Экзостоз после удаления зуба мудрости — состояние, возникающее после хирургического вмешательства, проявляющееся костными выступами на челюсти. В статье рассмотрим причины экзостозов, их симптомы и методы диагностики, а также эффективные способы лечения и профилактики. Понимание возможных осложнений и правильный подход к лечению помогут избежать неприятных последствий и сохранить здоровье полости рта.
Что такое экзостоз
Экзостоз в стоматологии представляет собой наросты (остеофиты), которые возникают в результате разрастания костной или хрящевой ткани.
Эти образования проявляются в виде выступов на поверхности неба или нижней челюсти.
Внешний вид остеофитов напоминает шиповатые уплотнения слизистой оболочки, окрашенные в розовые или белые оттенки.
Размеры таких наростов могут варьироваться от небольших, размером с горошину, до крупных, достигающих величины яблока. Обычно они располагаются рядом с молярами, как на стороне неба, так и на изгибе нижней челюсти.
Справка. На начальных стадиях экзостоз не вызывает никаких неприятных ощущений. Однако по мере увеличения размера нарост может затруднять процесс питания и негативно влиять на речь. При достижении значительных размеров костно-хрящевой нарост начинает оказывать давление на зубы, что может привести к их смещению и нарушению прикуса.
С наличием таких образований невозможно использовать протезы или устанавливать имплантаты. В связи с этим возникает необходимость в хирургическом вмешательстве для удаления экзостоза.
Врачи отмечают, что экзостоз, возникающий после удаления зуба, требует внимательного подхода к лечению. Специалисты рекомендуют в первую очередь провести тщательное обследование, чтобы определить степень и характер экзостоза. Важно учитывать, что в большинстве случаев это состояние не требует хирургического вмешательства и может быть успешно контролируемым консервативными методами. Врачи советуют использовать противовоспалительные препараты и местные антисептики для уменьшения дискомфорта и предотвращения инфекции. Также полезно применять физиотерапевтические процедуры, такие как УВЧ-терапия, что способствует улучшению кровообращения и ускоряет заживление. В случае значительного увеличения экзостоза или появления болевых ощущений, специалисты могут рекомендовать хирургическое удаление. Важно, чтобы пациенты следовали рекомендациям врача и регулярно посещали стоматолога для контроля состояния.
https://youtube.com/watch?v=rbg-cGU6Dyc
Причины появления
На сегодняшний день не установлены четкие причины возникновения экзостозов. Костный нарост на челюсти может образоваться в любом возрасте, и иногда подобные образования встречаются у детей в процессе замены молочных зубов на постоянные.
К числу факторов, способствующих развитию данной патологии, можно отнести:
- врожденные аномалии в структуре зубочелюстной системы;
- наследственную предрасположенность;
- травмы челюстных костей;
- осложнения после удаления зубов;
- воспалительные процессы в полости рта, сопровождающиеся образованием абсцессов;
- инфекционные болезни;
- заболевания эндокринной системы;
Главной причиной появления экзостоза считается сложное удаление зуба. После удаления зуба кости могут неправильно срастаться, и в процессе заживления раны костные выступы обрастают подвижными мягкими тканями. Часто экзостоз развивается после удаления зуба мудрости.
| Этап лечения | Описание | Рекомендации |
|---|---|---|
| Непосредственно после удаления | Оценка состояния лунки, удаление остатков экзостоза (если необходимо), остановка кровотечения. | Строго следовать инструкциям стоматолога, не трогать лунку языком или пальцами. |
| Первые 24-48 часов | Формирование кровяного сгустка, начало заживления мягких тканей. | Прикладывать холод к щеке (через ткань), избегать горячей, твердой, острой пищи, не полоскать рот активно, не курить, не употреблять алкоголь. |
| Первая неделя | Активное заживление мягких тканей, уменьшение отека и боли. | Аккуратно чистить зубы, избегая области удаления. Полоскать рот антисептическими растворами (по назначению врача). Избегать физических нагрузок. |
| Вторая-четвертая неделя | Заживление костной ткани, формирование новой кости. | Постепенное возвращение к привычному рациону. Продолжать соблюдать гигиену полости рта. |
| Долгосрочный период | Полное восстановление костной ткани, отсутствие рецидивов. | Регулярные осмотры у стоматолога, поддержание хорошей гигиены полости рта. |
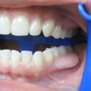
Симптомы
При небольших размерах экзостозы обычно не проявляют клинических симптомов, медленно увеличиваясь и оставаясь безболезненными, что делает их незаметными как для пациента, так и для врача в течение длительного времени.
