Воспаление десен под коронкой — распространенная проблема пациентов со стоматологическими протезами. Это состояние вызывает дискомфорт и боль, а также может привести к серьезным осложнениям без своевременного лечения. В статье рассмотрим причины воспаления, эффективные методы лечения, включая народные средства, и профилактические меры для предотвращения повторного появления этой патологии. Эти знания помогут вам лучше понять проблему и предпринять необходимые шаги для ее решения.
Почему после протезирования зубов воспаляется десна
Перед началом терапии воспаленных десен необходимо выяснить причины возникновения боли и отека. Проявление этих симптомов может быть связано с такими факторами, как:
- ошибки в подготовительных процедурах перед протезированием;
- наличие кариеса, периодонтита или других заболеваний зубов;
- ослабление иммунной системы;
- травмы десен;
- некачественное изготовление конструкции (коронки, протеза).
Боль и воспаление под коронкой могут возникать как сразу после ее установки, так и спустя некоторое время, даже через несколько лет. В случае возникновения болевых ощущений пациенты часто не знают, какие меры предпринять для их устранения, и пытаются справиться с проблемой с помощью домашних народных средств.
В некоторых случаях полоскание рта может временно облегчить боль и не представляет серьезной угрозы. Однако воспалительный процесс может иметь различные причины, которые невозможно устранить самостоятельно. Поэтому важно как можно скорее обратиться к специалисту.
Врачи отмечают, что воспаление десны под коронкой требует комплексного подхода к лечению. Прежде всего, необходимо провести тщательную диагностику, чтобы определить причину воспаления. Часто это связано с неправильной установкой коронки или наличием кариеса под ней. Специалисты рекомендуют начать с профессиональной гигиенической чистки, чтобы удалить зубной налет и камень, которые могут усугублять воспаление.
В некоторых случаях может потребоваться применение антисептических растворов или противовоспалительных препаратов. Если воспаление вызвано инфекцией, врач может назначить антибиотики. Важно также обратить внимание на коррекцию прикуса и, при необходимости, заменить коронку. Врачи подчеркивают, что регулярные визиты к стоматологу и соблюдение правил гигиены полости рта играют ключевую роль в профилактике подобных проблем.
https://youtube.com/watch?v=0cE_va49bhs
Описание некачественной подготовки к протезным конструкциям
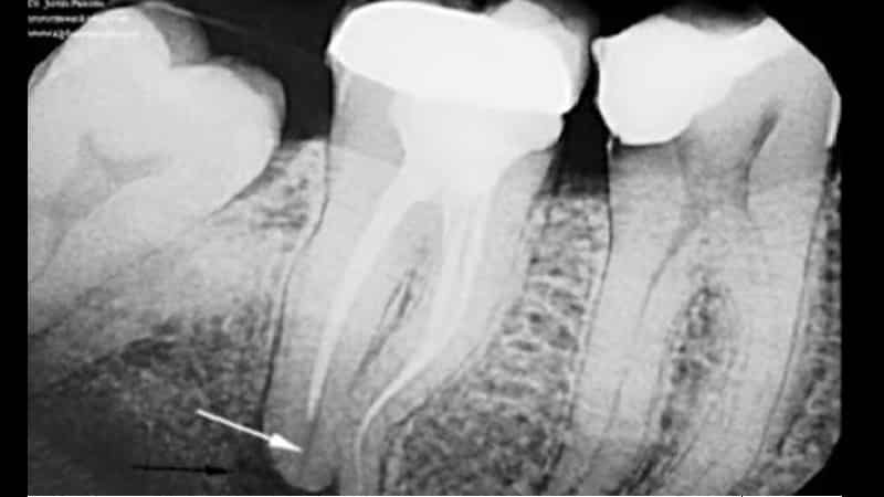
Подготовка к протезированию зубов включает в себя ряд обязательных процедур, которые должен выполнить стоматолог. Корневые каналы обычно заполняются после удаления пульпы, что подразумевает избавление от сосудисто-нервного пучка внутри зуба. Правильно запломбированные каналы помогают избежать воспалительных процессов в области корней зуба. Однако иногда бывает, что корневой канал не заполняется полностью, что может привести к развитию инфекции и образованию гноя. Это состояние называется периодонтитом. Еще одной проблемой, связанной с недостаточной подготовкой, является обтурация пломбировочным материалом, когда пломбирование выполнено до верхушки корня, но не достаточно плотно. В результате образуются пустоты и пористость, что также может вызвать периодонтит. Плохую обтурацию можно выявить на рентгеновском снимке.
