Перекрестный прикус — стоматологическая аномалия, возникающая у детей и взрослых, характеризующаяся неправильным смыканием зубов. Это может привести к проблемам с жеванием, речью и эстетикой лица. В статье рассмотрим основные особенности перекрестного прикуса, его последствия и методы лечения для разных возрастных групп. Понимание проблемы и способов коррекции поможет читателям обратиться за помощью к специалистам и избежать осложнений.
Как классифицируются перекрестные прикусы
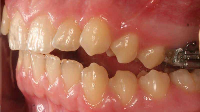
Данная аномалия может возникать как в боковых участках челюсти, так и в её передней части. Ортодонтия выделяет несколько различных форм этой патологии:
- Буккальный прикус. При этом типе нарушается контакт боковых зубов, что затрудняет процесс жевания. В некоторых случаях челюсть может смещаться, но иногда она остаётся на своём месте.
- Лингвальный прикус. Этот тип характеризуется отсутствием контакта между антагонистами или смыканием боковых зубов, что может быть вызвано сужением или расширением верхнего зубного ряда. Такой прикус может наблюдаться как с одной стороны, так и с обеих.
- Буккально-лингвальный прикус. Он делится на три подтипа: гнатический прикус (при сужении или расширении челюстного базиса), зубоальвеолярный прикус (при недостаточном или чрезмерном развитии зубоальвеолярных дуг) и суставный прикус (сопровождающийся смещением нижней челюсти в сторону).
Врачи отмечают, что перекрестный прикус является распространенной проблемой как у детей, так и у взрослых, однако подходы к лечению могут значительно различаться. У детей, чьи челюсти еще формируются, лечение часто включает использование брекетов или специальных аппаратов, которые помогают корректировать положение зубов и челюстей. Важно начать лечение на ранних стадиях, чтобы избежать более сложных вмешательств в будущем.
У взрослых лечение перекрестного прикуса может быть более сложным и длительным. Врачи рекомендуют комплексный подход, который может включать ортодонтические устройства и, в некоторых случаях, хирургическое вмешательство для коррекции челюстей. Специалисты подчеркивают, что индивидуальный план лечения должен разрабатываться с учетом особенностей каждого пациента, его возраста и степени выраженности проблемы. Регулярные консультации с ортодонтом помогут добиться наилучших результатов и улучшить качество жизни пациентов.
https://youtube.com/watch?v=C0DjF8UlcU4
От чего возникает такая патология
Существует множество причин, каждая из которых уникальна:
- наличие расщелины мягкого нёба при рождении;
- генетическая предрасположенность (если у одного из родителей наблюдается перекрестный прикус, то у ребёнка также может развиться эта аномалия);
- воспалительные процессы в организме, которые могут негативно сказаться на развитии и росте челюстей;
- неправильное положение ребёнка во время сна (даже простое подкладывание ладошек или кулачка под щёчку может иметь серьезные последствия);
- заболевания, влияющие на обмен кальция и фосфора в организме ребёнка;
- травмы лица;
- нарушения в процессе формирования зубов на этапе их зачатия;
- вредные привычки, характерные для маленьких детей (например, подпирать щёки кулачком, сосать игрушки или пальцы, закусывать губы);
- преждевременное или запоздалое выпадение молочных зубов;
- бруксизм (скрежетание или постукивание зубами во сне);
- несогласованная работа жевательных мышц;
- гемиатрофия лицевых мышц (состояние, при котором одна сторона лица уменьшена);
- затрудненное дыхание через нос.
