Смена зубов — важный этап в жизни человека. Понимание различий между молочными и коренными зубами помогает определить, растет ли у ребенка молочный или коренной зуб. В статье рассмотрим основные особенности этого процесса, возможные осложнения и рекомендации по уходу за зубами, что поможет сохранить здоровье полости рта и избежать неприятных последствий.
Особенности появления коренных единиц
Практически у всех детей молочные зубы начинают прорезываться примерно с шести месяцев, а затем они сменяются на коренные. Этот процесс имеет свои особенности, и для того чтобы коренные зубы, которые будут служить человеку на протяжении всей жизни, оставались здоровыми, красивыми и ровными, родителям важно следить за состоянием ротовой полости в период смены зубов.
Рекомендуется обратиться к стоматологам и ортодонтам для получения информации о сроках смены зубов и правильности их роста. Зная, как отличить молочный зуб от коренного, родители могут самостоятельно решать некоторые вопросы.
Формирование молочных зубов начинается у ребенка еще в первом триместре беременности, что требует от будущих мам особого внимания к своему питанию. Однако сами молочные зубы появляются после рождения, обычно ближе к шести месяцам.
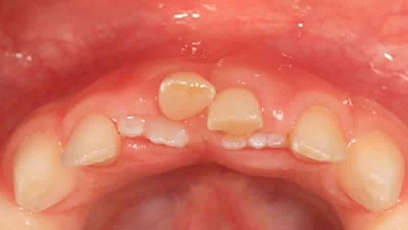
Этот период сопровождается первыми движениями малыша. Во время прорезывания зубов у детей часто наблюдается повышение температуры и отечность десен. К двум годам у большинства детей уже имеется почти полный набор молочных зубов, которые отличаются по размеру и форме, а также имеют характерный синеватый оттенок. Это отличает их от коренных зубов, которые имеют желтовато-серый цвет.
Молочные зубы начинают активно заменяться на коренные примерно к шести годам. Однако уход за зубами важен на всех этапах их развития, включая контроль за питанием, соблюдение гигиенических норм и регулярные визиты к стоматологу для формирования правильного прикуса. Молочные зубы также подвержены различным стоматологическим заболеваниям, таким как кариес и пульпит, которые требуют лечения.
Постоянные зубы имеют несколько отличительных признаков по сравнению с молочными:
- Коронка зуба отличается по размеру: молочные зубы более округлые, а в области шейки имеется эмалевый валик.
- Молочные зубы имеют голубоватый оттенок из-за низкой минерализации эмали и дентина, а постоянные зубы отличаются желтоватым цветом.
- Коронка постоянного зуба наклонена к губам и щекам, в то время как молочные зубы растут вертикально.
- Различия можно заметить и по порядковым номерам зубов в зубной дуге:
- Постоянный моляр занимает 6-ю или 7-ю позицию от средней линии челюсти. Молочные зубы не могут занимать такие позиции, так как их всего 10 на одной челюсти.
- В 4-й и 5-й позициях коронки молочных зубов имеют широкую форму и 4 бугорка, тогда как постоянные зубы представлены премолярами, которые больше по размеру. Если сложно определить визуально, стоит сравнить зубы с противоположной стороны.
Молочные зубы, будучи временными, постепенно выпадают, уступая место постоянным. Этот процесс происходит из-за роста корней, которые выталкивают молочные зубы из зубных каналов.
Ключевую роль в этом процессе играют специальные клеточные структуры, которые разрушают временные корни, теряющие свою прочность и связь с челюстью. Если зубы не выпадают самостоятельно, их удаляют с помощью стоматологических инструментов.
Следует отметить, что вопрос о том, меняются ли все молочные зубы на коренные, имеет неоднозначный ответ. После выпадения временных зубов может пройти значительное время, и если этот срок превышает полгода, рекомендуется посетить стоматолога для осмотра и выявления возможных проблем.
В возрасте шести лет у ребенка начинают появляться первые коренные зубы – моляры, в количестве шести штук на каждую челюсть. Верхние моляры отличаются большими размерами и прочностью, так как их корневая система состоит из трех корней, расходящихся в разные стороны.
Благодаря этой особенности они обладают высокой устойчивостью к нагрузкам и надежным креплением. Чтобы быстро определить, коренной зуб или молочный, можно просто посчитать их количество.