Боль в десне под протезами может возникать и в случае перфорации. Перфорация — это искусственное отверстие в стенке зуба, которое появляется из-за некачественной обработки инструментом. Ошибка может быть допущена стоматологом при неправильном расширении корневого канала. Также перфорация может произойти из-за несоблюдения правил фиксации штифта в корневом канале. Рентгенография и клинические симптомы помогают выявить такие ошибки.
Частыми причинами воспалительных процессов в десне под коронкой являются отломы инструмента во время очистки корневых каналов, когда остатки материала остаются в просвете.
Стоматологические инструменты для обработки корневых каналов очень тонкие и требуют соблюдения определенной техники применения. Например, нельзя прокручивать инструмент в канале с превышением допустимого угла. Отломы инструмента часто происходят при повторном использовании, когда инструмент подвергается значительным нагрузкам. Некоторые инструменты предназначены для одноразового использования, в то время как другие можно стерилизовать и применять повторно. К сожалению, в отечественных клиниках нередко используют инструменты до полного износа в целях экономии, что может привести к увеличению случаев воспалений десен из-за отломов. Однако не исключено, что новый инструмент может сломаться из-за сложной анатомии каналов или их искривлений.
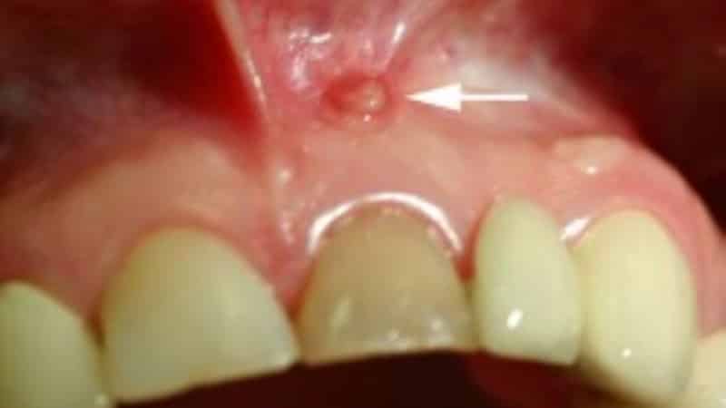
К основным симптомам воспалительных процессов, вызванных некачественной подготовкой, относятся зубная боль, образование флюса, отек десен, свищи и кисты. Боль в зубе под коронкой возникает из-за развития периодонтита в верхушке корня, что приводит к образованию гноя. Это вещество давит на ткани, вызывая боль. Хроническое воспаление может проявляться периодическими болями. Свищи формируются после острых воспалений с отеками десен и щек, соединяя полость рта с областью гноя тонким проходом. Образование флюса также указывает на воспаление верхушки корня, что сопровождается болью, отеком и подвижностью зуба. Хронический периодонтит в тяжелой форме может приводить к образованию кисты в области верхушки корня.
Киста может проявляться периодической припухлостью десны в месте больного зуба, но иногда не дает никаких признаков или со временем увеличивается. Определить наличие кисты можно с помощью рентгеновского снимка.
