Пародонтит — серьезное заболевание десен, способное привести к потере зубов и осложнениям без своевременного лечения. В статье рассмотрим эффективные народные средства для лечения пародонтита в домашних условиях. Вы узнаете проверенные рецепты и методы, которые облегчают симптомы и улучшают состояние десен, а также получите советы по уходу за полостью рта. Эта информация будет полезна тем, кто ищет альтернативные способы лечения и хочет поддержать здоровье десен без химических препаратов.
Что такое пародонтит и как его лечить
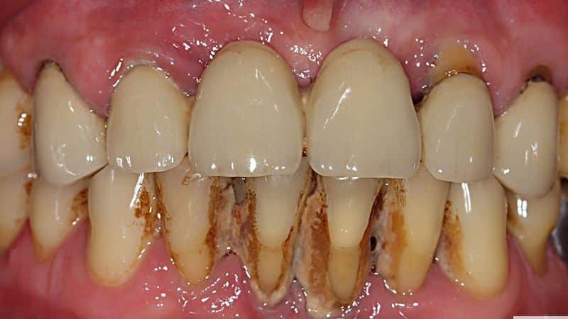
Перед тем как разобраться, как лечить пародонтит десен в домашних условиях, важно ознакомиться с симптомами и причинами этого заболевания. Воспалительный процесс развивается постепенно, начиная с покраснения и отечности десен, а также появления легкой боли при нажатии. Во время еды и чистки зубов часто наблюдается кровоточивость. Со временем может изменяться угол наклона зубов, что приводит к их расшатыванию, а в образовавшемся кармане между корнем зуба и лункой скапливаются вредные бактерии. Их активность способствует образованию гноя, появлению металлического привкуса во рту и неприятного запаха, а также воспалению поднижнечелюстных лимфатических узлов. Усугубляет ситуацию зубной налет и камень, возникающие из-за недостаточной гигиены полости рта.
При возникновении указанных симптомов необходимо обратиться к стоматологу для получения рекомендаций по лечению десен при пародонтите с использованием народных средств или для получения профессиональной стоматологической помощи.
Игнорирование этих симптомов может привести к серьезным осложнениям, таким как разрушение костной ткани, десен и мышечных волокон, что в дальнейшем потребует реставрации или удаления зубов.
Врачи отмечают, что лечение десен при пародонтите народными средствами может быть дополнением к основным методам терапии, но не заменой им. Многие пациенты обращаются к травяным настойкам, солевым полосканий и другим домашним рецептам, надеясь на быстрое облегчение симптомов. Однако специалисты подчеркивают, что такие методы могут лишь временно улучшить состояние десен, но не устраняют основную причину заболевания. Важно помнить, что пародонтит требует комплексного подхода, включая профессиональную чистку зубов и использование медикаментозных средств. Врачи рекомендуют перед началом применения народных средств проконсультироваться с стоматологом, чтобы избежать возможных осложнений и выбрать наиболее эффективное лечение.
https://youtube.com/watch?v=Keq2KfimSJc
Причины
Перед началом терапии важно разобраться в причинах возникновения заболевания, чтобы вовремя предотвратить его прогрессирование.
Многие эксперты выделяют следующие факторы, способствующие развитию пародонтита:
- нехватка витаминов в организме, особенно витамина С;
- большое количество микроорганизмов;
- заболевания внутренних органов;
- нарушения в гормональной и эндокринной системах;
- недостаточный уход за полостью рта;
- генетическая предрасположенность и другие причины.
Стоматологи отмечают, что воспалительные процессы могут усугубляться такими состояниями, как цирроз печени, диабет, пониженная иммунная защита и ряд других заболеваний.
Чтобы предотвратить развитие пародонтита, важно знать, что это за заболевание и как его лечить, а также правильно выполнять гигиенические процедуры в ротовой полости и посещать стоматолога не реже двух раз в год.
