантаты, которые позволяют создать искусственный корень, на который затем устанавливается коронка. Специалисты подчеркивают важность предварительного обследования, чтобы оценить состояние окружающих тканей и костной структуры. В некоторых случаях может потребоваться костная пластика для обеспечения надежной фиксации имплантата. Также врачи рекомендуют рассмотреть альтернативные методы, такие как мостовидные протезы, если имплантация невозможна. Важно, чтобы пациент обсудил все возможные варианты с врачом, чтобы выбрать наиболее подходящее решение для восстановления функции и эстетики зубного ряда.
https://youtube.com/watch?v=HE3dzFO63jc
Конструкция имплантата без корня
Как установить зуб, если отсутствует корень? В этом случае необходимо использовать специальную металлическую конструкцию, которая воспроизводит зубную кость в полном объеме, а не только ее наружную часть.
Имплантат, применяемый для лечения пациентов без корневой системы, состоит из двух ключевых компонентов: металлической опоры, которая заменяет корень, и коронки, имитирующей внешнюю часть зуба.
Опора чаще всего изготавливается из титана – легкого и прочного материала. Преимущества титана и его сплавов заключаются не только в их долговечности и надежности, но и в отличной совместимости с человеческим организмом.
Как известно, наше тело может негативно реагировать на различные инородные предметы, что может привести к воспалениям и нагноениям.
Сплавы титана, используемые для зубных протезов, разрабатываются таким образом, чтобы минимизировать риск возникновения защитной реакции организма. Отторжение таких материалов практически не встречается и составляет один случай на миллион. Более того, перед установкой протеза врач проведет тест на индивидуальную реакцию пациента на этот металл.
В имплантологии врачи обычно придерживаются правила: одна титановая основа предназначена для замены одного зуба. Если же у пациента отсутствуют два соседних зуба, возможно использование одной опоры для установки двух коронок.
| Метод восстановления | Описание | Преимущества | Недостатки |
|---|---|---|---|
| Зубной имплант | В челюстную кость вживляется титановый штифт (искусственный корень), на который затем устанавливается коронка. | Самое долговечное и эстетичное решение, восстанавливает жевательную функцию, предотвращает атрофию кости. | Высокая стоимость, длительный процесс лечения, требует хирургического вмешательства, не всегда подходит при недостатке костной ткани. |
| Мостовидный протез (мост) | Искусственный зуб (или несколько) крепится к соседним здоровым зубам, которые предварительно обтачиваются. | Относительно быстрое решение, восстанавливает эстетику и жевательную функцию. | Требует обточки здоровых зубов, не предотвращает атрофию кости под отсутствующим зубом, имеет ограниченный срок службы. |
| Съемный протез (частичный) | Искусственный зуб крепится к десне и/или соседним зубам с помощью кламмеров или других креплений. | Самый бюджетный вариант, не требует обточки соседних зубов. | Менее эстетичен, может быть менее комфортным, требует регулярного снятия для чистки, не восстанавливает жевательную функцию в полной мере, не предотвращает атрофию кости. |
| Адгезивный мост (Мэрилендский мост) | Искусственный зуб крепится к соседним зубам с помощью «крылышек», приклеиваемых к их внутренней поверхности. | Минимальное препарирование соседних зубов, относительно быстрое изготовление. | Менее прочный, чем традиционный мост, может отклеиваться, подходит не для всех случаев, не восстанавливает жевательную функцию в полной мере. |
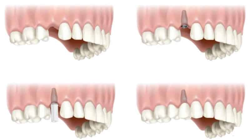
Методика имплантации
Как происходит установка зубов при отсутствии корня? В настоящее время данная процедура может выполняться как с подточкой соседних зубов, так и без нее. Это зависит от индивидуальных анатомических характеристик пациента и от того, как долго он оставался без зуба. За время отсутствия зуба в десне организм мог попытаться заполнить образовавшуюся пустоту соседними зубами. В таком случае подточка становится необходимой, чтобы имплантат мог быть установлен между ними, выглядел естественно и не вызывал дискомфорта.
Перед тем как установить титановую опору, стоматолог должен тщательно очистить область, где ранее находился корень, от остатков кости, нервов, гноя и других инородных веществ. Затем устанавливается опора, которая напоминает шуруп. После этого требуется время для адаптации организма, обычно около месяца. По истечении этого периода пациент снова посещает стоматолога, который устанавливает коронки, предварительно проверив состояние зуба.
