Нарыв на десне — болезненное состояние, возникающее из-за инфекций, травм или воспалений. Игнорировать его нельзя, так как это может привести к осложнениям. В статье рассмотрим диагностику нарыва и эффективные народные методы лечения в домашних условиях. Эти простые способы помогут быстро облегчить состояние и предотвратить развитие заболевания.
Почему это происходит
Воспалительный процесс развивается в пародонтальных карманах и затрагивает мягкие ткани, которые начинают заполняться жидкостью. Если не обратить внимание на эту патологию, это может привести к разрушению костной ткани, и зубы начнут шататься.
Главные причины:
- Накопление гнойного содержимого при невыявленном пульпите;
- Воспаление надкостницы или флюс, сопровождающееся отечностью, сильной болью и повышением температуры;
- Фурункулы на деснах, вызывающие образование нарывов, из которых постоянно выделяется гной;
- Отечность и покраснение десен, возникающие из-за несоблюдения гигиенических норм в полости рта;
- Повреждения десен, возникающие при длительном воздействии разрушительных факторов с образованием гематомы;
- Процессы удаления зубов или их прорезывание.
Появление гнойных образований связано с влиянием одного из указанных факторов.
Для точного определения причины пациенту необходимо обратиться к стоматологу. Важно помнить, что основной причиной возникновения гнойника является инфекция, однако ее тип позволяет классифицировать заболевание на различные виды.
Врачи отмечают, что нарывы на деснах могут быть признаком воспалительного процесса, и важно не игнорировать этот симптом. В домашних условиях рекомендуется начать с полоскания рта антисептическими растворами, такими как раствор соли или соды, что поможет уменьшить воспаление и очистить поражённую область. Также полезно применять отвары трав, например, ромашки или шалфея, обладающие противовоспалительными свойствами.
Однако специалисты подчеркивают, что самолечение не всегда эффективно. Если симптомы не проходят в течение нескольких дней или усиливаются, необходимо обратиться к стоматологу. Врач может назначить более сильные препараты или провести профессиональную чистку, что поможет избежать осложнений. Важно помнить, что здоровье десен напрямую связано с общим состоянием организма, поэтому поддержание иммунной системы также играет ключевую роль в профилактике подобных проблем.
https://youtube.com/watch?v=PlRO9FmH1Fs
Какие симптомы нарыва
Нарыв можно легко определить на ранних стадиях его формирования. Симптомы проявляются достаточно явно и сразу становятся заметными. Это выражается в дискомфорте при жевании пищи. Процесс надкусывания затрудняет общение и прием пищи. Десны вокруг пораженного зуба начинают воспаляться. Гнойное образование может вскрываться самостоятельно, что приводит к временной облегченности симптомов, однако патологический процесс продолжает развиваться.
Не следует пытаться вскрывать нарыв самостоятельно.
Не рекомендуется извлекать гнойное содержимое своими руками. Если часть гноя попадет в окружающие ткани, это может привести к серьезным осложнениям, таким как сепсис.
Когда на десне появляется нарыв, состояние пациента значительно ухудшается. Боль усиливается, речь становится затрудненной, может возникнуть озноб, а также проявляются признаки интоксикации.
| Симптом/Причина | Что делать (домашние средства) | Когда обратиться к врачу |
|---|---|---|
| Начальная стадия воспаления (легкая боль, покраснение) | Полоскания солевым раствором (1 ч.л. соли на стакан теплой воды) 3-4 раза в день. | Если боль усиливается, появляется отек, или симптомы не проходят в течение 2-3 дней. |
| Полоскания отварами трав (ромашка, шалфей, кора дуба) 2-3 раза в день. | ||
| Аккуратная чистка зубов мягкой щеткой. | ||
| Образование гнойника (сильная боль, отек, возможно повышение температуры) | Не пытаться выдавливать гнойник самостоятельно! | Немедленно! Это может привести к распространению инфекции. |
| Холодный компресс снаружи щеки (не на саму десну) для уменьшения отека и боли. | ||
| Прием обезболивающих (ибупрофен, парацетамол) по инструкции. | ||
| Попадание пищи в десневой карман (острая боль при надавливании) | Аккуратное вымывание остатков пищи зубной нитью или ирригатором. | Если боль не проходит, или есть подозрение на глубокое застревание. |
| Полоскания антисептическими растворами (хлоргексидин 0.05% — не более 7 дней). | ||
| Травма десны (порез, царапина) | Полоскания антисептическими растворами. | Если кровотечение не останавливается, или рана глубокая. |
| Избегать раздражающей пищи (острое, горячее, кислое). | ||
| Общие рекомендации для профилактики | Регулярная и правильная гигиена полости рта (чистка зубов 2 раза в день, использование зубной нити). | Регулярные профилактические осмотры у стоматолога (раз в 6-12 месяцев). |
| Использование ополаскивателей для рта с антисептическим эффектом. | ||
| Сбалансированное питание, богатое витаминами. |
Методы диагностики
Заболевание диагностируется на основе клинических проявлений. Десны могут быть отечными и даже с синеватым оттенком, а у пациента возникает боль в челюсти при приеме пищи.