Часто такие образования выявляются случайно во время рентгенологического исследования или после появления уплотнения, которое можно прощупать под кожей или заметить при осмотре.
Крупные наросты легко ощущаются языком и могут вызывать дискомфорт при нажатии.
Характерные признаки:
- образование на челюсти под слизистыми оболочками в виде твердой шишки с округлой верхушкой;
- ощущение постороннего предмета во рту;
- десна в области нароста становятся светлее, приобретают белый цвет;
- у человека может появиться шепелявость или «свист» при разговоре;
- наблюдается асимметрия лица со стороны экзостоза;
- боль в области новообразования;
- иногда – ограничение подвижности нижней челюсти.
В процессе жевания, если в ротовой полости имеется нарост, тонкий слой слизистой оболочки, его покрывающей, может стираться. Образовавшаяся ссадина часто подвержена инфекции и может стать источником воспаления, что в свою очередь может привести к абсцессу или флегмоне.
Для раннего выявления и своевременного лечения данной патологии рекомендуется ежегодно проходить профилактические осмотры у стоматолога.
https://youtube.com/watch?v=aX5nUrZdHSE
Методы диагностики
Небольшие остеофиты, как правило, не вызывают дискомфорта у пациентов, поскольку болевой синдром отсутствует, а открытие рта происходит свободно и полностью. Слизистая оболочка в области нароста не демонстрирует значительных патологических изменений.
Чаще всего стоматолог обнаруживает экзостоз во время осмотра или при подготовке к протезированию.
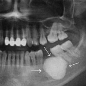
Диагностика данного состояния основывается на результатах рентгенологического исследования.
На рентгеновском снимке отчетливо виден костный нарост, который не срастается с окружающими тканями и имеет четкие контуры.
Важно отметить, что на рентгенограмме экзостоза виден только костный «стержень», в то время как хрящевая ткань не отображается на рентгеновских снимках. В действительности нарост может быть значительно больше, чем на изображении.
Несмотря на то, что это заболевание считается доброкачественным, существует определенный риск его преобразования в злокачественную форму.
В некоторых случаях врач может назначить биопсию для подтверждения или опровержения диагноза, чтобы взять образцы тканей для последующего лабораторного и цитологического анализа.
Показания и противопоказания к операции
Если нарост на челюсти небольшой и не вызывает дискомфорта, не стоит спешить с операцией.
Удаление экзостоза возможно только хирургическим путем, и вылечить его самостоятельно не удастся.
Показания для проведения операции включают:
- стремительный рост экзостоза;
- дискомфорт при приеме пищи и разговоре;
- заметный косметический дефект и значительные размеры остеофита;
- сложности с ортопедическим лечением (например, установка имплантов или протезов).
Экзостоз на хрящевой ткани височно-нижнечелюстного сустава существенно ограничивает его подвижность, мешает нормальному движению челюсти и открыванию рта, а также вызывает сильные боли. В таких случаях нарост требует немедленного удаления.
Процедура по удалению остеофитов имеет свои ограничения.
К противопоказаниям относятся:
- сахарный диабет;
- нарушения в эндокринной системе;
- заболевания надпочечников;
- проблемы с щитовидной железой;
- плохая свертываемость крови.
Как проходит хирургическое вмешательство
Как проходит процесс удаления экзостозов? Это достаточно простая стоматологическая процедура, которая обычно занимает от одного до двух часов.