| Народное средство | Способ применения | Полезные свойства |
|---|---|---|
| Отвар ромашки | Полоскать рот 2-3 раза в день | Противовоспалительное, антисептическое |
| Отвар коры дуба | Полоскать рот 2-3 раза в день | Вяжущее, укрепляющее десны |
| Солевой раствор | Полоскать рот 2-3 раза в день | Антибактериальное, уменьшает отек |
| Масло чайного дерева | Наносить на десны 1-2 раза в день | Антисептическое, противовоспалительное |
| Алоэ вера (сок) | Наносить на десны 1-2 раза в день | Заживляющее, противовоспалительное |
| Отвар шалфея | Полоскать рот 2-3 раза в день | Антибактериальное, уменьшает кровоточивость |
| Прополис (настойка) | Развести в воде и полоскать рот | Антибактериальное, регенерирующее |
| Массаж десен медом | Втирать мед в десны 1-2 раза в день | Антибактериальное, питательное |
| Отвар календулы | Полоскать рот 2-3 раза в день | Противовоспалительное, заживляющее |
| Сода (раствор) | Полоскать рот 1-2 раза в день | Нейтрализует кислотность, антибактериальное |
Народные средства от пародонтита и несколько эффективных рецептов
Лечение пародонтальных заболеваний с использованием народных средств может быть эффективным на начальных стадиях, особенно в сочетании с традиционными методами. Однако следует помнить, что эти заболевания являются сложными и требуют системного и регулярного подхода. Многие рецепты для полоскания рта могут быть полезны, например, щавельный сбор с цветами липы, корой дуба, хвойными иголками можжевельника и другими компонентами. Также хорошо зарекомендовали себя различные травы, такие как фиалка, зверобой и ромашка.
Существует множество народных рецептов для борьбы с пародонтитом, некоторые из которых могут оказать реальную помощь.
- Для укрепления десен можно натирать их чесноком в течение двух недель, затем сделать перерыв на пять дней и повторить курс.
- Сок картофеля используется как полоскательное средство для укрепления десен.
- Порошок корня аира (0,5 г) смешивается с зубным порошком и применяется для чистки зубов три раза в день.
- Смесь меда и поваренной соли (20 г меда и 10 г соли) тщательно перемешивается до полного растворения, после чего получившимся комочком протираются десны и зубы.
- Настойка из лепестков розы: добавьте 30 капель настойки в 100 мл воды и полощите рот несколько раз в день.
- Экстракт прополиса в количестве 20 капель добавляется в 200 мл воды и используется для частого полоскания.
- Окопник помогает укрепить костную ткань и способствует отторжению пораженных клеток. Для отвара нужно заварить 1 столовую ложку корней окопника в 250 мл кипяченой воды, настоять ночь и процедить. Используется для примочек на десны и полосканий.
- Смочите кусочек ваты в спиртовом растворе лапчатки и протирайте зубы не менее пяти раз в день. Эта процедура значительно уменьшает кровоточивость десен.
- Березовый деготь на ватной палочке следует втирать в десны на ночь. Это средство, хоть и имеет неприятный вкус, эффективно устраняет покраснения и уничтожает вредные бактерии. После применения через несколько дней исчезают зуд и дискомфорт.
- Сухой гравилат: 5 столовых ложек растения залить полулитром кипятка, настоять ночь и процедить. Используется для полосканий и примочек на десны не менее пяти раз в день, помогает устранить кровоточивость и освежает дыхание.
- Масла пихты и облепихи смешиваются в равных пропорциях, или пихтовое масло с рыбьим жиром наносятся на бинт и массируются десны.
- Листья эвкалипта завариваются в 50 мл воды и настаиваются 40 минут, затем процеживаются и смешиваются с кашицей из ягод калины и бузины. Получившуюся мазь можно использовать для протирания десен вечером, после чего не рекомендуется есть и пить для достижения максимального эффекта. Через 7-14 дней можно заметить улучшение состояния десен.
- Травяная мука добавляется в зубной порошок. В состав муки входят гвоздика (6 шт.), лапчатка прямостоячая и бадан. Корни растений перетираются и перемалываются в кофемолке. Смесь имеет розово-серый оттенок. В первые две недели зубы чистятся ежедневно, затем дважды в неделю. Это средство отлично укрепляет зубы.
- Лекарственный цветок алоэ в сочетании с луком хорошо укрепляет десны. Необходимо взять среднюю луковицу и смешать с 2-3 листьями алоэ до получения кашицы. Смесь нужно разжевать и подержать во рту некоторое время, затем полоскать отваром дубовой коры или чаем. В результате десны становятся крепче, а дыхание свежим.
- Измельченный чистотел заливается водкой и настаивается две недели. Настойку разводят водой и полощут рот после каждого приема пищи. Курс лечения составляет 10 дней с перерывами на несколько месяцев.