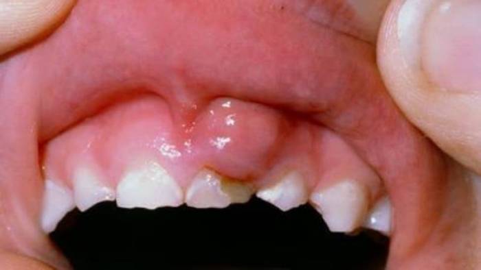
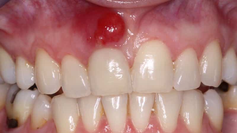
На десне появляется небольшой комок, который со временем становится заметным и наполняется жидкостью. В результате образуется полость в десне, что требует незамедлительного обращения к стоматологу.
Иногда процесс образования гноя сопровождается болевыми ощущениями, а щеки могут опухать, что затрудняет речь. На ярких рекламных материалах стоматологических клиник можно увидеть фотографии нарывов на деснах, что выглядит довольно неприятно. Кроме того, у пациента может появляться неприятный запах изо рта, а эмаль зубов становится темной. В некоторых случаях наблюдается повышение температуры тела и выраженная слабость.
https://youtube.com/watch?v=xZ9_9c-A7Pw
Как лечить нарыв на десне и что делать
Квалифицированный специалист должен определить тип образования и стадию патологического процесса во время обследования ротовой полости пациента.
Если образование достигло зрелости, его необходимо вскрыть. Врач удаляет зуб, который стал причиной образования нарыва. После хирургического вмешательства и промывания антисептическими растворами применяются консервативные методы лечения. Назначаются антибиотики, препараты для общего укрепления организма и антигистаминные средства.
При периодонтите используется следующая схема лечения: снимаются коронки, расширяются каналы, удаляется гнойное содержимое, устанавливаются временные пломбы. Специалист назначает рентгенографию для определения локализации и размеров пораженного участка.
При гингивите в первую очередь проводится профессиональная чистка зубов, а также назначаются домашние компрессы и полоскания.
Если наблюдается выделение гноя при парадонтозе, необходимо предпринять следующие шаги:
- провести чистку и промывание ротовой полости;
- удалить мертвые зубы;
- лечить и пломбировать зубы, которые можно сохранить;
- укрепить и стабилизировать зубы;
- назначить курс антибиотикотерапии или протезирование.
Если нарыв возник в результате неправильного пломбирования каналов, следует выполнить следующие действия:
- удалить экссудат;
- пройти курс антибиотиков и полоскания;
- извлечь остатки пломб из корневых каналов;
- установить лечебные прокладки;
- наложить швы.
Если зубы начинают расшатываться, их удаляют. Для детей, испытывающих дискомфорт при прорезывании зубов, применяются охлаждающие и обезболивающие средства.
Нарывает десна что делать в домашних условиях
Если у вас наблюдается нарыв десны, не стоит игнорировать этот тревожный сигнал. В противном случае вы рискуете потерять здоровый зуб. Если у вас нет возможности быстро обратиться к стоматологу, можно попробовать некоторые домашние средства. Как же полоскать рот, если десна над зубом воспалена?
Смешайте немного марганцовки и соды, добавив пару капель йода. Также для лечения нарыва подойдут различные травяные сборы, обладающие антисептическими свойствами.
Чтобы облегчить боль, можно принять обезболивающее средство. Однако это лишь временное решение, которое не устраняет основную проблему.
Кроме того, важно внимательно следить за гигиеной полости рта. Для этого рекомендуется использовать мягкую зубную щетку.
Не стоит прикладывать горячие компрессы к воспаленной десне. Это может усугубить ситуацию и способствовать быстрому распространению микроорганизмов. Облегчить состояние можно только с помощью холодных компрессов.
Что делать если нарывает десна народные методы
Приготовить отвары для полоскания рта совсем не сложно. Чтобы избежать возможных осложнений, важно строго следовать рекомендациям врача.