Взрослый человек имеет 32 коренных зуба, в отличие от молочных. Лечение молочных зубов обычно проходит легче, чем постоянных. Обладая необходимой информацией, родители могут обеспечить своим детям здоровую и красивую улыбку.
Врачи-стоматологи отмечают, что различие между коренными и молочными зубами можно определить по нескольким ключевым признакам. Во-первых, молочные зубы, как правило, имеют более светлый оттенок и меньший размер по сравнению с коренными. Кроме того, у молочных зубов более тонкая эмаль, что делает их более уязвимыми к кариесу. Врачи также обращают внимание на корни зубов: молочные зубы имеют короткие и тонкие корни, тогда как коренные зубы обладают более массивными и длинными корнями, что обеспечивает их стабильность. Наконец, стоматологи рекомендуют обратить внимание на возраст пациента: молочные зубы начинают выпадать в возрасте около шести лет, в то время как коренные зубы появляются позже. Эти признаки помогут родителям и пациентам лучше ориентироваться в вопросах стоматологического здоровья.
https://youtube.com/watch?v=xZK0KBGW8Bc
Необходимость проведения рентгенографии
Если у родителей возникают сложности в определении, является ли зуб молочным или коренным, можно воспользоваться рентгеновским снимком. Этот метод позволяет быстрее установить тип зуба в ротовой полости.
Когда размеры или форма корней значительно отличаются, это может свидетельствовать о наличии постоянного зачатка в корне. Физиологическая замена зуба может происходить с задержкой, поэтому важно знать, как выявить причины этой задержки и оценить состояние корней.
Если постоянного зачатка нет, необходимо сохранить молочный зуб и следить за состоянием его корня. В случае быстрого рассасывания рекомендуется подготовиться к протезированию.
Если на рентгеновском снимке виден коренной зуб, а молочный не выпадает, стоит обратиться к ортодонту для консультации.
Специалист на основе снимка сможет определить толщину кости и угол наклона по отношению к соседним зубам. При правильном расположении коренного зуба и удалении молочного можно ожидать его самостоятельного прорезывания.
| Признак | Молочный зуб | Постоянный (коренной) зуб |
|---|---|---|
| Количество | 20 (10 на каждой челюсти) | 32 (16 на каждой челюсти, включая зубы мудрости) |
| Размер | Меньше, короче | Больше, длиннее |
| Цвет | Более белый, голубоватый оттенок | Желтоватый, сероватый оттенок |
| Форма | Более округлые, менее выраженные бугорки | Более выраженные бугорки и фиссуры |
| Эмаль | Тоньше, менее прочная | Толще, прочнее |
| Корни | Короче, тоньше, расходятся шире | Длиннее, толще, более прямые |
| Наличие шейки | Менее выражена | Более выражена |
| Сроки прорезывания | С 6 месяцев до 2,5-3 лет | С 6 лет до 25 лет (для зубов мудрости) |
| Сроки выпадения | С 6 до 12 лет | Не выпадают (за исключением травм или заболеваний) |
| Наличие премоляров | Отсутствуют | Присутствуют (по 2 на каждой стороне челюсти) |
| Наличие моляров | 2 пары (первые и вторые моляры) | 3 пары (первые, вторые и третьи моляры — зубы мудрости) |
Осложнения процесса смены
Существуют случаи, когда молочные зубы не выпадают, а коренные уже начинают расти. В таких ситуациях у детей часто возникают боли и дискомфорт в ротовой полости, что требует консультации стоматолога. Обращение к специалисту в таких случаях может предотвратить искривление и неправильный рост новых зубов.
Основная задача постоянных зубов заключается в измельчении пищи, поэтому к их появлению следует относиться с особым вниманием. Важно регулярно проводить гигиенические процедуры, чтобы сохранить их функции и целостность. В противном случае может потребоваться частое вмешательство стоматологов и других специалистов.
Самопроизвольное выпадение молочных зубов может происходить у многих детей безболезненно. Однако не исключены случаи обильных кровотечений в местах, где зубы выпали. Если молочный зуб выпал давно, а коренной не появился, необходимо обратиться за медицинской помощью.
Возможно, потребуется лечение, так как могут возникнуть воспалительные процессы или осложнения. Неправильный рост зубов также может стать проблемой, что в дальнейшем приведет к неправильному прикусу.