| Этап лечения | Описание | Рекомендации |
|---|---|---|
| Диагностика | Определение причины воспаления (неправильная посадка коронки, кариес под коронкой, травма, плохая гигиена). | Посещение стоматолога, рентген-снимок, зондирование десны. |
| Устранение причины | Снятие коронки, лечение кариеса, перелечивание корневых каналов, коррекция или замена коронки. | Строгое следование рекомендациям врача, соблюдение гигиены полости рта. |
| Противовоспалительная терапия | Полоскания антисептическими растворами (хлоргексидин, мирамистин), применение противовоспалительных гелей/мазей (Метрогил Дента, Холисал). | Регулярное применение средств по назначению врача, не превышать дозировку. |
| Антибиотикотерапия (при необходимости) | Назначение антибиотиков при выраженном воспалении, гнойных выделениях, распространении инфекции. | Принимать строго по схеме, назначенной врачом, не прерывать курс. |
| Профессиональная гигиена | Удаление зубного налета и камня, полировка зубов. | Регулярное посещение стоматолога для профессиональной чистки (1-2 раза в год). |
| Поддерживающая терапия | Использование специальных зубных паст для чувствительных десен, ирригатора, ополаскивателей. | Ежедневная тщательная гигиена полости рта, использование дополнительных средств. |
| Наблюдение | Регулярные осмотры у стоматолога для контроля состояния десны и коронки. | Соблюдение графика контрольных визитов, своевременное обращение при появлении симптомов. |
Что делать и как лечить воспаление десны под коронкой в клинике
Не стоит сильно паниковать, если после установки коронки вы испытываете боль. Обычно через несколько дней зуб адаптируется к новому протезу. Однако, если болезненные ощущения появились спустя длительное время после установки, необходимо обратиться к стоматологу. Современные методы стоматологии позволяют сохранить зуб и не повредить коронку. В процессе лечения, при отсутствии осложнений, врачи используют препараты, которые помогают снять боль и устранить воспалительные процессы. В противном случае может потребоваться замена коронок или протезов, что может быть довольно сложным. Важно иметь при себе рентгеновские снимки до и после установки коронок, а также лучше сделать панорамные снимки, чтобы исключить наличие различных образований, дефектов или остатков инструментов.
Если под протезом воспалились десны, лечение обычно проводится с снятой коронкой. Однако повторное ее надевание может быть затруднительным из-за возможной деформации конструкции. На сегодняшний день стоматологи применяют методы, позволяющие устранить воспаление без повреждения коронок.
Что делать, если десна под коронкой воспалена и можно ли сохранить конструкцию? Часто воспаление сопровождается сильной болью, а зуб реагирует на горячее и холодное. Это может указывать на развитие кариозного процесса. Врач выполнит сверление, удалит поврежденные ткани и закроет зуб постоянной пломбой.
Если десна под протезом воспалена, и под него попадают кусочки пищи, это может свидетельствовать о неправильной установке или деформации протеза. В таких случаях может потребоваться снятие протеза и лечение, или полное удаление больного зуба.
Почему десна часто воспаляется после установки коронки? По мнению специалистов, это явление считается нормальным. Во время установки зуб обрабатывается, что может затрагивать мягкие ткани, которым нужно время для восстановления. Если боль не проходит в течение недели или месяца, стоит обратиться к врачу для полной замены коронки или протеза.
Если в канале установлен штифт для укрепления зуба, лечение периодонтита может потребовать хирургического вмешательства с удалением корневой верхушки. Для этого делается надрез в области десны, через который устраняется очаг воспаления.
https://youtube.com/watch?v=LGj0WePIn9o
В период беременности опухла десна под коронкой — что делать
В период беременности в организме женщины часто наблюдаются нарушения обмена кальция, что в сочетании с гормональными изменениями может привести к разрушению зубной эмали и возникновению сильной боли. Одной из причин отечности у будущих мам может стать гнойное образование, вызванное инфекцией, уже присутствующей в организме. Это состояние может негативно сказаться на здоровье ребенка. Для временного облегчения состояния рекомендуется полоскать рот раствором соды и соли, отварами травяных сборов или фурацилином. Использование обезболивающих средств для лечения зубов возможно для беременных женщин после 18-й недели, когда плацента уже сформирована. Стоматологи подбирают такие препараты, которые безопасны как для матери, так и для малыша, и быстро выводятся из организма.
Народное лечение при воспалении десны
Полностью устранить проблему с зубом или десной в домашних условиях без помощи стоматолога и без понимания причины недуга практически невозможно. Симптомы заболевания и болевые ощущения можно временно облегчить.
