Удаление зуба — серьезная процедура, требующая внимания к восстановлению. Один из распространенных вопросов пациентов — можно ли курить после операции. В этой статье рассмотрим, как курение влияет на заживление, какие факторы учитывать и какие рекомендации помогут избежать осложнений. Эти нюансы помогут вам быстрее восстановиться и сохранить здоровье полости рта.
Почему нельзя курить после удаления зуба
Почему стоит воздержаться от курения хотя бы на несколько часов после удаления зуба? Дело в том, что после процедуры на десне формируется кровяной сгусток, который называют «кровяной мозолью». Этот сгусток крайне важен и его нельзя удалять с помощью полоскания. При курении, особенно если вы сплевываете, в ротовой полости создается вакуум, что может привести к смещению «кровяной мозоли». Кроме того, вредные вещества, содержащиеся в сигаретном дыме, раздражают слизистую оболочку рта и могут спровоцировать повторное кровотечение из раны, что значительно замедляет процесс заживления.
Также курение может стать причиной появления «сухой лунки», что происходит, когда кровяной сгусток случайно удаляется из раны. «Сухая лунка» может привести к инфицированию, так как отсутствует естественный барьер в виде сгустка, защищающий рану от микробов. Это может вызвать воспаление, повышение температуры, головные боли и отек десен. В некоторых случаях может возникнуть осложнение, известное как альвеолит.
Не стоит забывать, что все эти процессы сопровождаются болезненными ощущениями. Также может появиться неприятный вкус или запах в ротовой полости. Врач, скорее всего, назначит лечение, включая тампоны, которые нужно менять раз в сутки, что может создать дополнительные неудобства в повседневной жизни.
Наилучшим решением будет полностью отказаться от курения. Однако, если пока не удается справиться с этой привычкой, постарайтесь не курить хотя бы 3-4 часа после удаления зуба. Если терпеть совсем невозможно, можно сократить это время до 2 часов. Это минимальный срок, который поможет избежать неприятных последствий.
После удаления зуба врачи настоятельно рекомендуют воздержаться от курения как минимум на 48 часов. Это связано с тем, что курение может негативно сказаться на процессе заживления. Дым табака содержит множество вредных веществ, которые могут замедлить восстановление тканей и увеличить риск осложнений, таких как инфекция или сухая лунка. Кроме того, сосание сигареты может вызвать дополнительное давление на рану, что также нежелательно в этот период. Врачи советуют пациентам подождать не менее трех дней, прежде чем вернуться к привычному курению, чтобы обеспечить оптимальные условия для заживления и минимизировать возможные риски.
https://youtube.com/watch?v=f9I8d1fwxIQ
Можно ли курить после лечения или удаления зуба мудрости
Если при удалении зуба на десну были наложены швы, рекомендуется воздержаться от курения на период от двух до десяти дней. Это время необходимо для того, чтобы рана зажила, а швы рассосались. Важно проконсультироваться со своим стоматологом, так как в некоторых случаях могут возникнуть осложнения.
Удаление зуба мудрости часто связано с осложнениями, поскольку такие зубы обычно не прорезываются правильно. Корень «восьмерки» может быть сильно разросшимся, что требует надрезов десны в нескольких местах. В случаях, когда «восьмерка» разрушена, может потребоваться использование специального инструмента для ее удаления. Курение в период восстановления после таких процедур может существенно негативно сказаться на процессе заживления.