Важно учитывать, что смена прикуса является естественным процессом, и если нет патологий или неприятных симптомов, поводов для беспокойства нет. Однако если у ребенка повышается температура или проявляется раздражительность во время смены прикуса, следует незамедлительно обратиться к стоматологу для решения возникших проблем.
https://youtube.com/watch?v=Z8KKC1EAgFI
Правильный уход обеспечивающий нормальное развитие
Прорезывание первых постоянных зубов требует внимательного подхода к уходу со стороны родителей. На начальном этапе эмаль коренных зубов обладает недостаточной минерализацией, что может способствовать развитию кариеса. В этот период особенно важно чистить зубы с использованием пасты, содержащей фтор. Рекомендуется, чтобы ребенок ухаживал за полостью рта после каждого приема пищи и полоскал рот чистой водой.
В период выпадения молочных зубов желательно ограничить или сократить потребление сладостей и других вредных продуктов.
Необходимо обязательно посетить стоматолога для консультации и осмотра правильности развития зубов. В это время может наблюдаться повышенная чувствительность эмали, поэтому важно включить в рацион продукты, богатые кальцием. Также ребенку может понадобиться витаминно-минеральный комплекс, который назначит врач на приеме.
Если зубы растут неправильно или криво, может понадобиться помощь ортодонта. Также стоит обратить внимание на вредные привычки ребенка, такие как сосание пальцев, языка или других предметов, и постараться их устранить.
При заметном пошатывании зуба лучше дождаться его естественного выпадения, так как это будет менее болезненно для ребенка, чем удаление в стоматологическом кабинете. Однако если возникают воспаления, необходимо срочно обратиться к специалистам.
При выпадении молочных зубов могут возникать кровотечения, связанные с повреждением сосудов. В таком случае достаточно приложить марлевый тампон к ране на некоторое время, и кровь остановится через несколько минут. Если кровотечение продолжается более десяти минут, лучше вызвать врача и, при необходимости, сдать анализы.
В заключение стоит отметить, что проблемы, возникающие в процессе смены зубов, могут решаться как самостоятельно, так и с помощью обращения к врачу. Окончательное формирование зубного ряда происходит у человека к 17 годам.
Рекомендуется контролировать процесс выпадения зубов и исключить из рациона ребенка твердую пищу в этот период. Полоскать рот можно только солевым раствором, чтобы предотвратить боль и инфекцию в свежих ранах.
https://youtube.com/watch?v=wlWZaEUjTxw
Визуальные отличия коренных и молочных зубов
Одним из самых простых способов определить, коренной зуб или молочный, является визуальный осмотр. Существует несколько ключевых характеристик, которые помогут вам различить эти два типа зубов.
Форма и размер: Молочные зубы, как правило, меньше по размеру и имеют более округлую форму по сравнению с коренными зубами. Коренные зубы, особенно у взрослых, более широкие и имеют сложную жевательную поверхность, что позволяет им эффективно справляться с нагрузкой при пережевывании пищи.
Количество корней: Молочные зубы обычно имеют один корень, тогда как коренные зубы могут иметь два или более корней. Это связано с тем, что коренные зубы должны обеспечивать большую стабильность и поддержку при жевании. Например, верхние коренные зубы могут иметь три корня, что делает их более устойчивыми.
Цвет: Молочные зубы имеют более светлый и белоснежный цвет по сравнению с коренными зубами, которые могут иметь более желтоватый оттенок. Это связано с различиями в структуре эмали и дентина, а также с тем, что коренные зубы подвергаются большему воздействию внешних факторов, таких как пища и напитки.
Эмаль: Эмаль молочных зубов тоньше и менее минерализована, чем у коренных. Это делает молочные зубы более уязвимыми к кариесу и другим заболеваниям. При осмотре можно заметить, что эмаль молочных зубов может выглядеть более гладкой и блестящей, в то время как коренные зубы могут иметь более шероховатую поверхность из-за износа.
Положение: Молочные зубы располагаются в определенном порядке и обычно выпадают в определенные сроки, чтобы освободить место для коренных зубов. Если вы видите зуб, который находится на месте, где обычно располагается молочный зуб, и он выглядит меньше и менее массивным, скорее всего, это молочный зуб.
Таким образом, визуальные отличия между коренными и молочными зубами достаточно заметны, и их можно легко определить при внимательном осмотре. Знание этих характеристик поможет вам лучше понимать состояние зубов и своевременно обращаться к стоматологу при необходимости.