Во время операции стоматолог выполняет следующие шаги:
- вводит местную анестезию, что позволяет избежать неприятных ощущений у пациента;
- делает надрез десны в области экзостоза;
- удаляет нарост с помощью бормашины или лазера;
- обрабатывает поверхность кости, придавая ей гладкость;
- накладывает швы на десну;
- если под наростом обнаружена полость или трещина, на нее устанавливается специальная пластина-имплантат;
- для ускорения процесса заживления врач применяет антисептические аппликации с мазями, такими как «Солкосерил» или «Левомеколь».
Какие существуют методики
Существует два основных метода выполнения данной операции.
Выбор конкретной техники зависит от расположения остеофита:
- Удаление небного торуса. В этом случае хирург выполняет небольшой линейный разрез, а также два дополнительных — спереди и сзади. Затем стоматолог аккуратно отслаивает слизистую оболочку и удаляет остеофит. Процесс извлечения может быть как однократным, так и по частям. После этого проводится сглаживание костной ткани, и в завершение накладываются узловые швы.
- Удаление альвеолярных остеофитов. Процедура в этом случае аналогична предыдущей методике, однако основное отличие заключается в форме разреза — он имеет трапециевидный вид. В остальном хирургическое вмешательство при удалении остеофитов верхней и нижней челюсти осуществляется так же, как и при удалении небного торуса.
Операция обычно занимает не более 2 часов. Однако продолжительность может варьироваться в зависимости от размеров аномалии, ее расположения и сложности клинической ситуации. После удаления нароста врач накладывает швы, а в некоторых случаях — специальную давящую повязку.
Реабилитация
Реабилитационный процесс обычно занимает около недели, однако при наличии ослабленного иммунитета или повышенной микробной активности в ротовой полости он может затянуться до месяца.
Основное правило после операции – проявляйте осторожность.
Важно. Пациенту следует избегать расхождения швов, поэтому в течение некоторого времени рекомендуется употреблять только теплую мягкую пищу (также напитки лучше пить в теплом виде). Необходимо отказаться от курения и других вредных привычек.
Небольшие отеки и боли могут иметь место. В период восстановления разрешается применять обезболивающие средства, такие как «Ибупрофен» или «Кеторол», а также противоотечные препараты, например, «Тавегил». Особое внимание стоит уделить гигиене ротовой полости.
Проконсультируйтесь со стоматологом о том, какие средства лучше использовать для полоскания рта, чтобы избежать бактериального заражения. Хорошо зарекомендовали себя растворы, такие как «Хлоргексидин» и «Ротокан».
Возможные осложнения
Последствия удаления экзостозов зависят от индивидуальных особенностей пациента. Осложнения могут возникнуть, если человек не следует указаниям врача, игнорирует диету и не придерживается правил гигиены полости рта. Такое поведение может привести к частичному или полному расхождению швов, а также к воспалительным процессам.
Иногда после операции могут воспаляться и другие органы (особенно если имеются хронические заболевания), например, могут возникнуть проблемы с сердечно-сосудистой системой.
Однако чаще всего источником осложнений становится психологическое состояние самого пациента. Если он испытывает стресс и беспокойство, это может привести к повышению артериального давления и, как следствие, – к сердечным проблемам.
При наличии воспалительных процессов врач может назначить один из следующих антибиотиков: «Тетрациклин», «Левомицетин», «Доксициклин», «Линкомицин». Обычно курс лечения не превышает 5 дней. Важно защищать рану от любых воздействий и инфекций.
При низком уровне иммунитета и большом количестве микробов в полости рта процесс заживления может затянуться на недели и даже месяцы.
Методы профилактики
Специальных методов предотвращения экзостоза не существует, так как причины, приводящие к этому заболеванию, до сих пор не установлены.
Для своевременного обнаружения данной патологии рекомендуется посещать стоматолога каждые полгода для профилактического осмотра, а также оперативно лечить воспалительные процессы в ротовой полости и проверять наличие трещин. Если есть подозрения на остеофит, можно провести рентгенографическое исследование.
Заключение
Небольшой экзостоз, не проявляющий признаков воспаления, обычно не вызывает значительных неудобств у человека. Это образование представляет собой нарост из хрящевой или костно-хрящевой ткани. Однако, если размер нароста увеличивается и он начинает мешать зубам или слизистая оболочка, его покрывающая, начинает истончаться и воспаляться, то в таком случае требуется его удаление.
