Здоровье зубов и десен напрямую влияет на общее состояние организма, а правильное питание существенно укрепляет их. В этой статье рассмотрим продукты, которые укрепляют зубную эмаль, предотвращают воспаление десен и поддерживают свежесть дыхания. Обсудим также негативное влияние курения на ротовую полость и перечислим продукты, вредящие зубам. Знание о полезных для зубов и десен продуктах поможет вам сделать осознанный выбор в рационе и сохранить здоровье улыбки.
Выбор продуктов для зубов
В современном мире разнообразие кулинарных традиций предлагает множество продуктов, которые оказывают положительное влияние на здоровье зубов и десен.
Прежде всего, важно включать в рацион пищу, богатую кальцием.
К таким продуктам относятся морепродукты, рыба, молочные и кисломолочные изделия, а также сухофрукты. Особенно полезно употреблять творог с фруктами беременным женщинам, так как их зубы становятся более чувствительными и подвержены разрушению.
Рекомендуется также чаще есть яблоки и морковь после основных приемов пищи. Для укрепления зубов полезны твердые продукты, такие как груши, морковь, свекла, огурцы и другие овощи. Они способствуют качественному очищению эмали и обеспечивают естественный массаж десен. В то же время бананы и цитрусовые не способствуют укреплению зубов, поэтому, если вы хотите их съесть, лучше всего прополоскать рот после этого.
Петрушка помогает освежить дыхание и отбелить зубы, поэтому полезно жевать ее в любое время. Кусочек сыра, богатого кальцием, также способствует качественному очищению. Сахар, напротив, является врагом зубов, и у сладкоежек чаще возникают проблемы с эмалью. При высоком потреблении сахара эмаль быстро разрушается из-за кислоты, образующейся в результате его распада.
Любители сладостей должны тщательно чистить и полоскать рот после употребления сладких блюд и конфет, независимо от того, насколько регулярно они ухаживают за полостью рта. Поддерживать здоровье зубов можно с помощью правильной гигиены, регулярных визитов к стоматологу и сбалансированного питания в целом.
Врачи-стоматологи подчеркивают важность правильного питания для здоровья зубов и десен. Они отмечают, что продукты, богатые кальцием, такие как молочные изделия, способствуют укреплению зубной эмали. Зеленые листовые овощи, такие как шпинат и брокколи, содержат витамины и минералы, необходимые для поддержания здоровья десен. Фрукты, особенно яблоки и груши, не только очищают зубы от налета, но и стимулируют слюноотделение, что помогает нейтрализовать кислоты. Орехи, такие как миндаль, также полезны благодаря высокому содержанию полезных жиров и витаминов. Врачи рекомендуют избегать сахара и кислых продуктов, которые могут способствовать развитию кариеса и воспалению десен. Правильное питание в сочетании с регулярной гигиеной рта — залог здоровья зубов на долгие годы.
https://youtube.com/watch?v=RqVeyIih7Ow
Правильно питаемся без подкормки бактерий
Необходимо учитывать, что пища, которую мы употребляем, питает бактерии, обитающие в нашем организме. Для их правильного развития важно тщательно планировать свой рацион.
Следует внимательно выбирать продукты, которые будут полезны для зубов и не вызовут проблем со здоровьем, при этом не оставляя пищи для бактерий. Быстрое образование налета связано с употреблением пищи, богатой крахмалом и сахаром, что способствует размножению бактерий.
Чтобы избежать проблем с зубами и не допустить ухудшения состояния ротовой полости, стоит ограничить потребление конфет, сдобных булочек, различных сладостей и газированных напитков, таких как Кока-Кола и Фанта. Эксперты рекомендуют сократить количество легкоусвояемых углеводов в рационе и отказаться от частых перекусов. Эти продукты относятся к категории вредных для зубов. Постоянное жевание способствует питанию вредных микроорганизмов и развитию кариеса.
Восстановление зубной эмали происходит в промежутках между приемами пищи, поэтому не стоит постоянно перекусывать.
Мягкость сладких продуктов, как один из их недостатков, может нарушить формирование зубного ряда у детей, а у взрослых – привести к быстрому износу зубов, так как они теряют жевательную нагрузку. Сладости можно заменить продуктами с нерафинированным сахаром, такими как сухофрукты.