- Среди аптечных препаратов для полоскания можно использовать таблетки трихопола. Для этого одну таблетку помещают в рот и растворяют в слюне, полощут рот в течение 10 минут, после чего раствор выплевывают. Улучшение состояния наблюдается после десяти дней регулярного применения.
https://youtube.com/watch?v=dijcFMIrXdc
Лечение пародонта
Если у пациента появились первые симптомы пародонтоза, важно как можно скорее обратиться к пародонтологу для подтверждения диагноза и разработки комплексного плана лечения. Прежде всего, необходимо удалить зубные отложения, исправить нависающие пломбы, острые края зубов и другие аномалии. Затем применяются различные противовоспалительные средства, включая антисептические растворы, витаминные комплексы и народные рецепты, которые следует использовать не менее семи дней. После снижения воспалительного процесса необходимо устранить патологические десневые карманы, а затем провести местное лечение с использованием средств, улучшающих микроциркуляцию, а также массажи и физиотерапию.
Многие пациенты, столкнувшиеся с пародонтитом, отмечают, что лечение этого заболевания народными средствами в домашних условиях дало положительные результаты.
Специалисты могут предложить различные методы нетрадиционной медицины, которые помогут быстро справиться с недугом. Однако не стоит забывать о важности правильного питания для профилактики. Твердая пища эффективно удаляет мягкие зубные отложения и хорошо массирует десны.
Различные воспалительные процессы и кровоточивость десен можно значительно уменьшить, если ежедневно употреблять один грейпфрут или апельсин. В период болезни рекомендуется исключить из рациона продукты с высоким содержанием сахара.
При использовании народных средств против пародонтита важно быть осторожным с некоторыми продуктами и травами, так как они могут вызвать ожоги слизистой оболочки и аллергические реакции.
К таким средствам относятся пихтовое масло, чеснок, лапчатка, ромашка, мед и другие. Перед применением народных рецептов, гелей и мазей желательно проконсультироваться с врачом.
В завершение стоит придерживаться нескольких основных рекомендаций, которые помогут предотвратить заболевание. В первую очередь, необходимо регулярно проводить тщательные гигиенические процедуры. Используйте только жесткие зубные щетки, включайте в рацион твердые и молочные продукты, своевременно удаляйте зубной налет и камни, пломбируйте зубы, а также исключите алкоголь, курение, черный чай, кофе и напитки с красителями.
https://youtube.com/watch?v=N1cuAHaIQIg
Профилактика пародонтита с помощью народных средств
Профилактика пародонтита является важным аспектом поддержания здоровья полости рта. Народные средства могут сыграть значительную роль в предотвращении этого заболевания, так как они часто доступны, просты в использовании и могут быть эффективными при регулярном применении. Рассмотрим несколько популярных методов, которые помогут укрепить десны и предотвратить развитие пародонтита.
1. Полоскания на основе травяных настоев
Одним из самых распространенных народных средств для профилактики заболеваний десен являются травяные настои. Например, настой из шалфея, ромашки или календулы обладает противовоспалительными и антисептическими свойствами. Для приготовления настоя необходимо залить 1-2 столовые ложки сухих трав 200 мл кипятка и настоять 15-20 минут. Полоскать рот таким раствором рекомендуется 2-3 раза в день.
2. Масло чайного дерева
Масло чайного дерева известно своими антисептическими и противовоспалительными свойствами. Оно может помочь в борьбе с бактериями, вызывающими пародонтит. Для профилактики достаточно добавить 1-2 капли масла в стакан теплой воды и использовать этот раствор для полоскания рта. Также можно смешать масло с обычной зубной пастой и чистить зубы с добавлением этого средства.
3. Соль и сода
Соль и сода являются доступными средствами, которые могут помочь в профилактике заболеваний десен. Смешайте 1 чайную ложку соли и 1 чайную ложку соды в стакане теплой воды. Полоскание таким раствором помогает устранить воспаление и уменьшить отечность десен. Однако не стоит злоупотреблять этим методом, так как частое использование может привести к раздражению слизистой оболочки.
4. Чеснок
Чеснок обладает мощными антибактериальными свойствами и может помочь в профилактике пародонтита. Для этого можно использовать свежий чеснок, добавляя его в рацион, или делать чесночные компрессы. Для компресса достаточно раздавить зубчик чеснока и смешать его с небольшим количеством оливкового масла. Нанесите смесь на десны на 10-15 минут, затем смойте теплой водой.
5. Здоровое питание
Правильное питание также играет важную роль в профилактике пародонтита. Включение в рацион продуктов, богатых витаминами C и D, а также кальцием, поможет укрепить десны. Фрукты и овощи, такие как цитрусовые, брокколи и шпинат, способствуют улучшению состояния десен. Избегайте избыточного потребления сахара и кислых продуктов, которые могут способствовать развитию кариеса и воспаления десен.
Регулярное применение народных средств в сочетании с хорошей гигиеной полости рта и регулярными визитами к стоматологу поможет предотвратить развитие пародонтита и сохранить здоровье десен на долгие годы.