| Период после удаления зуба | Рекомендации по курению | Объяснение |
|---|---|---|
| Первые 24-48 часов | Категорически запрещено | В этот период формируется кровяной сгусток, который защищает рану. Курение создает отрицательное давление во рту (эффект «сухой лунки»), что может привести к вымыванию сгустка и развитию альвеолита (воспаления лунки). Никотин и другие токсины табачного дыма замедляют заживление и повышают риск инфекции. |
| 3-7 дней | Крайне нежелательно, по возможности избегать | Риск вымывания сгустка снижается, но рана еще активно заживает. Курение по-прежнему замедляет процесс регенерации тканей, сужает кровеносные сосуды, ухудшая кровоснабжение и доставку питательных веществ к месту заживления. Повышается риск развития осложнений. |
| 1-2 недели | Минимизировать, если невозможно полностью отказаться | Основное заживление мягких тканей уже произошло, но костная ткань продолжает восстанавливаться. Курение все еще оказывает негативное влияние на процесс заживления, хотя и в меньшей степени. Рекомендуется постепенно сокращать количество выкуриваемых сигарет. |
| Более 2 недель | Желательно полностью отказаться от курения | Хотя непосредственная угроза осложнений после удаления зуба снижается, курение в целом негативно влияет на здоровье полости рта, повышая риск заболеваний десен, кариеса и других проблем. Отказ от курения способствует долгосрочному сохранению здоровья зубов и десен. |
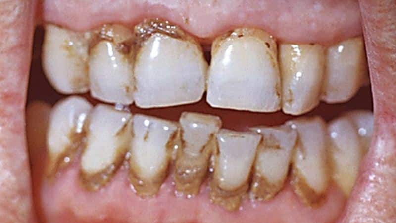
Курение и зубы курильщика
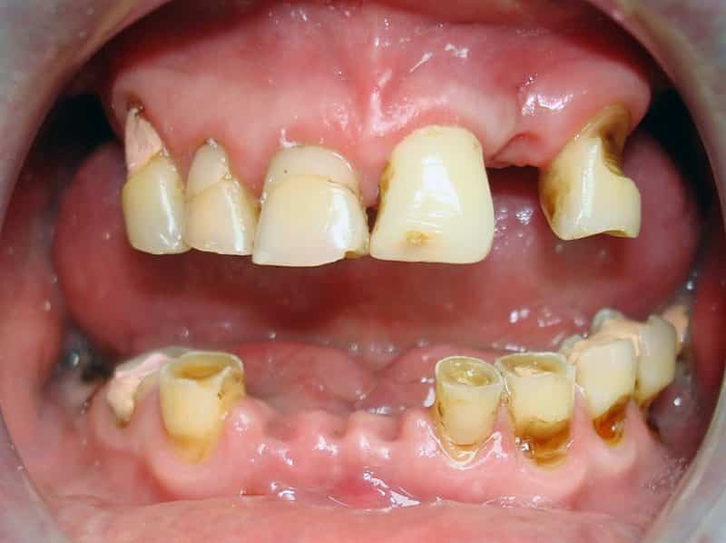
Курение — это известный факт, который не требует доказательств, и его негативное влияние на здоровье неоспоримо. Особенно ощутимо страдает ротовая полость курильщика. В дыме сигарет содержится множество токсичных веществ, таких как смолы, сажа и никотин, которые наносят ущерб зубной эмали и могут способствовать образованию кариеса. Смолы, содержащиеся в дыме, способствуют образованию зубного камня, что, в свою очередь, может привести к пародонтозу, кариесу и воспалению десен, что рано или поздно заканчивается разрушением и потерей зубов.
Кроме того, курение негативно сказывается не только на здоровье зубов, но и на их внешнем виде. Зубы курильщика приобретают неприятный желтоватый оттенок с черной окантовкой по краям. У людей, которые курят, часто наблюдается неприятный запах изо рта, а губы и язык также становятся желтыми. Хотя существует возможность отбеливания зубов, стоит помнить, что если курить продолжать, то желтизна вернется всего через несколько дней.
https://youtube.com/watch?v=2cgqGO-wu_0
Причины появления желтизны во рту при курении
На возникновение желтизны в ротовой полости у курильщиков оказывают влияние несколько факторов:
- высокая температура дыма, который вдыхается при курении, приводит к образованию трещин на зубной эмали;
- смолы и деготь, содержащиеся в сигаретах, проникают в эти трещины, что делает зубы желтыми.
Согласно исследованиям, проведенным стоматологами, курение значительно увеличивает риск потери зубов: к 65 годам примерно каждый второй курильщик сталкивается с этой проблемой.
Плюсы для здоровья ротовой полости при отказе от курения
Отказ от курения принесет вам множество положительных изменений:
- Неприятный запах изо рта исчезнет. Курильщики часто не замечают его, но окружающим это может быть крайне неприятно.
- Зубы будут дольше оставаться в хорошем состоянии. Снизится вероятность появления кариеса, воспаления десен и других негативных последствий курения.
- Зубная эмаль постепенно восстановит свой естественный цвет, а также можно воспользоваться процедурами отбеливания.