Хотя данное заболевание не угрожает жизни, оно может вызывать косметические проблемы и создавать определенные трудности при ортопедическом лечении. Процедура удаления экзостоза является достаточно простой. После заживления десна восстанавливает свой прежний вид, и пациент может забыть о возникшем дискомфорте.
https://youtube.com/watch?v=8m7WgLjLQCA
Психологическая поддержка пациента
После удаления зуба и возникновения экзостоза, пациент может столкнуться не только с физическими, но и с психологическими трудностями. Важно понимать, что эмоциональное состояние играет значительную роль в процессе восстановления. Психологическая поддержка может помочь справиться с тревогой, страхом и стрессом, которые могут возникнуть в этот период.
Первым шагом к обеспечению психологической поддержки является информирование пациента о процессе восстановления. Объяснение того, что экзостоз — это относительно распространенное явление, может помочь снизить уровень тревожности. Важно, чтобы пациент понимал, что это состояние не является редким и что большинство людей успешно справляются с ним.
Кроме того, стоит обсудить с пациентом возможные симптомы и сроки восстановления. Знание того, что некоторые ощущения, такие как легкая боль или отек, могут быть нормальными, поможет снизить страхи. Также полезно рассказать о том, какие методы можно использовать для облегчения дискомфорта, например, применение холодных компрессов или обезболивающих средств, назначенных врачом.
Поддержка со стороны близких также играет важную роль. Рекомендуется вовлечь семью и друзей в процесс восстановления, чтобы пациент чувствовал себя менее одиноким. Эмоциональная поддержка может включать в себя простые вещи, такие как помощь в повседневных делах, общение и просто присутствие рядом.
В некоторых случаях может быть полезно обратиться к психологу или психотерапевту. Специалист поможет пациенту справиться с негативными эмоциями и страхами, связанными с процессом восстановления. Психотерапия может включать в себя различные методы, такие как когнитивно-поведенческая терапия, которая помогает изменить негативные мысли и установки на более позитивные.
Также стоит обратить внимание на методы релаксации и снятия стресса. Практики, такие как медитация, йога или дыхательные упражнения, могут помочь пациенту справиться с тревожностью и улучшить общее самочувствие. Регулярные физические упражнения, даже в легкой форме, могут способствовать улучшению настроения и снижению уровня стресса.
Наконец, важно помнить, что каждый человек уникален, и подход к психологической поддержке должен быть индивидуальным. Учитывая личные предпочтения и потребности пациента, можно создать оптимальные условия для его восстановления как физического, так и эмоционального.
Рекомендации по питанию после операции
После удаления зуба и в период восстановления важно уделить особое внимание своему питанию. Правильный рацион поможет ускорить заживление тканей, снизить риск осложнений и улучшить общее самочувствие. Ниже представлены основные рекомендации по питанию в послеоперационный период.
1. Избегайте твердой пищи
В первые несколько дней после удаления зуба рекомендуется избегать твердой и жесткой пищи. Это может привести к травмированию области операции и замедлить процесс заживления. Вместо этого выбирайте мягкие продукты, такие как:
- пюре из картофеля;
- мягкие овощи, приготовленные на пару;
- йогурты и творог;
- супы-пюре;
- каши на воде или молоке.
2. Температура пищи
Температура пищи также играет важную роль. Избегайте горячих и холодных блюд, так как они могут вызвать дискомфорт и раздражение. Оптимальная температура пищи — комнатная или слегка теплая. Это поможет избежать воспалительных процессов и снизит риск возникновения болей.
3. Увлажнение и гидратация
Не забывайте о достаточном потреблении жидкости. Вода, травяные чаи и натуральные соки помогут поддерживать уровень гидратации и способствовать заживлению. Однако старайтесь избегать газированных напитков и алкоголя, так как они могут вызвать раздражение и замедлить восстановление.
