Коронки на зубы играют ключевую роль в стоматологии, восстанавливая функции зубов и улучшая эстетику улыбки. В статье рассмотрим виды коронок по материалу, а также их срок службы, преимущества и недостатки. Эти аспекты помогут пациентам осознанно выбрать коронку и подготовиться к процедуре, понимая, чего ожидать в процессе и после установки.
Классификация
Классификация зубных протезов в медицинской практике осуществляется в зависимости от используемого материала. Определить, какие коронки на зубы являются наиболее подходящими, основываясь только на фотографиях, рентгеновских снимках или истории болезни, невозможно. Необходима консультация квалифицированного специалиста. Он поможет выбрать коронки, учитывая медицинские показания, стоимость, предпочтения и возможности пациента.
Существует несколько типов протезов:
- Металлические;
- Керамические;
- Металлокерамические;
- Металлопластмассовые;
- Пластмассовые.
Врачи-стоматологи отмечают, что выбор коронок на зубы зависит от множества факторов, включая состояние зуба, его расположение и пожелания пациента. Существует несколько основных типов коронок. Металлические коронки, например, отличаются высокой прочностью и долговечностью, но могут иметь неэстетичный вид. Керамические коронки, в свою очередь, выглядят более естественно и подходят для передних зубов, однако они менее устойчивы к механическим повреждениям. Также популярны циркониевые коронки, которые сочетают в себе прочность и эстетичность, что делает их универсальным выбором. Врачи подчеркивают важность индивидуального подхода к каждому пациенту, чтобы выбрать оптимальный вариант, учитывая как функциональные, так и эстетические аспекты.
https://youtube.com/watch?v=RsJDQfb4rg4
Металлические и золотые
Самыми первыми появились именно они, и для их создания часто использовали золото или специальные медицинские сплавы на его основе. Это связано с уникальными свойствами золота, которое хорошо воспринимается организмом. Однако, если раньше золотой зуб считался символом богатства, то в современном медицинском сообществе мнение изменилось, и такой выбор стал восприниматься как неэстетичный. Тем не менее, многие могут легко определить, что такое коронка на зуб, глядя на фотографии золотых протезов, и представить их функции.
Металлические коронки продолжают использоваться и в наши дни. В настоящее время для их производства применяются различные сплавы титана и нержавеющей стали. Драгоценные металлы также иногда находят применение, но предпочтение отдается платине или специальным покрытиям.
Такие конструкции остаются достаточно доступными по цене и обеспечивают полное восстановление функциональности зуба. Однако их неэстетичный внешний вид по-прежнему вызывает критику.
| Тип коронки | Материал | Особенности и преимущества |
|---|---|---|
| Металлокерамическая | Металлический каркас, покрытый керамикой | Прочные, эстетичные, доступные по цене. Могут быть менее прозрачными, чем цельнокерамические. |
| Цельнокерамическая (безметалловая) | Керамика (фарфор, диоксид циркония, E-max) | Высокая эстетика, биосовместимость, естественный вид. Могут быть дороже и менее прочными, чем металлокерамические в некоторых случаях. |
| Металлическая | Сплавы металлов (золото, кобальт-хром, никель-хром) | Очень прочные, долговечные, но неэстетичные. Используются преимущественно для жевательных зубов. |
| Композитная | Композитный материал (пластик с керамическими частицами) | Эстетичные, но менее прочные и долговечные, чем другие типы. Часто используются как временные коронки. |
| Циркониевая | Диоксид циркония | Высокая прочность, эстетика, биосовместимость. Отличный выбор для передних и жевательных зубов. |
| E-max (стеклокерамика) | Дисиликат лития | Высокая эстетика, полупрозрачность, естественный вид. Идеальны для передних зубов. |
Металлокерамические зубные протезы
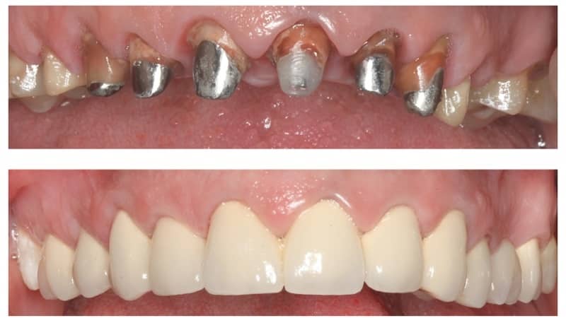
Эти протезы представляют собой оптимальное решение. Они достаточно надежны, имеют доступную стоимость и позволяют достичь отличного эстетического эффекта. Результат становится особенно заметным, если сравнить фотографии до и после установки металлокерамической коронки. Конструкция имеет свои особенности: металлической является лишь основа.
