Коронки на передние зубы восстанавливают эстетику и функциональность улыбки, что важно для поддержания привлекательного внешнего вида. В статье рассмотрим виды коронок: керамические, циркониевые и пластмассовые, а также технологии их установки. Узнаете о показаниях и противопоказаниях, а также увидите примеры до и после установки коронок. Эта информация поможет сделать осознанный выбор и понять, как ухаживать за восстановленными зубами.
Коронки передние на зубы
Коронки для передних зубов, по мнению экспертов, должны сочетать в себе высокую эстетичность и прочность. Современные стоматологические технологии предоставляют пациентам возможность выбирать из различных вариантов коронок, как на металлической, так и на безметалловой основе. Протезисты устанавливают наиболее подходящие виды коронок, учитывая индивидуальные особенности состояния ротовой полости каждого пациента. Однако, как правило, металлические конструкции не применяются для передних зубов из-за их низких эстетических характеристик.
Чаще всего используются металлокерамические и безметалловые коронки.
Врачи-стоматологи отмечают, что выбор коронок на передние зубы зависит от множества факторов, включая эстетические предпочтения пациента и состояние зубов. Существует несколько видов коронок, среди которых наиболее популярны керамические, металлокерамические и циркониевые. Керамические коронки обеспечивают естественный внешний вид и высокую биосовместимость, что делает их идеальными для передних зубов. Металлокерамические коронки, хотя и менее эстетичны, обладают высокой прочностью и долговечностью. Циркониевые коронки, в свою очередь, сочетают в себе прочность и эстетичность, что делает их все более востребованными. Технологии изготовления коронок также развиваются: CAD/CAM системы позволяют создавать изделия с высокой точностью, что значительно улучшает качество протезирования. Врачи подчеркивают важность индивидуального подхода к каждому пациенту для достижения наилучшего результата.
https://youtube.com/watch?v=tpB1j7vCsrI
Особенности по видам
Когда в ротовой полости отсутствует один или несколько зубов, большинство людей осознают необходимость их протезирования. Однако существуют случаи, когда даже при наличии зубов установка протезов также становится актуальной. Причины для этого могут быть разнообразными: от травм и серьезного кариеса до дефектов формы и цвета зубов, а также других стоматологических проблем. В качестве опоры для протезирования используются оставшиеся корни зубов. Установка коронок помогает устранить существующие недостатки и придает пациентам эстетически привлекательный вид. Кроме того, коронки выполняют защитную функцию при повышенной истираемости эмали, а временные конструкции помогают удерживать подвижные зубы до их окончательного восстановления.
Ортодонты предлагают своим пациентам широкий выбор протезов, включая керамические, пластиковые и временные варианты, которые изготавливаются из различных материалов и обладают своими уникальными преимуществами и недостатками.
| Вид коронки | Материал | Особенности и преимущества |
|---|---|---|
| Металлокерамическая | Металлический каркас, покрытый керамикой | Прочность, долговечность, относительно доступная цена. Может быть заметен металлический край у десны. |
| Цельнокерамическая (безметалловая) | Диоксид циркония, прессованная керамика (E-max) | Высокая эстетика, естественный вид, биосовместимость. Идеально для передних зубов. |
| Циркониевая | Диоксид циркония | Высокая прочность, хорошая эстетика, биосовместимость. Может быть менее прозрачной, чем прессованная керамика. |
| Композитная | Композитный материал | Быстрое изготовление (часто за одно посещение), низкая стоимость. Менее прочная и долговечная, чем керамические. |
| Коронка на имплантате | Различные материалы (металлокерамика, цирконий, цельная керамика) | Восстановление отсутствующего зуба, высокая стабильность. Требует установки имплантата. |
Керамические коронки
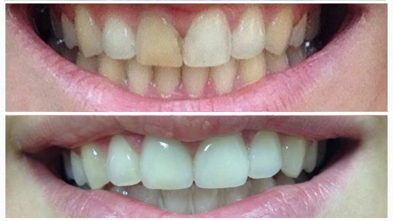
Для ознакомления можно рассмотреть основные виды керамических коронок на передние зубы, представленные на фотографиях до и после установки. Эти конструкции изготавливаются из циркония и фарфора. Циркониевые коронки создаются из безметаллического материала, который отличается высокой эстетикой, прочностью и отличной биологической совместимостью с тканями ротовой полости. Фотографии до и после установки циркониевых коронок на передние зубы дают пациентам четкое представление о таких изделиях, каркас которых изготавливается с помощью высокоточного компьютерного фрезерования.