- Экономия средств: отпадет необходимость в дорогостоящем лечении, а ваш бюджет увеличится за счет отсутствия расходов на сигареты.
Снижение риска развития онкологических заболеваний (включая рак горла и языка).
Регулярное курение может привести к лейкоплакии неба, что, в свою очередь, может стать причиной онкологии.
Тем не менее, большинство курильщиков не пугают ни последствия курения, ни статьи о его вреде. После манипуляций стоматолога с челюстью их, как правило, интересует: когда можно курить после удаления зуба? Если очень хочется закурить, важно помнить, что процесс заживления у курильщиков занимает больше времени, чем у некурящих. Никотин, содержащийся в сигаретах, замедляет свертываемость крови, что затягивает образование «кровяной мозоли» и замедляет общее восстановление.
Курильщики ошибочно полагают, что курение поможет облегчить боль, которая возникает после удаления зуба и усиливается после окончания действия анестезии. Однако лучше всего преодолеть это желание и попробовать справиться с болью другими способами, не прибегая к сигаретам.
Если врач не дал вам конкретных рекомендаций, следуйте общепринятым советам:
- Уберите тампон, наложенный после удаления, примерно через 20 минут;
- Прикладывайте лед, обернутый в ткань, к щеке на 15-20 минут с 5-минутными перерывами — это поможет уменьшить возможный отек;
- При сильной боли примите обезболивающее средство;
- Если зубная боль продолжается более двух-трех дней, обязательно обратитесь к врачу.
Чего не нужно делать после удаления
Сразу после удаления зуба рекомендуется избегать следующих действий:
- прикладывать теплые компрессы к десне или щеке;
- принимать пищу в течение первых трех часов;
- курить и употреблять алкогольные напитки;
- заниматься физической активностью;
- принимать горячую ванну или посещать сауну;
- жевать жевательную резинку;
- трогать языком и соскребать «кровяную корочку» с места удаления;
- полоскать рот;
- по возможности, не садиться за руль сразу после процедуры, особенно если использовалась анестезия или наркоз, так как реакция может быть замедлена.
Следуя всем рекомендациям стоматолога, рана после удаления заживет быстро и без осложнений, и вы сможете вернуться к своему обычному образу жизни.
https://youtube.com/watch?v=TkaFwrl1p5Q
Рекомендации по уходу за ротовой полостью после удаления зуба
После удаления зуба уход за ротовой полостью становится особенно важным, так как это напрямую влияет на процесс заживления и предотвращение возможных осложнений. Одним из ключевых аспектов является соблюдение рекомендаций по курению, так как табачный дым может негативно сказаться на восстановлении.
В первые 24-48 часов после удаления зуба курение категорически не рекомендуется. В этот период образуется кровяной сгусток, который защищает лунку зуба и способствует заживлению. Курение может привести к его разрушению, что, в свою очередь, может вызвать сухую лунку (альвеолит) — болезненное состояние, требующее дополнительного лечения.
Если вы не можете обойтись без курения, постарайтесь отложить эту привычку как минимум на 72 часа. Это время позволит организму начать процесс заживления и снизит риск осложнений. Важно помнить, что даже после этого срока курение может замедлить процесс восстановления, поэтому лучше всего полностью отказаться от него на период заживления.
Если вы все же решите закурить, следуйте нескольким рекомендациям:
- Избегайте глубоких затяжек. Это поможет минимизировать всасывание табачного дыма в область удаленного зуба.
- Не курите сразу после еды. Это может вызвать раздражение и увеличить риск попадания остатков пищи в лунку.
- Используйте альтернативные способы снятия стресса. Рассмотрите возможность замены курения на другие методы расслабления, такие как прогулки на свежем воздухе или занятия спортом.
Кроме того, важно следить за состоянием ротовой полости. Если вы заметили сильную боль, отек или неприятный запах изо рта, немедленно обратитесь к стоматологу. Эти симптомы могут указывать на развитие инфекции или других осложнений, требующих профессионального вмешательства.
В заключение, соблюдение рекомендаций по уходу за ротовой полостью и отказ от курения в первые дни после удаления зуба значительно повысит шансы на быстрое и безболезненное заживление. Заботьтесь о своем здоровье и следуйте указаниям стоматолога для достижения наилучших результатов.
