Опущение десны — распространенная стоматологическая проблема, способная вызвать серьезные последствия для здоровья зубов и десен. В статье рассмотрим причины этой патологии и эффективные методы лечения, включая медикаментозные и народные способы. Узнаете, как предотвратить дальнейшее развитие заболевания и какие меры предпринять при первых признаках опущения десны. Информация будет полезна как тем, кто уже столкнулся с проблемой, так и тем, кто хочет предотвратить ее появление.
Как проявляется
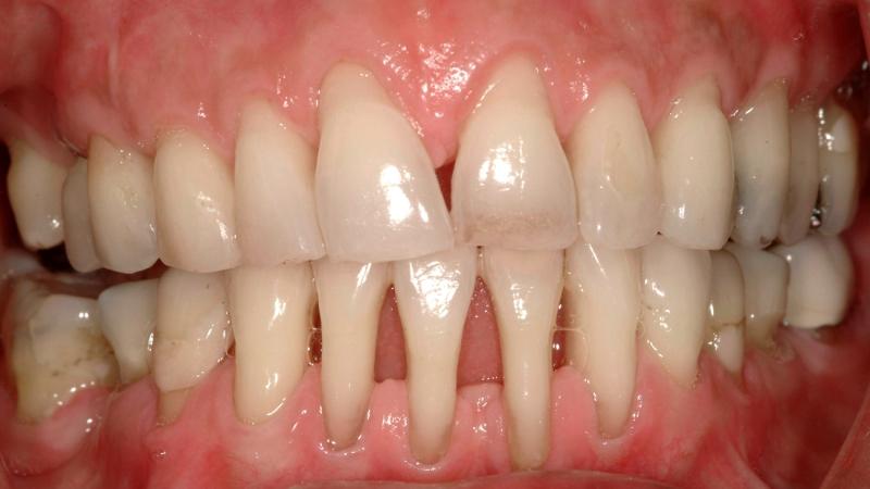
Симптомы данной проблемы достаточно очевидны, и их можно заметить сразу. Важно своевременно отреагировать и записаться на консультацию к врачу. Первые признаки, на которые стоит обратить внимание, включают боли в области корня зуба, покраснение и воспаление десен, а также их кровоточивость при воздействии (например, во время еды или чистки зубов).
Если не предпринять меры вовремя, симптомы могут ухудшиться. В этом случае зубы начинают расшатываться, появляется неприятный запах изо рта, а также воспаляется область вокруг корня зуба.
Часто это сопровождается повышенной чувствительностью зубов, так как при опущении десен они оголяются и становятся более уязвимыми к внешним воздействиям.
При появлении этих признаков необходимо срочно обратиться к специалисту, чтобы избежать серьезных последствий.
При возникновении ситуации, когда десна поднялась над зубом, врачи рекомендуют не откладывать визит к стоматологу. Это может свидетельствовать о наличии воспалительного процесса, таком как гингивит или пародонтит, а также о возможном образовании абсцесса. Специалисты подчеркивают важность своевременной диагностики, так как игнорирование проблемы может привести к серьезным осложнениям, включая потерю зуба.
Врач проведет осмотр, возможно, назначит рентген, чтобы оценить состояние корней зубов и окружающих тканей. В зависимости от диагноза, лечение может включать профессиональную чистку, назначение противовоспалительных препаратов или даже хирургическое вмешательство. Кроме того, стоматологи советуют обратить внимание на гигиену полости рта и регулярные профилактические осмотры, чтобы избежать подобных проблем в будущем.
https://youtube.com/watch?v=iuHbyXfaICQ
Причины возникновения
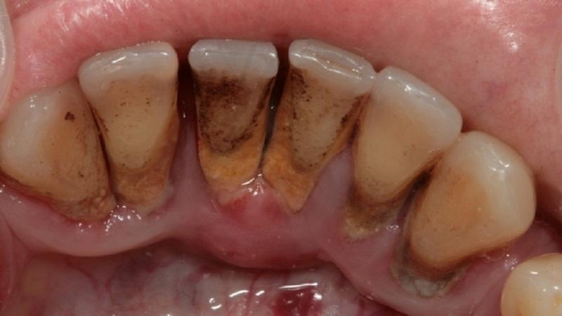
Существует несколько факторов, способствующих возникновению данного симптома. Одной из основных причин является недостаточная гигиена полости рта. Важно правильно заботиться о зубах и деснах: регулярно чистить их, своевременно лечить заболевания и избегать злоупотребления алкоголем, курением и вредной пищей.