Преимущества установки таких протезов весьма значительны, однако стоматологи подчеркивают, что они уступают цельнокерамическим коронкам в одном аспекте. При минимальном обнажении корня зуба становится видна металлическая основа. Тем не менее, если при производстве использовать специальный металл с уникальным оттенком, эту проблему можно легко устранить.
https://youtube.com/watch?v=Jj_PnicVEKM
Керамические коронки
Это самый дорогостоящий тип протезов. Однако такие коронки обладают наилучшей эстетикой. Биосовместимость данного материала значительно превосходит таковую у всех ранее упомянутых вариантов. Свойства материала позволяют создать протез, который практически не отличается по внешнему виду от натурального зуба, полностью воспроизводя прозрачность эмали и цветовые нюансы.
Такой материал часто выбирают для протезирования фронтальных зубов, так как он является идеальным решением для формирования привлекательной улыбки.
Тем не менее, для восстановления жевательных поверхностей они не подходят из-за недостаточной прочности и проблем с прозрачностью.
Пластмассовые протезы
Существуют различные виды коронок для зубов. В настоящее время одним из популярных материалов является пластик. Он более доступен по цене, однако его прочность оставляет желать лучшего. Поэтому такие коронки обычно устанавливаются на временной основе. Чаще всего их используют для фиксации имплантов, но иногда они могут применяться и как отдельные элементы для мостовидных протезов. Срок службы таких коронок варьируется от одного до трех лет. Основное преимущество – это низкая стоимость, однако недостатков у них значительно больше. Как уже упоминалось, они недолговечны, быстро теряют цвет, что делает металлическое основание заметным. Кроме того, обеспечить надежное прилегание между металлической основой и пластиковой частью зачастую не удается.
Коронки, изготовленные исключительно из пластика, предназначены только для временного использования. Их срок службы невелик, и они оптимально подходят для применения в период приживления имплантов, пока не будет изготовлена постоянная конструкция.
Какие коронки лучше применять
Разнообразие зубных коронок уже хорошо известно. Выбор подходящего варианта осуществляется врачом на основании медицинских показаний, с учетом всех нюансов и предпочтений пациента. Можно с уверенностью утверждать, что лечащий специалист способен определить оптимальные коронки для каждого конкретного случая. Важно также учитывать стоимость конструкций и их срок службы.
Коронки имеют определенный срок эксплуатации, и их рекомендуется заменять на новые примерно каждые десять лет.
В противном случае могут возникнуть проблемы, такие как зубная боль или кариес под коронками.
Цельнокерамические протезы демонстрируют наилучшие характеристики: они прочные и эстетически привлекательные, но при этом являются и самыми дорогими. Можно с уверенностью сказать, что они идеально подходят для передних зубов, в то время как для жевательных зубов можно рассмотреть более доступные варианты. Если взглянуть на фотографии до и после установки коронок, становится очевидно, что цельнокерамические протезы выглядят наиболее выигрышно и помогают восстановить естественный вид зубного ряда.
https://youtube.com/watch?v=8HxaIL7Nnew
Преимущества и недостатки различных типов коронок
Металлические коронки
Металлические коронки изготавливаются из различных сплавов, включая золото, платину, никель и хром. Они обладают высокой прочностью и долговечностью, что делает их идеальными для задних зубов, где нагрузка на жевание максимальна. Однако, их эстетические качества оставляют желать лучшего, так как металлические коронки заметны и могут вызывать дискомфорт у пациентов.
Преимущества:
- Высокая прочность и долговечность.
- Устойчивость к износу и повреждениям.
- Минимальная вероятность аллергических реакций при использовании благородных металлов.
Недостатки:
- Низкая эстетика, особенно для передних зубов.
- Может вызывать дискомфорт из-за холодопроводности металла.
Керамические коронки
Керамические коронки изготавливаются из фарфора или стеклокерамики и обладают высокой эстетикой, что делает их идеальными для передних зубов. Они могут быть окрашены в цвет зуба пациента, что позволяет добиться естественного внешнего вида. Однако, керамика менее прочна, чем металл, и может быть подвержена сколам.
Преимущества:
- Отличная эстетика и возможность подбора цвета.
- Не вызывает аллергических реакций.
- Хорошая биосовместимость с тканями рта.
Недостатки:
- Меньшая прочность по сравнению с металлическими коронками.
- Может потребоваться больше времени на изготовление и установку.
Композитные коронки
Композитные коронки изготавливаются из смол и других материалов, которые могут быть окрашены в цвет зуба. Они часто используются для временных коронок или в случаях, когда требуется минимальное вмешательство. Хотя композитные коронки могут выглядеть естественно, их долговечность и прочность ниже, чем у керамических и металлических коронок.
Преимущества:
- Низкая стоимость по сравнению с другими типами коронок.
- Хорошая эстетика и возможность подбора цвета.
- Легкость в установке и замене.
Недостатки:
- Низкая прочность и долговечность.
- Может потребоваться частая замена.
Металлокерамические коронки
Металлокерамические коронки сочетают в себе прочность металлической основы и эстетические качества керамического покрытия. Они являются одним из самых популярных вариантов для восстановления зубов, так как обеспечивают баланс между прочностью и внешним видом. Однако, такие коронки могут иметь некоторые недостатки, связанные с видимостью металлической основы.