Влияние курения на процесс заживления
Курение является одной из основных причин, способствующих осложнениям после удаления зуба. Никотин и другие химические вещества, содержащиеся в табачном дыме, могут негативно влиять на процесс заживления тканей, что может привести к различным проблемам, таким как инфекция, замедленное заживление и даже сухая лунка.
Во-первых, курение сужает кровеносные сосуды, что уменьшает приток крови к области операции. Это приводит к снижению доставки кислорода и питательных веществ, необходимых для восстановления тканей. В результате, процесс заживления может затянуться, и риск возникновения осложнений возрастает.
Во-вторых, курение может вызвать раздражение слизистой оболочки рта и десен, что также негативно сказывается на заживлении. Дым, попадая в ротовую полость, может вызвать воспаление и увеличить вероятность развития инфекций. Это особенно опасно в первые дни после удаления зуба, когда ткани наиболее уязвимы.
Кроме того, курение может привести к образованию сухой лунки (альвеолита) — состояния, при котором сгусток крови, образующийся в лунке после удаления зуба, вымывается или не образуется вовсе. Это состояние сопровождается сильной болью и требует дополнительного лечения. Курильщики более подвержены этому осложнению, чем некурящие пациенты.
Рекомендуется воздерживаться от курения как минимум в течение 48-72 часов после удаления зуба. Это время необходимо для того, чтобы образовался сгусток крови и начался процесс заживления. Если возможно, лучше всего отказаться от курения на более длительный срок, чтобы минимизировать риски и обеспечить оптимальные условия для восстановления.
Если пациент не может полностью отказаться от курения, ему следует хотя бы сократить количество выкуриваемых сигарет и избегать курения сразу после еды, так как это может увеличить вероятность попадания дыма в область операции. Также стоит рассмотреть возможность использования никотинозаместительной терапии, чтобы уменьшить потребность в курении в этот критический период.
В заключение, влияние курения на процесс заживления после удаления зуба является значительным, и соблюдение рекомендаций по отказу от курения может существенно улучшить результаты лечения и ускорить восстановление.
Альтернативы курению для снижения стресса после операции
После удаления зуба многие пациенты испытывают стресс и дискомфорт, что может привести к желанию курить. Однако курение в этот период может негативно сказаться на процессе заживления и увеличить риск осложнений. Поэтому важно рассмотреть альтернативные способы снижения стресса, которые не повредят вашему здоровью.
Одним из наиболее эффективных способов справиться со стрессом является физическая активность. Умеренные физические нагрузки, такие как прогулки на свежем воздухе или легкие упражнения, способствуют выработке эндорфинов — гормонов счастья, которые помогают улучшить настроение и снизить уровень тревожности. Даже простая прогулка может значительно улучшить ваше самочувствие.
Еще одним полезным методом является практика глубокого дыхания и медитации. Эти техники помогают расслабиться, снизить уровень стресса и улучшить общее состояние. Выделите несколько минут в день для медитации или просто сосредоточьтесь на своем дыхании, делая глубокие вдохи и выдохи. Это поможет вам успокоиться и отвлечься от неприятных ощущений после операции.
Также стоит обратить внимание на правильное питание. Употребление здоровой пищи, богатой витаминами и минералами, способствует восстановлению организма. Продукты, содержащие омега-3 жирные кислоты, такие как рыба и орехи, могут помочь улучшить настроение. Не забывайте пить достаточное количество воды, чтобы поддерживать гидратацию и общее состояние здоровья.
Если вы ищете более активные способы снятия стресса, попробуйте заняться хобби или творчеством. Рисование, музыка, чтение или рукоделие могут отвлечь вас от негативных мыслей и помочь расслабиться. Найдите то, что приносит вам удовольствие, и уделяйте этому время.
Наконец, не стесняйтесь обращаться за поддержкой к близким. Общение с друзьями и семьей может значительно улучшить ваше настроение и помочь справиться с эмоциональным дискомфортом. Поделитесь своими переживаниями и не бойтесь просить о помощи, если это необходимо.
В заключение, хотя желание курить может возникнуть после удаления зуба, существуют множество альтернативных методов, которые помогут вам справиться со стрессом и поддержать процесс заживления. Выбор здоровых способов снятия напряжения не только улучшит ваше самочувствие, но и поможет избежать негативных последствий курения.