При наличии явных признаков воспаления специалисты советуют полоскать рот раствором соли и соды. Также можно использовать отвары лечебных трав, которые доступны в аптеках в виде специальных сборов для полоскания. Они эффективно помогают уменьшить боль. Однако не рекомендуется применять теплые компрессы при гнойных воспалениях, так как это может привести к распространению инфекции.
В заключение, можно сказать, что частые воспаления десен часто возникают в области зуба, у которого была удалена пульпа. В процессе лечения врач сталкивается с такими проблемами, как:
- сложность удаления штифта из корневого канала без повреждений;
- лечение хронического периодонтита может занимать до трех месяцев.
Чтобы избежать воспалений, отеков десен и сильных болей, необходимо регулярно проводить гигиенические процедуры, следовать рекомендациям врача по уходу за коронками и протезами, а также проходить профилактические осмотры у стоматолога не реже одного раза в полгода.
https://youtube.com/watch?v=ggU5lQ1ueig
Профилактика воспаления десен после установки коронки
Профилактика воспаления десен после установки коронки является важным аспектом поддержания здоровья полости рта и предотвращения осложнений. Правильный уход за зубами и деснами поможет избежать воспалительных процессов, которые могут возникнуть в результате установки коронки.
Во-первых, необходимо соблюдать гигиену полости рта. Регулярная чистка зубов дважды в день с использованием фторсодержащей зубной пасты поможет удалить налет и предотвратить образование бактерий, которые могут вызывать воспаление. Также рекомендуется использовать зубную нить или интердентальные щетки для очистки труднодоступных мест между зубами и коронкой.
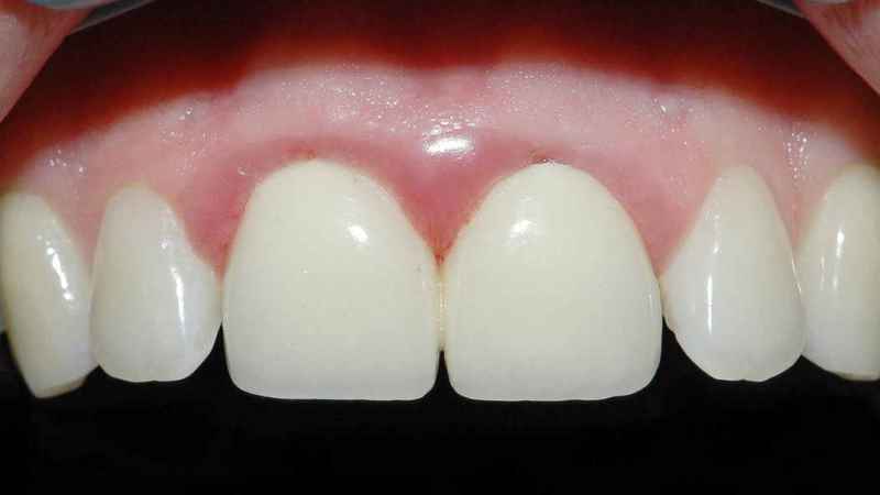
Во-вторых, важно следить за состоянием десен. Если вы заметили покраснение, отек или кровоточивость десен, необходимо обратиться к стоматологу. Эти симптомы могут указывать на начало воспалительного процесса, который требует своевременного вмешательства.
Кроме того, стоит избегать жесткой и твердой пищи в первые дни после установки коронки. Это поможет снизить нагрузку на десны и коронку, что может предотвратить травмы и воспаление. Рекомендуется употреблять мягкую пищу, такую как йогурты, пюре и супы, чтобы минимизировать дискомфорт.
Также следует обратить внимание на регулярные профилактические осмотры у стоматолога. Профессиональная чистка зубов и контроль состояния коронок помогут выявить возможные проблемы на ранних стадиях и предотвратить развитие воспаления.
Не менее важным аспектом является отказ от курения. Никотин и другие вредные вещества, содержащиеся в табачных изделиях, могут ухудшать кровообращение в деснах и замедлять процесс заживления, что увеличивает риск воспалительных заболеваний.