Полезные советы:
- приготовьте раствор из соды и соли. Эти компоненты являются отличными антисептиками, к тому же они доступны и недороги. Смешайте по одной столовой ложке соды и соли, добавьте 0,5 литра воды и несколько капель йода. Полощите рот после каждого приема пищи;
- холодное мясо и лед могут оказать помощь. Если ваши зубы не слишком чувствительны, попробуйте полоскать рот ледяной водой;
- раствор с перекисью водорода. Этот метод обладает дезинфицирующими свойствами и помогает уменьшить воспаление. Смешайте перекись водорода с водой в равных пропорциях. Используйте этот раствор не чаще одного раза в день.
Наши бабушки уверены, что народные методы лучше всего. И с этим трудно не согласиться:
- зеленый чай – это не только вкусный и бодрящий напиток, но и источник антиоксидантов, которые помогают снизить воспаление. Для лечения полощите рот чаем, сколько угодно, главное – делать это после еды;
- ромашка обладает отличным антисептическим действием. Этот травяной настой подходит даже аллергикам. Возьмите три столовые ложки аптечной ромашки и залейте 500 мл воды. Прокипятите и процедите. Полощите рот остывшим отваром;
- алое – еще одно целебное растение. Оно известно своей способностью дезинфицировать раны и снижать воспаление. Разрежьте лист алое пополам и прикладывайте мякоть или сок к пораженному участку.
Все эти методы предназначены для оказания первой помощи в домашних условиях. Они не могут заменить полноценное лечение в стоматологической клинике.
Поэтому полощите рот, прикладывайте холод, принимайте обезболивающее в крайнем случае и обязательно посетите врача.
Помните, что здоровые зубы должны быть светлыми, без налета и камней, с ровным и красивым цветом. Они не должны источать неприятный запах. Если между зубами застряли остатки пищи, это может привести к поражению эмали микроорганизмами, что в дальнейшем вызовет трещины. Десны должны иметь ровный и мягкий оттенок, без покраснений и кровоточивости при чистке. Если вы заметили припухлости или изменения в структуре десен, обязательно обратитесь к стоматологу за консультацией. Следуя всем рекомендациям врача и соблюдая гигиену, вы сможете сохранить зубы чистыми и здоровыми, а улыбку – белоснежной и привлекательной.
https://youtube.com/watch?v=dcyS1uKGZKU
Профилактика заболеваний десен
Заболевания десен могут привести к серьезным проблемам, включая потерю зубов и инфекции. Поэтому профилактика играет ключевую роль в поддержании здоровья десен. Вот несколько важных аспектов, которые помогут вам предотвратить заболевания десен.
Регулярная гигиена полости рта
Основой профилактики заболеваний десен является регулярная и правильная гигиена полости рта. Рекомендуется чистить зубы дважды в день с использованием фторсодержащей зубной пасты. Не забывайте также о чистке языка, так как на его поверхности могут скапливаться бактерии.
Использование зубной нити или межзубных щеток поможет удалить остатки пищи и налет из труднодоступных мест между зубами, где обычная щетка не может достать.
Регулярные визиты к стоматологу
Посещение стоматолога не реже двух раз в год для профессиональной чистки и осмотра зубов поможет выявить проблемы на ранних стадиях. Стоматолог сможет провести глубокую чистку, удалив зубной камень и налет, которые могут вызвать воспаление десен.
Правильное питание
Сбалансированное питание также играет важную роль в здоровье десен. Включите в свой рацион продукты, богатые витаминами C и D, а также кальцием. Эти элементы способствуют укреплению десен и зубов. Избегайте избыточного потребления сахара, так как он способствует развитию бактерий, вызывающих заболевания десен.
Отказ от вредных привычек
Курение и чрезмерное употребление алкоголя негативно сказываются на здоровье десен. Никотин снижает приток крови к деснам, что замедляет процесс заживления и увеличивает риск заболеваний. Отказ от этих привычек поможет улучшить состояние десен и общее здоровье полости рта.
Использование ополаскивателей для рта
Ополаскиватели для рта с антисептическими свойствами могут помочь в борьбе с бактериями и уменьшении воспаления десен. Выбирайте продукты, содержащие хлоргексидин или другие активные ингредиенты, которые способствуют улучшению состояния десен.
Контроль за состоянием десен
Регулярно проверяйте состояние своих десен. Обратите внимание на такие симптомы, как покраснение, отечность, кровоточивость при чистке зубов или неприятный запах изо рта. Если вы заметили какие-либо из этих признаков, обратитесь к стоматологу для консультации и возможного лечения.