Цирконий — это белый, непрозрачный материал, который славится своей долговечностью и высоким качеством. К основным преимуществам коронок из циркония можно отнести:
- возможность точного подбора цветовых оттенков;
- гипоаллергенные свойства;
- применение для восстановления передних зубов;
- отсутствие темных краев в области десен и высокая прочность.
В настоящее время можно найти множество фотографий и отзывов специалистов о коронках из диоксида циркония на передние зубы, которые наглядно демонстрируют высокое качество этих изделий в различных условиях. Важным преимуществом циркониевых коронок по сравнению с фарфоровыми и другими конструкциями является возможность их установки как на боковые жевательные, так и на передние отсутствующие зубы. Фарфоровые коронки предназначены исключительно для передних зубов и не выполняют жевательных функций, однако по эстетическим характеристикам они не уступают циркониевым.
Применение оксида циркония в протезировании относится к современным, высокотехнологичным методам в стоматологии, которые удовлетворяют самые высокие требования пациентов.
Высокие эстетические качества обеспечиваются светопроницаемым каркасным колпачком. Керамические изделия с использованием оксида циркония устанавливаются с максимальной точностью благодаря применению компьютерных технологий. В таких коронках отсутствует необходимость маскировки металлического каркаса, так как они требуют минимального препарирования зубных тканей, а также снижают нагрузку на опорные зубы благодаря своему небольшому весу. Фотографии безметалловой керамики на передние зубы позволяют увидеть эстетическую привлекательность ротовой полости после установки.
https://youtube.com/watch?v=Xl-uPV3uZyU
Коронки из пластмассы
Пластинчатые конструкции значительно уступают по прочности и износостойкости изделиям, выполненным из керамики и металла.
Тем не менее, у них есть свои преимущества. Процесс их изготовления проходит быстрее и проще. Стоимость таких конструкций значительно ниже по сравнению с безметалловой керамикой и металлокерамикой. Они доступны для пациентов с различными финансовыми возможностями, обеспечивая надежную защиту обточенным зубам от холода и проникновения бактерий при временном использовании. Также их можно устанавливать после имплантации на время, пока не будет заменена постоянная конструкция. Для передних зубов их лучше применять как временные. Однако, если возникают финансовые трудности, по отзывам, пластмассовые коронки на передние зубы могут успешно использоваться и в качестве постоянных.
Важно отметить, что коронки из пластмассы изнашиваются быстрее, чем керамические, и со временем могут менять цвет, появляться желтизна или потемнение.
На поверхности таких коронок могут образовываться пятна из-за низкой устойчивости к воздействию красителей. Пластмассовые конструкции могут вызывать аллергические реакции в ротовой полости и накапливать бактерии из-за своей пористой структуры. Коронка с острыми краями может повредить мягкие ткани. Наличие этих недостатков требует более тщательного ухода за коронками. Появление боли под коронкой может указывать на образование пустоты в десне с накоплением бактерий или на наличие трещин и осколов до окончания срока службы. В любом из этих случаев необходимо незамедлительно обратиться к стоматологу.
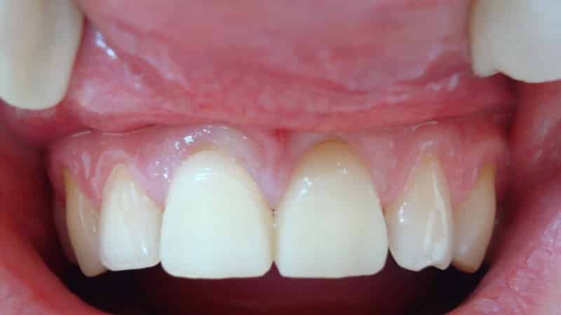
Применение временных изделий
Для временных коронок широко применяются пластиковые изделия в следующих ситуациях:
- перед установкой постоянной коронки после обточки зуба;
- после имплантации, когда на имплантат в будущем будет установлена постоянная конструкция.
Основные функции временных коронок заключаются в восстановлении жевательных функций зубов и обеспечении эстетического вида на время изготовления постоянного протеза. Они также защищают обточенные зубы от негативного воздействия, предотвращают размножение бактерий, травмы и температурные колебания. Временные коронки помогают избежать зарастания десневого ложа, сохраняют положение опорных зубов, поддерживают дикцию, что позволяет пациентам чувствовать себя уверенно и комфортно. Их можно носить в течение месяца.