Рекомендации по уходу за полостью рта при пародонтите
Уход за полостью рта при пародонтите требует особого внимания и регулярности. Основной задачей является не только лечение уже имеющихся проблем, но и профилактика их повторного возникновения. Вот несколько рекомендаций, которые помогут поддерживать здоровье десен и зубов.
1. Регулярная гигиена полости рта. Чистка зубов должна проводиться не менее двух раз в день. Используйте зубную щетку с мягкой щетиной, чтобы не травмировать воспаленные десны. Рекомендуется применять зубные пасты, содержащие антисептики и противовоспалительные компоненты, такие как хлоргексидин или экстракты трав.
2. Использование зубной нити. Зубная нить помогает удалять остатки пищи и налет из межзубных промежутков, где обычная щетка не может достать. Это особенно важно при пародонтите, так как накопление бактерий в этих местах может усугубить воспаление.
3. Полоскания. Полоскания рта антисептическими растворами, такими как раствор соли или соды, могут помочь уменьшить воспаление и предотвратить размножение бактерий. Для приготовления раствора достаточно растворить половину чайной ложки соли или соды в стакане теплой воды. Полоскать рот следует 2-3 раза в день.
4. Применение травяных настоев. Настои из ромашки, шалфея или календулы обладают противовоспалительными и антисептическими свойствами. Для приготовления настоя необходимо залить 1-2 столовые ложки сухих трав стаканом кипятка и настоять 15-20 минут. Полоскать рот таким настоем можно 2-3 раза в день.
5. Правильное питание. Включение в рацион продуктов, богатых витаминами C и D, а также кальцием, поможет укрепить десны. Овощи, фрукты, молочные продукты и орехи должны стать основой вашего питания. Избегайте сладостей и кислых продуктов, которые могут раздражать десны.
6. Отказ от вредных привычек. Курение и чрезмерное употребление алкоголя негативно сказываются на здоровье десен. Отказ от этих привычек поможет ускорить процесс восстановления и улучшить общее состояние полости рта.
7. Регулярные визиты к стоматологу. Даже при использовании народных средств важно не забывать о профессиональной гигиене полости рта. Стоматолог сможет провести чистку зубов и выявить возможные проблемы на ранних стадиях.
Следуя этим рекомендациям, вы сможете значительно улучшить состояние десен и предотвратить дальнейшее развитие пародонтита. Однако важно помнить, что народные средства не заменяют профессионального лечения, и при ухудшении состояния необходимо обратиться к врачу.
Когда обращаться к врачу: признаки осложнений пародонтита
Пародонтит – это воспалительное заболевание, которое поражает ткани, окружающие зубы, и может привести к их потере. Важно понимать, что при отсутствии должного лечения пародонтит может вызвать серьезные осложнения. Поэтому необходимо обращать внимание на определенные признаки, которые могут указывать на ухудшение состояния десен и необходимость обращения к врачу.
Первым и наиболее очевидным признаком осложнений пародонтита является усиление боли в деснах. Если вы заметили, что болезненные ощущения становятся более интенсивными, это может свидетельствовать о прогрессировании воспалительного процесса. Боль может быть как постоянной, так и периодической, и часто сопровождается дискомфортом при жевании.
Другим важным симптомом является появление гноя из десен. Если вы заметили, что из десен выделяется гной или кровь, это может указывать на наличие инфекции и необходимость немедленного обращения к стоматологу. Гнойное воспаление может привести к образованию абсцессов, что требует срочного вмешательства.
Также стоит обратить внимание на изменение цвета и состояния десен. Если десны становятся ярко-красными, отечными или начинают кровоточить даже при легком прикосновении, это сигнализирует о том, что воспалительный процесс активизировался. Здоровые десны имеют светло-розовый цвет и не кровоточат.
Наличие неприятного запаха изо рта также может быть признаком осложнений пародонтита. Если вы заметили, что даже после чистки зубов запах не исчезает, это может указывать на наличие инфекции или гнойного процесса в области десен.
Кроме того, стоит обратить внимание на подвижность зубов. Если зубы начинают шататься или изменяется их положение, это может быть следствием разрушения костной ткани, что требует немедленного вмешательства специалиста.
Наконец, если вы заметили, что десны начали отступать, и корни зубов становятся более заметными, это также является тревожным знаком. Рецессия десен может привести к потере зубов и требует комплексного лечения.
В случае появления одного или нескольких из перечисленных симптомов, важно не откладывать визит к стоматологу. Чем раньше будет начато лечение, тем больше шансов на успешное восстановление здоровья десен и предотвращение серьезных осложнений.