Возрастные нормы прорезывания зубов
Прорезывание зубов у детей происходит в определенные сроки, и знание этих возрастных норм помогает родителям определить, какие зубы у ребенка являются молочными, а какие – коренными. Обычно процесс начинается в возрасте около 6 месяцев, когда у малыша начинают появляться первые молочные зубы. Важно отметить, что сроки могут варьироваться в зависимости от индивидуальных особенностей развития ребенка.
Первый молочный зуб, как правило, – это резец, который появляется на нижней челюсти. К 3 годам у ребенка обычно уже есть полный комплект молочных зубов, состоящий из 20 зубов: 10 на верхней и 10 на нижней челюсти. Молочные зубы включают резцы, клыки и моляры, и их прорезывание происходит в следующем порядке:
- Центральные резцы (нижние) – 6-10 месяцев
- Центральные резцы (верхние) – 8-12 месяцев
- Боковые резцы (верхние) – 9-13 месяцев
- Боковые резцы (нижние) – 10-16 месяцев
- Клыки (верхние) – 16-22 месяца
- Клыки (нижние) – 17-23 месяца
- Первые моляры (верхние) – 13-19 месяцев
- Первые моляры (нижние) – 14-18 месяцев
- Вторые моляры (верхние) – 25-33 месяца
- Вторые моляры (нижние) – 23-31 месяц
После 6 лет начинается смена молочных зубов на коренные. Этот процесс может длиться до 12-13 лет. Первые коренные зубы, известные как «шестые», появляются в возрасте 6-7 лет и располагаются за молочными зубами. Важно помнить, что коренные зубы имеют более крупные размеры и более прочную структуру по сравнению с молочными.
Смена зубов происходит в следующем порядке:
- Первые коренные (шестые) – 6-7 лет
- Центральные резцы (замена молочных) – 6-8 лет
- Боковые резцы (замена молочных) – 7-9 лет
- Первые премоляры (замена молочных моляров) – 9-11 лет
- Клыки (замена молочных) – 9-12 лет
- Вторые премоляры (замена молочных моляров) – 10-12 лет
- Вторые коренные (двенадцатые) – 11-13 лет
Таким образом, знание возрастных норм прорезывания зубов позволяет родителям не только следить за развитием зубочелюстной системы ребенка, но и своевременно обращаться к стоматологу в случае отклонений от нормы. Это особенно важно, так как здоровье зубов в детстве закладывает основу для их состояния во взрослом возрасте.
Рекомендации по наблюдению за сменой зубов
Смена зубов у детей – это важный этап в их развитии, и понимание, какие зубы являются молочными, а какие – коренными, поможет родителям лучше заботиться о здоровье полости рта своего ребенка. В этом процессе важно обращать внимание на несколько ключевых аспектов.
1. Временные рамки смены зубов: Обычно молочные зубы начинают выпадать в возрасте 6-7 лет, а коренные зубы начинают прорезываться в возрасте 6-12 лет. Знание этих временных рамок поможет родителям определить, какие зубы должны быть молочными, а какие – коренными.
2. Структура зубов: Молочные зубы, как правило, меньше по размеру и имеют более светлый цвет по сравнению с коренными. Коренные зубы, напротив, более крупные и имеют более темный оттенок. Также коренные зубы имеют более выраженные бугры и бороздки на жевательной поверхности, что помогает в процессе жевания.
3. Положение зубов: Молочные зубы располагаются в определенном порядке, начиная с резцов, затем к клыкам и молярам. Коренные зубы появляются на месте моляров и могут быть замечены, когда молочные зубы начинают выпадать. Обратите внимание на то, что коренные зубы могут появляться до полного выпадения молочных.
4. Симптомы смены зубов: При смене зубов у детей могут возникать различные симптомы, такие как легкий дискомфорт, покраснение десен и повышенное слюноотделение. Если вы заметили, что зубы вашего ребенка начинают шататься, это может быть признаком того, что молочный зуб готов к выпадению, и на его месте вскоре появится коренной.
5. Консультация с стоматологом: Если у вас есть сомнения относительно того, какой зуб является молочным, а какой – коренным, рекомендуется обратиться к стоматологу. Специалист сможет провести осмотр и дать рекомендации по уходу за зубами в процессе их смены.
Следуя этим рекомендациям, родители смогут лучше ориентироваться в процессе смены зубов у своих детей и обеспечивать им необходимую поддержку и заботу в этот важный период.