Преимущества:
- Хорошая прочность и долговечность.
- Эстетика, близкая к натуральным зубам.
- Подходят для различных участков зубного ряда.
Недостатки:
- Металлическая основа может быть видна при определенных условиях.
- Может вызывать аллергические реакции у некоторых пациентов.
Циркониевые коронки
Циркониевые коронки изготавливаются из диоксида циркония и обладают высокой прочностью и эстетикой. Они идеально подходят для передних и задних зубов, так как обеспечивают естественный внешний вид и долговечность. Цирконий также является биосовместимым материалом, что снижает риск аллергических реакций.
Преимущества:
- Отличная эстетика и возможность подбора цвета.
- Высокая прочность и долговечность.
- Биосовместимость и отсутствие аллергических реакций.
Недостатки:
- Высокая стоимость по сравнению с другими типами коронок.
- Требует высокой квалификации стоматолога для установки.
Процесс установки коронок
На первом этапе врач может сделать рентгеновский снимок, чтобы оценить состояние корня зуба и окружающих тканей. Если зуб сильно поврежден, но его корень здоров, установка коронки может быть оптимальным решением. В случае, если зуб не подлежит восстановлению, может потребоваться удаление зуба и установка имплантата.
После принятия решения о необходимости коронки, стоматолог приступает к подготовке зуба. Этот процесс включает в себя обтачивание зуба, чтобы создать пространство для коронки. Обтачивание может варьироваться в зависимости от типа коронки, которую планируется установить. Например, для металлокерамических коронок требуется большее обтачивание, чем для композитных или циркониевых.
После обтачивания зуба стоматолог делает слепок, который будет использован для создания индивидуальной коронки. Слепок может быть выполнен с помощью традиционных материалов или с использованием цифровых технологий, что позволяет получить более точные результаты. В некоторых случаях может быть изготовлена временная коронка, которая защищает обточенный зуб до установки постоянной коронки.
Изготовление коронки может занять от нескольких дней до нескольких недель, в зависимости от сложности и типа материала. В это время временная коронка обеспечивает защиту и функциональность зуба. Когда постоянная коронка готова, стоматолог проводит ее примерку, чтобы убедиться, что она идеально подходит по форме и цвету, а также не нарушает прикус.
После успешной примерки коронка фиксируется на зубе с помощью специального цемента. Важно, чтобы пациент понимал, что после установки коронки необходимо соблюдать правила гигиены полости рта и регулярно посещать стоматолога для профилактических осмотров. Это поможет сохранить здоровье как коронки, так и окружающих зубов.
В заключение, процесс установки коронок требует внимательного подхода и профессионализма со стороны стоматолога. Правильная диагностика, подготовка и установка коронки обеспечивают долговечность и комфорт в использовании, что делает этот метод восстановления зубов одним из самых популярных в стоматологии.
Уход за коронками и их долговечность
Уход за коронками на зубах является важным аспектом поддержания их долговечности и здоровья полости рта. Правильный уход не только продлевает срок службы коронок, но и способствует общему состоянию зубов и десен.
Первое, на что стоит обратить внимание, это гигиена полости рта. Регулярная чистка зубов дважды в день с использованием фторсодержащей зубной пасты помогает предотвратить образование налета и кариеса. Важно также использовать зубную нить или межзубные щетки для удаления остатков пищи и налета из труднодоступных мест, особенно вокруг коронок.
Кроме того, рекомендуется использовать антисептические ополаскиватели для рта, которые помогают снизить количество бактерий и предотвращают воспаление десен. Однако следует избегать слишком агрессивных средств, которые могут повредить материал коронки.
Следует помнить, что разные материалы коронок требуют разного ухода. Например, металлические коронки более устойчивы к механическим повреждениям, но могут вызывать потемнение десен. Керамические и композитные коронки более эстетичны, но могут быть более подвержены сколам и трещинам. Поэтому важно учитывать материал коронки при выборе средств для ухода.
Также стоит избегать чрезмерного давления на коронки, что может привести к их повреждению. Это касается как привычек, таких как кусание ногтей или открывание упаковок зубами, так и употребления жесткой пищи. Если коронки установлены на жевательных зубах, стоит быть особенно осторожным с твердой пищей.
Регулярные визиты к стоматологу также играют ключевую роль в уходе за коронками. Специалист сможет оценить состояние коронок, провести профессиональную чистку и при необходимости выполнить коррекцию или замену. Рекомендуется посещать стоматолога не реже одного раза в полгода.
В заключение, правильный уход за коронками включает в себя регулярную гигиену полости рта, использование подходящих средств для ухода, избегание вредных привычек и регулярные визиты к стоматологу. Соблюдение этих рекомендаций поможет сохранить коронки в хорошем состоянии на протяжении многих лет.