Когда срок службы коронки истекает (от 1 до 15 лет в зависимости от материала, качества, страны-производителя и жевательной нагрузки), врач заменяет ее на новую. При этом замена титаново винта не требуется.
https://youtube.com/watch?v=02xuW7SEHBU
Типы имплантатов
Винтовые конструкции можно классифицировать в зависимости от материала, используемого для коронки. Наиболее распространенные материалы включают:
- металлические сплавы. В случае, если корневой винт выполнен из титана, коронка обычно изготавливается из сплавов благородных металлов, таких как золото, серебро или платина. Несмотря на это, металлические коронки остаются наиболее доступными по цене. Они отличаются высокой прочностью и надежностью, что делает их идеальными для установки на задние жевательные зубы. Однако для передних зубов использование металлических конструкций не рекомендуется, так как металл заметно выделяется на фоне естественного зубного ряда и выглядит не очень эстетично.
-
керамика. Керамические коронки чаще всего применяются в винтовых конструкциях. Это связано с их достаточной прочностью, надежным соединением с титановым винтом и отличными эстетическими характеристиками.
Керамическая коронка подбирается в соответствии с цветом естественной эмали пациента. Хотя этот материал является самым дорогим, его стоимость оправдана. Преимущества керамических коронок включают прочность (достаточную для передних зубов, но недостаточную для задних жевательных), естественный внешний вид, гладкость и долговечность. В среднем металлокерамические имплантаты служат от 8 до 10 лет.
- акрил. Акриловые материалы относительно недавно начали использовать в имплантологии. Из акрила получаются отличные коронки, которые выглядят естественно, долговечны и надежны. Акрил идеально подходит для имплантации передних зубов благодаря своей эстетичности, так как он выглядит более натурально по сравнению с керамическими коронками.
Противопоказания
Операцию по установке зубного имплантата без корня не рекомендуется проводить в следующих случаях:
- наличие серьезных хронических заболеваний;
- пониженная свертываемость крови;
- состояние после инфаркта;
- беременность;
- зависимость от наркотиков.
Важно понимать, что небрежное отношение к своему здоровью может негативно сказаться на долговечности имплантата. Чрезмерное употребление кофе, алкоголя, табака и наркотиков может привести не только к ухудшению качества имплантата (что отразится на его внешнем виде и прочности), но и к его отторжению организмом.
Таким образом, как же установить зубы, если отсутствует корень? Процесс установки зубного имплантата без естественного корня является сложной, но вполне осуществимой задачей на сегодняшний день. Ключевым моментом является правильный выбор врача: внимательно изучите отзывы других пациентов, обратите внимание на опыт и образование специалиста, а также не забудьте проверить квалификацию клиники.
https://youtube.com/watch?v=zg-R1Oj-ddA
Подготовка к имплантации
Перед тем как приступить к процедуре имплантации зуба в случае отсутствия корня, необходимо провести тщательную подготовку. Этот этап включает в себя несколько ключевых шагов, которые помогут обеспечить успешный результат операции.
1. Консультация с стоматологом
Первым шагом является консультация с квалифицированным стоматологом или хирургом-стоматологом. Врач проведет осмотр полости рта, оценит состояние десен и окружающих тканей, а также соберет анамнез пациента. Важно сообщить врачу о наличии хронических заболеваний, аллергий и принимаемых медикаментах, так как это может повлиять на выбор метода имплантации.
2. Диагностика
Для более точной оценки состояния зубочелюстной системы могут потребоваться дополнительные диагностические процедуры. Это могут быть рентгенографические исследования, компьютерная томография (КТ) или панорамные снимки. Эти методы позволяют врачу увидеть состояние костной ткани, определить ее объем и плотность, а также выявить возможные проблемы, такие как кисты или воспалительные процессы.
3. Планирование имплантации
На основе собранной информации стоматолог разрабатывает индивидуальный план лечения. Важно учесть не только состояние костной ткани, но и желаемый результат, а также особенности анатомии пациента. В некоторых случаях может потребоваться предварительное восстановление костной ткани с помощью синтетических материалов или аутотрансплантации.