| Категория продуктов | Продукты | Полезные свойства для зубов и десен |
|---|---|---|
| Молочные продукты | Сыр, молоко, йогурт (без сахара) | Богаты кальцием и фосфором, укрепляют эмаль, нейтрализуют кислоты, стимулируют выработку слюны. |
| Фрукты и овощи | Яблоки, морковь, сельдерей, груши, клубника, цитрусовые, листовая зелень | Высокое содержание клетчатки очищает зубы, стимулирует десны, богаты витамином С (укрепляет десны), антиоксиданты. |
| Белковые продукты | Нежирное мясо, рыба, яйца, бобовые | Источник фосфора, необходимого для крепких зубов, аминокислоты для здоровья тканей десен. |
| Цельнозерновые продукты | Цельнозерновой хлеб, овсянка, бурый рис | Содержат витамины группы В и железо, способствующие здоровью десен. |
| Орехи и семена | Миндаль, кешью, кунжут, семена чиа | Источник кальция, фосфора, магния, полезных жиров, способствуют укреплению эмали. |
| Вода | Чистая питьевая вода | Смывает остатки пищи, нейтрализует кислоты, поддерживает выработку слюны, увлажняет слизистую. |
| Зеленый чай | Зеленый чай | Содержит катехины, которые борются с бактериями, вызывающими кариес и заболевания десен. |
Польза продуктов
К числу наиболее важных компонентов для поддержания здоровья зубов относятся фтор и кальций, которые можно найти в морепродуктах, рыбе, молочных продуктах, сухофруктах и зеленых овощах. Например, укроп содержит вещества с антибактериальными свойствами, которые помогают дезинфицировать полость рта и освежать дыхание. Однако стоит быть осторожными с сладкими молочными коктейлями, так как содержащийся в них сахар может негативно влиять на здоровье зубов и препятствовать положительному воздействию кальция.
Специалисты выделяют твердый сыр как отличный продукт, полезный для зубов и десен, благодаря высокому содержанию фосфатов и казеина. Эти вещества способствуют восстановлению зубной эмали, а процесс жевания сыра не приводит к образованию кислоты. Поэтому твердые сорта сыра считаются эффективным средством против кариеса.
Многих пациентов стоматологических клиник интересует, какие продукты могут быть полезны для зубов и не вызывать воспалительных процессов. К таким продуктам относятся отварной картофель, морская рыба, хлеб из муки грубого помола, свежезаваренный чай (при условии правильного заваривания) и зелень, которые обладают хорошими свойствами благодаря содержанию фтора. Также стоит отметить, что мясные продукты, богатые железом и витамином В12, очень полезны. Их нехватка может привести к истончению слизистой оболочки, язвам и воспалениям. Цитрусовые и яблоки содержат витамин С, который активизирует обменные процессы. Недостаток этого витамина может привести к цинге, что вызывает кровоточивость и выпадение десен.
Продукты, способствующие здоровью зубов, необходимо готовить правильно, так как некоторые из них могут терять свои полезные свойства в процессе приготовления, как, например, блюда из картофеля. Чтобы сохранить витамин С, рекомендуется использовать ножи из нержавеющей стали для нарезки или чистки картофеля, а во время варки помещать его в кипящую воду. Овощи и фрукты, обладающие твердой текстурой, полезны для зубов и десен, так как они способствуют улучшению кровоснабжения и эффективной чистке благодаря своей жесткости.
https://youtube.com/watch?v=ViazfjAYKOM
Для здоровья зубов лучше отказаться от курения
Статистические исследования в области стоматологии показывают, что некурящие люди старше 60 лет сталкиваются с проблемой потери зубов значительно реже, чем их курящие сверстники. Кроме того, сохранить зубы в хорошем состоянии удается тем, кто не подвержен вредной привычке курения, гораздо чаще. Стоматологи настоятельно советуют отказаться от курения по множеству причин, подчеркивая, что эта привычка несовместима с общим состоянием здоровья.
Курение приводит к снижению выработки слюны, что негативно сказывается на чистоте ротовой полости.
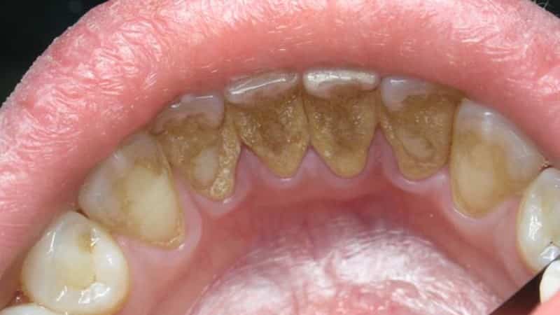
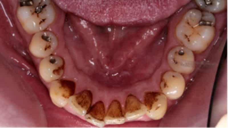
При курении на зубах часто образуются темно-коричневые пятна, активно формируется зубной камень, а также возникают различные заболевания полости рта.
Кроме того, табачный дым может вызывать атрофию слизистой оболочки и нарушать кровообращение в деснах. Курильщики чаще страдают от хронического гингивита, который может перерасти в пародонтит. Даже самые эффективные средства гигиены не могут полностью защитить зубы курильщика, так как химические вещества в табаке замедляют процессы заживления и восстановления. Таким образом, единственным верным решением будет отказ от курения.