Тем, кто интересуется фотографиями временных коронок на передние зубы, рекомендуем взглянуть на изображения выше.
Показания и противопоказания к установке коронок на передние зубы из циркония, пластмасса
К основным показаниям для использования коронок, особенно безметалловых, на передних зубах можно отнести следующие проблемы:
- разрушение коронок зубов из-за кариозных процессов;
- патологическая стираемость зубной эмали;
- некариозные заболевания (эрозия эмали, гипоплазия);
- отсутствие одного или двух зубов;
- неэстетичный внешний вид зубов;
- необходимость выравнивания зубного ряда;
- реставрация поврежденного зуба.
Для протезирования передних зубов с использованием безметалловых коронок существуют определенные противопоказания:
- хронические заболевания в стадии обострения;
- воспалительные процессы в ротовой полости;
- беременность;
- ослабленное состояние организма после перенесенной болезни;
- выраженный остеопороз;
- наличие аллергических реакций;
- не рекомендуется устанавливать детям и подросткам до 16 лет;
- неправильный прикус;
- расшатанные зубы.
Минусы коронки на передние зубы
Чаще всего можно встретить исключительно положительные отзывы о керамических коронках для передних зубов. Процесс установки проходит безболезненно с использованием анестезии, а небольшой дискомфорт может ощущаться лишь на протяжении короткого времени после завершения процедуры.
Керамические коронки пользуются популярностью у многих пациентов, однако их стоимость является одним из основных недостатков.
К числу минусов также можно отнести риск возникновения осложнений в случае неправильной установки. Например, при некачественном пломбировании могут возникнуть гнойники на деснах, кровотечения и образование флюсов.
Чтобы избежать возможных проблем с установкой, специалисты рекомендуют посетить несколько стоматологических клиник, ознакомиться с работами врачей и пообщаться с пациентами во время консультаций.
https://youtube.com/watch?v=E0dBVXhyasg
Процесс установки коронок на передние зубы
Установка коронок на передние зубы – это многоэтапный процесс, который требует высокой квалификации стоматолога и тщательной подготовки. В первую очередь, перед началом процедуры необходимо провести полное обследование пациента, включая рентгенографию, чтобы оценить состояние зубов и окружающих тканей. Это поможет определить, есть ли необходимость в дополнительных процедурах, таких как лечение кариеса или удаление зубного камня.
После завершения обследования стоматолог обсуждает с пациентом выбор материала для коронки. На передние зубы чаще всего используются керамические или фарфоровые коронки, так как они обеспечивают наилучший эстетический результат благодаря своей способности имитировать натуральный цвет и текстуру зубов.
На первом этапе установки коронки стоматолог проводит подготовку зуба. Это включает в себя обтачивание зуба, чтобы создать пространство для коронки. Обтачивание выполняется с учетом анатомической формы зуба и его расположения в ряду, чтобы коронка не выглядела неестественно. Важно, чтобы обтачивание было минимальным, чтобы сохранить максимальное количество здоровой зубной ткани.
После обтачивания зуба стоматолог делает слепок, который будет использоваться для создания индивидуальной коронки. Слепок может быть выполнен с помощью традиционных материалов или с использованием цифровых технологий, что позволяет получить более точные результаты. В случае цифрового слепка используется специальная камера, которая сканирует зуб и окружающие ткани, создавая 3D-модель.
На основе полученного слепка в зуботехнической лаборатории изготавливается коронка. Этот процесс может занять от нескольких дней до нескольких недель, в зависимости от сложности работы и загруженности лаборатории. В это время пациенту могут быть установлены временные коронки, чтобы защитить обточенный зуб и сохранить эстетический вид.
Когда коронка готова, пациент приходит на повторный прием, где стоматолог проверяет ее соответствие и при необходимости вносит коррективы. Затем коронка фиксируется на зубе с помощью специального цемента. Важно, чтобы коронка была установлена правильно, чтобы избежать проблем с прикусом и обеспечить долговечность конструкции.
После установки коронки стоматолог дает рекомендации по уходу за ней и окружающими зубами. Регулярные визиты к стоматологу для профилактических осмотров и профессиональной гигиены помогут сохранить здоровье зубов и коронок на долгие годы.