При отсутствии должного ухода на зубах может образоваться мягкий налет, который со временем превращается в зубной камень. Это, в свою очередь, может привести к воспалительным процессам и опущению десен.
Также причиной может быть нарушение обмена веществ и нехватка минералов. Неправильный прикус также может стать фактором, вызывающим деформацию десен и изменение их формы.
Наиболее серьезной причиной опущения десен является заболевание ротовой полости – пародонтоз. При этом десны становятся подвижными, что создает множество проблем. Если это произошло, это может указывать на то, что пародонтоз находится в средней или тяжелой стадии. В таких случаях зубы могут быть почти полностью оголены, что ведет к сильному воспалению десен и возможным осложнениям.
Движение зубов при этом заболевании варьируется в зависимости от его формы. При легкой стадии зубы оголяются лишь на треть, и этот процесс не заметен, также отсутствует кровоточивость.
При средней стадии зубы обнажаются больше, но остаются неподвижными. А при тяжелой стадии оголяется корень зуба, что может привести к заносу инфекции и воспалительному процессу, сопровождающемуся кровоточивостью.
В любом случае, только врач сможет точно определить причину опущения десен, поэтому не стоит откладывать визит к специалисту.
| Причина поднятия десны | Симптомы | Что делать |
|---|---|---|
| Пародонтит (воспаление десен) | Кровоточивость десен, покраснение, отек, неприятный запах изо рта, подвижность зубов, оголение корней. | Обратиться к стоматологу-пародонтологу. Профессиональная чистка зубов, кюретаж, антибактериальная терапия, возможно, хирургическое лечение. |
| Неправильная чистка зубов (слишком сильное давление, жесткая щетка) | Истирание десны, чувствительность зубов, оголение корней. | Изменить технику чистки зубов: использовать мягкую щетку, чистить круговыми движениями, не давить сильно. Проконсультироваться со стоматологом по поводу правильной гигиены. |
| Травма десны (например, при использовании зубной нити, ковырянии зубочисткой) | Боль, кровоточивость, отек, локальное поднятие десны. | Обеспечить покой травмированной области. Использовать антисептические ополаскиватели (например, с хлоргексидином) для профилактики инфекции. Если боль не проходит или усиливается, обратиться к стоматологу. |
| Неправильно установленная коронка/пломба | Давление на десну, воспаление, поднятие десны вокруг реставрации. | Обратиться к стоматологу для коррекции или замены коронки/пломбы. |
| Ортодонтическое лечение (брекеты) | Временное поднятие десны в процессе перемещения зубов. | Соблюдать рекомендации ортодонта по гигиене полости рта. Регулярно посещать стоматолога для контроля. Обычно проходит после завершения лечения. |
| Гормональные изменения (беременность, пубертат) | Повышенная чувствительность и воспаление десен, иногда с небольшим поднятием. | Усилить гигиену полости рта. Использовать мягкую щетку и ополаскиватели. Проконсультироваться со стоматологом для исключения других причин. |
| Курение | Ухудшение кровоснабжения десен, повышение риска воспалений и рецессии (опущения) десны, но иногда может быть и поднятие из-за хронического воспаления. | Прекратить курение. Регулярно посещать стоматолога для профессиональной гигиены. |
| Генетическая предрасположенность | Повышенный риск развития заболеваний десен, в том числе и их поднятия. | Регулярные профилактические осмотры у стоматолога. Тщательная гигиена полости рта. |
Лечение
Если вы столкнулись с проблемой поднятия десны над зубом и ищете способы ее устранения, важно сразу отметить, что самолечение в данном случае недопустимо. Обязательно обратитесь к стоматологу. Врач оценит степень проблемы и предложит соответствующее лечение.
Если причиной стали недостаточная гигиена или накопление зубного камня, то достаточно провести тщательную чистку ротовой полости, и, скорее всего, воспаление исчезнет вместе с камнями. Однако, если заболевание уже находится на более поздней стадии, простое удаление зубного камня лишь временно устранит воспаление, но основная проблема останется.
В случае, если причиной является пародонтоз, стоматолог назначит необходимое лечение и даст рекомендации по правильному уходу за зубами и деснами.