Вредные зубам продукты
К продуктам, негативно влияющим на здоровье зубов, относятся те, которые содержат кислоты. Эти вещества могут разрушать зубную эмаль. В газированных напитках присутствует значительное количество кислот, что делает их особенно популярными среди детей. Родителям стоит помнить, что частое употребление таких напитков приводит к быстрому разрушению эмали из-за воздействия кислот, не связанных с бактериями. К подобным продуктам также относятся цитрусовые, кислые соки, вишни, кислые яблоки сорта антоновка и другие. Рекомендуется внимательно изучать состав этих продуктов. После их употребления полезно прополоскать рот.
Лимонады, содержащие красители, однозначно считаются вредными. Если ребенок не может отказаться от них, стоит предложить пить через трубочку, чтобы минимизировать контакт с зубами.
Также стоит обратить внимание на чай, так как некоторые его сорта содержат высокое количество фтора. Это зависит от условий, в которых рос чайный куст. На содержание фтора также влияют время настаивания, кипячения и крепость напитка. Обычно чай настаивают не более шести минут, а воду кипятят один раз. Рекомендуется проверять воду на наличие фтора. Напитки, содержащие кофеин, алкоголь или табачные изделия, способствуют выведению кальция, который необходим для здоровья зубов. Людям, заботящимся о состоянии своих зубов, следует сократить потребление таких продуктов до минимума или полностью отказаться от них.
В заключение, сохранить зубы здоровыми можно, если регулярно соблюдать гигиену, следить за сбалансированным питанием и избегать вредных привычек. Важно контролировать эти аспекты и своевременно посещать стоматолога.
https://youtube.com/watch?v=Ac3388a6xx8
Роль витаминов и минералов в здоровье зубов
Здоровье зубов и десен напрямую зависит от правильного питания, которое должно включать в себя достаточное количество витаминов и минералов. Эти вещества играют ключевую роль в поддержании структуры зубов, укреплении десен и предотвращении различных заболеваний полости рта.
Одним из самых важных витаминов для здоровья зубов является витамин D. Он способствует усвоению кальция, который необходим для формирования и поддержания прочности зубной эмали. Недостаток витамина D может привести к снижению плотности костной ткани и повышенному риску кариеса. Основные источники витамина D включают жирную рыбу, яичные желтки и обогащенные молочные продукты.
Витамин C также играет важную роль в здоровье десен. Он необходим для синтеза коллагена, который является основным компонентом соединительных тканей. Дефицит витамина C может привести к заболеванию десен, известному как гингивит, а также к более серьезным проблемам, таким как пародонтит. Фрукты и овощи, такие как цитрусовые, киви, клубника и перцы, являются отличными источниками витамина C.
Кальций, как уже упоминалось, является основным минералом, необходимым для здоровья зубов. Он помогает укрепить зубную эмаль и поддерживает здоровье костей челюсти. Молочные продукты, такие как молоко, йогурт и сыр, а также зеленые листовые овощи, такие как шпинат и брокколи, являются хорошими источниками кальция.
Фосфор, еще один важный минерал, работает в тандеме с кальцием для поддержания здоровья зубов. Он помогает в образовании зубной эмали и поддерживает структуру зубов. Фосфор можно найти в таких продуктах, как мясо, рыба, яйца и орехи.
Не менее важен и витамин A, который способствует поддержанию здоровья слизистых оболочек, включая десны. Он помогает в поддержании нормального состояния ротовой полости и предотвращает развитие инфекций. Основные источники витамина A включают морковь, сладкий картофель и темно-зеленые овощи.
Таким образом, разнообразное и сбалансированное питание, богатое витаминами и минералами, является основой для поддержания здоровья зубов и десен. Включение в рацион продуктов, содержащих необходимые микроэлементы, поможет предотвратить заболевания полости рта и сохранить улыбку на долгие годы.
Значение гигиенических привычек при употреблении пищи
Здоровье зубов и десен напрямую связано с тем, что мы едим и как мы ухаживаем за полостью рта. Правильные гигиенические привычки, такие как регулярная чистка зубов и использование зубной нити, играют важную роль, но не менее значимо и то, какие продукты мы включаем в свой рацион. Некоторые из них могут способствовать укреплению зубной эмали, улучшению состояния десен и предотвращению различных заболеваний полости рта.
Во-первых, важно отметить, что продукты, богатые кальцием, играют ключевую роль в поддержании здоровья зубов. Молочные продукты, такие как молоко, йогурт и сыр, не только обеспечивают организм необходимым кальцием, но и содержат фосфор, который помогает укреплять зубную эмаль. Эти продукты также способствуют нейтрализации кислот, которые могут вызывать разрушение зубов.