| Аспект | Дети | Взрослые |
|---|---|---|
| Причины | Нарушение носового дыхания, вредные привычки (сосание пальца), ранняя потеря молочных зубов, генетика. | Нелеченный перекрестный прикус в детстве, травмы, заболевания пародонта, неправильное протезирование. |
| Диагностика | Визуальный осмотр, оттиски челюстей, рентгенография (ортопантомограмма, телерентгенограмма). | Аналогично детям, но с более детальным анализом состояния костной ткани и суставов. |
| Цели лечения | Нормализация роста и развития челюстей, предотвращение осложнений, формирование правильного прикуса. | Коррекция прикуса, улучшение эстетики, функции жевания, предотвращение стираемости зубов и проблем с ВНЧС. |
| Методы лечения | Съемные аппараты (пластинки с винтом, расширяющие аппараты), частичные брекет-системы, миофункциональная терапия. | Брекет-системы (металлические, керамические, лингвальные), элайнеры, хирургическое лечение (в тяжелых случаях), ортогнатическая хирургия. |
| Продолжительность лечения | От нескольких месяцев до 1-2 лет, в зависимости от сложности. | От 1,5 до 3 лет и более, в зависимости от сложности и выбранного метода. |
| Особенности | Высокая пластичность костной ткани, возможность направлять рост челюстей. | Ограниченные возможности роста, часто требуется более длительное и комплексное лечение. |
| Возможные осложнения | Нарушение дикции, асимметрия лица, проблемы с жеванием, стираемость зубов. | Головные боли, боли в ВНЧС, стираемость зубов, рецессия десны, потеря зубов. |
| Прогноз | Благоприятный при своевременном лечении. | Зависит от степени тяжести, возраста пациента и соблюдения рекомендаций. |
Чем грозит перекрестный прикус
Если не приступить к лечению этого дефекта вовремя, последствия могут быть разнообразными и неприятными, а иногда даже очень серьезными. Например:
- Из-за некачественного пережевывания пищи нарушается функционирование всего желудочно-кишечного тракта.
- Проблемы с речью и не самый привлекательный внешний вид могут вызвать множество комплексов.
- При такой аномалии значительно возрастает риск развития пародонтоза и кариеса.
- Дыхательный процесс может стать затрудненным.
- Возможны сильные головные боли.
- Часто наблюдается воспаление горла.
- Люди с перекрестным прикусом более подвержены повышенному артериальному давлению.
Теперь становится очевидным, почему так важно срочно исправлять перекрестный прикус как у взрослых, так и у детей.
https://youtube.com/watch?v=03Zo9FWJewg
Как проявляется такая патология
Данный дефект характеризуется разнообразными и широкими клиническими проявлениями.
Прежде всего, наблюдается ограничение подвижности нижней челюсти. Это приводит к затруднениям в пережёвывании пищи и может способствовать развитию пародонтоза. При попытке широко открыть рот нижняя челюсть может немного смещаться, как в горизонтальном, так и в диагональном направлении.
Во-вторых, изменения можно заметить и на лице. Часто это выражается в его деформации. Верхняя губа может западать, а противоположная часть лица становится более плоской. Подбородок может смещаться в одну из сторон, что приводит к асимметрии передней (лицевой) области черепа.
В-третьих, жевательная функция также нарушается, и люди с таким дефектом часто случайно прикусывают щёки во время еды. Кроме того, страдает произношение звуков и общая речь.
Для точной диагностики перекрестного прикуса необходимо провести рентгеновское исследование нижней челюсти и височных суставов.
Как исправить эту аномалию у ребёнка
Независимо от типа перекрестного прикуса, его причин и возраста пациента, начинать лечение следует без промедлений.
У детей перекрестный прикус можно скорректировать, приняв следующие меры:
- в первую очередь необходимо устранить вредные привычки (строго запрещайте ребенку сосать пальцы, игрушки и другие предметы);
- важно следить за позой малыша во время сна (если он кладет кулачок под щеку, аккуратно убирайте его);
- для улучшения состояния полости рта и носоглотки следует проводить комплекс лечебных мероприятий;
- если у молочных зубов имеются бугорки, их нужно отшлифовать, так как они могут мешать боковым движениям нижней челюсти;
- при выявлении перекрестного прикуса у детей лечение должен назначить квалифицированный специалист (чаще всего требуется разобщение зубных рядов, если они сужены, и назначение специальных пластин с пружинами и винтиками для расширения);
- в период активного роста челюстей применяются регуляторы функций Френкеля и активаторы.