В процессе лечения опущения десны врач проведет очистку от зубного камня, восстановление оголенной части зуба с помощью пломбирования и корректировку пломбы. Также будут назначены противовоспалительные препараты для наружного и внутреннего применения. Иглоукалывание и точечный массаж могут стать эффективными методами в борьбе с данной проблемой.
Электрофорез также может помочь в замедлении прогрессирования заболевания.
Если не начать лечение вовремя, это может привести к потере зуба. Чтобы избавить пациента от пародонтоза, стоматолог может предложить либо покрытие оголенных участков деснами, либо полное удаление зуба.
https://youtube.com/watch?v=GT-DPcOWypc
Профилактика
Чтобы избежать возникновения данного недуга, важно следовать нескольким простым рекомендациям. Прежде всего, если у вас есть проблемы с прикусом, стоит заняться их исправлением как можно скорее. Игнорирование этой проблемы может привести не только к опущению десен, но и к множеству других серьезных заболеваний.
Если десна уже опустилась, для коррекции неправильного прикуса существует широкий выбор брекет-систем. Выберите подходящий вариант, предварительно проконсультировавшись с ортодонтом.
Следующий важный шаг — это поддержание гигиены полости рта. Рекомендуется чистить зубы дважды в день, используя мягкую зубную щетку. Не забывайте также очищать язык и внутренние поверхности щек от налета, который может накапливаться.
Кроме того, старайтесь ограничить потребление сладостей и других продуктов, негативно влияющих на зубную эмаль, особенно газированных напитков. Важно избегать попадания микробов в ротовую полость, так как слизистая оболочка не имеет защиты, и при попадании инфекции часто возникает воспаление, которое может привести к опущению десен. Восстановить их здоровье сможет только специалист.
Также стоит увеличить в своем рационе количество продуктов, богатых витаминами D и E, а также кальцием и цинком. Эти элементы помогают предотвратить развитие пародонтоза.
Если проблема уже возникла, следует очень осторожно относиться к поврежденной области десны и зуба. Ни в коем случае не используйте жесткие щетки для чистки зубов, только мягкие и аккуратные движения.
Рекомендуется также применять зубную нить. Используйте специальную пасту для профилактики заболеваний, не стоит экономить на этом.
Народные средства
Существует множество народных способов для решения этой проблемы. Кунжутное масло отлично выполняет эту задачу. Рекомендуется ежедневно полоскать ротовую полость этим маслом, глотать его не нужно.
Сок алоэ также эффективно помогает в борьбе с воспалениями. Для этого нужно смочить марлю в соке и прикладывать к воспаленному участку несколько раз в день на 5-7 минут. Если у вас нет домашнего алоэ, можно использовать аптечный вариант.
Важно помнить, что при должном уходе и своевременном лечении можно справиться с такой проблемой, как опущение десен.
Не экономьте время на заботу о своем здоровье, правильно ухаживайте за полостью рта и своевременно лечите зубы, чтобы избежать различных заболеваний.
https://youtube.com/watch?v=2wVGJM-HP-0
Когда обращаться к стоматологу
Если вы заметили, что десна поднялась над зубом, это может быть признаком различных стоматологических проблем, и в таких случаях важно не игнорировать ситуацию. Существует несколько признаков, которые указывают на необходимость обращения к стоматологу.
Во-первых, если вы испытываете боль или дискомфорт в области десен, это может свидетельствовать о воспалительном процессе, таком как гингивит или пародонтит. Эти заболевания требуют профессионального лечения, чтобы предотвратить дальнейшее разрушение тканей и потерю зубов.
Во-вторых, если вы заметили, что десна кровоточит при чистке зубов или при употреблении пищи, это также является тревожным сигналом. Кровоточивость десен может быть признаком инфекции или воспаления, и в этом случае необходимо обратиться к стоматологу для диагностики и лечения.
Кроме того, если десна поднялась над зубом и вы наблюдаете изменения в положении зубов, такие как их смещение или расшатывание, это может указывать на более серьезные проблемы с пародонтом. Важно помнить, что запущенные случаи могут привести к потере зубов, поэтому не стоит откладывать визит к специалисту.
Также стоит обратить внимание на наличие неприятного запаха изо рта или гнойных выделений из десен. Эти симптомы могут указывать на наличие инфекции, требующей немедленного вмешательства стоматолога.
Наконец, если вы недавно перенесли стоматологическую процедуру, такую как удаление зуба или имплантацию, и заметили изменения в состоянии десен, это также является поводом для обращения к врачу. В таких случаях важно следить за процессом заживления и вовремя выявлять возможные осложнения.