Во-вторых, фрукты и овощи, особенно те, которые имеют хрустящую текстуру, могут оказать положительное влияние на здоровье десен. Например, яблоки, морковь и сельдерей способствуют естественному очищению зубов, удаляя налет и остатки пищи. Кроме того, они стимулируют выделение слюны, что помогает нейтрализовать кислоты и уменьшает риск кариеса.
Не менее важными являются продукты, богатые витаминами и минералами. Витамин C, содержащийся в цитрусовых, ягодах и зеленых листовых овощах, способствует укреплению десен и предотвращает их воспаление. Витамин D, который можно получить из жирной рыбы, яиц и обогащенных продуктов, необходим для усвоения кальция, что также важно для здоровья зубов.
Омега-3 жирные кислоты, содержащиеся в рыбе, такой как лосось и скумбрия, обладают противовоспалительными свойствами и могут помочь в борьбе с заболеваниями десен. Исследования показывают, что регулярное употребление этих кислот может снизить риск развития пародонтита и других заболеваний десен.
Также стоит обратить внимание на орехи и семена, которые являются источниками полезных жиров, витаминов и минералов. Например, миндаль и грецкие орехи содержат кальций и магний, которые способствуют укреплению зубов. Семена подсолнечника и тыквы богаты витамином E, который помогает поддерживать здоровье десен.
Наконец, важно помнить о том, что некоторые продукты могут негативно сказаться на здоровье зубов. Сахар и кислые продукты могут способствовать разрушению зубной эмали и развитию кариеса. Поэтому, помимо выбора полезных продуктов, необходимо также соблюдать баланс и ограничивать потребление вредных веществ.
В заключение, правильное питание и гигиенические привычки являются основой для поддержания здоровья зубов и десен. Включение в рацион продуктов, богатых кальцием, витаминами и минералами, поможет укрепить зубы и предотвратить заболевания полости рта. Не забывайте также о регулярной гигиене полости рта, чтобы обеспечить максимальную защиту для ваших зубов и десен.
Рекомендации по выбору напитков для здоровья зубов
Выбор напитков играет важную роль в поддержании здоровья зубов и десен. Некоторые напитки могут способствовать укреплению зубной эмали и снижению риска развития кариеса, в то время как другие могут негативно сказываться на состоянии полости рта. Рассмотрим подробнее, какие напитки стоит включить в свой рацион, а какие лучше избегать.
Полезные напитки
- Вода: Это самый безопасный и полезный напиток для зубов. Вода помогает промывать остатки пищи, снижает уровень кислотности в полости рта и способствует поддержанию нормального уровня слюны, которая играет защитную роль.
- Молоко: Молоко и молочные продукты содержат кальций и фосфор, которые необходимы для укрепления зубной эмали. Кроме того, молоко помогает нейтрализовать кислоты, образующиеся в результате метаболизма сахаров.
- Зеленый чай: Этот напиток богат антиоксидантами, которые помогают бороться с воспалениями и бактериями в полости рта. Полезные соединения, содержащиеся в зеленом чае, могут снизить риск развития кариеса и заболеваний десен.
- Чай из трав: Некоторые травяные чаи, такие как ромашка или шалфей, обладают противовоспалительными свойствами и могут помочь в поддержании здоровья десен.
- Свежевыжатые соки: Соки из овощей и фруктов, такие как морковный или яблочный, могут быть полезны, если они не содержат добавленного сахара. Они обеспечивают организм витаминами и минералами, необходимыми для здоровья зубов.
Напитки, которых следует избегать
- Газированные напитки: Содержащиеся в них кислоты и сахар могут разрушать зубную эмаль и способствовать развитию кариеса. Частое употребление газировки может привести к эрозии зубов.
- Сладкие соки: Даже натуральные соки, содержащие много сахара, могут быть вредны для зубов. Лучше выбирать соки без добавления сахара и употреблять их в умеренных количествах.
- Алкоголь: Напитки с высоким содержанием алкоголя могут способствовать сухости во рту, что увеличивает риск развития кариеса и заболеваний десен. Кроме того, некоторые алкогольные напитки могут содержать сахар, что также негативно сказывается на здоровье зубов.
- Кофе и черный чай: Хотя они могут иметь некоторые полезные свойства, их чрезмерное употребление может привести к потемнению зубов и повышенной кислотности, что негативно сказывается на эмали.
Важно помнить, что не только выбор напитков, но и способ их употребления имеет значение. Например, лучше пить сладкие и кислые напитки через соломинку, чтобы минимизировать контакт с зубами. Также рекомендуется полоскать рот водой после употребления таких напитков, чтобы снизить их негативное воздействие на зубы.
Следуя этим рекомендациям, вы сможете поддерживать здоровье своих зубов и десен на высоком уровне, а также снизить риск возникновения стоматологических проблем в будущем.