4. Подготовка к операции
Перед самой процедурой имплантации необходимо провести подготовительные мероприятия. Это может включать в себя профессиональную гигиену полости рта, лечение кариеса и воспалительных заболеваний десен. Если у пациента есть заболевания, требующие контроля, такие как диабет или сердечно-сосудистые заболевания, врач может порекомендовать консультацию с другими специалистами.
5. Психологическая подготовка
Не менее важным аспектом является психологическая подготовка пациента. Страх перед операцией может негативно сказаться на результате. Врач должен объяснить все этапы процедуры, возможные риски и ожидаемые результаты, чтобы пациент чувствовал себя уверенно и спокойно.
Таким образом, подготовка к имплантации зуба без корня включает в себя комплексный подход, который сочетает в себе медицинские, диагностические и психологические аспекты. Тщательная подготовка поможет минимизировать риски и повысить вероятность успешного исхода операции.
Послеоперационный уход
После установки зубного импланта или протеза, особенно в случае отсутствия корня, важным этапом является правильный послеоперационный уход. Это поможет избежать осложнений и обеспечит успешную интеграцию импланта в челюстную кость.
В первые 24 часа после операции рекомендуется соблюдать следующие рекомендации:
- Отдых: Избегайте физической активности и стрессов. Дайте организму время на восстановление.
- Лед: Приложите лед к области операции на 15-20 минут с перерывами. Это поможет уменьшить отек и боль.
- Положение головы: Спите с приподнятой головой, чтобы снизить отек.
В течение первых нескольких дней после операции важно следовать специальной диете:
- Мягкая пища: Употребляйте только мягкую пищу, такую как пюре, йогурты, супы и каши. Избегайте жесткой и горячей пищи.
- Избегайте горячих напитков: Горячие жидкости могут вызвать дискомфорт и увеличить риск кровотечения.
Гигиена полости рта также играет ключевую роль в процессе восстановления:
- Чистка зубов: Чистите зубы аккуратно, избегая области импланта в первые несколько дней. Используйте мягкую зубную щетку.
- Полоскания: После 24 часов можно начинать полоскать рот теплым солевым раствором для предотвращения инфекции.
Обратите внимание на симптомы, которые могут указывать на осложнения:
- Сильная боль: Если боль не утихает или усиливается, это может быть признаком инфекции.
- Отек: Умеренный отек — это нормально, но если он не уменьшается через несколько дней, стоит обратиться к врачу.
- Кровотечение: Небольшое кровотечение в первые часы после операции допустимо, но если оно продолжается, необходимо обратиться к стоматологу.
Регулярные визиты к стоматологу для контроля за состоянием импланта также являются важной частью послеоперационного ухода. Специалист сможет оценить процесс заживления и при необходимости скорректировать лечение.
Следуя этим рекомендациям, вы сможете обеспечить успешное восстановление и долгосрочную функциональность вашего зубного импланта или протеза, даже в случае отсутствия корня.
Ожидаемые результаты и сроки восстановления
Вставка зуба без корня, как правило, осуществляется с использованием имплантатов или протезов. Ожидаемые результаты зависят от выбранного метода восстановления, состояния челюстной кости и общего здоровья пациента.
При использовании зубных имплантатов, которые представляют собой титановый винт, вживляемый в челюстную кость, процесс восстановления может занять от нескольких месяцев до года. Сначала необходимо провести операцию по установке имплантата, после чего требуется время для остеоинтеграции — процесса сращивания имплантата с костью. Обычно этот этап занимает от 3 до 6 месяцев. После успешной остеоинтеграции на имплантат устанавливается абатмент, а затем коронка, что в итоге завершает процесс восстановления.
Если же используется метод протезирования, например, съемные или несъемные протезы, сроки восстановления могут быть значительно короче. В зависимости от сложности случая и индивидуальных особенностей пациента, установка протеза может занять от нескольких дней до нескольких недель. Однако важно отметить, что протезирование не восстанавливает функцию корня зуба, и может потребоваться периодическая корректировка или замена протеза.
Ожидаемые результаты после восстановления зуба также зависят от соблюдения рекомендаций стоматолога. Правильный уход за полостью рта, регулярные визиты к стоматологу и соблюдение всех предписаний помогут избежать осложнений и продлить срок службы имплантата или протеза.
В целом, успешное восстановление зуба без корня возможно, но требует времени и тщательного подхода. Пациенты должны быть готовы к тому, что процесс может занять некоторое время, но в итоге они получат функционально полноценный и эстетически привлекательный зуб.