Как устранить такой дефект у взрослого
Перекрестный прикус может возникнуть не только в детском возрасте, но и у взрослых. Лечение данной аномалии у взрослых обычно включает использование ортодонтических аппаратов. Эти специальные системы помогают корректировать форму зубной дуги, нормализовать работу жевательных мышц и правильно расположить нижнюю челюсть. Для исправления прикуса устанавливаются брекеты, а срок их ношения зависит от степени выраженности проблемы.
Если перекрестный прикус возник внезапно, возможно, потребуется хирургическое вмешательство. Операция также может быть необходима для тех, у кого данная патология имеет наследственный или врожденный характер.
После восстановления правильного прикуса крайне важно поддерживать достигнутый результат. Рекомендуется использовать ретенционные аппараты, такие как съемные пластины, которые надеваются на ночь. Все рекомендации врача-ортодонта следует строго соблюдать.
Таким образом, перекрестный прикус – это серьезная проблема, требующая времени, терпения и усилий для ее решения. Как врач, так и пациент должны подойти к этому вопросу с пониманием. Однако стоит помнить, что здоровье и красота лица имеют первостепенное значение. Наберитесь сил и терпения для достижения желаемого результата.
https://youtube.com/watch?v=gF9_kqA1FPc
Методы диагностики перекрестного прикуса
Диагностика перекрестного прикуса является важным этапом в процессе его лечения, как у детей, так и у взрослых. Правильная оценка состояния зубочелюстной системы позволяет выбрать наиболее эффективные методы коррекции. Существует несколько методов диагностики, которые помогают стоматологам и ортодонтам определить наличие и степень выраженности перекрестного прикуса.
1. Визуальный осмотр. Первым шагом в диагностике является тщательный визуальный осмотр полости рта пациента. Специалист обращает внимание на положение зубов, симметрию лица, а также на наличие других аномалий прикуса. Визуальный осмотр позволяет выявить явные признаки перекрестного прикуса, такие как неправильное смыкание зубов и асимметрия челюстей.
2. Ортопантомография. Этот метод включает в себя рентгенографическое исследование, которое позволяет получить панорамный снимок всей зубочелюстной системы. Ортопантомограмма помогает выявить не только перекрестный прикус, но и другие аномалии, такие как недоразвитие или неправильное положение зубов, а также состояние корней и челюстных костей.
3. Телерентгенография. Этот метод используется для оценки положения челюстей и зубов в трехмерном пространстве. Телерентгенограмма позволяет определить соотношение между верхней и нижней челюстями, а также выявить возможные нарушения в развитии лицевых структур. Это особенно важно для планирования ортодонтического лечения.
4. Моделирование прикуса. В некоторых случаях для более точной диагностики может быть использовано моделирование прикуса. Специалист может создать модели зубов пациента на основе слепков, что позволяет визуализировать и анализировать положение зубов и челюстей в различных функциональных позициях.
5. Функциональные тесты. Оценка функциональности жевательной системы также играет важную роль в диагностике перекрестного прикуса. Специалист может провести тесты на определение силы жевания, а также оценить работу мышц, участвующих в процессе жевания и артикуляции. Это помогает выявить возможные функциональные нарушения, связанные с перекрестным прикусом.
6. Опрос пациента. Не менее важным аспектом диагностики является сбор анамнеза. Опрос пациента о наличии болей в челюстях, дискомфорте при жевании, а также о наследственных факторах может дать ценную информацию для диагностики и выбора метода лечения.
Таким образом, диагностика перекрестного прикуса включает в себя комплексный подход, сочетающий визуальный осмотр, рентгенографические исследования, функциональные тесты и сбор анамнеза. Это позволяет стоматологам и ортодонтам разработать индивидуальный план лечения, учитывающий особенности каждого пациента.
Профилактика перекрестного прикуса у детей
Регулярные осмотры у стоматолога позволяют выявить аномалии прикуса на ранних стадиях. Специалисты рекомендуют посещать стоматолога не реже двух раз в год. На этих визитах врач может оценить развитие зубочелюстной системы ребенка и, при необходимости, назначить дополнительные исследования, такие как рентгенография.