Уход за коронками и рекомендации по эксплуатации
Уход за коронками на передние зубы играет ключевую роль в их долговечности и эстетическом виде. Правильный уход не только помогает сохранить коронки в хорошем состоянии, но и способствует общему здоровью полости рта. Ниже представлены основные рекомендации по уходу и эксплуатации коронок.
1. Регулярная гигиена полости рта: Необходимо продолжать соблюдать привычные правила гигиены, включая чистку зубов дважды в день и использование зубной нити. Для чистки коронок рекомендуется использовать мягкую зубную щетку и неагрессивные зубные пасты, чтобы избежать повреждения поверхности коронки.
2. Избегание жесткой пищи: Коронки, особенно изготовленные из керамики, могут быть подвержены сколам и трещинам при воздействии жесткой пищи. Рекомендуется избегать орехов, льда и других твердых продуктов, которые могут повредить коронки.
3. Регулярные визиты к стоматологу: Профилактические осмотры у стоматолога помогут выявить возможные проблемы на ранней стадии. Специалист сможет оценить состояние коронок и провести необходимые процедуры для их ухода.
4. Использование ополаскивателей: Ополаскиватели для рта могут помочь в поддержании свежести дыхания и снижении риска развития заболеваний десен. Выбирайте продукты, не содержащие спирта, чтобы избежать раздражения десен и повреждения коронок.
5. Избегание вредных привычек: Курение и чрезмерное употребление кофе или чая могут негативно сказаться на внешнем виде коронок, вызывая их потемнение. Постарайтесь ограничить эти привычки или использовать защитные средства, такие как специальные полоски для отбеливания.
6. Правильное использование зубочисток: Если вы используете зубочистки, будьте осторожны, чтобы не повредить коронки или десны. Лучше всего использовать зубную нить, которая более безопасна для здоровья зубов и десен.
7. Обращение с коронками: Если вы заметили, что коронка начала шатается или вызывает дискомфорт, немедленно обратитесь к стоматологу. Не стоит пытаться исправить проблему самостоятельно, так как это может привести к более серьезным повреждениям.
Следуя этим рекомендациям, вы сможете значительно продлить срок службы коронок на передние зубы и сохранить их эстетический вид на долгие годы. Забота о коронках — это не только вопрос красоты, но и здоровья всей зубочелюстной системы.
Сравнение стоимости различных видов коронок
Стоимость коронок на передние зубы может значительно варьироваться в зависимости от материала, технологии изготовления и сложности клинического случая. Рассмотрим основные виды коронок и их ценовые категории.
Металлические коронки являются одними из самых доступных по цене. Они изготавливаются из различных сплавов, включая золото, серебро и никель. Хотя металлические коронки обладают высокой прочностью и долговечностью, их эстетические качества оставляют желать лучшего, особенно для передних зубов. Стоимость таких коронок может колебаться от 3,000 до 10,000 рублей за единицу.
Керамические коронки обеспечивают более естественный внешний вид и часто используются для восстановления передних зубов. Они могут быть полностью керамическими или керамическими на металлическом каркасе. Полностью керамические коронки, такие как коронки из диоксида циркония, имеют высокую прочность и отличные эстетические характеристики, но их стоимость может достигать 15,000 рублей и выше. Керамические коронки на металлическом каркасе стоят дешевле — от 8,000 до 12,000 рублей.
Композитные коронки представляют собой более экономичный вариант, который также может использоваться для передних зубов. Они менее прочные, чем керамические, но могут быть установлены за более низкую цену — от 5,000 до 8,000 рублей. Однако стоит учитывать, что композитные коронки могут требовать более частой замены и ремонта.
Коронки из циркония становятся все более популярными благодаря своей прочности и эстетике. Они идеально подходят для передних зубов, так как имеют естественный цвет и прозрачность, схожие с зубной эмалью. Стоимость таких коронок варьируется от 10,000 до 20,000 рублей.
Важно отметить, что стоимость коронки также может зависеть от региона, уровня клиники и квалификации стоматолога. Кроме того, в цену могут быть включены дополнительные услуги, такие как диагностика, рентгенография и подготовка зуба. Поэтому перед выбором коронки рекомендуется проконсультироваться со специалистом и получить полную информацию о всех возможных вариантах и их стоимости.