В заключение, если вы заметили, что десна поднялась над зубом, не стоит откладывать визит к стоматологу. Чем раньше вы получите профессиональную помощь, тем выше вероятность успешного лечения и сохранения здоровья ваших зубов и десен.
Возможные осложнения
Поднятие десны над зубом может быть симптомом различных стоматологических заболеваний, и игнорировать эту проблему не стоит. Важно понимать, что такое состояние может привести к нескольким осложнениям, которые могут негативно сказаться на здоровье полости рта и общем состоянии организма.
Одним из наиболее распространенных осложнений является пародонтит. Это воспалительное заболевание тканей, окружающих зуб, которое может привести к разрушению десен и костной ткани. Если десна поднялась, это может свидетельствовать о том, что воспалительный процесс уже начался, и без должного лечения он может прогрессировать, вызывая потерю зубов.
Другим серьезным осложнением является инфекция. Воспаленные десны становятся более восприимчивыми к бактериальным инфекциям. Если инфекция распространится, это может привести к образованию абсцесса, который требует немедленного медицинского вмешательства. Абсцесс может вызывать сильную боль, отек и даже повышение температуры тела.
Также стоит учитывать возможность развития кисты. Киста — это полостное образование, заполненное жидкостью, которое может образоваться в результате хронического воспаления. Кисты могут быть безболезненными, но со временем они могут увеличиваться в размерах и вызывать дискомфорт, а также приводить к повреждению окружающих тканей.
Не менее важным осложнением является потеря зуба. Если десна поднялась и воспаление не лечится, это может привести к тому, что зубы начнут расшатываться и, в конечном итоге, выпадут. Потеря зуба может негативно сказаться на жевательной функции и эстетике улыбки, а также привести к смещению соседних зубов.
Кроме того, проблемы с деснами могут быть связаны с системными заболеваниями, такими как диабет, сердечно-сосудистые заболевания и другие. Воспаление десен может усугубить течение этих заболеваний, поэтому важно не только лечить местные симптомы, но и следить за общим состоянием здоровья.
В заключение, поднятие десны над зубом — это сигнал о необходимости обращения к стоматологу. Игнорирование этой проблемы может привести к серьезным осложнениям, которые потребуют более сложного и длительного лечения. Регулярные осмотры у стоматолога и соблюдение гигиенических норм помогут предотвратить развитие осложнений и сохранить здоровье полости рта.
Советы по уходу за полостью рта
Уход за полостью рта играет ключевую роль в поддержании здоровья десен и зубов. Если десна поднялась над зубом, это может быть признаком воспалительного процесса или других стоматологических проблем. Чтобы предотвратить ухудшение ситуации и улучшить состояние десен, следуйте следующим рекомендациям:
- Регулярная гигиена полости рта: Чистите зубы не менее двух раз в день с использованием фторсодержащей зубной пасты. Не забывайте о зубной нити или интердентальных щетках для очистки межзубных пространств, где скапливаются остатки пищи и налет.
- Полоскания: Используйте антисептические ополаскиватели для рта, чтобы уменьшить количество бактерий и воспаление десен. Полоскания с солью или раствором соды также могут помочь в снятии воспаления и уменьшении дискомфорта.
- Правильное питание: Включите в рацион продукты, богатые витаминами и минералами, особенно витамином C и кальцием. Они способствуют укреплению десен и зубов. Избегайте избыточного потребления сахара, который может способствовать развитию кариеса и воспалительных процессов.
- Регулярные визиты к стоматологу: Профилактические осмотры и профессиональная чистка зубов помогут выявить проблемы на ранних стадиях и предотвратить их развитие. Стоматолог сможет оценить состояние десен и предложить необходимые меры лечения.
- Избегайте вредных привычек: Курение и чрезмерное употребление алкоголя негативно сказываются на здоровье десен. Отказ от этих привычек поможет улучшить состояние полости рта.
- Управление стрессом: Стресс может негативно влиять на здоровье десен, поэтому важно находить способы расслабления и управления стрессом, такие как занятия спортом, медитация или хобби.
Следуя этим рекомендациям, вы сможете значительно улучшить состояние своих десен и предотвратить дальнейшие проблемы. Однако, если симптомы сохраняются или ухудшаются, обязательно обратитесь к стоматологу для получения профессиональной помощи.