Правильное питание также играет ключевую роль в профилактике перекрестного прикуса. Употребление твердой пищи, такой как свежие овощи и фрукты, способствует правильному развитию челюстей и зубов. Избегание чрезмерного потребления мягкой пищи и сладостей помогает предотвратить проблемы с прикусом, так как они могут способствовать неправильному развитию зубочелюстной системы.
Соблюдение гигиенических норм, таких как регулярная чистка зубов и использование зубной нити, помогает предотвратить кариес и другие стоматологические заболевания, которые могут повлиять на прикус. Родители должны обучать детей правильной технике чистки зубов и следить за тем, чтобы они не забывали о гигиене полости рта.
Кроме того, важно следить за привычками ребенка, такими как сосание пальца или использование пустышки. Эти привычки могут негативно сказаться на формировании прикуса. Если ребенок продолжает сосать палец или использовать пустышку после достижения определенного возраста, родителям следует обратиться к специалисту для получения рекомендаций по устранению этих привычек.
Физическая активность и занятия спортом также могут способствовать правильному развитию челюстей. Участие в спортивных играх, где требуется активное использование челюстей, может помочь в формировании правильного прикуса. Однако важно помнить о безопасности и использовать защитные средства, такие как капы, чтобы избежать травм зубов и челюстей.
В заключение, профилактика перекрестного прикуса у детей требует комплексного подхода, включающего регулярные осмотры у стоматолога, правильное питание, соблюдение гигиенических норм и контроль за привычками ребенка. Раннее выявление и коррекция проблем с прикусом могут значительно улучшить качество жизни ребенка и предотвратить необходимость в более сложном лечении в будущем.
Роль ортодонтических аппаратов в лечении перекрестного прикуса
Ортодонтические аппараты играют ключевую роль в лечении перекрестного прикуса как у детей, так и у взрослых. Их основная задача заключается в коррекции неправильного прикуса, что может значительно улучшить не только эстетический вид улыбки, но и функциональность зубочелюстной системы.
Существует несколько типов ортодонтических аппаратов, которые могут быть использованы в зависимости от степени и типа перекрестного прикуса. К ним относятся:
- Съемные аппараты: Эти устройства могут быть легко удалены пациентом. Они часто используются у детей, так как их челюсти все еще развиваются. Съемные аппараты могут помочь в расширении челюсти и корректировке положения зубов.
- Несъемные аппараты: К ним относятся брекеты и различные системы, которые фиксируются на зубах. Они обеспечивают более точное и постоянное воздействие на зубы и челюсти, что особенно важно для взрослых пациентов, у которых челюстной аппарат уже сформирован.
- Функциональные аппараты: Эти устройства используются для коррекции положения челюстей и могут быть как съемными, так и несъемными. Они помогают изменить положение нижней челюсти, что может быть особенно полезно при лечении перекрестного прикуса.
Лечение перекрестного прикуса с помощью ортодонтических аппаратов требует индивидуального подхода. Врач-ортодонт проводит тщательное обследование, включая рентгенографию и моделирование зубочелюстной системы, чтобы определить наиболее подходящий метод лечения. Важно учитывать возраст пациента, степень искривления прикуса и наличие других стоматологических проблем.
У детей лечение может быть более эффективным, так как их челюсти еще находятся в стадии роста. Ортодонтические аппараты могут использоваться для направленного роста челюстей и предотвращения дальнейших проблем с прикусом. У взрослых же лечение может занять больше времени, так как необходимо учитывать уже сформировавшиеся структуры.
Кроме того, важно отметить, что ортодонтические аппараты могут быть использованы в сочетании с другими методами лечения, такими как хирургическое вмешательство, если это необходимо. В некоторых случаях, особенно при тяжелых формах перекрестного прикуса, может потребоваться операция для коррекции положения челюстей.
В заключение, ортодонтические аппараты являются важным инструментом в лечении перекрестного прикуса. Их правильный выбор и использование могут значительно улучшить качество жизни пациента, восстановив не только эстетику улыбки, но и функциональность зубочелюстной системы.