Следуя этим рекомендациям, вы сможете значительно снизить риск заболеваний десен и поддерживать здоровье своей полости рта на высоком уровне.
Когда обращаться к стоматологу
Нарывающая десна может быть признаком различных стоматологических заболеваний, и в некоторых случаях необходима профессиональная помощь. Существует несколько ситуаций, когда стоит незамедлительно обратиться к стоматологу:
- Сильная боль: Если вы испытываете интенсивную боль в области десен, которая не проходит после приема обезболивающих средств, это может указывать на серьезное воспаление или инфекцию.
- Отек и покраснение: Если десна не только нарывает, но и сильно отекает, а также меняет цвет на ярко-красный, это может быть признаком гингивита или пародонтита, требующих профессионального лечения.
- Гнойные выделения: Появление гноя из десен — это тревожный сигнал. Это может свидетельствовать о наличии абсцесса, который требует немедленного вмешательства стоматолога.
- Температура и общее недомогание: Если наряду с проблемами с деснами у вас наблюдается повышение температуры, слабость или другие симптомы, это может указывать на системную инфекцию, требующую медицинского вмешательства.
- Проблемы с зубами: Если нарывающая десна сопровождается подвижностью зубов или их изменением положения, это может быть признаком серьезных заболеваний пародонта.
- Неэффективность домашних методов: Если вы пробовали различные домашние средства для облегчения состояния, но не заметили улучшения в течение нескольких дней, это также является поводом для обращения к специалисту.
Важно помнить, что самолечение может усугубить ситуацию. Стоматолог проведет необходимые обследования, такие как рентгенография, и назначит адекватное лечение, которое может включать профессиональную чистку, антибиотики или другие процедуры в зависимости от диагноза.
Не откладывайте визит к стоматологу, если у вас есть какие-либо из перечисленных симптомов. Заболевания десен могут привести к серьезным осложнениям, включая потерю зубов, поэтому лучше предотвратить проблему, чем лечить ее запущенные формы.
Рекомендации по уходу за полостью рта
Уход за полостью рта играет ключевую роль в поддержании здоровья десен и зубов. Правильная гигиена поможет предотвратить воспаление и другие проблемы, связанные с деснами. Вот несколько рекомендаций, которые помогут вам сохранить здоровье полости рта и избежать неприятных ощущений, связанных с нарывами десен.
1. Регулярная чистка зубов
Чистите зубы не менее двух раз в день, используя зубную пасту с фтором. Обратите внимание на технику чистки: движения должны быть мягкими и круговыми, чтобы не повредить десны. Не забывайте чистить язык, так как на его поверхности также могут скапливаться бактерии.
2. Использование зубной нити
Зубная нить помогает удалять остатки пищи и налет из межзубных пространств, куда не может добраться зубная щетка. Используйте зубную нить хотя бы раз в день, чтобы предотвратить образование кариеса и воспаление десен.
3. Полоскание рта
Полоскание рта антисептическими растворами или специальными ополаскивателями поможет снизить количество бактерий в полости рта и уменьшить воспаление. Выбирайте средства, содержащие хлоргексидин или другие антисептики, но не забывайте, что их не следует использовать слишком долго без консультации с врачом.
4. Правильное питание
Сбалансированное питание, богатое витаминами и минералами, способствует укреплению десен. Включите в свой рацион продукты, содержащие витамин C (цитрусовые, ягоды, брокколи), а также кальций и витамин D (молочные продукты, рыба). Избегайте избыточного потребления сахара, так как он способствует развитию кариеса и воспалительных процессов.
5. Регулярные визиты к стоматологу
Не забывайте о регулярных профилактических осмотрах у стоматолога. Специалист сможет выявить проблемы на ранних стадиях и предложить необходимые меры для их устранения. Профессиональная чистка зубов также поможет удалить налет и зубной камень, которые могут вызывать воспаление десен.
6. Избегание вредных привычек
Курение и чрезмерное употребление алкоголя негативно сказываются на здоровье десен. Отказ от этих привычек поможет улучшить состояние полости рта и снизить риск возникновения заболеваний десен.
Следуя этим рекомендациям, вы сможете значительно снизить риск возникновения проблем с деснами и поддерживать здоровье полости рта на высоком уровне. Если же вы заметили признаки воспаления или нарывы на деснах, не откладывайте визит к стоматологу, чтобы избежать осложнений.