4. Витамины и минералы
Обогащение рациона витаминами и минералами также важно для быстрого восстановления. Включите в свое меню продукты, богатые витамином C (цитрусовые, киви, ягоды), витамином A (морковь, сладкий картофель) и витамином K (зеленые листовые овощи). Эти витамины способствуют заживлению тканей и укреплению иммунной системы.
5. Избегайте раздражающих продуктов
Некоторые продукты могут вызвать раздражение в области операции. Избегайте острых, кислых и слишком сладких блюд, а также продуктов с высоким содержанием сахара, так как они могут способствовать развитию воспаления и инфекций.
6. Придерживайтесь режима питания
Соблюдайте режим питания, чтобы обеспечить организму необходимые питательные вещества. Рекомендуется есть небольшими порциями 5-6 раз в день. Это поможет избежать перегрузки пищеварительной системы и обеспечит поступление всех необходимых элементов для восстановления.
7. Консультация с врачом
Если у вас есть какие-либо сомнения относительно питания после операции, обязательно проконсультируйтесь с врачом или диетологом. Они смогут дать индивидуальные рекомендации, учитывая ваше состояние и особенности организма.
Следуя этим рекомендациям, вы сможете значительно облегчить процесс восстановления после удаления зуба и минимизировать риск возникновения осложнений, таких как экзостоз. Правильное питание — это важный шаг на пути к вашему здоровью и благополучию.
Обзор современных методов лечения экзостоза
Экзостоз — это доброкачественное образование, представляющее собой избыточный рост костной ткани, которое может возникнуть в области челюсти после удаления зуба. Лечение экзостоза зависит от его размера, расположения и наличия симптомов. В данной статье рассмотрим современные методы лечения экзостоза, которые помогут справиться с этой проблемой.
Наблюдение и динамическое наблюдение
В некоторых случаях экзостоз может не вызывать никаких симптомов и не требовать немедленного вмешательства. В таких ситуациях стоматологи могут рекомендовать периодическое наблюдение за состоянием образования. Это включает в себя регулярные осмотры и рентгенографические исследования для контроля за ростом экзостоза и исключения возможных осложнений.
Медикаментозное лечение
Если экзостоз вызывает дискомфорт или воспаление, врач может назначить противовоспалительные препараты, такие как нестероидные противовоспалительные средства (НПВС). Эти препараты помогают уменьшить боль и отек, однако не устраняют само образование. Важно отметить, что медикаментозное лечение является временной мерой и не решает основную проблему.
Хирургическое вмешательство
При значительном увеличении экзостоза или наличии болевых ощущений может потребоваться хирургическое удаление. Операция обычно проводится под местной анестезией и включает в себя следующие этапы:
- Подготовка пациента: перед операцией стоматолог проводит полное обследование, включая рентгенографию, чтобы оценить размеры и расположение экзостоза.
- Удаление экзостоза: хирург делает разрез в области образования и удаляет избыточную костную ткань. Важно, чтобы операция проводилась опытным специалистом, чтобы минимизировать риск осложнений.
- Реабилитация: после операции пациенту могут быть назначены антибиотики для предотвращения инфекции и обезболивающие средства для облегчения боли. Важно следовать рекомендациям врача по уходу за раной и соблюдать гигиену полости рта.
Физиотерапия и реабилитация
После хирургического вмешательства может быть рекомендована физиотерапия для ускорения процесса заживления. Это может включать в себя:
- Ультразвуковая терапия: помогает улучшить кровообращение и ускорить восстановление тканей.
- Лазерная терапия: способствует уменьшению воспаления и боли, а также ускоряет заживление.
- Массаж мягких тканей: может помочь улучшить подвижность и уменьшить напряжение в области операции.
Профилактика экзостоза
Для снижения риска возникновения экзостоза после удаления зуба важно соблюдать рекомендации стоматолога, включая:
- Своевременное лечение зубов и десен.
- Соблюдение правил гигиены полости рта.
- Регулярные профилактические осмотры у стоматолога.
Таким образом, экзостоз после удаления зуба требует внимательного подхода к лечению. Современные методы, включая наблюдение, медикаментозное лечение, хирургическое вмешательство и физиотерапию, позволяют эффективно справляться с этой проблемой и минимизировать риск осложнений.