Наконец, стоит учитывать общее состояние здоровья. Хронические заболевания, такие как диабет, могут негативно влиять на здоровье десен. Поэтому важно контролировать свое здоровье и при необходимости консультироваться с врачом для корректировки лечения.
Следуя этим рекомендациям, можно значительно снизить риск воспаления десен после установки коронки и обеспечить долгосрочное здоровье зубов и десен.
Когда необходимо обратиться к стоматологу: признаки осложнений
Воспаление десны под коронкой может быть признаком серьезных стоматологических проблем, и важно не игнорировать его симптомы. Существует несколько признаков, которые могут указывать на необходимость обращения к стоматологу для диагностики и лечения.
Первым и наиболее очевидным признаком является боль в области коронки. Если вы испытываете дискомфорт или острую боль, особенно при жевании или нажатии на зуб, это может свидетельствовать о воспалительном процессе. Боль может быть как постоянной, так и периодической, и ее интенсивность может варьироваться от легкого дискомфорта до сильной боли.
Вторым важным симптомом является отек десны. Если вы заметили, что десна вокруг коронки покраснела и увеличилась в размере, это может указывать на воспаление. Отек может сопровождаться болезненностью при прикосновении и даже появлением гноя, что является признаком инфекции.
Третьим признаком является наличие неприятного запаха изо рта или привкуса гноя. Это может быть связано с накоплением бактерий и воспалением тканей десны. Если вы заметили, что гигиенические процедуры не помогают устранить запах, это может быть сигналом о необходимости визита к стоматологу.
Также стоит обратить внимание на изменения в состоянии коронки. Если коронка стала шатающейся или вы заметили, что она не плотно прилегает к зубу, это может указывать на проблемы с опорным зубом или на развитие кариеса под коронкой. В таких случаях важно обратиться к специалисту для оценки состояния зуба и коронки.
Наконец, если вы испытываете общее недомогание, сопровождающееся повышением температуры, это может быть признаком системной реакции организма на инфекцию. В таких случаях необходимо немедленно обратиться за медицинской помощью.
В целом, если вы заметили один или несколько из перечисленных симптомов, не откладывайте визит к стоматологу. Раннее обращение за помощью поможет избежать серьезных осложнений и сохранить здоровье зубов и десен.
Рекомендации по уходу за полостью рта при наличии коронок
Уход за полостью рта при наличии коронок является важным аспектом поддержания здоровья десен и зубов. Правильная гигиена поможет предотвратить воспаление десен и другие стоматологические проблемы. Вот несколько рекомендаций, которые помогут вам сохранить здоровье десен и коронок:
- Регулярная чистка зубов: Чистите зубы не менее двух раз в день с использованием мягкой зубной щетки и фторсодержащей зубной пасты. Обратите особое внимание на область вокруг коронки, чтобы удалить налет и остатки пищи.
- Использование зубной нити: Зубная нить помогает удалить налет и остатки пищи из межзубных промежутков, где зубная щетка не может достать. Используйте зубную нить ежедневно, чтобы предотвратить воспаление десен.
- Полоскание рта: Используйте антисептические ополаскиватели для рта, чтобы уменьшить количество бактерий в полости рта. Это поможет предотвратить воспаление и инфекцию десен.
- Избегайте жесткой пищи: В первые дни после установки коронки старайтесь избегать жесткой и липкой пищи, которая может повредить коронку или вызвать дискомфорт в деснах.
- Регулярные визиты к стоматологу: Посещайте стоматолога не реже двух раз в год для профессиональной чистки и осмотра. Это поможет выявить проблемы на ранней стадии и предотвратить воспаление десен.
- Отказ от курения: Курение негативно сказывается на здоровье десен и может способствовать развитию воспалительных процессов. Отказ от курения поможет улучшить общее состояние полости рта.
- Сбалансированное питание: Употребляйте продукты, богатые витаминами и минералами, особенно витамином C и кальцием, которые способствуют здоровью десен и зубов.
Следуя этим рекомендациям, вы сможете значительно снизить риск воспаления десен под коронкой и поддерживать здоровье полости рта на высоком уровне. Помните, что профилактика всегда проще и эффективнее, чем лечение уже возникших проблем.




